Comparative Analysis and Phylogenetic Relationships of Ceriops Species (Rhizophoraceae) and Avicennia lanata (Acanthaceae): Insight into the Chloroplast Genome Evolution between Middle and Seaward Zones of Mangrove Forests
Abstract
Simple Summary
Abstract
1. Introduction
2. Materials and Methods
2.1. Samples, DNA Isolation, and Sequencing
2.2. Chloroplast Genome Assembly and Annotation
2.3. Comparative Genome Analysis
2.4. Repeat and SSR Identification
2.5. Phylogenetic Analysis
2.6. Gene Selective Pressure Analysis
2.7. Development of Species-Specific Molecular Markers for Ceriops Species
3. Results
3.1. Chloroplast Genome Features
3.2. Comparative Analysis of Chloroplast Genomes
3.3. Chloroplast Boundary Structures
3.4. Chloroplast Repeats and SSRs
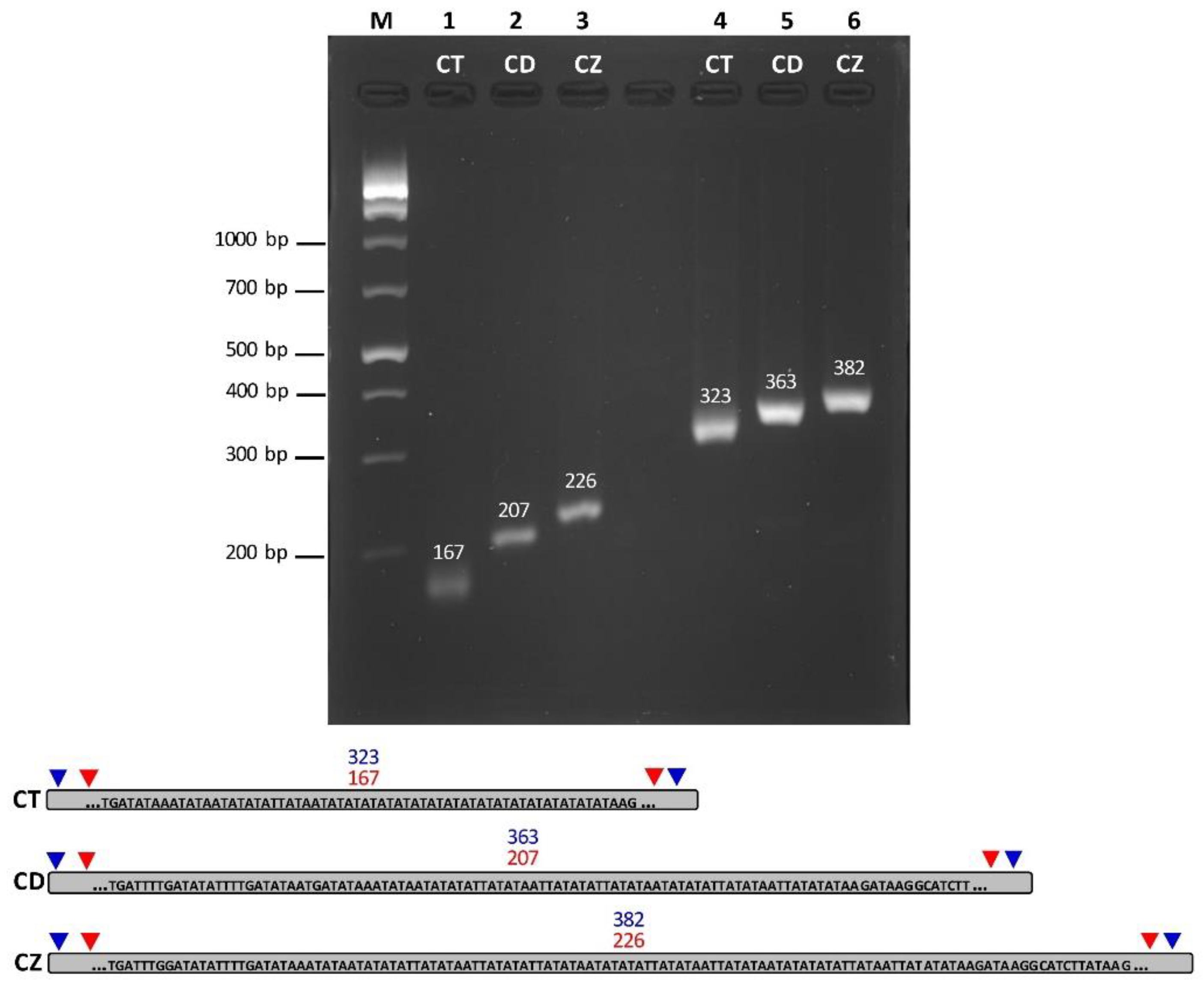
3.5. Ceriops Species Identification Based on Species-Specific Molecular Markers
3.6. Phylogenetic Relationships
3.7. Chloroplast Genes under Positive Selection
4. Discussion
5. Conclusions
Supplementary Materials
Author Contributions
Funding
Institutional Review Board Statement
Informed Consent Statement
Data Availability Statement
Acknowledgments
Conflicts of Interest
References
- FAO. The world’s mangroves 1980–2005. In FAO Forestry Paper; FAO: Rome, Italy, 2007. [Google Scholar]
- Lee, S.Y.; Primavera, J.H.; Dahdouh-Guebas, F.; Mckee, K.; Bosire, J.O.; Cannicci, S.; Diele, K.; Fromard, F.; Koedam, N.; Marchand, C.; et al. Ecological role and services of tropical mangrove ecosystems: A reassessment. Glob. Ecol. Biogeogr. 2014, 23, 726–743. [Google Scholar] [CrossRef]
- Spalding, M.; Blasco, F.; Field, C. World Mangrove Atlas; The International Society for Mangrove Ecosystems: Okinawa, Japan, 2010. [Google Scholar]
- Ellison, A.M.; Farnsworth, E.J. Mangrove Communities. In Marine Community Ecology; Bertness, M.D., Gaines, S.D., Hay, M.E., Eds.; Sinauer Associates: Sunderland, MA, USA, 2001. [Google Scholar]
- Kathiresan, K.; Bingham, B.L. Biology of mangroves and mangrove ecosystems. Adv. Mar. Biol. 2001, 40, 81–251. [Google Scholar] [CrossRef]
- Vannucci, M. What is so special about mangroves? Braz. J. Biol. 2001, 61, 599–603. [Google Scholar] [CrossRef] [PubMed]
- Tomlinson, P.B. The Botany of Mangroves, 2nd ed.; Cambridge University Press: Cambridge, UK, 1986. [Google Scholar]
- Duke, N.C.; Maynecke, J.-O.; Dittmann, S.; Ellison, A.M.; Anger, K.; Berger, U.; Cannicci, S.; Diele, K.; Ewel, K.C.; Field, C.D.; et al. A world without mangroves? Science 2007, 317, 41–43. [Google Scholar] [CrossRef]
- Polidoro, B.A.; Carpenter, K.E.; Collins, L.; Duke, N.C.; Ellison, A.M.; Ellison, J.C.; Farnsworth, E.J.; Fernando, E.S.; Kathiresan, K.; Koedam, N.E.; et al. The loss of species: Mangrove extinction risk and geographic areas of global concern. PLoS ONE 2010, 5, e10095. [Google Scholar] [CrossRef]
- Ward, R.D.; Friess, D.A.; Day, R.H.; Mackenzie, R.A. Impacts of climate change on mangrove ecosystems: A region by region overview. Ecosyst. Health Sustain. 2016, 2, e01211. [Google Scholar] [CrossRef]
- Saddhe, A.A.; Jamdade, R.A.; Kumar, K. Assessment of mangroves from Goa, west coast India using DNA barcode. Springerplus 2016, 5, 1554. [Google Scholar] [CrossRef] [PubMed]
- Sandilyan, S.; Kathiresan, K. Mangrove conservation: A global perspective. Biodivers. Conserv. 2012, 21, 3523–3542. [Google Scholar] [CrossRef]
- Shi, S.; Huang, Y.; Zeng, K.; Tan, F.; He, H.; Huang, J.; Fu, Y. Molecular phylogenetic analysis of mangroves: Independent evolutionary origins of vivipary and salt secretion. Mol. Phylogenet. Evol. 2005, 34, 159–166. [Google Scholar] [CrossRef]
- Wee, A.K.S.; Mori, G.M.; Lira, C.F.; Núñez-Farfán, J.; Takayama, K.; Faulks, L.; Shi, S.; Tsuda, Y.; Suyama, Y.; Yamamoto, T.; et al. The integration and application of genomic information in mangrove conservation. Conserv. Biol. 2019, 33, 206–209. [Google Scholar] [CrossRef]
- Shearman, J.R.; Naktang, C.; Sontirod, C.; Kongkachana, W.; U-thoomporn, S.; Jomchai, N.; Maknual, C.; Yamprasai, S.; Promchoo, W.; Ruang-areerate, P.; et al. Assembly of a hybrid mangrove, Bruguiera hainesii, and its two ancestral contributors, Bruguiera cylindrica and Bruguiera gymnorhiza. Genomics, 2022; in press. [Google Scholar]
- Hu, M.J.; Sun, W.H.; Tsai, W.C.; Xiang, S.; Lai, X.K.; Chen, D.Q.; Liu, X.D.; Wang, Y.F.; Le, Y.X.; Chen, S.M.; et al. Chromosome-scale assembly of the Kandelia obovata genome. Hortic. Res. 2020, 7, 75. [Google Scholar] [CrossRef] [PubMed]
- Xu, S.; He, Z.; Zhang, Z.; Guo, Z.; Guo, W.; Lyu, H.; Li, J.; Yang, M.; Du, Z.; Huang, Y.; et al. The origin, diversification and adatation of a major mangrove clade (Rhizophoraceae) revealed by whole-genome sequencing. Natl. Sci Rev. 2017, 4, 721–734. [Google Scholar] [CrossRef]
- Natarajan, P.; Murugesan, A.K.; Govindan, G.; Gopalakrishnan, A.; Kumar, R.; Duraisamy, P.; Balaji, R.; Tanuja; Shyamli, P.S.; Parida, A.K.; et al. A reference-grade genome identifies salt-tolerance genes from the salt-secreting mangrove species Avicennia marina. Commun. Biol. 2021, 4, 851. [Google Scholar] [CrossRef]
- Pootakham, W.; Sonthirod, C.; Naktang, C.; Kongkachana, W.; U-thoomporn, S.; Phetchawang, P.; Maknual, C.; Jiumjamrassil, D.; Pravinvongvuthi, T.; Tangphatsornruang, S. A de novo reference assembly of the yellow mangrove Ceriops zippeliana genome. G3 Genes Genomes Genet. 2022; in press. [Google Scholar]
- Pootakham, W.; Naktang, C.; Sonthirod, C.; Kongkachana, W.; Yoocha, T.; Jomchai, N.; Maknual, C.; Chumriang, P.; Pravinvongvuthi, T.; Tangphatsornruang, S. De novo reference assembly of the upriver orange mangrove (Bruguiera sexangula) genome. Genome Biol. Evol. 2022; submitted. [Google Scholar]
- Pootakham, W.; Naktang, C.; Sonthirod, C.; Kongkachana, W.; Narong, N.; Sangsrakru, D.; Maknual, C.; Jiumjamrassil, D.; Chumriang, P.; Tangphatsornruang, S. Chromosome-level genome assembly and population genetic analysis of the Indian mangrove (Ceriops tagal). Hortic. Res. 2022; submitted. [Google Scholar]
- Pootakham, W.; Sonthirod, C.; Naktang, C.; Kongkachana, W.; Sangsrakru, D.; U-thoomporn, S.; Maknual, C.; Meepol, W.; Promchoo, W.; Maprasop, P.; et al. A chromosome-scale reference genome assembly of yellow mangrove (Bruguiera parviflora) reveals a whole genome duplication event associated with the Rhizophoraceae lineage. Mol. Ecol. Resour. 2022, 2022, 1–15. [Google Scholar] [CrossRef] [PubMed]
- Pootakham, W.; Kongkachana, W.; Naktang, C.; Sonthirod, C.; Yoocha, T.; Jomchai, N.; Maknual, C.; Meepol, W.; Yamprasai, S.; Tangphatsornruang, S. A chromosome-scale genome assembly of the Ceriops decandra mangrove. BMC Genom. Data, 2022; submitted. [Google Scholar]
- Giesen, W.; Wulffraat, S.; Zieen, M.; Scholten, L. Mangrove Guidebook for Southeast Asia; FAO and Wetlands International: Bangkok, Thailand, 2006. [Google Scholar]
- Raju, A.J.S.; Karyamsetty, H.J. Reproductive ecology of mangrove trees Ceriops tagal (Perr.) C. B. Robinson (Rhizophoraceae). Acta Bot. Croat. 2008, 67, 201–208, ISSN 0365-0588. [Google Scholar]
- Thatoi, H.; Samantaray, D.; Das, S.K. The genus Avicennia, a pioneer group of dominant mangrove plant species with potential medicinal values: A review. Front. Life Sci. 2016, 9, 267–291. [Google Scholar] [CrossRef]
- Shimony, C.; Fahn, A.; Reinhold, L. Ultrastructure and ion gradients in the salt glands of Avicennia marina (Forssk.) Vierh. New Phytol. 1973, 72, 27–36. [Google Scholar] [CrossRef]
- Duke, N. Australia’s Mangroves: The Authoritative Guide to Australia’s Mangrove Plants; University of Queensland: Brisbane, Australia, 2006; ISBN 9780646461960. [Google Scholar]
- Ding, H. Rhizophoraceae. Flora Males. Ser. 1 Spermatophyta 1958, 5, 429–493. [Google Scholar]
- Sheue, C.R.; Rashid, S.M.A.; Yong, J.W.H.; Yang, Y.P. Ceriops zippeliana Blume (Rhizophoraceae), a new record of a mangrove species in Singapore. Taiwania 2010, 55, 72–77. [Google Scholar] [CrossRef]
- Sheue, C.R.; Liu, H.Y.; Tsai, C.C.; Rashid, S.M.A.; Yong, J.W.H.; Yang, Y.P. On the morphology and molecular basis of segregation of Ceriops zippeliana and C. decandra (Rhizophoraceae) from Asia. Blumea J. Plant Taxon. Plant Geogr. 2009, 54, 220–227. [Google Scholar] [CrossRef][Green Version]
- Huang, Y.; Tan, F.; Su, G.; Deng, S.; He, H.; Shi, S. Population genetic structure of three tree species in the mangrove genus Ceriops (Rhizophoraceae) from the Indo West Pacific. Genetica 2008, 133, 47–56. [Google Scholar] [CrossRef] [PubMed]
- Duke, N.; Kathiresan, K.; Salmo, S.G., III; Fernando, E.S.; Peras, J.R.; Sukardjo, S.; Miyagi, T. Ceriops decandra. IUCN Red List Threat. Species 2010, 2010, e.T178853A7627935. [Google Scholar]
- Duke, N.C. A systematic revision of the mangrove genus avicennia (Avicenniaceae) in Australasia. Aust. Syst. Bot. 1991, 4, 299–324. [Google Scholar] [CrossRef]
- Mori, G.M.; Zucchi, M.I.; Sampaio, I.; Souza, A.P. Species distribution and introgressive hybridization of two Avicennia species from the Western Hemisphere unveiled by phylogeographic patterns Phylogenetics and phylogeography. BMC Evol. Biol. 2015, 15, 61. [Google Scholar] [CrossRef] [PubMed]
- Duke, N.C. Mangrove floristics and biogeography. Trop. Mangrove Ecosyst. 1992, 41, 63–100. [Google Scholar] [CrossRef]
- Chua, L.S. Avicennia lanata. IUCN Red List Threat. Species 1998, 1998, e.T31819A9662485. [Google Scholar]
- Birky, C.W. Uniparental inheritance of mitochondrial and chloroplast genes: Mechanisms and evolution. Proc. Natl. Acad. Sci. USA 1995, 92, 11331–11338. [Google Scholar] [CrossRef]
- Asaf, S.; Khan, A.L.; Numan, M.; Al-Harrasi, A. Mangrove tree (Avicennia marina): Insight into chloroplast genome evolutionary divergence and its comparison with related species from family Acanthaceae. Sci. Rep. 2021, 11, 3586. [Google Scholar] [CrossRef]
- Yang, Y.; Zhang, Y.; Chen, Y.; Gul, J.; Zhang, J.; Liu, Q.; Chen, Q. Complete chloroplast genome sequence of the mangrove species Kandelia obovata and comparative analyses with related species. PeerJ 2019, 7, e7713. [Google Scholar] [CrossRef]
- Shi, C.; Han, K.; Li, L.; Seim, I.; Lee, S.M.Y.; Xu, X.; Yang, H.; Fan, G.; Liu, X. Complete chloroplast genomes of 14 mangroves: Phylogenetic and comparative genomic analyses. Biomed Res. Int. 2020, 2020, 8731857. [Google Scholar] [CrossRef] [PubMed]
- Ruang-areerate, P.; Kongkachana, W.; Naktang, C.; Sonthirod, C.; Narong, N.; Jomchai, N.; Maprasop, P.; Maknual, C.; Phormsin, N.; Shearman, J.R.; et al. Complete chloroplast genome sequences of five Bruguiera species (Rhizophoraceae): Comparative analysis and phylogenetic relationships. PeerJ 2021, 9, 1–22. [Google Scholar] [CrossRef] [PubMed]
- Tangphatsornruang, S.; Sangsrakru, D.; Chanprasert, J.; Uthaipaisanwong, P.; Yoocha, T.; Jomchai, N.; Tragoonrung, S. The chloroplast genome sequence of mungbean (Vigna radiata) determined by high-throughput pyrosequencing: Structural organization and phylogenetic relationships. DNA Res. 2010, 17, 11–22. [Google Scholar] [CrossRef]
- Tangphatsornruang, S.; Uthaipaisanwong, P.; Sangsrakru, D.; Chanprasert, J.; Yoocha, T.; Jomchai, N.; Tragoonrung, S. Characterization of the complete chloroplast genome of Hevea brasiliensis reveals genome rearrangement, RNA editing sites and phylogenetic relationships. Gene 2011, 475, 104–112. [Google Scholar] [CrossRef] [PubMed]
- Uthaipaisanwong, P.; Chanprasert, J.; Shearman, J.R.; Sangsrakru, D.; Yoocha, T.; Jomchai, N.; Jantasuriyarat, C.; Tragoonrung, S.; Tangphatsornruang, S. Characterization of the chloroplast genome sequence of oil palm (Elaeis guineensis Jacq.). Gene 2012, 500, 172–180. [Google Scholar] [CrossRef]
- Doyle, J.J.; Doyle, J.L. A rapid DNA isolation procedure for small quantities of fresh leaf tissue. Phytochem. Bull. 1987, 19, 11–15. [Google Scholar]
- Dierckxsens, N.; Mardulyn, P.; Smits, G. NOVOPlasty: De novo assembly of organelle genomes from whole genome data. Nucleic Acids Res. 2017, 45, e18. [Google Scholar] [CrossRef]
- Jin, J.J.; Yu, W.B.; Yang, J.B.; Song, Y.; DePamphilis, C.W.; Yi, T.S.; Li, D.Z. GetOrganelle: A fast and versatile toolkit for accurate de novo assembly of organelle genomes. Genome Biol. 2020, 21, 241. [Google Scholar] [CrossRef]
- Freudenthal, J.A.; Pfaff, S.; Terhoeven, N.; Korte, A.; Ankenbrand, M.J.; Förster, F. A systematic comparison of chloroplast genome assembly tools. Genome Biol. 2020, 21, 254. [Google Scholar] [CrossRef]
- Tillich, M.; Lehwark, P.; Pellizzer, T.; Ulbricht-Jones, E.S.; Fischer, A.; Bock, R.; Greiner, S. GeSeq—Versatile and accurate annotation of organelle genomes. Nucleic Acids Res. 2017, 45, W6–W11. [Google Scholar] [CrossRef]
- Laslett, D.; Canback, B. ARAGORN, A program to detect tRNA genes and tmRNA genes in nucleotide sequences. Nucleic Acids Res. 2004, 32, 11–16. [Google Scholar] [CrossRef] [PubMed]
- Greiner, S.; Lehwark, P.; Bock, R. OrganellarGenomeDRAW (OGDRAW) version 1.3.1: Expanded toolkit for the graphical visualization of organellar genomes. Nucleic Acids Res. 2019, 47, W59–W64. [Google Scholar] [CrossRef]
- Frazer, K.A.; Pachter, L.; Poliakov, A.; Rubin, E.M.; Dubchak, I. VISTA: Computational tools for comparative genomics. Nucleic Acids Res. 2004, 32, 273–279. [Google Scholar] [CrossRef] [PubMed]
- Chen, Y.; Yang, Y.; Li, J.; Jin, Y.; Liu, Q.; Zhang, Y. The complete chloroplast genome sequence of a medicinal mangrove tree Ceriops tagal and its phylogenetic analysis. Mitochondrial DNA Part B Resour. 2019, 4, 267–268. [Google Scholar] [CrossRef]
- Amiryousefi, A.; Hyvönen, J.; Poczai, P. IRscope: An online program to visualize the junction sites of chloroplast genomes. Bioinformatics 2018, 34, 3030–3031. [Google Scholar] [CrossRef]
- Kurtz, S.; Choudhuri, J.V.; Ohlebusch, E.; Schleiermacher, C.; Stoye, J.; Giegerich, R. REPuter: The manifold applications of repeat analysis on a genomic scale. Nucleic Acids Res. 2001, 29, 4633–4642. [Google Scholar] [CrossRef]
- Thiel, T.; Michalek, W.; Varshney, R.K.; Graner, A. Exploiting EST databases for the development and characterization of gene-derived SSR-markers in barley (Hordeum vulgare L.). Theor. Appl. Genet. 2003, 106, 411–422. [Google Scholar] [CrossRef]
- Kumar, S.; Stecher, G.; Li, M.; Knyaz, C.; Tamura, K. MEGA X: Molecular evolutionary genetics analysis across computing platforms. Mol. Biol. Evol. 2018, 35, 1547–1549. [Google Scholar] [CrossRef]
- Stamatakis, A. RAxML version 8: A tool for phylogenetic analysis and post-analysis of large phylogenies. Bioinformatics 2014, 30, 1312–1313. [Google Scholar] [CrossRef]
- Edgar, R.C. MUSCLE: Multiple sequence alignment with high accuracy and high throughput. Nucleic Acids Res. 2004, 32, 1792–1797. [Google Scholar] [CrossRef]
- Wang, D.; Zhang, Y.; Zhang, Z.; Zhu, J.; Yu, J. KaKs_Calculator 2.0: A toolkit incorporating gamma-series methods and sliding window strategies. Genom. Proteom. Bioinform. 2010, 8, 77–80. [Google Scholar] [CrossRef]
- Mo, Z.; Lou, W.; Chen, Y.; Jia, X.; Zhai, M.; Guo, Z.; Xuan, J. The chloroplast genome of Carya illinoinensis: Genome structure, adaptive evolution, and phylogenetic analysis. Forests 2020, 11, 207. [Google Scholar] [CrossRef]
- R Core Team. R: A Language and Environment for Statistical Computing; R Foundation for Statistical Computing: Vienna, Austria, 2021; Volume 1, ISBN 3900051070. [Google Scholar]
- Untergasser, A.; Cutcutache, I.; Koressaar, T.; Ye, J.; Faircloth, B.C.; Remm, M.; Rozen, S.G. Primer3-new capabilities and interfaces. Nucleic Acids Res. 2012, 40, e115. [Google Scholar] [CrossRef] [PubMed]
- Zhang, Y.; Zhong, J.; Yuan, C.C. Complete chloroplast genome of a mangrove natural hybrid, Rhizophora × lamarckii. Mitochondrial DNA Part B Resour. 2019, 4, 1465–1466. [Google Scholar] [CrossRef]
- Li, Y.C.; Li, S.Y.; Zhang, T.H.; Qin, L.L.; An, Y.D.; Pang, Y.K.; Jiang, G.F. Characterization of the complete chloroplast genome of mangrove Rhizophora apiculata Blume (Rhizophoraceae). Mitochondrial DNA Part B Resour. 2021, 6, 2071–2073. [Google Scholar] [CrossRef]
- Li, C.T.; Guo, P.; Huang, H.R.; Pei, N.C.; Shi, M.M.; Yan, H.F. The complete chloroplast genome of Rhizophora stylosa and its phylogenetic implications. Mitochondrial DNA Part B Resour. 2019, 4, 374–375. [Google Scholar] [CrossRef]
- Li, H.; Ma, D.; Li, J.; Wei, M.; Zheng, H.; Zhu, X. Illumina sequencing of complete chloroplast genome of Avicennia marina, a pioneer mangrove species. Mitochondrial DNA Part B Resour. 2020, 5, 2131–2132. [Google Scholar] [CrossRef]
- Li, C.T.; Pei, N.C.; Yin, Y.; Yan, H.F.; Shi, M.-M.; Huang, H.-R. The complete chloroplast genome of a true mangrove Sonneratia apetala and its phylogenetic implications. Mitochondrial DNA Part B Resour. 2019, 4, 160–161. [Google Scholar] [CrossRef]
- Yu, T.; Hinsinger, D.D.; Strijk, J.S.; Wee, A.K.S. The first complete chloroplast genome of a major mangrove species Sonneratia alba Sm. and its implications on conservation efforts. Mitochondrial DNA Part B Resour. 2018, 3, 500–502. [Google Scholar] [CrossRef]
- Hameed, A.; Ahmed, M.Z.; Hussain, T.; Aziz, I.; Ahmad, N.; Gul, B.; Nielsen, B.L. Effects of salinity stress on chloroplast structure and function. Cells 2021, 10, 2023. [Google Scholar] [CrossRef]
- Daniell, H.; Lin, C.S.; Yu, M.; Chang, W.J. Chloroplast genomes: Diversity, evolution, and applications in genetic engineering. Genome Biol. 2016, 17, 134. [Google Scholar] [CrossRef]
- Jansen, R.K.; Cai, Z.; Raubeson, L.A.; Daniell, H.; Depamphilis, C.W.; Leebens-Mack, J.; Müller, K.F.; Guisinger-Bellian, M.; Haberle, R.C.; Hansen, A.K.; et al. Analysis of 81 genes from 64 plastid genomes resolves relationships in angiosperms and identifies genome-scale evolutionary patterns. Proc. Natl. Acad. Sci. USA 2007, 104, 19369–19374. [Google Scholar] [CrossRef] [PubMed]
- Millen, R.S.; Olmstead, R.G.; Adams, K.L.; Palmer, J.D.; Lao, N.T.; Heggie, L.; Kavanagh, T.A.; Hibberd, J.M.; Gray, J.C.; Morden, C.W.; et al. Many parallel losses of infa from chloroplast dna during angiosperm evolution with multiple independent transfers to the nucleus. Plant Cell 2001, 13, 645–658. [Google Scholar] [CrossRef] [PubMed]
- Kersten, B.; Rampant, P.F.; Mader, M.; Le Paslier, M.C.; Bounon, R.; Berard, A.; Vettori, C.; Schroeder, H.; Leplé, J.C.; Fladung, M. Genome sequences of Populus tremula chloroplast and mitochondrion: Implications for holistic poplar breeding. PLoS ONE 2016, 11, e0147209. [Google Scholar] [CrossRef]
- Li, Y.; Zhou, J.G.; Chen, X.L.; Cui, Y.X.; Xu, Z.C.; Li, Y.H.; Song, J.Y.; Duan, B.Z.; Yao, H. Gene losses and partial deletion of small single-copy regions of the chloroplast genomes of two hemiparasitic Taxillus species. Sci. Rep. 2017, 7, 12834. [Google Scholar] [CrossRef]
- Mehmood, F.; Abdullah; Ubaid, Z.; Shahzadi, I.; Ahmed, I.; Waheed, M.T.; Poczai, P.; Mirza, B. Plastid genomics of Nicotiana (Solanaceae): Insights into molecular evolution, positive selection and the origin of the maternal genome of Aztec tobacco (Nicotiana rustica). PeerJ 2020, 8, e9552. [Google Scholar] [CrossRef]
- Alqahtani, A.A.; Jansen, R.K. The evolutionary fate of rpl32 and rps16 losses in the Euphorbia schimperi (Euphorbiaceae) plastome. Sci. Rep. 2021, 11, 7466. [Google Scholar] [CrossRef]
- Guo, X.; Castillo-Ramírez, S.; González, V.; Bustos, P.; Fernández-Vázquez, J.L.; Santamaría, R.; Arellano, J.; Cevallos, M.A.; Dávila, G. Rapid evolutionary change of common bean (Phaseolus vulgaris L.) plastome, and the genomic diversification of legume chloroplasts. BMC Genom. 2007, 8, 228. [Google Scholar] [CrossRef]
- Ueda, M.; Nishikawa, T.; Fujimoto, M.; Takanashi, H.; Arimura, S.I.; Tsutsumi, N.; Kadowaki, K.I. Substitution of the gene for chloroplast RPS16 was assisted by generation of a dual targeting signal. Mol. Biol. Evol. 2008, 25, 1566–1575. [Google Scholar] [CrossRef]
- Raman, G.; Park, V.; Kwak, M.; Lee, B.; Park, S.J. Characterization of the complete chloroplast genome of Arabis stellari and comparisons with related species. PLoS ONE 2017, 12, e0183197. [Google Scholar] [CrossRef]
- Raman, G.; Park, S.; Lee, E.M.; Park, S.J. Evidence of mitochondrial DNA in the chloroplast genome of Convallaria keiskei and its subsequent evolution in the Asparagales. Sci. Rep. 2019, 9, 5028. [Google Scholar] [CrossRef] [PubMed]
- Abdullah; Henriquez, C.L.; Mehmood, F.; Hayat, A.; Sammad, A.; Waseem, S.; Waheed, M.T.; Matthews, P.J.; Croat, T.B.; Poczai, P.; et al. Chloroplast genome evolution in the Dracunculus clade (Aroideae, Araceae). Genomics 2021, 113, 183–192. [Google Scholar] [CrossRef] [PubMed]
- Henriquez, C.L.; Abdullah; Ahmed, I.; Carlsen, M.M.; Zuluaga, A.; Croat, T.B.; McKain, M.R. Evolutionary dynamics of chloroplast genomes in subfamily Aroideae (Araceae). Genomics 2020, 112, 2349–2360. [Google Scholar] [CrossRef] [PubMed]
- Khan, A.; Asaf, S.; Khan, A.L.; Shehzad, T.; Al-rawahi, A.; Al-harrasi, A. Comparative chloroplast genomics of endangered euphorbia species: Insights into hotspot divergence, repetitive sequence variation, and phylogeny. Plants 2020, 9, 199. [Google Scholar] [CrossRef]
- Okumura, S.; Sawada, M.; Park, Y.W.; Hayashi, T.; Shimamura, M.; Takase, H.; Tomizawa, K.I. Transformation of poplar (Populus alba) plastids and expression of foreign proteins in tree chloroplasts. Transgenic Res. 2006, 15, 637–646. [Google Scholar] [CrossRef]
- Shrestha, B.; Gilbert, L.E.; Ruhlman, T.A.; Jansen, R.K. Rampant nuclear transfer and substitutions of plastid genes in Passiflora. Genome Biol. Evol. 2020, 12, 1313–1329. [Google Scholar] [CrossRef]
- Ueda, M.; Fujimoto, M.; Arimura, S.I.; Murata, J.; Tsutsumi, N.; Kadowaki, K.I. Loss of the rpl32 gene from the chloroplast genome and subsequent acquisition of a preexisting transit peptide within the nuclear gene in Populus. Gene 2007, 402, 51–56. [Google Scholar] [CrossRef]
- Yaradua, S.S.; Alzahrani, D.A.; Albokhary, E.J.; Abba, A.; Bello, A. Complete chloroplast genome sequence of Justicia flava: Genome comparative analysis and phylogenetic relationships among Acanthaceae. Biomed Res. Int. 2019, 2019, 4370258. [Google Scholar] [CrossRef]
- Alzahrani, D.A.; Yaradua, S.S.; Yaradua, S.S.; Albokhari, E.J.; Albokhari, E.J.; Abba, A. Complete chloroplast genome sequence of Barleria prionitis, comparative chloroplast genomics and phylogenetic relationships among Acanthoideae. BMC Genom. 2020, 21, 393. [Google Scholar] [CrossRef]
- Zhu, A.; Guo, W.; Gupta, S.; Fan, W.; Mower, J.P. Evolutionary dynamics of the plastid inverted repeat: The effects of expansion, contraction, and loss on substitution rates. New Phytol. 2016, 209, 1747–1756. [Google Scholar] [CrossRef]
- Li, Y.C.; Korol, A.B.; Fahima, T.; Nevo, E. Microsatellites within genes: Structure, function, and evolution. Mol. Biol. Evol. 2004, 21, 991–1007. [Google Scholar] [CrossRef] [PubMed]
- Roth, C.; Liberles, D.A. A systematic search for positive selection in higher plants (Embryophytes). BMC Plant Biol. 2006, 6, 12. [Google Scholar] [CrossRef] [PubMed][Green Version]
- Fargo, D.C.; Boynton, J.E.; Gillham, N.W. Chloroplast ribosomal protein S7 of chlamydomonas binds to chloroplast mRNA leader sequences and may be involved in translation initiation. Plant Cell 2001, 13, 207–218. [Google Scholar] [CrossRef]
- Redwan, R.M.; Saidin, A.; Kumar, S.V. Complete chloroplast genome sequence of MD-2 pineapple and its comparative analysis among nine other plants from the subclass Commelinidae. BMC Plant Biol. 2015, 15, 196. [Google Scholar] [CrossRef] [PubMed]
- Han, K.; Shi, C.; Li, L.; Seim, I.; Lee, S.M.Y.; Xu, X.; Yang, H.; Fan, G.; Liu, X. Lineage-specific evolution of mangrove plastid genomes. Plant Genome 2020, 13, e20019. [Google Scholar] [CrossRef] [PubMed]
- Kim, K.; Nguyen, V.B.; Dong, J.; Wang, Y.; Park, J.Y.; Lee, S.C.; Yang, T.J. Evolution of the Araliaceae family inferred from complete chloroplast genomes and 45S nrDNAs of 10 Panax-related species. Sci. Rep. 2017, 7, 4917. [Google Scholar] [CrossRef] [PubMed]
- Fleischmann, T.T.; Scharff, L.B.; Alkatib, S.; Hasdorf, S.; Schöttler, M.A.; Bock, R. Nonessential plastid-encoded ribosomal proteins in tobacco: A developmental role for plastid translation and implications for reductive genome evolution. Plant Cell 2011, 23, 3137–3155. [Google Scholar] [CrossRef]







| Genome and Gene Features | C. decandra | C. zippeliana | C. tagal | A. lanata |
|---|---|---|---|---|
| Genome size (bp) | 166,650 | 166,083 | 164,432 | 148,264 |
| LSC (bp) | 94,635 | 95,217 | 92,660 | 87,995 |
| SSC (bp) | 18,945 | 18,054 | 19,158 | 17,949 |
| IR (bp) | 26,535 | 26,406 | 26,307 | 21,160 |
| LSC GC content (%) | 32.07 | 31.67 | 32.59 | 36.77 |
| SSC GC content (%) | 29.28 | 29.63 | 29.31 | 32.72 |
| IR GC content (%) | 41.90 | 41.86 | 42.17 | 44.26 |
| Genome GC content (%) | 34.89 | 34.69 | 35.28 | 38.42 |
| No. of total genes | 129 | 129 | 129 | 125 |
| No. of protein coding genes | 84 | 83 | 84 | 81 |
| No. of rRNAs | 8 | 8 | 8 | 8 |
| No. of tRNAs | 37 | 38 | 37 | 36 |
| No. of duplicated genes | 17 | 17 | 17 | 13 |
| Pseudogenes | 1 (rps19) | 1 (rps19) | 1 (rps19) | 3 (rpl16, rps16, ycf2) |
| Gene gain/loss | - | −rpl32 | - | +infA |
| Category | Group of Genes | Gene Name |
|---|---|---|
| Photosynthesis | Subunits of Photosystem I | psaA, B, C, I, J |
| Subunits of Photosystem II | psbA, B, C, D, E, F, H, I, J, K, L, M, N, T, Z | |
| Subunits of NADH dehydrogenase | ndhA *, B *(×2), C, D, E, F, G, H, I, J, K | |
| Cytochrome b6/f complex | petA, B *, D *, G, L, N | |
| ATP synthase | atpA, B, E, F *, H, I | |
| Rubisco | rbcL | |
| Self-replication | Large subunit of ribosomal proteins | rpl2 *(×2), 14, 16 *, e, 20, 22, 23(×2), 32b, 33, 36 |
| Small subunit of ribosomal proteins | rps2, 3, 4, 7(×2), 8, 11, 12 **(×2), 14, 15, 16d, 18, 19 | |
| DNA dependent RNA polymerase | rpoA, B, C1 *, C2 | |
| rRNA genes | rrn4.5(×2), 5(×2), 16(×2), 23 *(×2) | |
| tRNA genes | trnA-UGC *(×2), trnC-ACA *, trnC-GCA, trnD-GUC, | |
| trnE-UUC *(×3), trnF-GAA, trnG-GCC, trnH-GUG, | ||
| trnK-UUU *, trnL-CAA(×2), trnL-UAA *, trnL-UAG, | ||
| trnM-CAU(×4), trnN-GUU(×2), trnP-UGG, | ||
| trnQ-UUG, trnR-ACG(×2), trnR-UCU, trnS-GCU, | ||
| trnS-GGA, trnS-UGA, trnT-CGU *, trnT-GGU, | ||
| trnT-UGU, trnV-GAC(×2), trnW-CCA, trnY-AUAa | ||
| trnY-GUA | ||
| Other genes | Maturase | matK |
| Subunit Acetyl-CoA-Carboxylate | accD | |
| Envelop membrane protein | cemA | |
| Protease | clpP ** | |
| C-type cytochrome synthesis gene | ccsA | |
| Translation initiation factor gene | infAd | |
| Unknown | Conserved open reading frames | ycf1, 2 (×2) e, 3 **, 4 |
| Pseudogene | rps19c, rps16f, rpl16f, ycf2f |
| Species | SSR Type | Total Number | The Number of SSRs for Compound Formation | |||||
|---|---|---|---|---|---|---|---|---|
| Mono- | Di- | Tri- | Tetra- | Penta- | Hexa- | |||
| CD | 74 | 25 | 14 | 21 | 5 | 3 | 142 | 36 |
| CZ | 78 | 40 | 21 | 29 | 7 | 2 | 177 | 64 |
| CT | 81 | 17 | 20 | 23 | 4 | 1 | 146 | 35 |
| CT a | 79 | 16 | 20 | 22 | 4 | 1 | 142 | 35 |
| CT b | 78 | 16 | 20 | 23 | 4 | 1 | 142 | 35 |
| AL | 38 | 2 | 3 | 7 | 0 | 0 | 50 | 5 |
| AM a | 34 | 2 | 2 | 6 | 0 | 0 | 44 | 1 |
| AM b | 49 | 1 | 4 | 7 | 0 | 0 | 61 | 4 |
Publisher’s Note: MDPI stays neutral with regard to jurisdictional claims in published maps and institutional affiliations. |
© 2022 by the authors. Licensee MDPI, Basel, Switzerland. This article is an open access article distributed under the terms and conditions of the Creative Commons Attribution (CC BY) license (https://creativecommons.org/licenses/by/4.0/).
Share and Cite
Ruang-areerate, P.; Yoocha, T.; Kongkachana, W.; Phetchawang, P.; Maknual, C.; Meepol, W.; Jiumjamrassil, D.; Pootakham, W.; Tangphatsornruang, S. Comparative Analysis and Phylogenetic Relationships of Ceriops Species (Rhizophoraceae) and Avicennia lanata (Acanthaceae): Insight into the Chloroplast Genome Evolution between Middle and Seaward Zones of Mangrove Forests. Biology 2022, 11, 383. https://doi.org/10.3390/biology11030383
Ruang-areerate P, Yoocha T, Kongkachana W, Phetchawang P, Maknual C, Meepol W, Jiumjamrassil D, Pootakham W, Tangphatsornruang S. Comparative Analysis and Phylogenetic Relationships of Ceriops Species (Rhizophoraceae) and Avicennia lanata (Acanthaceae): Insight into the Chloroplast Genome Evolution between Middle and Seaward Zones of Mangrove Forests. Biology. 2022; 11(3):383. https://doi.org/10.3390/biology11030383
Chicago/Turabian StyleRuang-areerate, Panthita, Thippawan Yoocha, Wasitthee Kongkachana, Phakamas Phetchawang, Chatree Maknual, Wijarn Meepol, Darunee Jiumjamrassil, Wirulda Pootakham, and Sithichoke Tangphatsornruang. 2022. "Comparative Analysis and Phylogenetic Relationships of Ceriops Species (Rhizophoraceae) and Avicennia lanata (Acanthaceae): Insight into the Chloroplast Genome Evolution between Middle and Seaward Zones of Mangrove Forests" Biology 11, no. 3: 383. https://doi.org/10.3390/biology11030383
APA StyleRuang-areerate, P., Yoocha, T., Kongkachana, W., Phetchawang, P., Maknual, C., Meepol, W., Jiumjamrassil, D., Pootakham, W., & Tangphatsornruang, S. (2022). Comparative Analysis and Phylogenetic Relationships of Ceriops Species (Rhizophoraceae) and Avicennia lanata (Acanthaceae): Insight into the Chloroplast Genome Evolution between Middle and Seaward Zones of Mangrove Forests. Biology, 11(3), 383. https://doi.org/10.3390/biology11030383

