Characterization of Macrophages and TNF-α in Cleft Affected Lip Tissue
Abstract
1. Introduction
2. Materials and Methods
2.1. Information about the Patients
2.2. Immunohistochemical Analysis
2.3. Statistical Analysis
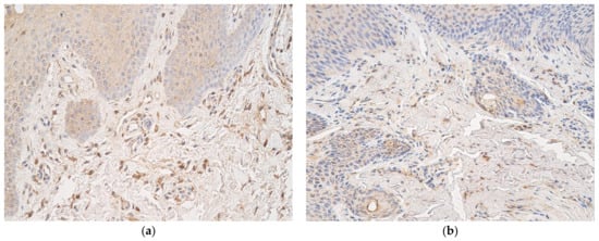
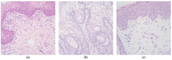
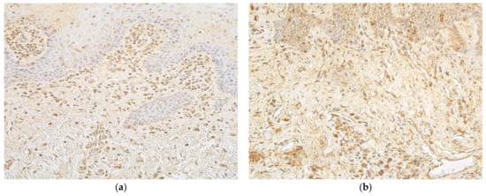
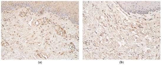
3. Results
4. Discussion
5. Conclusions
Author Contributions
Funding
Institutional Review Board Statement
Informed Consent Statement
Data Availability Statement
Acknowledgments
Conflicts of Interest
References
- Sadler, T.W. Langman’s Medical Embryology, 12th ed.; Wolters Kluwer Health; Lippincott Williams & Wilkins: Philadelphia, PA, USA, 2012; pp. 275–282. [Google Scholar]
- Chigurupati, R.; Heggie, A.; Bonanthaya, K. Cleft Lip and Palate: An Overview. In Oral and Maxillofacial Surgery, 1st ed.; Chapter 45; Kahnberg, K.E., Ed.; Wiley-Blackwell: Chichester, UK, 2010; pp. 945–948. [Google Scholar]
- Moreno, L.M.; Arcos-Burgos, M.; Marazita, M.L.; Krahn, K.; Maher, B.S.; Cooper, M.E.; Valencia-Ramirez, C.R.; Lidral, A.C. Genetic analysis of candidate loci in non-syndromic cleft lip families from antioquia-Colombia and Ohio. Am. J. Med. Genet. 2004, 125A, 135–144. [Google Scholar] [CrossRef] [PubMed]
- Costa, B.; Lima, J.E.D.; Gomide, M.R.; Rosa, O.P.D. Clinical and microbiological evaluation of the periodontal status of children with unilateral complete cleft lip and palate. Cleft Palate Craniofacial J. 2003, 40, 585–589. [Google Scholar] [CrossRef] [PubMed]
- Chen, Y.N.; Hu, M.R.; Wang, L.; Chen, W.D. Macrophage M1/M2 polarization. Eur. J. Pharmacol. 2020, 877, 173090. [Google Scholar] [CrossRef]
- Hughes, C.E.; Benson, R.A.; Bedaj, M.; Maffia, P. Antigen-Presenting Cells and Antigen Presentation in Tertiary Lymphoid Organs. Front. Immunol. 2016, 7, 481. [Google Scholar] [CrossRef] [PubMed]
- Mills, C.D. M1 and M2 Macrophages: Oracles of Health and Disease. Crit. Rev. Immunol. 2012, 32, 463–488. [Google Scholar] [CrossRef]
- Xu, W.; Zhao, X.W.; Daha, M.R.; van Kooten, C. Reversible differentiation of pro- and anti-inflammatory macrophages. Mol. Immunol. 2013, 53, 179–186. [Google Scholar] [CrossRef]
- Cohen, H.B.; Mosser, D.M. Extrinsic and intrinsic control of macrophage inflammatory responses. J. Leukoc. Biol. 2013, 94, 913–919. [Google Scholar] [CrossRef]
- Atri, C.; Guerfali, F.Z.; Laouini, D. Role of Human Macrophage Polarization in Inflammation during Infectious Diseases. Int. J. Mol. Sci. 2018, 19, 1801. [Google Scholar] [CrossRef]
- Tarique, A.A.; Logan, J.; Thomas, E.; Holt, P.G.; Sly, P.D.; Fantino, E. Phenotypic, Functional, and Plasticity Features of Classical and Alternatively Activated Human Macrophages. Am. J. Respir. Cell Mol. Biol. 2015, 53, 676–688. [Google Scholar] [CrossRef]
- Iqbal, S.; Kumar, A. Characterization of In vitro Generated Human Polarized Macrophages. J. Clin. Cell. Immunol. 2015, 6, 380. [Google Scholar] [CrossRef]
- Huang, X.; Li, Y.; Fu, M.G.; Xin, H.B. Polarizing Macrophages In Vitro. Methods Mol. Biol. 2018, 1784, 119–126. [Google Scholar] [CrossRef]
- Ley, K. M1 Means Kill; M2 Means Heal. J. Immunol. 2017, 199, 2191–2193. [Google Scholar] [CrossRef]
- Madore, A.M.; Perron, S.; Turmel, V.; Laviolette, M.; Bissonnette, E.Y.; Laprise, C. Alveolar macrophages in allergic asthma: An expression signature characterized by heat shock protein pathways. Hum. Immunol. 2010, 71, 144–150. [Google Scholar] [CrossRef]
- Stoger, J.L.; Gijbels, M.J.J.; van der Velden, S.; Manca, M.; van der Loos, C.M.; Biessen, E.A.L.; Daemen, M.J.A.P.; Lutgens, E.; de Winther, M.P.J. Distribution of macrophage polarization markers in human atherosclerosis. Atherosclerosis 2012, 225, 461–468. [Google Scholar] [CrossRef]
- Wu, J.J.; Xie, H.Y.; Yao, S.Z.; Liang, Y.C. Macrophage and nerve interaction in endometriosis. J. Neuroinflamm. 2017, 14, 53. [Google Scholar] [CrossRef]
- Fukui, S.; Iwamoto, N.; Takatani, A.; Igawa, T.; Shimizu, T.; Umeda, M.; Nishino, A.; Horai, Y.; Hirai, Y.; Koga, T.; et al. M1 and M2 Monocytes in Rheumatoid Arthritis: A Contribution of Imbalance of M1/M2 Monocytes to Osteoclastogenesis. Front. Immunol. 2018, 8, 1958. [Google Scholar] [CrossRef]
- Zelova, H.; Hosek, J. TNF-alpha signalling and inflammation: Interactions between old acquaintances. Inflamm. Res. 2013, 62, 641–651. [Google Scholar] [CrossRef]
- Horiuchi, T.; Mitoma, H.; Harashima, S.; Tsukamoto, H.; Shimoda, T. Transmembrane TNF-alpha: Structure, function and interaction with anti-TNF agents. Rheumatology 2010, 49, 1215–1228. [Google Scholar] [CrossRef]
- Parameswaran, N.; Patial, S. Tumor Necrosis Factor-a Signaling in Macrophages. Crit. Rev. Eukaryot. Gene Expr. 2010, 20, 87–103. [Google Scholar] [CrossRef]
- Smane, L.; Pilmane, M.; Akota, I. Local expression of inflammatory cytokines in the facial tissue of children with a cleft lip and palate. Pap. Anthropol. 2012, 21, 264–275. [Google Scholar] [CrossRef][Green Version]
- Pilmane, M.; Sidhoma, E.; Akota, I.; Kazoka, D. Characterization of Cytokines and Proliferation Marker Ki67 in Cleft Affected Lip Tissue. Med. Lith. 2019, 55, 518. [Google Scholar] [CrossRef]
- Pilmane, M.; Rumba, I.; Sundler, F.; Luts, A. Patterns of distribution and occurrence of neuroendocrine elements in lungs of humans with chronic lung disease. Proc. Latv. Acad. Sci. 1998, 52, 144–152. [Google Scholar]
- Vitenberga, Z.; Pilmane, M.; Babjoniseva, A. The evaluation of inflammatory, anti-inflammatory and regulatory factors contributing to the pathogenesis of COPD in airways. Pathol. Res. Pract. 2019, 215, 97–105. [Google Scholar] [CrossRef]
- Papathanasiou, E.; Trotman, C.A.; Scott, A.R.; Van Dyke, T.E. Current and Emerging Treatments for Postsurgical Cleft Lip Scarring: Effectiveness and Mechanisms. J. Dent. Res. 2017, 96, 1370–1377. [Google Scholar] [CrossRef]
- Bokhout, B.; Hofman, F.X.W.M.; van Limbeek, J.; Kramer, G.J.C.; PrahlAndersen, B. Incidence of dental caries in the primary dentition in children with a cleft lip and/or palate. Caries Res. 1997, 31, 8–12. [Google Scholar] [CrossRef]
- Groeger, S.; Meyle, J. Oral Mucosal Epithelial Cells. Front. Immunol. 2019, 10, 208. [Google Scholar] [CrossRef]
- Pilmane, M.; Jain, N.; Jain, S.; Akota, I.; Kroica, J. Quantification of Cytokines in Lip Tissue from Infants Affected by Congenital Cleft Lip and Palate. Children 2021, 8, 140. [Google Scholar] [CrossRef]
- Peng, H.; Nickell, C.R.G.; Chen, K.Y.; McClain, J.A.; Nixon, K. Increased expression of M1 and M2 phenotypic markers in isolated microglia after four-day binge alcohol exposure in male rats. Alcohol 2017, 62, 29–40. [Google Scholar] [CrossRef] [PubMed]
- Zhou, Y.D.; Yoshida, S.; Kubo, Y.; Yoshimura, T.; Kobayashi, Y.; Nakama, T.; Yamaguchi, M.; Ishikawa, K.; Oshima, Y.; Ishibashi, T. Different distributions of M1 and M2 macrophages in a mouse model of laser-induced choroidal neovascularization. Mol. Med. Rep. 2017, 15, 3949–3956. [Google Scholar] [CrossRef] [PubMed]
- Almubarak, A.; Tanagala, K.K.K.; Papapanou, P.N.; Lalla, E.; Momen-Heravi, F. Disruption of Monocyte and Macrophage Homeostasis in Periodontitis. Front. Immunol. 2020, 11, 330. [Google Scholar] [CrossRef] [PubMed]
- Galarraga-Vinueza, M.E.; Obreja, K.; Ramanauskaite, A.; Magini, R.; Begic, A.; Sader, R.; Schwarz, F. Macrophage polarization in peri-implantitis lesions. Clin. Oral Investig. 2021, 25, 2335–2344. [Google Scholar] [CrossRef]
- He, S.Y.; Xie, L.H.; Lu, J.J.; Sun, S.H. Characteristics and potential role of M2 macrophages in COPD. Int. J. Chronic Obstruct. Pulmon. Dis. 2017, 12, 3029–3039. [Google Scholar] [CrossRef]
- Zhou, T.; Huang, Z.J.; Sun, X.W.; Zhu, X.W.; Zhou, L.L.; Li, M.; Cheng, B.; Liu, X.L.; He, C. Microglia Polarization with M1/M2 Phenotype Changes in rd1 Mouse Model of Retinal Degeneration. Front. Neuroanat. 2017, 11, 77. [Google Scholar] [CrossRef]
- Tada, S.; Okuno, T.; Hitoshi, Y.; Yasui, T.; Honorat, J.A.; Takata, K.; Koda, T.; Shimagami, H.; Choong, C.J.; Namba, A.; et al. Partial suppression of M1 microglia by Janus kinase 2 inhibitor does not protect against neurodegeneration in animal models of amyotrophic lateral sclerosis. J. Neuroinflamm. 2014, 11, 179. [Google Scholar] [CrossRef][Green Version]
- Knudsen, N.H.; Lee, C.H. Identity Crisis: CD301b(+) Mononuclear Phagocytes Blur the M1-M2 Macrophage Line. Immunity 2016, 45, 461–463. [Google Scholar] [CrossRef]
- Roszer, T. Understanding the Mysterious M2 Macrophage through Activation Markers and Effector Mechanisms. Mediat. Inflamm. 2015, 2015, 816460. [Google Scholar] [CrossRef]
- Lin, S.H.; Chuang, H.Y.; Ho, J.C.; Lee, C.H.; Hsiao, C.C. Treatment with TNF-alpha inhibitor rectifies M1 macrophage polarization from blood CD14+monocytes in patients with psoriasis independent of STAT1 and IRF-1 activation. J. Dermatol. Sci. 2018, 91, 276–284. [Google Scholar] [CrossRef]
- Ait-Lounis, A.; Laraba-Djebari, F. TNF-alpha modulates adipose macrophage polarization to M1 phenotype in response to scorpion venom. Inflamm. Res. 2015, 64, 929–936. [Google Scholar] [CrossRef]
- Wu, X.H.; Xu, W.H.; Feng, X.B.; He, Y.; Liu, X.Z.; Gao, Y.; Yang, S.H.; Shao, Z.W.; Yang, C.; Ye, Z.W. TNF-a mediated inflammatory macrophage polarization contributes to the pathogenesis of steroid-induced osteonecrosis in mice. Int. J. Immunopathol. Pharmacol. 2015, 28, 351–361. [Google Scholar] [CrossRef]
- Nakao, Y.; Fukuda, T.; Zhang, Q.Z.; Sanui, T.; Shinjo, T.; Kou, X.X.; Chen, C.; Liu, D.W.; Watanabe, Y.; Hayashi, C.; et al. Exosomes from TNF-alpha-treated human gingiva-derived MSCs enhance M2 macrophage polarization and inhibit periodontal bone loss. Acta Biomater. 2021, 122, 306–324. [Google Scholar] [CrossRef]
- Li, X.; Mu, G.H.; Song, C.M.; Zhou, L.L.; He, L.; Jin, Q.; Lu, Z.Q. Role of M2 Macrophages in Sepsis-Induced Acute Kidney Injury. Shock 2018, 50, 233–239. [Google Scholar] [CrossRef]





| No. | Gender | Age (Months) | Diagnosis | Remarks |
|---|---|---|---|---|
| 1. | M | 3 | Cheilognathouranoschisis dextra | - |
| 2. | M | 3 | Cheilognathouranoschisis bilateralis | More than one cleft lip in the family tree. |
| 3. | M | 3 | Cheilognathouranoschisis sinistra | More than one cleft lip in the family tree. |
| 4. | M | 3 | Cheilognathouranoschisis dextra | - |
| 5. | F | 3 | Cheilognathouranoschisis sinistra | - |
| 6. | F | 3 | Cheilognathouranoschisis sinistra | Paracetamol and antibiotics had been used during the pregnancy. Induced labour, born at 41 weeks. |
| 7. | M | 3.5 | Cheilognathouranoschisis sinistra | Paracetamol and antibiotics had been used during the pregnancy. Epilepsy in family tree. |
| 8. | M | 4 | Cheilognathouranoschisis sinistra | No information about family history. |
| 9. | F | 4 | Cheilognathouranoschisis dextra | Paracetamol and antibiotics had been used during pregnancy. Mother has vegetative dystonia. At 20 weeks, ultrasonography showed a cleft lip. |
| 10. | M | 4 | Cheilognathouranoschisis dextra | Clefts in family history. Mother has hepatitis B virus (silent form). |
| 11. | M | 4 | Cheilognathouranoschisis sinistra | - |
| 12. | F | 4 | Cheilognathouranoschisis sinistra | Paracetamol and antibiotics had been used during pregnancy. Born at 42 weeks. The father has heart valve problems. |
| 13. | M | 4 | Cheilognathouranoschisis sinistra | Paracetamol and antibiotics had been used during pregnancy. Born at 41 weeks. Ultrasonography showed cleft lip and palate. |
| 14. | M | 4.5 | Cheilognathouranoschisis sinistra | Down syndrome present in family history. |
| 15. | M | 5 | Cheilognathouranoschisis sinistra | Bleeding during week 8 and 9 of pregnancy. |
| 16. | M | 5 | Cheilognathouranoschisis sinistra | Amoxiclav had been used during pregnancy. The mother had one abortion prior. Clefts in family history. The mother had an echinococcosis, liver surgery was required. |
| 17. | F | 6 | Cheilognathouranoschisis sinistra | - |
| 18. | M | 8 | Cheilognathouranoschisis sinistra | Mother smokes. Ultrasonography had not showed any clefts. |
| 19. | M | 13 | Cheilognathouranoschisis bilateralis | Multiple anomalies: kidney malrotation, heart failure. |
| 20. | F | 18 | Cheilognathouranoschisis dextra | Multiple anomalies: ventricular septal defect, stenosis of aortic valves, polydactyly, auricular ectodermal structures, distanced ears. |
| No. | H&E | M1 | M2 | TNF-α | ||
|---|---|---|---|---|---|---|
| SK | Inflammation | BCH | ||||
| 1. | + | 0 | 0 | ++ | + | ++ |
| 2. | + | 0 | 0 | + | + | ++ |
| 3. | + | 0 | 0 | + | + | 0/+ |
| 4. | 0 | + | +/++ | ++/+++ | ++ | +++ |
| 5. | + | + | 0/+ | ++ | ++ | ++ |
| 6. | + | 0/+ | 0 | +/++ | +/++ | +++ |
| 7. | + | + | 0 | +/++ | + | ++ |
| 8. | + | + | 0 | ++ | + | ++ |
| 9. | + | + | 0 | + | 0/+ | 0/+ |
| 10. | + | 0 | 0/+ | ++ | ++ | ++ |
| 11. | 0 | 0 | 0 | ++ | ++ | +++ |
| 12. | + | +/++ | 0 | ++ | ++ | +++ |
| 13. | 0 | 0/+ | 0 | ++ | + | +++ |
| 14. | + | 0/+ | 0/+ | + | ++ | 0/+ |
| 15. | 0 | + | 0/+ | ++ | + | ++/+++ |
| 16. | + | + | 0/+ | ++ | + | ++ |
| 17. | + | +/++ | 0/+ | + | 0/+ | +++ |
| 18. | + | 0/+ | 0 | ++ | + | +/++ |
| 19. | + | +++ | ++ | +++ | +++ | ++/+++ |
| 20. | + | 0 | 0/+ | +/++ | +/++ | ++ |
| Most Common Value | + | + | 0 | ++ | + | ++ |
| Control | N/A | N/A | N/A | 0/+ | ++ | + |
| Detected Structure | Mann–Whitney U | Z-Score | p-Value |
|---|---|---|---|
| M1 | 5 | −3.486 | 0.0002 |
| M2 | 79.5 | 0.562 | 0.607 |
| TNF-α | 30.5 | −1.369 | 0.192 |
| Factor 1 | Factor 2 | R | p-Value |
|---|---|---|---|
| M1 | M2 | 0.503 | 0.024 |
| M1 | TNF-α | 0.433 | 0.057 |
| M2 | TNF-α | 0.261 | 0.265 |
Publisher’s Note: MDPI stays neutral with regard to jurisdictional claims in published maps and institutional affiliations. |
© 2021 by the authors. Licensee MDPI, Basel, Switzerland. This article is an open access article distributed under the terms and conditions of the Creative Commons Attribution (CC BY) license (https://creativecommons.org/licenses/by/4.0/).
Share and Cite
Goida, J.; Pilmane, M. Characterization of Macrophages and TNF-α in Cleft Affected Lip Tissue. Cosmetics 2021, 8, 42. https://doi.org/10.3390/cosmetics8020042
Goida J, Pilmane M. Characterization of Macrophages and TNF-α in Cleft Affected Lip Tissue. Cosmetics. 2021; 8(2):42. https://doi.org/10.3390/cosmetics8020042
Chicago/Turabian StyleGoida, Jana, and Māra Pilmane. 2021. "Characterization of Macrophages and TNF-α in Cleft Affected Lip Tissue" Cosmetics 8, no. 2: 42. https://doi.org/10.3390/cosmetics8020042
APA StyleGoida, J., & Pilmane, M. (2021). Characterization of Macrophages and TNF-α in Cleft Affected Lip Tissue. Cosmetics, 8(2), 42. https://doi.org/10.3390/cosmetics8020042

