Lung Thermal Ablation: Comparison between an Augmented Reality Computed Tomography (CT) 3D Navigation System (SIRIO) and Standard CT-Guided Technique
Abstract
:Simple Summary
Abstract
1. Introduction
2. Materials and Methods
2.1. Populations
2.2. Procedure
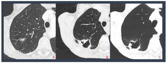
2.2.1. Standard CT-Guided Procedures
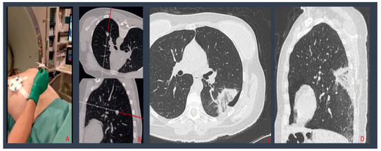
2.2.2. SIRIO-Guided Procedures
2.3. Data Collection
2.4. Statistics
3. Results
4. Discussion
5. Conclusions
Author Contributions
Funding
Institutional Review Board Statement
Informed Consent Statement
Data Availability Statement
Conflicts of Interest
References
- Venturini, M.; Maurizio, C.; Marra, P.; Salvatore, M.; Pereira, P.L.; Gianpaolo, C. CIRSE Standards of Practice on Thermal Ablation of Primary and Secondary Lung Tumours. Cardiovasc. Interv. Radiol. 2020, 43, 667–683. [Google Scholar] [CrossRef]
- Páez-Carpio, A.; Gómez, F.M.; Olivé, G.I.; Paredes, P.; Baetens, T.; Carrero, E.; Sánchez, M.; Vollmer, I. Image-guided percutaneous ablation for the treatment of lung malignancies: Current state of the art. Insights Imaging 2021, 12, 1–57. [Google Scholar] [CrossRef]
- Postmus, P.E.; Kerr, K.M.; Oudkerk, M.; Senan, S.; Waller, D.A.; Vansteenkiste, J.; Escriu, C.; Peters, S. Early and locally advanced non-small-cell lung cancer (NSCLC): ESMO Clinical Practice Guidelines for diagnosis, treatment and follow-up. Ann. Oncol. 2017, 28, iv1–iv21. [Google Scholar] [CrossRef]
- Van Cutsem, E.; Cervantes, A.; Adam, R.; Sobrero, A.; Van Krieken, J.H.; Aderka, D. ESMO consensus guidelines for the man-agement of patients with metastatic colorectal cancer. Ann. Oncol. 2016, 27, 1386–1422. [Google Scholar] [CrossRef]
- Rosen, J.E.; Keshava, H.B.; Yao, X.; Kim, A.W.; Detterbeck, F.C.; Boffa, D.J. The Natural History of Operable Non-Small Cell Lung Cancer in the National Cancer Database. Ann. Thorac. Surg. 2016, 101, 1850–1855. [Google Scholar] [CrossRef] [PubMed] [Green Version]
- Louie, A.V.; Palma, D.A.; Dahele, M.; Rodrigues, G.B.; Senan, S. Management of early-stage non-small cell lung cancer using stereotactic ablative radiotherapy: Controversies, insights, and changing horizons. Radiother. Oncol. 2015, 114, 138–147. [Google Scholar] [CrossRef] [PubMed]
- Engelhardt, K.E.; Feinglass, J.M.; DeCamp, M.M.; Bilimoria, K.Y.; Odell, D.D. Treatment trends in early-stage lung cancer in the United States, 2004 to 2013: A time-trend analysis of the National Cancer Data Base. J. Thorac. Cardiovasc. Surg. 2018, 156, 1233–1246. [Google Scholar] [CrossRef] [PubMed] [Green Version]
- Haasbeek, C.J.A.; Palma, D.; Visser, O.; Lagerwaard, F.J.; Slotman, B.; Senan, S. Early-stage lung cancer in elderly patients: A population-based study of changes in treatment patterns and survival in the Netherlands. Ann. Oncol. 2012, 23, 2743–2747. [Google Scholar] [CrossRef]
- Palussière, J.; Chomy, F.; Savina, M.; Deschamps, F.; Gaubert, J.Y.; Renault, A.; Bonnefoy, O.; Laurent, F.; Meunier, C.; Bellera, C.; et al. Radiofrequency ablation of stage IA non–small cell lung cancer in patients ineligible for surgery: Results of a prospective multicenter phase II trial. J. Cardiothorac. Surg. 2018, 13, 91. [Google Scholar] [CrossRef] [Green Version]
- Dupuy, D.E.; Fernando, H.C.; Hillman, S.; Ng, T.; Tan, A.D.; Sharma, A. Radiofrequency ablation of stage IA non-small cell lung cancer in medically inoperable patients: Results from the American College of Surgeons Oncology Group Z4033 (Al liance) trial. Cancer 2015, 121, 3491–3498. [Google Scholar] [CrossRef]
- Donington, J.; Ferguson, M.; Mazzone, P.; Handy, J., Jr.; Schuchert, M.; Fernando, H. American College of Chest Physicians and Society of Thoracic Surgeons consensus statement for evaluation and management for high-risk patients with stage I non- small cell lung cancer. Chest 2012, 142, 1620–1635. [Google Scholar] [CrossRef] [Green Version]
- Sandler, K.A.; Abtin, F.; Suh, R.; Cook, R.R.; Felix, C.; Lee, J.M.; Garon, E.B.; Wu, J.; Luterstein, E.M.; Agazaryan, N.; et al. A Prospective Phase 2 Study Evaluating Safety and Efficacy of Combining Stereotactic Body Radiation Therapy With Heat-based Ablation for Centrally Located Lung Tumors. Int. J. Radiat. Oncol. 2018, 101, 564–573. [Google Scholar] [CrossRef]
- Howington, J.A.; Blum, M.G.; Chang, A.; Balekian, A.A.; Murthy, S.C. Treatment of Stage I and II Non-small Cell Lung Cancer. Chest 2013, 143, e278S–e313S. [Google Scholar] [CrossRef]
- Roy, A.M.; Bent, C.; Fotheringham, T. Radiofrequency ablation of lung lesions: Practical applications and tips. Curr. Probl. Diagn. Radiol. 2009, 8, 44–52. [Google Scholar] [CrossRef]
- Vogl, T.J.; Naguib, N.N.; Gruber-Rouh, T.; Koitka, K.; Lehnert, T.; Nour-Eldin, N.E.A. Microwave ablation therapy: Clinical utility in treatment of pulmonary metastases. Radiology 2011, 261, 643–651. [Google Scholar] [CrossRef]
- Hinshaw, J.L.; Lubner, M.G.; Ziemlewicz, T.; Lee, F.T.; Brace, C. Percutaneous Tumor Ablation Tools: Microwave, Radiofrequency, or Cryoablation—What Should You Use and Why? Radiology 2014, 34, 1344–1362. [Google Scholar] [CrossRef]
- Palussière, J.; Catena, V.; Buy, X. Percutaneous thermal ablation of lung tumors—radiofrequency, microwave and cryotherapy: Where are we going? Diagn. Interv. Imaging 2017, 98, 619–625. [Google Scholar] [CrossRef]
- Macchi, M.; Belfiore, M.P.; Floridi, C.; Serra, N.; Belfiore, G.; Carmignani, L. Radiofrequency versus microwave ablation for 87. treatment of the lung tumours: LUMIRA (lung microwave radiofrequency) randomized trial. Med Oncol. 2017, 34, 96. [Google Scholar] [CrossRef]
- Cazzato, R.L.; Battistuzzi, J.-B.; Catena, V.; Grasso, R.F.; Zobel, B.B.; Schena, E.; Buy, X.; Palussiere, J. Cone-Beam Computed Tomography (CBCT) Versus CT in Lung Ablation Procedure: Which is Faster? Cardiovasc. Interv. Radiol. 2015, 38, 1231–1236. [Google Scholar] [CrossRef] [PubMed]
- Wood, B.J.; Zhang, H.; Durrani, A.; Glossop, N.; Ranjan, S.; Lindisch, D.; Levy, E.; Banovac, F.; Borgert, J.; Krueger, S.; et al. Navigation with Electromagnetic Tracking for Interventional Radiology Procedures: A Feasibility Study. J. Vasc. Interv. Radiol. 2005, 16, 493–505. [Google Scholar] [CrossRef] [Green Version]
- Appelbaum, L.; Sosna, J.; Nissenbaum, Y.; Benshtein, A.; Goldberg, S.N. Electromagnetic Navigation System for CT-Guided Biopsy of Small Lesions. Am. J. Roentgenol. 2011, 196, 1194–1200. [Google Scholar] [CrossRef] [PubMed]
- Grasso, R.F.; Faiella, E.; Luppi, G.; Schena, E.; Giurazza, F.; Del Vescovo, R.; D’Agostino, F.; Cazzato, R.L.; Zobel, B.B. Percutaneous lung biopsy: Comparison between an augmented reality CT navigation system and standard CT-guided technique. Int. J. Comput. Assist. Radiol. Surg. 2013, 8, 837–848. [Google Scholar] [CrossRef] [PubMed]
- Faiella, E.; Castiello, G.; Bernetti, C.; Pacella, G.; Altomare, C.; Andresciani, F.; Zobel , B.B.; Grasso, R.F. Impact of an Augmented Reality Navigation System (SIRIO) on Bone Percutaneous Procedures: A Comparative Analysis with Standard CT-Guided Technique. Curr Oncol. 2021, 28, 1751–1760. [Google Scholar] [CrossRef] [PubMed]
- Faiella, E.; Frauenfelder, G.; Santucci, D.; Luppi, G.; Schena, E.; Zobel, B.B.; Grasso, R.F. Percutaneous low-dose CT-guided lung biopsy with an augmented reality navigation system: Validation of the technique on 496 suspected lesions. Clin. Imaging 2018, 49, 101–105. [Google Scholar] [CrossRef]
- Khan, M.F.; Dogan, S.; Maataoui, A.; Wesarg, S.; Gurung, J.; Ackermann, H.; Schiemann, M.; Wimmer-Greinecker, G.; Vogl, T.J. Navigation-Based Needle Puncture of a Cadaver Using a Hybrid Tracking Navigational System. Investig. Radiol. 2006, 41, 713–720. [Google Scholar] [CrossRef] [Green Version]
- Chehab, M.A.; Brinjikji, W.; Copelan, A.; Venkatesan, A.M. Navigational Tools for Interventional Radiology and Interventional Oncology Applications. In Seminars in Interventional Radiology; Thieme Medical Publishers: New York, NY, USA, 2015; Volume 32, pp. 416–427. [Google Scholar]
- Meier-Meitinger, M.; Nagel, M.; Kalender, W.; Bautz, W.A.; Baum, U. Computer-assisted navigation system for interventional CT-guided procedures: Results of phantom and clinical studies. Fortschritte auf dem Gebiete der Rontgenstrahlen und der Nuklearmedizin 2008, 180, 310–317. [Google Scholar] [CrossRef]
- Hiraki, T.; Gobara, H.; Fujiwara, H.; Ishii, H.; Tomita, K.; Uka, M. Lung cancer ablation: Complications. In Seminars in Interventional Radiology; Thieme Medical Publishers: New York, NY, USA, 2013; Volume 30, pp. 169–175. [Google Scholar]
- Zheng, A.; Wang, X.; Yang, X.; Wang, W.; Huang, G.; Gai, Y.; Ye, X. Major Complications after Lung Microwave Ablation: A Single-Center Experience on 204 Sessions. Ann. Thorac. Surg. 2014, 98, 243–248. [Google Scholar] [CrossRef]
- Abtin, F.G.; Eradat, J.; Gutierrez, A.J.; Lee, C.; Fishbein, M.C.; Suh, R.D. Radiofrequency Ablation of Lung Tumors: Imaging Features of the Postablation Zone. Radiology 2012, 32, 947–969. [Google Scholar] [CrossRef] [Green Version]
- Clasen, S.; Krober, S.M.; Kosan, B.; Aebert, H.; Fend, F.; Bomches, A. Pathomorphologic evaluation of pulmonary radiofre- quency ablation. Cancer 2008, 113, 3121–3129. [Google Scholar] [CrossRef]



| Lobe | N Cases | % | ||||
|---|---|---|---|---|---|---|
| CT < 2 cm (n = 32) | lesion diameter (cm) | mean | SD | RUL | 8 | 25 |
| 13.75 | 3.86047 | ML | 3 | 9.4 | ||
| Histology | N cases | % | RLL | 6 | 18.8 | |
| metastases | 27 | 84.4 | LUL | 5 | 15.6 | |
| adenocarcinoma | 3 | 9.4 | LINGULA | 1 | 3.1 | |
| squamous carcinoma | 2 | 6.3 | LLL | 9 | 28.1 | |
| CT > 2 cm (n = 29) | lesion diameter (cm) | mean | SD | RUL | 4 | 25 |
| 34.94 | 10.50377 | ML | 0 | 0 | ||
| Histology | N cases | % | RLL | 4 | 25 | |
| metastases | 8 | 50 | LUL | 2 | 12.5 | |
| adenocarcinoma | 5 | 31.3 | LINGULA | 1 | 6.3 | |
| squamous carcinoma | 3 | 18.8 | LLL | 5 | 31.3 | |
| SIRIO < 2 cm (n = 16) | lesion diameter | mean | SD | RUL | 8 | 27.6 |
| 13.38 | 4.32 | ML | 2 | 6.9 | ||
| Histology | N cases | % | RLL | 9 | 31 | |
| metastases | 16 | 55.2 | LUL | 8 | 27.6 | |
| adenocarcinoma | 8 | 27.6 | LINGULA | 0 | 0 | |
| squamous carcinoma | 5 | 17.2 | LLL | 2 | 6.9 | |
| SIRIO > 2 cm (n = 23) | lesion diameter (cm) | mean | SD | RUL | 7 | 30.4 |
| 35.74 | 13.47461 | ML | 3 | 13 | ||
| Histology | N cases | % | RLL | 1 | 4.3 | |
| metastases | 11 | 47.8 | LUL | 5 | 21.7 | |
| adenocarcinoma | 6 | 26.1 | LINGULA | 1 | 4.3 | |
| squamous carcinoma | 6 | 26.1 | LLL | 6 | 26.1 |
| Lesions ≤ 2 cm | |||||
|---|---|---|---|---|---|
| Variable | Non-SIRIO | SIRIO | p value | ||
| Mean | SD | Mean | SD | ||
| Time (min) | 57.25 | 9 | 32.65 | 11.8 | <0.005 |
| No. scans | 9.47 | 2.78 | 4.93 | 2.37 | <0.005 |
| Dose (mSv) | 14.87 | 4.50 | 8 | 4.59 | <0.005 |
| Lesions > 2 cm | |||||
| Variable | Non-SIRIO | SIRIO | p value | ||
| Mean | SD | Mean | SD | ||
| Time (min) | 47.375 | 8.421203398 | 27.2608696 | 13.45773651 | <0.005 |
| No. scans | 8.50 | 2.25 | 4.74 | 2.03 | <0.005 |
| Dose (mSv) | 13.36 | 4.38 | 7 | 4.02 | <0.005 |
| Complication | N Cases | % | |
|---|---|---|---|
| CT < 2 cm (n = 32) | None | 22 | 68.8 |
| PNX | 5 | 15.6 | |
| Pleural effusion | 3 | 9.4 | |
| Hemopericardium | 1 | 3.1 | |
| Broncho-pleural fistula | 1 | 3.1 | |
| CT > 2 cm (n = 29) | None | 21 | 72.4 |
| PNX | 7 | 24.4 | |
| Pleural effusion | 1 | 3.2 | |
| Hemopericardium | 0 | 0 | |
| Broncho-pleural fistula | 0 | 0 | |
| SIRIO < 2 cm (n = 16) | None | 14 | 87.5 |
| PNX | 2 | 12.5 | |
| Pleural effusion | 0 | 0 | |
| Hemopericardium | 0 | 0 | |
| Broncho-pleural fistula | 0 | 0 | |
| SIRIO > 2 cm (n = 23) | None | 16 | 69.9 |
| PNX | 4 | 17.2 | |
| Pleural effusion | 1 | 4.3 | |
| Massive subcutaneous emphysema | 1 | 4.3 | |
| Broncho-pleural fistula | 1 | 4.3 |
Publisher’s Note: MDPI stays neutral with regard to jurisdictional claims in published maps and institutional affiliations. |
© 2021 by the authors. Licensee MDPI, Basel, Switzerland. This article is an open access article distributed under the terms and conditions of the Creative Commons Attribution (CC BY) license (https://creativecommons.org/licenses/by/4.0/).
Share and Cite
Grasso, R.F.; Andresciani, F.; Altomare, C.; Pacella, G.; Castiello, G.; Carassiti, M.; Quattrocchi, C.C.; Faiella, E.; Beomonte Zobel, B. Lung Thermal Ablation: Comparison between an Augmented Reality Computed Tomography (CT) 3D Navigation System (SIRIO) and Standard CT-Guided Technique. Biology 2021, 10, 646. https://doi.org/10.3390/biology10070646
Grasso RF, Andresciani F, Altomare C, Pacella G, Castiello G, Carassiti M, Quattrocchi CC, Faiella E, Beomonte Zobel B. Lung Thermal Ablation: Comparison between an Augmented Reality Computed Tomography (CT) 3D Navigation System (SIRIO) and Standard CT-Guided Technique. Biology. 2021; 10(7):646. https://doi.org/10.3390/biology10070646
Chicago/Turabian StyleGrasso, Rosario Francesco, Flavio Andresciani, Carlo Altomare, Giuseppina Pacella, Gennaro Castiello, Massimiliano Carassiti, Carlo Cosimo Quattrocchi, Eliodoro Faiella, and Bruno Beomonte Zobel. 2021. "Lung Thermal Ablation: Comparison between an Augmented Reality Computed Tomography (CT) 3D Navigation System (SIRIO) and Standard CT-Guided Technique" Biology 10, no. 7: 646. https://doi.org/10.3390/biology10070646
APA StyleGrasso, R. F., Andresciani, F., Altomare, C., Pacella, G., Castiello, G., Carassiti, M., Quattrocchi, C. C., Faiella, E., & Beomonte Zobel, B. (2021). Lung Thermal Ablation: Comparison between an Augmented Reality Computed Tomography (CT) 3D Navigation System (SIRIO) and Standard CT-Guided Technique. Biology, 10(7), 646. https://doi.org/10.3390/biology10070646

