Establishing the Inhibition of the Serine Protease Plasmin as a Skin Anti-Aging Pathway
Abstract
1. Introduction
2. Materials and Methods
2.1. Peptide ABSHA
2.2. MMP-9 Upregulation and Collagen IV Degradation Ex Vivo
2.3. Collagen I In Vitro Assay
2.4. Melanin Assay in Human Epidermal Melanocytes
2.5. Tyrosinase Assay
2.6. Human Study
Instrumental Measurements in the Human Study
3. Results
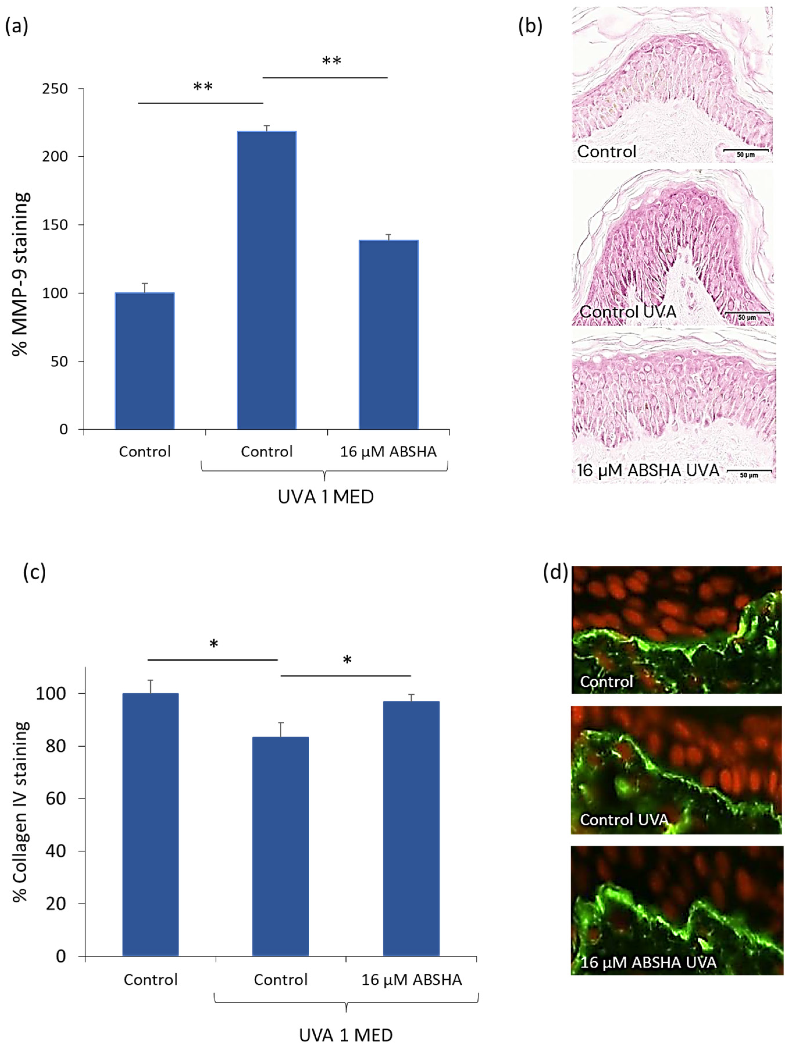
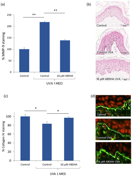
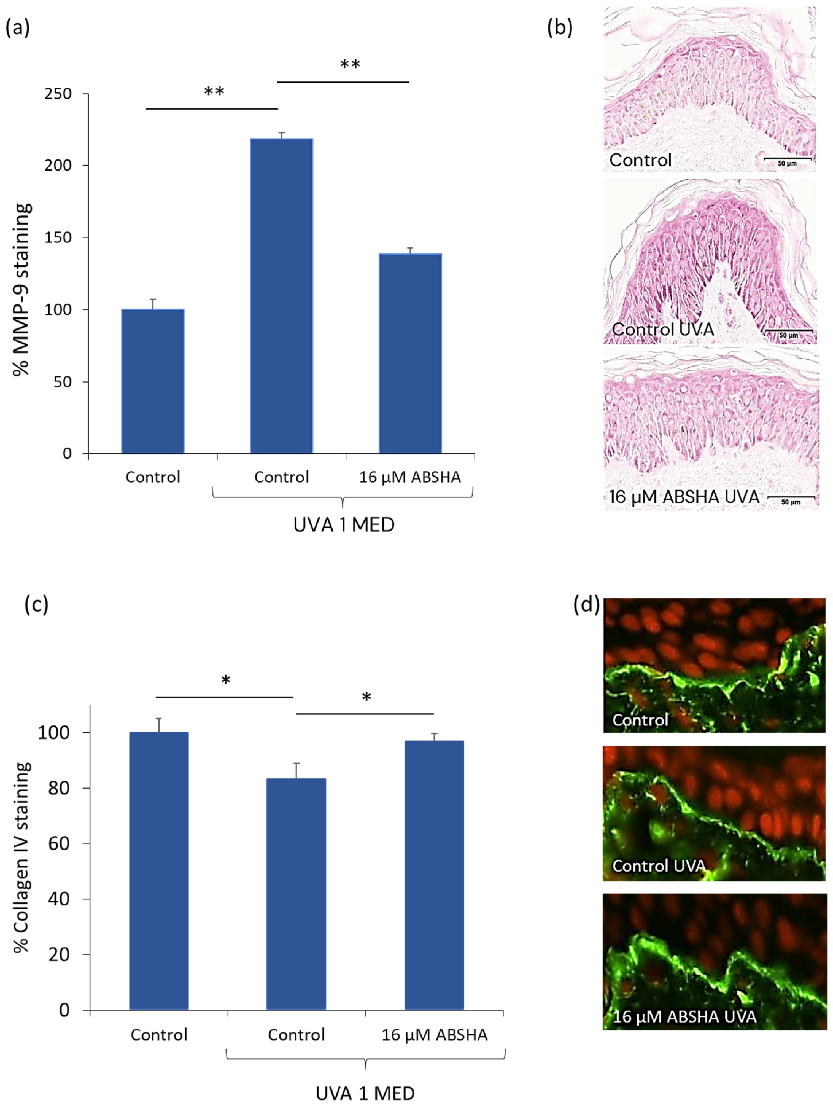
3.1. MMP-9 Protein Expression and Collagen IV Degradation Ex Vivo
3.2. Collagen I Expression in Human Dermal Fibroblasts
3.3. Modulation of Melanogenesis by the Plasminogen Pathway and Its Inhibitors
3.4. Tyrosinase Modulation by Plasmin and Its Inhibitors
3.5. TEWL Is Significantly Decreased by ABSHA In Vivo
3.6. Dermal Intensity Increased over Time on the Cheeks and the Crow’s Feet
3.7. Elasticity Improved in the Group Using the 10 ppm ABSHA Formulation
3.8. Less Wrinkle Volume over Time
3.9. Modulation of Age Spots by a 10 ppm ABSHA Formulation
3.10. Self-Assessment Questionnaire
4. Discussion
Supplementary Materials
Author Contributions
Funding
Institutional Review Board Statement
Informed Consent Statement
Data Availability Statement
Acknowledgments
Conflicts of Interest
References
- Kramer, M.D.; Schaefer, B.M.; Reinartz, J. Plasminogen Activation by Human Keratinocytes: Molecular Pathways and Cell-Biological Consequences. Biol. Chem. Hoppe-Seyler 1995, 376, 131–141. [Google Scholar]
- Sillen, M.; Declerck, P.J. A Narrative Review on Plasminogen Activator Inhibitor-1 and Its (Patho)Physiological Role: To Target or Not to Target? Int. J. Mol. Sci. 2021, 22, 2721. [Google Scholar] [CrossRef]
- Maas, C. Plasminflammation-An Emerging Pathway to Bradykinin Production. Front. Immunol. 2019, 10, 2046. [Google Scholar] [CrossRef]
- Walker, P.F.; Foster, A.D.; Rothberg, P.A.; Davis, T.A.; Bradley, M.J. Tranexamic acid decreases rodent hemorrhagic shock-induced inflammation with mixed end-organ effects. PLoS ONE 2018, 13, e0208249. [Google Scholar] [CrossRef]
- Teng, Y.; Feng, C.; Liu, Y.; Jin, H.; Gao, Y.; Li, T. Anti-inflammatory effect of tranexamic acid against trauma-hemorrhagic shock-induced acute lung injury in rats. Exp. Anim. 2018, 67, 313–320. [Google Scholar] [CrossRef]
- Prudovsky, I.; Kacer, D.; Zucco, V.V.; Palmeri, M.; Falank, C.; Kramer, R.; Carter, D.; Rappold, J. Tranexamic acid: Beyond antifibrinolysis. Transfusion 2022, 62 (Suppl. S1), S301–S312. [Google Scholar] [CrossRef]
- Rotem, N.; Axelrod, J.H.; Miskin, R. Induction of urokinase-type plasminogen activator by UV light in human fetal fibroblasts is mediated through a UV-induced secreted protein. Mol. Cell Biol. 1987, 7, 622–631. [Google Scholar]
- Marschall, C.; Lengyel, E.; Nobutoh, T.; Braungart, E.; Douwes, K.; Simon, A.; Magdolen, V.; Reuning, U.; Degitz, K. UVB increases urokinase-type plasminogen activator receptor (uPAR) expression. J. Investig. Dermatol. 1999, 113, 69–76. [Google Scholar] [CrossRef][Green Version]
- Hashimoto, K.; Singer, K.H.; Lide, W.B.; Shafran, K.; Webber, P.; Morioka, S.; Lazarus, G.S. Plasminogen activator in cultured human epidermal cells. J. Investig. Dermatol. 1983, 81, 424–429. [Google Scholar] [CrossRef]
- Voegeli, R.; Rawlings, A.V.; Haftek, M. Expression and ultrastructural localization of plasmin(ogen) in the terminally differentiated layers of normal human epidermis. Int. J. Cosmet. Sci. 2019, 41, 624–628. [Google Scholar] [CrossRef]
- Voegeli, R.; Rawlings, A.V.; Doppler, S.; Heiland, J.; Schreier, T. Profiling of serine protease activities in human stratum corneum and detection of a stratum corneum tryptase-like enzyme. Int. J. Cosmet. Sci. 2007, 29, 191–200. [Google Scholar] [CrossRef]
- Voegeli, R.; Rawlings, A.V.; Doppler, S.; Schreier, T. Increased basal transepidermal water loss leads to elevation of some but not all stratum corneum serine proteases. Int. J. Cosmet. Sci. 2008, 30, 435–442. [Google Scholar] [CrossRef]
- Raj, N.; Voegeli, R.; Rawlings, A.V.; Summers, B.; Munday, M.R.; Lane, M.E. Variation in the activities of late stage filaggrin processing enzymes, calpain-1 and bleomycin hydrolase, together with pyrrolidone carboxylic acid levels, corneocyte phenotypes and plasmin activities in non-sun exposed and sun-exposed facial stratum corneum of different ethnicities. Int. J. Cosmet. Sci. 2016, 38, 567–575. [Google Scholar]
- Voegeli, R.; Wikstroem, P.; Campiche, R.; Steinmetzer, T.; Jackson, E.; Gempeler, M.; Imfeld, D.; Rawlings, A.V. The effects of benzylsulfonyl-D-Ser-homoPhe-(4-amidino-benzylamide), a dual plasmin and urokinase inhibitor, on facial skin barrier function in subjects with sensitive skin. Int. J. Cosmet. Sci. 2017, 39, 109–120. [Google Scholar] [CrossRef]
- Bechtel, M.J.; Reinartz, J.; Rox, J.M.; Inndorf, S.; Schaefer, B.M.; Kramer, M.D. Upregulation of Cell-Surface-Associated Plasminogen Activation in Cultured Keratinocytes by Interleukin-1b and Tumor Necrosis Factor-a. Exp. Cell Res. 1996, 223, 395–404. [Google Scholar] [CrossRef]
- Farage, M.A.; Miller, K.W.; Elsner, P.; Maibach, H.I. Intrinsic and extrinsic factors in skin ageing: A review. Int. J. Cosmet. Sci. 2008, 30, 87–95. [Google Scholar] [CrossRef]
- Farage, M.A.; Miller, K.W.; Elsner, P.; Maibach, H.I. Characteristics of the Aging Skin. Adv. Wound Care (New Rochelle) 2013, 2, 5–10. [Google Scholar] [CrossRef]
- Krutmann, J.; Bouloc, A.; Sore, G.; Bernard, B.A.; Passeron, T. The skin aging exposome. J. Dermatol. Sci. 2017, 85, 152–161. [Google Scholar] [CrossRef]
- Trojahn, C.; Dobos, G.; Lichterfeld, A.; Blume-Peytavi, U.; Kottner, J. Characterizing facial skin ageing in humans: Disentangling extrinsic from intrinsic biological phenomena. Biomed. Res. Int. 2015, 2015, 318586. [Google Scholar] [CrossRef]
- Tigges, J.; Krutmann, J.; Fritsche, E.; Haendeler, J.; Schaal, H.; Fischer, J.W.; Kalfalah, F.; Reinke, H.; Reifenberger, G.; Stuhler, K.; et al. The hallmarks of fibroblast ageing. Mech. Ageing Dev. 2014, 138, 26–44. [Google Scholar] [CrossRef]
- Quan, T.; Qin, Z.; Xia, W.; Shao, Y.; Voorhees, J.J.; Fisher, G.J. Matrix-degrading metalloproteinases in photoaging. J. Investig. Dermatol. Symp. Proc. 2009, 14, 20–24. [Google Scholar] [CrossRef]
- Brennan, M.; Bhatti, H.; Nerusu, K.C.; Bhagavathula, N.; Kang, S.; Fisher, G.J.; Varani, J.; Voorhees, J.J. Matrix metalloproteinase-1 is the major collagenolytic enzyme responsible for collagen damage in UV-irradiated human skin. Photochem. Photobiol. 2003, 78, 43–48. [Google Scholar] [CrossRef]
- Agren, M.S.; Schnabel, R.; Christensen, L.H.; Mirastschijski, U. Tumor necrosis factor-α-accelerated degradation of type I collagen in human skin is associated with elevated matrix metalloproteinase (MMP)-1 and MMP-3 ex vivo. Eur. J. Cell Biol. 2015, 94, 12–21. [Google Scholar] [CrossRef]
- Imokawa, G.; Ishida, K. Biological mechanisms underlying the ultraviolet radiation-induced formation of skin wrinkling and sagging I: Reduced skin elasticity, highly associated with enhanced dermal elastase activity, triggers wrinkling and sagging. Int. J. Mol. Sci. 2015, 16, 7753–7775. [Google Scholar] [CrossRef]
- Imokawa, G.; Nakajima, H.; Ishida, K. Biological mechanisms underlying the ultraviolet radiation-induced formation of skin wrinkling and sagging II: Over-expression of neprilysin plays an essential role. Int. J. Mol. Sci. 2015, 16, 7776–7795. [Google Scholar] [CrossRef]
- Oikarinen, A.; Kylmaniemi, M.; Autio-Harmainen, H.; Autio, P.; Salo, T. Demonstration of 72-kDa and 92-kDa forms of type IV collagenase in human skin: Variable expression in various blistering diseases, induction during re-epithelialization, and decrease by topical glucocorticoids. J. Investig. Dermatol. 1993, 101, 205–210. [Google Scholar] [CrossRef][Green Version]
- Gschwandtner, M.; Purwar, R.; Wittmann, M.; Baumer, W.; Kietzmann, M.; Werfel, T.; Gutzmer, R. Histamine upregulates keratinocyte MMP-9 production via the histamine H1 receptor. J. Investig. Dermatol. 2008, 128, 2783–2791. [Google Scholar] [CrossRef]
- Sage, H. Collagens of Basement Membranes. J. Investig. Dermatol. 1982, 79, 51–59. [Google Scholar] [CrossRef][Green Version]
- Theocharidis, G.; Connelly, J.T. Minor collagens of the skin with not so minor functions. J. Anat. 2019, 235, 418–429. [Google Scholar] [CrossRef]
- Hasegawa, H.; Naito, I.; Nakano, K.; Momota, R.; Nishida, K.; Taguchi, T.; Sado, Y.; Ninomiya, Y.; Ohtsuka, A. The distributions of type IV collagen α chains in basement membranes of human epidermis and skin appendages. Arch. Histol. Cytol. 2007, 70, 255–265. [Google Scholar] [CrossRef][Green Version]
- Vazquez, F.; Palacios, S.; Aleman, N.; Guerrero, F. Changes of the basement membrane and type IV collagen in human skin during aging. Maturitas 1996, 25, 209–215. [Google Scholar] [CrossRef]
- Feru, J.; Delobbe, E.; Ramont, L.; Brassart, B.; Terryn, C.; Dupont-Deshorgue, A.; Garbar, C.; Monboisse, J.C.; Maquart, F.X.; Brassart-Pasco, S. Aging decreases collagen IV expression in vivo in the dermo-epidermal junction and in vitro in dermal fibroblasts: Possible involvement of TGF-beta1. Eur. J. Dermatol. 2016, 26, 350–360. [Google Scholar] [CrossRef]
- Langton, A.K.; Halai, P.; Griffiths, C.E.; Sherratt, M.J.; Watson, R.E. The impact of intrinsic ageing on the protein composition of the dermal-epidermal junction. Mech. Ageing Dev. 2016, 156, 14–16. [Google Scholar] [CrossRef]
- Aguirre-Cruz, G.; Leon-Lopez, A.; Cruz-Gomez, V.; Jimenez-Alvarado, R.; Aguirre-Alvarez, G. Collagen Hydrolysates for Skin Protection: Oral Administration and Topical Formulation. Antioxidants 2020, 9, 181. [Google Scholar] [CrossRef]
- Hiramoto, K.; Sugiyama, D.; Takahashi, Y.; Mafune, E. The amelioration effect of tranexamic acid in wrinkles induced by skin dryness. Biomed. Pharmacother. 2016, 80, 16–22. [Google Scholar] [CrossRef]
- Hiramoto, K.; Yamate, Y.; Sugiyama, D.; Matsuda, K.; Iizuka, Y.; Yamaguchi, T. Ameliorative effect of tranexamic acid on physiological skin aging and its sex difference in mice. Arch. Dermatol. Res. 2019, 311, 545–553. [Google Scholar] [CrossRef]
- Hiramoto, K.; Yamate, Y.; Sugiyama, D.; Matsuda, K.; Iizuka, Y.; Yamaguchi, T. Effect of tranexamic acid in improving the lifespan of naturally aging mice. Inflammopharmacology 2019, 27, 1319–1323. [Google Scholar] [CrossRef]
- Ogura, Y.; Matsunaga, Y.; Nishiyama, T.; Amano, S. Plasmin induces degradation and dysfunction of laminin 332 (laminin 5) and impaired assembly of basement membrane at the dermal-epidermal junction. Br. J. Dermatol. 2008, 159, 49–60. [Google Scholar] [CrossRef]
- Endo, K.; Niki, Y.; Ohashi, Y.; Masaki, H. Tranexamic Acid Improves the Disrupted Formation of Collagen and Fibrillin-1 Fibers Produced by Fibroblasts Repetitively Irradiated with UVA. Biol. Pharm. Bull. 2021, 44, 225–231. [Google Scholar] [CrossRef]
- Zhang, L.; Tan, W.Q.; Fang, Q.Q.; Zhao, W.Y.; Zhao, Q.M.; Gao, J.; Wang, X.W. Tranexamic Acid for Adults with Melasma: A Systematic Review and Meta-Analysis. Biomed. Res. Int. 2018, 2018, 1683414. [Google Scholar] [CrossRef]
- Maeda, M.; Tomita, Y. Mechanism of the Inhibitory Effect of Tranexamic Acid on Melanogenesis in Cultured Human Melanocytes in the Presence of Keratinocyte-conditioned Medium. J. Health Sci. 2007, 53, 389–396. [Google Scholar] [CrossRef]
- Voegeli, R.; Gierschendorf, J.; Summers, B.; Rawlings, A.V. Facial skin mapping: From single point bio-instrumental evaluation to continuous visualization of skin hydration, barrier function, skin surface pH, and sebum in different ethnic skin types. Int. J. Cosmet. Sci. 2019, 41, 411–424. [Google Scholar] [CrossRef]
- Hashizume, H. Skin Aging and Dry Skin. J. Dermatol. 2004, 31, 603–609. [Google Scholar] [CrossRef]
- Rovero, P.; Malgapo, D.M.H.; Sparavigna, A.; Beilin, G.; Wong, V.; Lao, M.P. The Clinical Evidence-Based Paradigm of Topical Anti-Aging Skincare Formulations Enriched with Bio-Active Peptide SA1-III (KP1) as Collagen Modulator: From Bench to Bedside. Clin. Cosmet. Investig. Dermatol. 2022, 15, 2693–2703. [Google Scholar] [CrossRef]
- Amano, S. Characterization and mechanisms of photoageing-related changes in skin. Damages of basement membrane and dermal structures. Exp. Dermatol. 2016, 25 (Suppl. S3), 14–19. [Google Scholar] [CrossRef]
- Kobayashi, S.; Tsunematsu, N.; Morise, T.; Higashiura, C.; Yoshida, I.; Kuriyama, K. Why are Pigmented Spots Darker and Larger in Men? In Proceedings of the IFSCC Congress, Munich, Germany, 18–21 September 2018; IFSCC: New York, NY, USA, 2018. [Google Scholar]









Disclaimer/Publisher’s Note: The statements, opinions and data contained in all publications are solely those of the individual author(s) and contributor(s) and not of MDPI and/or the editor(s). MDPI and/or the editor(s) disclaim responsibility for any injury to people or property resulting from any ideas, methods, instructions or products referred to in the content. |
© 2024 by the authors. Licensee MDPI, Basel, Switzerland. This article is an open access article distributed under the terms and conditions of the Creative Commons Attribution (CC BY) license (https://creativecommons.org/licenses/by/4.0/).
Share and Cite
Campiche, R.; Imfeld, D.; Cuddapah, C.; Budel, L.; Gempeler, M. Establishing the Inhibition of the Serine Protease Plasmin as a Skin Anti-Aging Pathway. Cosmetics 2024, 11, 103. https://doi.org/10.3390/cosmetics11030103
Campiche R, Imfeld D, Cuddapah C, Budel L, Gempeler M. Establishing the Inhibition of the Serine Protease Plasmin as a Skin Anti-Aging Pathway. Cosmetics. 2024; 11(3):103. https://doi.org/10.3390/cosmetics11030103
Chicago/Turabian StyleCampiche, Remo, Dominik Imfeld, Chennakesava Cuddapah, Leithe Budel, and Mathias Gempeler. 2024. "Establishing the Inhibition of the Serine Protease Plasmin as a Skin Anti-Aging Pathway" Cosmetics 11, no. 3: 103. https://doi.org/10.3390/cosmetics11030103
APA StyleCampiche, R., Imfeld, D., Cuddapah, C., Budel, L., & Gempeler, M. (2024). Establishing the Inhibition of the Serine Protease Plasmin as a Skin Anti-Aging Pathway. Cosmetics, 11(3), 103. https://doi.org/10.3390/cosmetics11030103

