Assessment of Lumbar Vertebrae L1–L7 and Proximal Femur Microstructure in Sheep as a Large Animal Model for Osteoporosis Research
Simple Summary
Abstract
1. Introduction
2. Materials and Methods
2.1. Animals and Housing
2.2. Anaesthetic and Surgical Protocols
2.3. X-Ray Micro-Computed Tomography (µCT)
2.4. Histology
2.5. Bone Histomorphometry
2.6. Statistical Analysis
3. Results
3.1. General Animal Welfare Observations
3.2. µCT Analysis
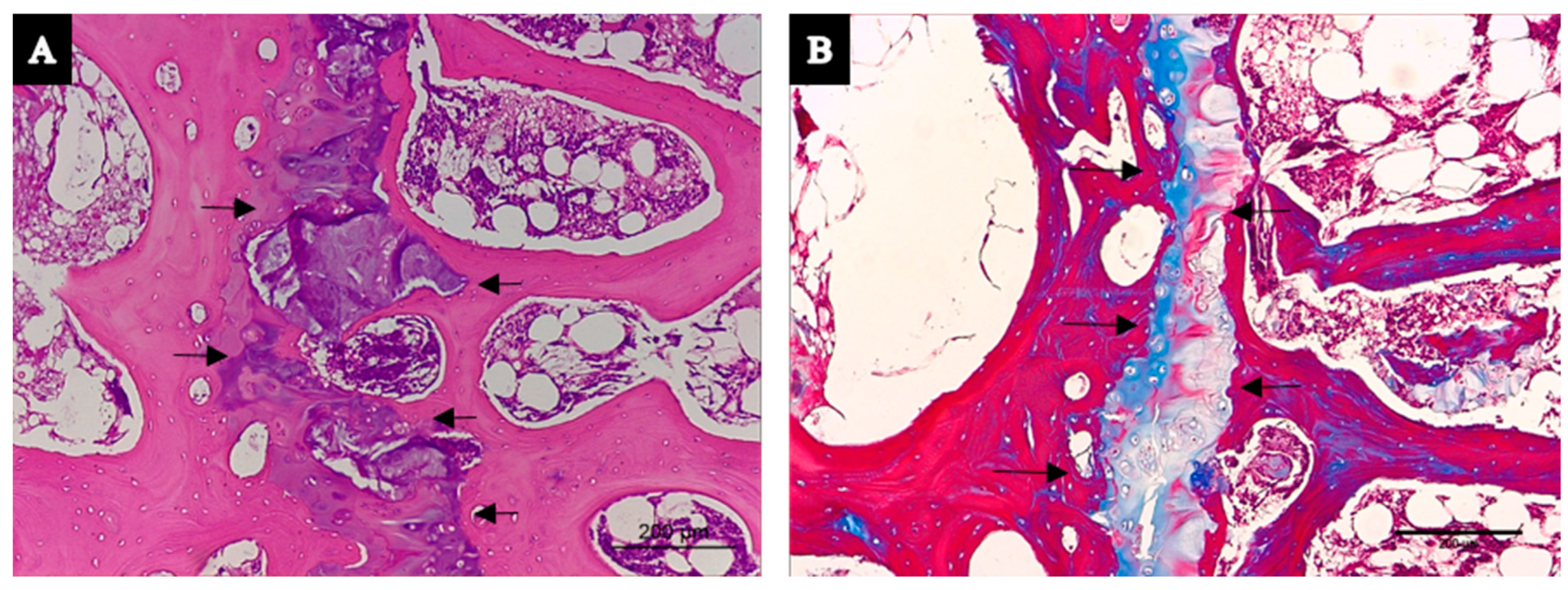
3.3. Histology
3.4. Bone Histomorphometry
4. Discussion
5. Conclusions
Author Contributions
Funding
Institutional Review Board Statement
Informed Consent Statement
Data Availability Statement
Conflicts of Interest
References
- Cauley, J.A. Osteoporosis. In Women and Health, 2nd ed.; Goldman, M.B., Troise, R., Rexrode, K.M., Eds.; Academic Press: Cambridge, MA, USA, 2013; pp. 929–942. [Google Scholar]
- Riggs, B.L.; Melton, L.J., 3rd. Involutional osteoporosis. N. Engl. J. Med. 1986, 314, 1676–1686. [Google Scholar] [CrossRef] [PubMed]
- Riggs, B.L.; Khosla, S.; Atkinson, E.J.; Dunstan, C.R.; Melton, L.J. Evidence that type I osteoporosis results from enhanced responsiveness of bone to estrogen deficiency. Osteoporos. Int. 2003, 14, 728–733. [Google Scholar] [CrossRef]
- Andersen, T.L.; Sondergaard, T.E.; Skorzynska, K.E.; Dagnaes-Hansen, F.; Plesner, T.L.; Hauge, E.M.; Plesner, T.; Delaisse, J.M. A physical mechanism for coupling bone resorption and formation in adult human bone. Am. J. Pathol. 2009, 174, 239–247. [Google Scholar] [CrossRef]
- Matsuo, K.; Irie, N. Osteoclast-osteoblast communication. Arch. Biochem. Biophys. 2008, 473, 201–209. [Google Scholar] [CrossRef]
- Bonewald, L.F. The amazing osteocyte. J. Bone Miner. Res. 2011, 26, 229–238. [Google Scholar] [CrossRef]
- Meikle, M.C. The tissue, cellular, and molecular regulation of orthodontic tooth movement: 100 Years after Carl Sandstedt. Eur. J. Orthod. 2006, 28, 221–240. [Google Scholar] [CrossRef]
- Teitelbaum, S.L. Osteoclasts: What do they do and how do they do it? Am. J. Pathol. 2007, 170, 427–435. [Google Scholar] [CrossRef]
- Liu, W.; Xu, C.; Zhao, H.; Xia, P.; Song, R.; Gu, J.; Liu, X.; Bian, J.; Yuan, Y.; Liu, Z. Osteoprotegerin induces apoptosis of osteoclasts and osteoclast precursor cells via the fas/fas ligand pathway. PLoS ONE 2015, 10, e0142519. [Google Scholar] [CrossRef] [PubMed]
- Ikeda, K.; Takeshita, S. The role of osteoclast differentiation and function in skeletal homeostasis. J. Biochem. 2016, 159, 1–8. [Google Scholar] [CrossRef] [PubMed]
- Kapasa, E.; Giannoudis, P.; Jia, X.; Hatton, P.; Yang, X. The effect of RANKL/OPG balance on reducing implant complications. J. Funct. Biomater. 2017, 8, 42. [Google Scholar] [CrossRef]
- Streicher, C.; Heyny, A.; Andrukhova, O.; Haigl, B.; Slavic, S.; Schüler, C.; Kollmann, K.; Kantner, I.; Sexl, V.; Kleiter, M.; et al. Estrogen Regulates Bone Turnover by Targeting RANKL Expression in Bone Lining Cells. Sci. Rep. 2017, 7, 6460. [Google Scholar] [CrossRef]
- Feng, X.; McDonald, J.M. Disorders of bone remodelling. Annu. Rev. Pathol. 2011, 6, 121–145. [Google Scholar] [CrossRef]
- Lerner, U.H. Bone remodeling in post-menopausal osteoporosis. J. Dent. Res. 2006, 85, 584–595. [Google Scholar] [CrossRef] [PubMed]
- Cheng, C.-H.; Chen, L.-R.; Chen, K.-H. Osteoporosis Due to Hormone Imbalance: An Overview of the Effects of Estrogen Deficiency and Glucocorticoid Overuse on Bone Turnover. Int. J. Mol. Sci. 2022, 23, 1376. [Google Scholar] [CrossRef]
- Mellibovsky, L.; Prieto-Alhambra, D.; Mellibovsky, F.; Güerri-Fernández, R.; Nogués, X.; Randall, C.; Hansma, P.K.; Díez-Perez, A. Bone tissue properties measurement by reference point indentation in glucocorticoid-induced osteoporosis. J. Bone Miner. Res. 2015, 30, 1651–1656. [Google Scholar] [CrossRef]
- Sato, A.Y.; Cregor, M.; Delgado-Calle, J.; Condon, K.W.; Allen, M.R.; Peacock, M.; Plotkin, L.I.; Bellido, T. Protection from glucocorticoid-induced osteoporosis by anti-catabolic signaling in the absence of Sost/Sclerostin. J. Bone Miner. Res. 2016, 31, 1791–1802. [Google Scholar] [CrossRef] [PubMed]
- Buckley, L.; Guyatt, G.; Fink, H.A.; Cannon, M.; Grossman, J.; Hansen, K.E.; Humphrey, M.B.; Lane, N.E.; Magrey, M.; Miller, M.; et al. 2017 American College of Rheumatology Guideline for the Prevention and Treatment of Glucocorticoid-Induced Osteoporosis. Arthrit. Care Res. 2017, 69, 1095–1110. [Google Scholar] [CrossRef]
- Humphrey, M.B.; Russell, L.; Danila, M.I.; Fink, H.A.; Guyatt, G.; Cannon, M.; Caplan, L.; Gore, S.; Grossman, J.; Hansen, K.E.; et al. 2022 American College of Rheumatology Guideline for the Prevention and Treatment of Glucocorticoid-Induced Osteoporosis. Arthritis Rheumatol. 2023, 75, 2088–2102. [Google Scholar] [CrossRef] [PubMed]
- Aerssens, J.; Boonen, S.; Lowet, G.; Dequeker, J. Interspecies differences in bone composition, density, and quality: Potential implications for in vivo bone research. Endocrinology 1998, 139, 663–670. [Google Scholar] [CrossRef]
- Martini, L.; Fini, M.; Giavaresi, G.; Giardino, R. Sheep model in orthopedic research: A literature review. Comp. Med. 2001, 51, 292–299. [Google Scholar]
- Pearce, A.I.; Richards, R.G.; Milz, S.; Schneider, E.; Pearce, S.G. Animal models for implant biomaterial research in bone: A review. Eur. Cells Mater. 2007, 13, 1–10. [Google Scholar] [CrossRef] [PubMed]
- Arens, D.; Sigrist, I.; Alini, M.; Schawalder, P.; Schneider, E.; Egermann, M. Seasonal changes in bone metabolism in sheep. Vet. J. 2007, 174, 585–591. [Google Scholar] [CrossRef]
- Egermann, M.; Goldhahn, J.; Schneider, E. Animal models for fracture treatment in osteoporosis. Osteoporos. Int. 2005, 16, S129–S138. [Google Scholar] [CrossRef]
- Oheim, R.; Amling, M.; Ignatius, A.; Pogoda, P. Large animal model for osteoporosis in humans: The ewe. Eur. Cells Mater. 2012, 24, 372–385. [Google Scholar] [CrossRef]
- Oheim, R.; Schinke, T.; Amling, M.; Pogoda, P. Can we induce osteoporosis in animals comparable to the human situation? Injury 2016, 47, S3–S9. [Google Scholar] [CrossRef]
- Thompson, D.D.; Simmons, H.A.; Pirie, C.M.; Ke, H.Z. FDA guidelines and animal models for osteoporosis. Bone 1995, 17, S125–S133. [Google Scholar] [CrossRef]
- Andreasen, C.M.; Ding, M.; Overgaard, S.; Bollen, P.; Andersen, T.L. A reversal phase arrest uncoupling the bone formation and resorption contributes to the bone loss in glucocorticoid treated ovariectomised aged sheep. Bone 2015, 75, 32–39. [Google Scholar] [CrossRef]
- Jensen, P.R.; Andersen, T.L.; Abdallah, B.M.; Hauge, E.; Bollerslev, J.; Delaisse, J.M. Arrest of the reversal phase in postmenopausal and glucocorticoid-induced osteoporosis. J. Bone Miner. Res. 2011, 26, S57. [Google Scholar]
- Andersen, T.L.; Abdelgawad, M.E.; Kristensen, H.B.; Hauge, E.M.; Rolighed, L.; Bollerslev, J.; Kjærsgaard-Andersen, P.; Delaisse, J.M. Understanding coupling between bone resorption and formation: Are reversal cells the missing link? Am. J. Pathol. 2013, 183, 235–246. [Google Scholar] [CrossRef] [PubMed]
- El Khassawna, T.; Merboth, F.; Malhan, D.; Böcker, W.; Daghma, D.E.S.; Stoetzel, S.; Kern, S.; Hassan, F.; Rosenbaum, D.; Langenstein, J.; et al. Osteocyte regulation of receptor activator of NF-κB Ligand/osteoprotegerin in a sheep model of osteoporosis. Am. J. Pathol. 2017, 187, 1686–1699. [Google Scholar] [CrossRef] [PubMed]
- Dias, I.R.; Camassa, J.A.; Bordelo, J.A.; Babo, P.S.; Viegas, C.A.; Dourado, N.; Reis, R.L.; Gomes, M.E. Preclinical and translational studies in small ruminants (sheep and goat) as models for osteoporosis research. Curr. Osteoporos. Rep. 2018, 16, 182–197. [Google Scholar] [CrossRef]
- Francesca, S.; Deyanira, C.; Francesca, V.; Lucia, M.; Milena, F. Osteoporosis preclinical research: A systematic review on comparative studies using ovariectomized sheep. Int. J. Mol. Sci. 2022, 23, 8904. [Google Scholar] [CrossRef] [PubMed]
- Qi, Z.; Ye, G.; Liu, Z.; Zhang, J.; Xie, W.; Li, Y.; Yang, W. A review of osteoporotic vertebral fracture animal models. BioMed. Eng. OnLine 2025, 24, 40. [Google Scholar] [CrossRef] [PubMed]
- Zhang, Z.; Renb, H.; Shenb, G.; Qiub, T.; Lianga, D.; Yanga, Z.; Yaoa, Z.; Tanga, J.; Jianga, X.; Weic, Q. Animal models for glucocorticoid-induced postmenopausal osteoporosis: An updated review. Biomed. Pharmacother. 2016, 84, 438–446. [Google Scholar] [CrossRef] [PubMed]
- National Research Council. Nutrient Requirements of Sheep, 6th ed.; National Academies Press: Washington, DC, USA, 1985.
- Lill, C.; Fluegel, A.K.; Schneider, E. Effect of ovariectomy, malnutrition and glucocorticoid application on bone properties in sheep: A pilot study. Osteoporos. Int. 2002, 13, 480–486. [Google Scholar] [CrossRef]
- Schorlemmer, S.; Gohl, C.; Iwabu, S.; Ignatius, A.; Claes, L.; Augat, P. Glucocorticoid treatment of ovariectomized sheep affects mineral density, structure, and mechanical properties of cancellous bone. J. Bone Miner. Res. 2003, 18, 2010–2015. [Google Scholar] [CrossRef]
- Doube, M.; Kłosowski, M.M.; Arganda-Carreras, I.; Cordelières, F.P.; Dougherty, R.P.; Jackson, J.S.; Schmid, B.; Hutchinson, J.R.; Shefelbine, S.J. BoneJ: Free and extensible bone image analysis in ImageJ. Bone 2010, 47, 1076–1079. [Google Scholar] [CrossRef]
- Lill, C.A.; Gerlach, U.V.; Eckhardt, C.; Goldhahn, J.; Schneider, E. Bone changes due to glucocorticoid application in an ovariectomized animal model for fracture treatment in osteoporosis. Osteoporos. Int. 2002, 13, 407–414. [Google Scholar] [CrossRef]
- Zarrinkalam, M.R.; Beard, H.; Schultz, C.G.; Moore, R.J. Validation of the sheep as a large animal model for the study of vertebral osteoporosis. Eur. Spine J. 2009, 18, 244–253. [Google Scholar] [CrossRef]
- Eschler, A.; Röpenack, P.; Herlyn, P.K.; Roesner, J.; Pille, K.; Büsing, K.; Vollmar, B.; Mittlmeier, T.; Gradl, G.G. The standardized creation of a lumbar spine vertebral compression fracture in a sheep osteoporosis model induced by ovariectomy, corticosteroid therapy and calcium/phosphorus/vitamin D-deficient diet. Injury 2015, 46, S17–S23. [Google Scholar] [CrossRef]
- Kiełbowicz, Z.; Piątek, A.; Bieżyński, J.; Skrzypczak, P.; Kuropka, P.; Kuryszko, J.; Nikodem, A.; Kafarski, P.; Pezowicz, C. The experimental osteoporosis in sheep-clinical approach. Pol. J. Vet. Sci. 2015, 18, 645–654. [Google Scholar] [CrossRef][Green Version]
- Kiełbowicz, Z.; Piątek, A.; Kuropka, P.; Mytnik, E.; Nikodem, A.; Bieżyński, J.; Skrzypczak, P.; Pezowicz, C.; Kuryszko, J.; Reichert, P. Experimental osteoporosis in sheep-mechanical and histological approach. Pol. J. Vet. Sci. 2016, 19, 109–118. [Google Scholar] [CrossRef][Green Version]
- Cabrera, D.; Wolber, F.M.; Dittmer, K.; Rogers, C.; Ridler, A.; Aberdein, D.; Parkinson, T.; Chambers, P.; Fraser, K.; Roy, N.C.; et al. Glucocorticoids affect bone mineral density and bone remodelling in OVX sheep: A pilot study. Bone Rep. 2018, 9, 173–180. [Google Scholar] [CrossRef] [PubMed]
- Finkelstein, J.S.; Brockwell, S.E.; Mehta, V.; Greendale, G.A.; Sowers, M.R.; Ettinger, B.; Lo, J.C.; Johnston, J.M.; Cauley, J.A.; Danielson, M.E.; et al. Bone mineral density changes during the menopause transition in a multiethnic cohort of women. J. Clin. Endocrinol. Metab. 2008, 93, 861–868. [Google Scholar] [CrossRef] [PubMed]
- Osterhoff, G.; Morgan, E.F.; Shefelbine, S.J.; Karim, L.; McNamara, L.M.; Augat, P. Bone mechanical properties and changes with osteoporosis. Injury 2016, 47, S11–S20. [Google Scholar] [CrossRef] [PubMed]
- Payer, J.; Killinger, Z. Bone changes in hypercorticism. Rheumatology 1999, 13, 181–183. [Google Scholar]
- Payer, J.; Brazdilova, K.; Jackuliak, P. Management of glucocorticoid-induced osteoporosis: Prevalence, and emerging treatment options. Drug Healthc. Patient Saf. 2010, 2, 49–59. [Google Scholar] [CrossRef]
- Manolagas, S.C.; Weinstein, R.S. New development in the pathogenesis and treatment of steroid-induced osteoporosis. J. Bone Miner. Res. 1999, 14, 1061–1066. [Google Scholar] [CrossRef]
- Clarke, B. Normal bone anatomy and physiology. Clin. J. Am. Soc. Nephrol. 2008, 3, S131–S139. [Google Scholar] [CrossRef]
- Roux, J.P.; Wegrzyn, J.; Arlot, M.E.; Guyen, O.; Delmas, P.D.; Chapurlat, R.; Bouxsein, M.L. Contribution of trabecular and cortical components to biomechanical behavior of human vertebrae: An ex vivo study. J. Bone Miner. Res. 2010, 25, 356–361. [Google Scholar] [CrossRef]
- Hans, D.; Barthe, N.; Boutroy, S.; Pothuaud, L.; Winzenrieth, R.; Krieg, M.A. Correlations between trabecular bone score, measured using anteroposterior dual-energy X-ray absorptiometry acquisition, and 3-dimensional parameters of bone microarchitecture: An experimental study on human cadaver vertebrae. J. Clin. Densitom. 2011, 14, 302–312. [Google Scholar] [CrossRef] [PubMed]
- McLain, R.F.; Yerby, S.A.; Moseley, T.A. Comparative morphometry of L4 vertebrae: Comparison of large animal models for the human lumbar spine. Spine 2002, 27, E200–E206. [Google Scholar] [CrossRef]
- Hildebrand, T.; Laib, A.; Müller, R.; Dequeker, J.; Rüegsegger, P. Direct three-dimensional morphometric analysis of human cancellous bone: Microstructural data from spine, femur, iliac crest, and calcaneus. J. Bone Miner. Res. 1999, 14, 1167–1174. [Google Scholar] [CrossRef]
- Müller, R.A.; Henss, A.; Kampschulte, M.; Rohnke, M.; Langheinrich, A.C.; Heiss, C.; Janek, J.; Voigt, A.; Wilke, H.J.; Ignatius, A.; et al. Analysis of microscopic bone properties in an osteoporotic sheep model: A combined biomechanics, FE and ToF-SIMS study. J. R. Soc. Interface 2019, 16, 20180793. [Google Scholar] [CrossRef] [PubMed]
- Maenz, S.; Brinkmann, O.; Hasenbein, I.; Braun, C.; Kunisch, E.; Horberr, V.; Gunnella, F.; Sachse, A.; Bischoff, S.; Schubert, H.; et al. The old sheep: A convenient and suitable model for senile osteopenia. J. Bone Miner. Metab. 2000, 38, 620–630. [Google Scholar] [CrossRef] [PubMed]







| Lumbar Vertebrae | |||||||
|---|---|---|---|---|---|---|---|
| L1 | L2 | L3 | L4 | L5 | L6 | L7 | |
| Sham control group | |||||||
| BV/TV (%) | 46.6 ± 8.1 | 47.9 ± 5.7 | 43.9 ± 5.9 | 44.1 ± 5.8 | 44.3 ± 4.7 | 43.6 ± 4.1 | 43.3 ± 8.8 |
| BS/BV (1/mm) | 17.3 ± 2.3 | 18.5 ± 2.5 | 19.3 ± 1.8 | 18.1 ± 1.5 | 16.6 ± 1.7 | 17.4 ± 0.8 | 17.8 ± 2.0 |
| Tb.Th (mm) | 0.143 ± 0.017 | 0.146 ± 0.018 | 0.137 ± 0.028 | 0.134 ± 0.019 | 0.151 ± 0.014 | 0.141 ± 0.020 | 0.139 ± 0.027 |
| Tb.N (1/mm) | 3.29 ± 0.59 | 3.33 ± 0.40 | 3.26 ± 0.86 | 3.39 ± 0.88 | 3.27 ± 0.48 | 3.17 ± 0.69 | 2.84 ± 0.67 |
| Tb.Sp (mm) | 0.36 ± 0.05 | 0.37 ± 0.02 | 0.37 ± 0.05 | 0.35 ± 0.05 | 0.38 ± 0.04 | 0.38 ± 0.05 | 0.36 ± 0.02 |
| Po(cl) (%) | 0.24 ± 0.14 | 0.26 ± 0.12 | 0.25 ± 0.21 | 0.20 ± 0.13 | 0.19 ± 0.12 | 0.24 ± 0.20 | 0.18 ± 0.13 |
| Po(op) (%) | 53.3 ± 8.2 | 56.2 ± 5.7 | 59.9 ± 6.1 | 52.7 ± 5.9 | 55.7 ± 4.8 | 56.3 ± 4.1 | 56.6 ± 9.0 |
| Po(tot) (%) | 53.4 ± 8.1 | 56.3 ± 5.7 | 58.1 ± 5.9 | 52.9 ± 5.8 | 55.7 ± 4.7 | 56.4 ± 4.1 | 56.7 ± 8.8 |
| BMD (g/cm3) | 0.629 ± 0.130 | 0.627 ± 0.106 | 0.640 ± 0.094 | 0.663 ± 0.077 | 0.677 ± 0.129 | 0.629 ± 0.080 | 0.640 ± 0.123 |
| Experimental group (GC-treated and OVX sheep) | |||||||
| BV/TV (%) | 43.1 ± 5.5 | 45.6 ± 6.4 | 42.3 ± 4.0 | 42.5 ± 3.2 | 43.2 ± 5.5 | 43.9 ± 5.8 | 41.7 ± 4.8 |
| BS/BV (1/mm) | 18.2 ± 0.9 | 18.4 ± 2.8 | 19.6 ± 1.6 | 18.6 ± 0.6 | 17.8 ± 1.9 | 18.1 ± 1.7 | 18.4 ± 1.1 |
| Tb.Th (mm) | 0.137 ± 0.008 | 0.139 ± 0.018 | 0.132 ± 0.015 | 0.140 ± 0.007 | 0.142 ± 0.008 | 0.140 ± 0.011 | 0.143 ± 0.012 |
| Tb.N 1/mm | 3.14 ± 0.10 | 3.31 ± 0.64 | 3.25 ± 0.54 | 3.05 ± 0.37 | 3.05 ± 0.50 | 3.17 ± 0.63 | 2.93 ± 0.57 |
| Tb.Sp (mm) | 0.38 ± 0.05 | 0.39 ± 0.07 | 0.36 ± 0.03 | 0.40 ± 0.02 | 0.39 ± 0.08 | 0.37 ± 0.03 | 0.38 ± 0.05 |
| Po(cl) (%) | 0.18 ± 0.07 | 0.20 ± 0.09 | 0.21 ± 0.10 | 0.15 ± 0.11 | 0.17 ± 0.08 | 0.22 ± 0.18 | 0.15 ± 0.13 |
| Po(op) (%) | 56.8 ± 2.4 | 58.3 ± 6.4 | 57.6 ± 4.1 | 59.4 ± 3.3 | 58.2 ± 2.9 | 56.0 ± 5.9 | 58.3 ± 4.8 |
| Po(tot) (%) | 56.9 ± 2.5 | 58.4 ± 6.4 | 57.7 ± 4.0 | 59.5 ± 3.2 | 56.8 ± 5.5 | 56.5 ± 5.8 | 58.3 ± 4.8 |
| BMD (g/cm3) | 0.568 ± 0.013 | 0.607 ± 0.090 | 0.603 ± 0.101 | 0.598 ± 0.106 | 0.621 ± 0.116 | 0.626 ± 0.115 | 0.599 ± 0.116 |
| Femoral Heads | ||
|---|---|---|
| Sham Control Group | Experimental Group (CG-Treated and OVX Sheep) | |
| BV/TV (%) | 47.2 ± 4.5 | 45.1 ± 3.6 |
| BS/BV (1/mm) | 32.2 ± 10.6 | 23.6 ± 8.0 |
| Tb.Th (mm) | 0.17 ± 0.01 | 0.12 ± 0.07 |
| Tb.N 1/mm | 7.02 ± 1.81 | 4.94 ± 2.10 |
| Tb.Sp (mm) | 0.37 ± 0.05 | 0.41 ± 0.05 |
| Po(cl) (%) | 0.87 ± 0.33 | 0.77 ± 0.45 |
| Po(op) (%) | 52.4 ± 4.5 | 56.6 ± 3.8 |
| Po(tot) (%) | 52.8 ± 4.5 | 54.9 ± 3.6 |
| BMD (g/cm3) | 0.785 ± 0.051 | 0.656 ± 0.039 * |
Disclaimer/Publisher’s Note: The statements, opinions and data contained in all publications are solely those of the individual author(s) and contributor(s) and not of MDPI and/or the editor(s). MDPI and/or the editor(s) disclaim responsibility for any injury to people or property resulting from any ideas, methods, instructions or products referred to in the content. |
© 2025 by the authors. Licensee MDPI, Basel, Switzerland. This article is an open access article distributed under the terms and conditions of the Creative Commons Attribution (CC BY) license (https://creativecommons.org/licenses/by/4.0/).
Share and Cite
Camassa, J.A.; Barros, V.V.; Babo, P.S.; Pereira, F.A.M.; Morais, J.J.L.; Fertuzinhos, A.; Azevedo, J.T.; Reis, R.L.; Gomes, M.E.; Martins-Bessa, A.; et al. Assessment of Lumbar Vertebrae L1–L7 and Proximal Femur Microstructure in Sheep as a Large Animal Model for Osteoporosis Research. Biology 2025, 14, 1031. https://doi.org/10.3390/biology14081031
Camassa JA, Barros VV, Babo PS, Pereira FAM, Morais JJL, Fertuzinhos A, Azevedo JT, Reis RL, Gomes ME, Martins-Bessa A, et al. Assessment of Lumbar Vertebrae L1–L7 and Proximal Femur Microstructure in Sheep as a Large Animal Model for Osteoporosis Research. Biology. 2025; 14(8):1031. https://doi.org/10.3390/biology14081031
Chicago/Turabian StyleCamassa, José A., Vera V. Barros, Pedro S. Babo, Fábio A. M. Pereira, José J. L. Morais, Aureliano Fertuzinhos, Jorge T. Azevedo, Rui L. Reis, Manuela E. Gomes, Ana Martins-Bessa, and et al. 2025. "Assessment of Lumbar Vertebrae L1–L7 and Proximal Femur Microstructure in Sheep as a Large Animal Model for Osteoporosis Research" Biology 14, no. 8: 1031. https://doi.org/10.3390/biology14081031
APA StyleCamassa, J. A., Barros, V. V., Babo, P. S., Pereira, F. A. M., Morais, J. J. L., Fertuzinhos, A., Azevedo, J. T., Reis, R. L., Gomes, M. E., Martins-Bessa, A., Viegas, C. A., de Freitas, S. H., Dourado, N., & Dias, I. R. (2025). Assessment of Lumbar Vertebrae L1–L7 and Proximal Femur Microstructure in Sheep as a Large Animal Model for Osteoporosis Research. Biology, 14(8), 1031. https://doi.org/10.3390/biology14081031

