Effectiveness and Mechanism of Resibufogenin on Human Renal Cancer Cell Caki-1
Simple Summary
Abstract
1. Introduction
2. Materials and Methods
2.1. Experimental Materials
Drugs, Reagents, and Cells
2.2. Experimental Methodology Randomized Controlled Trial
2.2.1. Acquisition of Intersection Targets of Renal Cell Carcinoma and Resibufogenin
2.2.2. Construction of Protein-Protein Interaction Networks
2.2.3. Acquisition of Core Targets for Renal Cell Carcinoma and Resibufogenin
2.2.4. GO and KEEGGG Enrichment Analysis
2.2.5. Molecular Docking
2.2.6. MTT Method to Detect the Effect of Resibufogenin on the Growth Activity of Caki-1 Cells
2.2.7. Scratch Experiment Detection Caki-1 Cells in Logarithmic Growth Phase Were Parallel Scratched in 6-Well Plates
2.2.8. FCM.Caki-1 Cells in Logarithmic Growth Phase Were Cultured in 6-Well Plates
2.2.9. RT-PCR to Detect Changes in the Expression of the Core Target in the Cell
2.2.10. Statistical Analysis and Processing
3. Experimental Results
3.1. Intersecting Targets of Renal Cell Carcinoma and Resibufogenin
3.2. PPI Network of Intersecting Targets of Renal Cell Carcinoma with Resibufogenin
3.3. Core Targets of Renal Cell Carcinoma with Resibufogenin
3.4. GO and KEGG Enrichment of Intersecting Targets GO Enrichment Analysis
3.5. Molecular Docking of the Resibufogenin Receptor with the Screened
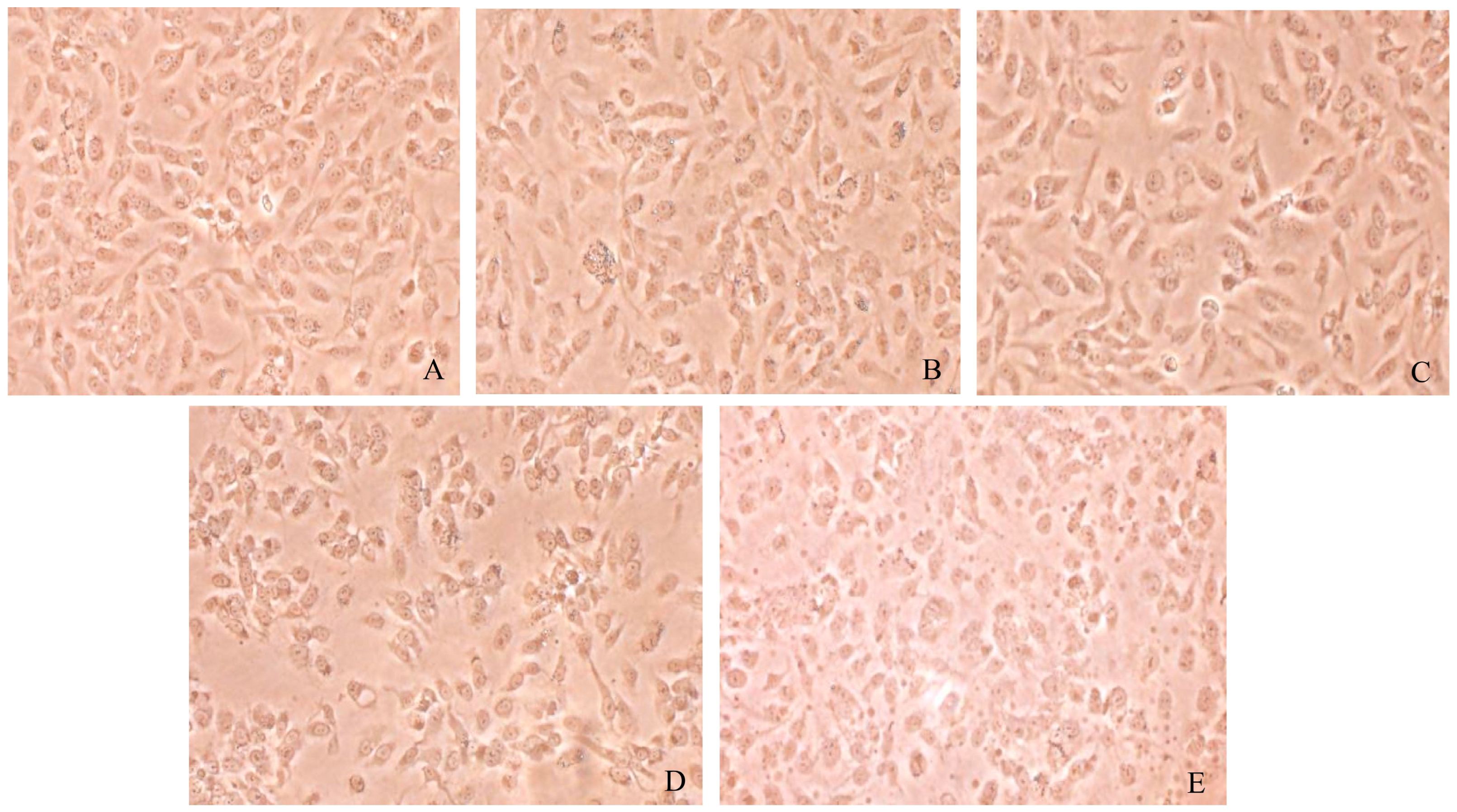
3.6. Morphological Changes of Caki-1 Cells After 12 h and 24 h of Resibufogenin Under Inverted Phase Contrast Microscope
3.7. MTT Assay to Detect the Effect of Resibufogenin on the Growth Activity of Caki-1 Cells
3.8. Trace Assay to Detect the Effect of Resibufogenin on the Migration of Caki-1 Cells
3.9. FCM to Detect the Effect of Resibufogenin on Apoptosis Rates in Caki-1 Cells
3.10. RT-qPCR to Detect Changes in the Expression of Core Targets in Cells
4. Discussion
5. Conclusions
Author Contributions
Funding
Institutional Review Board Statement
Informed Consent Statement
Data Availability Statement
Conflicts of Interest
References
- Yamahara, J.; Tanaka, S.; Matsuda, H.; Sawada, T.; Fujimura, H. The mode of cardiac action of cardiotonic steroids isolated from Toad Cake in perfused working guinea-pig heart and the effect of cinobufagin on experimental heart failure. Nihon Yakurigaku Zasshi 1986, 88, 413–423. [Google Scholar] [CrossRef] [PubMed]
- Park, J.S.; Shin, D.Y.; Lee, Y.W.; Cho, C.K.; Kim, G.Y.; Kim, W.J.; Yoo, H.S.; Choi, Y.H. Apoptotic and anti-metastatic effects of the whole skin of Venenum bufonis in A549 human lung cancer cells. Int. J. Oncol. 2012, 40, 1210–1219. [Google Scholar] [CrossRef]
- Wang, Z.J.; Sun, L.; Heinbockel, T. Resibufogenin and cinobufagin activate central neurons through an ouabain-like action. PLoS ONE 2014, 9, e113272. [Google Scholar] [CrossRef] [PubMed]
- Commission, C.P. Pharmacopoeia of the People’s Republic of China; China Medical Science Press: Beijing, China, 2020; p. 402. [Google Scholar]
- Chu, Q.; Xu, H.; Gao, M.; Guan, X.; Liu, H.; Deng, S.; Huo, X.; Liu, K.; Tian, Y.; Ma, X. Liver-targeting Resibufogenin-loaded poly(lacticco-glycolic acid)-D-alpha-tocopheryl polyethylene glycol 1000 succinate nanoparticles for liver cancer therapy. Int. J. Nanomed. 2016, 11, 449–463. [Google Scholar]
- Zhou, G.; Zhu, Z.; Li, L.; Ding, J. Resibufogenin inhibits ovarian clear cell carcinoma (OCCC) growth in vivo, and migration of OCCC cells in vitro, by down-regulating the PI3K/AKT and actin cytoskeleton signaling pathways. Am. J. Transl. Res. 2019, 11, 6290–6303. [Google Scholar]
- YEl-Seedi, H.R.; Yosri, N.; El-Aarag, B.; Mahmoud, S.H.; Zayed, A.; Du, M.; Saeed, A.; Musharraf, S.G.; El-Garawani, I.M.; Habib, M.R.; et al. Chemistry and the Potential Antiviral, Anticancer, and Anti-Inflammatory Activities of Cardiotonic Steroids Derived from Toads. Molecules 2022, 27, 6586. [Google Scholar] [CrossRef] [PubMed]
- Deng, S.; Li, M.Y.; Wu, X.L.; Zhao, Y.; Ma, L.; Li, X.K. Progress of research on chemical composition and antitumour effect of Toadflax. Chin. Pat. Med. 2022, 44, 884–890. [Google Scholar]
- Lu, Z.; Xu, A.; Yuan, X.; Chen, K.; Wang, L.; Guo, T. Anticancer effect of resibufogenin on gastric carcinoma cells through the phosphoinositide 3-kinase/protein kinase B/ glycogen synthase kinase 3β signalling pathway. Oncol. Lett. 2018, 16, 3297–3302. [Google Scholar] [CrossRef] [PubMed]
- Wotschofsky, Z.; Gummlich, L.; Liep, J.; Stephan, C.; Kilic, E.; Jung, K.; Billaud, J.N.; Meyer, H.A. Integrated microRNA and mRNA Signature Associated with the Transition from the Locally Confined to the Metastasized Clear Cell Renal Cell Carcinoma Exemplified by miR-146-5p. PLoS ONE 2016, 11, e0148746. [Google Scholar] [CrossRef]
- Liep, J.; Kilic, E.; Meyer, H.A.; Busch, J.; Jung, K.; Rabien, A. Cooperative Effect of miR-141-3p and miR-145-5p in the Regulation of Targets in Clear Cell Renal Cell Carcinoma. PLoS ONE 2016, 11, e0157801. [Google Scholar] [CrossRef]
- Daina, A.; Michielin, O.; Zoete, V. SwissTarget Prediction: Updated data and new features for efficient prediction of protein targets of small molecules. Nucleic Acids Res. 2019, 47, W357–W364. [Google Scholar] [CrossRef] [PubMed]
- Wozniak, M.B.; Le Calvez-Kelm, F.; Abedi-Ardekani, B.; Byrnes, G.; Durand, G.; Carreira, C.; Michelon, J.; Janout, V.; Holcatova, I.; Foretova, L.; et al. Integrative genome-wide gene expression profiling of clear cell renal cell carcinoma in Czech Republic and in the United States. PLoS ONE 2013, 8, e57886. [Google Scholar] [CrossRef] [PubMed]
- Szklarczyk, D.; Franceschini, A.; Wyder, S.; Forslund, K.; Heller, D.; Huerta-Cepas, J.; Simonovic, M.; Roth, A.; Santos, A.; Tsafou, K.P.; et al. STRING v10: Protein-protein interaction networks, integrated over the tree of life. Nucleic Acids Res. 2015, 43, D447–D452. [Google Scholar] [CrossRef]
- Shannon, P.; Markiel, A.; Ozier, O.; Baliga, N.S.; Wang, J.T.; Ramage, D.; Amin, N.; Schwikowski, B.; Ideker, T. Cytoscape: A software environment for integrated models of biomolecular interaction networks. Genome Res. 2003, 13, 2498–2504. [Google Scholar] [CrossRef]
- Guo, S.S.; Zhang, Z.Y.; Wang, Y. Study on the effect of PI3K/AKT/MTOR signalling pathway on the proliferation, migration and invasion of renal cancer A498 cells. Cancer Prog. 2017, 15, 1412–1416. [Google Scholar]
- Cu, H.; Sun, F. Progress of PI3K/Akt/mTOR signalling pathway and mTOR inhibitors in urological tumours. J. Shanghai Jiao Tong Univ. (Med. Ed.) 2012, 32, 674–678. [Google Scholar]
- Zhao, L.; Robert, Y.; Lin, S.G.; Li, L.S.; Li, D.N.; Gao, Y.; Sun, W.M.; Wang, Y.L.; Zou, P. Hibiscus sabdariffa acetic acid induces apoptosis in human renal cancer cells A498 via PI3K/Akt signalling pathway. Biotechnol. Lett. 2016, 27, 512–515. [Google Scholar]
- Cao, B.; Fu, G.; Wang, X.M.; Chai, C.X.; Zhang, Z.G.; Chen, X.X. Effects of tretinoin on proliferation, migration and invasion of human renal carcinoma A498 cells. Chin. Contemp. Med. 2021, 28, 9–12. [Google Scholar]
- Li, T.; Zhou, D.M.; Liu, Y.F.; Jiang, X.H.; Xie, Q.L.; Huang, Y.Q.; Yin, Y.F. Effect of sea cucumber polysaccharide on autophagy of renal cancer ACHN cells. J. Zhengzhou Univ. (Med. Ed.) 2019, 54, 758–762. [Google Scholar]
- Wu, B.R.; Jin, M.; Wang, W.Z.; Kong, L. Immunological role and molecular mechanism of PI3K/AKT signalling pathway in tumour regulation. J. Clin. Ration. Drug Use 2013, 6, 135–137. [Google Scholar]
- Tang, X.W.; Xiao, J.; Song, J.; Zou, Q.; Wang, R.X.; Li, Y.Q.; Yang, T. Study on selective killing of tumour cells by ester toad toxin ligand. Chin. J. Cancer 2012, 22, 196–199. [Google Scholar]
- Yong, H.; Yin, X.C.; Xie, J.M.; Gao, B.; Ling, C.Q. Inhibitory effects of three toad venom monomers on the growth of SMMC-7721 and BEL-7402 human hepatocellular carcinoma cells. J. Second. Mil. Med. Univ. 2003, 24, 393–395. [Google Scholar]
- Yuan, X.D.; Wang, J.; Jin, M.J.; Hao, H.B.; Yao, H.; Meng, K. Ex vivo and in vivo inhibitory activity of huachunin oil on hepatocellular carcinoma cells and the effect on immune cells in the tumour microenvironment. World J. Integr. Chin. West. Med. 2019, 14, 1629–1637. [Google Scholar]
- Li, A.; Zhao, H.; Zhang, W.B.; Wang, B. The significance of huachanin in tumour prevention and treatment. Mod. J. Integr. Chin. West. Med. 2002, 11, 1512–1513. [Google Scholar]
- Zhou, Y.; Hong, Z.; Jin, K.; Lin, C.; Xiang, J.; Ge, H.; Zheng, Z.; Shen, J.; Deng, S. Resibufogenin inhibits the malignant characteristics of multiple myeloma cells by blocking the PI3K/Akt signaling pathway. Exp. Ther. Med. 2022, 24, 441. [Google Scholar] [CrossRef] [PubMed]
- Zhang, X.; Yao, Z.; Xue, Z.; Wang, S.; Liu, X.; Hu, Y.; Zhang, Y.; Wang, J.; Li, X.; Chen, A. Resibufogenin Targets the ATP1A1 Signaling Cascade to Induce G2/M Phase Arrest and Inhibit Invasion in Glioma. Front. Pharmacol. 2022, 13, 855626. [Google Scholar] [CrossRef]
- Samatar, A.A.; Poulikakos, P.I. Targeting RAS-ERK signalling in cancer: Promises and challenges. Nat. Rev. Drug Discov. 2014, 13, 928–942. [Google Scholar] [CrossRef] [PubMed]
- Wu, X.; Song, W.; Cheng, C.; Liu, Z.; Li, X.; Cui, Y.; Gao, Y.; Li, D. Small molecular inhibitors for KRAS-mutant cancers. Front. Immunol. 2023, 14, 1223433. [Google Scholar] [CrossRef]
- Lanman, B.A.; Allen, J.R.; Allen, J.G.; Amegadzie, A.K.; Ashton, K.S.; Booker, S.K.; Chen, J.J.; Chen, N.; Frohn, M.J.; Goodman, G.; et al. Discovery of a covalent inhibitor of KRASG12C (AMG 510) for the treatment of solid tumors. J. Med. Chem. 2019, 63, 52–65. [Google Scholar] [CrossRef]
- Tong, W.B.; Su, X.L.; Jia, Y.F.; Zhang, B. Expression and clinical significance of ERK1, ERK2 and phosphorylated ERK1/2 in colorectal cancer. J. Inn. Mong. Med. Univ. 2018, 40, 11–16, 20. [Google Scholar]
- Han, Q.; Ma, Y.; Wang, H.; Dai, Y.; Chen, C.; Liu, Y.; Jing, L.; Sun, X. Resibufogenin suppresses colorectal cancer growth and metastasis through RIP3-mediated necroptosis. J. Transl. Med. 2018, 16, 201. [Google Scholar] [CrossRef] [PubMed]
- Yang, T.; Jiang, Y.X.; Wu, Y.; Lu, D.; Huang, R.; Wang, L.L.; Wang, S.Q.; Guan, Y.Y.; Zhang, H.; Luan, X. Resibufogenin suppresses triple-negative breast cancer angiogenesis by blocking VEGFR2-mediated signaling path- way. Front. Pharmacol. 2021, 12, 682735. [Google Scholar]
- Dai, X.; Yin, C.; Zhang, Y.; Guo, G.; Zhao, C.; Wang, O.; Xiang, Y.; Zhang, X.; Liang, G. Osthole inhibits triple negative breast cancer cells by suppressing STAT3. J. Exp. Clin. Cancer Res. 2018, 37, 322. [Google Scholar] [CrossRef] [PubMed]
- Huang, J.; Deng, C.; Guo, T.; Chen, X.; Chen, P.; Du, S.; Lu, M. Cinobufotalin Induces Ferroptosis to Suppress Lung Cancer Cell Growth by lncRNA LINC00597/hsa-miR-367-3p/TFRC Pathway via Resibufogenin. Anticancer Agents Med. Chem. 2023, 23, 717–725. [Google Scholar] [PubMed]
- Wang, Y.; Guo, Z.; Tian, Y.; Cong, L.; Zheng, Y.; Wu, Z.; Shan, G.; Xia, Y.; Zhu, Y.; Li, X.; et al. MAPK1 promotes the metastasis and invasion of gastric cancer as a bidirectional transcription factor. BMC Cancer 2023, 23, 959. [Google Scholar] [CrossRef] [PubMed]
- He, X.R.; Liu, X.; Wang, Q. Expression and significance of TGF-β1 and ERK2 in lung cancer tissues. Shandong Med. 2012, 52, 53–55. [Google Scholar]
- Qiu, P. Expression and significance of NEK2, ERK2 and P53 in breast cancer. J. Pract. Heart Brain Lung Vasc. Dis. 2012, 20, 1122–1124. [Google Scholar]
- Dong, C.Y.; Liu, T.F.; Qi, J.P. Expression and significance of TGF-β1, ERK1, ERK2 and c-jun in pancreatic cancer tissues. Pancreat. Pathol. 2005, 5, 28–32. [Google Scholar]
- Cheng, G.J.; Liu, S.L.; Zhu, G.L.; Wang, J.Z. Role of Wnt pathway gene promoter methylation in the diagnosis of non-small cell lung cancer. J. Wenzhou Med. Univ. 2018, 48, 499–503. [Google Scholar]
















| Name | Websites |
|---|---|
| GEO database | https://www.ncbi.nlm.nih.gov/geo/ (accessed on 17 July 2024) |
| SwissTargetPrediction | http://swisstargetprediction.ch/ (accessed on 18 July 2024) |
| Venny 2.1.0 | https://bioinfogp.cnb.csic.es/tools/venny/ (accessed on 18 August 2024) |
| STRING | https://cn.string-db.org/ (accessed on 17 August 2024) |
| Metascape | https://metascape.org/gp/index.html#/main/step1 (accessed on 18 August 2024) |
| KOBAS | http://bioinfo.org/kobas (accessed on 5 September 2024) |
| microfinance | https://www.bioinformatics.com.cn/ (accessed on 5 September 2024) |
| RCSB PDB | https://www.rcsb.org/ (accessed on 5 September 2024) |
| PubChem | https://pubchem.ncbi.nlm.nih.gov/ (accessed on 5 September 2024) |
| Reagents and Components | Volume (µL) |
|---|---|
| SYBR Premix Ex Tag | 10 |
| RNase Free ddH O2 | 6.4 |
| Forward Primer | 0.8 |
| Reverse Primer | 0.8 |
| cDNA | 2 |
| Total | 20 |
| Point | Temp | Times |
|---|---|---|
| None | 95 °C | 2 min |
| 95 °C | 10 s | |
| Quantification (40×) | 60 °C | 20 s |
| 72 °C | 20 s | |
| 95 °C | 20 s | |
| Melting Curve | 65 °C | 1 min |
| 95 °C | Continuous | |
| None | 40 °C | 1 min |
| Gene Name | Primer Sequences (5′-3′) |
|---|---|
| MAPK1 | Forward: GTGGTCGTTGAGGGCAATG |
| reverse: GTGGTCGTTGAGGGCAATG | |
| PRKCB | Forward: GTGGTCGTTGAGGGCAATG |
| reverse: TGTCTCATTCCACTCAGGGTT | |
| GAPDH | forward: CCAGGTGGTCTCCTCTGACTTC |
| reverse: GTGGTCGTTGAGGGCAATG |
| Degree | MCC | NNC |
|---|---|---|
| MAPK1 | MAPK1 | MAPK1 |
| PRKCB | PRKCA | PRKCB |
| PRKCE | PRKCB | PRKCE |
| MDM2 | PRKCE | MDM2 |
| NR3C1 | PRKCG | NR3C1 |
Disclaimer/Publisher’s Note: The statements, opinions and data contained in all publications are solely those of the individual author(s) and contributor(s) and not of MDPI and/or the editor(s). MDPI and/or the editor(s) disclaim responsibility for any injury to people or property resulting from any ideas, methods, instructions or products referred to in the content. |
© 2024 by the authors. Licensee MDPI, Basel, Switzerland. This article is an open access article distributed under the terms and conditions of the Creative Commons Attribution (CC BY) license (https://creativecommons.org/licenses/by/4.0/).
Share and Cite
Wu, Y.; Yang, Y.; Huang, R.; Li, T.; Wan, C.; Zhang, L. Effectiveness and Mechanism of Resibufogenin on Human Renal Cancer Cell Caki-1. Biology 2024, 13, 1064. https://doi.org/10.3390/biology13121064
Wu Y, Yang Y, Huang R, Li T, Wan C, Zhang L. Effectiveness and Mechanism of Resibufogenin on Human Renal Cancer Cell Caki-1. Biology. 2024; 13(12):1064. https://doi.org/10.3390/biology13121064
Chicago/Turabian StyleWu, Yuqi, Yue Yang, Run Huang, Tao Li, Chunlei Wan, and Lei Zhang. 2024. "Effectiveness and Mechanism of Resibufogenin on Human Renal Cancer Cell Caki-1" Biology 13, no. 12: 1064. https://doi.org/10.3390/biology13121064
APA StyleWu, Y., Yang, Y., Huang, R., Li, T., Wan, C., & Zhang, L. (2024). Effectiveness and Mechanism of Resibufogenin on Human Renal Cancer Cell Caki-1. Biology, 13(12), 1064. https://doi.org/10.3390/biology13121064

