Ultrasound-Assisted Acellular Spinal Cord Scaffold for Spinal Cord Injury Treatment
Abstract
1. Introduction
2. Materials and Methods
2.1. Materials
2.2. Methods
2.2.1. Construction of VEGF-Modified Decellularized Spinal Cord Scaffold Slow-Release System
2.2.2. Testing the Sustained-Release Characteristics of VEGF-Modified Decellularized Spinal Cord Scaffolds
2.2.3. Biocompatibility Study of VEGF-Modified Decellularized Spinal Cord Scaffolds In Vivo and In Vitro
2.2.4. VEGF-Modified Decellularized Spinal Cord Scaffold Sustained-Release System Transplantation for Spinal Cord Injury
2.2.5. Porosity, Hydration Rate, and Enzymatic Degradation Rate
2.2.6. Biomechanical Property Testing
2.2.7. In Vivo Subcutaneous Implantation Experiment
2.2.8. Immunohistochemical Observations
2.2.9. Analysis of Statistical Results
3. Results
3.1. Construction of VEGF-Modified Decellularized Spinal Cord Scaffold Sustained-Release System and Measurement of Its Physical and Chemical Properties
3.1.1. General Morphology

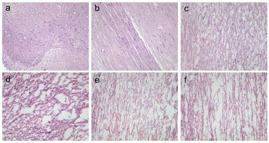
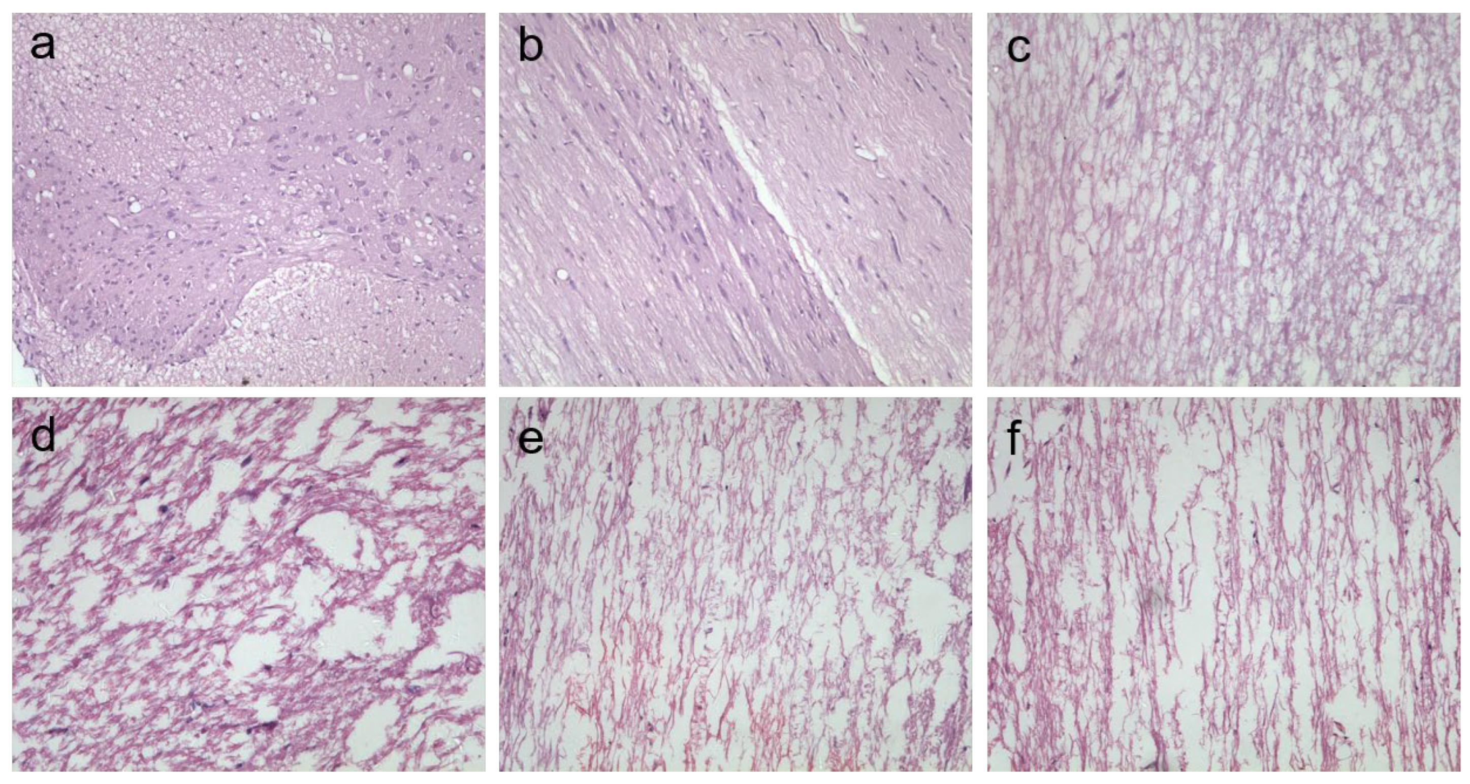
3.1.2. Histology

3.1.3. Scanning Electron Microscopy and Measurement of Pore Size

3.1.4. Porosity, Hydration Rate, and Enzymatic Hydrolysis Rate
3.1.5. Biomechanical Characterization
3.2. Sustained-Release Characteristics of VEGF-Modified Decellularized Spinal Cord Scaffolds
3.3. Biocompatibility and Biosafety of VEGF-Modified Decellularized Spinal Cord Scaffolds
3.4. Immunohistochemical Observation of Subcutaneous Implantation of EDC-Crosslinked Decellularized Spinal Cord Scaffolds
3.5. Experimental Study on VEGF-Modified EDC-Crosslinked Acellular Spinal Cord Scaffold Transplantation for the Treatment of Spinal Cord Injury
3.5.1. BBB Scores of Motor Function in Rats from Groups A, B, C, and D after Surgery
3.5.2. Measurement of Motor-Evoked Potentials (MEPs) in Rats of Groups A, B, C, and D after Surgery
3.5.3. Gross Morphological Observation of Rats in Groups A, B, C, and D after Surgery
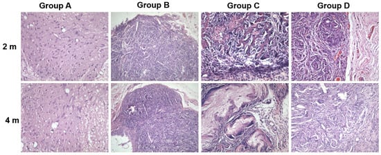
3.5.4. HE-Staining Observation of Rats in Groups A, B, C, and D after Surgery
3.5.5. Retrograde-Tracing Observation of Biotinylated Dextran Amine (BDA) in Rats of Groups A, C, and D after Surgery
4. Discussion
5. Conclusions
Author Contributions
Funding
Institutional Review Board Statement
Informed Consent Statement
Data Availability Statement
Conflicts of Interest
References
- Wang, J.Z.; Yang, M.; Meng, M.; Li, Z.H. Clinical characteristics and treatment of spinal cord injury in children and adolescents. Chin. J. Traumatol. 2023, 26, 8–13. [Google Scholar] [CrossRef]
- Shao, A.; Tu, S.; Lu, J.; Zhang, J. Crosstalk between stem cell and spinal cord injury: Pathophysiology and treatment strategies. Stem Cell Res. Ther. 2019, 10, 238. [Google Scholar] [CrossRef] [PubMed]
- Mirzaei, F.; Meshkini, A.; Habibi, B.; Salehpour, F.; Rafei, E.; Fathi, W.; Alavi, S.; Majdi, A.; Aghasan, S.; Seyed, A. Ceftriaxone Plus Methylprednisolone Combination Therapy Versus Methylprednisolone Monotherapy in Patients with Acute Spinal Cord Injury: A Randomized, Triple-Blind Clinical Trial. Int. J. Spine Surg. 2020, 14, 706–712. [Google Scholar] [CrossRef]
- Zipser, C.M.; Cragg, J.J.; Guest, J.D.; Fehlings, M.G.; Jutzeler, C.R.; Anderson, A.J.; Curt, A. Cell-based and stem-cell-based treatments for spinal cord injury: Evidence from clinical trials. Lancet Neurol. 2022, 21, 659–670. [Google Scholar] [CrossRef]
- Martirosyan, N.L.; Carotenuto, A.; Patel, A.A.; Kalani, M.; Yagmurlu, K.; Lemole, G.; Preul, M.; Theodore, N. The Role of microRNA Markers in the Diagnosis, Treatment, and Outcome Prediction of Spinal Cord Injury. Front. Surg. 2016, 3, 56. [Google Scholar] [CrossRef]
- Delgado, A.L.J.; Carreira, A.C.O.; Hianka, J.C.; Palma, R.K.; Castro, S.; Carvalho, C.; León, M.; Barreto, R.; Miglino, M. Development of a new decellularization protocol for the whole porcine heart. J. Clin. Transl. Res. 2021, 7, 563–574. [Google Scholar]
- Li, P.; Jin, D.; Dou, J.; Wang, L.; Wang, Y.; Jin, X.; Han, X.; Kang, I.; Yuan, J.; Shen, J. Nitric oxide-releasing poly(ε-caprolactone)/S-nitrosylated keratin biocomposite scaffolds for potential small-diameter vascular grafts. Int. J. Biol. Macromol. 2021, 189, 516–527. [Google Scholar] [CrossRef]
- Baldwin, M.; Snelling, S.; Dakin, S.; Carr, A. Augmenting endogenous repair of soft tissues with nanofibre scaffolds. J. R. Soc. Interface 2018, 15, 20180019. [Google Scholar] [CrossRef] [PubMed]
- Santillo, D.; Mathieson, I.; Corsi, F.; Göllner, R.; Guandalini, A. The use of acellular porcine corneal stroma xenograft (BioCorneaVet™) for the treatment of deep stromal and full thickness corneal defects: A retrospective study of 40 cases (2019–2021). Vet. Ophthalmol. 2021, 24, 469–483. [Google Scholar] [CrossRef]
- Irfan, D.; Ahmad, I.; Patra, I.; Margiana, R.; Rasulova, M.T.; Sivaraman, R.; Kandeel, M.; Mohammad, H.J.; Al-Qaim, Z.H.; Jawad, M. Stem cell-derived exosomes in bone healing: Focusing on their role in angiogenesis. Cytotherapy 2023, 25, 353–361. [Google Scholar] [CrossRef] [PubMed]
- Guo, S.Z.; Ren, X.J.; Wu, B. Preparation of the acellular scaffold of the spinal cord and the study of biocompatibility. Spinal Cord. 2010, 48, 576–581. [Google Scholar] [CrossRef] [PubMed]
- Yaldiz, B.; Saglam-Metiner, P.; Yesil-Celiktas, O. Decellularised extracellular matrix-based biomaterials for repair and regeneration of central nervous system. Expert Rev. Mol. Med. 2021, 23, e25. [Google Scholar] [CrossRef]
- Tran, K.; Partyka, P.; Jin, Y.; Bouyer, J.; Fischer, I.; Galie, P. Vascularization of self-assembled peptide scaffolds for spinal cord injury repair. Acta Biomater. 2020, 104, 76–84. [Google Scholar] [CrossRef]
- Cassell, C.; Hofer, O.; Morrison, W.; Knight, K. Vascularization of tissue-engineered grafts: The regulation of angiogenesis in resconstructive surgery and in disease states. Br. J. Plast. Surg. 2002, 55, 603–610. [Google Scholar] [CrossRef] [PubMed]
- Chiu, L.L.Y.; Radisic, M. Scaffolds with covalently immobilized VEGF and Angiopoietin-1 for vascularization of engineered tissues. Biomaterials 2010, 31, 226–241. [Google Scholar] [CrossRef]
- Jiang, T.; Ren, X.; Tang, J.; Yin, H.; Wang, K.; Zhou, C. Preparation and characterization of genipin-crosslinked rat acellular spinal cord scaffolds. Mater. Sci. Eng. C 2013, 33, 3514–3521. [Google Scholar] [CrossRef] [PubMed]
- Gong, W.; Zhang, T.; Che, M.; Wang, Y.; He, C.; Liu, L.; Lv, Z.; Xiao, C.; Wang, H.; Zhang, S. Recent advances in nanomaterials for the treatment of spinal cord injury. Mater. Today Bio 2023, 18, 100524. [Google Scholar] [CrossRef]
- Xie, C.; Li, X.; Fang, L.; Wang, T. Effects of Athermal Shortwave Diathermy Treatment on Somatosensory Evoked Potentials and Motor Evoked Potentials in Rats with Spinal Cord Injury. Spine 2019, 44, 749–758. [Google Scholar] [CrossRef]
- Fehlings, M.G.; Wilson, J.R.; Tetreault, L.A.; Aarabi, B.; Anderson, P.; Arnold, P.M.; Brodke, D.S.; Burns, A.S.; Chiba, K.; Joseph, R. A clinical practice guideline for the management of patients with acute spinal cord injury: Recommendations on the use of methylprednisolone sodium succinate. Glob. Spine J. 2017, 7, 203S–211S. [Google Scholar] [CrossRef]
- Li, C.; Song, J.; Wang, Y.; Shi, Y.; Ji, J.; Lin, Q.; Liu, Y. Adhesion and proliferation of bone marrow stromal cells on acellular spinal cord scaffolds. Int. J. Neurosci. 2022, 134, 889–898. [Google Scholar] [CrossRef]
- Qin, Y.; Zhang, K.; Sun, T.; Shen, P.; Wang, H.; Zhang, Z.; Ren, Q.G. Effect of miR-222 on the Angiogenesis of Bone Microvascular Endothelial Cells After Repair of Vascular Endothelial Growth Factor with Polylactide-Poly (ethylene glycol)-Polylactide (PELA) Microspheres. J. Biomater. Tissue Eng. 2022, 12, 2478–2482. [Google Scholar] [CrossRef]
- Song, Z.; Ye, Y.; Zhang, Z.; Shen, J.; Hu, Z.; Wang, Z.; Zheng, J. Noninvasive, targeted gene therapy for acute spinal cord injury using LIFU-mediated BDNF-loaded cationic nanobubble destruction. Biochem. Biophys. Res. Commun. 2018, 496, 911–920. [Google Scholar] [CrossRef] [PubMed]
- You, S.; Chen, B.; Liu, H.; Lang, B.; Xia, J.; Jiao, X.; Ju, G. Spontaneous recovery of locomotion induced by remaining fibers after spinal cord transection in adult rats. Restor. Neurol. Neurosci. 2003, 21, 39–45. [Google Scholar]
- Simão, C.R.; de Holanda, L.J.; Urbini, L.F.; Lacerda, M.O.; Fernandes, K.; da Silva, P.M.; Morya, E.; Lindquist, A.R. Surface electromyography to identify top-down modulation in complete chronic spinal cord injury. Eur. J. Phys. Med. 2022, 58, 144. [Google Scholar] [CrossRef]
- Ogurcov, S.; Shulman, I.; Garanina, E.; Sabirov, D.; Baichurina, I.; Kuznetcov, M.; Masgutova, G.; Kostennikov, A.; Rizvanov, A.; James, V. Blood serum cytokines in patients with subacute spinal cord injury: A pilot study to search for biomarkers of injury severity. Brain Sci. 2021, 11, 322. [Google Scholar] [CrossRef] [PubMed]
- Albayar, A.A.; Roche, A.; Swiatkowski, P.; Antar, S.; Ouda, N.; Emara, E.; Smith, D.H.; Ozturk, A.K.; Awad, B.I. Biomarkers in spinal cord injury: Prognostic insights and future potentials. Front. Neurol. 2019, 10, 27. [Google Scholar] [CrossRef]









Disclaimer/Publisher’s Note: The statements, opinions and data contained in all publications are solely those of the individual author(s) and contributor(s) and not of MDPI and/or the editor(s). MDPI and/or the editor(s) disclaim responsibility for any injury to people or property resulting from any ideas, methods, instructions or products referred to in the content. |
© 2024 by the authors. Licensee MDPI, Basel, Switzerland. This article is an open access article distributed under the terms and conditions of the Creative Commons Attribution (CC BY) license (https://creativecommons.org/licenses/by/4.0/).
Share and Cite
Deng, X.; Liu, Y.; Xu, Z.; Yin, H. Ultrasound-Assisted Acellular Spinal Cord Scaffold for Spinal Cord Injury Treatment. Coatings 2024, 14, 1137. https://doi.org/10.3390/coatings14091137
Deng X, Liu Y, Xu Z, Yin H. Ultrasound-Assisted Acellular Spinal Cord Scaffold for Spinal Cord Injury Treatment. Coatings. 2024; 14(9):1137. https://doi.org/10.3390/coatings14091137
Chicago/Turabian StyleDeng, Xi, Yun Liu, Zhongsheng Xu, and Hong Yin. 2024. "Ultrasound-Assisted Acellular Spinal Cord Scaffold for Spinal Cord Injury Treatment" Coatings 14, no. 9: 1137. https://doi.org/10.3390/coatings14091137
APA StyleDeng, X., Liu, Y., Xu, Z., & Yin, H. (2024). Ultrasound-Assisted Acellular Spinal Cord Scaffold for Spinal Cord Injury Treatment. Coatings, 14(9), 1137. https://doi.org/10.3390/coatings14091137
