Maternal Exposure to Acephate Caused Nephrotoxicity in Adult Offspring Rats Mediated by Excessive Autophagy Activation, Oxidative Stress Induction, and Altered Epithelial Sodium Channel and Na+/K+-ATPase Gene Expression
Abstract
Simple Summary
Abstract
1. Introduction
2. Materials and Methods
2.1. Animal Treatment
2.2. Biological Sample Collection
2.3. Histological Preparation
2.4. Immunofluorescence Staining and Confocal Microscopy
2.5. Examination of Gene Expression by RT-PCR
2.6. Oxidative Stress Measurement
2.6.1. Kidney Tissue Extract Preparation
2.6.2. Measurement of Lipid Peroxidation in Kidney Tissue
2.6.3. Determination of Kidney Enzymatic and Nonenzymatic Antioxidant Activities
2.7. Statistics
3. Results
3.1. Histopathological Effect of Acephate on the Kidney Tissue
3.2. Effect of Acephate Treatment on Plasmatic Creatinine and BUN
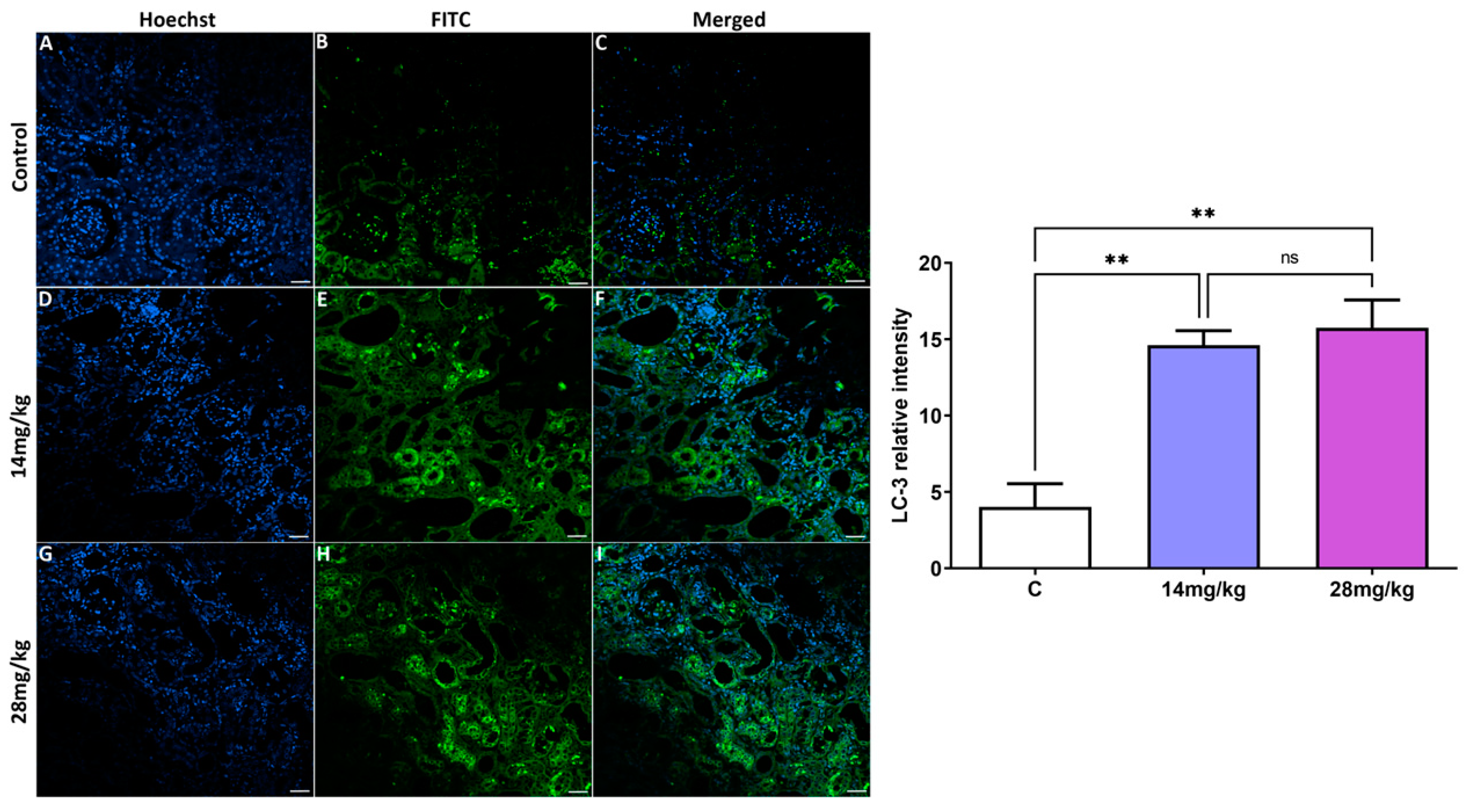
3.3. Analysis of Autophagic Markers in Kidney Tissue
3.4. Gene Expression Using RT-PCR
3.4.1. The Epithelial Sodium Channel (ENaC)
3.4.2. The Enzyme Na+/K+-ATPase
3.4.3. NHE3
3.5. Effect of Acephate on Renal Oxidative Markers
4. Discussion
5. Conclusions
Author Contributions
Funding
Institutional Review Board Statement
Informed Consent Statement
Data Availability Statement
Acknowledgments
Conflicts of Interest
References
- Ribeiro, T.A.; Prates, K.V.; Pavanello, A.; Malta, A.; Tófolo, L.P.; Martins, I.P.; de Oliveira, J.C.; Miranda, R.A.; Gomes, R.M.; Vieira, E.; et al. Acephate exposure during a perinatal life program to type 2 diabetes. Toxicology 2016, 372, 12–21. [Google Scholar] [CrossRef]
- Aranha, M.L.G.; Garcia, M.S.; Cavalcante, D.N.D.C.; Silva, A.P.G.; Fontes, M.K.; Gusso-Choueri, P.K.; Choueri, R.B.; Perobelli, J.E. Biochemical and histopathological responses in peripubertal male rats exposed to agrochemicals isolated or in combination: A multivariate data analysis study. Toxicology 2020, 447, 152636. [Google Scholar] [CrossRef]
- He, H.; Xiong, Y.; Li, B.; Zhu, Y.; Chen, H.; Ao, Y.; Wang, H. Intrauterine programming of the glucocorticoid-insulin-like growth factor 1 (GC-IGF1) axis mediates glomerulosclerosis in female adult offspring rats induced by prenatal ethanol ex-posure. Toxicol. Lett. 2019, 311, 17–26. [Google Scholar] [CrossRef]
- Li, B.; Zhu, Y.; Chen, H.; Gao, H.; He, H.; Zuo, N.; Pei, L.; Xie, W.; Chen, L.; Ao, Y.; et al. Decreased H3K9ac level of AT2R mediates the developmental origin of glomerulosclerosis induced by prenatal dexamethasone exposure in male offspring rats. Toxicology 2018, 411, 32–42. [Google Scholar] [CrossRef]
- Younes-Rapozo, V.; Moura, E.; Manhães, A.; Pinheiro, C.; Carvalho, J.; Barradas, P.; de Oliveira, E.; Lisboa, P. Neonatal nico-tine exposure leads to hypothalamic gliosis in adult overweight rats. J. Neuroendocrinol. 2015, 27, 887–898. [Google Scholar] [CrossRef]
- Etzel, T.M.; Engel, S.M.; Quirós-Alcalá, L.; Chen, J.; Barr, D.B.; Wolff, M.S.; Buckley, J.P. Prenatal maternal organophosphorus pesticide exposures, paraoxonase 1, and childhood adiposity in the Mount Sinai Children’s Environmental Health Study. Environ. Int. 2020, 142, 105858. [Google Scholar] [CrossRef]
- Jalouli, M.; Mofti, A.; Elnakady, Y.A.; Nahdi, S.; Feriani, A.; Alrezaki, A.; Sebei, K.; Bizzarri, M.; Alwasel, S.; Harrath, A.H. Allethrin Promotes Apoptosis and Autophagy Associated with the Oxidative Stress-Related PI3K/AKT/mTOR Signaling Pathway in Developing Rat Ovaries. Int. J. Mol. Sci. 2022, 23, 6397. [Google Scholar] [CrossRef]
- Khan, A.; Feulefack, J.; Sergi, C.M. Pre-conceptional and prenatal exposure to pesticides and pediatric neuroblastoma. A meta-analysis of nine studies. Environ. Toxicol. Pharmacol. 2021, 90, 103790. [Google Scholar] [CrossRef] [PubMed]
- Bhadaniya, A.R.; Kalariya, V.A.; Joshi, D.V.; Patel, B.J.; Chaudhary, S.; Patel, H.B.; Patel, J.M.; Patel, U.D.; Patel, H.B.; Ghodasara, S.N.; et al. Toxicopathological evaluation in Wistar rats (Rattus norvegicus) following repeated oral exposure to acephate. Toxicol. Ind. Health 2012, 31, 9–17. [Google Scholar] [CrossRef]
- Buege, J.A.; Aust, S.D. Microsomal lipid peroxidation. Methods Enzymol. 1978, 52, 302–310. [Google Scholar]
- Sedlak, J.; Lindsay, R.H. Estimation of total, protein-bound, and nonprotein sulfhydryl groups in tissue with Ellman’s rea-gent. Anal. Biochem. 1968, 25, 192–205. [Google Scholar] [CrossRef]
- Aebi, H. Catalase in vitro. Methods Enzymol. 1984, 105, 121–126. [Google Scholar]
- Marklund, S.; Marklund, G. Involvement of the superoxide anion radical in the autoxidation of pyrogallol and a convenient assay for superoxide dismutase. Eur. J. Biochem. 1974, 16, 469–474. [Google Scholar] [CrossRef]
- Bradford, M.M. A rapid and sensitive method for the quantitation of microgram quantities of protein utilizing the principle of protein-dye binding. Anal. Biochem. 1976, 72, 248–254. [Google Scholar] [CrossRef]
- Feriani, A.; Tir, M.; Gómez-Caravaca, A.M.; Contreras, M.D.M.; Taamalli, A.; Segura-Carretero, A.; Ghazouani, L.; Mufti, A.; Tlili, N.; El Feki, A.; et al. Zygophyllum album leaves extract prevented hepatic fibrosis in rats, by reducing liver injury and suppressing oxidative stress, inflammation, apoptosis and the TGF-β1/Smads signaling pathways. Exploring of bioactive compounds using HPLC–DAD–ESI–QTOF-MS/MS. Inflammopharmacology 2020, 28, 1735–1750. [Google Scholar] [CrossRef]
- Feriani, A.; Tir, M.; Hachani, R.; Allagui, M.S.; Tlili, N.; Nahdi, S.; Alwasel, S.; Harrath, A.H. Permethrin induced arterial retention of native and oxidized LDL in rats by promoting inflammation, oxidative stress and affecting LDL receptors, and collagen genes. Ecotoxicol. Environ. Saf. 2020, 207, 111269. [Google Scholar] [CrossRef] [PubMed]
- Harrath, A.H.; Alrezaki, A.; Mansour, L.; Alwasel, S.H.; Palomba, S. Food restriction during pregnancy and female offspring fertility: Adverse effects of reprogrammed reproductive lifespan. J. Ovarian Res. 2017, 10, 77. [Google Scholar] [CrossRef] [PubMed]
- Barker, D.J. The fetal and infant origins of adult disease. BMJ Br. Med. J. 1990, 301, 1111. [Google Scholar] [CrossRef] [PubMed]
- Jain, E.; Vashishat, N. Toxicity of Acephate to Liver and Kidney of Female Wistar Rats. Indian J. Entomol. 2022, 1–5. [Google Scholar] [CrossRef]
- Feriani, A.; Contreras, M.D.M.; Talhaoui, N.; Gómez-Caravaca, A.M.; Taamalli, A.; Segura-Carretero, A.; Ghazouani, L.; El Feki, A.; Allagui, M.S. Protective effect of Globularia alypum leaves against deltamethrin-induced nephrotoxicity in rats and determination of its bioactive compounds using high-performance liquid chromatography coupled with electrospray ionization tandem quadrupole–time-of-flight mass spectrometry. J. Funct. Foods 2017, 32, 139–148. [Google Scholar] [CrossRef]
- Carbonera, D.; Azzone, G.F. Permeability of inner mitochondrial membrane and oxidative stress. Biochim. Biophys. Acta (BBA)-Biomembr. 1988, 943, 245–255. [Google Scholar] [CrossRef]
- Zamlauskitucker, M.; Morris, M.; Springate, J. Ifosfamide Metabolite Chloroacetaldehyde Causes Fanconi Syndrome in the Perfused Rat Kidney. Toxicol. Appl. Pharmacol. 1994, 129, 170–175. [Google Scholar] [CrossRef] [PubMed]
- Othmène, Y.B.; Hamdi, H.; Salem, I.B.; Annabi, E.; Amara, I.; Neffati, F.; Najjar, M.F.; Abid-Essefi, S. Oxidative stress, DNA damage and apoptosis induced by tebuconazole in the kidney of male Wistar rat. Chem. Interact. 2020, 330, 109114. [Google Scholar] [CrossRef] [PubMed]
- Tian, X.; Feng, J.; Dong, N.; Lyu, Y.; Wei, C.; Li, B.; Ma, Y.; Xie, J.; Qiu, Y.; Song, G. Subchronic exposure to arsenite and fluo-ride from gestation to puberty induces oxidative stress and disrupts ultrastructure in the kidneys of rat offspring. Sci. Total Environ. 2019, 686, 1229–1237. [Google Scholar] [CrossRef] [PubMed]
- Ibrahim, K.A.; Abdelgaid, H.A.; El-Desouky, M.A.; Fahmi, A.A.; Abdel-Daim, M.M. Linseed ameliorates renal apoptosis in rat fetuses induced by single or combined exposure to diesel nanoparticles or fenitrothion by inhibiting transcriptional ac-tivation of p21/p53 and caspase-3/9 through pro-oxidant stimulus. Environ. Toxicol. 2021, 36, 958–974. [Google Scholar] [CrossRef] [PubMed]
- Shahid, A.; Saher, M. Repeated exposure of pyriproxyfen to pregnant female mice causes developmental abnormalities in prenatal pups. Environ. Sci. Pollut. Res. 2020, 27, 26998–27009. [Google Scholar] [CrossRef]
- Madden, J.A.; Hoyer, P.B.; Devine, P.J.; Keating, A.F. Acute 7,12-dimethylbenz[a]anthracene exposure causes differential concentration-dependent follicle depletion and gene expression in neonatal rat ovaries. Toxicol. Appl. Pharmacol. 2014, 276, 179–187. [Google Scholar] [CrossRef]
- Vikram, A.; Anish, R.; Kumar, A.; Tripathi, D.N.; Kaundal, R.K. Oxidative stress and autophagy in metabolism and longevity. Oxidative Med. Cell. Longev. 2017, 2017, 3451528. [Google Scholar] [CrossRef]
- Kasprowska-Liśkiewicz, D. The cell on the edge of life and death: Crosstalk between autophagy and apoptosis. Adv. Hyg. Exp. Med. 2017, 71, 825–841. [Google Scholar] [CrossRef]
- Liu, G.-Y.; Jiang, X.-X.; Zhu, X.; He, W.-Y.; Kuang, Y.-L.; Ren, K.; Lin, Y.; Gou, X. ROS activates JNK-mediated autophagy to counteract apoptosis in mouse mesenchymal stem cells in vitro. Acta Pharmacol. Sin. 2015, 36, 1473–1479. [Google Scholar] [CrossRef]
- Liu, Y.; Levine, B. Autosis and autophagic cell death: The dark side of autophagy. Cell Death Differ. 2014, 22, 367–376. [Google Scholar] [CrossRef] [PubMed]
- Park, S.-Y.; Byun, E.J.; Lee, J.D.; Kim, S.; Kim, H.S. Air Pollution, Autophagy, and Skin Aging: Impact of Particulate Matter (PM10) on Human Dermal Fibroblasts. Int. J. Mol. Sci. 2018, 19, 2727. [Google Scholar] [CrossRef] [PubMed]
- Martínez-García, G.G.; Mariño, G. Autophagy role in environmental pollutants exposure. Prog. Mol. Biol. Transl. Sci. 2020, 172, 257–291. [Google Scholar] [CrossRef]
- Trejo-Solís, C.; Jimenez-Farfan, D.; Rodriguez-Enriquez, S.; Fernandez-Valverde, F.; Cruz-Salgado, A.; Ruiz-Azuara, L.; Sotelo, J. Copper compound induces autophagy and apoptosis of glioma cells by reactive oxygen species and jnk activation. BMC Cancer 2012, 12, 156. [Google Scholar] [CrossRef] [PubMed]
- Liu, Y.; Xiao, J.; Sun, J.; Chen, W.; Wang, S.; Fu, R.; Liu, H.; Bao, H. ATG7 promotes autophagy in sepsis-induced acute kidney injury and is inhibited by miR-526b. Mol. Med. Rep. 2020, 21, 2193–2201. [Google Scholar] [CrossRef] [PubMed]
- Lee, E.J.; Ko, J.Y.; Oh, S.; Jun, J.; Mun, H.; Lim, C.J.; Seo, S.; Ko, H.W.; Kim, H.; Oh, Y.K.; et al. Autophagy induction promotes renal cyst growth in polycystic kidney disease. eBiomedicine 2020, 60, 102986. [Google Scholar] [CrossRef]
- Brown, C.N.; Atwood, D.; Pokhrel, D.; Holditch, S.J.; Altmann, C.; Skrypnyk, N.I.; Bourne, J.; Klawitter, J.; Blaine, J.; Faubel, S.; et al. Surgical procedures suppress autophagic flux in the kidney. Cell Death Dis. 2021, 12, 1–15. [Google Scholar] [CrossRef]
- Guo, H.; Yin, H.; Zuo, Z.; Yang, Z.; Yang, Y.; Wei, L.; Cui, H.; Deng, H.; Chen, X.; Chen, J. Oxidative stress-mediated apopto-sis and autophagy involved in Ni-induced nephrotoxicity in the mice. Ecotoxicol. Environ. Saf. 2021, 228, 112954. [Google Scholar] [CrossRef]
- Caglayan, C.; Temel, Y.; Kandemir, F.M.; Yildirim, S.; Kucukler, S. Naringin protects against cyclophosphamide-induced hepatotoxicity and nephrotoxicity through modulation of oxidative stress, inflammation, apoptosis, autophagy, and DNA damage. Environ. Sci. Pollut. Res. 2018, 25, 20968–20984. [Google Scholar] [CrossRef]
- Hanukoglu, I.; Hanukoglu, A. Epithelial sodium channel (ENaC) family: Phylogeny, structure–function, tissue distribution, and associated inherited diseases. Gene 2016, 579, 95–132. [Google Scholar] [CrossRef]
- Rotin, D.; Staub, O. Function and regulation of the epithelial Na+ channel ENaC. Compr. Physiol. 2011, 11, 2017–2045. [Google Scholar]
- Mutchler, S.M.; Kirabo, A.; Kleyman, T.R. Epithelial Sodium Channel and Salt-Sensitive Hypertension. Hypertension 2021, 77, 759–767. [Google Scholar] [CrossRef] [PubMed]
- Frindt, G.; Ergonul, Z.; Palmer, L.G. Surface Expression of Epithelial Na Channel Protein in Rat Kidney. J. Gen. Physiol. 2008, 131, 617–627. [Google Scholar] [CrossRef] [PubMed]
- Sure, F.; Bertog, M.; Afonso, S.; Diakov, A.; Rinke, R.; Madej, M.G.; Wittmann, S.; Gramberg, T.; Korbmacher, C.; Ilyaskin, A.V. Transmembrane serine protease 2 (TMPRSS2) proteolytically activates the epithelial sodium channel (ENaC) by cleav-ing the channel’s γ-subunit. J. Biol. Chem. 2022, 298, 102004. [Google Scholar] [CrossRef] [PubMed]
- Garcia, A.; Rasmussen, H.H.; Apell, H.-J.; Clarke, R.J. Kinetic Comparisons of Heart and Kidney Na+,K+-ATPases. Biophys. J. 2012, 103, 677–688. [Google Scholar] [CrossRef]
- Duchnowicz, P.; Szczepaniak, P.; Koter, M. Erythrocyte membrane protein damage by phenoxyacetic herbicides and their metabolites. Pestic. Biochem. Physiol. 2005, 82, 59–65. [Google Scholar] [CrossRef]
- Bobulescu, I.A.; Moe, O.W. Na+/H+ exchangers in renal regulation of acid-base balance. Semin. Nephrol. 2006, 26, 334–344. [Google Scholar] [CrossRef]
- Lapointe, M.S.; Sodhi, C.; Sahai, A.; Batlle, D. Na+/H+ exchange activity and NHE-3 expression in renal tubules from the spontaneously hypertensive rat. Kidney Int. 2002, 62, 157–165. [Google Scholar] [CrossRef]






| Primer | F | R |
|---|---|---|
| NHE3 | GGAACAGAGGCGGAGGAGCAT | GAAGTTGTGTGCCAGATTCT |
| ENaC | TACCCTAAGCCCAAGGGAGT | TGTTCTGCAAGGACAGCATC |
| Na+:K+ ATPase | TGCCTTCCCCTACTCCCTTCTCATC | CTTCCCCGCTGTCGTCCCCGTCCAC |
| Glyceraldehyde 3-phosphate dehydrogenase | TCCCTCAAGATTGTCAGCAA | AGATCCACAACGGATACATT |
Disclaimer/Publisher’s Note: The statements, opinions and data contained in all publications are solely those of the individual author(s) and contributor(s) and not of MDPI and/or the editor(s). MDPI and/or the editor(s) disclaim responsibility for any injury to people or property resulting from any ideas, methods, instructions or products referred to in the content. |
© 2023 by the authors. Licensee MDPI, Basel, Switzerland. This article is an open access article distributed under the terms and conditions of the Creative Commons Attribution (CC BY) license (https://creativecommons.org/licenses/by/4.0/).
Share and Cite
Mufti, A.; Jalouli, M.; Nahdi, S.; Tlili, N.; Alqahtani, W.; Mansour, L.; Alwasel, S.; Harrath, A.H. Maternal Exposure to Acephate Caused Nephrotoxicity in Adult Offspring Rats Mediated by Excessive Autophagy Activation, Oxidative Stress Induction, and Altered Epithelial Sodium Channel and Na+/K+-ATPase Gene Expression. Biology 2023, 12, 162. https://doi.org/10.3390/biology12020162
Mufti A, Jalouli M, Nahdi S, Tlili N, Alqahtani W, Mansour L, Alwasel S, Harrath AH. Maternal Exposure to Acephate Caused Nephrotoxicity in Adult Offspring Rats Mediated by Excessive Autophagy Activation, Oxidative Stress Induction, and Altered Epithelial Sodium Channel and Na+/K+-ATPase Gene Expression. Biology. 2023; 12(2):162. https://doi.org/10.3390/biology12020162
Chicago/Turabian StyleMufti, Afoua, Maroua Jalouli, Saber Nahdi, Nizar Tlili, Wadha Alqahtani, Lamjed Mansour, Saleh Alwasel, and Abdel Halim Harrath. 2023. "Maternal Exposure to Acephate Caused Nephrotoxicity in Adult Offspring Rats Mediated by Excessive Autophagy Activation, Oxidative Stress Induction, and Altered Epithelial Sodium Channel and Na+/K+-ATPase Gene Expression" Biology 12, no. 2: 162. https://doi.org/10.3390/biology12020162
APA StyleMufti, A., Jalouli, M., Nahdi, S., Tlili, N., Alqahtani, W., Mansour, L., Alwasel, S., & Harrath, A. H. (2023). Maternal Exposure to Acephate Caused Nephrotoxicity in Adult Offspring Rats Mediated by Excessive Autophagy Activation, Oxidative Stress Induction, and Altered Epithelial Sodium Channel and Na+/K+-ATPase Gene Expression. Biology, 12(2), 162. https://doi.org/10.3390/biology12020162

