Manganese Porphyrin Promotes Post Cardiac Arrest Recovery in Mice and Rats
Abstract
Simple Summary
Abstract
1. Introduction
2. Materials and Methods
2.1. Cardiac Arrest and Resuscitation Model
2.2. Group Assignment and Treatment
2.3. Outcome Measurements
2.4. Statistical Analysis
3. Results
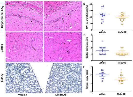
3.1. Mouse Study
3.2. Rat Study
4. Discussion
5. Conclusions
Author Contributions
Funding
Institutional Review Board Statement
Informed Consent Statement
Data Availability Statement
Acknowledgments
Conflicts of Interest
References
- Kuroki, N.; Abe, D.; Suzuki, K.; Mikami, M.; Hamabe, Y.; Aonuma, K.; Sato, A. Exercise-related resuscitated out-of-hospital cardiac arrest due to presumed myocardial ischemia: Result from coronary angiography and intravascular ultrasound. Resuscitation 2018, 133, 40–46. [Google Scholar] [CrossRef]
- Woolcott, O.O.; Reinier, K.; Uy-Evanado, A.; Nichols, G.A.; Stecker, E.C.; Jui, J.; Chugh, S.S. Sudden cardiac arrest with shockable rhythm in patients with heart failure. Heart Rhythm 2020, 17, 1672–1678. [Google Scholar] [CrossRef] [PubMed]
- Colluoglu, I.T.; Dursun, H.; Yilmaz, M.; Ergene, A.O. Hypoglycemia detected during cardiac arrest of a non-diabetic patient with heart failure. Turk. Kardiyol. Dern. Ars. 2015, 43, 196–198. [Google Scholar] [CrossRef] [PubMed][Green Version]
- Lavinio, A.; Scudellari, A.; Gupta, A.K. Hemorrhagic shock resulting in cardiac arrest: Is therapeutic hypothermia contraindicated? Minerva Anestesiol. 2012, 78, 969–970. [Google Scholar]
- Haas, T.; Voelckel, W.G.; Wiedermann, F.; Wenzel, V.; Lindner, K.H. Successful resuscitation of a traumatic cardiac arrest victim in hemorrhagic shock with vasopressin: A case report and brief review of the literature. J. Trauma 2004, 57, 177–179. [Google Scholar] [CrossRef]
- Uray, T.; Dezfulian, C.; Palmer, A.A.; Miner, K.M.; Leak, R.K.; Stezoski, J.P.; Janesko-Feldman, K.; Kochanek, P.M.; Drabek, T. Cardiac Arrest Induced by Asphyxia Versus Ventricular Fibrillation Elicits Comparable Early Changes in Cytokine Levels in the Rat Brain, Heart, and Serum. J. Am. Heart Assoc. 2021, 10, e018657. [Google Scholar] [CrossRef]
- Wang, Y.H.; Tsai, C.S.; Tsai, Y.T.; Lin, C.Y.; Yang, H.Y.; Chen, J.L.; Hsu, P.S. Persistent cardiac arrest caused by profound hypokalaemia after large-dose insulin injection in a young man with type 1 diabetes mellitus: Successful rescue with extracorporeal membrane oxygenation and subsequent ventricular assist device. Cardiovasc. J. Afr. 2020, 31, 339–342. [Google Scholar] [CrossRef] [PubMed]
- Botan, E.; Kendirli, T.; Gun, E.; Balsak, S.; Ramoglu, M.; Tutar, E. Cardiac arrest due to a fatal dose of propranolol successfully treated with intravenous lipid infusion. Turk. J. Pediatr. 2021, 63, 913–916. [Google Scholar] [CrossRef]
- Liu, J.K.; Sim, S.S.; Hsieh, F.C.; Wu, Y.H. Intravenous potassium solution boluses save a life from hypokalemic cardiac arrest. Am. J. Emerg. Med. 2020, 38, 162.e1–162.e2. [Google Scholar] [CrossRef]
- Pearce, A.; Lockwood, C.; van den Heuvel, C.; Pearce, J. The use of therapeutic magnesium for neuroprotection during global cerebral ischemia associated with cardiac arrest and cardiac surgery in adults: A systematic review. JBI Database Syst. Rev. Implement. Rep. 2017, 15, 86–118. [Google Scholar] [CrossRef] [PubMed]
- Tsivilika, M.; Doumaki, E.; Stavrou, G.; Sioga, A.; Grosomanidis, V.; Meditskou, S.; Maranginos, A.; Tsivilika, D.; Stafylarakis, D.; Kotzampassi, K.; et al. The adaptive immune response in cardiac arrest resuscitation induced ischemia reperfusion renal injury. J. Biol. Res. 2020, 27, 15. [Google Scholar] [CrossRef]
- Frisch, S.; Thiel, F.; Schroeter, M.L.; Jentzsch, R.T. Apathy and Cognitive Deficits in Patients with Transient Global Ischemia after Cardiac Arrest. Cogn. Behav. Neurol. 2017, 30, 172–175. [Google Scholar] [CrossRef]
- Chen, Z.; Wu, Z.; Huang, C.; Zhao, Y.; Zhou, Y.; Zhou, X.; Lu, X.; Mao, L.; Li, S. Effect of lipoxin A4 on myocardial ischemia reperfusion injury following cardiac arrest in a rabbit model. Inflammation 2013, 36, 468–475. [Google Scholar] [CrossRef] [PubMed]
- Zhao, Z.G.; Tang, Z.Z.; Zhang, W.K.; Li, J.G. Protective effects of embelin on myocardial ischemia-reperfusion injury following cardiac arrest in a rabbit model. Inflammation 2015, 38, 527–533. [Google Scholar] [CrossRef]
- Wu, C.; Xu, J.; Jin, X.; Chen, Q.; Li, Z.; Zhang, M. Effect of mild hypothermia on lung injury after cardiac arrest in swine based on lung ultrasound. BMC Pulm. Med. 2019, 19, 198. [Google Scholar] [CrossRef]
- Iesu, E.; Franchi, F.; Zama Cavicchi, F.; Pozzebon, S.; Fontana, V.; Mendoza, M.; Nobile, L.; Scolletta, S.; Vincent, J.L.; Creteur, J.; et al. Acute liver dysfunction after cardiac arrest. PLoS ONE 2018, 13, e0206655. [Google Scholar] [CrossRef]
- Roedl, K.; Spiel, A.O.; Nurnberger, A.; Horvatits, T.; Drolz, A.; Hubner, P.; Warenits, A.M.; Sterz, F.; Herkner, H.; Fuhrmann, V. Hypoxic liver injury after in- and out-of-hospital cardiac arrest: Risk factors and neurological outcome. Resuscitation 2019, 137, 175–182. [Google Scholar] [CrossRef]
- Yan, S.; Gan, Y.; Jiang, N.; Wang, R.; Chen, Y.; Luo, Z.; Zong, Q.; Chen, S.; Lv, C. The global survival rate among adult out-of-hospital cardiac arrest patients who received cardiopulmonary resuscitation: A systematic review and meta-analysis. Crit. Care 2020, 24, 61. [Google Scholar] [CrossRef]
- De Charriere, A.; Assouline, B.; Scheen, M.; Mentha, N.; Banfi, C.; Bendjelid, K.; Giraud, R. ECMO in Cardiac Arrest: A Narrative Review of the Literature. J. Clin. Med. 2021, 10, 534. [Google Scholar] [CrossRef] [PubMed]
- Bloom, H.L.; Shukrullah, I.; Cuellar, J.R.; Lloyd, M.S.; Dudley, S.C., Jr.; Zafari, A.M. Long-term survival after successful inhospital cardiac arrest resuscitation. Am. Heart J. 2007, 153, 831–836. [Google Scholar] [CrossRef]
- Moulaert, V.R.M.; van Heugten, C.M.; Gorgels, T.P.M.; Wade, D.T.; Verbunt, J.A. Long-term Outcome After Survival of a Cardiac Arrest: A Prospective Longitudinal Cohort Study. Neurorehabil. Neural Repair 2017, 31, 530–539. [Google Scholar] [CrossRef]
- Sekhon, M.S.; Ainslie, P.N.; Griesdale, D.E. Clinical pathophysiology of hypoxic ischemic brain injury after cardiac arrest: A “two-hit” model. Crit. Care 2017, 21, 90. [Google Scholar] [CrossRef] [PubMed]
- Perkins, G.D.; Callaway, C.W.; Haywood, K.; Neumar, R.W.; Lilja, G.; Rowland, M.J.; Sawyer, K.N.; Skrifvars, M.B.; Nolan, J.P. Brain injury after cardiac arrest. Lancet 2021, 398, 1269–1278. [Google Scholar] [CrossRef]
- Warner, D.S.; Sheng, H.; Batinic-Haberle, I. Oxidants, antioxidants and the ischemic brain. J. Exp. Biol. 2004, 207, 3221–3231. [Google Scholar] [CrossRef] [PubMed]
- Gulyaeva, N.V.; Stepanichev, M.; Onufriev, M.V.; Lazareva, N.A.; Zarzhetsky, Y.V.; Gurvitch, A.M.; Volkov, A.V. Cardiac arrest induces decrease of nitric oxide synthase activity and increase of free radical generation in rat brain regions. Neurosci. Lett. 1996, 220, 147–150. [Google Scholar] [CrossRef]
- Grieb, P.; Ryba, M.S.; Debicki, G.S.; Gordon-Krajcer, W.; Januszewski, S.; Chrapusta, S.J. Changes in oxidative stress in the rat brain during post-cardiac arrest reperfusion, and the effect of treatment with the free radical scavenger idebenone. Resuscitation 1998, 39, 107–113. [Google Scholar] [CrossRef]
- Basu, S.; Liu, X.; Nozari, A.; Rubertsson, S.; Miclescu, A.; Wiklund, L. Evidence for time-dependent maximum increase of free radical damage and eicosanoid formation in the brain as related to duration of cardiac arrest and cardio-pulmonary resuscitation. Free Radic. Res. 2003, 37, 251–256. [Google Scholar] [CrossRef] [PubMed]
- Wu, L.; Xiong, X.; Wu, X.; Ye, Y.; Jian, Z.; Zhi, Z.; Gu, L. Targeting Oxidative Stress and Inflammation to Prevent Ischemia-Reperfusion Injury. Front. Mol. Neurosci. 2020, 13, 28. [Google Scholar] [CrossRef]
- Batinic-Haberle, I.; Tome, M.E. Thiol regulation by Mn porphyrins, commonly known as SOD mimics. Redox Biol. 2019, 25, 101139. [Google Scholar] [CrossRef]
- Batinic-Haberle, I.; Tovmasyan, A.; Huang, Z.; Duan, W.; Du, L.; Siamakpour-Reihani, S.; Cao, Z.; Sheng, H.; Spasojevic, I.; Alvarez Secord, A. H2O2-Driven Anticancer Activity of Mn Porphyrins and the Underlying Molecular Pathways. Oxid. Med. Cell. Longev. 2021, 2021, 6653790. [Google Scholar] [CrossRef]
- Mackensen, G.B.; Patel, M.; Sheng, H.; Calvi, C.L.; Batinic-Haberle, I.; Day, B.J.; Liang, L.P.; Fridovich, I.; Crapo, J.D.; Pearlstein, R.D.; et al. Neuroprotection from delayed postischemic administration of a metalloporphyrin catalytic antioxidant. J. Neurosci. 2001, 21, 4582–4592. [Google Scholar] [CrossRef] [PubMed]
- Sheng, H.; Enghild, J.J.; Bowler, R.; Patel, M.; Batinic-Haberle, I.; Calvi, C.L.; Day, B.J.; Pearlstein, R.D.; Crapo, J.D.; Warner, D.S. Effects of metalloporphyrin catalytic antioxidants in experimental brain ischemia. Free Radic. Biol. Med. 2002, 33, 947–961. [Google Scholar] [CrossRef]
- Sheng, H.; Spasojevic, I.; Tse, H.M.; Jung, J.Y.; Hong, J.; Zhang, Z.; Piganelli, J.D.; Batinic-Haberle, I.; Warner, D.S. Neuroprotective efficacy from a lipophilic redox-modulating Mn(III) N-Hexylpyridylporphyrin, MnTnHex-2-PyP: Rodent models of ischemic stroke and subarachnoid hemorrhage. J. Pharm. Exp. 2011, 338, 906–916. [Google Scholar] [CrossRef] [PubMed]
- Bowler, R.P.; Sheng, H.; Enghild, J.J.; Pearlstein, R.D.; Warner, D.S.; Crapo, J.D. A catalytic antioxidant (AEOL 10150) attenuates expression of inflammatory genes in stroke. Free Radic. Biol. Med. 2002, 33, 1141–1152. [Google Scholar] [CrossRef]
- Sheng, H.; Yang, W.; Fukuda, S.; Tse, H.M.; Paschen, W.; Johnson, K.; Batinic-Haberle, I.; Crapo, J.D.; Pearlstein, R.D.; Piganelli, J.; et al. Long-term neuroprotection from a potent redox-modulating metalloporphyrin in the rat. Free Radic. Biol. Med. 2009, 47, 917–923. [Google Scholar] [CrossRef][Green Version]
- Zhao, Y.; Carroll, D.W.; You, Y.; Chaiswing, L.; Wen, R.; Batinic-Haberle, I.; Bondada, S.; Liang, Y.; St Clair, D.K. A novel redox regulator, MnTnBuOE-2-PyP(5+), enhances normal hematopoietic stem/progenitor cell function. Redox Biol. 2017, 12, 129–138. [Google Scholar] [CrossRef]
- Mortensen, J.; Shames, B.; Johnson, C.P.; Nilakantan, V. MnTMPyP, a superoxide dismutase/catalase mimetic, decreases inflammatory indices in ischemic acute kidney injury. Inflamm. Res. 2011, 60, 299–307. [Google Scholar] [CrossRef]
- Rajic, Z.; Tovmasyan, A.; Spasojevic, I.; Sheng, H.; Lu, M.; Li, A.M.; Gralla, E.B.; Warner, D.S.; Benov, L.; Batinic-Haberle, I. A new SOD mimic, Mn(III) ortho N-butoxyethylpyridylporphyrin, combines superb potency and lipophilicity with low toxicity. Free Radic. Biol. Med. 2012, 52, 1828–1834. [Google Scholar] [CrossRef]
- Liu, H.; Yu, Z.; Li, Y.; Xu, B.; Yan, B.; Paschen, W.; Warner, D.S.; Yang, W.; Sheng, H. Novel Modification of Potassium Chloride Induced Cardiac Arrest Model for Aged Mice. Aging Dis. 2018, 9, 31–39. [Google Scholar] [CrossRef]
- Shen, Y.; Yan, B.; Zhao, Q.; Wang, Z.; Wu, J.; Ren, J.; Wang, W.; Yu, S.; Sheng, H.; Crowley, S.D.; et al. Aging Is Associated with Impaired Activation of Protein Homeostasis-Related Pathways after Cardiac Arrest in Mice. J. Am. Heart Assoc. 2018, 7, e009634. [Google Scholar] [CrossRef]
- Sheng, H.; Laskowitz, D.T.; Mackensen, G.B.; Kudo, M.; Pearlstein, R.D.; Warner, D.S. Apolipoprotein E deficiency worsens outcome from global cerebral ischemia in the mouse. Stroke 1999, 30, 1118–1124. [Google Scholar] [CrossRef] [PubMed]
- Wei, Q.; Dong, Z. Mouse model of ischemic acute kidney injury: Technical notes and tricks. Am. J. Physiol. Ren. Physiol. 2012, 303, F1487–F1494. [Google Scholar] [CrossRef] [PubMed]
- Sheng, H.; Chaparro, R.E.; Sasaki, T.; Izutsu, M.; Pearlstein, R.D.; Tovmasyan, A.; Warner, D.S. Metalloporphyrins as therapeutic catalytic oxidoreductants in central nervous system disorders. Antioxid. Redox Signal. 2014, 20, 2437–2464. [Google Scholar] [CrossRef] [PubMed]
- Huo, T.T.; Zeng, Y.; Liu, X.N.; Sun, L.; Han, H.Z.; Chen, H.G.; Lu, Z.H.; Huang, Y.; Nie, H.; Dong, H.L.; et al. Hydrogen-rich saline improves survival and neurological outcome after cardiac arrest and cardiopulmonary resuscitation in rats. Anesth. Analg. 2014, 119, 368–380. [Google Scholar] [CrossRef] [PubMed]
- Batinic-Haberle, I.; Tovmasyan, A.; Spasojevic, I. Mn Porphyrin-Based Redox-Active Drugs: Differential Effects as Cancer Therapeutics and Protectors of Normal Tissue against Oxidative Injury. Antioxid. Redox Signal. 2018, 29, 1691–1724. [Google Scholar] [CrossRef]






Publisher’s Note: MDPI stays neutral with regard to jurisdictional claims in published maps and institutional affiliations. |
© 2022 by the authors. Licensee MDPI, Basel, Switzerland. This article is an open access article distributed under the terms and conditions of the Creative Commons Attribution (CC BY) license (https://creativecommons.org/licenses/by/4.0/).
Share and Cite
Wang, P.; Li, Y.; Yan, B.; Yang, Z.; Li, L.; Cao, Z.; Li, X.; Batinic-Haberle, I.; Spasojevic, I.; Warner, D.S.; et al. Manganese Porphyrin Promotes Post Cardiac Arrest Recovery in Mice and Rats. Biology 2022, 11, 957. https://doi.org/10.3390/biology11070957
Wang P, Li Y, Yan B, Yang Z, Li L, Cao Z, Li X, Batinic-Haberle I, Spasojevic I, Warner DS, et al. Manganese Porphyrin Promotes Post Cardiac Arrest Recovery in Mice and Rats. Biology. 2022; 11(7):957. https://doi.org/10.3390/biology11070957
Chicago/Turabian StyleWang, Peng, Ying Li, Baihui Yan, Zhong Yang, Litao Li, Zhipeng Cao, Xuan Li, Ines Batinic-Haberle, Ivan Spasojevic, David S. Warner, and et al. 2022. "Manganese Porphyrin Promotes Post Cardiac Arrest Recovery in Mice and Rats" Biology 11, no. 7: 957. https://doi.org/10.3390/biology11070957
APA StyleWang, P., Li, Y., Yan, B., Yang, Z., Li, L., Cao, Z., Li, X., Batinic-Haberle, I., Spasojevic, I., Warner, D. S., & Sheng, H. (2022). Manganese Porphyrin Promotes Post Cardiac Arrest Recovery in Mice and Rats. Biology, 11(7), 957. https://doi.org/10.3390/biology11070957

