Acute Demyelinating Encephalomyelitis Post-COVID-19 Vaccination: A Case Report and Literature Review
Abstract
:1. Introduction
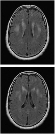
2. Case Presentation
3. Discussion
4. Literature Review
4.1. Etiology and Clinical Features
4.2. Neuroimaging and Histopathology
4.3. Management Options and Prognosis
5. Conclusions
Author Contributions
Funding
Institutional Review Board Statement
Informed Consent Statement
Data Availability Statement
Conflicts of Interest
References
- Huynh, W.; Cordato, D.; Kehdi, E.; Masters, L.; Dedousis, C. Post vaccination encephalomyelitis: Literature review and illustrative case. J. Clin. Neursci. 2008, 15, 1315–1322. [Google Scholar] [CrossRef] [PubMed]
- Brighton Collaboration. Acute Disseminated Encephalomyelitis (ADEM): Case Definition Pictorial Algorithm. The Task Force for Global Health. 2021. Available online: https://brightoncollaboration.us/acute-disseminated-encephalomyelitis-adem-case-definition-companion-guide/ (accessed on 8 January 2022).
- Pellegrino, P.; Carnovale, C.; Perrone, V.; Pozzi, M.; Antoniazzi, S.; Clemente, E.; Radice, S. Correction: Acute disseminated encephalomyelitis onset: Evaluation based on vaccine adverse events reporting systems. PLoS ONE 2013, 8, 10. [Google Scholar] [CrossRef]
- Sakrani, N.; Almazrouei, S.; Mohan, S.; Ramsi, M. Adenovirus as a rare cause of acute necrotizing encephalitis. BMJ Case Rep. 2019, 12, e232338. [Google Scholar] [CrossRef] [PubMed]
- Keegan, M.; Pineda, A.A.; McClelland, R.L.; Darby, C.H.; Rodriguez, M.; Weinshenker, B.G. Plasma exchange for severe attacks of CNS demyelination: Predictors of response. Neurology 2002, 58, 143–146. [Google Scholar] [CrossRef] [PubMed]
- Nishikawa, M.; Ichiyama, T.; Hayashi, T.; Ouchi, K.; Furukawa, S. Intravenous immunoglobulin therapy in acute disseminated encephalomyelitis. Pediatr. Neurol. 1999, 21, 583–586. [Google Scholar] [CrossRef] [PubMed]
- Marchioni, E.; Marinou-Aktipi, K.; Uggetti, C.; Bottanelli, M.; Pichiecchio, A.; Soragna, D.; Piccolo, G.; Imbesi, F.; Romani, A.; Ceroni, M. Effectiveness of intravenous immunoglobulin treatment in adult patients with steroid-resistant monophasic or recurrent acute disseminated encephalomyelitis. J. Neurol. 2002, 249, 100–104. [Google Scholar] [CrossRef] [PubMed]
- Menge, T.; Hemmer, B.; Nessler, S.; Windel, H.; Neuhaus, O.; Hartung, H.P.; Kieseier, B.C.; Stüve, O. Acute disseminated encephalomyelitis: An update. Arch. Neurol. 2005, 62, 1673–1680. [Google Scholar] [CrossRef]
- Härtel, C.; Schilling, S.; Gottschalk, S.; Sperner, J. Multiphasic disseminated encephalomyelitis associated with streptococcal infection. Eur. J. Paediatr. Neurol. 2002, 6, 327–329. [Google Scholar] [CrossRef] [PubMed]
- Langley, L.; Zeicu, C.; Whitton, L.; Pauls, M. Acute disseminated encephalomyelitis (ADEM) associated with COVID-19. BMJ Case Rep. 2020, 13, e239597. [Google Scholar] [CrossRef]
- Parsons, T.; Banks, S.; Bae, C.; Gelber, J.; Alahmadi, H.; Tichauer, M. COVID-19-associated acute disseminated encephalomyelitis (ADEM). J. Neurol. 2020, 267, 2799–2802. [Google Scholar] [CrossRef] [PubMed]
- Kumar, M.; Kamath, S.; Sunder, A. Post-vaccinial encephalomyelitis—Probable acute disseminated encephalomyelitis (ADEM): A case report. J. Fam. Med. Prim. Care 2019, 8, 3425–3427. [Google Scholar] [CrossRef] [PubMed]
- Permezel, F.; Borojevic, B.; Lau, S.; de Boer, H.H. Acute disseminated encephalomyelitis (ADEM) following recent Oxford/AstraZeneca COVID-19 vaccination. Forensic Sci. Med. Pathol. 2021. [Google Scholar] [CrossRef] [PubMed]
- Shimizu, M.; Ogaki, K.; Nakamura, R.; Kado, E.; Nakajima, S.; Kurita, N.; Watanabe, M.; Yamashiro, K.; Hattori, N.; Urabe, T. An 88-year-old woman with acute disseminated encephalomyelitis following messenger ribonucleic acid-based COVID-19 vaccination. Eneurologicalsci 2021, 25, 100381. [Google Scholar] [CrossRef] [PubMed]
- Yuan, J.; Wang, S.; Guo, X.; Hu, W. Acute disseminated encephalomyelitis following vaccination against hepatitis B in a child: A case report and literature review. Case Rep. Neurol. Med. 2016, 2016, 2401809. [Google Scholar] [CrossRef] [PubMed] [Green Version]
- Van der Zalm, I.J.; Tobé, T.J.; Logtenberg, S.J. Omeprazole-induced and pantoprazole-induced asymptomatic hyponatremia: A case report. J. Med. Case Rep. 2020, 14, 83. [Google Scholar] [CrossRef] [PubMed]
- Ghali, M. Tumefactive acute disseminated encephalomyelitis. Neurol. India 2020, 68, 35–41. [Google Scholar] [CrossRef] [PubMed]

Publisher’s Note: MDPI stays neutral with regard to jurisdictional claims in published maps and institutional affiliations. |
© 2022 by the authors. Licensee MDPI, Basel, Switzerland. This article is an open access article distributed under the terms and conditions of the Creative Commons Attribution (CC BY) license (https://creativecommons.org/licenses/by/4.0/).
Share and Cite
Al-Quliti, K.; Qureshi, A.; Quadri, M.; Abdulhameed, B.; Alanazi, A.; Alhujeily, R. Acute Demyelinating Encephalomyelitis Post-COVID-19 Vaccination: A Case Report and Literature Review. Diseases 2022, 10, 13. https://doi.org/10.3390/diseases10010013
Al-Quliti K, Qureshi A, Quadri M, Abdulhameed B, Alanazi A, Alhujeily R. Acute Demyelinating Encephalomyelitis Post-COVID-19 Vaccination: A Case Report and Literature Review. Diseases. 2022; 10(1):13. https://doi.org/10.3390/diseases10010013
Chicago/Turabian StyleAl-Quliti, Khalid, Ahmad Qureshi, Mohammed Quadri, Babar Abdulhameed, Alhanouf Alanazi, and Rakan Alhujeily. 2022. "Acute Demyelinating Encephalomyelitis Post-COVID-19 Vaccination: A Case Report and Literature Review" Diseases 10, no. 1: 13. https://doi.org/10.3390/diseases10010013
APA StyleAl-Quliti, K., Qureshi, A., Quadri, M., Abdulhameed, B., Alanazi, A., & Alhujeily, R. (2022). Acute Demyelinating Encephalomyelitis Post-COVID-19 Vaccination: A Case Report and Literature Review. Diseases, 10(1), 13. https://doi.org/10.3390/diseases10010013
