Functional Study of the BMP Signaling Pathway in Appendage Regeneration of Exopalaemon carinicauda
Simple Summary
Abstract
1. Introduction
2. Materials and Methods
2.1. Test Materials
2.2. Collection of Experimental Samples
2.3. Total RNA Extraction and Synthesis of the First Strand of cDNA
2.4. Transcriptome Sequencing and Assembly
2.5. Analysis of Differentially Expressed Genes
2.6. Real-Time PCR Experimental Validation
2.7. Homologous Cloning and Sequence Analysis
2.8. In Situ Hybridization Analysis
2.9. Synthesis and Injection of Small Interfering RNA (siRNA)
2.10. Statistical Analysis
3. Results
3.1. Transcriptome Assembly
3.2. Differential Gene Analysis
3.3. Enrichment Analysis of Differentially Expressed Genes
3.4. Validation of RNA-Seq Results by qRT-PCR
3.5. Structural and Phylogenetic Tree Analysis
3.6. Gene Expression During Regeneration
3.7. Interactions Among BMP Signaling Molecules
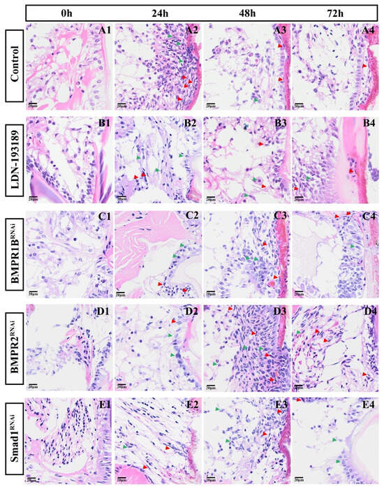
3.8. Functional Studies of BMP Signaling Pathway Genes
4. Discussion
5. Conclusions
Supplementary Materials
Author Contributions
Funding
Institutional Review Board Statement
Informed Consent Statement
Data Availability Statement
Conflicts of Interest
References
- Das, S. Morphological, Molecular, and Hormonal Basis of Limb Regeneration across Pancrustacea. Integr. Comp. Biol. 2015, 55, 869–877. [Google Scholar] [CrossRef] [PubMed]
- Hopkins, P.M. Ecdysteroids and regeneration in the fiddler crab Uca pugilator. J. Exp. Zool. 1989, 252, 293–299. [Google Scholar] [CrossRef]
- Hopkins, P.M. Limb regeneration in the fiddler crab, Uca pugilator: Hormonal and growth factor control. Am. Zool. 2001, 41, 389–398. [Google Scholar] [CrossRef]
- Smith, L.D. The impact of limb autotomy on mate competition in blue crabs Callinectes sapidus Rathbun. Oecologia 1992, 89, 494–501. [Google Scholar] [CrossRef]
- Dongliang, L.; Jianhua, H.; Falin, Z.; Qibin, Y.; Song, J.; Lishi, Y.; Caiyan, Z.; Shigui, J. Synergistic effect of Vitamin E and Schizochytrium sp. on spermatophore regeneration in Penaeus monodon. South China Fish. Sci. 2018, 14, 20–26. [Google Scholar]
- Shinji, J.; Gotoh, H.; Miyanishi, H.; Lavine, M.D.; Lavine, L.C. The activin signaling transcription factor Smox is an essential regulator of appendage size during regeneration after autotomy in the crayfish. Evol. Dev. 2019, 21, 44–55. [Google Scholar] [CrossRef]
- Li, J.; Tian, Y.; Li, X.; Zuo, J.; Zhao, R.; Sun, J. Insulin-like signaling promotes limb regeneration in the Chinese mitten crab (Eriocheir sinensis). Fish Shellfish Immunol. 2022, 122, 268–275. [Google Scholar] [CrossRef]
- Li, J.; Zuo, J.; Lv, X.; Ma, J.; Li, X.; Fu, S.; Sun, J. Hedgehog signaling is essential in the regulation of limb regeneration in the Chinese mitten crab, Eriocheir sinensis. Fish Shellfish Immunol. 2023, 140, 108981. [Google Scholar] [CrossRef]
- Wang, J.; Chen, X.; Hou, X.; Wang, J.; Yue, W.; Huang, S.; Xu, G.; Yan, J.; Lu, G.; Hofreiter, M. “Omics” data unveil early molecular response underlying limb regeneration in the Chinese mitten crab, Eriocheir sinensis. Sci. Adv. 2022, 8, eabl4642. [Google Scholar] [CrossRef]
- Fu, Y.; Liu, L.; Wang, C.; Zhu, F.; Liu, X. Suppression of limb regeneration by RNA interference of WNT4 in the swimming crab Portunus trituberculatus. Comp. Biochem. Physiol. B Biochem. Mol. Biol. 2019, 234, 41–49. [Google Scholar] [CrossRef]
- Durica, D.S.; Wu, X.; Anilkumar, G.; Hopkins, P.M.; Chung, A.C.-K. Characterization of crab EcR and RXR homologs and expression during limb regeneration and oocyte maturation. Mol. Cell. Endocrinol. 2002, 189, 59–76. [Google Scholar] [CrossRef]
- Gong, J.; Huang, C.; Yu, K.; Li, S.; Zeng, C.; Ye, H. The effects of feeding ration and cheliped autotomy on the growth and expression of ecdysteroid receptor in early juvenile mud crabs, Scylla paramamosain. Aquac. Rep. 2022, 25, 101206. [Google Scholar] [CrossRef]
- Rosen, V. BMP and BMP inhibitors in bone. Ann. N. Y. Acad. Sci. 2006, 1068, 19–25. [Google Scholar] [CrossRef] [PubMed]
- Danesh, S.M.; Villasenor, A.; Chong, D.; Soukup, C.; Cleaver, O. BMP and BMP receptor expression during murine organogenesis. Gene Expr. Patterns 2009, 9, 255–265. [Google Scholar] [CrossRef]
- Dale, L.; Howes, G.; Price, B.; Smith, J. Bone morphogenetic protein 4: A ventralizing factor in early Xenopus development. Development 1992, 115, 573–585. [Google Scholar] [CrossRef]
- Xing, C.; Wang, M.; Wang, L.; Shen, X. Progress on the mechanism of left-right asymmetrical patterning in bilaterians. Hereditas 2023, 45, 488–500. [Google Scholar] [CrossRef]
- Yu, H.; Jiao, J.; Zhong, B.; Ye, Y.; Shi, C.; Wang, C.; Li, R.; Song, W.; Wang, H.; Mu, C. The effect of the BMP signaling pathway on the development of secondary sexual characteristics of swimming crab Portunus trituberculatus. Aquac. Rep. 2025, 42, 102836. [Google Scholar] [CrossRef]
- Zhong, B.; Yu, H.; Han, S.; Song, W.; Ren, Z.; Wang, C.; Mu, C. Functional Study on the BMP Signaling Pathway in the Molting of Scylla paramamosain. Fishes 2024, 9, 263. [Google Scholar] [CrossRef]
- Han, M.; Yang, X.; Lee, J.; Allan, C.H.; Muneoka, K. Development and regeneration of the neonatal digit tip in mice. Dev. Biol. 2008, 315, 125–135. [Google Scholar] [CrossRef]
- Yu, L.; Han, M.; Yan, M.; Lee, E.-C.; Lee, J.; Muneoka, K. BMP signaling induces digit regeneration in neonatal mice. Development 2010, 137, 551–559. [Google Scholar] [CrossRef]
- Pizette, S.; Abate-Shen, C.; Niswander, L. BMP controls proximodistal outgrowth, via induction of the apical ectodermal ridge, and dorsoventral patterning in the vertebrate limb. Development 2001, 128, 4463–4474. [Google Scholar] [CrossRef]
- Beck, C.W.; Christen, B.; Barker, D.; Slack, J.M. Temporal requirement for bone morphogenetic proteins in regeneration of the tail and limb of Xenopus tadpoles. Mech. Dev. 2006, 123, 674–688. [Google Scholar] [CrossRef]
- Guimond, J.-C.; Lévesque, M.; Michaud, P.-L.; Berdugo, J.; Finnson, K.; Philip, A.; Roy, S. BMP-2 functions independently of SHH signaling and triggers cell condensation and apoptosis in regenerating axolotl limbs. BMC Dev. Biol. 2010, 10, 15. [Google Scholar] [CrossRef] [PubMed]
- Liang, Y.; Rathnayake, D.; Huang, S.; Pathirana, A.; Xu, Q.; Zhang, S. BMP signaling is required for amphioxus tail regeneration. Development 2019, 146, dev166017. [Google Scholar] [CrossRef] [PubMed]
- Zhou, T. A Study on the Molecular Mechanism of BMP Signaling Pathway Influencing Appendage Regeneration in Macrobrachium rosenbergii; Guangdong Ocean University: Zhanjiang, China, 2021. [Google Scholar]
- Musgrove, L.; Bhojwani, A.; Hyde, C.; Glendinning, S.; Nocillado, J.; Russell, F.D.; Ventura, T. Transcriptomic analysis across crayfish (Cherax quadricarinatus) claw regeneration reveals potential stem cell sources for cultivated crustacean meat. Int. J. Mol. Sci. 2024, 25, 8623. [Google Scholar] [CrossRef]
- Zhang, C.; Jin, Y.; Yu, Y.; Xiang, J.; Li, F. Effects of natural astaxanthin from microalgae and chemically synthetic astaxanthin supplementation on two different varieties of the ridgetail white prawn (Exopalaemon carinicauda). Algal Res. 2021, 57, 102347. [Google Scholar] [CrossRef]
- Gao, H.; Ma, H.; Sun, J.; Xu, W.; Gao, W.; Lai, X.; Yan, B. Expression and function analysis of crustacyanin gene family involved in resistance to heavy metal stress and body color formation in Exopalaemon carinicauda. J. Exp. Zool. Part B Mol. Dev. Evol. 2021, 336, 352–363. [Google Scholar] [CrossRef]
- Hu, G.; Wang, W.; Xu, K.; Wang, C.; Liu, D.; Xu, J.; Yan, B.; Ji, N.; Gao, H. Transcriptomic and metabolomic analyses of Palaemon carinicauda hepatopancreas in response to Enterocytozoon hepatopenaei (EHP) infection. Fishes 2023, 8, 92. [Google Scholar] [CrossRef]
- Pang, Z.; Zhao, Z.; Li, Y.; Sun, Y.; Duan, C.; Yan, B.; Baloch, W.A.; Zhou, Q.; Gao, H. Effects of different sex ratios on the growth and ovarian development of the ridgetail white shrimp, Exopalaemon carinicauda. Aquac. Rep. 2022, 27, 101419. [Google Scholar] [CrossRef]
- Xing, C.; Wang, M.; Chen, Z.; Li, Y.; Zhou, X.; Wang, L.; Zhong, Y.; Li, W.; Shen, X.; Gao, H. Morphological and Molecular Changes during Limb Regeneration of the Exopalaemon carinicauda. Animals 2024, 14, 685. [Google Scholar] [CrossRef]
- Pang, Z.; Zhao, Z.; Gao, J.; Deng, D.; Deng, K.; Xu, J.; Gao, H. Effects of salinity on growth and related indicators of gonadal development in Exopalaemon carinicauda (Decapoda, Caridea, Palaemonidae). Crustaceana 2023, 96, 565–581. [Google Scholar] [CrossRef]
- Zhao, Z.; Pang, Z.; Deng, D.; Li, J.; Wang, N.; Gao, H.; Yan, B.; Deng, K. Effects of different temperatures on growth and gonad development related indexes of the ridgetail white shrimp, Exopalaemon carinicauda. Isr. J. Aquac.—Bamidgeh 2024, 76, 96–105. [Google Scholar] [CrossRef]
- Bolger, A.M.; Lohse, M.; Usadel, B. Trimmomatic: A flexible trimmer for Illumina sequence data. Bioinformatics 2014, 30, 2114–2120. [Google Scholar] [CrossRef]
- Grabherr, M.G.; Haas, B.J.; Yassour, M.; Levin, J.Z.; Thompson, D.A.; Amit, I.; Adiconis, X.; Fan, L.; Raychowdhury, R.; Zeng, Q.; et al. Full-length transcriptome assembly from RNA-Seq data without a reference genome. Nat. Biotechnol. 2011, 29, 644–652. [Google Scholar] [CrossRef]
- Love, M.I.; Huber, W.; Anders, S. Moderated estimation of fold change and dispersion for RNA-seq data with DESeq2. Genome Biol. 2014, 15, 550. [Google Scholar] [CrossRef] [PubMed]
- Young, M.D.; Wakefield, M.J.; Smyth, G.K.; Oshlack, A. Gene ontology analysis for RNA-seq: Accounting for selection bias. Genome Biol. 2010, 11, R14. [Google Scholar] [CrossRef]
- Mao, X.; Cai, T.; Olyarchuk, J.G.; Wei, L. Automated genome annotation and pathway identification using the KEGG Orthology (KO) as a controlled vocabulary. Bioinformatics 2005, 21, 3787–3793. [Google Scholar] [CrossRef]
- Lalitha, S. Primer premier 5. Biotech Softw. Internet Rep. 2000, 1, 270–272. [Google Scholar] [CrossRef]
- Kumar, S.; Stecher, G.; Tamura, K. MEGA7: Molecular Evolutionary Genetics Analysis Version 7.0 for Bigger Datasets. Mol. Biol. Evol. 2016, 33, 1870–1874. [Google Scholar] [CrossRef]
- Shi, Q.; Zhang, Y.; Ni, M.; Bai, Y.; Zhou, B.; Zheng, J.; Cui, Z. Expression characteristics and inhibitory activity of a leucine-rich repeat (LRR)-only protein in the Chinese mitten crab, Eriocheir sinensis. Fish Shellfish Immunol. 2024, 145, 109300. [Google Scholar] [CrossRef]
- Pu, Y.C.; Liang, X.Y.; Zhang, H.; Zhang, H.J.; Xu, L.N.; Ji, Y.N.; Huang, S.N.; Bai, J.; Hou, Y.M. Identification of Novel ARSB Genes Necessary for p-Benzoquinone Biosynthesis in the Larval Oral Secretion Participating in External Immune Defense in the Red Palm Weevil. Int. J. Mol. Sci. 2020, 21, 1610. [Google Scholar] [CrossRef]
- Xiao, D.; Wang, H.; Hao, L.; Guo, X.; Ma, X.; Qian, Y.; Chen, H.; Ma, J.; Zhang, J.; Sheng, W. The roles of SMYD4 in epigenetic regulation of cardiac development in zebrafish. PLoS Genet. 2018, 14, e1007578. [Google Scholar] [CrossRef]
- Bando, T.; Ishimaru, Y.; Kida, T.; Hamada, Y.; Matsuoka, Y.; Nakamura, T.; Ohuchi, H.; Noji, S.; Mito, T. Analysis of RNA-Seq data reveals involvement of JAK/STAT signalling during leg regeneration in the cricket Gryllus bimaculatus. Development 2013, 140, 959–964. [Google Scholar] [CrossRef] [PubMed]
- Abehsera, S.; Weil, S.; Manor, R.; Sagi, A. The search for proteins involved in the formation of crustacean cuticular structures. Hydrobiologia 2018, 825, 29–45. [Google Scholar] [CrossRef]
- Mykles, D.L. Interactions between limb regeneration and molting in decapod crustaceans. Am. Zool. 2001, 41, 399–406. [Google Scholar] [CrossRef]
- Malhotra, P.; Basu, S. The intricate role of ecdysis triggering hormone signaling in insect development and reproductive regulation. Insects 2023, 14, 711. [Google Scholar] [CrossRef]
- Tobacman, L.S. Troponin revealed: Uncovering the structure of the thin filament on-off switch in striated muscle. Biophys. J. 2021, 120, 1–9. [Google Scholar] [CrossRef]
- Devi, S.; Adiyodi, R.G. Effect of multiple limb autotomy on oogenesis and somatic growth in Paratelphusa hydromous. Trop. Freshw. Biol. 2000, 9, 43–56. [Google Scholar]
- Fleming, P.A.; Muller, D.; Bateman, P.W. Leave it all behind: A taxonomic perspective of autotomy in invertebrates. Biol. Rev. 2007, 82, 481–510. [Google Scholar] [CrossRef]
- Xu, Y.-R.; Wang, G.-Y.; Zhou, Y.-C.; Yang, W.-X. The characterization and potential roles of bone morphogenetic protein 7 during spermatogenesis in Chinese mitten crab Eriocheir sinensis. Gene 2018, 673, 119–129. [Google Scholar] [CrossRef]
- Shu, L.; Yang, Y.; Huang, H.; Ye, H. A bone morphogenetic protein ligand and receptors in mud crab: A potential role in the ovarian development. Mol. Cell. Endocrinol. 2016, 434, 99–107. [Google Scholar] [CrossRef] [PubMed]
- Alwes, F.; Enjolras, C.; Averof, M. Live imaging reveals the progenitors and cell dynamics of limb regeneration. Elife 2016, 5, e19766. [Google Scholar] [CrossRef] [PubMed]
- Hopkins, P.; Durica, D. Effects of all-trans retinoic acid on regenerating limbs of the fiddler crab, Uca pugilator. J. Exp. Zool. 1995, 272, 455–463. [Google Scholar] [CrossRef]
- Wang, Y.; Huang, X.; Zhou, Q.; Tian, Y.; Zuo, J.; Yuan, Z.; Liu, Y.; Li, J.; Sun, J. Hippo Signaling Regulates Blastema Formation During Limb Regeneration in Chinese Mitten Crab (Eriocheir sinensis). Mar Biotechnol 2023, 25, 204–213. [Google Scholar] [CrossRef]
- Yokouchi, Y.; Sakiyama, J.-i.; Kameda, T.; Iba, H.; Suzuki, A.; Ueno, N.; Kuroiwa, A. BMP-2/-4 mediate programmed cell death in chicken limb buds. Development 1996, 122, 3725–3734. [Google Scholar] [CrossRef]
- Graff, J.M. Embryonic patterning: To BMP or not to BMP, that is the question. Cell 1997, 89, 171–174. [Google Scholar] [CrossRef]
- Cheifetz, S.; Weatherbee, J.A.; Tsang, M.L.-S.; Anderson, J.K.; Mole, J.E.; Lucas, R.; Massagué, J. The transforming growth factor-β system, a complex pattern of cross-reactive ligands and receptors. Cell 1987, 48, 409–415. [Google Scholar] [CrossRef]
- Beppu, H.; Kawabata, M.; Hamamoto, T.; Chytil, A.; Minowa, O.; Noda, T.; Miyazono, K. BMP type II receptor is required for gastrulation and early development of mouse embryos. Dev. Biol. 2000, 221, 249–258. [Google Scholar] [CrossRef]
- Yadin, D.; Knaus, P.; Mueller, T.D. Structural insights into BMP receptors: Specificity, activation and inhibition. Cytokine Growth Factor Rev. 2016, 27, 13–34. [Google Scholar] [CrossRef]
- Miyazono, K.; Kamiya, Y.; Morikawa, M. Bone morphogenetic protein receptors and signal transduction. J. Biochem. 2010, 147, 35–51. [Google Scholar] [CrossRef]
- Zhao, Y.; Li, X.; Wang, W.; Chen, X.; Yu, P.; Wang, J.; Xu, Y. Effect of BMPRIB gene silencing by siRNA on apoptosis and steroidogenesis of porcine granulosa cells. Genet. Mol. Res. 2014, 13, 9964–9975. [Google Scholar] [CrossRef] [PubMed]
- Wrana, J.L.; Attisano, L.; Cárcamo, J.; Zentella, A.; Doody, J.; Laiho, M.; Wang, X.-F.; Massague, J. TGFβ signals through a heteromeric protein kinase receptor complex. Cell 1992, 71, 1003–1014. [Google Scholar] [CrossRef]
- Rejon, C.A.; Hancock, M.A.; Li, Y.N.; Thompson, T.B.; Hébert, T.E.; Bernard, D.J. Activins bind and signal via bone morphogenetic protein receptor type II (BMPR2) in immortalized gonadotrope-like cells. Cell. Signal. 2013, 25, 2717–2726. [Google Scholar] [CrossRef]








| Groups | Gene ID | log2 (FC) | padj | NR Description |
|---|---|---|---|---|
| D0 and D18h | Cluster-10860.6202 | 5.9999 | 0.000 | ecdysis triggering hormone receptor [Macrobrachium nipponense] |
| Cluster-10860.5779 | 4.7732 | 0.000 | insulin-like receptor [Macrobrachium rosenbergii] | |
| Cluster-10860.5018 | 4.4719 | 0.000 | SET and MYND domain-containing protein 4-like [Penaeus vannamei] | |
| Cluster-10860.4916 | 2.9628 | 0.002 | multiple epidermal growth factor-like domains protein 8 [Penaeus vannamei] | |
| Cluster-10860.26681 | −4.2185 | 0.000 | ecdysteroid-regulated-like protein [Penaeus vannamei] | |
| Cluster-10860.10375 | 4.270 | 0.000 | mothers against decapentaplegic homolog 4-like [Penaeus vannamei] | |
| D0h and D14d | Cluster-10860.33757 | 7.8190 | 0.000 | myosin-IIIb-like [Penaeus vannamei] |
| Cluster-10860.11667 | 6.6466 | 0.000 | troponin C, isotype gamma-like isoform X1 [Penaeus vannamei] | |
| Cluster-10860.19895 | 5.9363 | 0.000 | leucine-rich repeat protein 1-like [Penaeus vannamei] | |
| Cluster-10860.31481 | 3.6982 | 0.000 | aurora kinase A-like isoform X2 [Penaeus vannamei] | |
| Cluster-10860.7806 | 3.5121 | 0.000 | muscle M-line assembly protein unc-89-like [Penaeus vannamei] | |
| Cluster-10860.29146 | 2.7223 | 0.000 | heat shock protein [Penaeus monodon] | |
| Cluster-10860.32350 | 1.8211 | 0.004 | actin 1 [Penaeus vannamei] | |
| Cluster-10860.27491 | −2.2381 | 0.001 | tetraspan 33 [Macrobrachium rosenbergii] | |
| Cluster-10860.6902 | −3.5287 | 0.000 | ankyrin-1-like isoform X2 [Penaeus vannamei] | |
| Cluster-10860.8082 | 6.8777 | 0.000 | blastula protease 10-like isoform X1 [Penaeus vannamei] | |
| D18h and D14d | Cluster-10860.26453 | 7.4777 | 0.000 | endothelial lipase-like [Penaeus vannamei] |
| Cluster-10860.21651 | 4.8378 | 0.000 | arylsulfatase B-like [Penaeus vannamei] | |
| Cluster-10860.22652 | 3.4228 | 0.000 | beta-glucuronidase-like [Penaeus vannamei] | |
| Cluster-10860.18694 | −2.4482 | 0.000 | trypsin-1-like [Penaeus vannamei] | |
| Cluster-10860.15113 | −3.9925 | 0.000 | suppressor of cytokine signaling [Penaeus vannamei] |
Disclaimer/Publisher’s Note: The statements, opinions and data contained in all publications are solely those of the individual author(s) and contributor(s) and not of MDPI and/or the editor(s). MDPI and/or the editor(s) disclaim responsibility for any injury to people or property resulting from any ideas, methods, instructions or products referred to in the content. |
© 2025 by the authors. Licensee MDPI, Basel, Switzerland. This article is an open access article distributed under the terms and conditions of the Creative Commons Attribution (CC BY) license (https://creativecommons.org/licenses/by/4.0/).
Share and Cite
Xing, C.; Li, Y.; Chen, Z.; Hu, Q.; Sun, J.; Chen, H.; Zou, Q.; Li, Y.; Yu, F.; Wang, C.; et al. Functional Study of the BMP Signaling Pathway in Appendage Regeneration of Exopalaemon carinicauda. Biology 2025, 14, 940. https://doi.org/10.3390/biology14080940
Xing C, Li Y, Chen Z, Hu Q, Sun J, Chen H, Zou Q, Li Y, Yu F, Wang C, et al. Functional Study of the BMP Signaling Pathway in Appendage Regeneration of Exopalaemon carinicauda. Biology. 2025; 14(8):940. https://doi.org/10.3390/biology14080940
Chicago/Turabian StyleXing, Chaofan, Yong Li, Zhenxiang Chen, Qingyuan Hu, Jiayi Sun, Huanyu Chen, Qi Zou, Yingying Li, Fei Yu, Chao Wang, and et al. 2025. "Functional Study of the BMP Signaling Pathway in Appendage Regeneration of Exopalaemon carinicauda" Biology 14, no. 8: 940. https://doi.org/10.3390/biology14080940
APA StyleXing, C., Li, Y., Chen, Z., Hu, Q., Sun, J., Chen, H., Zou, Q., Li, Y., Yu, F., Wang, C., Wang, P., & Shen, X. (2025). Functional Study of the BMP Signaling Pathway in Appendage Regeneration of Exopalaemon carinicauda. Biology, 14(8), 940. https://doi.org/10.3390/biology14080940

