MULTforAD: Multimodal MRI Neuroimaging for Alzheimer’s Disease Detection Based on a 3D Convolution Model
Abstract
1. Introduction
- A robust three-dimensional CNN is proposed with three distinct classifiers (Softmax, SVM, and RF) for detecting multimodal-fused features for the prediction of AD;
- A new method of image fusion, MULTforAD, is presented and evaluated for brain MRI information preprocessing and fusing, which has improved network classification and performance in AD diagnosis;
- Multiple features and details for patients who are MCI or AD were collected and analyzed using the MULTforAD method, making the results easier to interpret.
2. Literature Review
3. Proposed MULTforAD Image Fusion
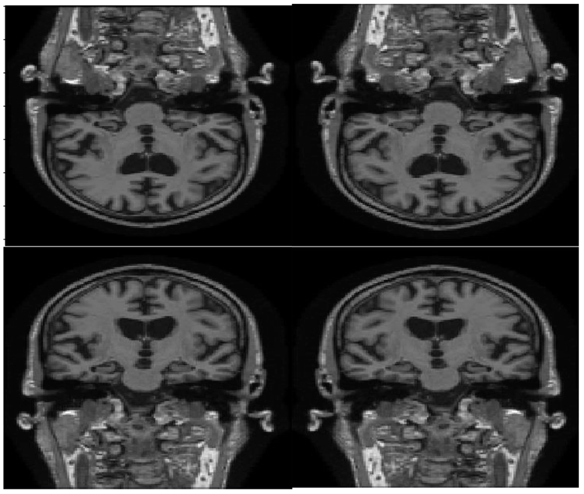
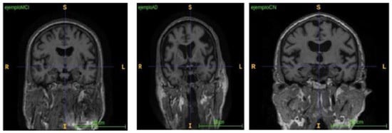
3.1. Multimodal MRI Data Collection
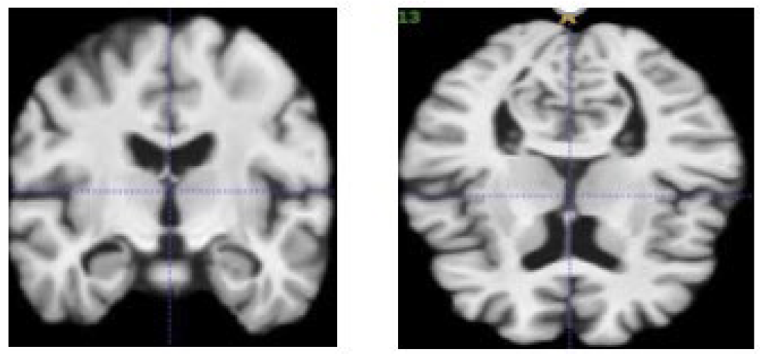
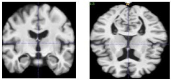
3.2. Image Fusing and Preprocessing
3.3. 3D-Convolutional Neural Network
3.3.1. Softmax
3.3.2. SVM
3.3.3. Random Forest
4. Experimental Result
4.1. Experimental Setup
4.2. Performance Evaluation Metrics
4.3. Experiments and Results
4.3.1. Image Fusion Performance
4.3.2. 3D-CNN Network Performance
4.3.3. Comparison with the State-of-the-Art Models
4.4. Discussions
- (1)
- The method fused 5982 MRI neuroimages, allowing the model to learn all the features needed to distinguish AD from CN samples accurately and quickly accurately;
- (2)
- The suggested method provides anatomical and metabolic information without pre-trained models or transfers learning. In addition, it reduces noise with the scanned brain patterns based on the multimodal image fusion method and 3D-CNN;
- (3)
- Using lite models that comprise a smaller number of convolutional blocks and training parameters, the suggested model achieved the highest classification accuracy among the recent multimodal-based AD classification methods with 98.8593% accuracy.
- (1)
- Increasing the size of the input neuroimaging raises the proposed model’s computational complexity, and storage costs increase as well;
- (2)
- Designing an unbiased neuroimaging dataset is tricky and generates sensitivity and specificity artifacts. Therefore, incorporating additional tissue filters for neuroimaging could help overcome this limitation.
5. Conclusions
Author Contributions
Funding
Data Availability Statement
Acknowledgments
Conflicts of Interest
References
- Cunnane, S.; Nugent, S.; Roy, M.; Courchesne-Loyer, A.; Croteau, E.; Tremblay, S.; Castellano, A.; Pifferi, F.; Bocti, C.; Paquet, N.; et al. Brain fuel metabolism, aging, and Alzheimer’s disease. Nutrition 2011, 27, 3–20. [Google Scholar] [CrossRef] [PubMed]
- Schäfer, A.; zu Schwabedissen, H.M.; Grube, M. Expression and function of organic anion transporting polypeptides in the human brain: Physiological and pharmacological implications. Pharmaceutics 2021, 13, 834. [Google Scholar] [CrossRef] [PubMed]
- Scuderi, C.; Valenza, M. How useful are biomarkers for the diagnosis of Alzheimer’s disease and especially for its therapy? Neural Regen. Res. 2022, 17, 2205. [Google Scholar] [CrossRef] [PubMed]
- Mansour, H.M.; Fawzy, H.M.; El-Khatib, A.S.; Khattab, M.M. Potential Repositioning of Anti-cancer EGFR Inhibitors in Alzheimer’s Disease: Current Perspectives and Challenging Prospects. Neuroscience 2021, 469, 191–196. [Google Scholar] [CrossRef]
- Quintas-Neves, M.; Teylan, M.A.; Morais-Ribeiro, R.; Almeida, F.; Mock, C.N.; Kukull, W.A.; Crary, J.F.; Oliveira, T.G. Divergent magnetic resonance imaging atrophy patterns in Alzheimer’s disease and primary age-related tauopathy. Neurobiol. Aging 2022, 117, 1. [Google Scholar] [CrossRef]
- Zhou, Z.; Yu, L.; Tian, S.; Xiao, G. Diagnosis of Alzheimer’s disease using 2D dynamic magnetic resonance imaging. J. Ambient Intell. Humaniz. Comput. 2022, 1–11. [Google Scholar] [CrossRef]
- Odusami, M.; Maskeliūnas, R.; Damaševičius, R.; Krilavičius, T. Analysis of features of alzheimer’s disease: Detection of early stage from functional brain changes in magnetic resonance images using a fine-tuned ResNet18 network. Diagnostics 2021, 11, 1071. [Google Scholar] [CrossRef]
- Lodha, P.; Talele, A.; Degaonkar, K. Diagnosis of alzheimer’s disease using machine learning. In Proceedings of the 2018 Fourth International Conference on Computing Communication Control and Automation (ICCUBEA), Pune, India, 6–18 August 2018; IEEE: Piscataway, NJ, USA, 2019; pp. 1–4. [Google Scholar]
- Ismail, W.N.; Hassan, M.M.; Alsalamah, H.A.; Fortino, G. CNN-based health model for regular health factors analysis in internet-of-medical things environment. IEEE Access 2020, 8, 52541–52549. [Google Scholar] [CrossRef]
- Kumar, Y.; Koul, A.; Singla, R.; Ijaz, M.F. Artificial intelligence in disease diagnosis: A systematic literature review, synthesizing framework and future research agenda. J. Ambient Intell. Humaniz. Comput. 2022, 1–28. [Google Scholar] [CrossRef]
- Yuvalı, M.; Yaman, B.; Tosun, Ö. Classification Comparison of Machine Learning Algorithms Using Two Independent CAD Datasets. Mathematics 2022, 10, 311. [Google Scholar] [CrossRef]
- Alzheimer’s Association. 2019 Alzheimer’s disease facts and figures. Alzheimer’s Dement. 2019, 15, 321–387. [Google Scholar] [CrossRef]
- Ullah, Z.; Farooq, M.U.; Lee, S.-H.; An, D. A hybrid image enhancement based brain MRI images classification technique. Med. Hypotheses 2020, 143, 109922. [Google Scholar] [CrossRef]
- Amini, M.; Pedram, M.M.; Moradi, A.; Jamshidi, M.; Ouchani, M. GC-CNNnet: Diagnosis of Alzheimer’s Disease with PET Images Using Genetic and Convolutional Neural Network. Comput. Intell. Neurosci. 2022, 2022, 7413081. [Google Scholar] [CrossRef]
- Venugopalan, J.; Tong, L.; Hassanzadeh, H.R.; Wang, M.D. Multimodal deep learning models for early detection of Alzheimer’s disease stage. Sci. Rep. 2021, 11, 3254. [Google Scholar] [CrossRef]
- Hazarika, R.A.; Kandar, D.; Maji, A.K. An experimental analysis of different deep learning based models for Alzheimer’s disease classification using brain magnetic resonance images. J. King Saud Univ.-Comput. Inf. Sci. 2021, 34, 5876–8598. [Google Scholar] [CrossRef]
- Li, Y.; Wang, Z.; Yin, L.; Zhu, Z.; Qi, G.; Liu, Y. X-Net: A dual encoding–decoding method in medical image segmentation. Vis. Comput. 2021, 1–11. [Google Scholar] [CrossRef]
- Ren, S.; He, K.; Girshick, R.; Sun, J. Faster r-cnn: Towards real-time object detection with region proposal networks. IEEE Trans. Pattern Anal. Mach. Intell. 2017, 39, 1137–1149. [Google Scholar] [CrossRef]
- Zhu, Z.; Yin, H.; Chai, Y.; Li, Y.; Qi, G. A novel multimodality image fusion method based on image decomposition and sparse representation. Inf. Sci. 2018, 432, 516–529. [Google Scholar] [CrossRef]
- Silveira, M.; Marques, J. Boosting Alzheimer disease diagnosis using PET images. In Proceedings of the 2010 20th International Conference on Pattern Recognition, Istanbul, Turkey, 23–26 August 2010; IEEE: Piscataway, NJ, USA, 2010; pp. 2556–2559. [Google Scholar]
- Liu, M.; Cheng, D.; Yan, W.; Alzheimer’s Disease Neuroimaging Initiative. Classification of Alzheimer’s disease by combination of convolutional and recurrent neural networks using FDG-PET images. Front. Neuroin. Form. 2018, 12, 35. [Google Scholar] [CrossRef]
- Chételat, G. Multimodal neuroimaging in Alzheimer’s disease: Early diagnosis, physiopathological mechanisms, and impact of lifestyle. J. Alzheimer’s Dis. 2018, 64, S199–S211. [Google Scholar] [CrossRef]
- Lin, A.-L.; Laird, A.R.; Fox, P.T.; Gao, J.-H. Multimodal MRI neuroimaging biomarkers for cognitive normal adults, amnestic mild cognitive impairment, and Alzheimer’s disease. Neurol. Res. Int. 2012, 2012, 907409. [Google Scholar] [CrossRef] [PubMed][Green Version]
- Biswas, M.; Mahbub, M.; Miah, M.; Mozid, A. An Enhanced Deep Convolution Neural Network Model to Diagnose Alzheimer’s Disease Using Brain Magnetic Resonance Imaging. In International Conference on Recent Trends in Image Processing and Pattern Recognition; Springer: Cham, Switzerland, 2022; pp. 42–52. [Google Scholar]
- Kang, J.; Ullah, Z.; Gwak, J. Mri-based brain tumor classification using ensemble of deep features and machine learning classifiers. Sensors 2021, 21, 2222. [Google Scholar] [CrossRef] [PubMed]
- Ullah, Z.; Usman, M.; Jeon, M.; Gwak, J. Cascade multiscale residual attention cnns with adaptive roi for automatic brain tumor segmentation. Inf. Sci. 2022, 608, 1541–1556. [Google Scholar] [CrossRef]
- Baghdadi, N.A.; Malki, A.; Balaha, H.M.; Badawy, M.; Elhosseini, M. A3C-TL-GTO: Alzheimer Automatic Accurate Classification Using Transfer Learning and Artificial Gorilla Troops Optimizer. Sensors 2022, 22, 4250. [Google Scholar] [CrossRef]
- Kong, Z.; Zhang, M.; Zhu, W.; Yi, Y.; Wang, T.; Zhang, B. Multimodal data Alzheimer’s disease detection based on 3D convolution. Biomed. Signal Process. Control 2022, 75, 103565. [Google Scholar] [CrossRef]
- Kaur, S.; Gupta, S.; Singh, S.; Gupta, I. Detection of Alzheimer’s disease using deep convolutional neural network. Int. J. Image Graph. 2022, 22, 2140012. [Google Scholar] [CrossRef]
- Gorgolewski, K.J.; Auer, T.; Calhoun, V.D.; Craddock, R.C.; Das, S.; Duff, E.P.; Flandin, G.; Ghosh, S.S.; Glatard, T.; Halchenko, Y.O.; et al. The brain imaging data structure, a format for organizing and describing outputs of neuroimaging experiments. Sci. Data 2016, 3, 160044. [Google Scholar] [CrossRef]
- Plataniotis, K.; Venetsanopoulos, A.N. Color Image Processing and Applications; Springer Science & Business Media: Berlin/Heidelberg, Germany, 2000. [Google Scholar] [CrossRef]
- Fatima, A.; Shahid, A.R.; Raza, B.; Madni, T.M.; Janjua, U.I. State-of-the-art traditional to the machine-and deep-learning-based skull stripping techniques, models, and algorithms. J. Digit. Imaging 2020, 33, 1443–1464. [Google Scholar] [CrossRef]
- Piotrowski, A.P.; Napiorkowski, J.J. A comparison of methods to avoid overfitting in neural networks training in the case of catchment runoff modelling. J. Hydrol. 2013, 476, 97–111. [Google Scholar] [CrossRef]
- Miah, Y.; Prima, C.N.E.; Seema, S.J.; Mahmud, M.; Kaiser, M.S. Performance comparison of machine learning techniques in identifying dementia from open access clinical datasets. In Advances on Smart and Soft Computing; Springer: Singapore, 2021; pp. 79–89. [Google Scholar]
- Soliman, S.A.; El-Dahshan, E.-S.A.; Salem, A.-B.M. Deep Learning 3D Convolutional Neural Networks for Predicting Alzheimer’s Disease (ALD). In New Approaches for Multidimensional Signal Processing; Springer: Singapore, 2022; pp. 151–162. [Google Scholar]
- Liu, S.; Liu, S.; Cai, W.; Che, H.; Pujol, S.; Kikinis, R.; Feng, D.; Fulham, M.J. Multimodal neuroimaging feature learning for multi-class diagnosis of Alzheimer’s disease. IEEE Trans. Biomed. Eng. 2014, 62, 1132–1140. [Google Scholar] [CrossRef]
- Tong, T.; Gray, K.; Gao, Q.; Chen, L.; Rueckert, D.; Alzheimer’s Disease Neuroimaging Initiative. Multimodal classification of Alzheimer’s disease using nonlinear graph fusion. Pattern Recognit. 2017, 63, 171–181. [Google Scholar] [CrossRef]
- Shao, W.; Peng, Y.; Zu, C.; Wang, M.; Zhang, D.; Alzheimer’s Disease Neuroimaging Initiative. Hypergraph based multi-task feature selection for multimodal classification of Alzheimer’s disease. Comput. Med. Imaging Graph. 2020, 80, 101663. [Google Scholar] [CrossRef]
- Raees, P.C.M.; Thomas, V. Automated detection of Alzheimer’s Disease using Deep Learning in MRI. J. Phys. Conf. Ser. 2021, 1921, 012024. [Google Scholar] [CrossRef]
- Ji, H.; Liu, Z.; Yan, W.Q.; Klette, R. Early diagnosis of Alzheimer’s disease using deep learning. In Proceedings of the 2nd International Conference on Control and Computer Vision, Jeju Island, Republic of Korea, 15–18 June 2019; Association for Computing Machinery: New York, NY, USA, 2019; pp. 87–91. [Google Scholar]














| Reference | Method | Pros | Cons |
|---|---|---|---|
| Liu et al. [21] | A pre-trained 2D-CNN deep learning model ResNet50 used to extract FDG-PET 3D image features. |
|
|
| Biswas et al. [24]. | An MRI 3D segmentation method using a 3D fully convolutional neural network. | A lightweight 3D convolutional model that has improved performance considerably. |
|
| Li et al. [17]. | An X-shaped network structure (X-Net) to segment the AD medical images. | The devised network structure enhances the classification task compared to pure convolutional networks. |
|
| Ren et al. [18] | A faster RCNN for AD detection based on a supervised region proposal network (RPN) that predicts the important regions in the input medical image. | The model achieves an excellent result for local and global features extraction from the fused images. |
|
| Baghdadi [27] | MRI scans from an Alzheimer’s patient are analyzed using CNN architectures and solved as an optimization problem by gorilla troops optimizers. | Automatic accurate classification using transfer learning and artificial gorilla troops optimizer. |
|
| Kang et al. [25] | Brain magnetic resonance images (MR) are analyzed using several pre-trained deep convolutional neural networks. Afterwards, several machine learning classifiers are used to evaluate them. | The performance of the system has been significantly improved by an ensemble of deep features. |
|
| Ullah et al. [26] | Multiscale residual attention-UNet (MRA-UNet) is proposed as a new fully automatic segmentation technique for brain tumor regions using Cascade multiscale residual attention CNNs. |
| Attention-based models take longer training times as they become more complex (in terms of parameters). |
| Dataset | Dataset Link | Number of Samples |
|---|---|---|
| Kaggle | https://www.kaggle.com/datasets/sachinkumar413/alzheimer-mri-dataset (accessed on 12 January 2022) | 897 |
| ADNI | https://ida.loni.usc.edu/login.jsp?project=ADNI&page=HOME (accessed on 30 January 2022) | 4296 |
| OASIS | https://www.oasis-brains.org/#data (accessed on 5 February 2022) | 789 |
| Total | 5982 |
| Layer (Type) | Output Shape | Parameters (Sum of Weights and Biases) |
|---|---|---|
| Image Input layer | ([208, 176, 3]) | 2688 |
| conv3d_1(conv3D) | (None, 46, 45, 28, 128) | 331,904 |
| maxPooling3d _1 (MaxPooling3D) | (None, 21, 21, 13, 256) | 0 |
| conv3d_2(conv3D) | (None, 19, 19, 11, 324) | 2,239,812 |
| maxPooling3d_2 (MaxPooling3D) | (None, 47, 47, 30, 96) | |
| conv3d _3 (conv3D) | (None, 17, 17, 0, 324) | 2,834,676 |
| max_pooling3d _3 (MaxPooling3D) | (None, 8, 8, 4, 324) | 0 |
| Flatten | 5184 | |
| Dense_1 | 512 | 2,645,720 |
| Dropout_1 | 0 | |
| Dense_2 | 256 | 1,313,230 |
| Dropout_2 | ||
| Batch Normalization | 512 | |
| Dense_3 | 128 | 32,890 |
| Dropout_3 | 0 | |
| Dense_4 | 64 | 8206 |
| Dropout_4 | 0 |
| Modalities | Softmax Layer | SVM Layer | RF Layer | |||||||||
|---|---|---|---|---|---|---|---|---|---|---|---|---|
| ACC | SPE | SEN | F1 | ACC | SPE | SEN | F1 | ACC | SPE | SEN | F1 | |
| Unimodal MRI | 92.10 ± 5.8 | 89.13 ± 9.7 | 94.27 ± 4.1 | 92.10 ± 2.8 | 89.80 ± 4.7 | 86.31 ± 12.0 | 91.97 ± 5.5 | 84.28 ± 2.7 | 79.46 ± 9.4 | 80.32 ± 7.1 | 69.15 ± 10.7 | 79.00 ± 1.4 |
| Proposed image fusion MRI | 93.21 ± 5.0 | 91.43 ± 4.9 | 95.42 ± 2.5 | 98 ± 1.2 | 87.67 ± 3.1 | 85.63 ± 7.8 | 89.97 ± 3 | 88.1± 1.4 | 81.21 ± 4.8 | 83.67 ± 2.1 | 79.2 ± 6.1 | 83 ± 2.2 |
| K = 100 | Fold 1 | Fold 2 | Fold 3 | Fold 4 | Fold 5 | Fold 6 | Fold 7 | Fold 8 | Fold 9 | Fold 10 |
|---|---|---|---|---|---|---|---|---|---|---|
| Performance | ||||||||||
| ACC | 100% | 98.2% | 98.6% | 99% | 97% | 98% | 99.1% | 97.4% | 100% | 100% |
| SEN | 99% | 100% | 88% | 100% | 95% | 97% | 98% | 97% | 95% | 94% |
| SPE | 85.9% | 88.5% | 79.2% | 84% | 85.9% | 88.5% | 79.2% | 84% | 85.9% | 88.5% |
| F1 | 98.2% | 98% | 97.1% | 99.2% | 98% | 96.8% | 94.7% | 100% | 100% | 98.9% |
| K = 100 | Fold 1 | Fold 2 | Fold 3 | Fold 4 | Fold 5 | Fold 6 | Fold 7 | Fold 8 | Fold 9 | Fold 10 |
|---|---|---|---|---|---|---|---|---|---|---|
| Performance | ||||||||||
| ACC | 97% | 95.8% | 94% | 97.3% | 99.7% | 96% | 97% | 98% | 95.5% | 100% |
| SEN | 100% | 82% | 92.7% | 89.% | 91% | 92% | 78.8% | 88% | 91% | 92% |
| SPE | 85.9% | 88.5% | 79.2% | 84% | 85.9% | 88.5% | 79.2% | 100% | 85.9% | 88.5% |
| F1 | 98.2% | 97.1% | 96.1% | 99.2% | 98% | 96.8% | 94.4% | 79.1% | 100% | 98.9% |
| K = 100 | Fold 1 | Fold 2 | Fold 3 | Fold 4 | Fold 5 | Fold 6 | Fold 7 | Fold 8 | Fold 9 | Fold 10 |
|---|---|---|---|---|---|---|---|---|---|---|
| Performance | ||||||||||
| ACC | 97% | 98.2% | 88.7% | 89% | 87% | 96% | 88% | 98% | 91% | 92% |
| SEN | 98% | 92% | 98% | 88% | 91% | 97% | 91% | 92% | 88% | 88% |
| SPE | 85.9% | 88.5% | 79.2% | 84% | 85.9% | 88.5% | 85.9% | 88.5% | 79.2% | 84% |
| F1 | 81% | 92% | 98% | 88% | 98% | 92% | 91% | 92% | 98% | 88% |
| Ref | Sample Size | Methodology | Experimental Materials | AD:NC Classification Accuracy |
|---|---|---|---|---|
| [28] | Themes for AD, MCI, and NC are 111, 129, and 130, respectively | 3D-CNN | Multimodal MRI + PET | 93.21 |
| Single-source MRI images | 94.5 | |||
| [35] | Themes for [AD, NC] are 741 [427, 314] + 708 [466, 243] | ResNet50-Softmax, ResNet50-SVM, and ResNet50-RF | Single-source MRI images | 85.7% to 99% |
| [36] | 758 MR, including 180 AD, 160 cMCI, 214 ncMCI subjects, and 204 normal | Pre-Training Stacked Auto-Encoders | MRI + PET | 91.4 |
| Single-source MRI images | 93.67 | |||
| [37] | 37 AD, 35 NC, 75 MCI with (239,304 features | Manifold learning techniques | MRI + PET + CSF + Genetic | 91.8 |
| Single-source MRI images | 91 | |||
| [38] | 626 FDG-PET scans and 2402 MRI | Multimodal and Multiscale stacked-autoencoder (SAE) | MRI + PET | 92.51% |
| Single-source MRI images | 75.44 (7.74) | |||
| [27] | 17,976 AD, 138,105 NC, and 70,076 MCI | Hybrid (GTO + DL) pre-trained CNNs | Alzheimer’s Dataset +Neuroimaging Initiative (ADNI) | 96.25–96.65% |
| [39] | 46 MCI, 25 AD, and 40 Normal NC | 3D-DNN models and SVM | Single-source MRI images | 80–90% |
| [40] | 179 AD, 254 MCI, and 182 NC | An ensemble learning method with three base classifiers, eResNet50, eNASNet, and eMobileNet | Single-source MRI images | 98.59 |
| Proposed method | 5982 (1896 AD and 4086 NC) | 3D-CNN + Softmax | Multimodal MRI | 98.21% |
| 3D-CNN + SVM | 91% | |||
| 3D-CNN + RF | 85.9% |
Publisher’s Note: MDPI stays neutral with regard to jurisdictional claims in published maps and institutional affiliations. |
© 2022 by the authors. Licensee MDPI, Basel, Switzerland. This article is an open access article distributed under the terms and conditions of the Creative Commons Attribution (CC BY) license (https://creativecommons.org/licenses/by/4.0/).
Share and Cite
Ismail, W.N.; Rajeena P.P, F.; Ali, M.A.S. MULTforAD: Multimodal MRI Neuroimaging for Alzheimer’s Disease Detection Based on a 3D Convolution Model. Electronics 2022, 11, 3893. https://doi.org/10.3390/electronics11233893
Ismail WN, Rajeena P.P F, Ali MAS. MULTforAD: Multimodal MRI Neuroimaging for Alzheimer’s Disease Detection Based on a 3D Convolution Model. Electronics. 2022; 11(23):3893. https://doi.org/10.3390/electronics11233893
Chicago/Turabian StyleIsmail, Walaa N., Fathimathul Rajeena P.P, and Mona A. S. Ali. 2022. "MULTforAD: Multimodal MRI Neuroimaging for Alzheimer’s Disease Detection Based on a 3D Convolution Model" Electronics 11, no. 23: 3893. https://doi.org/10.3390/electronics11233893
APA StyleIsmail, W. N., Rajeena P.P, F., & Ali, M. A. S. (2022). MULTforAD: Multimodal MRI Neuroimaging for Alzheimer’s Disease Detection Based on a 3D Convolution Model. Electronics, 11(23), 3893. https://doi.org/10.3390/electronics11233893

