Characterization of the In Vitro Cultured Ovarian Cells in the Asian Yellow Pond Turtle (Mauremys mutica)
Abstract
Simple Summary
Abstract
1. Introduction
2. Materials and Methods
2.1. Animals and Samples
2.2. Isolation of Cells
2.3. Culture of Cells
2.4. Detection of Alkaline Phosphatase Activity
2.5. Karyotype Analysis
2.6. RNA Preparation and Sequencing
2.7. RT-PCR Analysis
2.8. Exposure to Retinoic Acid (RA)
2.9. Fluorescent Immunostaining
2.10. Infection with HBAD-tdrd7-EGFP Adenovirus
3. Results
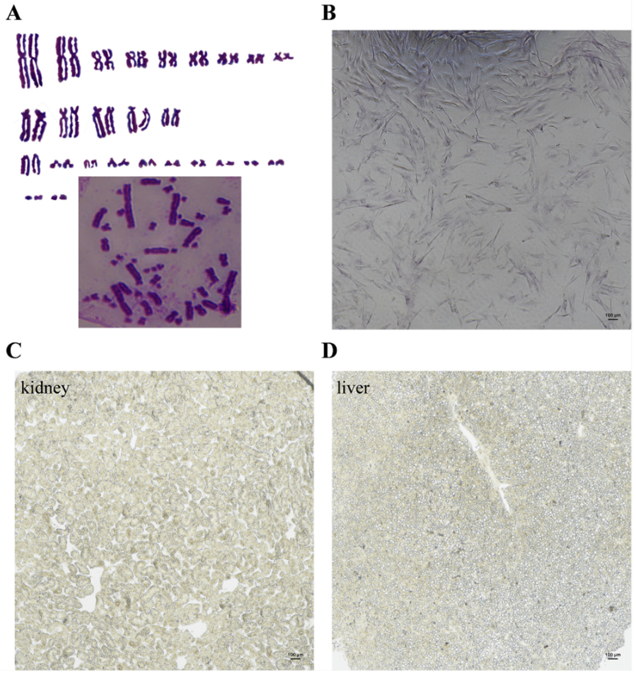
3.1. Morphological and Karyotypic Characterization of Ovarian Cells
3.2. Illumina Sequencing and Gene Annotation
3.3. Analysis of Marker Genes in the YTO2 cells
3.4. Immunofluorescence Identification of Germ Cell-Specific and Stem Cell-Specific Markers in the YTO2 Cells
3.5. Meiosis Initiated by RA Induction
3.6. Infection with HBAD-tdrd7-EGFP Adenovirus
4. Discussion
4.1. The Characteristics of YTO2 cells
4.2. The Germline Properties of YTO2 Cells
4.3. The Potential Applications of YTO2 Cells
5. Conclusions
Supplementary Materials
Author Contributions
Funding
Institutional Review Board Statement
Informed Consent Statement
Data Availability Statement
Conflicts of Interest
References
- Brinster, R.L. Male germline stem cells: From mice to men. Science 2007, 316, 404–405. [Google Scholar] [CrossRef] [PubMed]
- Mclaren, A. Meiosis and differentiation of mouse germ cells. Symp. Soc. Exp. Biol. 1984, 38, 7–23. [Google Scholar] [PubMed]
- Bukovsky, A.; Caudle, M.R.; Svetlikova, M.; Wimalasena, J.; Ayala, M.E.; Dominguez, R. Oogenesis in adult mammals, including humans: A review. Endocrine 2005, 26, 301–316. [Google Scholar] [CrossRef]
- White, Y.A.; Woods, D.C.; Takai, Y.; Ishihara, O.; Seki, H.; Tilly, J.L. Oocyte formation by mitotically active germ cells purified from ovaries of reproductive-age women. Nat. Med. 2012, 18, 413–421. [Google Scholar] [CrossRef] [PubMed]
- Sheng, X.; Tian, C.; Liu, L.; Wang, L.; Ye, X.; Li, J.; Zeng, M.; Liu, L. Characterization of oogonia stem cells in mice by Fragilis. Protein Cell 2019, 10, 825–831. [Google Scholar] [CrossRef] [PubMed]
- Zou, K.; Yuan, Z.; Yang, Z.; Luo, H.; Sun, K.; Zhou, L.; Xiang, J.; Shi, L.; Yu, Q.; Zhang, Y.; et al. Production of offspring from a germline stem cell line derived from neonatal ovaries. Nat. Cell Biol. 2009, 11, 631–636. [Google Scholar] [CrossRef]
- Parte, S.; Bhartiya, D.; Sanzgiri, J.; Daithankar, V.; Salvi, V.; Zaveri, K.; Hinduja, I. Detection, characterization, and spontaneous differentiation in vitro of very small embryonic-like putative stem cells in adult mammalian ovary. Stem Cells Dev. 2011, 20, 1451–1464. [Google Scholar] [CrossRef]
- Woods, D.; Tilly, J. An evolutionary perspective on adult female germline stem cell function from flies to humans. Semin. Reprod. Med. 2013, 31, 024–032. [Google Scholar]
- Silva, J.R.V.; van den Hurk, R.; Figueiredo, J.R. Ovarian follicle development in vitro and oocyte competence: Advances and challenges for farm animals. Domest. Anim. Endocrinol. 2016, 55, 123–135. [Google Scholar] [CrossRef]
- Dunlop, C.; Telfer, E.; Anderson, R. Ovarian germline stem cells. Stem Cell Res. Ther. 2014, 5, 98. [Google Scholar] [CrossRef]
- Woods, D.C.; White, Y.A.; Tilly, J.L. Purification of oogonial stem cells from adult mouse and human ovaries: An assessment of the literature and a view toward the future. Reprod. Sci. 2013, 20, 7–15. [Google Scholar] [CrossRef] [PubMed]
- Hummitzsch, K.; Anderson, R.A.; Wilhelm, D.; Wu, J.; Telfer, E.E.; Russell, D.L.; Robertson, S.A.; Rodgers, R.J. Stem cells, progenitor cells, and lineage decisions in the ovary. Endocr. Rev. 2015, 36, 65–91. [Google Scholar] [CrossRef] [PubMed]
- Sriraman, K.; Bhartiya, D.; Anand, S.; Bhutda, S. Mouse ovarian very small embryonic-like stem cells resist chemotherapy and retain ability to initiate oocyte-specific differentiation. Reprod. Sci. 2015, 22, 884–903. [Google Scholar] [CrossRef] [PubMed]
- Joyce, W.G.; Gauthier, J.A. Palaeoecology of triassic stem turtles sheds new light on turtle origins. Proc. Natl. Acad. Sci. USA 2004, 271, 1–5. [Google Scholar] [CrossRef] [PubMed]
- Shine, R. Reptiles. Curr. Biol. 2013, 23, R227–R231. [Google Scholar] [CrossRef] [PubMed]
- Xu, H.; Zhu, X.; Li, W.; Tang, Z.; Zhao, Y.; Wu, X. Isolation and in vitro culture of ovarian stem cells in Chinese soft-shell turtle (Pelodiscus sinensis). J. Cell Biochem. 2018, 119, 7667–7677. [Google Scholar] [CrossRef]
- Gong, S.P.; Chow, A.T.; Fong, J.J.; Shi, H.T. The chelonian trade in the largest pet market in China: Scale, scope and impact on turtle conservation. Oryx 2009, 43, 213–216. [Google Scholar] [CrossRef]
- Liu, X.; Li, W.; Ye, Z.; Zhu, Y.; Zhu, X. Morphological characterization and phylogenetic relationships of Indochinese box turtles-The Cuora galbinifrons complex. Ecol. Evol. 2019, 9, 13030–13042. [Google Scholar] [CrossRef]
- Wang, Y.; Liu, X.; Zhao, J.; Ouyang, S.; Li, W.; Zhu, J.; Zhu, Y.; Zhu, X. Molecular cloning of ESR1, BMPR1B, and FOXL2 and differential expressions depend on maternal age and size during breeding season in cultured Asian yellow pond turtle (Mauremys mutica). Comp. Biochem. Physiol. Part B Biochem. Mol. Biol. 2019, 232, 108–120. [Google Scholar] [CrossRef]
- Liu, X.; Zhu, Y.; Wang, Y.; Li, W.; Hong, X.; Zhu, X.; Xu, H. Comparative transcriptome analysis reveals the sexual dimorphic expression profiles of mRNAs and non-coding RNAs in the Asian yellow pond turtle (Meauremys mutica). Gene 2020, 750, 144756. [Google Scholar] [CrossRef]
- Wang, Y.; Zhao, J.; Liu, X.; Li, W.; Zhu, X. Identification of SNPs and copy number variations in mitochondrial genes related to the reproductive capacity of the cultured Asian yellow pond turtle (Mauremys mutica). Anim. Reprod. Sci. 2019, 205, 78–87. [Google Scholar] [CrossRef] [PubMed]
- Hong, Y.; Liu, T.; Zhao, H.; Xu, H.; Wang, W.; Liu, R.; Chen, T.; Deng, J.; Gui, J. Establishment of a normal medakafish spermatogonial cell line capable of sperm production in vitro. Proc. Natl. Acad. Sci. USA 2004, 101, 8011–8016. [Google Scholar] [CrossRef] [PubMed]
- Kim, D.; Langmead, B.; Salzberg, S.L. HISAT: A fast spliced aligner with low memory requirements. Nat. Methods 2015, 12, 357–360. [Google Scholar] [CrossRef] [PubMed]
- Trapnell, C.; Williams, B.A.; Pertea, G.; Mortazavi, A.; Kwan, G.; van Baren, M.J.; Salzberg, S.L.; Wold, B.J.; Pachter, L. Transcript assembly and quantification by RNA-Seq reveals unannotated transcripts and isoform switching during cell differentiation. Nat. Biotechnol. 2010, 28, 511–515. [Google Scholar] [CrossRef] [PubMed]
- Roberts, A.; Pachter, L. Streaming fragment assignment for real-time analysis of sequencing experiments. Nat. Methods 2013, 10, 71–73. [Google Scholar] [CrossRef] [PubMed]
- Hou, L.; Wang, J.; Li, X.; Wang, H.; Liu, G.; Xu, B.; Mei, X.; Hua, X.; Wu, J. Characteristics of female germline stem cells from porcine ovaries at sexual maturity. Cell Transplant. 2018, 27, 1195–1202. [Google Scholar] [CrossRef] [PubMed]
- Zolbin, M.M.; Ersoy, G.S.; Aliakbari, F.; Amidi, F.; Daghigh, F.; Abbasi, M.; Johnson, J. Basal characterization and in vitro differentiation of putative stem cells derived from the adult mouse ovary. In Vitro Cell Dev. Biol. Anim. 2020, 56, 59–66. [Google Scholar] [CrossRef]
- Xu, H.; Li, M.; Gui, J.; Hong, Y. Fish germ cells. Sci. China Life Sci. 2010, 53, 435–446. [Google Scholar] [CrossRef]
- Chassot, A.A.; Le Rolle, M.; Jolivet, G.; Stevant, I. Retinoic acid synthesis by ALDH1A proteins is dispensable for meiosis initiation in the mouse fetal ovary. Sci. Adv. 2020, 6, eaaz1261. [Google Scholar] [CrossRef]
- Tan, H.; Wang, J.J.; Cheng, S.F.; Ge, W.; Sun, Y.C.; Sun, X.F.; Sun, R.; Li, L.; Li, B.; Shen, W. Retinoic acid promotes the proliferation of primordial germ cell-like cells differentiated from mouse skin-derived stem cells in vitro. Theriogenology 2016, 85, 408–418. [Google Scholar] [CrossRef]
- Di Fulvio, M.; Gomez-Cambronero, J. Phospholipase D (PLD) gene expression in human neutrophils and HL-60 differentiation. J. Leukoc. Biol. 2005, 77, 999–1007. [Google Scholar] [CrossRef] [PubMed]
- Douer, D.; Koeffler, H.P. Retinoic acid enhances growth of human early erythroid progenitor cells in vitro. J. Clin. Investig. 1982, 69, 1039–1041. [Google Scholar] [CrossRef] [PubMed]
- Xu, H.; Gui, J.; Hong, Y. Differential expression of vasa RNA and protein during spermatogenesis and oogenesis in the gibel carp (Carassius auratus gibelio), a bisexually and gynogenetically reproducing vertebrate. Dev. Dyn. 2005, 233, 872–882. [Google Scholar] [CrossRef]
- Liu, X.; Li, W.; Yang, Y.; Chen, K.; Li, Y.; Zhu, X.; Ye, H.; Xu, H. Transcriptome profiling of the ovarian cells at the single-cell resolution in adult Asian seabass. Front. Cell Dev. Biol. 2021, 9, 647892. [Google Scholar] [CrossRef] [PubMed]
- Tang, J.X.; Li, J.; Cheng, J.M.; Hu, B.; Sun, T.C.; Li, X.Y.; Batool, A.; Wang, Z.P.; Wang, X.X.; Deng, S.L.; et al. Requirement for CCNB1 in mouse spermatogenesis. Cell Death Dis. 2017, 8, e3142. [Google Scholar] [CrossRef] [PubMed]
- Goto, M.; Eddy, E.M. Speriolin is a novel spermatogenic cell-specific centrosomal protein associated with the seventh WD motif of Cdc20. J. Biol. Chem. 2004, 279, 42128–42138. [Google Scholar] [CrossRef]
- Zhang, Q.J.; Luo, Y.J.; Wu, H.R.; Chen, Y.T.; Yu, J.K. Expression of germline markers in three species of amphioxus supports a preformation mechanism of germ cell development in cephalochordates. EvoDevo 2013, 4, 17. [Google Scholar] [CrossRef]
- Gao, H.; Wen, H.; Cao, C.; Dong, D.; Yang, C.; Xie, S.; Zhang, J.; Huang, X.; Huang, X.; Yuan, S.; et al. Overexpression of microRNA-10a in germ cells causes male infertility by targeting Rad51 in mouse and human. Front. Physiol. 2019, 10, 765. [Google Scholar] [CrossRef]
- Ilaslan, E.; Kwiatkowska, K.; Smialek, M.J.; Sajek, M.P.; Lemanska, Z.; Alla, M.; Janecki, D.M.; Jaruzelska, J.; Kusz-Zamelczyk, K. Distinct roles of NANOS1 and NANOS3 in the cell cycle and NANOS3-PUM1-FOXM1 axis to control G2/M phase in a human primordial germ cell model. Int. J. Mol. Sci. 2022, 23, 6592. [Google Scholar] [CrossRef]
- McElroy, S.L.; Kim, J.H.; Kim, S.; Jeong, Y.W.; Lee, E.G.; Park, S.M.; Hossein, M.S.; Koo, O.J.; Abul Hashem, M.D.; Jang, G.; et al. Effects of culture conditions and nuclear transfer protocols on blastocyst formation and mRNA expression in pre-implantation porcine embryos. Theriogenology 2008, 69, 416–425. [Google Scholar] [CrossRef]
- Audet-Walsh, É.; Bellemare, J.; Lacombe, L.; Fradet, Y.; Fradet, V.; Douville, P.; Guillemette, C.; Lévesque, É. The impact of germline genetic variations in hydroxysteroid (17-beta) dehydrogenases on prostate cancer outcomes after prostatectomy. Eur. Urol. 2012, 62, 88–96. [Google Scholar] [CrossRef] [PubMed]
- Parisi, S.; Passaro, F.; Aloia, L.; Manabe, I.; Nagai, R.; Pastore, L.; Russo, T. Klf5 is involved in self-renewal of mouse embryonic stem cells. J. Cell Sci. 2008, 121, 2629–2634. [Google Scholar] [CrossRef] [PubMed]
- Nguyen, H.H.; Nhu, B.L.Q.; Uyen, N.N.P.; Nguyen, V.T.; Bui, H.T. Isolation of female germline stem cells from porcine ovarian tissue and differentiation into oocyte-like cells. J. Reprod. Dev. 2019, 65, 423–432. [Google Scholar] [CrossRef] [PubMed]
- Silvestris, E.; Cafforio, P.; D’Oronzo, S.; Felici, C.; Silvestris, F.; Loverro, G. In vitro differentiation of human oocyte-like cells from oogonial stem cells: Single-cell isolation and molecular characterization. Hum. Reprod. 2018, 33, 64–473. [Google Scholar] [CrossRef] [PubMed]
- Gan, X.; Chen, D.; Deng, Y.; Yuan, J.; Kang, B.; Qiu, J.; Sun, W.; Han, C.; Hu, J.; Li, L.; et al. Establishment of an in vitro culture model of theca cells from hierarchical follicles in ducks. Biosci. Rep. 2017, 37, BSR20160491. [Google Scholar] [CrossRef]
- Fan, L.; Moon, J.; Wong, T.T.; Crodian, J.; Collodi, P. Zebrafish primordial germ cell cultures derived from vasa::RFP transgenic embryos. Stem Cells Dev. 2008, 17, 585–597. [Google Scholar] [CrossRef]
- Li, Z.; Li, M.; Hong, N.; Yi, M.; Hong, Y. Formation and cultivation of medaka primordial germ cells. Cell Tissue Res. 2014, 357, 71–81. [Google Scholar] [CrossRef]
- Martin, J.J.; Woods, D.C.; Tilly, J.L. Implications and current limitations of oogenesis from female germline or oogonial stem cells in adult mammalian ovaries. Cells 2019, 8, 93. [Google Scholar] [CrossRef]
- Stimpfel, M.; Skutella, T.; Cvjeticanin, B.; Meznaric, M.; Dovc, P.; Novakovic, S.; Cerkovnik, P.; Vrtacnik-Bokal, E.; Virant-Klun, I. Isolation, characterization and differentiation of cells expressing pluripotent/multipotent markers from adult human ovaries. Cell Tissue Res. 2013, 354, 593–607. [Google Scholar] [CrossRef]
- Virant-Klun, I.; Stimpfel, M.; Skutella, T. Ovarian pluripotent/multipotent stem cells and in vitro oogenesis in mammals. Histol. Histopathol. 2011, 26, 1071–1082. [Google Scholar]
- Takashima, S.; Hirose, M.; Ogonuki, N.; Ebisuya, M.; Inoue, K.; Kanatsu-Shinohara, M.; Tanaka, T.; Nishida, E.; Ogura, A.; Shinohara, T. Regulation of pluripotency in male germline stem cells by Dmrt1. Genes Dev. 2013, 27, 1949–1958. [Google Scholar] [CrossRef]
- D’Orazio, F.M.; Balwierz, P.J.; González, A.J.; Guo, Y.; Hernández-Rodríguez, B.; Wheatley, L.; Jasiulewicz, A.; Hadzhiev, Y.; Vaquerizas, J.M.; Cairns, B.; et al. Germ cell differentiation requires Tdrd7-dependent chromatin and transcriptome reprogramming marked by germ plasm relocalization. Dev. Cell 2021, 56, 641–656.e645. [Google Scholar] [CrossRef] [PubMed]
- Wilde, J.J.; Aida, T.; Del Rosario, R.C.H.; Kaiser, T.; Qi, P.; Wienisch, M.; Zhang, Q.; Colvin, S.; Feng, G. Efficient embryonic homozygous gene conversion via RAD51-enhanced interhomolog repair. Cell 2021, 184, 3267–3280. [Google Scholar] [CrossRef] [PubMed]
- Woods, D.C.; Tilly, J.L. The next (re)generation of ovarian biology and fertility in women: Is current science tomorrow’s practice? Fertil. Steril. 2012, 98, 3–10. [Google Scholar] [CrossRef] [PubMed]
- Lee, S.; Katayama, N.; Yoshizaki, G. Generation of juvenile rainbow trout derived from cryopreserved whole ovaries by intraperitoneal transplantation of ovarian germ cells. Biochem. Biophys. Res. Commun. 2016, 478, 1478–1483. [Google Scholar] [CrossRef]
- Zhang, Y.; Yang, Z.; Yang, Y.; Wang, S.; Shi, L.; Xie, W.; Sun, K.; Zou, K.; Wang, L.; Xiong, J.; et al. Production of transgenic mice by random recombination of targeted genes in female germline stem cells. J. Mol. Cell Biol. 2011, 3, 132–141. [Google Scholar] [CrossRef]
- Reid, B.N.; Le, M.; Mccord, W.P.; Iverson, J.B.; Georges, A.; Bergmann, T.; Amato, G.; Desalle, R.; Naro-Maciel, E. Comparing and combining distance-based and character-based approaches for barcoding turtles. Mol. Ecol. Resour. 2011, 11, 956–967. [Google Scholar] [CrossRef] [PubMed]
- Yi, M.; Hong, N.; Hong, Y. Generation of medaka fish haploid embryonic stem cells. Science 2009, 326, 430–433. [Google Scholar] [CrossRef] [PubMed]








| Gene Name | Primer Sequence | Amplicon Size (bp) |
|---|---|---|
| β-actin | F: 5′-GTGGCTATCCAGGCTGTGCT-3′ R: 5′-TGGTGGTGAAGCTGTAGCCTC-3′ | 168 |
| tdrd7 | F: 5′-ACCTCCTCTACCCTTACCGA-3′ R: 5′-TGATGCCTCTTCTGACCACT-3′ | 283 |
| rad51 | F: 5′-AAAGTGATTCCAATGGGTTT-3′ R: 5′-AGCTGGGTCTGATGGTCTGT-3′ | 371 |
| nanos1 | F: 5′-GCGCTGCACTTGCACGACTT-3′ R: 5′-GGGCGACGGCTTCTTTGTTATT-3′ | 283 |
| igtb1 | F: 5′-CGACTTCTGCCCGATGTAAT-3′ R: 5′-TGGCTGGATCTGGGTAATGT-3′ | 173 |
| hsd17b4 | F: 5′- GTAACAGTGAACCCGCCTAA-3′ R: 5′- TTTCCCTCCTTCCACATCTC-3′ | 308 |
| klf5 | F: 5′- TACCCACATCAAGACAGAACC-3′ | 261 |
| R: 5′-GCTGCCTGAGCAGTAGAATT-3′ |
Publisher’s Note: MDPI stays neutral with regard to jurisdictional claims in published maps and institutional affiliations. |
© 2022 by the authors. Licensee MDPI, Basel, Switzerland. This article is an open access article distributed under the terms and conditions of the Creative Commons Attribution (CC BY) license (https://creativecommons.org/licenses/by/4.0/).
Share and Cite
Liu, X.; Liu, F.; Xu, H.; Yang, Y.; Wang, Y.; Hong, X.; Li, W.; Yu, L.; Chen, C.; Xu, H.; et al. Characterization of the In Vitro Cultured Ovarian Cells in the Asian Yellow Pond Turtle (Mauremys mutica). Biology 2022, 11, 1404. https://doi.org/10.3390/biology11101404
Liu X, Liu F, Xu H, Yang Y, Wang Y, Hong X, Li W, Yu L, Chen C, Xu H, et al. Characterization of the In Vitro Cultured Ovarian Cells in the Asian Yellow Pond Turtle (Mauremys mutica). Biology. 2022; 11(10):1404. https://doi.org/10.3390/biology11101404
Chicago/Turabian StyleLiu, Xiaoli, Fang Liu, Haoyang Xu, Yanping Yang, Yakun Wang, Xiaoyou Hong, Wei Li, Lingyun Yu, Chen Chen, Hongyan Xu, and et al. 2022. "Characterization of the In Vitro Cultured Ovarian Cells in the Asian Yellow Pond Turtle (Mauremys mutica)" Biology 11, no. 10: 1404. https://doi.org/10.3390/biology11101404
APA StyleLiu, X., Liu, F., Xu, H., Yang, Y., Wang, Y., Hong, X., Li, W., Yu, L., Chen, C., Xu, H., & Zhu, X. (2022). Characterization of the In Vitro Cultured Ovarian Cells in the Asian Yellow Pond Turtle (Mauremys mutica). Biology, 11(10), 1404. https://doi.org/10.3390/biology11101404

