The Effectiveness of a 10-Methacryloyloxydecyl Dihydrogen Phosphate (10-MDP)-Containing Hydrophilic Primer on Orthodontic Molar Tubes Bonded under Moisture Contamination: A Randomized Controlled Trial
Abstract
1. Introduction
Specific Objectives or Hypotheses
2. Materials and Methods
2.1. Trial Design and Ethical Considerations
2.2. Participants, Eligibility Criteria, and Setting
- Patients who required a 0.22″ metal fixed orthodontic appliance;
- Complete permanent dentition on both arches, with fully erupted molar teeth;
- Complete set of first molars with their buccal surfaces free from decay, restorations, or gingival hyperplasia;
- No occlusal interferences that may transmit forces to the molar tube other than orthodontic forces.
- Patients who have oral habits (i.e., bruxism or clenching);
- Patients with systemic disease affecting salivary flow rate or with xerostomia;
- Patients who have scissor bite or posterior crossbite;
- Patients who need a molar band rather than a tube in appliance design (i.e., for expander or transpalatal arch).
2.3. Interventions
- Control group (Hydrophobic primer, HP): an even coat of an HP primer (Transbond XT, 3M Unitek, Monrovia, CA, USA) was applied to the etched surface using a nylon bond brush. Each tooth received a gentle air blow for 2 s with the air stream aimed perpendicular to the enamel surface, followed by a 10 s light cure using a light -emitting diode, Eighteeth curing pen (Changzhou City, Jiangsu, China), with the following specification of light curing unit: light intensity—1500 mW/cm2, output wavelength—380–515 nm.
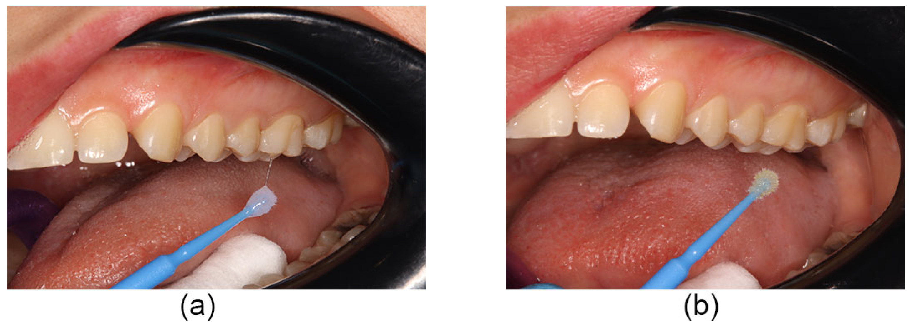
- Test group (10-MDP Hydrophilic primer, 10-MDP HP): a wet cotton roll was wiped against the etched tooth surface, and then one coat of the patient’s non-stimulated saliva was taken from the upper labial sulcus (Figure 1b).

2.4. Outcomes (Primary and Secondary) and Any Changes after Trial Commencement
2.5. Sample Size and Power of the Study
2.6. Randomization
2.7. Blinding
2.8. Statistical Analysis
3. Results
3.1. Participant Flow
3.2. Recruitment
3.3. Baseline Data
3.4. Numbers Analysed
3.5. Outcomes
3.5.1. Primary Outcomes
3.5.2. Secondary Outcomes
3.6. Harms
4. Discussion
4.1. The Number of Bond Failures and the Tubes’ Survival Rates
4.2. The Effect of Gender and Arch on the Number of Bond Failures and the Tubes’ Survival Rates
4.3. The Adhesive Remnant Index
4.4. Limitations
4.5. Generalization
4.6. Future Work
5. Conclusions
- Molar tubes bonded intraorally using a 10-MDP-containing hydrophilic primer under contaminated conditions scored fewer bond failures and higher survival rates when compared with molar tubes bonded using a conventional hydrophobic primer under non-contaminated conditions; thus, the hydrophilic primer could be useful clinically, especially in poor isolation conditions.
- The gender and arch did not significantly influence the survival and number of debonded molar tubes.
- Molar tubes bonded using conventional hydrophobic primer failed at the enamel–adhesive interface, while tubes bonded using the 10-MDP-containing hydrophilic primer tend to failed at the tube-adhesive interface.
- The findings from this study highlight the significant advantages of using a 10-MDP-containing hydrophilic primer for bonding molar tubes under potentially challenging conditions. This innovative approach resulted in remarkably fewer bond failures and higher survival rates when compared to the traditional hydrophobic primer. These insights have important implications for orthodontic practice, emphasizing the potential benefits of incorporating 10-MDP-containing hydrophilic primers to improve the longevity and reliability of molar tube bonds.
Author Contributions
Funding
Institutional Review Board Statement
Informed Consent Statement
Data Availability Statement
Acknowledgments
Conflicts of Interest
References
- Gange, P. The evolution of bonding in orthodontics. Am. J. Orthod. Dentofac. Orthop. 2015, 147 (Suppl. S4), S56–S63. [Google Scholar] [CrossRef]
- Kumar, I.; Bhagyalakshmi, A.; Shivalinga, B.; Raghunath, N. Evaluation of the effect of moisture and saliva on the shear bond strength of brackets bonded with conventional bonding system and moisture insensitive primer: An in vitro study. Int. J. Orthod. Rehabil. 2018, 9, 145–154. [Google Scholar] [CrossRef]
- Safar, A.; Jawad, Z.N.; Geramy, A.; Heidari, S.; Ghadirian, H. Shear bond strength of APC Plus adhesive coated appliance system to enamel in wet and dry conditions: An in vitro study. Int. Orthod. 2021, 19, 130–136. [Google Scholar] [CrossRef]
- Paschos, E.; Westphal, J.-O.; Ilie, N.; Huth, K.C.; Hickel, R.; Rudzki-Janson, I. Artificial Saliva Contamination Effects on Bond Strength of Self-etching Primers. Angle Orthod. 2008, 78, 716–721. [Google Scholar] [CrossRef]
- Kumar, P.; Shenoy, A.; Joshi, S. The effect of various surface contaminants on the microleakage of two different generation bonding agents: A stereomicroscopic study. J. Conserv. Dent. 2012, 15, 265. [Google Scholar] [CrossRef]
- Öztoprak, M.O.; Isik, F.; Sayınsu, K.; Arun, T.; Aydemir, B. Effect of blood and saliva contamination on shear bond strength of brackets bonded with 4 adhesives. Am. J. Orthod. Dentofac. Orthop. 2007, 131, 238–242. [Google Scholar] [CrossRef]
- Wendl, B.; Droschl, H. A comparative in vitro study of the strength of directly bonded brackets using different curing techniques. Eur. J. Orthod. 2004, 26, 535–544. [Google Scholar] [CrossRef]
- Grandhi, R.K.; Combe, E.C.; Speidel, T.M. Shear bond strength of stainless steel orthodontic brackets with a moisture-insensitive primer. Am. J. Orthod. Dentofac. Orthop. 2001, 119, 251–255. [Google Scholar] [CrossRef]
- Roelofs, T.; Merkens, N.; Roelofs, J.; Bronkhorst, E.; Breuning, H. A retrospective survey of the causes of bracket-and tube-bonding failures. Angle Orthod. 2017, 87, 111–117. [Google Scholar] [CrossRef]
- Skidmore, K.J.; Brook, K.J.; Thomson, W.M.; Harding, W.J. Factors influencing treatment time in orthodontic patients. Am. J. Orthod. Dentofac. Orthop. 2006, 129, 230–238. [Google Scholar] [CrossRef]
- Abid, M.F.; Alhuwaizi, A.F.; Al-Attar, A.M. Do orthodontists aim to decrease the duration of fixed appliance treatment? J. Orthod. Sci. 2021, 10, 6. [Google Scholar]
- Shukla, C.; Maurya, R.; Jain, U.; Gupta, A.; Garg, J. Moisture insensitive primer: A myth or truth. J. Orthod. Sci. 2014, 3, 132–136. [Google Scholar]
- Wang, T.; Nikaido, T.; Nakabayashi, N. Photocure bonding agent containing phosporic methacrylate. Dent. Mater. 1991, 7, 59–62. [Google Scholar] [CrossRef]
- Goswami, A.; Mitali, B.; Roy, B. Shear bond strength comparison of moisture-insensitive primer and self-etching primer. J. Orthod. Sci. 2014, 3, 89–93. [Google Scholar] [CrossRef]
- Hadrous, R.; Bouserhal, J.; Osman, E. Evaluation of shear bond strength of orthodontic molar tubes bonded using hydrophilic primers: An in vitro study. Int. Orthod. 2019, 17, 461–468. [Google Scholar] [CrossRef]
- Stefański, T.; Kloc-Ptaszna, A.; Postek-Stefańska, L. Bond strength of orthodontic adhesives to dry and saliva-moistened enamel a comparative in vitro study. Arch. Mater. Sci. Eng. 2019, 96, 79–84. [Google Scholar] [CrossRef]
- Eliades, T.; Brantley, W. The inappropriateness of conventional orthodontic bond strength assessment protocols. Eur. J. Orthod. 2000, 22, 13–23. [Google Scholar] [CrossRef]
- Zeppieri, I.L.; Chung, C.-H.; Mante, F.K. Effect of saliva on shear bond strength of an orthodontic adhesive used with moisture-insensitive and self-etching primers. Am. J. Orthod. Dentofac. Orthop. 2003, 124, 414–419. [Google Scholar] [CrossRef]
- Endo, T.; Ozoe, R.; Sanpei, S.; Shinkai, K.; Katoh, Y.; Shimooka, S. Effects of moisture conditions of dental enamel surface on bond strength of brackets bonded with moisture-insensitive primer adhesive system. Odontology 2008, 96, 50–54. [Google Scholar] [CrossRef]
- Årtun, J.; Bergland, S. Clinical trials with crystal growth conditioning as an alternative to acid-etch enamel pretreatment. Am. J. Orthod. 1984, 85, 333–340. [Google Scholar] [CrossRef]
- Littlewood, S.J.; Mitchell, L.; Greenwood, D.C. A Randomized Controlled Trial to Investigate Brackets Bonded with a Hydrophilic Primer. J. Orthod. 2001, 28, 301–305. [Google Scholar] [CrossRef]
- Albertin, S.A.; Pinzan-Vercelino, C.R.M.; Flores-Mir, C.; Gurgel, J.D.A. Failure rates among metal brackets cured with two high-intensity LED light-curing lamps: An in vivo study. Eur. J. Orthod. 2021, 43, 229–233. [Google Scholar] [CrossRef]
- Random Number Generator. Available online: https://www.graphpad.com/quickcalcs/randomN2/ (accessed on 7 September 2023).
- Plasmans, P.; Creugers, N.; Hermsen, R.; Vrijhoef, M. Intraoral humidity during operative procedures. J. Dent. 1994, 22, 89–91. [Google Scholar] [CrossRef]
- Zachrisson, B.U. A posttreatment evaluation of direct bonding in orthodontics. Am. J. Orthod. 1977, 71, 173–189. [Google Scholar] [CrossRef]
- Haruyama, A.; Kameyama, A.; Tatsuta, C.; Ishii, K.; Sugiyama, T.; Sugiyama, S.; Takahashi, T. Influence of different rubber dam application on intraoral temperature and relative humidity. Bull. Tokyo Dent. Coll. 2014, 55, 11–17. [Google Scholar] [CrossRef]
- Mohammed-Salih, H.S.; Saloom, H.F. Collection, storage and protein extraction method of gingival crevicular fluid for proteomic analysis. Baghdad Sci. J. 2022, 19, 368–377. [Google Scholar]
- Shaik, J.A.; Reddy, R.K.; Bhagyalakshmi, K.; Shah, M.J.; Madhavi, O.; Ramesh, S.V. In vitro Evaluation of Shear Bond Strength of Orthodontic Brackets Bonded with Different Adhesives. Contemp. Clin. Dent. 2018, 9, 289–292. [Google Scholar] [CrossRef]
- Deprá, M.B.; Almeida, J.X.d.; Cunha, T.d.M.A.d.; Lon, L.F.S.; Retamoso, L.B.; Tanaka, O.M. Effect of saliva contamination on bond strength witha hydrophilic composite resin. Dent. Press J. Orthod. 2013, 18, 63–68. [Google Scholar] [CrossRef]
- Faltermeier, A.; Behr, M.; Rosentritt, M.; Reicheneder, C.; Müßig, D. An in vitro comparative assessment of different enamel contaminants during bracket bonding. Eur. J. Orthod. 2007, 29, 559–563. [Google Scholar] [CrossRef]
- Fujisawa, S.; Imai, Y.; Fujisawa; Kojima, K.; Fujisawa; Masuhara, E. Studies on Hemolytic Activity of Bisphenol A Diglycidyl Methacrylate (BIS-GMA). J. Dent. Res. 1978, 57, 98–102. [Google Scholar] [CrossRef]
- Imazato, S.; Tarumi, H.; Kato, S.; Ebi, N.; Ehara, A.; Ebisu, S. Water sorption, degree of conversion, and hydrophobicity of resins containing Bis-GMA and TEGDMA. Dent. Mater. J. 1999, 18, 124–132. [Google Scholar] [CrossRef]
- Cacciafesta, V.; Sfondrini, M.F.; De Angelis, M.; Scribante, A.; Klersy, C. Effect of water and saliva contamination on shear bond strength of brackets bonded with conventional, hydrophilic, and self-etching primers. Am. J. Orthod. Dentofac. Orthop. 2003, 123, 633–640. [Google Scholar] [CrossRef]
- Alex, G. Universal adhesives: The next evolution in adhesive dentistry. Compend. Contin. Educ. Dent. 2015, 36, 15–26. [Google Scholar]
- Wongsamut, W.; Satrawaha, S.; Wayakanon, K. Surface modification for bonding between amalgam and orthodontic brackets. J. Orthod. Sci. 2017, 6, 129. [Google Scholar]
- Ihsan, S.S.A.; Mohammed, S.A. Comparison of shear bond strength of orthodontic buccal tube bonded to zirconia crown after using two different (10-MDP)-containing adhesive systems. Int. J. Med. Res. Health Sci. 2019, 8, 69–78. [Google Scholar]
- Llerena-Icochea, A.E.; Costa, R.M.d.; Borges, A.F.S.; Bombonatti, J.F.S.; Furuse, A.Y. Bonding polycrystalline zirconia with 10-MDP–containing adhesives. Oper. Dent. 2017, 42, 335–341. [Google Scholar] [CrossRef]
- Pott, P.C.; Stiesch, M.; Eisenburger, M. Influence of 10-MDP adhesive system on shear bond strength of zirconia-composite interfaces. J. Dent. Mater. Tech. 2015, 4, 117–126. [Google Scholar]
- Tsuchimoto, Y.; Yoshida, Y.; Mine, A.; Nakamura, M.; Nishiyama, N.; Van Meerbeek, B.; Suzuki, K.; Kuboki, T. Effect of 4-MET-and 10-MDP-based primers on resin bonding to titanium. Dent. Mater. J. 2006, 25, 120–124. [Google Scholar] [CrossRef][Green Version]
- Fehrenbach, J.; Isolan, C.P.; Münchow, E.A. Is the presence of 10-MDP associated to higher bonding performance for self-etching adhesive systems? A meta-analysis of in vitro studies. Dent. Mater. 2021, 37, 1463–1485. [Google Scholar] [CrossRef]
- Webster, M.J.; Nanda, R.S.; Duncanson, M.G., Jr.; Khajotia, S.S.; Sinha, P.K. The effect of saliva on shear bond strengths of hydrophilic bonding systems. Am. J. Orthod. Dentofac. Orthop. 2001, 119, 54–58. [Google Scholar] [CrossRef]
- Mavropoulos, A.; Karamouzos, A.; Kolokithas, G.; Athanasiou, A.E. In Vivo Evaluation of Two New Moisture-Resistant Orthodontic Adhesive Systems: A Comparative Clinical Trial. J. Orthod. 2003, 30, 139–147. [Google Scholar] [CrossRef]
- O’Brien, K.D.; Read, M.J.F.; Sandison, R.J.; Roberts, C.T. A visible light-activated direct-bonding material: An in vivo comparative study. Am. J. Orthod. Dentofac. Orthop. 1989, 95, 348–351. [Google Scholar] [CrossRef]
- Deli, R.; Macrì, L.A.; Radico, P.; Pantanali, F.; Grieco, D.L.; Gualano, M.R.; La Torre, G. Orthodontic treatment attitude versus orthodontic treatment need: Differences by gender, age, socioeconomical status and geographical context. Community Dent. Oral Epidemiol. 2012, 40, 71–76. [Google Scholar]
- Linklater, R.A.; Gordon, P.H. Bond failure patterns in vivo. Am. J. Orthod. Dentofac. Orthop. 2003, 123, 534–539. [Google Scholar] [CrossRef]
- Manzo, B.; Liistro, G.; De Clerck, H. Clinical trial comparing plasma arc and conventional halogen curing lights for orthodontic bonding. Am. J. Orthod. Dentofac. Orthop. 2004, 125, 30–35. [Google Scholar] [CrossRef]
- Nandhra, S.S.; Littlewood, S.J.; Houghton, N.; Luther, F.; Prabhu, J.; Munyombwe, T.; Wood, S.R. Do we need primer for orthodontic bonding? A randomized controlled trial. Eur. J. Orthod. 2014, 37, 147–155. [Google Scholar] [CrossRef]
- Mohammed-Salih, H.S. The effect of thermocycling and debonding time on the shear bond strength of different orthodontic brackets bonded with light-emitting diode adhesive (In vitro study). J. Bagh Coll. Dent 2013, 25, 139–145. [Google Scholar] [CrossRef]
- Mauwafak, S.; Al-Dabagh, D.J. Comparison of Shear Bond Strength of Three Different Brackets Bonded on Zirconium Surfaces (In Vitro Study). J. Baghdad Coll. Dent. 2016, 28, 142–148. [Google Scholar] [CrossRef]
- Adolfsson, U.; Larsson, E.; Ögaard, B. Bond failure of a no-mix adhesive during orthodontic treatment. Am. J. Orthod. Dentofac. Orthop. 2002, 122, 277–281. [Google Scholar] [CrossRef]





| Participants | 32 | |
|---|---|---|
| gender | Male | 12 |
| Female | 20 | |
| age | Mean age (years) | 19 |
| Minimum age (years) | 14 | |
| Maximum age (years) | 24 |
| Groups | Survival | |
|---|---|---|
| Survived | Debonded | |
| control group (HP) | 56 | 8 |
| 87.50% | 12.50% | |
| test group (10-MDP HP) | 62 | 2 |
| 96.90% | 3.12% | |
| total | 118 | 10 |
| 92.18% | 7.81% | |
| Covariates | Test | |
|---|---|---|
| Multinomial Logistic Regression (p-Value) | Cox Regression (p-Value) | |
| arch | 0.192 | 0.206 |
| gender | 0.603 | 0.619 |
| Gender and Arch | Total Number of Bonded Molar Tubes | Survival | ||||
|---|---|---|---|---|---|---|
| Survived | Debonded | |||||
| Control Group | Test Group | Control Group | Test Group | Control Group | Test Group | |
| male | 24 | 24 | 22 | 23 | 2 | 1 |
| 18.80% | 18.80% | 17% | 18.00% | 1.60% | 0.80% | |
| female | 40 | 40 | 34 | 39 | 6 | 1 |
| 31.30% | 31.30% | 26.60% | 30.50% | 4.70% | 0.80% | |
| maxillary arch | 32 | 32 | 29 | 32 | 3 | 0 |
| 25.00% | 25.00% | 22.70% | 25.00% | 2.30% | 0.00% | |
| mandibular arch | 32 | 32 | 27 | 30 | 5 | 2 |
| 25.00% | 25.00% | 21.10% | 23.40% | 3.90% | 1.60% | |
| Groups | ARI Scores | Total | |||
|---|---|---|---|---|---|
| 0 | 1 | 2 | 3 | ||
| control group (HP) | 7 | 1 | 0 | 0 | 8 |
| 87.50% | 12.50% | 0.00% | 0.00% | 100.00% | |
| test group (10-MDP HP) | 0 | 0 | 0 | 2 | 2 |
| 0.00% | 0.00% | 0.00% | 100.00% | 100.00% | |
| total | 7 | 1 | 0 | 2 | 10 |
| 70% | 10% | 0.00% | 20% | 100.00% | |
Disclaimer/Publisher’s Note: The statements, opinions and data contained in all publications are solely those of the individual author(s) and contributor(s) and not of MDPI and/or the editor(s). MDPI and/or the editor(s) disclaim responsibility for any injury to people or property resulting from any ideas, methods, instructions or products referred to in the content. |
© 2023 by the authors. Licensee MDPI, Basel, Switzerland. This article is an open access article distributed under the terms and conditions of the Creative Commons Attribution (CC BY) license (https://creativecommons.org/licenses/by/4.0/).
Share and Cite
Abduljawad, A.; Mohammed-Salih, H.; Jabir, M.; Almahdy, A. The Effectiveness of a 10-Methacryloyloxydecyl Dihydrogen Phosphate (10-MDP)-Containing Hydrophilic Primer on Orthodontic Molar Tubes Bonded under Moisture Contamination: A Randomized Controlled Trial. Coatings 2023, 13, 1635. https://doi.org/10.3390/coatings13091635
Abduljawad A, Mohammed-Salih H, Jabir M, Almahdy A. The Effectiveness of a 10-Methacryloyloxydecyl Dihydrogen Phosphate (10-MDP)-Containing Hydrophilic Primer on Orthodontic Molar Tubes Bonded under Moisture Contamination: A Randomized Controlled Trial. Coatings. 2023; 13(9):1635. https://doi.org/10.3390/coatings13091635
Chicago/Turabian StyleAbduljawad, Ahmed, Harraa Mohammed-Salih, Majid Jabir, and Ahmed Almahdy. 2023. "The Effectiveness of a 10-Methacryloyloxydecyl Dihydrogen Phosphate (10-MDP)-Containing Hydrophilic Primer on Orthodontic Molar Tubes Bonded under Moisture Contamination: A Randomized Controlled Trial" Coatings 13, no. 9: 1635. https://doi.org/10.3390/coatings13091635
APA StyleAbduljawad, A., Mohammed-Salih, H., Jabir, M., & Almahdy, A. (2023). The Effectiveness of a 10-Methacryloyloxydecyl Dihydrogen Phosphate (10-MDP)-Containing Hydrophilic Primer on Orthodontic Molar Tubes Bonded under Moisture Contamination: A Randomized Controlled Trial. Coatings, 13(9), 1635. https://doi.org/10.3390/coatings13091635

