Monitoring Cutaneous Leishmaniasis Lesions in Mice Undergoing Topical Miltefosine Treatment
Abstract
1. Introduction
2. Materials and Methods
2.1. Reagents and Gel Preparation
2.2. Parasites
2.3. Mice and Ethical Considerations
2.4. Infection and Treatment
2.5. Lesion Size Determination
2.6. Parasite Loads
2.7. Histologic Analysis
2.8. Transmission Electron Microscopy (TEM)
2.9. Quantification of Proteins and Cytokines
2.10. Statistical Analysis
3. Results and Discussion
3.1. CL Lesion Sizes and Parasite Loads before and after MTF Treatment
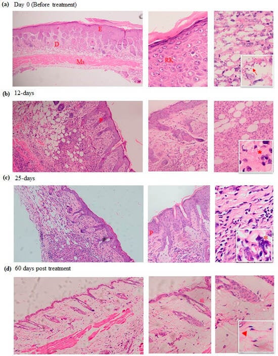
3.2. Monitoring Histopathological Changes
3.3. Ultrastructural Alterations in Infected Tissues during and after Treatment
3.4. In Situ Cytokine Regulation
3.4.1. Cytokine Regulation by Infection with L. amazonensis
3.4.2. IL-4, TNFα, and VEGF Levels Decreased after MTF Treatment
4. Conclusions
Supplementary Materials
Author Contributions
Funding
Institutional Review Board Statement
Informed Consent Statement
Data Availability Statement
Acknowledgments
Conflicts of Interest
References
- Pan American Health Organization. Available online: https://www.paho.org/en/topics/leishmaniasis/cutaneous-and-mucosal-leishmaniasis (accessed on 8 October 2023).
- Pinart, M.; Rueda, J.R.; Romero, G.A.; Pinzón-Flórez, C.E.; Osorio-Arango, K.; Silveira, A.N.; Reveiz, L.; Elias, V.M.; Tweed, J.A. Interventions for American cutaneous and mucocutaneous leishmaniasis. Cochrane. Database Syst. Rev. 2020, 8, CD004834. [Google Scholar] [CrossRef] [PubMed]
- Scott, P.; Novais, F.O. Cutaneous leishmaniasis: Immune responses in protection and pathogenesis. Nat. Rev. Immunol. 2016, 16, 581–592. [Google Scholar] [CrossRef] [PubMed]
- Mendonça, M.G.; de Brito, M.E.; Rodrigues, E.H.; Bandeira, V.; Jardim, M.L.; Abath, F.G. Persistence of leishmania parasites in scars after clinical cure of American cutaneous leishmaniasis: Is there a sterile cure? J. Infect. Dis. 2004, 189, 1018–1023. [Google Scholar] [CrossRef] [PubMed]
- Costa-da-Silva, A.C.; Nascimento, D.D.; Ferreira, J.R.M.; Guimarães-Pinto, K.; Freire-de-Lima, L.; Morrot, A.; Decote-Ricardo, D.; Filardy, A.A.; Freire-de-Lima, C.G. Immune responses in leishmaniasis: An overview. Trop. Med. Infect. Dis. 2022, 7, 54. [Google Scholar] [CrossRef]
- Sacks, D.; Noben-Trauth, N. The immunology of susceptibility and resistance to Leishmania major in mice. Nat. Rev. Immunol. 2002, 2, 845–858. [Google Scholar] [CrossRef] [PubMed]
- Volpedo, G.; Pacheco-Fernandez, T.; Holcomb, E.A.; Cipriano, N.; Cox, B.; Satoskar, A.R. mechanisms of immunopathogenesis in cutaneous leishmaniasis and post kala-azar dermal leishmaniasis (PKDL). Front. Cell. Infect. Microbiol. 2021, 11, 685296. [Google Scholar] [CrossRef]
- Rogriguez, G.; Arenas, C.; Ovalle, C.; Hernandez, C.; Camargo, C. Histopatología. In Book Las Leishmaniasis Atlas y Texto, 1st ed.; Hernandez, C., Mora, M.C., Hernandez, D., Eds.; Hospital Universitario Centro Dermatológico Federico Lleras Acosta, E.S.E: Bogotá, Colombia, 2016; pp. 134–158. [Google Scholar]
- González, K.; Diaz, R.; Ferreira, A.F.; García, V.; Paz, H.; Calzada, J.E.; Ruíz, M.; Laurenti, M.; Saldaña, A. Histopathological characteristics of cutaneous lesions caused by Leishmania Viannia panamensis in Panama. Rev. Inst. Med. Trop. Sao Paulo 2018, 60, e8. [Google Scholar] [CrossRef]
- Ware, J.M.; O’Connell, E.M.; Brown, T.; Wetzler, L.; Talaat, K.R.; Nutman, T.B.; Nash, T.E. Efficacy and tolerability of miltefosine in the treatment of cutaneous leishmaniasis. Clin. Infect. Dis. 2021, 73, 2457–2562. [Google Scholar] [CrossRef]
- Urbina, J.A. Mechanisms of action of lysophospholipid analogues against trypanosomatid parasites. Trans. R. Soc. Trop. Med. Hyg. 2006, 100, 9–16. [Google Scholar] [CrossRef]
- Luque-Ortega, J.R.; Rivas, L. Miltefosine (hexadecylphosphocholine) inhibits cytochrome c oxidase in Leishmania donovani promastigotes. Antimicrob. Agents Chemother. 2007, 51, 1327–1332. [Google Scholar] [CrossRef]
- Paris, C.; Loiseau, P.M.; Bories, C.; Bréard, J. Miltefosine induces apoptosis-like death in Leishmania donovani promastigotes. Antimicrob. Agents Chemother. 2004, 48, 852–859. [Google Scholar] [CrossRef]
- Pinto-Martinez, A.K.; Rodriguez-Durán, J.; Serrano-Martin, X.; Hernandez-Rodriguez, V.; Benaim, G. Mechanism of action of miltefosine on Leishmania donovani involves the impairment of acidocalcisome function and the activation of the sphingosine-dependent plasma membrane Ca2+ channel. Antimicrob. Agents Chemother. 2017, 62, 1614–1617. [Google Scholar] [CrossRef] [PubMed]
- Dasgupta, B.; Roychoudhury, K.; Ganguly, S.; Kumar Sinha, P.; Vimal, S.; Das, P.; Roy, S. Antileishmanial drugs cause up-regulation of interferon-gamma receptor 1, not only in the monocytes of visceral leishmaniasis cases but also in cultured THP1 cells. Ann. Trop. Med. Parasitol. 2003, 97, 245–257. [Google Scholar] [CrossRef]
- Sarkar, A.; Saha, P.; Mandal, G.; Mukhopadhyay, D.; Roy, S.; Singh, S.K.; Das, S.; Goswami, R.P.; Saha, B.; Kumar, D.; et al. Monitoring of intracellular nitric oxide in leishmaniasis: Its applicability in patients with visceral leishmaniasis. Cytom. A 2011, 79, 35–45. [Google Scholar] [CrossRef]
- Dorlo, T.P.; Balasegaram, M.; Beijnen, J.H.; de Vries, P.J. Miltefosine: A review of its pharmacology and therapeutic efficacy in the treatment of leishmaniasis. J. Antimicrob. Chemother. 2012, 67, 2576–2597. [Google Scholar] [CrossRef]
- Palić, S.; Bhairosing, P.; Beijnen, J.H.; Dorlo, T.P. Systematic review of host-mediated activity of miltefosine in leishmaniasis through immunomodulation. Antimicrob. Agents Chemother. 2019, 63, 2507–2518. [Google Scholar] [CrossRef]
- Zeisig, R.; Rudolf, M.; Eue, I.; Arndt, D. Influence of hexadecylphosphocholine on the release of tumor factor and nitroxide from peritoneal macrophages in vitro. J. Cancer. Res. Clin. Oncol. 1995, 121, 69–75. [Google Scholar] [CrossRef] [PubMed]
- Ponte, C.B.; Alves, E.A.; Sampaio, R.N.; Urdapilleta, A.A.; Kückelhaus, C.S.; Muniz-Junqueira, M.I.; Kückelhaus, S.A. Miltefosine enhances phagocytosis but decreases nitric oxide production by peritoneal macrophages of C57BL/6 mice. Int. Immunopharmacol. 2012, 13, 114–119. [Google Scholar] [CrossRef] [PubMed][Green Version]
- Peixoto, F.; Nascimento, M.T.; Costa, R.; Silva, J.; Renard, G.; Guimarães, L.H.; Penna, G.; Barral-Netto, M.; Carvalho, L.P.; Machado, P.R.; et al. Evaluation of the ability of miltefosine associated with topical GM-CSF in modulating the immune response of patients with cutaneous leishmaniasis. J. Immunol. Res. 2020, 2020, 2789859. [Google Scholar] [CrossRef] [PubMed]
- Bäumer, W.; Wlaź, P.; Jennings, G.; Rundfeldt, C. The putative lipid raft modulator miltefosine displays immunomodulatory action in T-cell dependent dermal inflammation models. Eur. J. Pharmacol. 2010, 628, 226–232. [Google Scholar] [CrossRef]
- Knuplez, E.; Kienzl, M.; Trakaki, A.; Schicho, R.; Heinemann, A.; Sturm, E.M.; Marsche, G. The anti-parasitic drug miltefosine suppresses activation of human eosinophils and ameliorates allergic inflammation in mice. Br. J. Pharmacol. 2021, 178, 1234–1248. [Google Scholar] [CrossRef] [PubMed]
- Neira, L.F.; Mantilla, J.C.; Escobar, P. Anti-leishmanial activity of a topical miltefosine gel in experimental models of New World cutaneous leishmaniasis. J. Antimicrob. Chemother. 2019, 74, 1634–1641. [Google Scholar] [CrossRef] [PubMed]
- Schönian, G.; Nasereddin, A.; Dinse, N.; Schweynoch, C.; Schallig, H.D.; Presber, W.; Jaffe, C.L. PCR diagnosis and characterisation of Leishmania in local and imported clinical samples. Diagn. Microbiol. Infect. Dis. 2003, 47, 349–358. [Google Scholar] [CrossRef] [PubMed]
- Garcia, L.; Kindt, A.; Bermudez, H.; Llanos-Cuentas, A.; De Doncker, S.; Arevalo, J.; Wilber, K.; Dujardin, J.C. Culture-independent species typing of neotropical Leishmania for clinical validation of a PCR-based assay targeting heat shock protein 70 genes. J. Clin. Microbiol. 2004, 42, 2294–2297. [Google Scholar] [CrossRef]
- Neira, L.F.; Peña, D.P.; Vera, A.M.; Mantilla, J.C.; Escobar, P. Leishmaniasis cutánea inducida por especies de Leishmania Viannia en ratones BALB/c y eficacia de un tratamiento tópico. Salud. UIS 2019, 51, 33–42. [Google Scholar] [CrossRef]
- Peralta, M.F.; Usseglio, N.A.; Bracamonte, M.E.; Guzmán, M.L.; Olivera, M.E.; Marco, J.D.; Barroso, P.A.; Carrer, D.C. Efficacy of topical miltefosine formulations in an experimental model of cutaneous leishmaniasis. Drug. Deliv. Transl. Res. 2022, 12, 180–196. [Google Scholar] [CrossRef]
- Kavian, Z.; Alavizadeh, S.H.; Golmohamadzadeh, S.; Badiee, A.; Khamesipour, A.; Jaafari, M.R. Development of topical liposomes containing miltefosine for the treatment of Leishmania major infection in susceptible BALB/c mice. Acta Trop. 2019, 196, 142–149. [Google Scholar] [CrossRef]
- Godinho, J.L.; Simas-Rodrigues, C.; Silva, R.; Ürmenyi, T.P.; de Souza, W.; Rodrigues, J.C. Efficacy of miltefosine treatment in Leishmania amazonensis-infected BALB/c mice. Int. J. Antimicrob. Agents 2012, 39, 326–331. [Google Scholar] [CrossRef]
- Fortin, A.; Caridha, D.P.; Leed, S.; Ngundam, F.; Sena, J.; Bosschaerts, T.; Parriott, S.; Hickman, M.R.; Hudson, T.H.; Grogl, M. Direct comparison of the efficacy and safety of oral treatments with oleylphosphocholine (OlPC) and miltefosine in a mouse model of L. major cutaneous leishmaniasis. PLoS. Negl. Trop. Dis. 2014, 8, e3144. [Google Scholar] [CrossRef]
- Rodríguez, N.E.; Wilson, M.E. Eosinophils and mast cells in leishmaniasis. Immunol. Res. 2014, 59, 129–141. [Google Scholar] [CrossRef]
- Von-Stebut, E.; Metz, M.; Milon, G.; Knop, J.; Maurer, M. Early macrophage influx to sites of cutaneous granuloma formation is dependent on MIP-1alpha /beta released from neutrophils recruited by mast cell-derived TNFalpha. Blood 2003, 101, 210–215. [Google Scholar] [CrossRef] [PubMed]
- Eid, R.A.; Taha, M.; El-Amir, Y.O. Histopathological and ultrastructural studies on human cutaneous leishmaniasis. Comp. Clin. Pathol. 2014, 23, 1373–1380. [Google Scholar] [CrossRef]
- Aebischer, T.; Moody, S.F.; Handman, E. Persistence of virulent Leishmania major in murine cutaneous leishmaniasis: A possible hazard for the host. Infect. Immun. 1993, 61, 220–226. [Google Scholar] [CrossRef] [PubMed]
- Barral-Netto, M.; de Freitas, L.A.; Andrade, Z.A. Histopathologic changes induced by vaccination in experimental cutaneous leishmaniasis of BALB/c mice. Am. J. Pathol. 1987, 127, 271–278. [Google Scholar]
- Olliaro, P.; Vaillant, M.; Arana, B.; Grogl, M.; Modabber, F.; Magill, A.; Lapujade, O.; Buffet, P.; Alvar, J. Methodology of clinical trials aimed at assessing interventions for cutaneous leishmaniasis. PLoS. Negl. Trop. Dis. 2013, 7, e2130. [Google Scholar] [CrossRef]
- Martínez-Valencia, A.J.; Daza-Rivera, C.F.; Rosales-Chilama, M.; Cossio, A.; Casadiego, E.J.; Desai, M.M.; Saravia, N.G.; Gómez, M.A. Clinical and parasitological factors in parasite persistence after treatment and clinical cure of cutaneous leishmaniasis. PLoS. Negl. Trop. Dis. 2017, 11, e0005713. [Google Scholar] [CrossRef]
- Seweryn, A. Interactions between surfactants and the skin—Theory and practice. Adv. Colloid. Interface. Sci. 2018, 256, 242–255. [Google Scholar] [CrossRef]
- Galvao, J.; Davis, B.; Tilley, M.; Normando, E.; Duchen, M.R.; Cordeiro, M.F. Unexpected low-dose toxicity of the universal solvent DMSO. FASEB J. 2014, 28, 1317–1330. [Google Scholar] [CrossRef]
- Dar, M.J.; Khalid, S.; McElroy, C.A.; Satoskar, A.R.; Khan, G.M. Topical treatment of cutaneous leishmaniasis with novel amphotericin B-miltefosine co-incorporated second generation ultra-deformable liposomes. Int. J. Pharm. 2020, 573, 118900. [Google Scholar] [CrossRef]
- Maha, M.; Eissa, E.I.; Amer, S.F.; Mossallam, M.M.; Nahed, M.B. Miltefosine for Old World cutaneous leishmaniasis: An experimental study on Leishmania major infected mice. Alexandria J. Med. 2012, 48, 261–271. [Google Scholar] [CrossRef]
- Santa-Rita, R.M.; Barbosa, H.S.; de Castro, S.L. Ultrastructural analysis of edelfosine-treated trypomastigotes and amastigotes of Trypanosoma cruzi. Parasitol. Res. 2006, 100, 187–190. [Google Scholar] [CrossRef] [PubMed]
- Freitas-Junior, P.R.; Catta-Preta, C.M.; Andrade, I.S.; Cavalcanti, D.P.; de Souza, W.; Einicker-Lamas, M.; Motta, M.C. Effects of miltefosine on the proliferation, ultrastructure, and phospholipid composition of Angomonas deanei, a trypanosomatid protozoan that harbors a symbiotic bacterium. FEMS. Microbiol. Lett. 2012, 333, 129–137. [Google Scholar] [CrossRef] [PubMed]
- Cardoso, F.O.; Zaverucha-do-Valle, T.; Almeida-Souza, F.; Abreu-Silva, A.L.; Calabrese, K.D. Modulation of cytokines and extracellular matrix proteins expression by Leishmania amazonensis in susceptible and resistant mice. Front. Microbiol. 2020, 11, 1986. [Google Scholar] [CrossRef] [PubMed]
- Ansari, N.A.; Ramesh, V.; Salotra, P. Immune response following miltefosine therapy in a patient with post-kala-azar dermal leishmaniasis. Trans. R. Soc. Trop. Med. Hyg. 2008, 2, 1160–1162. [Google Scholar] [CrossRef]
- Mukhopadhyay, D.; Das, N.K.; Roy, S.; Kundu, S.; Barbhuiya, J.N.; Chatterjee, M. Miltefosine effectively modulates the cytokine milieu in Indian post kala-azar dermal leishmaniasis. J. Infect. Dis. 2011, 204, 1427–1436. [Google Scholar] [CrossRef][Green Version]
- Sengupta, S.; Chatterjee, M. IgG3 and IL10 are effective biomarkers for monitoring therapeutic effectiveness in post kala-azar dermal leishmaniasis. PLoS. Negl. Trop. Dis. 2021, 15, e0009906. [Google Scholar] [CrossRef]
- Mukherjee, A.K.; Gupta, G.; Adhikari, A.; Majumder, S.; Kar, S.; Bhattacharyya, M.S.; Majumdar, S. Miltefosine triggers a strong proinflammatory cytokine response during visceral leishmaniasis: Role of TLR4 and TLR9. Int. Immunopharmacol. 2012, 12, 565–572. [Google Scholar] [CrossRef]
- Carvalho, L.M.; Gusmão, M.R.; Costa, A.F.; de Brito, R.C.; Aguiar-Soares, R.D.; Cardoso, J.M.; Reis, A.B.; Carneiro, C.M.; Roatt, B.M. Immunochemotherapy for visceral leishmaniasis: Combinatorial action of miltefosine plus LBSapMPL vaccine improves adaptative Th1 immune response with control of splenic parasitism in experimental hamster model. Parasitology 2022, 149, 371–379. [Google Scholar] [CrossRef]
- Weinkopff, T.; Roys, H.; Bowlin, A.; Scott, P. Leishmania infection induces macrophage vascular endothelial growth factor a production in an ARNT/HIF-dependent manner. Infect. Immun. 2022, 90, 19–22. [Google Scholar] [CrossRef]






Disclaimer/Publisher’s Note: The statements, opinions and data contained in all publications are solely those of the individual author(s) and contributor(s) and not of MDPI and/or the editor(s). MDPI and/or the editor(s) disclaim responsibility for any injury to people or property resulting from any ideas, methods, instructions or products referred to in the content. |
© 2023 by the authors. Licensee MDPI, Basel, Switzerland. This article is an open access article distributed under the terms and conditions of the Creative Commons Attribution (CC BY) license (https://creativecommons.org/licenses/by/4.0/).
Share and Cite
Neira, L.F.; Mantilla, J.C.; Escobar, P. Monitoring Cutaneous Leishmaniasis Lesions in Mice Undergoing Topical Miltefosine Treatment. Sci. Pharm. 2023, 91, 54. https://doi.org/10.3390/scipharm91040054
Neira LF, Mantilla JC, Escobar P. Monitoring Cutaneous Leishmaniasis Lesions in Mice Undergoing Topical Miltefosine Treatment. Scientia Pharmaceutica. 2023; 91(4):54. https://doi.org/10.3390/scipharm91040054
Chicago/Turabian StyleNeira, Laura Fernanda, Julio Cesar Mantilla, and Patricia Escobar. 2023. "Monitoring Cutaneous Leishmaniasis Lesions in Mice Undergoing Topical Miltefosine Treatment" Scientia Pharmaceutica 91, no. 4: 54. https://doi.org/10.3390/scipharm91040054
APA StyleNeira, L. F., Mantilla, J. C., & Escobar, P. (2023). Monitoring Cutaneous Leishmaniasis Lesions in Mice Undergoing Topical Miltefosine Treatment. Scientia Pharmaceutica, 91(4), 54. https://doi.org/10.3390/scipharm91040054

