You are currently viewing a new version of our website. To view the old version click .
Biology
  • Article
  • Open Access

17 March 2025

Effects of Difenoconazole on Tubifex tubifex: Antioxidant Activity, Insights from GUTS Predictions, and Multi-Biomarker Analysis

,
,
and
1
Department of Zoology, West Bengal State University, North 24 Paraganas, Barasat 700126, West Bengal, India
2
Fisheries and Ecotoxicology Research Laboratory, Department of Zoology, The University of Burdwan, Burdwan 713104, West Bengal, India
3
Istituto Zooprofilattico Sperimentale del Piemonte, Liguria e Valle d’Aosta, 10154 Torino, Italy
4
Department of Zoology, Bidhannagar College, Bidhannagar, Kolkata 700064, West Bengal, India
This article belongs to the Section Toxicology

Simple Summary

The widespread use of pesticides in agriculture can pollute waterbodies, posing risks to aquatic life and human health. Difenoconazole, a commonly used fungicide, may affect freshwater organisms like Tubifex tubifex, but its impact is not well understood. This study investigated how difenoconazole influences the health of these worms by analyzing changes in their antioxidant enzyme activity. The results showed that even low concentrations of the pesticide reduced the worms’ ability to cope with environmental stress, potentially affecting their survival and behavior. Higher concentrations were found to be lethal within a short period. These findings suggest that long-term exposure to difenoconazole could lead to a decline in worm populations, which are important for maintaining aquatic ecosystem balance. Understanding these effects can contribute to improved environmental protection measures and sustainable agricultural practices.

Abstract

The increasing demand for agricultural products has led to a rise in pesticide use, resulting in the pollution of aquatic habitats and raising significant health concerns for both aquatic life and humans. Difenoconazole, a triazole fungicide, is becoming increasingly popular in agriculture, yet its effects on non-target organisms, such as annelids, are not well understood. This study aimed to investigate the toxicological effects of difenoconazole and assess its potential impact on toxicity biomarkers, using Tubifex tubifex as a model organism, to better understand the ecotoxicity of difenoconazole on freshwater annelids. The 96-h LC50 value of difenoconazole was determined to be 2.68 mg/L. Sublethal concentrations (10% and 20% of the 96-h LC50 value; 0.268 and 0.536 mg/L, respectively) caused significant changes in the activities of oxidative stress enzymes. A concentration- and time-dependent decrease in the activities of superoxide dismutase (SOD), catalase (CAT), and glutathione transferase (GST) was observed compared to control organisms. Additionally, malondialdehyde (MDA) concentrations increased throughout the exposure period. An Integrated Biomarker Response (IBR) assessment was used to characterize and illustrate the impact of difenoconazole on T. tubifex. In conclusion, exposure to this fungicide appears to reduce the survival rate of T. tubifex at acute levels and disrupt its normal behavioral patterns. Moreover, it alters oxidative stress enzyme levels during sublethal exposure. Long-term exposure to the fungicide could potentially have population-level consequences, including a reduction in the number of individuals within a population.

1. Introduction

Agriculture commonly employs pesticides to enhance crop yields [1,2]. The use of fungicides as both preventive and curative agents against fungal diseases is widespread globally [3]. However, the extensive and improper application of fungicides can have detrimental effects on both animals and plants [4]. Fungicides significantly reduce the richness and abundance of terrestrial and aquatic animals, as well as microbial life. They also contaminate drinking water sources, which are critical for human well-being [5]. Pesticides can infiltrate various food chains, including those involving humans. These chemicals can accumulate in the bodies of aquatic and terrestrial animals, eventually reaching humans and causing harmful effects [6,7,8,9]. Therefore, the use of these substances should be regulated based on scientific principles to minimize potential harm to health and the environment [10].
Fungicides containing the azole group are widely used in agriculture, veterinary medicine, and human medicine as broad-spectrum antifungal agents [11,12]. Based on their structural characteristics, azoles are classified into imidazoles (with two nitrogen atoms) and triazoles (with three nitrogen atoms) [13]. Triazole fungicides are among the most widely used pesticides in agriculture due to their broad spectrum, long-lasting effects, and high efficiency [14]. Azole substances account for approximately 20–25% of the global fungicide market’s value, largely driven by their role in crop protection [15]. However, this extensive use has led to the accumulation of toxic residues in surface waters and everyday environments, harming both ecosystems and animal health [16].
Difenoconazole, a triazole fungicide, currently holds a significant share of the global pesticide market [17]. It is commonly applied to various crops, including broccoli, winter wheat, rapeseed, cabbage, cauliflower, and Brussels sprouts [18]. This fungicide inhibits fungal growth by inactivating the cytochrome P450 enzyme (CYP51), which is involved in ergosterol biosynthesis [3]. Difenoconazole is highly persistent in water and soil due to its chemical stability, poor biodegradability, and ease of transfer [17]. Consequently, it has been detected in agricultural water and surface layers of water worldwide. For example, the concentrations of difenoconazole have reached up to 0.028 mg/L in agricultural water in Thailand [19], 1.98−2.91 mg/L in paddy water in China [20], and 0.30 mg/L in surface water in Malaysia [21], with a value of 0.15 µg/L also recorded [22].
Short-term exposure to difenoconazole appears to be more harmful to aquatic species than other triazole fungicides [23]. While numerous studies have assessed the toxicity and safety of difenoconazole in various animals, these have mostly involved standard model organisms, such as fish, daphnia, algae, and bees [24,25,26,27,28]. Difenoconazole is highly toxic to the aquatic species Daphnia magna, causing severe chronic toxicity with a NOEC of 0.0056 mg/L [29]. This substance has also been found to inhibit brain and ovarian aromatase activities in rainbow trout [30]. It affects various behavioral and physiological endpoints, as well as development and gene expression, in both adult and larval zebrafish (Danio rerio) [31]. Additionally, difenoconazole has been shown to damage the antioxidant system, promote apoptosis in carp spleen tissue, and cause cardiotoxicity [17,32]. Recent research by Dornelas et al. [33] suggests that difenoconazole reduces the fertility and fecundity of Girardia tigrina, a non-target aquatic organism. Despite toxicological studies on difenoconazole involving many phyla, data on its effects on annelids remain scarce. Therefore, further environmental toxicological studies are needed to assess the risks posed by difenoconazole to aquatic organisms.
A variety of biomarkers or early indicators, such as behavioral changes, oxidative stress, and histoarchitectural alterations, can be used to evaluate the health of aquatic organisms [34,35,36,37,38]. To combat free radicals, animals produce antioxidant enzymes such as superoxide dismutase (SOD), catalase (CAT), and glutathione transferases (GSTs) [39,40]. Changes in these antioxidant enzymes are typically viewed as potential indicators of increase reactive oxygen production (ROS) production. Moreover, excessive ROS production can damage various cellular components, including proteins, DNA, and lipids, potentially altering the histopathology of the affected tissues [41].
In this study, we have selected the freshwater oligochaete worm Tubifex tubifex as our model organism. This species is highly tolerant of toxic and polluted conditions, as well as low oxygen levels, making it ideal for studying the effects of water and sediment contamination. Additionally, it is easy to breed in laboratory conditions. Therefore, the present investigation aims to evaluate the toxicological impact of difenoconazole on Tubifex tubifex across various behavioral and physiological endpoints. The mortality rate of Tubifex tubifex was assessed using an acute toxicity test with difenoconazole. The worms’ behavioral responses and the percentage of autotomy were observed at different concentrations of the fungicide. Histological architecture, as well as the activities of several antioxidant enzymes (CAT, SOD, and GST) and levels of oxidative damage of lipids (MDA) were assessed after sub-acute exposure to the fungicide. IBR analysis was performed to evaluate the efficacy of stress enzymes in Tubifex tubifex exposed to sublethal concentrations of difenoconazole.

2. Material and Methods

2.1. Chemicals

The commercially available fungicide difenoconazole (Syngenta Score, 25% EC) and other chemicals and reagents were obtained from Sisco Research Laboratories Pvt. Ltd. (SRL), Mumbai, India, and HiMedia Laboratories Pvt. Ltd., Mumbai, India.

2.2. Test Animal

Mature Tubifex tubifex, a species from the order Tubificidae, were purchased from a local market in Bardhaman, West Bengal, India. The worms were reacclimated to laboratory conditions by placing them in a plastic tray with clean, unchlorinated running tap water for 24 h. Only healthy and physically active organisms with an average length of 3.05 ± 0.07 cm were selected. After acclimation, they were transferred to 250 mL glass beakers containing 200 mL of tap water. The water used for the experimental bioassay was maintained at the following physicochemical parameters: temperature = 20.6 ± 1.67 °C, pH = 7.35 ± 0.4, free CO2 = 17.9 ± 1.34 mg/L, dissolved oxygen = 6.64 ± 0.37 mg/L, total alkalinity = 188.4 ± 2.16 mg/L as CaCO3, and hardness = 130.4 ± 1.87 mg/L as CaCO3.

2.3. QA/QC (Quality Assurance/Quality Control) Procedure

The extraction and desorption conditions were determined based on previous studies [42,43]. The extraction process used 100 mL of the sample. Menezes et al. [42] evaluated LPME (Liquid-Phase Microextraction) samples in two and three phases, including variables such as salt addition, stirring speed, and extraction time. A 6.0 cm long hollow polypropylene fiber with an internal diameter of 600 μm and a wall thickness of 200 μm was used for extractions. All studies were conducted in triplicate. The investigation was carried out using a Shimadzu GC/MS system (model GC−2010/QP−2010) from Kyoto, Japan. A capillary column (30 m × 0.25 mm × 0.25 μm) with 5% diphenyl and 95% dimethylpolysiloxane (HP-5MS) from Agilent Technology Inc. (Santa Clara, CA, USA) was utilized. Nominal concentrations were used throughout the experiment, as the difference between the nominal and observed values was less than 5% (Table S1; Figure S1). After every five batches of sample analysis, standard reference materials were used to detect deviations from calibration standards and to eliminate equipment drift [44]. All samples were tested multiple times to ensure precision and accuracy, with a detection limit of 0.006 mg/L determined through the analysis of spiked samples.

2.4. Median Lethal Concentration Determination

Acute toxicity tests were conducted in 250 mL glass beakers containing 200 mL of water, with 10 worms in each beaker. For greater statistical validity, each experiment was conducted in triplicate. Initially, a range-finding test was used to determine the concentration range at which mortality occurred. Tubifex tubifex was then exposed to various nominal concentrations of the fungicide difenoconazole (2.00, 2.50, 3.00, 3.50, 4.00, 4.50, 5.00, 5.50, 6.00, and 6.50 mg/L) along with a non-exposed control group. During the 96 h acute toxicity bioassay, 10% of the medium was replaced daily, with the corresponding amount of difenoconazole added to maintain the desired toxicant concentration in the closed environment. The worms were observed every 24 h over the 96 h period to assess mortality and survivability. Mortality was confirmed when T. tubifex stopped responding even after being touched with a clean pointed paintbrush. The median lethal concentration (LC50) of difenoconazole for T. tubifex was determined using Finney’s Probit statistical tool [45]. Additionally, the Kaplan–Meier survival plot was used to demonstrate the adverse effects of difenoconazole on the overall survivability of the worms.

2.5. Behavioral Observation

A semi-quantitative scoring technique, as described by Dhara et al. [46], was used to examine the physiological and behavioral changes induced by toxicants. Observations were made at 24 h intervals during the 96 h exposure period, noting behavioral indicators such as mucus release, hyperactivity, clumping tendency, and wrinkling.

2.6. Oxidative Stress Biomarkers

Two sublethal concentrations of difenoconazole (10% and 20% of the 96-h LC50 value, i.e., 0.268 mg/L and 0.536 mg/L, respectively) were used to study the oxidative stress enzyme levels. Tubifex tubifex, weighing approximately 5 g, were transferred from the stock tray to experimental aquariums containing 3 L of chlorine-free tap water. Control worms were placed in a separate aquarium with 3 L of toxin-free tap water. These experimental setups were performed in triplicate, with 10% of the test medium replaced every 2–3 days. On days 1, 7, and 14, 1.0 g of Tubifex worms from the control and difenoconazole-treated aquariums were removed, homogenized in phosphate buffer, and centrifuged at 10,000 rpm for 15 min at 4 °C; the supernatant was stored at −20 °C until enzymatic analysis. Protein concentrations of each sample were determined using the Bradford (1976) method.
The activities of superoxide dismutase (SOD), catalase (CAT), and glutathione S-transferase (GST) and the concentration of malondialdehyde (MDA) were estimated according to published protocols [47,48,49,50]. SOD, CAT, and GST activities were expressed in units of U/mg protein, while MDA activity was expressed in nmol TBARS/min/mg protein.

2.7. Integrated Biomarker Response (IBR)

The Integrated Biomarker Response (IBR) is a model that synthesizes multiple biomarkers to better understand environmental health risks. This model is easily integrated into environmental control frameworks [9,34,51,52]. The IBR index provides a comprehensive measure of the involvement of stress factors in the physiological changes of fish and other aquatic organisms [53]. Oxidative stress biomarkers were measured and integrated using IBR, and the responses of T. tubifex to difenoconazole were evaluated using radar plots [54].

2.8. Histological Alterations

Histopathological analysis was conducted after 14 days of exposure. Worms from the control, T1, and T2 treatment groups (n = 60, 10 worms per replicate) were sacrificed, and their tissues were collected. The tissues were fixed in 4% formalin for 48 h, dehydrated in graded alcohols, cleared with xylene, and embedded in paraffin wax. Sections 5 μm thick were cut using an automated microtome (RM-2155, Leica, Vienna, Austria), stained with hematoxylin and eosin (H&E), and mounted in DPX. The slides were examined using a binocular research microscope connected to a digital camera (model: DIGI510, Dewinter, New Delhi, India, with a 5.1 MP camera, 1/2.5″ Aptina CMOS sensor).

2.9. Statistical Analysis

The LC50 values and their fiducial intervals were calculated using IBM SPSS Statistics (v. 26) software with probit analysis based on the mean mortality of Tubifex tubifex after 24, 48, 72, and 96 h of exposure [55]. Data analysis was conducted using GraphPad Prism (version 9.5.0) and R Studio (version 1.4.1564), and diagrams were created accordingly. Kaplan–Meier analysis was used to predict the survival of the test organisms during exposure. The General Unified Threshold model of Survival (GUTS) was applied using the standalone open-source OpenGUTS program, providing evidence to support the survivability prediction. This analysis helped determine the mechanisms of action of difenoconazole on Tubifex tubifex. Two-way ANOVA and Tukey’s post hoc analysis were employed to identify differences between the control and treated groups. Statistical significance was considered at levels of p < 0.05. The toxicity factor (TF) of this chemical was calculated according to the formula developed by [56] based on different exposure periods (24, 48, 72, and 96 h):
T o x i c i t y   f a c t o r   T F = L C 50   v a l u e   a t   24   h L C 50   v a l u e   a t   a n y   o t h e r   e x p o s u r e   p e r i o d

3. Results and Discussion

3.1. Acute Toxicity Assessments (96 h)

3.1.1. Determination of the Lethal Concentrations

The lethal concentrations (LC10, LC20, LC30, LC40, and LC50) of difenoconazole for Tubifex tubifex over a 96 h period, with 24 h intervals, are presented in Table 1, along with their 95% confidence intervals. No mortality was observed in the control group throughout the experiment. The mortality rate of the test animals was found to be significantly correlated with both the concentration of the toxicant and the duration of exposure, increasing in a concentration- and time-dependent manner (Figure 1). Additionally, the Kaplan–Meier survival curve indicates that difenoconazole significantly reduced the overall survival rates of the exposed test animals compared to the controls, with the effects dependent on both concentration and exposure duration (Mantel log-rank test; p < 0.05) (Figure 2).
Table 1. Lethal concentrations (LC10, LC20, LC30, LC40, and LC50) with 95% fiducial limits of difenoconazole to Tubifex tubifex at exposure times of 24, 48, 72, and 96 h.
Figure 1. Mean percent mortality of Tubifex tubifex exposed to various concentrations of difenoconazole (2.00, 2.50, 3.00, 3.50, 4.00, 4.50, 5.50, 6.00, and 6.50 mg/L) over different exposure periods (24, 48, 72, and 96 h).
Figure 2. Kaplan–Meier survival curves for Tubifex tubifex exposed to different concentrations of difenoconazole, analyzed using the log-rank (Mantel–Cox) test (Chi-square = 116.7; df = 10; p < 0.0001).
In this study, the LC50 values of difenoconazole for T. tubifex at 24, 48, 72, and 96 h were determined to be 3.456, 3.094, 2.994, and 2.680 mg/L, respectively. These values are lower than the LC50 values reported for many other aquatic species [57,58,59,60]. Ahmad et al. reported that the 24 h LC50 value of difenoconazole observed for freshwater shrimp (Macrobrachium lanchesteri) was determined to be 2.91 mg/L [57]. The variations in LC50 values are likely due to differences in the size, age, and health condition of the test species, as well as variations in the physicochemical properties of the water [61,62,63]. Based on these comparisons, we conclude that T. tubifex is less resistant to difenoconazole than other aquatic invertebrates, as indicated by the lower LC50 values observed in this study compared to those reported in the literature.

3.1.2. General Unified Threshold Model of Survival (GUTS) Analysis

The environmental effects of propiconazole were assessed by analyzing its toxicokinetic–toxicodynamic (TKTD) data at various concentrations and over time. To validate these findings, the General Unified Threshold Model for Survival (GUTS)-modified TKTD model was used.
In the GUTS-SD simulation analysis, the survival rate was accurately predicted at 0 mg/L for all levels of difenoconazole but was overestimated at 2.00 mg/L (Figure 3a). Similarly, in the GUTS-IT model simulation, the survival rates were accurately predicted at 0 mg/L for all concentrations of difenoconazole but were overestimated at 6.00 and 6.50 mg/L and underestimated at 2.00 mg/L (Figure 3b). The observed and predicted survival plots for difenoconazole are shown in Figure 4a,b. The GUTS-SD model demonstrated a better fit for these fungicides compared to the GUTS-IT model, as indicated by the Akaike Information Criterion (AIC) values (GUTS-SD = 203.66; GUTS-IT = 204.9). Lower AIC values suggest a better fit.
Figure 3. Relative fit of observed and fitted values of the (a) GUTS-SD and (b) GUTS-IT models at different difenoconazole exposure concentrations to Tubifex tubifex.
Figure 4. Comparison of the parameters estimated using the General Unified Threshold Model for Survival (GUTS); observed vs. predicted survival plot of propiconazole for the calibration of the (a) GUTS-RED-SD and (b) GUTS-RED-IT models.
The GUTS analysis revealed that the GUTS-SD model is a more accurate predictor for the survival rate (LC50, LC10) of difenoconazole in T. tubifex than the GUTS-IT model (Table 2). The GUTS-SD model provided a reliable 4-day LC50 value of 2.351 mg/L, consistent with experimental LC50 values. Additionally, the model estimated the 100-day lethal concentration at 50% (LC50) for difenoconazole to be 1.86 mg/L (Table 2). Given the susceptibility of T. tubifex to difenoconazole, these findings are valuable for determining the Regulatory Acceptable Concentration (RAC) for aquatic environments exposed to organic acid pollutants over extended periods.
Table 2. Predicted LC50 and LC10 values (mg/L) of difenoconazole using GUTS-SD modeling for 1, 2, 3, 4, 7, 21, 50, and 100 days with 95% confidence intervals (CIs).

3.1.3. Evaluation of the Toxicity Factors

Table 3 presents the toxicity factor values for T. tubifex exposed to difenoconazole over different durations (24, 48, 72, and 96 h).
Table 3. Toxicity factors of difenoconazole at 24, 48, 72, and 96 h exposures to Tubifex tubifex.
The toxicity factor of difenoconazole for T. tubifex increased progressively with longer exposure times, from 24 to 96 h. Acute toxicity refers to the harmful effects of a substance resulting from either a single exposure or repeated exposures within a short period [64]. Acute toxicity assessments typically focus on dose-dependent adverse effects, with mortality being a primary endpoint [65]. A common method for evaluating toxicity is determining the LC50 value, which reflects the concentration at which 50% of the population is affected by the contaminant [66]. In this study, the toxicity factor (TF) was utilized to assess T. tubifex’s tolerance to difenoconazole at various exposure durations. Tolerance describes an organism’s ability to endure adverse environmental conditions, and calculating the toxicity factor helps quantify an organism’s sensitivity to a specific toxicant.

3.2. Sublethal Exposure Assessment

3.2.1. Alterations in Oxidative Stress Enzyme

Antioxidant enzymes serve as key biomarkers of oxidative stress by neutralizing reactive oxygen species (ROS) and certain pro-oxidative peptides under normal conditions. Tests involving T. tubifex exposed to difenoconazole were compared with control groups to evaluate oxidative stress responses. An analysis of these enzymes and MDA levels revealed significant changes: the CAT, SOD, and GST activities were notably suppressed, while the MDA concentration increased significantly (p < 0.05) in the difenoconazole-treated groups, as illustrated in Figure 5a–d. These findings are consistent with previous research [67,68].
Figure 5. Effects of different sublethal concentrations of difenoconazole on (a) SOD, (b) CAT, (c) GST, and (d) MDA levels in Tubifex tubifex at different exposure periods. T1 and T2 correspond to difenoconazole concentrations at 10% and 20% of the 96 h LC50 value (0.268 mg/L and 0.536 mg/L, respectively). Statistical significance is indicated as follows: * p ≤ 0.05, ** p ≤ 0.01, *** p ≤ 0.001, **** p ≤ 0.0001; ns = not significant.
SOD is a critical enzyme that protects cells from oxidative stress by converting reactive oxygen radicals into hydrogen peroxide (H2O2) through dismutation [69,70,71,72]. Our study observed a significant reduction in the SOD activity—15% and 38% on day 1 and 39% and 49% on day 7—at difenoconazole concentrations of 0.268 mg/L and 0.536 mg/L, respectively, compared to the control. On day 14, the SOD activity further decreased in both exposed groups. This decreases likely resulted from the generation of excess ROS, which oxidize cysteine residues in SOD, impairing its function or reducing its gene expression [73,74].
CAT functions as a crucial scavenger of hydrogen peroxide (H2O2), protecting cells from oxidative damage by mitigating oxygen radical toxicity [75]. In T. tubifex exposed to difenoconazole, the CAT activity was significantly reduced (p < 0.05). On day 1, the CAT activity was notably lower in the T2 group compared to the T1 group and the control. By day 7, the CAT activity decreased by 30% and 38%, and by day 14, it had decreased by 47% and 77% in the T1 and T2 groups, respectively. The reduction in CAT activity is likely due to peroxidative damage to essential cellular components and/or increased ROS production, similar to the findings in freshwater fish exposed to amino-triazole [76].
GST is a major biotransformation enzyme in phase II detoxification that facilitates the accumulation of glutathione (GSH) and detoxifies xenobiotics [77]. In our study, GST activity showed a minor increase in the T2 group but a slight decrease in the T1 group on day 1 compared to controls. The GST activity significantly declined by 53% and 67% on day 7 and further decreased by 62% and 92% on day 14 in the T1 and T2 groups, respectively. This sharp decline may be due to the downregulation of GST-related genes, leading to decreased enzyme activity [78]. The downregulation of GST genes can prevent nuclear transcription factors from binding to their promoter regions, resulting in excessive ROS production [79]. Previous studies have also shown that difenoconazole can reduce SOD, CAT, and GST mRNA expression in zebrafish [80], indicating that oxidative stress plays a role in difenoconazole-induced damage in T. tubifex. Similar GST level changes have been observed in Tubifex exposed to chitosan [81].
Oxidative stress leads to reactions between ROS and unsaturated fatty acids in cell membranes, resulting in lipid peroxidation (LPO). Increased LPO promotes further ROS generation [82,83]. LPO can be assessed via MDA levels, a sensitive marker of oxidative cell damage [84]. Elevated MDA levels were observed in both difenoconazole-exposed groups (T1 and T2) in a concentration- and time-dependent manner (Figure 5d), indicating enhanced ROS production [85]. Difenoconazole may increase MDA levels by interacting with polyunsaturated fatty acids under conditions of antioxidant enzyme deficiency, such as decreased GST activity [86]. Increased MDA levels can compromise cell membrane integrity, allowing toxic substances to enter and potentially cause DNA damage and apoptosis [87]. Similar MDA level increases were reported in Tubifex exposed to thallium for 15 days [88].
After 1 day of exposure, both GST and MDA did not differ (control vs. treatment organisms). The results indicated that the addition of difenoconazole increased the generation of reactive oxygen species (ROS). However, excessive ROS production impaired the effectiveness of these antioxidant enzymes, leading to the accumulation of malondialdehyde (MDA), mitochondrial dysfunction, and DNA damage [87]. Additionally, a two-way ANOVA analysis demonstrated that both the concentration of difenoconazole and the duration of exposure, as well as their interactions, significantly affected all oxidative stress biomarkers studied (SOD, CAT, GST, and MDA).

3.2.2. Integrated Biomarker Response

The Integrated Biomarker Response (IBR) index was employed to assess the overall stress caused by difenoconazole on Tubifex tubifex (Figure 6). The IBR is a robust method for consolidating multiple biomarkers into a single numerical value, providing a comprehensive measure of stress [54,89]. Generally, a high IBR indicates poor ecological conditions for the organism, whereas a low IBR suggests healthier ecological conditions [1,6,90].
Figure 6. IBR star plots for analyzing (a)-SOD, (b)-CAT, (c)-MDA, and (d)-GST biomarker responses in Tubifex tubifex exposed to different difenoconazole concentrations across varied exposure duration (days).
As shown in Table 4, control groups exhibited lower IBR values for SOD, CAT, MDA, and GST compared to the T1 and T2 treatment groups. Stress enzymes such as catalase (CAT), superoxide dismutase (SOD), and glutathione S-transferase (GST) are commonly used as biomarkers in toxicological studies [13]. However, relying on a single biomarker provides limited insight into the overall toxicity effects. Therefore, the IBR, which integrates multiple biomarkers, offers a more effective approach for interpreting the responses of organisms to toxicants [91,92,93]. Consequently, the toxicity of difenoconazole is more accurately assessed through oxidative stress biomarkers using IBR values.
Table 4. IBR values of different biomarkers to different difenoconazole exposure concentrations.

3.2.3. Correlation Analysis

Using oxidative stress biomarkers such as catalase (CAT), superoxide dismutase (SOD), malondialdehyde (MDA), and glutathione S-transferase (GST), the Pearson correlation matrix displays the significance level between difenoconazole exposure (mg/L) and the exposure duration in comparison with the control (Figure 7). The study found that as the level of difenoconazole increased, the MDA level in the worms increased.
Figure 7. Correlation plot between CAT, SOD, MDA, and GST after difenoconazole exposure to T. tubifex.

3.2.4. Histological Alterations

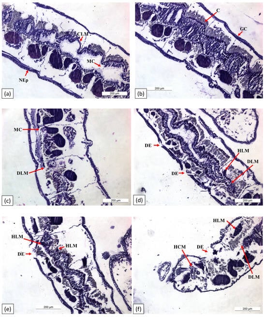
Longitudinal histological sections of the test worms revealed an outer layer of epithelial cells, or epidermis, that appeared continuous with the integumental surface (Figure 8). In the control group, the glandular cells of the epidermis (GC), epidermis (NEp), and longitudinal muscle (CLM) showed a normal appearance, with intact chloragogenous cells (Cs) and mucus channels (MCs) (Figure 8a,b).
Figure 8. Longitudinal section (H&E) of Tubifex tubifex. (a,b) Control: normal epidermis (NEp), glandular cells of the epidermis (GCs) and totally stretched continuity of the longitudinal muscle (CLM), chloragogenous cells (Cs), and mucus channel (MC) of worm; (c,d) treated with 0.268 mg/L difenoconazole: disintegrating epidermis (DE), extensive disintegration of longitudinal muscles (DLMs) and mucus channels (MCs) in segments, and hypertrophied remnants of longitudinal muscles (HLMs); (e,f) treated with 0.536 mg/L difenoconazole: disintegrated longitudinal muscles (DLMs), hypertrophied longitudinal muscles (HLMs), hypertrophied circular muscle (HCM), and disintegration of the epidermis (DE).
In worms treated with 0.268 mg/L difenoconazole (Figure 8c,d), notable features included extensive disintegration of the epidermis (DE), severe disintegration of the longitudinal muscles (DLMs) and mucus channels (MCs) in various segments, and hypertrophied remnants of longitudinal muscles (HLMs). In worms exposed to 0.536 mg/L difenoconazole (Figure 8e,f), the primary pathological changes included extensive disintegration of longitudinal muscles (DLMs), hypertrophied longitudinal muscles (HLMs), hypertrophied circular muscles (HCMs), and disintegration of the epidermis (DE).
The photomicrographs (Figure 8a–f) show that worms treated with 10% and 20% difenoconazole exhibited a significant loss of longitudinal muscles and pronounced thinning and degeneration of the epithelial cells. The changes in the alimentary canal cells observed in the exposed groups were often dependent on the concentration and toxicity of the difenoconazole. Different concentrations of difenoconazole altered the shape of the epithelial cells, particularly in the digestive tract.

4. Conclusions

Pesticides are widely used in agriculture to protect crops from pests and diseases, but they can also enter nearby aquatic environments through natural processes. Factors like weather patterns, such as rainfall, and the physicochemical properties of the pesticides, such as hydrophobicity and stability, influence their distribution and persistence in water. Human activities, including spills, urban runoff, and improper disposal, further impact pesticide concentrations in aquatic systems. This study examines the effects of the fungicide difenoconazole on the tubificid worm Tubifex tubifex. The research shows that T. tubifex is particularly sensitive to difenoconazole compared to other aquatic invertebrates. Exposure led to increased ROS, inhibited antioxidant enzyme activity, and caused MDA formation. Significant histological changes were also observed with treatments of 10% and 20% of the 96 h LC50. These findings underscore the need for better understanding of pesticide impacts on aquatic life and help establish Regulatory Acceptable Concentrations (RACs).

Supplementary Materials

The following supporting information can be downloaded at: https://www.mdpi.com/article/10.3390/biology14030302/s1: Table S1: Raw data for HPLC chromatogram; Figure S1: HPLC chromatogram illustrating the stability of DIF concentration in test water. No significant dissipation of DIF was observed.

Author Contributions

Conceptualization, S.S. (Shubhajit Saha), P.P. and N.C.S.; Data curation, S.S. (Subhajit Saha) and S.S. (Shubhajit Saha); Formal analysis, S.S. (Subhajit Saha) and S.S. (Shubhajit Saha); Funding acquisition, S.S. (Subhajit Saha) and S.S. (Shubhajit Saha); Investigation, S.S. (Subhajit Saha), S.S. (Shubhajit Saha) and P.P.; Methodology, S.S. (Subhajit Saha) and S.S. (Shubhajit Saha); Project administration, N.C.S.; Resources, S.S. (Shubhajit Saha) and N.C.S.; Supervision, P.P. and N.C.S.; Visualization, S.S. (Subhajit Saha); Writing—original draft, N.C.S.; Writing—review and editing, S.S. (Shubhajit Saha), P.P. and N.C.S. All authors have read and agreed to the published version of the manuscript.

Funding

Subhajit Saha acknowledges the Council of Scientific & Industrial Research (File No: 09/0025(12606)/2021-EMR-I)) for their financial support. Shubhajit Saha acknowledges DST, SERB for their financial assistance (Project no: SRG/2023/000685).

Institutional Review Board Statement

This article contains no animal studies by any of the authors requiring endorsement from an ethical committee. In fact, according to the current regulatory studies, no ethical authorization is required for invertebrates like Tubifex tubifex.

Data Availability Statement

All data are included in this article.

Acknowledgments

We are thankful to the Department of Zoology, The University of Burdwan, West Bengal, India for providing the infrastructural facilities. Subhajit Saha acknowledges the Council of Scientific & Industrial Research (File No: 09/0025(12606)/2021-EMR-I)) for their financial support. Shubhajit Saha acknowledges DST, SERB for their financial assistance (Project no: SRG/2023/000685).

Conflicts of Interest

The authors declare no conflicts of interest.

References

  1. Tudi, M.; Daniel Ruan, H.; Wang, L.; Lyu, J.; Sadler, R.; Connell, D.; Chu, C.; Phung, D.T. Agriculture Development, Pesticide Application and Its Impact on the Environment. Int. J. Environ. Res. Public Health 2021, 18, 1112. [Google Scholar] [CrossRef] [PubMed]
  2. Bondareva, L.; Fedorova, N. Pesticides: Behavior in Agricultural Soil and Plants. Molecules 2021, 26, 5370. [Google Scholar] [CrossRef]
  3. Voiculescu, D.I.; Roman, D.L.; Ostafe, V.; Isvoran, A. A Cheminformatics Study Regarding the Human Health Risks Assessment of the Stereoisomers of Difenoconazole. Molecules 2022, 27, 4682. [Google Scholar] [CrossRef] [PubMed]
  4. Kumar Goswami, S.; Singh, V.; Chakdar, H.; Choudhary, P. Harmful Effects of Fungicides-Current Status. Int. J. Agric. Environ. Biotechnol. Cit. IJAEB 2018, 11, 1025–1033. [Google Scholar]
  5. Rad, A.K.; Zarei, M.; Astaikina, A.; Streletskii, R.; Etesami, H. Fungicide and Pesticide Fallout on Aquatic Fungi. In Freshwater Mycology: Perspectives of Fungal Dynamics in Freshwater Ecosystems; Elsevier: Amsterdam, The Netherlands, 2022; pp. 171–191. [Google Scholar] [CrossRef]
  6. Ray, S.; Shaju, S.T. Bioaccumulation of Pesticides in Fish Resulting Toxicities in Humans through Food Chain and Forensic Aspects. Environ. Anal. Health Toxicol. 2023, 38, e2023017. [Google Scholar] [CrossRef]
  7. Gill, H.K.; Garg, H.; Gill, H.K.; Garg, H. Pesticides: Environmental Impacts and Management Strategies. Pestic.—Toxic Asp. 2014, 8, 10-5772. [Google Scholar] [CrossRef]
  8. Schleiffer, M.; Speiser, B. Presence of Pesticides in the Environment, Transition into Organic Food, and Implications for Quality Assurance along the European Organic Food Chain—A Review. Environ. Pollut. 2022, 313, 120116. [Google Scholar] [CrossRef] [PubMed]
  9. Tang, F.H.; Lenzen, M.; McBratney, A.; Maggi, F. Risk of Pesticide Pollution at the Global Scale. Nat. Geosci. 2021, 14, 206–210. [Google Scholar] [CrossRef]
  10. Brauer, V.S.; Rezende, C.P.; Pessoni, A.M.; De Paula, R.G.; Rangappa, K.S.; Nayaka, S.C.; Gupta, V.K.; Almeida, F. Antifungal Agents in Agriculture: Friends and Foes of Public Health. Biomolecules 2019, 9, 521. [Google Scholar] [CrossRef]
  11. Heusinkveld, H.J.; Molendijk, J.; Van den Berg, M.; Westerink, R.H.S. Azole Fungicides Disturb Intracellular Ca2+ in an Additive Manner in Dopaminergic PC12 Cells. Toxicol. Sci. 2013, 134, 374–381. [Google Scholar] [CrossRef]
  12. Assress, H.A.; Selvarajan, R.; Nyoni, H.; Mamba, B.B.; Msagati, T.A. Antifungal Azoles and Azole Resistance in the Environment: Current Status and Future Perspectives—A Review. Rev. Environ. Sci. Bio/Technol. 2021, 20, 1011–1041. [Google Scholar] [CrossRef]
  13. Bhagat, J.; Singh, N.; Nishimura, N.; Shimada, Y. A Comprehensive Review on Environmental Toxicity of Azole Compounds to Fish. Chemosphere 2021, 262, 128335. [Google Scholar] [CrossRef]
  14. Bossche, H.V.; Willemsens, G.; Marichal, P. Anti-Candida Drugs—The Biochemical Basis for Their Activity. Crit. Rev. Microbiol. 1987, 15, 57–72. [Google Scholar] [CrossRef] [PubMed]
  15. Jørgensen, L.N.; Heick, T.M. Azole Use in Agriculture, Horticulture, and Wood Preservation—Is It Indispensable? Front. Cell Infect. Microbiol. 2021, 11, 806. [Google Scholar] [CrossRef]
  16. Jiang, S.; Yang, J.; Fang, D. An Histological, Oxidative and Immune Changes in Response to 9,10-Phenanthrenequione, Retene and Phenanthrene in Takifugu Obscurus Liver. J. Environ. Sci. Health Part A 2020, 55, 827–836. [Google Scholar] [CrossRef]
  17. Wang, J.; Gao, X.; Liu, F.; FangWang; Dong, J.; Zhao, P. Difenoconazole Causes Cardiotoxicity in Common Carp (Cyprinus carpio): Involvement of Oxidative Stress, Inflammation, Apoptosis and Autophagy. Chemosphere 2022, 306, 135562. [Google Scholar] [CrossRef] [PubMed]
  18. EFSA. Reasoned Opinion on the Modification of the Existing MRLs for Difenoconazole in Peppers and Aubergines. EFSA J. 2014, 12, 3676. [Google Scholar] [CrossRef]
  19. Satapornvanit, K.; Baird, D.J.; Little, D.C.; Milwain, G.K.; Van Den Brink, P.J.; Beltman, W.H.; Nogueira, A.J.; Daam, M.A.; Domingues, I.; Kodithuwakku, S.S.; et al. Risks of Pesticide Use in Aquatic Ecosystems Adjacent to Mixed Vegetable and Monocrop Fruit Growing Areas in Thailand. Australas. J. Ecotoxicol. 2004, 10, 85–95. [Google Scholar]
  20. Zhang, W.; Jiang, F.; Ou, J.F. Global Pesticide Consumption and Pollution: With China as a Focus. Proc. Int. Acad. Ecol. Environ. Sci. 2011, 1, 125–144. [Google Scholar]
  21. Latiff, K.A.; Bakar, N.K.A.; Isa, N.M. Preliminary Study of Difenoconazole Residues in Rice Paddy Watersheds. Malays. J. Sci. 2010, 29, 73–79. [Google Scholar] [CrossRef]
  22. Schäfer, R.B.; Pettigrove, V.; Rose, G.; Allinson, G.; Wightwick, A.; Von Der Ohe, P.C.; Shimeta, J.; Kühne, R.; Kefford, B.J. Effects of Pesticides Monitored with Three Sampling Methods in 24 Sites on Macroinvertebrates and Microorganisms. Environ. Sci. Technol. 2011, 45, 1665–1672. [Google Scholar] [CrossRef] [PubMed]
  23. Dong, F.; Li, J.; Chankvetadze, B.; Cheng, Y.; Xu, J.; Liu, X.; Li, Y.; Chen, X.; Bertucci, C.; Tedesco, D.; et al. Chiral Triazole Fungicide Difenoconazole: Absolute Stereochemistry, Stereoselective Bioactivity, Aquatic Toxicity, and Environmental Behavior in Vegetables and Soil. Environ. Sci. Technol. 2013, 47, 3386–3394. [Google Scholar] [CrossRef]
  24. Chen, Y.; Zang, L.; Liu, M.; Zhang, C.; Shen, G.; Du, W.; Sun, Z.; Fei, J.; Yang, L.; Wang, Y.; et al. Ecological Risk Assessment of the Increasing Use of the Neonicotinoid Insecticides along the East Coast of China. Environ. Int. 2019, 127, 550–557. [Google Scholar] [CrossRef] [PubMed]
  25. Man, Y.; Stenrød, M.; Wu, C.; Almvik, M.; Holten, R.; Clarke, J.L.; Yuan, S.; Wu, X.; Xu, J.; Dong, F.; et al. Degradation of Difenoconazole in Water and Soil: Kinetics, Degradation Pathways, Transformation Products Identification and Ecotoxicity Assessment. J. Hazard. Mater. 2021, 418, 126303. [Google Scholar] [CrossRef]
  26. Mu, X.; Pang, S.; Sun, X.; Gao, J.; Chen, J.; Chen, X.; Li, X.; Wang, C. Evaluation of Acute and Developmental Effects of Difenoconazole via Multiple Stage Zebrafish Assays. Environ. Pollut. 2013, 175, 147–157. [Google Scholar] [CrossRef] [PubMed]
  27. Pal, E.; Almasri, H.; Paris, L.; Diogon, M.; Pioz, M.; Cousin, M.; Sené, D.; Tchamitchian, S.; Tavares, D.A.; Delbac, F.; et al. Toxicity of the Pesticides Imidacloprid, Difenoconazole and Glyphosate Alone and in Binary and Ternary Mixtures to Winter Honey Bees: Effects on Survival and Antioxidative Defenses. Toxics 2022, 10, 104. [Google Scholar] [CrossRef] [PubMed]
  28. Shen, C.; Pan, X.; Wu, X.; Xu, J.; Dong, F.; Zheng, Y. Ecological Risk Assessment for Difenoconazole in Aquatic Ecosystems Using a Web-Based Interspecies Correlation Estimation (ICE)-Species Sensitivity Distribution (SSD) Model. Chemosphere 2022, 289, 133236. [Google Scholar] [CrossRef]
  29. EFSA. Conclusion on the Peer Review of the Pesticide Risk Assessment of the Active Substance Difenoconazole. EFSA J. 2011, 9, 1967. [Google Scholar] [CrossRef]
  30. Hinfray, N.; Porcher, J.M.; Brion, F. Inhibition of Rainbow Trout (Oncorhynchus Mykiss) P450 Aromatase Activities in Brain and Ovarian Microsomes by Various Environmental Substances. Comp. Biochem. Physiol. C Toxicol. Pharmacol. 2006, 144, 252–262. [Google Scholar] [CrossRef]
  31. Mu, X.; Chai, T.; Wang, K.; Zhu, L.; Huang, Y.; Shen, G.; Li, Y.; Li, X.; Wang, C. The Developmental Effect of Difenoconazole on Zebrafish Embryos: A Mechanism Research. Environ. Pollut. 2016, 212, 18–26. [Google Scholar] [CrossRef]
  32. Liu, F.; Li, X.; Bello, B.K.; Zhang, T.; Yang, H.; Wang, K.; Dong, J. Difenoconazole Causes Spleen Tissue Damage and Immune Dysfunction of Carp through Oxidative Stress and Apoptosis. Ecotoxicol. Environ. Saf. 2022, 237, 113563. [Google Scholar] [CrossRef] [PubMed]
  33. Dornelas, A.S.P.; de Jesus Ferreira, J.S.; Silva, L.C.R.; de Souza Saraiva, A.; Cavallini, G.S.; Gravato, C.A.S.; da Maia Soares, A.M.V.; Almeida Sarmento, R. The Sexual Reproduction of the Nontarget Planarian Girardia tigrina Is Affected by Ecologically Relevant Concentrations of Difenoconazole: New Sensitive Tools in Ecotoxicology. Environ. Sci. Pollut. Res. 2022, 29, 27095–27103. [Google Scholar] [CrossRef] [PubMed]
  34. Dhara, K.; Das, U.N.; Pal, P.; Saha, N.C.; Saha, S. Temperature-Optimized, Hormone-Induced Spawning of Asian Striped Dwarf Catfish, Mystus Vittatus in Early-Stage F1 Generation. Iran. J. Ichthyol. 2023, 10, 59–77. [Google Scholar]
  35. Chakraborty, D.; Saha, S.; Podder, S.; Saha, N.C.; Faggio, C. Generation of Oxidative Stress in Freshwater Oligochaete Tubifex Tubifex Due to Exposure to Aniline: Time and Concentration Dependent Toxicity Assessment. Chem. Ecol. 2024, 40, 260–275. [Google Scholar] [CrossRef]
  36. Ramesh, M.; Anitha, S.; Poopal, R.K.; Shobana, C. Evaluation of Acute and Sublethal Effects of Chloroquine (C18H26CIN3) on Certain Enzymological and Histopathological Biomarker Responses of a Freshwater Fish Cyprinus carpio. Toxicol. Rep. 2018, 5, 18–27. [Google Scholar] [CrossRef] [PubMed]
  37. Saha, N.C.; Banerjee, P.; Chatterjee, A.; Bhattacharya, R.; Saha, S.; Pastorino, P. Haematological, Biochemical, Enzymological Changes and Mitochondrial Dysfunction of Liver in Freshwater Climbing Perch Anabas Testudineus during Their Acute and Chronic Exposure to Sodium Fluoride. Environ. Toxicol. Pharmacol. 2024, 106, 104360. [Google Scholar] [CrossRef]
  38. Samajdar, I.; Saha, S.; Mandal, D.K. Chlorpyrifos Induced Oxidative Stress Responses and Alteration of Acetylcholinesterase Activity in the Olfactory Organ of Freshwater Minor Carp, Labeo Bata. Iran. J. Ichthyol. 2023, 10, 248–263. [Google Scholar]
  39. Hemalatha, D.; Muthukumar, A.; Rangasamy, B.; Nataraj, B.; Ramesh, M. Impact of Sublethal Concentration of a Fungicide Propiconazole on Certain Health Biomarkers of Indian Major Carp Labeo rohita. Biocatal. Agric. Biotechnol. 2016, 8, 321–327. [Google Scholar] [CrossRef]
  40. Veedu, S.K.; Ayyasamy, G.; Tamilselvan, H.; Ramesh, M. Single and Joint Toxicity Assessment of Acetamiprid and Thiamethoxam Neonicotinoids Pesticides on Biochemical Indices and Antioxidant Enzyme Activities of a Freshwater Fish Catla Catla. Comp. Biochem. Physiol. C Toxicol. Pharmacol. 2022, 257, 109336. [Google Scholar] [CrossRef]
  41. McShan, D.; Ray, P.C.; Yu, H. Molecular Toxicity Mechanism of Nanosilver. J. Food Drug Anal. 2014, 22, 116–127. [Google Scholar] [CrossRef]
  42. Menezes, H.C.; Paulo, B.P.; Paiva, M.J.N.; Cardeal, Z.L. A Simple and Quick Method for the Determination of Pesticides in Environmental Water by HF-LPME-GC/MS. J. Anal. Methods Chem. 2016, 2016, 7058709. [Google Scholar] [CrossRef] [PubMed]
  43. Psillakis, E.; Kalogerakis, N. Hollow-Fibre Liquid-Phase Microextraction of Phthalate Esters from Water. J. Chromatogr. A 2003, 999, 145–153. [Google Scholar] [CrossRef]
  44. Atobatele, O.E.; Olutona, G.O. Distribution of Three Non-Essential Trace Metals (Cadmium, Mercury and Lead) in the Organs of Fish from Aiba Reservoir, Iwo, Nigeria. Toxicol. Rep. 2015, 2, 896–903. [Google Scholar] [CrossRef]
  45. Finney, D.J.; Tattersfield, F. Probit Analysis: A Statistical Treatment of the Sigmoid Response Curve. J. R. Stat. Soc. 1947, 110, 263. [Google Scholar] [CrossRef]
  46. Dhara, K.; Mukherjee, D.; Saha, N.C. Acute Toxicity of Cadmium to Benthic Oligochaete Worm, Branchiura Sowerbyi Beddard, 1982 and Juvenile Catfish, Clarias Batrachus Linnaeus, 1758. Proc. Zool. Soc. 2015, 68, 116–119. [Google Scholar] [CrossRef]
  47. Beauchamp, C.; Fridovich, I. Superoxide Dismutase: Improved Assays and an Assay Applicable to Acrylamide Gels. Anal. Biochem. 1971, 44, 276–287. [Google Scholar] [CrossRef]
  48. Beers, R.F.; Sizer, I.W. A spectrophotometric method for measuring the breakdown of hydrogen peroxide by catalase. J. Biol. Chem. 1952, 195, 133–140. [Google Scholar] [CrossRef] [PubMed]
  49. Habig, W.; Pabst, M.; Jakoby, W. Glutathione S-Transferases: The First Enzymatic Step in Mercapturic Acid Formation. J. Biol. Chem. 1974, 249, 7130–7139. [Google Scholar] [CrossRef]
  50. Ohkawa, H.; Ohishi, N.; Yagi, K. Assay for Lipid Peroxides in Animal Tissues by Thiobarbituric Acid Reaction. Anal. Biochem. 1979, 95, 351–358. [Google Scholar] [CrossRef]
  51. Devin, S.; Burgeot, T.; Giambérini, L.; Minguez, L.; Pain-Devin, S. The Integrated Biomarker Response Revisited: Optimization to Avoid Misuse. Environ. Sci. Pollut. Res. Int. 2014, 21, 2448–2454. [Google Scholar] [CrossRef]
  52. Sharma, P.; Garai, P.; Banerjee, P.; Saha, S.; Chukwuka, A.V.; Chatterjee, S.; Saha, N.C.; Faggio, C. Behavioral Toxicity, Histopathological Alterations and Oxidative Stress in Tubifex Tubifex Exposed to Aromatic Carboxylic Acids-Acetic Acid and Benzoic Acid: A Comparative Time-Dependent Toxicity Assessment. Sci. Total Environ. 2023, 876, 162739. [Google Scholar] [CrossRef] [PubMed]
  53. Biswal, A.; Srivastava, P.P.; Krishna, G.; Paul, T.; Pal, P.; Gupta, S.; Varghese, T.; Jayant, M. An Integrated Biomarker Approach for Explaining the Potency of Exogenous Glucose on Transportation Induced Stress in Labeo rohita Fingerlings. Sci. Rep. 2021, 11, 5713. [Google Scholar] [CrossRef] [PubMed]
  54. Beliaeff, B.; Burgeot, T. Integrated Biomarker Response: A Useful Tool for Ecological Risk Assessment. Environ. Toxicol. Chem. 2002, 21, 1316–1322. [Google Scholar] [CrossRef]
  55. Finney, D.J. Statisical Logic in the Monitoring of Reactions to Therapeutic Drugs. Methods Inf. Med. 1971, 10, 237–245. [Google Scholar]
  56. Ayoola, S.O. Histopathology of Nile Tilapia (Oreochromis niloticus) Juveniles Exposed to Aqueous and Ethanolic Extracts of Ipomoea Aquatica Leaf. Int. J. Fish. Aquac. 2011, 3, 244–257. [Google Scholar] [CrossRef]
  57. Ahmad, H.; Rahman, M.R.A.; Nasir, S.F.J.A.; Baharudin, N.S.H. Acute and Chronic Toxicity of Difenoconazole Fungicide on Freshwater Shrimp (Macrobrachium lanchesteri). Int. J. Environ. Eng. 2022, 11, 183. [Google Scholar] [CrossRef]
  58. Chen, L.; Wang, Z.; Zhang, C.; Jiang, W.; Li, X. Environmental Hormone Effects and Bioaccumulation of Propiconazole and Difenoconazole in Procypris Merus. Bull. Environ. Contam. Toxicol. 2022, 109, 823–830. [Google Scholar] [CrossRef]
  59. Jiménez, K.; Solano, K.; Scholz, C.; Redondo-López, S.; Mena, F. Early Toxic Effects in a Central American Native Fish (Parachromis dovii) Exposed to Chlorpyrifos and Difenoconazole. Environ. Toxicol. Chem. 2021, 40, 1938–1947. [Google Scholar] [CrossRef]
  60. Nataraj, B.; Hemalatha, D.; Malafaia, G.; Maharajan, K.; Ramesh, M. “Fishcide” Effect of the Fungicide Difenoconazole in Freshwater Fish (Labeo rohita): A Multi-Endpoint Approach. Sci. Total Environ. 2023, 857, 159425. [Google Scholar] [CrossRef]
  61. Sadeghi, M.S.; Peery, S. Evaluation of Toxicity and Lethal Concentration (LC50) of Silver and Selenium Nanoparticle in Different Life Stages of the Fish Tenualosa Ilish (Hamilton 1822). Oceanogr. Fish Open Access J. 2018, 7, 120–128. [Google Scholar] [CrossRef]
  62. Chukwuka, A.V.; Saha, S.; Mukherjee, D.; Banerjee, P.; Dhara, K.; Saha, N.C. Deltamethrin-Induced Respiratory and Behavioral Effects and Adverse Outcome Pathways (AOP) in Short-Term Exposed Mozambique Tilapia, Oreochromis Mossambicus. Toxics 2022, 10, 701. [Google Scholar] [CrossRef]
  63. Saha, S.; Chandra Saha, N.; Chatterjee, A.; Banerjee, P.; Garai, P.; Sharma, P.; Patnaik, L.; Nayak, S.; Dhara, K.; Chukwuka, A.V.; et al. Integrated Multi-Biomarker Responses in Mozambique Tilapia, Oreochromis Mossambicus under Acute and Chronic Diazinon® Exposures. Chem. Ecol. 2023, 39, 235–255. [Google Scholar] [CrossRef]
  64. Walum, E. Acute Oral Toxicity. Environ. Health Perspect. 1998, 106, 497. [Google Scholar] [CrossRef]
  65. Chinedu, E.; Arome, D.; Ameh, F.S. A New Method for Determining Acute Toxicity in Animal Models. Toxicol. Int. 2013, 20, 224. [Google Scholar] [CrossRef] [PubMed]
  66. Bakr, R.F.A.; Kamel, A.M.; Sheba, S.A.; Abdel-Haleem, D.R. A Mathematical Model for Estimating the LC50 (or LD50) among an Insect Life Cycle. Egypt. Acad. J. Biol. Sci. A Entomol. 2010, 3, 75–81. [Google Scholar] [CrossRef]
  67. López, O.; Hernández, A.F.; Rodrigo, L.; Gil, F.; Pena, G.; Serrano, J.L.; Parrón, T.; Villanueva, E.; Pla, A. Changes in Antioxidant Enzymes in Humans with Long-Term Exposure to Pesticides. Toxicol. Lett. 2007, 171, 146–153. [Google Scholar] [CrossRef]
  68. Diken, M.E.; Doğan, S.; Doğan, M.; Turhan, Y. In Vitro Effects of Some Pesticides on Glutathione-s Transferase Activity. Fresenius Environ. Bull. 2017, 26, 6634. [Google Scholar]
  69. Faggio, C.; Pagano, M.; Alampi, R.; Vazzana, I.; Felice, M.R. Cytotoxicity, Haemolymphatic Parameters, and Oxidative Stress Following Exposure to Sub-Lethal Concentrations of Quaternium-15 in Mytilus Galloprovincialis. Aquat. Toxicol. 2016, 180, 258–265. [Google Scholar] [CrossRef]
  70. Hajam, M.E.; Plavan, G.I.; Kandri, N.I.; Dumitru, G.; Nicoara, M.N.; Zerouale, A.; Faggio, C. Evaluation of Softwood and Hardwood Sawmill Wastes Impact on the Common Carp “Cyprinus carpio” and Its Aquatic Environment: An Oxidative Stress Study. Environ. Toxicol. Pharmacol. 2020, 75, 103327. [Google Scholar] [CrossRef]
  71. Kim, J.H.; Choi, H.; Sung, G.H.; Seo, S.A.; Kim, K.I.; Kang, Y.J.; Kang, J.C. Toxic Effects on Hematological Parameters and Oxidative Stress in Juvenile Olive Flounder, Paralichthys Olivaceus Exposed to Waterborne Zinc. Aquac. Rep. 2019, 15, 100225. [Google Scholar] [CrossRef]
  72. Kim, J.H.; Park, H.J.; Kim, K.W.; Hwang, I.K.; Kim, D.H.; Oh, C.W.; Lee, J.S.; Kang, J.C. Growth Performance, Oxidative Stress, and Non-Specific Immune Responses in Juvenile Sablefish, Anoplopoma Fimbria, by Changes of Water Temperature and Salinity. Fish Physiol. Biochem. 2017, 43, 1421–1431. [Google Scholar] [CrossRef]
  73. Cao, Q.; Steinman, A.D.; Yao, L.; Xie, L. Toxicological and Biochemical Responses of the Earthworm Eisenia fetida to Cyanobacteria Toxins. Sci. Rep. 2017, 7, 15954. [Google Scholar] [CrossRef] [PubMed]
  74. Chatterjee, A.; Bhattacharya, R.; Chatterjee, S.; Saha, N.C. Acute Toxicity of Organophosphate Pesticide Profenofos, Pyrethroid Pesticide λ Cyhalothrin and Biopesticide Azadirachtin and Their Sublethal Effects on Growth and Oxidative Stress Enzymes in Benthic Oligochaete Worm, Tubifex Tubifex. Comp. Biochem. Physiol. C Toxicol. Pharmacol. 2021, 242, 108943. [Google Scholar] [CrossRef]
  75. Van der Oost, R.; Beyer, J.; Vermeulen, N.P.E. Fish Bioaccumulation and Biomarkers in Environmental Risk Assessment: A Review. Environ. Toxicol. Pharmacol. 2003, 13, 57–149. [Google Scholar] [CrossRef] [PubMed]
  76. Bagnyukova, T.V.; Vasylkiv, O.Y.; Storey, K.B.; Lushchak, V.I. Catalase Inhibition by Amino Triazole Induces Oxidative Stress in Goldfish Brain. Brain Res. 2005, 1052, 180–186. [Google Scholar] [CrossRef]
  77. Livingstone, D.R. The Fate of Organic Xenobiotics in Aquatic Ecosystems: Quantitative and Qualitative Differences in Biotransformation by Invertebrates and Fish. Comp. Biochem. Physiol. A Mol. Integr. Physiol. 1998, 120, 43–49. [Google Scholar] [CrossRef] [PubMed]
  78. Destro, A.L.F.; Silva, S.B.; Gregório, K.P.; de Oliveira, J.M.; Lozi, A.A.; Zuanon, J.A.S.; Salaro, A.L.; da Matta, S.L.P.; Vilela, R.G.; Freitas, M.B. Effects of Subchronic Exposure to Environmentally Relevant Concentrations of the Herbicide Atrazine in the Neotropical Fish Astyanax Altiparanae. Ecotoxicol. Environ. Saf. 2021, 208, 111601. [Google Scholar] [CrossRef]
  79. Maity, S.; Banerjee, R.; Goswami, P.; Chakrabarti, M.; Mukherjee, A. Oxidative Stress Responses of Two Different Ecophysiological Species of Earthworms (Eutyphoeus waltoni and Eisenia fetida) Exposed to Cd-Contaminated Soil. Chemosphere 2018, 203, 307–317. [Google Scholar] [CrossRef]
  80. Zhu, J.; Liu, C.; Wang, J.; Liang, Y.; Gong, X.; You, L.; Ji, C.; Wang, S.L.; Wang, C.; Chi, X. Difenoconazole Induces Cardiovascular Toxicity through Oxidative Stress-Mediated Apoptosis in Early Life Stages of Zebrafish (Danio rerio). Ecotoxicol. Environ. Saf. 2021, 216, 112227. [Google Scholar] [CrossRef]
  81. Mosleh, Y.Y.; Paris-Palacios, S.; Ahmed, M.T.; Mahmoud, F.M.; Osman, M.A.; Biagianti-Risbourg, S. Effects of Chitosan on Oxidative Stress and Metallothioneins in Aquatic Worm Tubifex Tubifex (Oligochaeta, Tubificidae). Chemosphere 2007, 67, 167–175. [Google Scholar] [CrossRef]
  82. Faheem, M.; Lone, K.P. Oxidative Stress and Histopathologic Biomarkers of Exposure to Bisphenol-A in the Freshwater Fish, Ctenopharyngodon idella. Braz. J. Pharm. Sci. 2018, 53, 17003. [Google Scholar] [CrossRef]
  83. Huggett, R.J.; Klmerle, R.A.; Mehrle, P.M.; Dickson, K.L.; Fava, J.A.; McCarthy, J.F.; Parrish, R.; Dorn, P.B.; McFarland, V.; Lahvis, G. Biochemical, Physiological, and Histological Markers of Anthropogenic Stress. In Biomarkers; CRC Press: Boca Raton, FL, USA, 2018; pp. 1–4. [Google Scholar] [CrossRef]
  84. Sharbidre, A.A.; Metkari, V.; Patode, P. Effect of Diazinon on Acetylcholinesterase Activity and Lipid Peroxidation of Poecilia reticulata. Res. J. Environ. Toxicol. 2011, 5, 152–161. [Google Scholar] [CrossRef]
  85. Shukla, S.; Jhamtani, R.C.; Dahiya, M.S.; Agarwal, R. Oxidative Injury Caused by Individual and Combined Exposure of Neonicotinoid, Organophosphate and Herbicide in Zebrafish. Toxicol. Rep. 2017, 4, 240–244. [Google Scholar] [CrossRef] [PubMed]
  86. Gheorghe, S.; Mitroi, D.N.; Stan, M.S.; Staicu, C.A.; Cicirma, M.; Lucaciu, I.E.; Nita-Lazar, M.; Dinischiotu, A. Evaluation of Sub-Lethal Toxicity of Benzethonium Chloride in Cyprinus carpio Liver. Appl. Sci. 2020, 10, 8485. [Google Scholar] [CrossRef]
  87. Song, P.; Gao, J.; Li, X.; Zhang, C.; Zhu, L.; Wang, J.; Wang, J. Phthalate Induced Oxidative Stress and DNA Damage in Earthworms (Eisenia fetida). Environ. Int. 2019, 129, 10–17. [Google Scholar] [CrossRef] [PubMed]
  88. Kiliç, V.; Aydoğan Kiliç, G. Antioxidative Responses in Tubifex Tubifex against Thallium Induced Oxidative Stress. Anadolu Univ. J. Sci. Technol. –C Life Sci. Biotechnol. 2017, 6, 75–85. [Google Scholar] [CrossRef][Green Version]
  89. Sun, X.; Xia, B.; Cui, Z.; Chen, B. Integrated Biomarker Responses in the Hepatopancreas of the Bivalve, Mactra Veneriformis (Reeve, 1854) from the Yellow River Estuary, China. Indian J. Geo-Mar. Sci. 2016, 45, 388–398. [Google Scholar]
  90. Ferreira, N.G.C.; Morgado, R.; Santos, M.J.G.; Soares, A.M.V.M.; Loureiro, S. Biomarkers and Energy Reserves in the Isopod Porcellionides Pruinosus: The Effects of Long-Term Exposure to Dimethoate. Sci. Total Environ. 2015, 502, 91–102. [Google Scholar] [CrossRef]
  91. Bhattacharya, R.; Chatterjee, A.; Chatterjee, S.; Saha, N.C. Oxidative Stress in Benthic Oligochaete Worm, Tubifex Tubifex Induced by Sublethal Exposure to a Cationic Surfactant Cetylpyridinium Chloride and an Anionic Surfactant Sodium Dodecyl Sulfate. Comp. Biochem. Physiol. Part C Toxicol. Pharmacol. 2021, 240, 108906. [Google Scholar] [CrossRef]
  92. Chang, T.; Wei, B.; Wang, Q.; He, Y.; Wang, C. Toxicity Assessment of Municipal Sewage Treatment Plant Effluent by an Integrated Biomarker Response in the Liver of Crucian Carp (Carassius auratus). Environ. Sci. Pollut. Res. Int. 2020, 27, 7280–7288. [Google Scholar] [CrossRef] [PubMed]
  93. Li, Z.H.; Velisek, J.; Grabic, R.; Li, P.; Kolarova, J.; Randak, T. Use of Hematological and Plasma Biochemical Parameters to Assess the Chronic Effects of a Fungicide Propiconazole on a Freshwater Teleost. Chemosphere 2011, 83, 572–578. [Google Scholar] [CrossRef] [PubMed]
Disclaimer/Publisher’s Note: The statements, opinions and data contained in all publications are solely those of the individual author(s) and contributor(s) and not of MDPI and/or the editor(s). MDPI and/or the editor(s) disclaim responsibility for any injury to people or property resulting from any ideas, methods, instructions or products referred to in the content.

Article Metrics

Citations

Article Access Statistics

Multiple requests from the same IP address are counted as one view.