AI-Based Aortic Stenosis Classification in MRI Scans
Abstract
:1. Introduction
2. State of the Art
3. Methods
3.1. Business and Data Understanding
3.2. Data Preparation
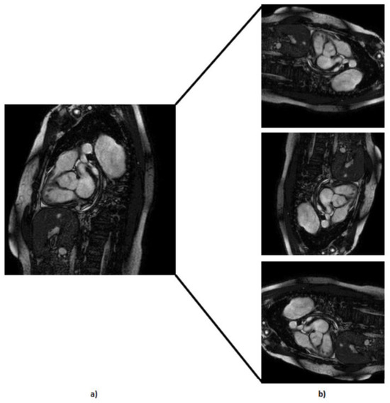
- We used rotational augmentation to rotate photos at 90-, 180-, and 270-degree angles, depicted in Figure 4. This geometric modification not only increased the size of our dataset by 3 times but also created useful variations in orientation, increasing the information available to our models. We only intended to spin the MRIs at four angles because rotating an MRI to a random degree between those mentioned above would not be realistic because the patient is not in a 15 degree position during the exam, for example. This creates 606 new MRIs out of the original dataset.
- 2.
- We executed translation along the x-axis (Figure 5) while meticulously ensuring that the aortic valve remained within the frame; with this, we created 202 more MRIs out of the original dataset.
- 3.
- We applied horizontal flipping (Figure 6), further diversifying our dataset by creating mirrored counterparts of existing images. With this process, we created 202 more MRIs and also introduced new perspectives for our models to learn from.
- 4.
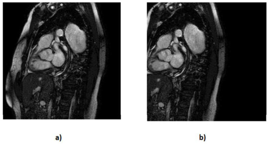
- Recognizing by the cardiology specialist the occasional presence of underexposed images, we addressed this issue by enhancing brightness in the images (Figure 7). By compensating for the darker images, we ensured that our dataset covered a wider spectrum of lighting conditions, thus reinforcing the adaptability of our models. With this technique, we created 404 more MRIs.
- 1st test (without data augmentation)—202 images, 91 with calcification and 111 without calcification.
- 2nd test (rotation, flip, and translation)—1212 images, 546 with calcification and 666 without calcification.
- 3rd test (rotation, flip, translation, and brightness)—1616 pictures, 729 with calcification and 888 without calcification.
3.3. Modeling
4. Evaluation and Discussion
Evaluation of the Models
- Input shape was defined based on the architecture of each model, where on VGG16 and ResNet50 was (224, 224, 3) and for the Xception was (299, 299, 3).
- The number of batches was set to 32 based on the following Formula (1), where N is the number of samples divided with B the batch size multiplied by E number of epochs [65].
- The number of epochs was set to 30 based on a considerable number of tests. Initially, we began with 10 epochs, but, through experimentation, we observed that the model could be effectively trained for additional epochs without compromising the results. As we increased the number of epochs, we found that not a single test could reach 30 epochs. This was due to the implementation of the early stopping function, indicating that the models were reaching their full capacity. Our early stopping function was defined with a ‘patience’ parameter set to 4. This means that if, during training, we did not see better results for four consecutive epochs, the model would stop. This approach was implemented to reduce overfitting while preserving model performance, ultimately saving both time and computational resources.
- The first test was with the original dataset (without data augmentation) containing 202 MRIs, 91 with calcification and 111 without calcification.
- In the second test, we applied flip, rotation, and translation techniques, ending up with 1212 MRIs, 546 with calcification and 666 without calcification.
- In the third and final test, we added images to the dataset created in the second test using an extra technique known as brightness. The collection now has 1616 MRIs, 729 with calcification and 888 without calcification.
5. Conclusions
Future Work
Author Contributions
Funding
Data Availability Statement
Conflicts of Interest
References
- Da Silveira, J.S.; Smyke, M.; Rich, A.V.; Liu, Y.; Jin, N.; Scandling, D.; Dickerson, J.A.; Rochitte, C.E.; Raman, S.V.; Potter, L.C.; et al. Quantification of aortic stenosis diagnostic parameters: Comparison of fast 3 direction and 1 direction phase contrast CMR and transthoracic echocardiography. J. Cardiovasc. Magn. Reson. 2017, 19, 35. [Google Scholar] [CrossRef]
- Zhang, C.; Liu, J.; Qin, S. Prognostic value of cardiac magnetic resonance in patients with aortic stenosis: A systematic review and meta-analysis. PLoS ONE 2022, 17, e0263378. [Google Scholar] [CrossRef] [PubMed]
- Bucciarelli-Ducci, C.; Ajmone-Marsan, N.; Di Carli, M.; Nicol, E. The year in cardiovascular medicine 2021: Imaging. Eur. Heart J. 2022, 43, 1288–1295. [Google Scholar] [CrossRef] [PubMed]
- Level of the SARS-CoV-2 Receptor ACE2 Activity Is Highly Elevated in Old-Aged Patients with Aortic Stenosis: Implications for ACE2 as a Biomarker for the Severity of COVID-19—PMC. Available online: https://www.ncbi.nlm.nih.gov/pmc/articles/PMC7815502/ (accessed on 1 December 2022).
- Evertz, R.; Lange, T.; Backhaus, S.J.; Schulz, A.; Beuthner, B.E.; Topci, R.; Toischer, K.; Puls, M.; Kowallick, J.T.; Hasenfuß, G.; et al. Artificial Intelligence Enabled Fully Automated CMR Function Quantification for Optimized Risk Stratification in Patients Undergoing Transcatheter Aortic Valve Replacement. J. Intervent. Cardiol. 2022, 2022, 1368878. [Google Scholar] [CrossRef] [PubMed]
- Lauzier, P.T.; Avram, R.; Dey, D.; Slomka, P.; Afilalo, J.; Chow, B.J. The Evolving Role of Artificial Intelligence in Cardiac Image Analysis. Can. J. Cardiol. 2022, 38, 214–224. [Google Scholar] [CrossRef]
- European Parliament. Directorate General for Parliamentary Research Services. Artificial Intelligence in Healthcare: Applications, Risks, and Ethical and Societal Impacts; EU Publications Office: Gare, Luxembourg, 2022; Available online: https://data.europa.eu/doi/10.2861/568473 (accessed on 31 May 2022).
- Sakly, H.; Said, M.; Radhouane, S.; Tagina, M. Medical decision making for 5D cardiac model: Template matching technique and simulation of the fifth dimension. Comput. Methods Programs Biomed. 2020, 191, 105382. [Google Scholar] [CrossRef]
- Moher, D.; Liberati, A.; Tetzlaff, J.; Altman, D.G.; the PRISMA Group. Preferred reporting items for systematic reviews and meta-analyses: The PRISMA statement. BMJ 2009, 339, b2535. [Google Scholar] [CrossRef]
- Catapano, F.; Pambianchi, G.; Cundari, G.; Rebelo, J.; Cilia, F.; Carbone, I.; Catalano, C.; Francone, M.; Galea, N. 4D flow imaging of the thoracic aorta: Is there an added clinical value? Cardiovasc. Diagn. Ther. 2020, 10, 1068–1089. [Google Scholar] [CrossRef]
- Doris, M.K.; Rubeaux, M.; Pawade, T.; Otaki, Y.; Xie, Y.; Li, D.; Tamarappoo, B.K.; Newby, D.E.; Berman, D.S.; Dweck, M.R.; et al. Motion-corrected imaging of the aortic valve with18F-NaF PET/CT and PET/MRI: A feasibility study. J. Nucl. Med. 2017, 58, 1811–1814. [Google Scholar] [CrossRef]
- Vadher, A.B.; Shaw, M.; Pandey, N.N.; Sharma, A.; Kumar, S. Stenotic lesions of pulmonary arteries: Imaging evaluation using multidetector computed tomography angiography. Clin. Imaging 2021, 69, 17–26. [Google Scholar] [CrossRef]
- Battineni, G.; Hossain, M.A.; Chintalapudi, N.; Amenta, F. A Survey on the Role of Artificial Intelligence in Biobanking Studies. Diagnostics 2022, 12, 1179. [Google Scholar] [CrossRef] [PubMed]
- Yang, D.H. Application of artificial intelligence to cardiovascular computed tomography. Korean J. Radiol. 2021, 22, 1597–1608. [Google Scholar] [CrossRef] [PubMed]
- Garcia, J.; Barker, A.J.; Collins, J.D.; Carr, J.C.; Markl, M. Volumetric quantification of absolute local normalized helicity in patients with bicuspid aortic valve and aortic dilatation. Magn. Reson. Med. 2017, 78, 689–701. [Google Scholar] [CrossRef] [PubMed]
- Brüning, J.; Hellmeier, F.; Yevtushenko, P.; Kühne, T.; Goubergrits, L. Uncertainty Quantification for Non-invasive Assessment of Pressure Drop Across a Coarctation of the Aorta Using CFD. Cardiovasc. Eng. Technol. 2018, 9, 582–596. [Google Scholar] [CrossRef] [PubMed]
- Bachman, N.P.; Terwoord, J.D.; Richards, J.C.; Braun, B.; Green, C.P.; Luckasen, G.J.; Dinenno, F.A. Comprehensive assessment of cardiovascular structure and function and disease risk in middle-aged ultra-endurance athletes. Atherosclerosis 2021, 320, 105–111. [Google Scholar] [CrossRef]
- Jiang, B.; Guo, N.; Ge, Y.; Zhang, L.; Oudkerk, M.; Xie, X. Development and application of artificial intelligence in cardiac imaging. Br. J. Radiol. 2020, 93, 20190812. [Google Scholar] [CrossRef]
- Mordini, F.E.; Hynes, C.F.; Amdur, R.L.; Panting, J.; Emerson, D.A.; Morrissette, J.; Goheen-Thomas, E.; Greenberg, M.D.; Trachiotis, G.D. Multi-parametric approach to predict prosthetic valve size using CMR and clinical data: Insights from SAVR. Int. J. Cardiovasc. Imaging 2021, 37, 2269–2276. [Google Scholar] [CrossRef]
- Hahn, L.D.; Baeumler, K.; Hsiao, A. Artificial intelligence and machine learning in aortic disease. Curr. Opin. Cardiol. 2021, 36, 695–703. [Google Scholar] [CrossRef]
- Rudzinski, P.N.; Leipsic, J.A.; Schoepf, U.J.; Dudek, D.; Schwarz, F.; Andreas, M.; Zlahoda-Huzior, A.; Thilo, C.; Renker, M.; Burt, J.R.; et al. CT in Transcatheter-delivered Treatment of Valvular Heart Disease. Radiology 2022, 304, 4–17. [Google Scholar] [CrossRef]
- Messroghli, D.R.; Moon, J.C.; Ferreira, V.M.; Grosse-Wortmann, L.; He, T.; Kellman, P.; Mascherbauer, J.; Nezafat, R.; Salerno, M.; Schelbert, E.B.; et al. Clinical recommendations for cardiovascular magnetic resonance mapping of T1, T2, T2 and extracellular volume: A consensus statement by the Society for Cardiovascular Magnetic Resonance (SCMR) endorsed by the European Association for Cardiovascular Imaging (EACVI). J. Cardiovasc. Magn. Reson. 2017, 19, 75. [Google Scholar] [CrossRef]
- Higashikawa, T.; Ichikawa, Y.; Ishida, M.; Kitagawa, K.; Hirano, T.; Sakuma, H. Assessment of coronary flow velocity reserve with phase-contrast cine magnetic resonance imaging in patients with heavy coronary calcification. Int. J. Cardiovasc. Imaging. 2019, 35, 897–905. [Google Scholar] [CrossRef] [PubMed]
- Peterson, P.G.; Berge, M.; Lichtenberger, J.P.; Hood, M.N.; Ho, V.B. Cardiac Imaging Modalities and Appropriate Use. Prim. Care Clin. Off. Pract. 2018, 45, 155–168. [Google Scholar] [CrossRef] [PubMed]
- Hsu, L.-Y.; Jacobs, M.; Benovoy, M.; Ta, A.D.; Conn, H.M.; Winkler, S.; Greve, A.M.; Chen, M.Y.; Shanbhag, S.M.; Bandettini, W.P.; et al. Diagnostic Performance of Fully Automated Pixel-Wise Quantitative Myocardial Perfusion Imaging by Cardiovascular Magnetic Resonance. JACC-Cardiovasc. Imaging 2018, 11, 697–707. [Google Scholar] [CrossRef] [PubMed]
- Oechtering, T.H.; Roberts, G.S.; Panagiotopoulos, N.; Wieben, O.; Roldán-Alzate, A.; Reeder, S.B. Abdominal applications of quantitative 4D flow MRI. Abdom. Radiol. 2022, 47, 3229–3250. [Google Scholar] [CrossRef]
- Sagmeister, F.; Weininger, M.; Herrmann, S.; Bernhardt, P.; Rasche, V.; Bauernschmitt, R.; Liebold, A.; Köstler, H.; Weidemann, F.; Beer, M. Extent of size, shape and systolic variability of the left ventricular outflow tract in aortic stenosis determined by phase-contrast MRI. Magn. Reson. Imaging 2018, 45, 58–65. [Google Scholar] [CrossRef] [PubMed]
- Goubergrits, L.; Hellmeier, F.; Neumann, D.; Mihalef, V.; Gulsun, M.A.; Chinali, M.; Secinaro, A.; Runte, K.; Schubert, S.; Berger, F.; et al. Patient-specific requirements and clinical validation of MRI-based pressure mapping: A two-center study in patients with aortic coarctation. J. Magn. Reson. Imaging 2019, 49, 81–89. [Google Scholar] [CrossRef]
- Lee, E.; Richards, B.; Lu, J.C.; Mahani, M.G.; Dorfman, A.L.; Balasubramanian, S.; Agarwal, P.P. Phase-Contrast Magnetic Resonance Quantification of Aortic Regurgitation in Patients with Turbulent Aortic Flow. J. Comput. Assist. Tomogr. 2019, 43, 317–322. [Google Scholar] [CrossRef]
- Budai, A.; Suhai, F.I.; Csorba, K.; Dohy, Z.; Szabo, L.; Merkely, B.; Vago, H. Automated Classification of Left Ventricular Hypertrophy on Cardiac MRI. Appl. Sci. 2022, 12, 4151. [Google Scholar] [CrossRef]
- Hassanabad, A.F.; Burns, F.; Bristow, M.S.; Lydell, C.; Howarth, A.G.; Heydari, B.; Gao, X.; Fedak, P.W.; White, J.A.; Garcia, J. Pressure drop mapping using 4D flow MRI in patients with bicuspid aortic valve disease: A novel marker of valvular obstruction. Magn. Reson. Imaging 2020, 65, 175–182. [Google Scholar] [CrossRef]
- Tarkin, J.M.; Ćorović, A.; Wall, C.; Gopalan, D.; Rudd, J.H. Rudd, Positron emission tomography imaging in cardiovascular disease. Heart 2020, 106, 1712–1718. [Google Scholar] [CrossRef]
- Ha, H.; Kvitting, J.E.; Dyverfeldt, P.; Ebbers, T. Validation of pressure drop assessment using 4D flow MRI-based turbulence production in various shapes of aortic stenoses. Magn. Reson. Med. 2019, 81, 893–906. [Google Scholar] [CrossRef]
- Celi, S.; Martini, N.; Pastormerlo, L.E.; Positano, V.; Berti, S. Multimodality imaging for interventional cardiology. Curr. Pharm. Des. 2017, 23, 3285–3300. [Google Scholar] [CrossRef]
- Chandrasekhar, S.; Laxminarayana, G.; Chakrapani, Y. Novel hybrid segmentation techniques for cardiac image processing in remote health care monitoring systems. J. Med. Imaging Health Inform. 2017, 7, 1153–1159. [Google Scholar] [CrossRef]
- Chen, H.; Ouyang, D.; Baykaner, T.; Jamal, F.; Cheng, P.; Rhee, J.-W. Artificial intelligence applications in cardio-oncology: Leveraging high dimensional cardiovascular data. Front. Cardiovasc. Med. 2022, 9, 941148. [Google Scholar] [CrossRef]
- Chen, Y.-C.; Wei, X.-E.; Lu, J.; Qiao, R.-H.; Shen, X.-F.; Li, Y.-H. Correlation between intracranial arterial calcification and imaging of cerebral small vessel disease. Front. Neurol. 2019, 10, 426. [Google Scholar] [CrossRef]
- Luo, Y.; Xu, L.; Qi, L. A cascaded FC-DenseNet and level set method (FCDL) for fully automatic segmentation of the right ventricle in cardiac MRI. Med. Biol. Eng. Comput. 2021, 59, 561–574. [Google Scholar] [CrossRef]
- Qiu, D.; Peng, L.; Ghista, D.N.; Wong, K.K.L. Left Atrial Remodeling Mechanisms Associated with Atrial Fibrillation. Cardiovasc. Eng. Technol. 2021, 12, 361–372. [Google Scholar] [CrossRef]
- Jiang, S.; Cao, T.; Yan, Y.; Yang, T.; Yuan, Y.; Deng, Q.; Wu, T.; Sun, J.; Wu, S.; Hao, Z.-L.; et al. Lenticulostriate artery combined with neuroimaging markers of cerebral small vessel disease differentiate the pathogenesis of recent subcortical infarction. J. Cereb. Blood Flow Metab. 2021, 41, 2105–2115. [Google Scholar] [CrossRef]
- Jeong, H.-G.; Kim, B.J.; Kim, T.; Kang, J.; Kim, J.Y.; Kim, J.; Kim, J.-T.; Park, J.-M.; Kim, J.G.; Hong, J.-H.; et al. Classification of cardioembolic stroke based on a deep neural network using chest radiographs. EBioMedicine 2021, 69, 103466. [Google Scholar] [CrossRef]
- Kagiyama, N.; Shrestha, S.; Farjo, P.D.; Sengupta, P.P. Artificial intelligence: Practical primer for clinical research in cardiovascular disease. J. Am. Heart Assoc. 2019, 8, e012788. [Google Scholar] [CrossRef]
- Pasteur-Rousseau, A.; Paul, J.-F. Artificial Intelligence and teleradiology in cardiovascular imaging by CT-Scan and MRI. Ann. Cardiol. Angeiol. 2021, 70, 339–347. [Google Scholar] [CrossRef]
- Simões, M.V.; Fernandes, F.; Marcondes-Braga, F.G.; Scheinberg, P.; Correia, E.d.B.; Rohde, L.E.P.; Bacal, F.; Alves, S.M.M.; Mangini, S.; Biolo, A.; et al. Position statement on diagnosis and treatment of cardiac amyloidosis—2021. Arq. Bras. Cardiol. 2021, 117, 561–598. [Google Scholar] [CrossRef]
- Zahisham, Z.; Lee, C.P.; Lim, K.M. Food Recognition with ResNet-50. In Proceedings of the 2020 IEEE 2nd International Conference on Artificial Intelligence in Engineering and Technology (IICAIET), Kota Kinabalu, Malaysia, 26–27 September 2020; pp. 1–5. [Google Scholar] [CrossRef]
- Gropler, R.J. In This Issue of the Journal. Circ. Cardiovasc. Imaging 2019, 12, e009851. [Google Scholar] [CrossRef]
- Nath, R.; Callahan, S.; Singam, N.; Stoddard, M.; Amini, A. IEEE, Accelerated Phase Contrast Magnetic Resonance Imaging via Deep Learning. In Proceedings of the 2020 IEEE 17th International Symposium on Biomedical Imaging (ISBI 2020), Iowa City, IA, USA, 3–7 April 2020; pp. 834–838. [Google Scholar]
- Wirth, R.; Hipp, J. CRISP-DM: Towards a standard process model for data mining. In Proceedings of the 4th International Conference on the Practical Applications of Knowledge Discovery and Data Mining, Manchester, UK, 11–13 April 2000; pp. 29–39. [Google Scholar]
- Dåderman, A.; Rosander, S. Evaluating Frameworks for Implementing Machine Learning in Signal Processing: A Comparative Study of CRISP-DM, SEMMA and KDD, Student Thesis, 2018. Available online: http://urn.kb.se/resolve?urn=urn:nbn:se:kth:diva-235408 (accessed on 25 September 2018).
- Detalhes do Projeto—Ciência-IUL—ISCTE-IUL. Available online: https://ciencia.iscte-iul.pt/projects/aplicacoes-moveis-baseadas-em-inteligencia-artificial-para-resposta-de-saude-publica/1567 (accessed on 6 October 2023).
- Andorno, R. The Oviedo Convention: A European Legal Framework at the Intersection of Human Rights and Health Law. J. Int. Biotechnol. Law 2005, 2, 133–143. [Google Scholar] [CrossRef]
- Varma, D.R. Managing DICOM images: Tips and tricks for the radiologist. Indian J. Radiol. Imaging 2012, 22, 4–13. [Google Scholar] [CrossRef]
- Khozeimeh, F.; Sharifrazi, D.; Izadi, N.H.; Joloudari, J.H.; Shoeibi, A.; Alizadehsani, R.; Tartibi, M.; Hussain, S.; Sani, Z.A.; Khodatars, M.; et al. RF-CNN-F: Random forest with convolutional neural network features for coronary artery disease diagnosis based on cardiac magnetic resonance. Sci. Rep. 2022, 12, 11178. [Google Scholar] [CrossRef]
- Maashi, M.; Alamro, H.; Mohsen, H.; Negm, N.; Mohammed, G.P.; Ahmed, N.A.; Ibrahim, S.S.; Alsaid, M.I. Modeling of Reptile Search Algorithm with Deep Learning Approach for Copy Move Image Forgery Detection. IEEE Access 2023, 11, 87297–87304. [Google Scholar] [CrossRef]
- Wang, R.; Lei, T.; Cui, R.; Zhang, B.; Meng, H.; Nandi, A.K. Medical image segmentation using deep learning: A survey. IET Image Process. 2022, 16, 1243–1267. [Google Scholar] [CrossRef]
- Deng, J.; Dong, W.; Socher, R.; Li, L.-J.; Li, K.; Fei-Fei, L. ImageNet: A large-scale hierarchical image database. In Proceedings of the 2009 IEEE Conference on Computer Vision and Pattern Recognition, Miami, FL, USA, 20–25 June 2009; pp. 248–255. [Google Scholar] [CrossRef]
- Sharma, S.; Guleria, K.; Tiwari, S.; Kumar, S. A deep learning based convolutional neural network model with VGG16 feature extractor for the detection of Alzheimer Disease using MRI scans. Meas. Sens. 2022, 24, 100506. [Google Scholar] [CrossRef]
- Divya, S.; Suresh, L.P.; John, A. A Deep Transfer Learning framework for Multi Class Brain Tumor Classification using MRI. In Proceedings of the 2020 2nd International Conference on Advances in Computing, Communication Control and Networking (ICACCCN), Bengaluru, India, 18–19 December 2020; pp. 283–290. [Google Scholar] [CrossRef]
- Gülmez, B. A novel deep neural network model based Xception and genetic algorithm for detection of COVID-19 from X-ray images. Ann. Oper. Res. 2023, 328, 617–641. [Google Scholar] [CrossRef]
- Rismiyati; Endah, S.N.; Khadijah; Shiddiq, I.N. Xception Architecture Transfer Learning for Garbage Classification. In Proceedings of the 2020 4th International Conference on Informatics and Computational Sciences (ICICoS), Semarang, Indonesia, 10–11 November 2020; pp. 1–4. [Google Scholar] [CrossRef]
- Mascarenhas, S.; Agarwal, M. A comparison between VGG16, VGG19 and ResNet50 architecture frameworks for Image Classification. In Proceedings of the 2021 International Conference on Disruptive Technologies for Multi-Disciplinary Research and Applications (CENTCON), Bengaluru, India, 19–21 November 2021; pp. 96–99. [Google Scholar] [CrossRef]
- Zhang, Y.; Liu, Y.-L.; Nie, K.; Zhou, J.; Chen, Z.; Chen, J.-H.; Wang, X.; Kim, B.; Parajuli, R.; Mehta, R.S.; et al. Deep Learning-based Automatic Diagnosis of Breast Cancer on MRI Using Mask R-CNN for Detection Followed by ResNet50 for Classification. Spec. Issue Womens Imaging Focus 2023, 30, S161–S171. [Google Scholar] [CrossRef] [PubMed]
- Kim, H.E.; Cosa-Linan, A.; Santhanam, N.; Jannesari, M.; Maros, M.E.; Ganslandt, T. Transfer learning for medical image classification: A literature review. BMC Med. Imaging 2022, 22, 69. [Google Scholar] [CrossRef]
- Gholamy, A.; Kreinovich, V.; Kosheleva, O. Why 70/30 or 80/20 Relation between Training and Testing Sets: A Pedagogical Explanation, 2018. Available online: https://scholarworks.utep.edu/cs_techrep/1209 (accessed on 6 October 2023).
- Calculating The Batch Size in Keras—Modeladvisor.com. Available online: https://www.modeladvisor.com/calculating-the-batch-size-in-keras/ (accessed on 12 October 2023).
- Chiang, C.-H.; Weng, C.-L.; Chiu, H.-W. Automatic classification of medical image modality and anatomical location using convolutional neural network. PLoS ONE 2021, 16, e0253205. [Google Scholar] [CrossRef]










| Topic | References | # Doc | % Doc |
|---|---|---|---|
| Aortic Disease/Aortic Stenosis | [1,2,3,5,6,8,10,11,12,13,14,15,16,17,18,19,20,21,22,23,24,25,26,27,28,29,30,31,32,33,34,35] | 32 | 21% |
| MRI | [1,2,3,6,8,10,11,15,16,17,18,19,20,21,22,23,24,25,26,27,28,29,30,31,32,33,36,37,38,39,40] | 31 | 20% |
| Artificial Intelligence | [1,3,6,11,13,14,18,20,26,30,32,35,36,38,41,42,43,44,45,46] | 20 | 13% |
| Tomography Scan | [6,11,12,14,17,18,21,23,24,34,36,37,39,41] | 14 | 9% |
| Echocardiography | [1,6,21,27,34,35,36,39] | 8 | 5% |
| Early Detection/Prevention | [5,10,13,19,20,36,47] | 7 | 4% |
| Test | Accuracy | Recall | Precision | F1-Score |
|---|---|---|---|---|
| 0.77 | 0.77 | 0.77 | 0.77 |
| 0.78 | 0.78 | 0.78 | 0.78 |
| 0.81 | 0.81 | 0.81 | 0.81 |
| Test | Models | Recall | Precision | F1-Score |
|---|---|---|---|---|
| 1. Original Dataset | VGG16 | 0.5 | 0.5 | 0.65 |
| VGG16-FT | 0.75 | 0.88 | 0.81 | |
| ResNet50 | 0.6 | 0.86 | 0.71 | |
| ResNet50-FT | 0.8 | 0.94 | 0.86 | |
| Xception | 0.85 | 0.85 | 0.85 | |
| Xception-FT | 0.546 | 0.586 | 0.565 | |
| 2. Rotation, Flip, and Translation | VGG16 | 0.9 | 0.92 | 0.91 |
| VGG16-FT | 0.85 | 0.96 | 0.9 | |
| ResNet50 | 0.88 | 0.97 | 0.93 | |
| ResNet50-FT | 0.93 | 1 | 0.96 | |
| Xception | 0.86 | 0.86 | 0.86 | |
| Xception-FT | 0.73 | 0.87 | 0.8 | |
| 3. Rotation, Flip, Translation, and Brightness | VGG16 | 0.95 | 0.96 | 0.95 |
| VGG16-FT | 0.85 | 0.98 | 0.91 | |
| ResNet50 | 0.82 | 0.95 | 0.88 | |
| ResNet50-FT | 0.89 | 0.96 | 0.92 | |
| Xception | 0.86 | 0.86 | 0.86 | |
| Xception-FT | 0.64 | 0.87 | 0.74 |
Disclaimer/Publisher’s Note: The statements, opinions and data contained in all publications are solely those of the individual author(s) and contributor(s) and not of MDPI and/or the editor(s). MDPI and/or the editor(s) disclaim responsibility for any injury to people or property resulting from any ideas, methods, instructions or products referred to in the content. |
© 2023 by the authors. Licensee MDPI, Basel, Switzerland. This article is an open access article distributed under the terms and conditions of the Creative Commons Attribution (CC BY) license (https://creativecommons.org/licenses/by/4.0/).
Share and Cite
Elvas, L.B.; Águas, P.; Ferreira, J.C.; Oliveira, J.P.; Dias, M.S.; Rosário, L.B. AI-Based Aortic Stenosis Classification in MRI Scans. Electronics 2023, 12, 4835. https://doi.org/10.3390/electronics12234835
Elvas LB, Águas P, Ferreira JC, Oliveira JP, Dias MS, Rosário LB. AI-Based Aortic Stenosis Classification in MRI Scans. Electronics. 2023; 12(23):4835. https://doi.org/10.3390/electronics12234835
Chicago/Turabian StyleElvas, Luís B., Pedro Águas, Joao C. Ferreira, João Pedro Oliveira, Miguel Sales Dias, and Luís Brás Rosário. 2023. "AI-Based Aortic Stenosis Classification in MRI Scans" Electronics 12, no. 23: 4835. https://doi.org/10.3390/electronics12234835
APA StyleElvas, L. B., Águas, P., Ferreira, J. C., Oliveira, J. P., Dias, M. S., & Rosário, L. B. (2023). AI-Based Aortic Stenosis Classification in MRI Scans. Electronics, 12(23), 4835. https://doi.org/10.3390/electronics12234835

