A Preliminary Study on the Effect of Psyllium Husk Ethanolic Extract on Hyperlipidemia, Hyperglycemia, and Oxidative Stress Induced by Triton X-100 Injection in Rats
Abstract
Simple Summary
Abstract
1. Introduction
2. Materials and Methods
2.1. Psyllium Husk Extract Preparation
2.2. Gas Chromatography–Mass Spectrometry (GC-MS) Analysis of Psyllium Extract
2.3. Experimental Animals
2.4. Experimental Protocol
2.5. Collection of Blood Samples
2.6. Serum Lipid Profile
2.7. Pancreatic Function Tests, Serum Leptin, and Adiponectin Hormones
2.8. Liver Function Tests
2.9. Serum Lipid Peroxidation and Antioxidant Enzyme Activity
2.10. Histopathological Examination
2.11. Statistical Analysis
3. Results
3.1. Gas Chromatography–Mass Spectrometry (GC-MS) Analysis
3.2. Effect on Lipid Profile
3.3. Pancreatic Function Tests, Serum Leptin, and Adiponectin Hormones
3.4. Liver Functions Tests
3.5. Changes in Serum Lipid Peroxidation and Antioxidant Enzyme Activity
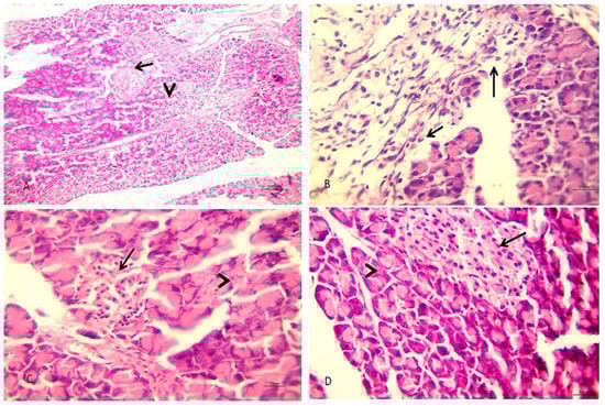
3.6. Histopathological Finding
4. Discussion
5. Conclusions
Author Contributions
Funding
Institutional Review Board Statement
Informed Consent Statement
Data Availability Statement
Acknowledgments
Conflicts of Interest
References
- Sunil, C.; Ignacimuthu, S.; Kumarappan, C. Hypolipidemic activity of Symplocos cochinchinensis S. Moore leaves in hyperlipidemic rats. J. Nat. Med. 2012, 66, 32–38. [Google Scholar] [CrossRef]
- Hill, M.F.; Bordoni, B. Hyperlipidemia. Treasure Island (FL): Stat Pearls Publishing. 2020. Available online: https://www.ncbi.nlm.nih.gov/books/NBK559182/ (accessed on 12 July 2020).
- Keshetty, V.; Pabba, S.; Gudipati, R.; Kandukuri, J.M.; Allenki, V. Antihyperlipidemic Activity of methanolic extract of Garlic (Allium sativum L.) in Triton X-100 induced hyperlipidemic rats. J. Pharm. Res. 2009, 2, 777–780. [Google Scholar]
- Parwin, A.; Najmi, A.K.; Ismail, M.V.; Kaundal, M.; Akhtar, M. Protective effects of alendronate in Triton X-100-induced hyperlipidemia in rats. Turk. J. Gastroenterol. 2019, 30, 557. [Google Scholar] [CrossRef]
- Kumar, V.; Khan, M.M.; Khanna, A.K.; Singh, R.; Singh, S.; Chander, R.; Mahdi, F.; Mahdi, A.A.; Saxena, J.K.; Singh, R.K. Lipid lowering activity of Anthocephalus indicus root in hyperlipidemic rats. Evid.-Based Complementary Altern. Med. 2010, 7, 317–322. [Google Scholar] [CrossRef]
- Mayer, M.A.; Höcht, C.; Puyó, A.; Taira, C.A. Recent advances in obesity pharmacotherapy. Curr. Clin. Pharmacol. 2009, 4, 53–61. [Google Scholar] [CrossRef]
- Omar, A.E.; Al-Khalaifah, H.S.; Mohamed, W.A.; Gharib, H.S.; Osman, A.; Al-Gabri, N.A.; Amer, S.A. Effects of phenolic-rich onion (Allium cepa L.) extract on the growth performance, behavior, intestinal histology, amino acid digestibility, antioxidant activity, and the immune status of broiler chickens. Front. Vet. Sci. 2020, 7, 728. [Google Scholar] [CrossRef]
- Montaser, M.M.; El-Sharnouby, M.E.; El-Noubi, G.; El-Shaer, H.M.; Khalil, A.A.; Hassanin, M.; Amer, S.A.; El-Araby, D.A. Boswellia serrata Resin Extract in Diets of Nile Tilapia, Oreochromis niloticus: Effects on the Growth, Health, Immune Response, and Disease Resistance to Staphylococcus aureus. Animals 2021, 11, 446. [Google Scholar] [CrossRef]
- Anderson, J.W.; Davidson, M.H.; Blonde, L.; Brown, W.V.; Howard, W.J.; Ginsberg, H.; Allgood, L.D.; Weingand, K.W. Long-term cholesterol-lowering effects of psyllium as an adjunct to diet therapy in the treatment of hypercholesterolemia. Am. J. Clin. Nutr. 2000, 71, 1433–1438. [Google Scholar] [CrossRef]
- Xing, L.C.; Santhi, D.; Shar, A.G.; Saeed, M.; Arain, M.A.; Shar, A.H.; Bhutto, Z.A.; Katar, M.U.; Manzoor, R.; El-Hack, M.E.; et al. Psyllium husk (Plantago ovata) as a potent hypocholesterolemic agent in animal, human and poultry. Int. J. Pharmacol. 2017, 13, 690. [Google Scholar] [CrossRef]
- Nofal, Z.A.-E.; El-Maghraby, A.F.; Gad, M.R.; Farghaly, A.A.; Ahmed, E.M. Evaluation of the protective effect of ethanolic extract of Plantago major plant against CCl4 induced genotoxicity and biochemical disturbance in Rat. Egypt. J. Vet. Sci. 2016, 47, 83–110. [Google Scholar] [CrossRef]
- Iftikhar, H.; Ahmed, D.; Qamar, M.T. Study of phytochemicals of Melilotus indicus and alpha-amylase and lipase inhibitory activities of its methanolic extract and fractions in different solvents. ChemistrySelect 2019, 4, 7679–7685. [Google Scholar] [CrossRef]
- Zöllner, N.; Kirsch, K. Über die quantitative Bestimmung von Lipoiden (Mikromethode) mittels der vielen natürlichen Lipoiden (allen bekannten Plasmalipoiden) gemeinsamen Sulfophosphovanillin-Reaktion. Z. Die Gesamte Exp. Med. 1962, 135, 545–561. [Google Scholar] [CrossRef]
- Roeschlau, P.; Bernt, E.; Gruber, W. Enzymatic determination of total cholesterol in serum (author’s transl). Z. Klin. Chem. Und Klin. Biochem. 1974, 12, 403–407. [Google Scholar]
- McGowan, M.W.; Artiss, J.D.; Strandbergh, D.R.; Zak, B. A peroxidase-coupled method for the colorimetric determination of serum triglycerides. Clin. Chem. 1983, 29, 538–542. [Google Scholar] [CrossRef]
- Young, D. Effects of Disease on Clinical Lab Tests, 4th ed.; Oxford Academic: Oxford, UK, 2001. [Google Scholar]
- Friedewald, W.T.; Levy, R.I.; Fredrickson, D.S. Estimation of the concentration of low-density lipoprotein cholesterol in plasma, without use of the preparative ultracentrifuge. Clin. Chem. 1972, 18, 499–502. [Google Scholar] [CrossRef]
- Sami Khaza, M. Atherogenic index of plasma (AIP) as a parameter in predicting cardiovascular risk in males compared to the conventional dyslipidemic indices (cholesterol ratios). Kerbala J. Med. 2013, 6, 1506–1513. [Google Scholar]
- Tietz, N.W. Fundamentals of Clinical Chemistry Philadelphia; W.B. Saunders Company: Philadelphia, PA, USA, 1976. [Google Scholar]
- Matthews, D.R.; Hosker, J.; Rudenski, A.; Naylor, B.; Treacher, D.; Turner, R. Homeostasis model assessment: Insulin resistance and β-cell function from fasting plasma glucose and insulin concentrations in man. Diabetologia 1985, 28, 412–419. [Google Scholar] [CrossRef] [PubMed]
- Considine, R.V.; Sinha, M.K.; Heiman, M.L.; Kriauciunas, A.; Stephens, T.W.; Nyce, M.R.; Ohannesian, J.P.; Marco, C.C.; McKee, L.J.; Bauer, T.L. Serum immunoreactive-leptin concentrations in normal-weight and obese humans. N. Engl. J. Med. 1996, 334, 292–295. [Google Scholar] [CrossRef]
- Reitman, S.; Frankel, S. A colorimetric method for the determination of serum glutamic oxalacetic and glutamic pyruvic transaminases. Am. J. Clin. Pathol. 1957, 28, 56–63. [Google Scholar] [CrossRef] [PubMed]
- Moss, D.W. Alkaline phosphatase isoenzymes. Clin. Chem. 1982, 28, 2007–2016. [Google Scholar] [CrossRef]
- Szasz, G. Reaction-rate method for gamma-glutamyltransferase activity in serum. Clin. Chem. 1976, 22, 2051–2055. [Google Scholar] [CrossRef]
- Monnet, L. Determination of bilirubin. Ann. Biol Clin 1963, 21, 717. [Google Scholar]
- Grant, G.; Silverman, L.M.; Christenson, R.H. Amino acids and proteins. In Fundam. Clin. Chem, 3rd ed.; Tietz, N.W., Ed.; WB Saunders Company: Philadelphia, PA, USA, 1987; pp. 291–345. [Google Scholar]
- Doumas, B.; Baysa, D.; Carter, R.; Peters, T.; Schaffer, R. Determination of serum total protein. Clin. Chem. 1981, 27, 1642. [Google Scholar] [CrossRef]
- Doumas, B.; Biggs, H. Determination of Serum Albumin in Standard Method of Clinical Chemistry; Cooper, G.R., Ed.; New York Academic Press: New York, NY, USA, 1972; Volume 7. [Google Scholar]
- Coles, E. Veterinary Clinical Pathology, 4th ed.; W.B. Saunders Company: Philadelphia, PA, USA, 1986. [Google Scholar]
- Ohkawa, H.; Ohishi, N.; Yagi, K. Assay for lipid peroxides in animal tissues by thiobarbituric acid reaction. Anal. Biochem. 1979, 95, 351–358. [Google Scholar] [CrossRef]
- Beutler, E. Improved method for the determination of blood glutathione. J. Lab. Clin. Med. 1963, 61, 882–888. [Google Scholar]
- Aebi, H. Catalase in vitro. Methods Enzymol. 1984, 105, 121–126. [Google Scholar]
- Bancroft, J.; SK, L.C.S.; Layton, C.; Bancroft, J. The hematoxylin & eosin, connective tissues and carbohydrates (Ch. 10, 11 and 12). In Theory & Practice of Histological Techniques, 7th ed.; Churchill Livingstone of Elsevier: Philadelphia, PA, USA, 2013; pp. 173–238. [Google Scholar]
- Duncan, D.B. Multiple range and multiple F tests. Biometrics 1955, 11, 1–42. [Google Scholar] [CrossRef]
- Jørgensen, T.; Capewell, S.; Prescott, E.; Allender, S.; Sans, S.; Zdrojewski, T.; De Bacquer, D.; De Sutter, J.; Franco, O.H.; Løgstrup, S. Population-level changes to promote cardiovascular health. Eur. J. Prev. Cardiol. 2013, 20, 409–421. [Google Scholar] [CrossRef] [PubMed]
- Shahare, N.; Bodele, S. Phytochemical and GC-MS Analysis of Dendrophthoe falcata (Lf) Ettingsh Stem. Eur. J. Med. Plants 2019, 1–8. [Google Scholar] [CrossRef]
- Shahare, N.; Bodele, S. GC-MS analysis of phytoconstituents in Ficus Mollis Vahl leaves. Int. J. Mod. Pharm. Res. 2020, 4, 213–220. [Google Scholar]
- El-Damhougy, K.; Bashar, M.; El-Naggar, H.; Ibrahim, H.; Abou-Senna, F. GC-MS analysis of bioactive components of Callyspongia crassa (Porifera) from Gulf of Aqaba, Red Sea (Egypt). Al-Azhar Bull. Sci. 2017, 9, 111–118. [Google Scholar]
- Parmar, R.; Kumar, D. Study of chemical composition in wild edible mushroom Pleurotus cornucopiae (Paulet) from Himachal Pradesh, India by using Fourier transforms infrared spectrometry (FTIR), Gas chromatography-mass spectrometry (GCMS) and X-ray fluorescence (XRF). In Biological Forum; Research Trend: Himachal Pradesh, India, 2015; Volume 7, pp. 1057–1066. [Google Scholar]
- Ganesh, M.; Mohankumar, M. Extraction and identification of bioactive components in Sida cordata (Burm. f.) using gas chromatography–mass spectrometry. J. Food Sci. Technol. 2017, 54, 3082–3091. [Google Scholar] [CrossRef]
- Wei, L.S.; Wee, W. Characterization of antimicrobial, antioxidant, anticancer properties and chemical composition of Malaysian Andrographis paniculata leaf extract. Pharmacologyonline 2011, 2, 996–1002. [Google Scholar]
- Seow, L.-J.; Beh, H.-K.; Majid, A.M.S.A.; Murugaiyah, V.; Ismail, N.; Asmawi, M.Z. Anti-angiogenic activity of Gynura segetum leaf extracts and its fractions. J. Ethnopharmacol. 2011, 134, 221–227. [Google Scholar] [CrossRef]
- Jiang, H.; Wang, J.; Song, L.; Cao, X.; Yao, X.; Tang, F.; Yue, Y. Chemical composition of an insecticidal extract from Robinia pseudacacia L. seeds and it’s efficacy against aphids in oilseed rape. Crop Prot. 2018, 104, 1–6. [Google Scholar] [CrossRef]
- Kumar, D.; Rajakumar, R. Gas chromatographyǧmass spectrometry analysis of bioactive components from the ethanol extract of avicennia marina leaves. GAS 2016, 4, 9–12. [Google Scholar]
- Tahir, N.; Qader, K.; Azeez, H.; Rashid, J. Inhibitory allelopathic effects of Moringa oleifera Lamk plant extracts on wheat and Sinapis arvensis L. Allelopath. J. 2018, 44, 35–48. [Google Scholar] [CrossRef]
- Terpstra, A.; Lapre, J.; De Vries, H.; Beynen, A. Hypocholesterolemic effect of dietary psyllium in female rats. Ann. Nutr. Metab. 2000, 44, 223–228. [Google Scholar] [CrossRef]
- Yuan, C.; Zhang, X.; Long, X.; Jin, J.; Jin, R. Effect of β-sitosterol self-microemulsion and β-sitosterol ester with linoleic acid on lipid-lowering in hyperlipidemic mice. Lipids Health Dis. 2019, 18, 1–11. [Google Scholar] [CrossRef]
- Ling, J.; Wei, B.; Lv, G.; Ji, H.; Li, S. Anti-hyperlipidaemic and antioxidant effects of turmeric oil in hyperlipidaemic rats. Food Chem. 2012, 130, 229–235. [Google Scholar] [CrossRef]
- Padmaja, T.K.; Naidu, P.B.; Kumar, G.E.N.H.; Ganapathy, S.; Balaji, M. Antiobesity activity of Bauhinia purpurea extract: Effect on hormones and lipid profile in high calorie diet induced obese rats. Adv. Biosci. Biotechnol. 2014, 5, 861. [Google Scholar] [CrossRef]
- Cottam, D.; Schaefer, P.; Shaftan, G.; Velcu, L.; Angus, L.G. Effect of surgically-induced weight loss on leukocyte indicators of chronic inflammation in morbid obesity. Obes. Surg. 2002, 12, 335–342. [Google Scholar] [CrossRef]
- Izadi, V.; Farabad, E.; Azadbakht, L. Epidemiologic evidence on serum adiponectin level and lipid profile. Int. J. Prev. Med. 2013, 4, 133. [Google Scholar]
- Galisteo, M.; Sánchez, M.; Vera, R.O.; González, M.; Anguera, A.; Duarte, J.; Zarzuelo, A. A diet supplemented with husks of Plantago ovata reduces the development of endothelial dysfunction, hypertension, and obesity by affecting adiponectin and TNF-α in obese Zucker rats. J. Nutr. 2005, 135, 2399–2404. [Google Scholar] [CrossRef]
- Basukala, P.; Jha, B.; Yadav, B.K.; Shrestha, P.K. Determination of insulin resistance and beta-cell function using homeostatic model assessment in type 2 diabetic patients at diagnosis. J Diabetes Metab. 2018, 9, 2. [Google Scholar] [CrossRef]
- Lorenzo, M.; Fernández-Veledo, S.; Vila-Bedmar, R.; Garcia-Guerra, L.; De Alvaro, C.; Nieto-Vazquez, I. Insulin resistance induced by tumor necrosis factor-α in myocytes and brown adipocytes. J. Anim. Sci. 2008, 86, E94–E104. [Google Scholar] [CrossRef] [PubMed]
- Pan, Y.; Wang, C.; Chen, Z.; Li, W.; Yuan, G.; Chen, H. Physicochemical properties and antidiabetic effects of a polysaccharide from corn silk in high-fat diet and streptozotocin-induced diabetic mice. Carbohydr. Polym. 2017, 164, 370–378. [Google Scholar] [CrossRef]
- Gupta, R.; Sharma, A.K.; Dobhal, M.; Sharma, M.; Gupta, R. Antidiabetic and antioxidant potential of β-sitosterol in streptozotocin-induced experimental hyperglycemia. J. Diabetes 2011, 3, 29–37. [Google Scholar] [CrossRef]
- Shafik, N.M.; Baalash, A.; Ebeid, A.M. Synergistic cardioprotective effects of combined chromium picolinate and atorvastatin treatment in triton X-100-induced hyperlipidemia in rats: Impact on some biochemical markers. Biol. Trace Elem. Res. 2017, 180, 255–264. [Google Scholar] [CrossRef]
- Fabbrini, E.; Sullivan, S.; Klein, S. Obesity and nonalcoholic fatty liver disease: Biochemical, metabolic, and clinical implications. Hepatology 2010, 51, 679–689. [Google Scholar] [CrossRef]
- Hafez, D. Effect of feeding some herbs on serum liver enzymes, total cholesterol, triglycerides and lipoproteins in hypercholesterolemic rats. Egypt. J. Nutr. Health 2006, 1, 1–19. [Google Scholar] [CrossRef][Green Version]
- Devaraj, E.; Roy, A.; Veeraragavan, G.R.; Magesh, A.; Sleeba, A.V.; Arivarasu, L.; Parasuraman, B.M. β-Sitosterol attenuates carbon tetrachloride–induced oxidative stress and chronic liver injury in rats. Naunyn-Schmiedeberg’s Arch. Pharmacol. 2020, 393, 1067–1075. [Google Scholar] [CrossRef] [PubMed]
- Lee, J.Y.; Park, W. Anti-Inflammatory Effect of Myristicin on RAW 264.7 Macrophages Stimulated with Polyinosinic-Polycytidylic Acid. Molecules 2011, 16, 7132–7142. [Google Scholar] [CrossRef]
- Beyegue, C.N.; Ngangoum, R.C.; Kuate, D.; Ngondi, J.; Oben, J.E. Effect of Guibourtia tessmannii extracts on blood lipids and oxidative stress markers in triton WR 1339 and high fat diet induced hyperlipidemic rats. Biol. Med. 2012, 4, 1. [Google Scholar] [CrossRef]
- Ali, A.I. Hypoglycemic and hypolipidemic effects of dietary supplementation of plantago psyllium seeds on diabetic and/or hyperlipidemic albino rats. J. Sci. Res. Sci. 2017, 34, 373–398. [Google Scholar] [CrossRef]


| No | Retention Time (min) | The Chemical Name of the Compound | Molecular Formula | Peak Area (%) |
|---|---|---|---|---|
| 1 | 17.82 | DL-Arabinose 2,3,4,5-Tetrahydroxypentanal | C5H10O5 | 27.21 |
| 2 | 29.21 | D-Xylose | C5H10O5 | 13.80 |
| 3 | 29.10 | Ethyl 9.cis.,11. trans.-octadecadienoate | C20H36O2 | 11.95 |
| 4 | 27.89 | 9,12-Octadecadienoic Acid, Methyl Ester, (E, E) | C19H34O2 | 11.86 |
| 5 | 28.01 | 9-Octadecenoic acid, methyl ester, (E)- | C19H36O2 | 5.85 |
| 6 | 26.06 | Myristicin | C11H12O3 | 4.15 |
| 7 | 19.87 | 9,12,15-Octadecatrienoic acid, 2,3-bis [(trimethylsilyl)oxy]propyl ester, (Z,Z,Z)- | C27H52O4Si2 | 3.35 |
| 8 | 24.75 | Hexadecanoic acid, methyl ester | C17H34O2 | 2.94 |
| 9 | 11.18 | 2-Methoxy-4-Vinylphenol | C9H10O2 | 2.91 |
| 10 | 19.47 | β-Sitosterol | C29H50O | 2.57 |
| 11 | 18.77 | 7a,12a-Dihydroxy-cholestene-3-one | C27H44O3 | 2.22 |
| 12 | 16.04 | Undecane | C11H18O | 2.13 |
| 13 | 29.67 | Pentacosane | C25H52 | 2.04 |
| 14 | 18.90 | Dodecamethyle cyclohexasiloxane | C12H36O6 | 2.01 |
| 15 | 19.30 | Stigmata-4-en-3-one | C29H48O | 1.91 |
| 16 | 18.01 | 3,7,11,15,18-Pentaoxa-2,19-disilaeicosane, 2,2,19,19-tetramethyl | C17H40O5 | 1.89 |
| 17 | 19.41 | Ar-turmerone | C15H20O | 1.20 |
| CON | Triton | PHEE | PHEE + Triton | F. Test | |
|---|---|---|---|---|---|
| Total lipids (mg/dL) | 624.60 c ± 0.30 | 750.40 a ± 0.67 | 608.80 c ± 0.91 | 690.80 b ± 0.38 | ** |
| Cholesterol(mg/dL) | 180.40 c ± 0.61 | 266 a ± 0.40 | 177.60 c ± 0.22 | 202.20 b ± 0.44 | ** |
| TG (mg/dL) | 110.20 c ± 0.47 | 164.40 a ± 0.50 | 109.80 c ± 0.54 | 115.40 b ± 0.61 | ** |
| HDL-c (mg/dL) | 63.60 a ± 0.69 | 42 c ± 0.32 | 64 a ± 0.80 | 64.20 b ± 0.28 | ** |
| LDL-c (mg/dL) | 94.76 c ± 0.67 | 191.12 a ± 0.18 | 91.64 c ± 0.42 | 109.32 b ± 0.72 | ** |
| VLDL-c (mg/dL) | 22.04 c ± 0.49 | 32.88 a ± 0.99 | 21.96 c ± 1.10 | 23.08 b ± 0.52 | ** |
| Atherogenic index | 0.239 c ± 0.013 | 0.600 a ± 0.035 | 0.235 c ± 0.032 | 0.254 b ± 0.017 | ** |
| CON | Triton | PHEE | PHEE + Triton | F. Test | |
|---|---|---|---|---|---|
| Serum Glucose (mg/dL) | 90.84 c ± 0.38 | 193 a ± 0.25 | 90.64 c ± 3.09 | 112.60 b ± 0.86 | ** |
| Insulin (nIU/mL) | 11.68 c ± 0.34 | 22.12 a ± 0.94 | 10.07 c ± 0.89 | 16.10 b ± 1.75 | ** |
| Hb-A1-c (ng/mL) | 1.60 c ± 0.03 | 6.19 a ± 0.35 | 1.53 c ± 0.10 | 3.04 b ± 0.35 | ** |
| Leptin (ng/mL) | 2.01 c ± 0.09 | 10.05 a ± 0.71 | 2.06 c ± 0.21 | 4.12 b ± 0.60 | ** |
| HOMA-IR | 2.60 c ± 0.07 | 10.56 a ± 0.68 | 2.38 c ± 0.14 | 4.56 b ± 0.63 | ** |
| Adiponectin (pg/mL) | 53.53 a ± 1.6 | 27.76 c ± 1.7 | 55 a ± 0.18 | 41.23 b ± 1.69 | ** |
| CON | Triton | PHEE | PHEE + Triton | F. Test | |
|---|---|---|---|---|---|
| ALT(U/l) | 46.40 c ± 1.86 | 86.80 a ± 2.72 | 45.40 c ± 2.24 | 59.33 b ± 0.98 | ** |
| AST(U/l) | 28.00 c ± 0.54 | 49.20 a ± 0.86 | 27.20 c ± 2.37 | 34.50 b ± 0.99 | ** |
| GGT(U/l) | 25.80 c ± 1.52 | 52.20 a ± 2.08 | 28.80 c ± 2.35 | 40.33 b ± 2.43 | ** |
| Total protein (U/l) | 7.28 a ± 0.09 | 3.94 c ± 0.14 | 7.41 a ± 0.14 | 6.31 b ± 0.18 | ** |
| Albumin (U/l) | 3.89 a ± 0.09 | 1.78 c ± 0.10 | 4.11 a ± 0.10 | 3.29 b ± 0.14 | ** |
| Globulin (U/l) | 3.39 a ± 0.12 | 2.16 c ± 0.15 | 3.29 a ± 0.23 | 3.02 b ± 0.22 | ** |
| A/G (U/l) | 1.15 a ± 0.06 | 1.82 c ± 0.03 | 1.24 a ± 0.13 | 1.08 b ± 0.15 | ** |
| CON | Triton | PHEE | PHEE + Triton | F. Test | |
|---|---|---|---|---|---|
| MDA (nmol/mL) | 11.40 c ± 0.92 | 27.00 a ± 1.64 | 11.40 c ± 1.36 | 17.00 b ± 1.92 | ** |
| GSH (mmol/l) | 2.55 a ± 2.47 | 1.22 c ± 1.16 | 2.54 a ± 2.41 | 2.23 b ± 1.87 | ** |
| CAT U/l) | 166.40 a ± 2.08 | 123.20 c ± 3.33 | 165.80 a ± 3.35 | 149.00 b ± 3.76 | ** |
Publisher’s Note: MDPI stays neutral with regard to jurisdictional claims in published maps and institutional affiliations. |
© 2021 by the authors. Licensee MDPI, Basel, Switzerland. This article is an open access article distributed under the terms and conditions of the Creative Commons Attribution (CC BY) license (https://creativecommons.org/licenses/by/4.0/).
Share and Cite
Hashem, M.A.; Abd-Allah, N.A.; Mahmoud, E.A.; Amer, S.A.; Alkafafy, M. A Preliminary Study on the Effect of Psyllium Husk Ethanolic Extract on Hyperlipidemia, Hyperglycemia, and Oxidative Stress Induced by Triton X-100 Injection in Rats. Biology 2021, 10, 335. https://doi.org/10.3390/biology10040335
Hashem MA, Abd-Allah NA, Mahmoud EA, Amer SA, Alkafafy M. A Preliminary Study on the Effect of Psyllium Husk Ethanolic Extract on Hyperlipidemia, Hyperglycemia, and Oxidative Stress Induced by Triton X-100 Injection in Rats. Biology. 2021; 10(4):335. https://doi.org/10.3390/biology10040335
Chicago/Turabian StyleHashem, Mohamed A., Noura A. Abd-Allah, Essam A. Mahmoud, Shimaa A. Amer, and Mohamed Alkafafy. 2021. "A Preliminary Study on the Effect of Psyllium Husk Ethanolic Extract on Hyperlipidemia, Hyperglycemia, and Oxidative Stress Induced by Triton X-100 Injection in Rats" Biology 10, no. 4: 335. https://doi.org/10.3390/biology10040335
APA StyleHashem, M. A., Abd-Allah, N. A., Mahmoud, E. A., Amer, S. A., & Alkafafy, M. (2021). A Preliminary Study on the Effect of Psyllium Husk Ethanolic Extract on Hyperlipidemia, Hyperglycemia, and Oxidative Stress Induced by Triton X-100 Injection in Rats. Biology, 10(4), 335. https://doi.org/10.3390/biology10040335

