Acute Leukemia Diagnosis Based on Images of Lymphocytes and Monocytes Using Type-II Fuzzy Deep Network
Abstract
1. Introduction
- a.
- Compilation of a standardized database of acute leukemia images.
- b.
- Presenting an automatic method based on the combination of type-II fuzzy networks with deep learning networks in order to solve the problem of uncertainties in model training.
- c.
- Providing an automatic end-to-end model with high speed and accuracy without the need for feature extraction/selection block.
2. Materials and Methods
2.1. Brief Description of DCNN Model
2.2. Type-II Fuzzy Set
3. Suggested Method
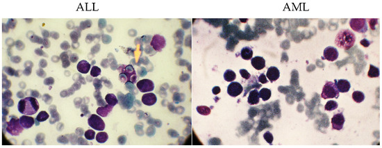
3.1. Data Collection
3.2. Data Pre-Processing
3.3. Proposed Type-II Fuzzy DCNN Model Design
4. Results
5. Conclusions
Author Contributions
Funding
Institutional Review Board Statement
Informed Consent Statement
Data Availability Statement
Conflicts of Interest
References
- Putzu, L.; Caocci, G.; Di Ruberto, C. Leucocyte classification for leukaemia detection using image processing techniques. Artif. Intell. Med. 2014, 62, 179–191. [Google Scholar] [CrossRef]
- Urbano, T.; Vinceti, M.; Wise, L.A.; Filippini, T. Light at night and risk of breast cancer: A systematic review and dose–response meta-analysis. Int. J. Health Geogr. 2021, 20, 1–26. [Google Scholar] [CrossRef] [PubMed]
- Labati, R.D.; Piuri, V.; Scotti, F. The Acute Lymphoblastic Leukemia Image Database for Image Processing; Universita Degli Studi Di Milano: Milan, Italy, 2011. [Google Scholar]
- Putzu, L.; Di Ruberto, C. White blood cells identification and classification from leukemic blood image. In Proceedings of the International Work-Conference on Bioinformatics and Biomedical Engineering, Granada, Spain, 18–20 March 2013; pp. 99–106. [Google Scholar]
- Liu, F.; Xue, S.; Zhang, Y.; Yang, J.; Hu, J.; Li, D.; Ma, X.; Wang, J. Clostridium perfringens sepsis in three patients with acute leukemia and review of the literature. Int. J. Hematol. 2021, 113, 508–517. [Google Scholar] [CrossRef] [PubMed]
- Ghaderzadeh, M.; Asadi, F.; Hosseini, A.; Bashash, D.; Abolghasemi, H.; Roshanpour, A. Machine learning in detection and classification of leukemia using smear blood images: A systematic review. Sci. Program. 2021, 2021, 9933481. [Google Scholar] [CrossRef]
- Lezoray, O.; Cardot, H. Cooperation of color pixel classification schemes and color watershed: A study for microscopic images. IEEE Trans. Image Process. 2002, 11, 783–789. [Google Scholar] [CrossRef] [PubMed]
- Madhloom, H.; Kareem, S.; Ariffin, H.; Zaidan, A.; Alanazi, H.; Zaidan, B. An automated white blood cell nucleus localization and segmentation using image arithmetic and automatic threshold. J. Appl. Sci. 2010, 10, 959–966. [Google Scholar] [CrossRef]
- Cheewatanon, J.; Leauhatong, T.; Airpaiboon, S.; Sangwarasilp, M. A new white blood cell segmentation using mean shift filter and region growing algorithm. Int. J. Appl. Biomed. Eng. 2011, 4, 31. [Google Scholar]
- Raje, C.; Rangole, J. Detection of Leukemia in microscopic images using image processing. In Proceedings of the 2014 International Conference on Communication and Signal Processing, New York, NY, USA, 3–5 April 2014; pp. 255–259. [Google Scholar]
- Vaghela, H.P.; Modi, H.; Pandya, M.; Potdar, M. Leukemia detection using digital image processing techniques. Leukemia 2015, 10, 43–51. [Google Scholar]
- Madhloom, H.T.; Kareem, S.A.; Ariffin, H. Computer-aided acute leukemia blast cells segmentation in peripheral blood images. J. Vibroengineering 2015, 17, 4517–4532. [Google Scholar]
- Bibi, N.; Sikandar, M.; Ud Din, I.; Almogren, A.; Ali, S. IoMT-based automated detection and classification of leukemia using deep learning. J. Healthc. Eng. 2020, 1, 12. [Google Scholar] [CrossRef]
- Zhou, M.; Wu, K.; Yu, L.; Xu, M.; Yang, J.; Shen, Q.; Liu, B.; Shi, L.; Wu, S.; Dong, B. Development and evaluation of a leukemia diagnosis system using deep learning in real clinical scenarios. Front. Pediatr. 2021, 616. [Google Scholar] [CrossRef]
- Nazari, E.; Farzin, A.H.; Aghemiri, M.; Avan, A.; Tara, M.; Tabesh, H. Deep learning for acute myeloid leukemia diagnosis. J. Med. Life 2020, 13, 382. [Google Scholar] [CrossRef]
- Sheykhivand, S.; Rezaii, T.Y.; Meshgini, S.; Makoui, S.; Farzamnia, A. Developing a Deep Neural Network for Driver Fatigue Detection Using EEG Signals Based on Compressed Sensing. Sustainability 2022, 14, 2941. [Google Scholar] [CrossRef]
- Sabahi, K.; Sheykhivand, S.; Mousavi, Z.; Rajabioun, M. Recognition COVID-19 cases using deep type-2 fuzzy neural networks based on chest X-ray image. Comput. Intell. Electr. Eng. 2022, 2, 12. [Google Scholar]
- Sheykhivand, S.; Rezaii, T.Y.; Mousavi, Z.; Meshgini, S.; Makouei, S.; Farzamnia, A.; Danishvar, S.; Teo Tze Kin, K. Automatic Detection of Driver Fatigue Based on EEG Signals Using a Developed Deep Neural Network. Electronics 2022, 11, 2169. [Google Scholar] [CrossRef]
- Beke, A.; Kumbasar, T. Learning with type-2 fuzzy activation functions to improve the performance of deep neural networks. Eng. Appl. Artif. Intell. 2019, 85, 372–384. [Google Scholar] [CrossRef]
- Shahini, N.; Bahrami, Z.; Sheykhivand, S.; Marandi, S.; Danishvar, M.; Danishvar, S.; Roosta, Y. Automatically Identified EEG Signals of Movement Intention Based on CNN Network (End-To-End). Electronics 2022, 11, 3297. [Google Scholar] [CrossRef]
- Seyed Alizadeh, S.M.; Bagherzadeh, A.; Bahmani, S.; Nikzad, A.; Aminzadehsarikhanbeglou, E.; Tatyana Yu, S. Retrograde gas condensate reservoirs: Reliable estimation of dew point pressure by the hybrid neuro-fuzzy connectionist paradigm. J. Energy Resour. Technol. 2022, 144, 063007. [Google Scholar] [CrossRef]
- Sheykhivand, S.; Yousefi Rezaii, T.; Mousavi, Z.; Meshini, S. Automatic stage scoring of single-channel sleep EEG using CEEMD of genetic algorithm and neural network. Comput. Intell. Electr. Eng. 2018, 9, 15–28. [Google Scholar]
- Johnson, R.; Zhang, T. Accelerating stochastic gradient descent using predictive variance reduction. In Proceedings of the 26th International Conference on Neural Information Processing Systems, Red Hook, NY, USA, 5–10 December 2013. [Google Scholar]
- Sheykhivand, S.; Rezaii, T.Y.; Saatlo, A.N.; Romooz, N. Comparison between different methods of feature extraction in BCI systems based on SSVEP. Int. J. Ind. Math. 2017, 9, 341–347. [Google Scholar]
- Hajipour Khire Masjidi, B.; Bahmani, S.; Sharifi, F.; Peivandi, M.; Khosravani, M.; Hussein Mohammed, A. CT-ML: Diagnosis of breast cancer based on ultrasound images and time-dependent feature extraction methods using contourlet transformation and machine learning. Comput. Intell. Neurosci. 2022, 2022, 1493847. [Google Scholar] [CrossRef] [PubMed]
- Wójcik, B.; Maziarka, Ł.; Tabor, J. LOSSGRAD: Automatic learning rate in gradient descent. arXiv 2019, arXiv:1902.07656. [Google Scholar] [CrossRef]
- Dang, Y.; Anand, D.; Sethi, A. Pixel-wise Segmentation of right ventricle of heart. In Proceedings of the TENCON 2019–2019 IEEE Region 10 Conference (TENCON), Kochi, India, 17–20 October 2019; pp. 1797–1802. [Google Scholar]
- Mousavi, Z.; Ettefagh, M.M.; Sadeghi, M.H.; Razavi, S.N. Developing deep neural network for damage detection of beam-like structures using dynamic response based on FE model and real healthy state. Appl. Acoust. 2020, 168, 107402. [Google Scholar] [CrossRef]
- Kassani, S.H.; Kassani, P.H.; Wesolowski, M.J.; Schneider, K.A.; Deters, R. A hybrid deep learning architecture for leukemic B-lymphoblast classification. In Proceedings of the 2019 International Conference on Information and Communication Technology Convergence (ICTC), Jeju Island, Republic of Korea, 16–18 October 2019; pp. 271–276. [Google Scholar]
- Agaian, S.; Madhukar, M.; Chronopoulos, A.T. A new acute leukaemia-automated classification system. Comput. Methods Biomech. Biomed. Eng. Imaging Vis. 2018, 6, 303–314. [Google Scholar] [CrossRef]
- Umamaheswari, D.; Geetha, S. A framework for efficient recognition and classification of acute lymphoblastic leukemia with a novel customized-KNN classifier. J. Comput. Inf. Technol. 2018, 26, 131–140. [Google Scholar] [CrossRef]
- Ahmed, N.; Yigit, A.; Isik, Z.; Alpkocak, A. Identification of leukemia subtypes from microscopic images using convolutional neural network. Diagnostics 2019, 9, 104. [Google Scholar] [CrossRef]
- Al-jaboriy, S.S.; Sjarif, N.N.A.; Chuprat, S.; Abduallah, W.M. Acute lymphoblastic leukemia segmentation using local pixel information. Pattern Recognit. Lett. 2019, 125, 85–90. [Google Scholar] [CrossRef]
- Li, M.; Li, X.; Jiang, Y.; Zhang, J.; Luo, H.; Yin, S. Explainable multi-instance and multi-task learning for COVID-19 diagnosis and lesion segmentation in CT images. Knowl. Based Syst. 2022, 252, 109278. [Google Scholar] [CrossRef]









| L | Layer Type | Activation Function | Output Shape | Size of Filter and Pooling | Strides | Number of Filters | Padding |
|---|---|---|---|---|---|---|---|
| 0-1 | Convolution | T II F | (None, 16, 112, 112) | 128 × 128 | 2 | 16 | yes |
| 1-2 | Max-Pooling | - | (None, 16, 56, 56) | 2 × 2 | 2 | - | no |
| 2-3 | Convolution | T II F | (None, 32,56, 56) | 3 × 3 | 1 | 32 | yes |
| 3-4 | Max-Pooling | - | (None, 32, 28, 28) | 2 × 2 | 2 | - | no |
| 4-5 | Convolution | T II F | (None, 32, 28, 28) | 3 × 3 | 1 | 32 | yes |
| 5-6 | Max-Pooling | - | (None, 32, 14, 14) | 2 × 2 | 2 | - | no |
| 6-7 | Convolution | T II F | (None, 32, 14, 14) | 3 × 3 | 1 | 32 | yes |
| 7-8 | Max-Pooling | - | (None, 32, 7, 7) | 2 × 2 | 2 | - | no |
| 8-9 | Convolution | T II F | (None, 32, 7, 7) | 3 × 3 | 1 | 32 | yes |
| 9-10 | Convolution | T II F | (None, 16, 7, 7) | 3 × 3 | 1 | 16 | yes |
| 10-11 | Flatten | - | (None, 784) | - | - | - | - |
| 11-12 | FC | - | (None, 2) | - | - | - | - |
| Parameter | Search Space | Optimal Value |
|---|---|---|
| Optimizer | RMSProp, Adam, Sgd, Adamax, Adadelta | RMSProp |
| Loss function | MSE, Cross-entropy | MSE |
| Number of Convolution layers | 2, 4, 6, 8, 10 | 6 |
| Number of FC layers | 1, 2, 3, 4 | 1 |
| Number of Filters in the first Convolution layer | 16, 32, 64, 128 | 128 |
| Number of Filters in the second Convolution layer | 16, 32, 64, 128 | 32 |
| Number of Filters in the third Convolution layer | 16, 32, 64, 128 | 32 |
| Number of Filters in the fourth Convolution layer | 16, 32, 64, 128 | 32 |
| Number of Filters in the fifth Convolution layer | 16, 32, 64, 128 | 32 |
| Number of Filters in the sixth Convolution layer | 16, 32, 64, 128 | 16 |
| The size of filter in the first convolution layer | (3,3), (16,16), (32,32), (64,64), (128,128) | (128,128) |
| The size of filter in another Convolution layers | (3,3), (16,16), (32,32), (64,64), (128,128) | (3, 3) |
| Activation function | Leaky-Relu, Sigmoid, Relu, Linear, type-II fuzzy | type-II fuzzy |
| Momentum and Gamma parametrs | 0.6, 0.7, 0.8, 0.9 | 0.8 |
| Decay Rate of the weights | 2 × 10−5, 3 × 10−5, 4 × 10−5, 5 × 10−5, 6 × 10−5 | 5 × 10−5 |
| Learning rate | 0.01, 0.001, 0.0001 | 0.0001 |
| Dropout rate | 0, 0.2, 0.3, 0.4, 0.5 | 0.3 |
| Batch size | 4, 8, 10, 16, 32, 64, 100 | 64 |
| Function Used | Relu | Leaky-Relu | Type-II Fuzzy |
|---|---|---|---|
| Training Time | 5400 s | 5451 s | 5302 s |
| References | Dataset | Classification | Methods | Accuracy |
|---|---|---|---|---|
| Putzu [1] | ALL-IDB1 | ALL | Image Processing | 92% |
| Kassanin et al. [29] | ISBI | Healthy and ALL | Customized CNN | 96.17% |
| Agaian et al. [30] | ALL-IDB1 | ALL | Cell Energy Feature with Support Vector Machine | 94% |
| Umamaheswari et al. [31] | ALL-IDB2 | ALL | Customized K-Nearest Neighbor | 96.25% |
| Ahmed et al. [32] | ALL-IDB, ASH Image Bank | Leukemia SubtypesClassification | CNN | 81.74% |
| Al-jaboriy et al. [33] | ALL-IDB1 | ALL | Genetic Algorithm and ANN | 97.07% |
| Proposed Method | Private (ALL-AML) | ALL-AML | Customized Type-II Fuzzy DCNN | 98.94% |
Disclaimer/Publisher’s Note: The statements, opinions and data contained in all publications are solely those of the individual author(s) and contributor(s) and not of MDPI and/or the editor(s). MDPI and/or the editor(s) disclaim responsibility for any injury to people or property resulting from any ideas, methods, instructions or products referred to in the content. |
© 2023 by the authors. Licensee MDPI, Basel, Switzerland. This article is an open access article distributed under the terms and conditions of the Creative Commons Attribution (CC BY) license (https://creativecommons.org/licenses/by/4.0/).
Share and Cite
Ansari, S.; Navin, A.H.; Babazadeh Sangar, A.; Vaez Gharamaleki, J.; Danishvar, S. Acute Leukemia Diagnosis Based on Images of Lymphocytes and Monocytes Using Type-II Fuzzy Deep Network. Electronics 2023, 12, 1116. https://doi.org/10.3390/electronics12051116
Ansari S, Navin AH, Babazadeh Sangar A, Vaez Gharamaleki J, Danishvar S. Acute Leukemia Diagnosis Based on Images of Lymphocytes and Monocytes Using Type-II Fuzzy Deep Network. Electronics. 2023; 12(5):1116. https://doi.org/10.3390/electronics12051116
Chicago/Turabian StyleAnsari, Sanam, Ahmad Habibizad Navin, Amin Babazadeh Sangar, Jalil Vaez Gharamaleki, and Sebelan Danishvar. 2023. "Acute Leukemia Diagnosis Based on Images of Lymphocytes and Monocytes Using Type-II Fuzzy Deep Network" Electronics 12, no. 5: 1116. https://doi.org/10.3390/electronics12051116
APA StyleAnsari, S., Navin, A. H., Babazadeh Sangar, A., Vaez Gharamaleki, J., & Danishvar, S. (2023). Acute Leukemia Diagnosis Based on Images of Lymphocytes and Monocytes Using Type-II Fuzzy Deep Network. Electronics, 12(5), 1116. https://doi.org/10.3390/electronics12051116

