Simple Summary
Erysipelothrix rhusiopathiae is an important zoonotic pathogen, which poses a serious harm to the pig industry. We aimed to evaluate the genomic differences between virulent and avirulent strains to study the pathogenic mechanism of Erysipelothrix rhusiopathiae. The results showed that the spaA gene of avirulent strain lacked 120bp, encoding repeat units at the C-terminal of SpaA, the virulence of the virulent strain with this 120 bp deletion was attenuated, and the mutant strain decreased adhesion to porcine iliac artery endothelial cells.
Abstract
Erysipelothrix rhusiopathiae is a causative agent of erysipelas in animals and erysipeloid in humans. However, current information regarding E. rhusiopathiae pathogenesis remains limited. Previously, we identified two E. rhusiopathiae strains, SE38 and G4T10, which were virulent and avirulent in pigs, respectively. Here, to further study the pathogenic mechanism of E. rhusiopathiae, we sequenced and assembled the genomes of strains SE38 and G4T10, and performed a comparative genomic analysis to identify differences or mutations in virulence-associated genes. Next, we comparatively analyzed 25 E. rhusiopathiae virulence-associated genes in SE38 and G4T10. Compared with that of SE38, the spaA gene of the G4T10 strain lacked 120 bp, encoding repeat units at the C-terminal of SpaA. To examine whether these deletions or splits influence E. rhusiopathiae virulence, these 120 bp were successfully deleted from the spaA gene in strain SE38 by homologous recombination. The mutant strain ΔspaA displayed attenuated virulence in mice and decreased adhesion to porcine iliac artery endothelial cells, which was also observed using the corresponding mutant protein SpaA’. Our results demonstrate that SpaA-mediated adhesion between E. rhusiopathiae and host cells is dependent on its C-terminal repeat units.
1. Introduction
Erysipelothrix are Gram-positive, rod-shaped, facultative anaerobic bacteria that cause diseases in a variety of animals including swine, humans, poultry, sheep, cattle, and wild animals []. Twenty-five serovars have been described for the genus Erysipelothrix []. In current taxonomy, this genus contains two main species, E. rhusiopathiae and E. tonsillarum, each consisting of various serotypes, including serotypes 1a, 1b, 2, 4, 5, 6, 8, 9, 10, 11, 12, 15, 16, 17, 19, 21, and N in E. rhusiopathiae, and serotypes 3, 7, 10, 14, 20, 22, and 23 in E. tonsillarum []. Moreover, serovars 13 and 18 are considered to be members of two separate and new species []. Based on DNA–DNA hybridization analysis of numerous isolates from different organisms, E. rhusiopathiae is considered to be the pathogenic species of the genus [], causing swine erysipelas with symptoms ranging from acute septicemia to chronic endocarditis and polyarthritis []. Swine erysipelas occurs worldwide and is of economic importance throughout Europe, Asia, Australia, and the Americas []. In China, the occurrence of swine erysipelas has significantly decreased since the 1990s because of increased and improved management of the industry []. However, since 2012, the incidence of swine erysipelas has emerged at an alarming rate, developing from scattered occurrences in a small number of farms to systemic outbreaks in many provinces, thereby causing large financial losses []. In addition, E. rhusiopathiae is also a zoonotic pathogen that causes erysipeloid in humans []. Moreover, this pathogen can transfer from diseased pigs to humans [], which undoubtedly increases the risk of this disease in humans, especially in individuals working with pigs or pork-derived products.
Previous studies identified several candidate virulence factors of E. rhusiopathiae such as neuraminidase, capsular antigens, rhusiopathiae surface protein A (rspA), rhusiopathiae surface protein B (rspB), substrate-binding protein (sbp), surface protective antigen (spaA), and the 64–66 kDa antigen; however, few of these candidate virulence factors have been demonstrated to play a critical role in pathogenesis []. The role of SpaA in virulence is the only one to have been verified in mice; it acts as an adhesin between E. rhusiopathiae and host cells []. Therefore, information regarding the pathogenic mechanism underlying E. rhusiopathiae infection remains limited []. This knowledge gap has become one of the most important obstacles to controlling the infection. Thus, the identification of novel virulence factors is necessary to improve our understanding of E. rhusiopathiae pathogenesis [].
“Omics” study is an important strategy to screen virulence-related factors, including genomics, proteomics, and transcriptomics []. Previously, we isolated and identified two strains, SE38 and G4T10; strain SE38 is virulent in pigs, whereas strain G4T10 is avirulent. The characteristics of the porcine heart host responses to these two strains were also analyzed by transcriptomics. The results showed that strain SE38 could significantly induce inflammatory and immune responses, whereas strain G4T10 could not []. In this study, to elucidate the mechanism underlying the differential toxicity of the virulent strain SE38 and avirulent strain G4T10, genome sequencing and assembly of these two strains were conducted. Furthermore, putative virulence-related genes or sequences were screened by comparative analysis and verified by animal infection with a deletion mutant.
2. Material and Methods
2.1. Bacterial Strains and Cultivation
The bacterial strains and plasmids used in this study are listed in Table S1. E. rhusiopathiae G4T10 is an avirulent strain, and E. rhusiopathiae SE38 is a virulent strain. SE38, G4T10, and mutant strain ΔspaA were cultured in tryptic soy broth (TSB) liquid or agar medium (TSA) (Difco, Detroit, MI, USA) supplemented with 10% bovine sera at 37 °C. Escherichia coli DH5a and BL21(DE3) were cultured in Luria Bertani (LB) liquid medium or plated on LB agar at 37 °C.
2.2. Genome Sequencing and Assembly
The genomic DNA of strains G4T10 and SE38 was extracted using a DNA extraction kit (TaKaRa DNAiso, reagent code: D305A; TaKaRa Biotechnology Co., Ltd., Dalian, China). Strains G4T10 and SE38 were sequenced using PacBio RS II (Pacific Biosciences, San Francisco, CA, USA). SMRT cell sequencing generated 68,227- and 58,600-long reads for G4T10 and SE38, respectively. The sums of bases were 455,449,435 and 436,809,021, and the average read lengths were up to 6675 bp and 7454 bp, respectively. PacBio RS II yielded 190-fold read coverage in strain G4T10, and approximately 182-fold read coverage in strain SE38. All PacBio reads of each strain were assembled into one polished contig by HGAP v3 [], and each contig of the strain constituted one complete circular genome.
2.3. Genome Annotation and Analysis
The tRNA and rRNA genes were identified by tRNAscan-SE [] and RNAmmer [], respectively, and the coding sequences (CDS) were predicted with Prodigal, version 2.60 []. The predicted genes were annotated by performing a BLAST [] search against databases of non-redundant proteins from the NCBI and COG (E-value 1 × 10−5). Virulence gene predictions were made by performing a BLAST search against the virulence factor database (VFDB) []. The virulence genes were compared using R package genoPlotR []. Sequence alignment was performed by MAFFT and displayed using TEXshade [].
2.4. Pan-Genomic Analyses and Genome Comparison
The gene clusters of the six strains were identified by PGAP [] using the MP method with a 50% cut-off for protein sequence identity and an E-value cut-off of 1 × 10−5. Pan-genome characteristic curves were depicted by PanGP [] with DG sampling algorithms. The multiple-genome alignment of the six complete and draft strains was performed using Mauve [].
2.5. Phylogenetic Analyses
Phylogenetic trees were constructed based on the 16S rRNA and single-copy core genes, with Staphylococcus aureus NCTC8325 as the out-group. The software MAFFT was used to align each cluster of the single-copy core gene sequences from the six strains. The recombination genes in these clusters were detected using PhiPack [] (which contains three individual methods for calculating p-values, namely, the neighbor similarity score (NSS), Maxχ2, and Phi) and GENECONV [] with p-values < 0.05. We removed 2.5% of the single-copy gene clusters (16 clusters) that showed evidence of recombination by all four methods. Next, 613 clusters were aligned and concatenated in order to construct a rooted maximum likelihood (ML) species tree using PhyML v3.0 [] with 100 bootstrap replicates. The rooted species tree based on 16S rRNA was also constructed using PhyML v3.0 with 100 bootstrap replicates.
2.6. Gene Gain and Loss Analyses
Gene gain/loss evolutionary events, including gene loss, gene duplication, speciation, lateral gene transfer (LGT), and gene birth or genesis, were inferred using the AnGST program. The most parsimonious reconciliation was obtained by inferring a minimum set of evolutionary events. Gene trees were constructed for every gene cluster containing three or more sequences using PhyML v3.0. Reconciliation of each gene tree and the species tree was performed using the default event penalty values of AnGST (LGT = 3.0, duplication = 2.0, loss = 1.0, and speciation = 0). Gene/species tree reconciliation can recover the optimal set of evolutionary events that explain any topological discordance between the gene and species trees. A birth event in the genome was defined as the presence of only one gene in the cluster. The method described by Richards et al. [] was used to explain the evolutionary history of gene clusters containing two genes.
2.7. RNA-Seq Library Construction and Sequencing
Total RNA was extracted from strains G4T10 and SE38 using the Trizol method. Ribosomal RNA was removed using the Epicentre Ribo-Zero rRNA Removal Kit (Gram-Negative Bacteria) following the manufacturer’s instructions. We constructed strand-specific cDNA libraries (two biological replicates for each strain) using the KAPA Stranded mRNA-Seq Kit Illumina platform (KAPA BIOSYSTEMS, dUTP Based, Wilmington, MA, USA) according to the manufacturer’s instructions. Paired-end libraries of strains G4T10 and SE38 with insert sizes of 300–400 bp were sequenced using Illumina HiSeq2000 with a sequencing read length of 101 bp.
2.8. Read Mapping and Gene Expression Analysis
The sequencing data were quality pre-processed using a Perl script. Adaptor reads, reads with >2% ‘N’ bases, and reads with low quality (<15) for over half of their lengths were filtered out. High-quality reads were mapped to the genome sequences of strain G4T10 and SE38 using Bowtie version 0.12.7 []. Reads that mapped to rRNA genes or that failed to align to genome sequences were removed. Next, we focused on transcripts that mapped to the core genes of the two strains. The script in HTSeq [] was used to count the reads aligned to each gene. These results were used to identify differentially regulated genes using the DEGseq2 [] package with q-value ≤ 0.05 and log2 fold-change > 1. The operon organization of spaA was determined using Rockhopper [].
2.9. Construction of the ΔSpaA Mutant
The deleted mutant strain was constructed as previously described []. DNA fragments of the spaA gene were amplified from G4T10 genomic DNA using primers ΔspaA-F and ΔspaA-R listed in Table S2, and then inserted into pSET4s to construct knockout plasmid pSET4s-ΔspaA. Next, the pSET4s-ΔspaA plasmid was electrotransformed into SE38 competent cells. The mutant strain was screened based on thermosensitive suicide and spectinomycin resistance encoded by the pSET4s vector, and then verified using two pairs of primers: P1/P2 (to detect the spaA gene) and P3/P4 (to detect the 16S rRNA gene).
2.10. Bacterial Cell Adhesion Assay
Bacteria were harvested, washed, and then resuspended in PBS containing 10 μM of carboxyfluorescein diacetate succinimidyl ester (CFDA-SE). The bacteria were incubated with gentle rotation at 37 °C for 30 min in the dark. Porcine iliac artery endothelial cells (PIECs) were cultured in a 12-well plate at 37 °C and 5% CO2 in RPMI 1640 medium (Gibco). Labeled bacteria and PIECs were co-incubated (100:1 ratio) at 37 °C for 2 h. The infected cells were washed three times with PBS, then harvested with 0.25% trypsin and fixed with 4% paraformaldehyde. PIECs incubated with unlabeled bacteria served as negative controls. Flow cytometry data were analyzed using FlowJo software, with a total of 10,000 cells counted in each experiment.
2.11. Evaluation of ΔSpaA Pathogenicity in Mice
To compare the pathogenicity of ΔspaA, WT strain SE38, and attenuated strain G4T10, 40 C57BL/6 mice (female, 4 weeks old) were randomly divided into four groups for an infection experiment. The mice were subcutaneously challenged with 500 μL of bacterial suspension or PBS. Clinical signs and mortality were then observed for 10 days.
2.12. Expression of Recombinant Proteins
The entire open reading frame of the spaA gene was amplified from SE38 or ΔspaA with primers SpaA-F and SpaA-R (Table S2), and then inserted into the pET28a vector. Next, the recombinant vectors were transformed into E. coli BL21(DE3) for expression of SpaA (from SE38) and SpaA’ (from ΔspaA). Recombinant proteins were purified using nickel affinity chromatography (Novagen).
2.13. Analysis of Recombinant Protein Adhesion to PIECs
Cells were cultured in a 6-well plate (1 × 106 cells/well), and incubated with 20 µg/mL of recombinant protein SpaA or SpaA’ for 30 min. The cells were washed three times with PBS and fixed in 4% paraformaldehyde, then again washed three times, blocked with 1% BSA in PBS for 30 min, and incubated at room temperature with a His-Tag monoclonal antibody (1:1000 dilution) in 1% BSA-PBS for 1 h. Flow cytometry was performed using a FITC-conjugated goat anti-mouse IgG, with a total of 10,000 cells counted in each experiment.
2.14. Data Accessibility
The two genome sequences of E. rhusiopathiae G4T10 and E. rhusiopathiae SE38 have been submitted to the NCBI under accession numbers SAMN03770844 and SAMN03770845. The corresponding transcriptome data have been deposited in the Genome Sequence Archive (GSA) [] in National Genomics Data Center [], Beijing Institute of Genomics (BIG), Chinese Academy of Sciences and China National Center for Bioinformation, under accession number CRA000357, which are publicly accessible at https://ngdc.cncb.ac.cn/gsa/browse/CRA000357 (accessed on 15 July 2021).
3. Results
3.1. General Genomic Features of Strains G4T10 and SE38
The general genome features of E. rhusiopathiae G4T10, E. rhusiopathiae SE38, and four previously sequenced E. rhusiopathiae strains are summarized in Table S3 and Figure S1. E. rhusiopathiae G4T10 is the first sequenced avirulent strain of the class Erysipelotrichia. E. rhusiopathiae G4T10 has one complete circular genome, 1,770,505 bp in size, with a GC content of 36.5%. The complete genome of E. rhusiopathiae SE38 is 7.6 kb larger than strain G4T10 (total size 1,778,153 bp) and has the same GC content. E. rhusiopathiae G4T10 has 1681 predicted CDS, 4 copies of the 16S-23S-5S rRNA operon, and 54 tRNA genes. The E. rhusiopathiae SE38 genome is predicted to have 1683 CDS, 5 copies of the 16S-23S-5S rRNA operon, and 55 tRNA genes (Figure S1). The genomes of E. rhusiopathiae G4T10 and SE38 contain fewer rRNA operons than previously sequenced strains Fujisawa and GXBY-1, but more operons than strains SY1027 and ATCC19414.
3.2. Comparative Genomic Analysis Results
All 10,274 protein CDS in the six E. rhusiopathiae strains were clustered using PGAP. All protein CDS clustered into 2057 orthologs; 1530 (74.4%) orthologs were identified in the six strains as the core genome (Figure 1a), and 139 (6.8%) orthologs were identified as dispensable clusters (shared by two to five strains), and 324 genes were strain-specific (Table S4). Strains Fujisawa, G4T10, and SE38 had fewer strain-specific genes, implying high genome similarity between them. However, strain SY1027 had the greatest number of strain-specific genes, indicating it varies the most from the other strain genomes. The pan-genome profile fitted curves of the six strains shows the relations between the pan-genome size, the core genome size, and the strain number (Figure 1b). As shown in Figure 1b, we can intuitively observe that the pan-genome becomes larger when a new strain is added (blue curve); however, the core genome size was relatively stable and converged rapidly (green curve), revealing that E. rhusiopathiae has an open pan-genome. The genome sequences of the six E. rhusiopathiae strains are highly conserved with no apparent large-scale rearrangement (Figure 1c). There are four long locally collinear blocks (LCBs) with a minimum weight of 174 in each genome. Strains G4T10 and SE38 are more closely related to strain Fujisawa than to the other strains.

Figure 1.
Pan-genome analyses of E. rhusiopathiae. (a) Flower plots showing the core gene number (in the center) and strain-specific gene number (in the petals) of the six E. rhusiopathiae strains. (b) Pan-genome and core genome curves of the six E. rhusiopathiae strains. (c) Mauve alignment of the six E. rhusiopathiae strains. (d) Phylogenetic tree of E. rhusiopathiae strains based on the 16S rRNA gene. (e) Phylogenetic tree of E. rhusiopathiae strains based on the concatenated alignment of single-copy core genes. The numbers in boxes on every node represent the genome size and the overall balance (gain–loss: balance), with black indicating the genome size, red indicating an overall gain, and blue indicating an overall loss. The numbers above and below every lineage show the number of birth/duplication/transfer and loss events.
To clarify the phylogenetic relationship of the six E. rhusiopathiae strains, we constructed phylogenetic trees based on concatenated single-copy core genes using Staphylococcus aureus NCTC8325 as the out-group (for details, see the Materials and Methods section; Figure 1d). According to this tree, the six E. rhusiopathiae strains clearly group into two different branches. Strains SE38, GXBY-1, SY1027, G4T10, and Fujisawa are tightly grouped, indicating that they are more closely related than strain ATCC19414. All strains except ATCC19414 were isolated in Asia; thus, the closer phylogenetic relationship may reflect their high genetic conservation. Strain ATCC19414 formed a separate clade in the tree; this divergence may be due to special distance constituting a strong physical barrier to gene exchange.
To obtain insights into gene family dynamics, we reconciled every gene tree with the species tree using AnGST []. Gene-tree species-tree reconciliation may help us to explicitly infer the evolutionary history of every gene family in the dataset []. The evolutionary history usually includes gene birth, duplication, loss, and horizontal gene transfer (HGT) events. Our results suggest that the last common ancestor of all the species had a genome containing 1260 genes (Figure 1e). Strain ATCC19414 has maintained all 1260 acquired genes, whereas strain SE38 has lost the greatest number of genes (1006 genes). The gene loss events that occurred in the group including strain SE38 and strain GXBY-1 (204 losses) outnumbered those in the strain SY1027, strain G4T10, and strain Fujisawa group (four losses) during their separation. Gene gains occurred at different times during Erysipelothrix species evolution. However, most horizontally acquired genes were lost during Erysipelothrix species evolution. These results suggest that gene loss was a major evolutionary driving force during the dynamic process of Erysipelothrix as intracellular bacteria. These results are similar to previous studies examining intracellular bacteria [,,].
3.3. Potential Virulence Factors
All predicted genes were searched against the VFDB [] using BLASTp to identify potential virulence factors. All virulence factors in VFDB are organized into four super-families including adhesion, secretion, iron, and toxin. Several candidate virulence factors were identified in E. rhusiopathiae strains based on VFDB (Table S5). However, no toxins were detected in these strains, which is consistent with previous research []. The 25 identified virulence genes of E. rhusiopathiae were extracted and concatenated (Table S5). No obvious virulence gene gain or loss was observed in the six E. rhusiopathiae strains.
The comparative results showed that three of these twenty-five virulence genes, rspA, sbp, and spaA, were obviously different (Figure 2a). Of these, both the rspA and sbp gene were split into two short genes in strain G4T10; however, the causes of the gene split were different. The split in the rspA gene was due to a single guanine deletion (Figure 2b), compared to a single base mutation (T→G) in the sbp gene (Figure 2c). The spaA gene lost 120 bases at its C-terminal in strain G4T10 (Figure 2d). The SpaA protein in all five highly virulent strains (E. rhusiopathiae SE38, Fujisawa, GXBY-1, SY1027, and ATCC19414) contained eight C-terminal repeat units (cell wall binding, CW_binding) consisting of 20 amino acids, which is consistent with results of previous studies [,]. Each of the repeats began with the dipeptide glycine–tryptophan (GW). The eight repeats were very similar, and the fourth, fifth, and seventh repeats were identical (Figure S2). However, we detected 40 amino acids’ deletion in the SpaA protein in attenuated strain G4T10, resulting in the absence of two C-terminal repeat units (the second and the third repeats in strain SE38) compared to the five highly virulent strains. The C-terminal repeat units of the SpaA protein are necessary for the tight binding of SpaA to the bacterial surface [,]. These repeat units can attach surface proteins to the cell wall through non-covalent interactions [,]. Although spaA was transcriptionally active in both G4T10 and SE38, spaA gene expression was different (FPKM = 19.33 in G4T10 and FPKM = 96.02 in SE38). The operon organization results showed that spaA is a monocistronic gene in both G4T10 and SE38, consistent with operon DB in strain Fujisawa [].
Figure 2.
Virulence gene comparison. (a) Comparison of 25 identified virulence genes in E. rhusiopathiae G4T10 and SE38. (b) Partial nucleotide sequence alignment of the rspA genes from the six E. rhusiopathiae strains (the single guanine deletion is marked with a red box). (c) Partial nucleotide sequence alignment of the sbp genes from the six E. rhusiopathiae strains (the single base mutation is marked with a red box). (d) Partial amino acid sequence alignment of the SpaA protein from the six E. rhusiopathiae strains. The blue brackets represent the eight C-terminal repeat units (cell wall binding, CW_binding).
3.4. Characteristics of the Mutant Strain
To evaluate the influence of the different spaA sequences in strains SE38 and G4T10 on E. rhusiopathiae virulence, a deletion mutant of the differing sequence (ΔspaA) was constructed in strain SE38 by homologous recombination; the mutation was confirmed by PCR with two primer pairs (P1/P2, P3/P4). The results showed that the molecular weight of the spaA gene in the SE38 strain was higher than in the G4T10 and ΔspaA strains (Figure 3A). Sequencing analysis further indicated that mutant strain ΔspaA had been successfully constructed. As a control, the 16S RNA gene could be detected in SE38, G4T10, and ΔspaA. To examine the characteristics of the mutant strain, growth curves and transmission electron microscopy of ΔspaA, SE38, and G4T10 were conducted (Figure 3B,C). The results indicated that mutation of the spaA gene does not influence the growth and capsule of E. rhusiopathiae.
Figure 3.
Construction and confirmation of the ΔspaA mutant. (A) Confirmation of the ΔspaA mutant by PCR using primer pairs P1/P2 (to detect the spaA gene) and P3/P4 (to detect the 16S rRNA gene). Lane 1, negative control; Lane 2, ΔspaA; Lane 3, SE38; Lane 4, G4T10. (B) Growth curves of ΔspaA, SE38, and G4T10. The bacteria were cultured in TSB supplemented with 10% bovine sera at 37 °C. Absorbance at 600 nm was measured at 2 h intervals. The results shown are representative of three independent experiments. (C) The capsules of ΔspaA, SE38, and G4T10 detected by transmission electron microscopy (×7800).
3.5. ΔSpaA Displays Attenuated Virulence in Mice, and Decreased Adhesion to PIECs
To examine whether mutation of the spaA gene influenced E. rhusiopathiae virulence, an animal experiment was performed using C57BL/6 mice. The survival rate of mice in the ΔspaA group until 10 days post-infection was 70%, but only 10% in the SE38 group; all mice in the G4T10 group survived without any obvious symptoms (Figure 4a). These results indicate that mutation of the spaA gene significantly attenuated E. rhusiopathiae virulence in mice.
Figure 4.
Evaluation of the virulence and adhesion ability of ΔspaA. (a) Mouse survival rate. C57BL/6 mice were subcutaneously challenged with 500 μL of attenuated strain G4T10, WT strain SE38, mutant strain ΔspaA, or PBS (10 mice/group). (b) Flow cytometry analysis. G4T10, SE38, and ΔspaA were labeled with CFDA-SE, and then co-incubated with PIECs (100:1 ratio) at 37 °C for 2 h. Flow cytometry was performed with a total of 10,000 cells counted in each group. Survival assay statistics were conducted using the log-rank (Mantel-Cox) test. All experiments were performed at least twice under similar conditions and yielded similar results.
A previous study demonstrated that SpaA influences E. rhusiopathiae virulence mainly via its adhesion to host cells [,]. Based on this, we hypothesized that the ΔspaA strain displayed attenuated virulence perhaps because the mutation of the spaA gene influenced the adhesive ability of SpaA. To confirm this hypothesis, the adhesive ability of the ΔspaA strain was tested in PIECs by flow cytometry. The adhesive ability of the ΔspaA mutant to PIECs was obviously decreased compared with that of wild-type strain SE38 (Figure 4b).
3.6. The Deleted Sequence Influences the Adhesive Ability of SpaA in PIECs
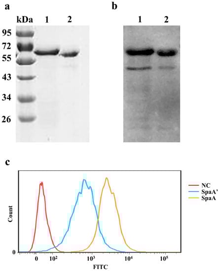
To further examine whether the deleted sequence influences the adhesive ability of SpaA, the spaA genes of SE38 and ΔspaA were cloned and expressed. The recombinant SpaA encoded by ΔspaA was named SpaA’. SDS-PAGE and Western blotting analyses showed that the molecular weight of SpaA’ was lower than that of wild-type SpaA (Figure 5a,b). Next, flow cytometry analysis was performed to determine the adhesive ability of SpaA and SpaA’ to PIECs. We observed that the adhesive ability of SpaA was significantly higher than that of SpaA’ (Figure 5c), indicating that the deleted sequence plays an important role in the adhesive ability of SpaA.
Figure 5.
Adhesion ability analysis of mutated SpaA’. (a) SDS-PAGE analysis and (b) Western blot analysis of recombinant SpaA and SpaA’. The blot was probed with an anti-His-Tag monoclonal antibody (Cali-Bio). Lane 1: SpaA; Lane 2: SpaA’. (c) Flow cytometry analysis. PIECs were incubated with 20 µg/mL of SpaA or SpaA’ for 30 min, then washed three times with PBS and fixed in 4% paraformaldehyde. After another three washes, the cells were blocked with 1% BSA in PBS for 30 min, and then incubated with the His-Tag monoclonal antibody (1:1000 dilution) in 1% BSA-PBS for 1 h. Flow cytometry was performed using a FITC-conjugated goat anti-mouse IgG, with a total of 10,000 cells counted in each group. All experiments were performed at least twice under similar conditions and yielded similar results.
4. Discussion
E. rhusiopathiae is an opportunistic pathogen that can cause acute septicemia or chronic endocarditis and polyarthritis in pigs []. Since 2012, E. rhusiopathiae infection has recurred as a serious clinical problem in pig populations in China after 20 years of hibernation []. However, currently, knowledge of E. rhusiopathiae pathogenesis remains limited, which severely impedes the development of effective vaccines or drugs. Here, to investigate the pathogenic mechanism of E. rhusiopathiae, a comparative genomic analysis was performed for six E. rhusiopathiae strains, including the avirulent strain G4T10 and several virulent strains (SE38, Fujisawa, SY1027, GXBY-1, and ATCC19414). The avirulent strain G4T10 and virulent strain SE38 have a striking difference in their virulence phenotypes. Bacterial vaccines play an important role in the prevention and control of swine bacterial diseases. Since the G4T10 strain is avirulent, it has the potential to be a live vaccine compared to virulent strains such as SE38 or Fujisawa. Initially, we hypothesized that this was due to differences in their genome structures; however, the E. rhusiopathiae strains were shown to be highly conserved, and no large-scale rearrangement was observed. Phylogenetic analysis showed that strains SE38, Fujisawa, SY1027, GXBY-1, and G4T10 have a closer phylogenetic relationship, which reflects the high genetic conservation of Asia-originating E. rhusiopathiae strains. Genome dynamics analysis results suggested that gene loss is a major evolutionary driving force during the dynamic evolution of E. rhusiopathiae as an intracellular bacterium. Virulence gene analysis indicated that the difference in virulence of E. rhusiopathiae G4T10 and that of other virulent E. rhusiopathiae strains is not due to gene gain or loss at the genomic level, but rather to a spilt or variation in some shared virulence genes. Interestingly, compared with the virulent SE38, the avirulent G4T10 has a 120bp deletion in SpaA. Therefore, the SpaA gene of a large number of virulent and avirulent strains needs to be analyzed later to determine whether this 120bp can be used as a marker to distinguish isolate of E. rhusiopathiae is virulent or not.
SpaA was previously identified as a major protective antigen of E. rhusiopathiae []. However, recent studies have shown that SpaA also plays an important role in E. rhusiopathiae virulence dependent on its adhesion to host cells [,,]. Numerous studies have shown that SpaA can mediate the adhesion of E. rhusiopathiae to porcine endothelial cells via phosphorylcholine without platelet-activating factor receptor []; however, the key domain that influences the adhesive ability of SpaA was unclear. In this study, we demonstrated that the repeat sequence of the C-terminal repeat units obviously affects the adhesive ability of SpaA, which then attenuates E. rhusiopathiae virulence. These results further elucidate the molecular mechanism underlying SpaA adhesion.
Our previous research demonstrated obvious differences in virulence of strains SE38 and G4T10 []. However, in this study, comparative analysis indicated that there are only a few differences between the genomes of these strains. Of these, the different virulence-associated genes include spaA, sbp, and rspA, which were split in two in strain G4T10. In addition to spaA, which was examined in this study, sbp has also been shown to be associated with virulence, based on pig survival experiments with deletion mutant strains []. In addition, several studies have indicated that RspA expressed by the cloned rspA gene may influence E. rhusiopathiae virulence via participation in biofilm formation []. Unfortunately, attempts to construct a mutant strain to examine the influence of the split rspA gene on E. rhusiopathiae virulence were unsuccessful (data not shown). Thus, the effect of rspA on E. rhusiopathiae virulence remains to be verified. Taken together, our results explain why the ΔspaA mutant displayed attenuated virulence in mice compared with wild-type strain SE38, but higher virulence than strain G4T10.
5. Conclusions
Our data showed that the genomes of E. rhusiopathiae strains G4T10 and SE38 were highly similar, and that the difference in their virulence was mainly due to the mutation of some virulence-related genes, especially spaA. We demonstrated that the adhesion ability of SpaA depends on the repeat units at its C-terminus, which significantly influence E. rhusiopathiae virulence. These results further our understanding of E. rhusiopathiae pathogenesis.
Supplementary Materials
The following supporting information can be downloaded at: https://www.mdpi.com/article/10.3390/biology11071010/s1, Figure S1: Circular representation of the E. rhusiopathiae G4T10 and E. rhusiopathiae SE38 chromosomes. The coding sequences on the plus and minus strands are shown in circles 1 and circle 2 (outside to inside). tRNA and rRNA are depicted in circles 3 and 4, respectively. GC content (in 10 kb windows) and GC skew curve (10 kb window and 200 bp base steps) are shown in circles 5 and 6, respectively; Figure S2: Nucleotide sequence alignment of spaA genes from the six E. rhusiopathiae strains; Table S1: Summary of bacterial strains and plasmid used in this study; Table S2: Oligonucleotide primers used in this study; Table S3: General features of E. rhusiopathiae strains; Table S4: The list of strain-specific genes; Table S5: Virulence factors in six Erysipelothrix rhusiopathiae strains.
Author Contributions
Conceptualization, J.X. and M.J.; methodology, C.W. and Z.Z.; validation, C.K. and Q.Z.; formal analysis, Q.Z.; investigation, C.W.; resources, W.Z. and Y.Z.; data curation, H.Z.; software, C.W.; visualization, Q.Z.; writing—original draft, C.W.; writing—review and editing, C.W. and M.J.; supervision, Z.Z.; project administration, C.W. and M.J. All authors have read and agreed to the published version of the manuscript.
Funding
This work was supported by Major special projects of technological innovation in Hubei Province (2020ABA016) and National Science Foundation of China (32170669).
Institutional Review Board Statement
The study was conducted according to the guidelines of the Declaration of Helsinki, and approved by the Ethics Committee of Huazhong Agricultural University (protocol code: HZAUMO-2022-0093, 2022).
Informed Consent Statement
Not applicable.
Data Availability Statement
Publicly available datasets were analyzed in this study. The genome data can be found here: SAMN03770844 and SAMN03770845, which are publicly accessible at https://www.ncbi.nlm.nih.gov/nuccore/ (accessed on 1 June 2021). The corresponding transcriptome data can be found here:CRA000357, which are publicly accessible at https://ngdc.cncb.ac.cn/gsa/browse/CRA000357 (accessed on 1 June 2021).
Acknowledgments
All of the authors in this section wish to thank the Core Genomic Facility at the Beijing Institute of Genomics for their sequencing support.
Conflicts of Interest
The authors declare no conflict of interest.
References
- Ding, Y.; Zhu, D.; Zhang, J.; Yang, L.; Wang, X.; Chen, H.; Tan, C. Virulence determinants, antimicrobial susceptibility, and molecular profiles of Erysipelothrix rhusiopathiae strains isolated from China. Emerg. Microbes Infect. 2015, 4, e69. [Google Scholar] [CrossRef] [PubMed]
- Shimoji, Y.; Ogawa, Y.; Osaki, M.; Kabeya, H.; Maruyama, S.; Mikami, T.; Sekizaki, T. Adhesive surface proteins of Erysipelothrix rhusiopathiae bind to polystyrene, fibronectin, and type I and IV collagens. J. Bacteriol. 2003, 185, 2739–2748. [Google Scholar] [CrossRef] [PubMed]
- Borrathybay, E.; Gong, F.J.; Zhang, L.; Nazierbieke, W. Role of surface protective antigen A in the pathogenesis of Erysipelothrix rhusiopathiae strain C43065. J. Microbiol. Biotechnol. 2015, 25, 206–216. [Google Scholar] [CrossRef]
- Zhu, W.; Cai, C.; Wang, Y.; Li, J.; Wu, C.; Kang, C.; Sun, X.; Jin, M. Characterization of roles of SpaA in Erysipelothrix rhusiopathiae adhesion to porcine endothelial cells. Microb. Pathog. 2017, 113, 176–180. [Google Scholar] [CrossRef]
- Wang, Y.; Li, J.; Zhang, A.; Zhu, W.; Zhang, Q.; Xu, Z.; Yan, S.; Sun, X.; Chen, H.; Jin, M. iTRAQ-based quantitative proteomic analysis reveals potential virulence factors of Erysipelothrix rhusiopathiae. J. Proteom. 2017, 160, 28–37. [Google Scholar] [CrossRef]
- Zhu, W.; Wang, Y.; Cai, C.; Li, J.; Wu, C.; Kang, C.; Jin, M. Erysipelothrix rhusiopathiae recruits host plasminogen via the major protective antigen SpaA. FEMS Microbiol. Lett. 2017, 364, fnx036. [Google Scholar] [CrossRef]
- Floristan, U.; Feltes, R.A.; Gomez, A.; Vidaurrazaga, C. Erythematous-violaceous lesion on the leg of a researcher in contact with swine. Enferm. Infecc. Y Microbiol. Clin. 2009, 27, 365–366. [Google Scholar]
- Wang, Q.; Chang, B.J.; Riley, T.V. Erysipelothrix rhusiopathiae. Vet. Microbiol. 2010, 140, 405–417. [Google Scholar] [CrossRef]
- Zhu, W.; Cai, C.; Huang, J.; Liu, L.; Xu, Z.; Sun, X.; Jin, M. Characterization of pathogenic roles of two Erysipelothrix rhusiopathiae surface proteins. Microb. Pathog. 2018, 114, 166–168. [Google Scholar] [CrossRef]
- Kang, C.; Zhang, Q.; Zhu, W.; Cai, C.; Sun, X.; Jin, M. Transcription analysis of the responses of porcine heart to Erysipelothrix rhusiopathiae. PLoS ONE 2017, 12, e0185548. [Google Scholar] [CrossRef]
- Chin, C.S.; Alexander, D.H.; Marks, P.; Klammer, A.A.; Drake, J.; Heiner, C.; Clum, A.; Copeland, A.; Huddleston, J.; Eichler, E.E.; et al. Nonhybrid, finished microbial genome assemblies from long-read SMRT sequencing data. Nat. Methods 2013, 10, 563–569. [Google Scholar] [CrossRef] [PubMed]
- Lowe, T.M.; Eddy, S.R. tRNAscan-SE: A program for improved detection of transfer RNA genes in genomic sequence. Nucleic Acids Res. 1997, 25, 955–964. [Google Scholar] [CrossRef] [PubMed]
- Lagesen, K.; Hallin, P.; Rodland, E.A.; Staerfeldt, H.H.; Rognes, T.; Ussery, D.W. RNAmmer: Consistent and rapid annotation of ribosomal RNA genes. Nucleic Acids Res. 2007, 35, 3100–3108. [Google Scholar] [CrossRef] [PubMed]
- Hyatt, D.; Chen, G.L.; LoCascio, P.F.; Land, M.L.; Larimer, F.W.; Hauser, L.J. Prodigal: Prokaryotic gene recognition and translation initiation site identification. BMC Bioinform. 2010, 11, 119. [Google Scholar] [CrossRef] [PubMed]
- Altschul, S.F.; Madden, T.L.; Schaffer, A.A.; Zhang, J.H.; Zhang, Z.; Miller, W.; Lipman, D.J. Gapped BLAST and PSI-BLAST: A new generation of protein database search programs. Nucleic Acids Res. 1997, 25, 3389–3402. [Google Scholar] [CrossRef]
- Chen, L.H.; Zheng, D.D.; Liu, B.; Yang, J.; Jin, Q. VFDB 2016: Hierarchical and refined dataset for big data analysis-10 years on. Nucleic Acids Res. 2016, 44, D694–D697. [Google Scholar] [CrossRef]
- Guy, L.; Roat Kultima, J.; Andersson, S.G.E. genoPlotR: Comparative gene and genome visualization in R. Bioinformatics 2010, 26, 2334–2335. [Google Scholar] [CrossRef]
- Katoh, K.; Misawa, K.; Kuma, K.; Miyata, T. MAFFT: A novel method for rapid multiple sequence alignment based on fast Fourier transform. Nucleic Acids Res. 2002, 30, 3059–3066. [Google Scholar] [CrossRef]
- Zhao, Y.B.; Wu, J.Y.; Yang, J.H.; Sun, S.X.; Xiao, J.F.; Yu, J. PGAP: Pan-genomes analysis pipeline. Bioinformatics 2012, 28, 416–418. [Google Scholar] [CrossRef]
- Zhao, Y.B.; Jia, X.M.; Yang, J.H.; Ling, Y.C.; Zhang, Z.; Yu, J.; Wu, J.Y.; Xiao, J.F. PanGP: A tool for quickly analyzing bacterial pan-genome profile. Bioinformatics 2014, 30, 1297–1299. [Google Scholar] [CrossRef]
- Darling, A.C.E.; Mau, B.; Blattner, F.R.; Perna, N.T. Mauve: Multiple alignment of conserved genomic sequence with rearrangements. Genome Res. 2004, 14, 1394–1403. [Google Scholar] [CrossRef] [PubMed]
- Bruen, T.C.; Philippe, H.; Bryant, D. A simple and robust statistical test for detecting the presence of recombination. Genetics 2006, 172, 2665–2681. [Google Scholar] [CrossRef] [PubMed]
- Padidam, M.; Sawyer, S.; Fauquet, C.M. Possible emergence of new geminiviruses by frequent recombination. Virology 1999, 265, 218–225. [Google Scholar] [CrossRef] [PubMed]
- Guindon, S.; Dufayard, J.F.; Lefort, V.; Anisimova, M.; Hordijk, W.; Gascuel, O. New Algorithms and Methods to Estimate Maximum-Likelihood Phylogenies: Assessing the Performance of PhyML 3.0. Syst. Biol. 2010, 59, 307–321. [Google Scholar] [CrossRef]
- Richards, V.P.; Palmer, S.R.; Bitar, P.D.P.; Qin, X.; Weinstock, G.M.; Highlander, S.K.; Town, C.D.; Burne, R.A.; Stanhope, M.J. Phylogenomics and the Dynamic Genome Evolution of the Genus Streptococcus. Genome Biol. Evol. 2014, 6, 741–753. [Google Scholar] [CrossRef]
- Langmead, B.; Trapnell, C.; Pop, M.; Salzberg, S.L. Ultrafast and memory-efficient alignment of short DNA sequences to the human genome. Genome Biol. 2009, 10, R25. [Google Scholar] [CrossRef]
- Anders, S.; Pyl, P.T.; Huber, W. HTSeq—A Python framework to work with high-throughput sequencing data. Bioinformatics 2015, 31, 166–169. [Google Scholar] [CrossRef]
- Love, M.I.; Huber, W.; Anders, S. Moderated estimation of fold change and dispersion for RNA-seq data with DESeq2. Genome Biol. 2014, 15, 550. [Google Scholar] [CrossRef]
- Tjaden, B. De novo assembly of bacterial transcriptomes from RNA-seq data. Genome Biol. 2015, 16, 1. [Google Scholar] [CrossRef]
- Chen, T.; Chen, X.; Zhang, S.; Zhu, J.; Tang, B.; Wang, A.; Dong, L.; Zhang, Z.; Yu, C.; Sun, Y.; et al. The Genome Sequence Archive Family: Toward Explosive Data Growth and Diverse Data Types. Genom. Proteom. Bioinform. 2021, 19, 578–583. [Google Scholar] [CrossRef]
- CNCB-NGDC Members and Partners. Database Resources of the National Genomics Data Center, China National Center for Bioinformation in 2022. Nucleic Acids Res. 2022, 50, D27–D38. [Google Scholar] [CrossRef] [PubMed]
- David, L.A.; Alm, E.J. Rapid evolutionary innovation during an Archaean genetic expansion. Nature 2011, 469, 93–96. [Google Scholar] [CrossRef]
- Kamneva, O.K.; Knight, S.J.; Liberles, D.A.; Ward, N.L. Analysis of genome content evolution in pvc bacterial super-phylum: Assessment of candidate genes associated with cellular organization and lifestyle. Genome Biol. Evol. 2012, 4, 1375–1390. [Google Scholar] [CrossRef]
- Georgiades, K.; Merhej, V.; El Karkouri, K.; Raoult, D.; Pontarotti, P. Gene gain and loss events in Rickettsia and Orientia species. Biol. Direct 2011, 6, 6. [Google Scholar] [CrossRef] [PubMed]
- Moran, N.A.; Wernegreen, J.J. Lifestyle evolution in symbiotic bacteria: Insights from genomics. Trends Ecol. Evol. 2000, 15, 321–326. [Google Scholar] [CrossRef]
- Moran, N.A.; Mira, A. The process of genome shrinkage in the obligate symbiont Buchnera aphidicola. Genome Biol. 2001, 2, research0054.1. [Google Scholar] [CrossRef]
- Li, Y.F.; Zou, Y.; Xia, Y.T.; Bai, J.; Wang, X.W.; Jiang, P. Proteomic and Transcriptomic Analyses of Swine Pathogen Erysipelothrix rhusiopathiae Reveal Virulence Repertoire. PLoS ONE 2016, 11, e0159462. [Google Scholar] [CrossRef][Green Version]
- Imada, Y.; Goji, N.; Ishikawa, H.; Kishima, M.; Sekizaki, T. Truncated surface protective antigen (SpaA) of Erysipelothrix rhusiopathiae serotype 1a elicits protection against challenge with serotypes 1a and 2b in pigs. Infect. Immun. 1999, 67, 4376–4382. [Google Scholar] [CrossRef]
- Makino, S.; Yamamoto, K.; Murakami, S.; Shirahata, T.; Uemura, K.; Sawada, T.; Wakamoto, H.; Morita, Y. Properties of repeat domain found in a novel protective antigen, SpaA, of Erysipelothrix rhusiopathiae. Microb. Pathog. 1998, 25, 101–109. [Google Scholar] [CrossRef]
- Ogawa, Y.; Ooka, T.; Shi, F.; Ogura, Y.; Nakayama, K.; Hayashi, T.; Shimoji, Y. The genome of Erysipelothrix rhusiopathiae, the causative agent of swine erysipelas, reveals new insights into the evolution of firmicutes and the organism’s intracellular adaptations. J. Bacteriol. 2011, 193, 2959–2971. [Google Scholar] [CrossRef]
- Yother, J.; White, J.M. Novel Surface Attachment Mechanism of the Streptococcus-Pneumoniae Protein Pspa. J. Bacteriol. 1994, 176, 2976–2985. [Google Scholar] [CrossRef] [PubMed]
- Pertea, M.; Ayanbule, K.; Smedinghoff, M.; Salzberg, S.L. OperonDB: A comprehensive database of predicted operons in microbial genomes. Nucleic Acids Res. 2009, 37, D479–D482. [Google Scholar] [CrossRef] [PubMed][Green Version]
- Shi, F.; Ogawa, Y.; Sano, A.; Harada, T.; Hirota, J.; Eguchi, M.; Oishi, E.; Shimoji, Y. Characterization and Identification of a Novel Candidate Vaccine Protein through Systematic Analysis of Extracellular Proteins of Erysipelothrix rhusiopathiae. Infect. Immun. 2013, 81, 4333–4340. [Google Scholar] [CrossRef] [PubMed]
- Makino, S.; Yamamoto, K.; Asakura, H.; Shirahata, T. Surface antigen, SpaA, of Erysipelothrix rhusiopathiae binds to Gram-positive bacterial cell surfaces. FEMS Microbiol. Lett. 2000, 186, 313–317. [Google Scholar] [CrossRef] [PubMed][Green Version]
- Harada, T.; Ogawa, Y.; Eguchi, M.; Shi, F.; Sato, M.; Uchida, K.; Nakayama, H.; Shimoji, Y. Phosphorylcholine and SpaA, a choline-binding protein, are involved in the adherence of Erysipelothrix rhusiopathiae to porcine endothelial cells, but this adherence is not mediated by the PAF receptor. Vet. Microbiol. 2014, 172, 216–222. [Google Scholar] [CrossRef]
Publisher’s Note: MDPI stays neutral with regard to jurisdictional claims in published maps and institutional affiliations. |
© 2022 by the authors. Licensee MDPI, Basel, Switzerland. This article is an open access article distributed under the terms and conditions of the Creative Commons Attribution (CC BY) license (https://creativecommons.org/licenses/by/4.0/).