The Histological and Biochemical Assessment of Monoiodoacetate-Induced Knee Osteoarthritis in a Rat Model Treated with Salicylic Acid-Iron Oxide Nanoparticles
Abstract
Simple Summary
Abstract
1. Introduction
2. Materials and Methods
2.1. Animals and Study Design
2.2. Induction of the Model and Biological Sampling
2.3. Chemicals
2.4. Histopathological Assessment
2.5. Biochemical Analysis
2.5.1. Evaluation of Biomarkers for Oxidative and Nitrosative Stress
2.5.2. Cytokine Assessment
2.6. Statistical Analysis
3. Results
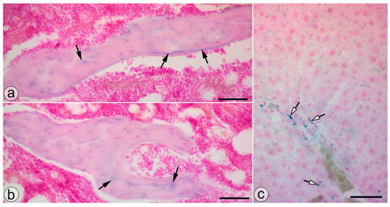
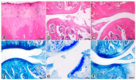
3.1. Histolopathological Assessment
3.2. Biochemical Assessment
4. Discussion
5. Conclusions
Author Contributions
Funding
Institutional Review Board Statement
Informed Consent Statement
Data Availability Statement
Acknowledgments
Conflicts of Interest
References
- Najahi-Missaoui, W.; Arnold, R.D.; Cummings, B.S. Safe Nanoparticles: Are We There Yet? Int. J. Mol. Sci. 2021, 22, 385. [Google Scholar] [CrossRef] [PubMed]
- Elahi, N.; Rizwan, M. Progress and Prospects of Magnetic Iron Oxide Nanoparticles in Biomedical Applications: A Review. Artif. Organs 2021, 45, 1272–1299. [Google Scholar] [CrossRef] [PubMed]
- Arias, L.S.; Pessan, J.P.; Vieira, A.P.M.; De Lima, T.M.T.; Delbem, A.C.B.; Monteiro, D.R. Iron Oxide Nanoparticles for Biomedical Applications: A Perspective on Synthesis, Drugs, Antimicrobial Activity, and Toxicity. Antibiotics 2018, 7, 46. [Google Scholar] [CrossRef] [PubMed]
- Vangijzegem, T.; Stanicki, D.; Laurent, S. Magnetic Iron Oxide Nanoparticles for Drug Delivery: Applications and Characteristics. Expert Opin. Drug Deliv. 2019, 16, 69–78. [Google Scholar] [CrossRef] [PubMed]
- Mahmud, S.; Rosen, N. History of NSAID Use in the Treatment of Headaches Pre and Post-Industrial Revolution in the United States: The Rise and Fall of Antipyrine, Salicylic Acid, and Acetanilide. Curr. Pain Headache Rep. 2019, 23, 6. [Google Scholar] [CrossRef] [PubMed]
- Niibori, M.; Kudo, Y.; Hayakawa, T.; Ikoma-Seki, K.; Kawamata, R.; Sato, A.; Mizumura, K. Mechanism of Aspirin-Induced Inhibition on the Secondary Hyperalgesia in Osteoarthritis Model Rats. Heliyon 2020, 6, e03963. [Google Scholar] [CrossRef] [PubMed]
- Wluka, A.E.; Ding, C.; Wang, Y.; Jones, G.; Urquhart, D.M.; Cicuttini, F.M. Aspirin Is Associated with Reduced Cartilage Loss in Knee Osteoarthritis: Data from a Cohort Study. Maturitas 2015, 81, 394–397. [Google Scholar] [CrossRef] [PubMed]
- Baltazar, M.T.; Dinis-Oliveira, R.J.; Duarte, J.A.; Bastos, M.L.; Carvalho, F. Antioxidant Properties and Associated Mechanisms of Salicylates. Curr. Med. Chem. 2011, 18, 3252–3264. [Google Scholar] [CrossRef] [PubMed]
- Yu, W.; Bien-Aime, S.; Mattos, M.; Alsadun, S.; Wada, K.; Rogado, S.; Fiorellini, J.; Graves, D.; Uhrich, K. Sustained, Localized Salicylic Acid Delivery Enhances Diabetic Bone Regeneration via Prolonged Mitigation of Inflammation. J. Biomed. Mater. Res. Part A 2016, 104, 2595–2603. [Google Scholar] [CrossRef] [PubMed]
- Ross-Lee, L.M.; Elms, M.J.; Cham, B.E.; Bochner, F.; Bunce, I.H.; Eadie, M.J. Plasma Levels of Aspirin Following Effervescent and Enteric Coated Tablets, and Their Effect on Platelet Function. Eur. J. Clin. Pharmacol. 1982, 23, 545–551. [Google Scholar] [CrossRef] [PubMed]
- Mîndrilă, I.; Buteică, S.A.; Mihaiescu, D.E.; Badea, G.; Fudulu, A.; Mărgăritescu, D.N. Fe3O4/Salicylic Acid Nanoparticles Versatility in Magnetic Mediated Vascular Nanoblockage. J. Nanoparticle Res. 2016, 18, 10. [Google Scholar] [CrossRef]
- Nowak-Jary, J.; Machnicka, B. In Vivo Biodistribution and Clearance of Magnetic Iron Oxide Nanoparticles for Medical Applications. Int. J. Nanomed. 2023, 18, 4067–4100. [Google Scholar] [CrossRef] [PubMed]
- Zheng, L.; Zhuang, Z.; Li, Y.; Shi, T.; Fu, K.; Yan, W.; Zhang, L.; Wang, P.; Li, L.; Jiang, Q. Bone Targeting Antioxidative Nano-Iron Oxide for Treating Postmenopausal Osteoporosis. Bioact. Mater. 2022, 14, 250–261. [Google Scholar] [CrossRef]
- Wang, N.; Xie, Y.; Xi, Z.; Mi, Z.; Deng, R.; Liu, X.; Kang, R.; Liu, X. Hope for Bone Regeneration: The Versatility of Iron Oxide Nanoparticles. Front. Bioeng. Biotechnol. 2022, 10, 1–29. [Google Scholar] [CrossRef]
- Paździor, M.; Kiełczykowska, M.; Kurzepa, J.; Luchowska-kocot, D.; Kocot, J.; Musik, I. The Oxidative Stress in Knee Osteoarthritis Patients. An Attempt of Evaluation of Possible Compensatory Effects Occurring in the Disease Development. Med. 2019, 55, 150. [Google Scholar] [CrossRef]
- Cao, G.; Alessio, H.M.; Cutler, R.G. Oxygen-Radical Absorbance Capacity Assay for Antioxidants. Free Radic. Biol. Med. 1993, 14, 303–311. [Google Scholar] [CrossRef]
- Ansari, M.Y.; Ahmad, N.; Haqqi, T.M. Oxidative Stress and Inflammation in Osteoarthritis Pathogenesis: Role of Polyphenols. Biomed. Pharmacother. 2020, 129, 110452. [Google Scholar] [CrossRef]
- Amirkhizi, F.; Hamedi-Shahraki, S.; Rahimlou, M. Dietary Total Antioxidant Capacity Is Associated with Lower Disease Severity and Inflammatory and Oxidative Stress Biomarkers in Patients with Knee Osteoarthritis. J. Health Popul. Nutr. 2023, 42, 104. [Google Scholar] [CrossRef] [PubMed]
- Mîndrilă, B.; Buteică, S.A.; Mîndrilă, I.; Mihaiescu, D.E.; Mănescu, M.D.; Rogoveanu, I. Administration Routes as Modulators of the Intrahepatic Distribution and Anti-Anemic Activity of Salicylic Acid/Fe3O4 Nanoparticles. Biomedicines 2022, 10, 1213. [Google Scholar] [CrossRef]
- Kraus, V.B.; Huebner, J.L.; DeGroot, J.; Bendele, A. The OARSI Histopathology Initiative-Recommendations for Histological Assessments of Osteoarthritis in the Guinea Pig. Osteoarthr. Cartil. 2010, 18, S35–S52. [Google Scholar] [CrossRef] [PubMed]
- Gherghina, F.L.; Mîndrilă, I.; Buteică, S.A.; Bică, G.; Pisoschi, C.G.; Biță, C.E.; Paliu, I.A.; Rogoveanu, O.C. The Potential Benefic Effect of Nicotinamide Riboside in Treating a Murine Model of Monoiodoacetate-Induced Knee Osteoarthritis. J. Clin. Med. 2023, 12, 6920. [Google Scholar] [CrossRef] [PubMed]
- Docea, A.O.; Calina, D.; Buga, A.M.; Zlatian, O.; Paoliello, M.M.B.; Mogosanu, G.D.; Streba, C.T.; Popescu, E.L.; Stoica, A.E.; Bîrcă, A.C.; et al. The Effect of Silver Nanoparticles on Antioxidant/pro-Oxidant Balance in a Murine Model. Int. J. Mol. Sci. 2020, 21, 1233. [Google Scholar] [CrossRef] [PubMed]
- Meca, A.D.; Turcu-Stiolica, A.; Stanciulescu, E.C.; Andrei, A.M.; Nitu, F.M.; Banita, I.M.; Matei, M.; Pisoschi, C.G. Variations of Serum Oxidative Stress Biomarkers under First-Line Antituberculosis Treatment: A Pilot Study. J. Pers. Med. 2021, 11, 112. [Google Scholar] [CrossRef] [PubMed]
- Michael, J.W.P.; Schlüter-Brust, K.U.; Eysel, P. Epidemiologie, Ätiologie, Diagnostik Und Therapie Der Gonarthrose. Dtsch. Arztebl. 2010, 107, 152–162. [Google Scholar]
- Kon, E.; Filardo, G.; Drobnic, M.; Madry, H.; Jelic, M.; van Dijk, N.; della Villa, S. Non-Surgical Management of Early Knee Osteoarthritis. Knee Surg. Sport. Traumatol. Arthrosc. 2012, 20, 436–449. [Google Scholar] [CrossRef] [PubMed]
- Bruyère, O.; Cooper, C.; Pelletier, J.P.; Maheu, E.; Rannou, F.; Branco, J.; Luisa Brandi, M.; Kanis, J.A.; Altman, R.D.; Hochberg, M.C.; et al. A Consensus Statement on the European Society for Clinical and Economic Aspects of Osteoporosis and Osteoarthritis (ESCEO) Algorithm for the Management of Knee Osteoarthritis-From Evidence-Based Medicine to the Real-Life Setting. Semin. Arthritis Rheum. 2016, 45, S3–S11. [Google Scholar] [CrossRef] [PubMed]
- Walsh, D.A.; Stocks, J. New Therapeutic Targets for Osteoarthritis Pain. SLAS Discov. 2017, 22, 931–949. [Google Scholar] [CrossRef] [PubMed]
- Apostu, D.; Lucaciu, O.; Mester, A.; Oltean-Dan, D.; Baciut, M.; Baciut, G.; Bran, S.; Onisor, F.; Piciu, A.; Pasca, R.D.; et al. Systemic Drugs with Impact on Osteoarthritis. Drug Metab. Rev. 2019, 51, 498–523. [Google Scholar] [CrossRef] [PubMed]
- Ma, L.; Zheng, X.; Lin, R.; Sun, A.R.; Song, J.; Ye, Z.; Liang, D.; Zhang, M.; Tian, J.; Zhou, X.; et al. Knee Osteoarthritis Therapy: Recent Advances in Intra-Articular Drug Delivery Systems. Drug Des. Devel. Ther. 2022, 16, 1311–1347. [Google Scholar] [CrossRef] [PubMed]
- Kim, K.S.; Suzuki, K.; Cho, H.; Youn, Y.S.; Bae, Y.H. Oral Nanoparticles Exhibit Specific High-Efficiency Intestinal Uptake and Lymphatic Transport. ACS Nano 2018, 12, 8893–8900. [Google Scholar] [CrossRef] [PubMed]
- Sadeghi, S.; Lee, W.K.; Kong, S.N.; Shetty, A.; Drum, C.L. Oral Administration of Protein Nanoparticles: An Emerging Route to Disease Treatment. Pharmacol. Res. 2020, 158, 104685. [Google Scholar] [CrossRef] [PubMed]
- Mîndrilă, B.; Rogoveanu, I.; Buteică, S.A.; Cercelaru, L.; Mihaiescu, D.; Mănescu, M.A.; Mîndrilă, I.; Pirici, I. Original Paper Liver Histopathological Changes Related to Intraperitoneal Administration of Salicylic Acid/Fe3O4 Nanoparticles to C57BL/6 Mice. Curr. Health Sci. J. 2022, 48, 146–154. [Google Scholar] [PubMed]
- Belsito, D.; Bickers, D.; Bruze, M.; Calow, P.; Greim, H.; Hanifin, J.M.; Rogers, A.E.; Saurat, J.H.; Sipes, I.G.; Tagami, H. A Toxicologic and Dermatologic Assessment of Salicylates When Used as Fragrance Ingredients. Food Chem. Toxicol. 2007, 45, 318–361. [Google Scholar] [CrossRef] [PubMed]
- Thiele, G.M.; Duryee, M.J.; Anderson, D.R.; Klassen, L.W.; Mohring, S.M.; Young, K.A.; Benissan-Messan, D.; Sayles, H.; Dusad, A.; Hunter, C.D.; et al. Malondialdehyde-Acetaldehyde Adducts and Anti-Malondialdehyde-Acetaldehyde Antibodies in Rheumatoid Arthritis. Arthritis Rheumatol. 2015, 67, 645–655. [Google Scholar] [CrossRef]
- Cordiano, R.; Di Gioacchino, M.; Mangifesta, R.; Panzera, C.; Gangemi, S.; Minciullo, P.L. Malondialdehyde as a Potential Oxidative Stress Marker for Allergy-Oriented Diseases: An Update. Molecules 2023, 28, 5979. [Google Scholar] [CrossRef] [PubMed]
- Tudorachi, N.B.; Totu, E.E.; Fifere, A.; Ardeleanu, V.; Mocanu, V.; Mircea, C.; Isildak, I.; Smilkov, K.; Cărăuşu, E.M. The Implication of Reactive Oxygen Species and Antioxidants in Knee Osteoarthritis. Antioxidants 2021, 10, 985. [Google Scholar] [CrossRef] [PubMed]
- Kirkova, M.; Ivancheva, E.; Russanov, E. In Vitro Effects of Aspirin on Malondialdehyde Formation and on Activity of Antioxidant and Some Metal-Containing Enzymes. Comp. Biochem. Physiol. Part C Pharmacol. 1994, 108, 145–152. [Google Scholar] [CrossRef] [PubMed]
- He, B.; Zhao, S.; Zhang, W.; Li, Y.; Lu, Y.; Han, P. Salicylate Prevents Hepatic Oxidative Stress Activation Caused by Short-Term Elevation of Free Fatty Acids in Vivo. Diabetes Res. Clin. Pract. 2010, 89, 150–156. [Google Scholar] [CrossRef] [PubMed]
- Chisari, E.; Yaghmour, K.M.; Khan, W.S. The Effects of TNF-Alpha Inhibition on Cartilage: A Systematic Review of Preclinical Studies. Osteoarthr. Cartil. 2020, 28, 708–718. [Google Scholar] [CrossRef] [PubMed]
- Hayden, M.S.; Ghosh, S. Regulation of NF-ΚB by TNF Family Cytokines. Semin. Immunol. 2014, 26, 253–266. [Google Scholar] [CrossRef]
- Kim, J.; Kang, S.; Hong, S.; Yum, S.; Kim, Y.M.; Jung, Y. Structure-Activity Relationship of Salicylic Acid Derivatives on Inhibition of TNF-α Dependent NFκB Activity: Implication on Anti-Inflammatory Effect of N-(5-Chlorosalicyloyl)Phenethylamine against Experimental Colitis. Eur. J. Med. Chem. 2012, 48, 36–44. [Google Scholar] [CrossRef] [PubMed]
- Vuolteenaho, K.; Moilanen, T.; Knowles, R.G.; Moilanen, E. The Role of Nitric Oxide in Osteoarthritis. Scand. J. Rheumatol. 2007, 36, 247–258. [Google Scholar] [CrossRef] [PubMed]
- Khan, A.A.; Alsahli, M.A.; Rahmani, A.H. Myeloperoxidase as an Active Disease Biomarker: Recent Biochemical and Pathological Perspectives. Med. Sci. 2018, 6, 33. [Google Scholar] [CrossRef] [PubMed]
- Gąsowska-Bajger, B.; Sosnowska, K.; Gąsowska-Bodnar, A.; Bodnar, L. The Effect of Acetylsalicylic Acid, as a Representative Non-Steroidal Anti-Inflammatory Drug, on the Activity of Myeloperoxidase. Pharmaceuticals 2023, 16, 1012. [Google Scholar] [CrossRef] [PubMed]
- Kepka-Lenhart, D.; Chen, L.C.; Morris, S.M. Novel Actions of Aspirin and Sodium Salicylate: Discordant Effects on Nitric Oxide Synthesis and Induction of Nitric Oxide Synthase MRNA in a Murine Macrophage Cell Line. J. Leukoc. Biol. 1996, 59, 840–846. [Google Scholar] [CrossRef] [PubMed]
- Liu, L.; Luo, P.; Yang, M.; Wang, J.; Hou, W.; Xu, P. The Role of Oxidative Stress in the Development of Knee Osteoarthritis: A Comprehensive Research Review. Front. Mol. Biosci. 2022, 9, 1001212. [Google Scholar] [CrossRef] [PubMed]
- Setti, T.; Arab, M.G.L.; Santos, G.S.; Alkass, N.; Andrade, M.A.P.; Lana, J.F.S.D. The Protective Role of Glutathione in Osteoarthritis. J. Clin. Orthop. Trauma 2021, 15, 145–151. [Google Scholar] [CrossRef]
- Inkielewicz-Stepniak, I.; Czarnowski, W. Oxidative Stress Parameters in Rats Exposed to Fluoride and Caffeine. Food Chem. Toxicol. 2010, 48, 1607–1611. [Google Scholar] [CrossRef] [PubMed]
- Chen, B.; He, Q.; Chen, C.; Lin, Y.; Xiao, J.; Pan, Z.; Li, M.; Li, S.; Yang, J.; Wang, F.C.; et al. Combination of Curcumin and Catalase Protects against Chondrocyte Injury and Knee Osteoarthritis Progression by Suppressing Oxidative Stress. Biomed. Pharmacother. 2023, 168, 115751. [Google Scholar] [CrossRef]
- Amel Zabihi, N.; Mahmoudabady, M.; Soukhtanloo, M.; Hayatdavoudi, P.; Beheshti, F.; Niazmand, S. Salix Alba Attenuated Oxidative Stress in the Heart and Kidney of Hypercholesterolemic Rabbits. Avicenna J. Phytomed. 2018, 8, 63–72. [Google Scholar] [PubMed]
- Frydrychowski, P.; Michałek, M.; Bil-Lula, I.; Chełmecka, E.; Kafel, A.; Noszczyk-Nowak, A.; Stygar, D. Cardioprotective Effect of Acetylsalicylic Acid in the Myocardial Ischemia-Reperfusion Model on Oxidative Stress Markers Levels in Heart Muscle and Serum. Antioxidants 2022, 11, 1432. [Google Scholar] [CrossRef] [PubMed]





| S | MIA | NP | ||||
|---|---|---|---|---|---|---|
| Mean | ±SD | Mean | ±SD | Mean | ±SD | |
| TAC [mMol DPPH/L] | 54.18 | 2.06 | 41.75 | 5.24 | 39.13 | 1.47 |
| MDA [mM−1cm−1] | 0.67 | 0.10 | 1.96 | 0.71 | 0.85 | 0.02 |
| CAT [U/mgHb] | 9748.78 | 1037.35 | 5579.68 | 1452.29 | 6204.92 | 1112.12 |
| GSH [mg/dL] | 4.68 | 0.48 | 3.59 | 0.50 | 3.85 | 0.43 |
| MPO [ng/mL] | 0.66 | 0.23 | 0.83 | 0.33 | 0.66 | 0.07 |
| NO [µMol] | 42.24 | 10.60 | 56.36 | 16.67 | 44.80 | 27.30 |
| TNF-alpha [pg/mL] | 385.20 | 10.26 | 452.20 | 28.52 | 377.40 | 14.55 |
Disclaimer/Publisher’s Note: The statements, opinions and data contained in all publications are solely those of the individual author(s) and contributor(s) and not of MDPI and/or the editor(s). MDPI and/or the editor(s) disclaim responsibility for any injury to people or property resulting from any ideas, methods, instructions or products referred to in the content. |
© 2024 by the authors. Licensee MDPI, Basel, Switzerland. This article is an open access article distributed under the terms and conditions of the Creative Commons Attribution (CC BY) license (https://creativecommons.org/licenses/by/4.0/).
Share and Cite
Bică, G.; Rogoveanu, O.-C.; Gherghina, F.-L.; Pisoschi, C.-G.; Buteică, S.-A.; Biță, C.-E.; Paliu, I.-A.; Mîndrilă, I. The Histological and Biochemical Assessment of Monoiodoacetate-Induced Knee Osteoarthritis in a Rat Model Treated with Salicylic Acid-Iron Oxide Nanoparticles. Biology 2024, 13, 331. https://doi.org/10.3390/biology13050331
Bică G, Rogoveanu O-C, Gherghina F-L, Pisoschi C-G, Buteică S-A, Biță C-E, Paliu I-A, Mîndrilă I. The Histological and Biochemical Assessment of Monoiodoacetate-Induced Knee Osteoarthritis in a Rat Model Treated with Salicylic Acid-Iron Oxide Nanoparticles. Biology. 2024; 13(5):331. https://doi.org/10.3390/biology13050331
Chicago/Turabian StyleBică, George, Otilia-Constantina Rogoveanu, Florin-Liviu Gherghina, Cătălina-Gabriela Pisoschi, Sandra-Alice Buteică, Cristina-Elena Biță, Iulia-Alexandra Paliu, and Ion Mîndrilă. 2024. "The Histological and Biochemical Assessment of Monoiodoacetate-Induced Knee Osteoarthritis in a Rat Model Treated with Salicylic Acid-Iron Oxide Nanoparticles" Biology 13, no. 5: 331. https://doi.org/10.3390/biology13050331
APA StyleBică, G., Rogoveanu, O.-C., Gherghina, F.-L., Pisoschi, C.-G., Buteică, S.-A., Biță, C.-E., Paliu, I.-A., & Mîndrilă, I. (2024). The Histological and Biochemical Assessment of Monoiodoacetate-Induced Knee Osteoarthritis in a Rat Model Treated with Salicylic Acid-Iron Oxide Nanoparticles. Biology, 13(5), 331. https://doi.org/10.3390/biology13050331

