Development of Simple Sequence Repeat of Monochamus alternatus (Coleoptera: Cerambycidae) Based on Restriction Site-Associated DNA Sequencing
Simple Summary
Abstract
1. Introduction
2. Materials and Methods
2.1. Collection of Samples
2.2. Genomic DNA Extraction and Library Construction
2.3. High-Quality Data Acquisition and Sequence Integration
2.4. SSR Search and Result Compilation
2.5. SSR Primer Design
2.6. Genotyping and Genetic Diversity Analysis
3. Results
3.1. Sequencing Quality Assessment
3.2. Distribution Characteristics of SSR Loci
3.3. Screening of SSR Primers
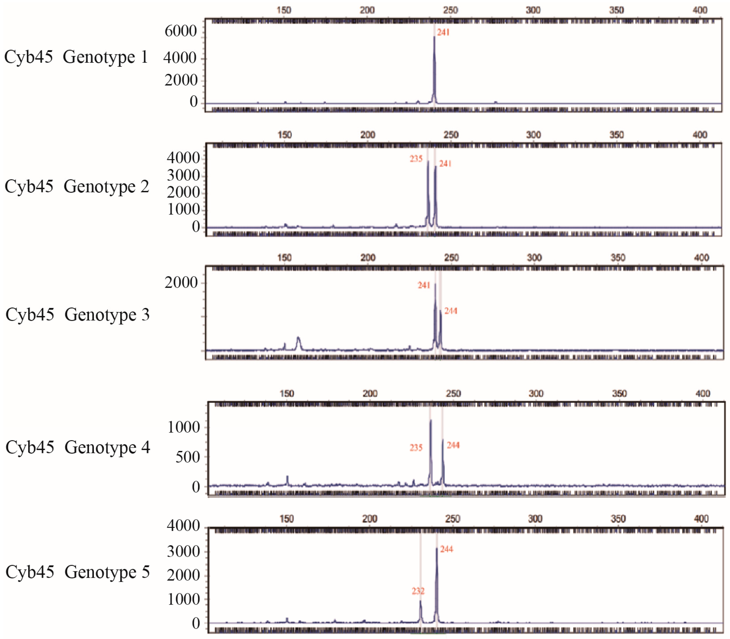
3.4. Analysis of Polymorphic of SSR Loci
4. Discussion
5. Conclusions
Author Contributions
Funding
Institutional Review Board Statement
Informed Consent Statement
Data Availability Statement
Conflicts of Interest
References
- Nickle, W.R.; Golden, A.M.; Mamiya, Y.; Wergin, W.P. On the taxonomy and morphology of the pine wood nematode, Bursaphelenchus xylophilus (Steiner & Buhrer 1934) Nickle 1970. J. Nematol. 1981, 13, 385–392. [Google Scholar] [PubMed]
- Liao, Q.L.; Yang, X.Z.; Ma, J.Y.; Sheng, L.J.; Zou, S.Q. The complete mitochondrial genome of Monochamus alternatus alternatus (Coleoptera: Cerambycidae). Mitochondrial DNA B 2020, 5, 3381–3382. [Google Scholar] [CrossRef] [PubMed]
- Teale, S.A.; Wickham, J.D.; Zhang, F.P.; Su, J.; Chen, Y.; Xiao, W.; Hanks, L.M.; Millar, J.G. A Male-produced aggregation pheromone of Monochamus alternatus (Coleoptera: Cerambycidae), a major vector of pine wood nematode. J. Econ. Entomol. 2011, 104, 1592–1598. [Google Scholar] [CrossRef] [PubMed]
- Linit, M.J. Temporal pattern of pinewood nematode exit from the insect vector Monochamus carolinensis. J. Nematol. 1989, 21, 105–107. [Google Scholar]
- Morimoto, K.; Iwasaki, A. Role of Monochamus alternatus (Coleoptera: Cerambycidae) as a vector of Bursaphelenchus lignicolus (Nematoda: Aphelenchoididae). J. Jpn. For. Soc. 1972, 54, 177–183. [Google Scholar]
- Madhumati, B. Potential and application of molecular markers techniques for plant genome analysis. Int. J. Pure App. Biosci. 2014, 2, 169–188. [Google Scholar]
- Chen, X.; Gao, Z. The study and application of DNA molecular marker technique. Mol. Plant Breed. 2019, 17, 1970–1977. [Google Scholar]
- Tautz, D.; Renz, M. Simple sequences are ubiquitous repetitive components of eukaryotic genomes. Nucleic Acids Res. 1984, 12, 4127–4138. [Google Scholar] [CrossRef]
- Gupta, P.K.; Balyan, H.S.; Sharma, P.C.; Ramesh, B. Microsatellites in plants: A new class of molecular markers. Curr. Sci. India 1996, 70, 45–54. [Google Scholar]
- Ožana, S.; Dolný, A.; Pánek, T. Nuclear copies of mitochondrial DNA as a potential problem for phylogenetic and population genetic studies of Odonata. Syst. Entomol. 2022, 47, 591–602. [Google Scholar] [CrossRef]
- Zhou, Z.X.; Wan, F.H.; Chen, B.; Zhang, G.F. Application of DNA Molecular Marker Techniques in Studying of Parasitoid Insects. Chin. J. Biol. Control 2009, 25, 164. [Google Scholar]
- Saha, M.; Kundu, S.C. Molecular identification of tropical tasar silkworm (Antheraea mylitta) ecoraces with RAPD and SCAR markers. Biochem. Genet. 2006, 44, 72–85. [Google Scholar] [CrossRef] [PubMed]
- Lee, I.H.; Choi, B.Y.; Kim, D.S.; Han, H.; Kim, Y.H.; Shim, D. Temporal Transcriptome Profiling of Pinus densiflora Infected with Pine Wood Nematode Reveals Genetically Programmed Changes upon Pine Wilt Disease. Phytopathology® 2024, 114, 982–989. [Google Scholar] [CrossRef] [PubMed]
- Back, M.A.; Bonifácio, L.; Inácio, M.L.; Mota, M.; Boa, E. Pine wilt disease: A global threat to forestry. Plant Pathol. 2024, 73, 1026–1041. [Google Scholar] [CrossRef]
- Rochette, N.C.; Catchen, J.M. Deriving genotypes from RAD-seq short-read data using Stacks. Nat. Protoc. 2017, 12, 2640–2659. [Google Scholar] [CrossRef]
- Li, Y.G.; He, M.X. Genetic map and QTL analysis of growth-related traits in Pinctada fucata using restriction-site associated DNA sequencing. PLoS ONE 2014, 9, e111707. [Google Scholar]
- Deng, K.; Deng, R.J.; Fan, J.X.; Chen, E.F. Transcriptome analysis and development of simple sequence repeat (SSR) markers in Zingiber striolatum Diels. Physiol. Mol. Biol. Pla. 2018, 24, 125–134. [Google Scholar] [CrossRef]
- Duan, X.T.; Wang, K.; Su, S.; Tian, R.Z.; Li, Y.T.; Chen, M.H. De novo transcriptome analysis and microsatellite marker development for population genetic study of a serious insect pest, Rhopalosiphum padi (L.) (Hemiptera: Aphididae). PLoS ONE 2017, 12, e0172513. [Google Scholar] [CrossRef]
- Chen, Z.M.; Chen, J.; Zhang, X.; He, Y.M.; Wang, G.H. Development of microsatellite markers for the nipa palm hispid beetle, Octodonta nipae (Maulik). Can. J. Infect. Dis. Med. 2018, 2018, 9139306. [Google Scholar] [CrossRef]
- Ning, X.; Jiang, X.L.; Deng, M.; Xu, G.B. Development of microsatellite primers of Quercus championii with RAD-seq Data. Bull. Bot. Res. 2020, 40, 629–634. [Google Scholar]
- García-Meseguer, A.J.; Villastrigo, A.; Mirón-Gatón, J.M.; Millán, A.; Velasco, J.; Muñoz, D. Novel Microsatellite Loci, Cross-Species Validation of Multiplex Assays, and By-Catch Mitochondrial Genomes on Ochthebius Beetles from Supratidal Rockpools. Insects 2023, 14, 881. [Google Scholar] [CrossRef] [PubMed]
- de Souza, A.T.; Batista, J.S.; Guimarães-Marques, G.M.; Cunha-Machado, A.S.; Rafael, M.S. Identification and validation of the first EST-SSR markers based on transcriptome of Anopheles darlingi, the primary transmitter of malaria in Brazil. Mol. Biol. Rep. 2023, 50, 7099–7104. [Google Scholar] [CrossRef] [PubMed]
- Dias, F.C.; de Souza, R.F.; Pezenti, L.F.; Dionisio, J.F.; Paulino, J.A.M.; da Silva, C.R.M.; Sosa-Gómez, D.R.; da Rosa, R. Transcriptional Analysis of Microsatellites in Velvetbean Caterpillar Anticarsia gemmatalis Hübner, 1818. Cytogenet. Genome Res. 2022, 162, 273–282. [Google Scholar] [CrossRef] [PubMed]
- Liu, Z.Y.; Tao, J.; Luo, Y.Q. Development and characterization of polymorphic genomic-SSR markers in Asian long-horned beetle (Anoplophora glabripennis). B Entomol. Res. 2017, 107, 749–755. [Google Scholar] [CrossRef]
- Yuan, Y.; Zhang, L.F.; Wu, G.X.; Zhu, J.Y. High-throughput discovery microsatellites in Tomicus yunnanensis (Coleoptera: Scolytinae). J. Environ. Entomol. 2014, 36, 166–170. [Google Scholar]
- Luo, M.; Zhang, H.; Bin, S.Y.; Lin, J.T. High-throughput discovery of SSR genetic markers in the mealybug, Phenacoccus solenopsis (Hemiptera: Pseudococcidae), from its transcriptome database. Acta Entomol. Sin. 2014, 57, 395–400. [Google Scholar]
- Varshney, R.K.; Graner, A.; Sorrells, M.E. Genic microsatellite markers in plants: Features and applications. Trends Biotechnol. 2005, 23, 48–55. [Google Scholar] [CrossRef]
- Botstein, D.; White, R.L.; Skolnick, M.; Davis, R.W. Construction of a genetic linkage map in man using restriction fragment length polymorphisms. Am. J. Human Genet. 1980, 32, 314. [Google Scholar]
- Shoda-Kagaya, E. Genetic differentiation of the pine wilt disease vector Monochamus alternatus (Coleoptera: Cerambycidae) over a mountain range–revealed from microsatellite DNA markers. B Entomol. Res. 2007, 97, 167–174. [Google Scholar] [CrossRef]
- Hu, S.J.; Tiao, N.; Fu, D.Y.; Haack, R.A.; Zhang, Z.; Chen, D.D.; Ma, X.Y.; Ye, H. Dispersal of the Japanese Pine Sawyer, Monochamus alternatus (Coleoptera: Cerambycidae), in Mainland China as Inferred from Molecular Data and Associations to Indices of Human Activity. PLoS ONE 2013, 8, e57568. [Google Scholar] [CrossRef]
- Fu, D.Y.; Hu, S.J.; Ye, H.; Haack, R.A.; Zhou, P.Y. Pine wilt disease in Yunnan, China: Evidence of non-local pine sawyer Monochamus alternatus (Coleoptera: Cerambycidae) populations revealed by mitochondrial DNA. Insect Sci. 2010, 17, 439–447. [Google Scholar] [CrossRef]


| Sample | HQ Reads | HQ Reads (%) | HQ Data (bp) | HQ Data (%) | GC (%) | Q20 (%) | Q30 (%) |
|---|---|---|---|---|---|---|---|
| Xingning | 6,865,024 | 95.97 | 977,699,246 | 94.91 | 44.10 | 97.32 | 92.62 |
| Cangwu | 6,722,466 | 96.47 | 957,257,257 | 95.40 | 35.11 | 97.38 | 92.62 |
| Jingxi | 6,318,574 | 96.56 | 900,244,397 | 95.54 | 37.65 | 97.49 | 92.90 |
| SSR Motif Type | Repeat Type | Count | Percentage (%) | SSR Motif Number | Percentage (%) |
|---|---|---|---|---|---|
| Mononucleotide Repeat Motifs | A/T | 48,535 | 98.9 | 49,179 | 51.43 |
| C/G | 644 | 1.1 | |||
| Dinucleotide Repeat Motifs | AC/GT | 1575 | 5.72 | 27,532 | 28.79 |
| AG/CT | 1678 | 6.09 | |||
| AT/AT | 24,055 | 87.37 | |||
| CG/CG | 224 | 0.81 | |||
| Trinucleotide Repeat Motifs | AAC/GTT | 404 | 2.52 | 16,012 | 16.74 |
| AAG/CTT | 519 | 3.24 | |||
| AAT/ATT | 12,383 | 77.34 | |||
| ACC/GGT | 198 | 1.24 | |||
| ACG/CGT | 214 | 1.34 | |||
| ACT/AGT | 606 | 3.78 | |||
| AGC/CTG | 420 | 2.62 | |||
| AGG/CCT | 306 | 1.91 | |||
| ATC/ATG | 620 | 3.87 | |||
| CCG/CGG | 342 | 2.14 | |||
| Tetranucleotide Repeat Motifs | AAAT/ATTT | 572 | 39.86 | 1435 | 1.50 |
| ACAG/CTGC | 390 | 27.18 | |||
| Pentanucleotide Repeat Motifs | AAAAT/ATTTT | 154 | 35.24 | 437 | 0.45 |
| Hexanucleotide Repeat Motifs | AATGAC/ATTGTC | 237 | 23.30 | 1017 | 1.06 |
| AAGATG/ATCTTC | 124 | 12.19 | |||
| AATGAT/ATCATT | 113 | 11.11 |
| Primer | F-Primer-R-Primer | Repeat Primitives and Repeat Times | Destination Fragment Size |
|---|---|---|---|
| Cby018 | 5′-TTCGACAAGTAGAGGAAAAGGAA-3′ 5′-GCGGACAGGCTAACTTTGAG-3′ | (TAT)23 | 199 |
| Cby020 | 5′-TCAGCAAAATGGAAATCACG-3′ 5′-AAGTGGCACCTTTGAAACAA-3′ | (TG)8 | 183 |
| Cby021 | 5′-TTTGCAACAAAATTCTCCACA-3′ 5′-CACCCTATAGCTCTGTGAGCG-3′ | (AT)10 | 162 |
| Cby028 | 5′-CTGAGTGTGAACTTCCCCTTG-3′ 5′-GTTGTGAGGGCAACGAACTT-3′ | (TTA)7 | 171 |
| Cby039 | 5′-ACATTGCAAGTGGTGGGTCT-3′ 5′-TATGTTGGTGCTGCCACTGT-3′ | (AT)6 | 165 |
| Cby045 | 5′-CAACCTGATGCCAAGTTGAA-3′ 5′-GGGACCACGTTACTTGCATT-3′ | (AAT)6 | 219 |
| Cby047 | 5′-TGGCACATCATGCTTCTTTT-3′ 5′-TTCTGGACAAATCCTCGTGA-3′ | (TAA)5 | 120 |
| Cby054 | 5′-AGCAAAGCCCCAACTGTTTA-3′ 5′-TTTGTTTCGTTTTCTAGGTTGACA-3′ | (TG)6 | 215 |
| Cby055 | 5′-AATATGCAGGAAAAGTGCGG-3′ 5′-GCTCGTAATTAGCATGAGGGG-3′ | (ATA)7 | 187 |
| Cby061 | 5′-GTCGTTGTTGCGGTTCTTTT-3′ 5′-AACGTTCTCAACGGCCAC-3′ | (TCG)7 | 152 |
| Cby063 | 5′-CACTGAATGGTGGTTAGGGC-3′ 5′-CCAAAGAAGATGTAGAACCATCC-3′ | (TAT)6 | 194 |
| Cby066 | 5′-TCCAAACGGAGAAATTGTGA-3′ 5′-GACCGTCACCATAAGCCTGT-3′ | (AT)6 | 121 |
| Cby069 | 5′-ACACCGTCATAAAAGGCGAG-3′ 5′-CTTCTGGGCTAATCCCTGTG-3′ | (AAT)6 | 187 |
| Cby070 | 5′-ATTCAGCTGCCTCCATGAAA-3′ 5′-CGGCCAAAATAAAGCAGGAT-3′ | (TAAAA)7 | 212 |
| Cby086 | 5′-ATTCCGTTTTTCCCTGGACT-3′ 5′-ACTTGGTGGCGACCTTAATA-3′ | (TAA)5 | 160 |
| Cby089 | 5′-GGATGGAAAAACACATCAGTCA-3′ 5′-CTGTTTGGGACACGCCTTAT-3′ | (TG)6 | 179 |
| Locus | Na | Ne | Si | Ho | He | Nei’s | Pic |
|---|---|---|---|---|---|---|---|
| Cby018 | 4 | 2.43 | 1.01 | 0.15 | 0.59 | 0.79 | 0.50 |
| Cby020 | 7 | 4.94 | 1.76 | 0.27 | 0.80 | 0.90 | 0.77 |
| Cby021 | 8 | 4.83 | 1.80 | 0.73 | 0.79 | 0.90 | 0.77 |
| Cby028 | 4 | 1.93 | 0.85 | 0.53 | 0.48 | 0.74 | 0.42 |
| Cby039 | 3 | 2.42 | 0.97 | 0.27 | 0.59 | 0.79 | 0.51 |
| Cby045 | 4 | 1.65 | 0.80 | 0.30 | 0.39 | 0.70 | 0.37 |
| Cby047 | 3 | 1.49 | 0.59 | 0.40 | 0.33 | 0.67 | 0.29 |
| Cby054 | 5 | 2.59 | 1.15 | 0.67 | 0.61 | 0.81 | 0.55 |
| Cby055 | 7 | 2.53 | 1.32 | 0.47 | 0.61 | 0.80 | 0.58 |
| Cby061 | 4 | 3.17 | 1.24 | 0.23 | 0.69 | 0.84 | 0.63 |
| Cby063 | 3 | 1.59 | 0.64 | 0.40 | 0.37 | 0.69 | 0.32 |
| Cby066 | 4 | 2.41 | 1.10 | 0.47 | 0.58 | 0.79 | 0.54 |
| Cby069 | 4 | 2.43 | 1.01 | 0.40 | 0.59 | 0.79 | 0.50 |
| Cby070 | 7 | 5.23 | 1.77 | 0.13 | 0.81 | 0.90 | 0.78 |
| Cby086 | 7 | 3.76 | 1.59 | 0.53 | 0.73 | 0.87 | 0.70 |
| Cby089 | 4 | 2.22 | 1.04 | 0.53 | 0.55 | 0.78 | 0.51 |
Disclaimer/Publisher’s Note: The statements, opinions and data contained in all publications are solely those of the individual author(s) and contributor(s) and not of MDPI and/or the editor(s). MDPI and/or the editor(s) disclaim responsibility for any injury to people or property resulting from any ideas, methods, instructions or products referred to in the content. |
© 2024 by the authors. Licensee MDPI, Basel, Switzerland. This article is an open access article distributed under the terms and conditions of the Creative Commons Attribution (CC BY) license (https://creativecommons.org/licenses/by/4.0/).
Share and Cite
Lu, J.; Zhang, S.; Liu, J.; Zhang, Y.; Hu, L.; Yang, Z.; Hu, P. Development of Simple Sequence Repeat of Monochamus alternatus (Coleoptera: Cerambycidae) Based on Restriction Site-Associated DNA Sequencing. Biology 2024, 13, 880. https://doi.org/10.3390/biology13110880
Lu J, Zhang S, Liu J, Zhang Y, Hu L, Yang Z, Hu P. Development of Simple Sequence Repeat of Monochamus alternatus (Coleoptera: Cerambycidae) Based on Restriction Site-Associated DNA Sequencing. Biology. 2024; 13(11):880. https://doi.org/10.3390/biology13110880
Chicago/Turabian StyleLu, Jintao, Senzhe Zhang, Jiaxin Liu, Yuhua Zhang, Lijuan Hu, Zhende Yang, and Ping Hu. 2024. "Development of Simple Sequence Repeat of Monochamus alternatus (Coleoptera: Cerambycidae) Based on Restriction Site-Associated DNA Sequencing" Biology 13, no. 11: 880. https://doi.org/10.3390/biology13110880
APA StyleLu, J., Zhang, S., Liu, J., Zhang, Y., Hu, L., Yang, Z., & Hu, P. (2024). Development of Simple Sequence Repeat of Monochamus alternatus (Coleoptera: Cerambycidae) Based on Restriction Site-Associated DNA Sequencing. Biology, 13(11), 880. https://doi.org/10.3390/biology13110880

