Antimicrobial Susceptibility Pattern of Porcine Respiratory Bacteria in Spain
Abstract
1. Introduction
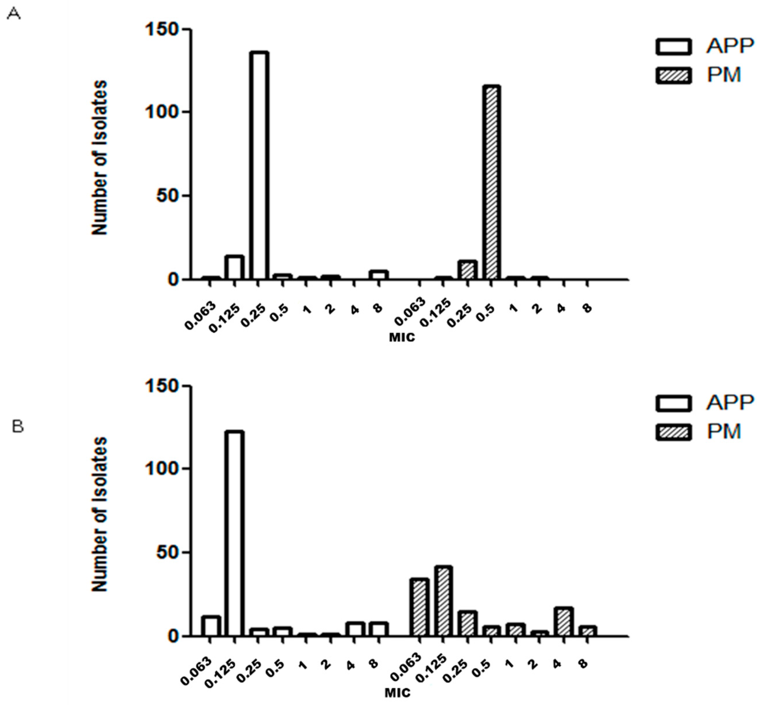
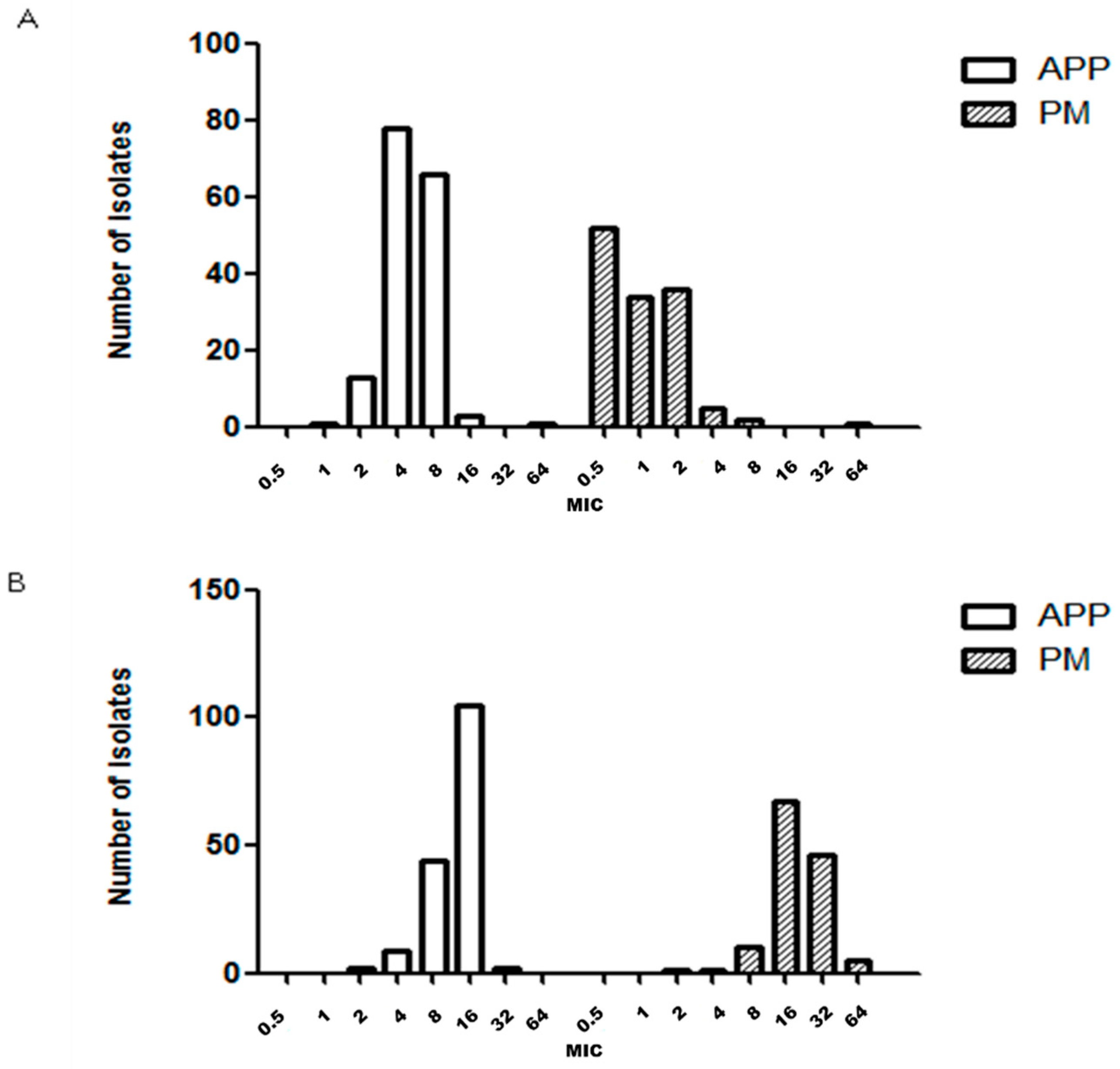
2. Results
3. Discussion
4. Materials and Methods
4.1. Clinical Samples
4.2. Bacterial Isolation and Identification
4.3. Antimicrobial Sensitivity Testing
4.4. Data Analysis
5. Conclusions
Author Contributions
Funding
Acknowledgments
Conflicts of Interest
References
- Brockmeier, S.L.; Halbur, P.G.; Thacker, E.L. Porcine respiratory disease complex. In Polymicrobial Diseases; Brogden, K.A., Guthmiller, J.M., Eds.; ASM Press: Washington, DC, USA, 2002. [Google Scholar]
- Fraile, L.; Alegre, A.; López-Jiménez, R.; Nofrarías, M.; Segalés, J. Risk factors associated with pleuritis and cranio-ventral pulmonary consolidation in slaughter-aged pigs. Vet. J. 2010, 18, 326–333. [Google Scholar] [CrossRef] [PubMed]
- Fablet, C.; Marois-Crehan, C.; Simon, G.; Grasland, B.; Jestin, A.; Kobisch, M.; Madec, F.; Rose, N. Infectious agents associated with respiratory diseases in 125 farrow-to-finish pig herds: A cross sectional study. Vet. Microb. 2012, 157, 152–163. [Google Scholar] [CrossRef] [PubMed]
- Van Alstine, W.G. Respiratory system. In Diseases of Swine; Zimmerman, J.J., Karriker, L.A., Kent, A.R., Schwartz, J., Stevenson, G.W., Eds.; Wiley-Blackwell: Ames, IA, USA, 2012. [Google Scholar]
- Maes, D.; Sibila, M.; Kuhnert, P.; Segalés, J.; Haesebrouck, F.; Pieters, M. Update on Mycoplasma hyopneumoniae infections in pigs: Knowledge gaps for improved disease control. Transbound. Emerg. Dis. 2018, 65, 110–124. [Google Scholar] [CrossRef] [PubMed]
- Sassu, E.L.; Bossé, J.T.; Tobias, T.J.; Gottschalk, M.; Langford, P.R.; Hennig-Pauka, I. Update on Actinobacillus pleuropneumoniae—Knowledge, gaps and challenges. Transbound. Emerg. Dis. 2018, 65, 72–90. [Google Scholar] [CrossRef] [PubMed]
- Opriessnig, T.; Giménez-Lirola, L.G.; Halbur, P.G. Polymicrobial respiratory disease in pigs. Anim. Health Res. Rev. 2011, 12, 133–148. [Google Scholar] [CrossRef]
- Colomer, M.À.; Margalida, A.; Fraile, L. Improving the management procedures in farms infected with the Porcine Reproductive and Respiratory Syndrome virus using PDP models. Sci. Rep. 2019, 9, 1–13. [Google Scholar] [CrossRef]
- Khatun, A.; Nazki, S.; Jeong, C.G.; Gu, S.; Mattoo, S.U.S.; Lee, S.I.; Yang, M.S.; Lim, B.; Kim, K.S.; Kim, B.; et al. Effect of polymorphisms in porcine guanylate-binding proteins on host resistance to PRRSV infection in experimentally challenged pigs. Vet. Res. 2020, 51, 1–14. [Google Scholar] [CrossRef]
- Sargeant, J.M.; Deb, B.; Bergevin, M.D.; Churchill, K.; Dawkins, K.; Dunn, J.; Hu, D.; Moody, C.; O’Connor, A.M.; O’Sullivan, T.L.; et al. Efficacy of bacterial vaccines to prevent respiratory disease in swine: A systematic review and network meta-analysis. Anim. Health Res. Rev. 2019, 20, 274–290. [Google Scholar] [CrossRef]
- Fraile, L. Antimicrobial Therapy in Swine. Practical Approach; Editorial Servet: Zaragoza, Spain, 2013. [Google Scholar]
- Bronzwaer, S.L.A.M.; Cars, O.; Buchholz, U.; Mölstad, S.; Goettsch, W.; Veldhuijzen, I.K.; Kool, J.I.; Sprenger, M.J.W.; Degener, J.E. The relationship between antimicrobial use and antimicrobial resistance in Europe. Emerg. Infect. Dis. 2002, 8, 278–282. [Google Scholar] [CrossRef]
- Aarestrup, F.M.; Duran, C.O.; Burch, D.G.S. Antimicrobial resistance in swine production. Anim. Health Res. Rev. 2008, 9, 135–148. [Google Scholar] [CrossRef]
- World Health Organization. Global Action Plan on Antimicrobial Resistance. Available online: https://www.who.int/antimicrobial-resistance/global-action-plan/en/ (accessed on 1 June 2020).
- European Surveillance of Veterinary Antimicrobial Consumption (ESVAC). Sales of Veterinary Antimicrobial Agents in 29 European Countries in 2017, Trends from 2011 to 2017. Ninth ESVAC Report. 2019. Available online: https://www.ema.europa.eu/en/documents/report/sales-veterinary-antimicrobial-agents-31-european-countries-2017_en.pdf (accessed on 1 June 2020).
- Agencia Española De Medicamentos Y Productos Sanitarios. Plan Estratégico y de Acción Para Reducir el Riesgo de Selección y Diseminación de la Resistencia a los Antibióticos, 2019. Plan Nacional Resistencia a Antibióticos (PRAN). Available online: https://www.aemps.gob.es/laAEMPS/planificacion-AEMPS/docs/Plan-estrategico-2019-2022.pdf. (accessed on 1 June 2020).
- European Commission. Guidelines for the Prudent Use of Antimicrobials in Veterinary Medicine (2015/C299/04). 2015. Available online: https://ec.europa.eu/health/sites/health/files/antimicrobial_resistance/docs/2015_prudent_use_guidelines_en.pdf. (accessed on 1 June 2020).
- Humphries, R.M.; Kircher, S.; Ferrell, A.; Krause, K.M.; Malherbe, R.; Hsiung, A.; Burnham, C.A. The Continued Value of Disk Diffusion for Assessing Antimicrobial Susceptibility in Clinical Laboratories: Report from the Clinical and Laboratory Standards Institute Methods Development and Standardization Working Group. J. Clin. Microbiol. 2018, 56, 1–10. [Google Scholar] [CrossRef] [PubMed]
- Humphries, R.M.; Hindler, J.A.; Shaffer, K.; Campeau, S.A. Evaluation of Ciprofloxacin and Levofloxacin Disk Diffusion and Etest Using the 2019 Enterobacteriaceae CLSI Breakpoints. J. Clin. Microbiol. 2019, 57, 1–7. [Google Scholar] [CrossRef] [PubMed]
- Aguirre, L.; Vidal, A.; Seminati, C.; Tello, M.; Redondo, N.; Darwich, L.; Martín, M. Antimicrobial resistance profile and prevalence of extended-spectrum beta-lactamases (ESBL), AmpC beta-lactamases and colistin resistance (mcr) genes in Escherichia coli from swine between 1999 and 2018. Porcine Health Manag. J. 2020, 6, 1–6. [Google Scholar] [CrossRef] [PubMed]
- Clinical and Laboratory Standards Institute. CLSI Supplement VET08. Performance Standards for Antimicrobial Disk and Dilution Susceptibility Tests for Bacteria Isolated from Animals, 4th ed.; Clinical and Laboratory Standards Institute: Wayne, PA, USA, 2018. [Google Scholar]
- Clinical and Laboratory Standards Institute. CLSI Supplement M100. Performance Standards for Antimicrobial Susceptibility Testing, 28th ed.; Clinical and Laboratory Standards Institute: Wayne, PA, USA, 2018. [Google Scholar]
- Wen, X.; Gehring, R.; Stallbaumer, A.; Riviere, J.E.; Volkova, V.V. Limitations of MIC as sole metric of pharmacodynamic response across the range of antimicrobial susceptibilities within a single bacterial species. Sci. Rep. 2016, 6, 1–8. [Google Scholar] [CrossRef]
- Mouton, J.W.; Muller, A.E.; Canton, R.; Giske, C.G.; Kahlmeter, G.; Turnidge, J. MIC-based dose adjustment: Facts and fables. J. Antimicrob. Chemother. 2018, 73, 564–568. [Google Scholar] [CrossRef]
- Bader, J.C.; Lakota, E.A.; Andes, D.R.; Rubino, C.M.; Ambrose, P.G.; Bhavnani, S.M. Time for Precision: A World Without Susceptibility Breakpoints. Open Forum Infect. Dis. 2018, 5, 1–6. [Google Scholar] [CrossRef]
- Gutiérrez-Martín, C.B.; del Blanco, N.; Blanco, M.; Navas, J.; Rodríguez-Ferri, E.F. Changes in antimicrobial susceptibility of Actinobacillus pleuropneumoniae isolated from pigs in Spain during the last decade. Vet. Microbiol. 2006, 115, 218–222. [Google Scholar] [CrossRef]
- Hendriksen, R.S.; Mevius, D.J.; Schroeter, A.; Teale, C.; Jouy, E.; Butaye, P.; Franco, A.; Utinane, A.; Amado, A.; Moreno, M.; et al. Occurrence of antimicrobial resistance among bacterial pathogens and indicator bacteria in pigs in different European countries from year 2002–2004: The ARBAO-II study. Acta Vet. Scand. 2008, 50, 1–10. [Google Scholar] [CrossRef]
- Holmer, I.; Salomonsen, C.M.; Jorsal, S.E.; Astrup, L.B.; Jensen, V.F.; Høg, B.B.; Pedersen, K. Antibiotic resistance in porcine pathogenic bacteria and relation to antibiotic usage. BMC Vet. Res. 2019, 15, 1–13. [Google Scholar] [CrossRef]
- Lizarazo, Y.A.; Ferri, E.F.; de la Fuente, A.J.; Martín, C.B. Evaluation of changes in antimicrobial susceptibility patterns of Pasteurella multocida subsp multocida isolates from pigs in Spain in 1987–1988 and 2003–2004. Am. J. Vet. Res. 2006, 67, 663–668. [Google Scholar] [CrossRef]
- El Garch, F.; de Jong, A.; Simjee, S.; Moyaert, H.; Klein, U.; Ludwig, C.; Marion, H.; Haag-Diergarten, S.; Richard-Mazet, A.; Thomas, V.; et al. Monitoring of antimicrobial susceptibility of respiratory tract pathogens isolated from diseased cattle and pigs across Europe, 2009–2012: VetPath results. Vet. Microbiol. 2016, 194, 1–22. [Google Scholar] [CrossRef]
- Zhao, Z.; Wang, C.; Xue, Y.; Tang, X.; Wu, B.; Cheng, X.; He, Q.; Chen, H. The occurrence of Bordetella bronchiseptica in pigs with clinical respiratory disease. Vet. J. 2011, 188, 337–340. [Google Scholar] [CrossRef] [PubMed]
- Kadlec, K.; Kehrenberg, C.; Wallmann, J.; Schwarz, S. Antimicrobial susceptibility of Bordetella bronchiseptica isolates from porcine respiratory tract infections. Antimicrob. Agents Chemother. 2004, 48, 4903–4906. [Google Scholar] [CrossRef]
- Prüller, S.; Rensch, U.; Meemken, D.; Kaspar, H.; Kopp, P.A.; Klein, G.; Kehrenberg, C. Antimicrobial susceptibility of Bordetella bronchiseptica isolates from swine and companion animals and detection of resistance genes. PLoS ONE 2015, 10, 1–14. [Google Scholar] [CrossRef]
- Speakman, A.J.; Binns, S.H.; Osborn, A.M.; Corkill, J.E.; Kariuki, S.; Saunders, J.R.; Dawson, S.; Gaskell, R.M.; Hart, C.A. Characterization of antibiotic resistance plasmids from Bordetella bronchiseptica. J. Antimicrob. Chemother. 1997, 40, 811–816. [Google Scholar] [CrossRef] [PubMed]
- Dayao, D.A.; Gibson, J.S.; Blackall, P.J.; Turni, C. Antimicrobial resistance in bacteria associated with porcine respiratory disease in Australia. Vet. Microbiol. 2014, 171, 232–235. [Google Scholar] [CrossRef] [PubMed]
- Schwarz, S.; Böttner, A.; Goossens, L.; Hafez, H.M.; Hartmann, K.; Kaske, M.; Kehrenberg, C.; Kietzmann, M.; Klarmann, D.; Klein, G.; et al. A proposal of clinical breakpoints for amoxicillin applicable to porcine respiratory tract pathogens. Vet. Microbiol. 2008, 126, 178–188. [Google Scholar] [CrossRef] [PubMed]
- Rey, J.F.; Laffont, C.M.; Croubels, S.; De Backer, P.; Zemirline, C.; Bousquet, E.; Guyonnet, J.; Ferran, A.A.; Bousquet-Melou, A.; Toutain, P.L. Use of Monte Carlo simulation to determine pharmacodynamic cutoffs of amoxicillin to establish a breakpoint for antimicrobial susceptibility testing in pigs. Am. J. Vet. Res. 2014, 75, 124–131. [Google Scholar] [CrossRef]
- Burch, D.G.S.; Sperling, D. Amoxicillin-current use in swine medicine. J. Vet. Pharmacol. Ther. 2018, 41, 356–368. [Google Scholar] [CrossRef]





| Antimicrobial | MIC50 (μg/mL) | MIC90 (μg/mL) | Clinical Breakpoint (CB) 1 (μg/mL) | Antimicrobial Susceptibility Based on CB |
|---|---|---|---|---|
| Amoxicillin | 0.25 | 16 | 0.5 $ | 72.2 |
| Ceftiofur | 0.06 | 0.06 | 2 | 100 |
| Doxycycline | 1 | 4 | 0.5 + | 35.7 |
| Enrofloxacin | 0.06 | 1 | 0.25 | 72.2 |
| Florfenicol | 0.25 | 0.25 | 2 | 97.0 |
| Sulfamethoxazole/trimethropim & | 0.125 | 2 | 0.5 | 88.9 |
| Tiamulin | 16 | 16 | 16 | 98.8 |
| Tildipirosin | 4 | 8 | 16 | 99.4 |
| Tilmicosin | 8 | 16 | 16 | 99.4 |
| Tulathromycin | 32 | 64 | 64 | 100 |
| Antimicrobial | MIC50 (μg/mL) | MIC90 (μg/mL) | Clinical Breakpoint (CB) 1 (μg/mL) | Antimicrobial Susceptibility Based On CB |
|---|---|---|---|---|
| Amoxicillin | 0.25 | 0.5 | 0.5 $ | 96.2 |
| Ceftiofur | 0.06 | 0.12 | 2 | 100 |
| Doxycycline | 0.5 | 4 | 0.5 + | 51.5 |
| Enrofloxacin | 0.03 | 0.06 | 0.25 | 98.5 |
| Florfenicol | 0.5 | 0.5 | 2 | 100 |
| Sulfamethoxazole/trimethropim & | 0.12 | 4 | 0.5 | 74.7 |
| Tiamulin | 16 | 32 | 16 | 60.8 |
| Tildipirosin | 1 | 2 | 4 | 97.7 |
| Tilmicosin | 8 | 16 | 16 | 94.6 |
| Tulathromycin | 2 | 4 | 16 | 100 |
| Antimicrobial | MIC50 (μg/mL) | MIC90 (μg/mL) | Clinical Breakpoint (CB) 1 (μg/mL) | Antimicrobial Susceptibility Based On CB |
|---|---|---|---|---|
| Amoxicillin | 16 | 16 | 0.5 | 0 |
| Ceftiofur | 4 | 4 | 2 | 0 |
| Doxycycline | 1 | 2 | 0.5 | 27.7 |
| Enrofloxacin | 0.5 | 0.5 | 0.25 | 20.7 |
| Florfenicol | 2 | 4 | 2 | 51.7 |
| Sulfamethoxazole/trimethropim & | 4 | 8 | 0.5 | 3.4 |
| Tiamulin | 64 | 64 | 16 | 0 |
| Tildipirosin | 4 | 8 | 8 | 100 |
| Tilmicosin | 32 | 64 | 16 | 27.6 |
| Tulathromycin | 8 | 8 | 16 | 100 |
| Microorganism | 0.5 McFarland Suspension Medium | Broth | Final Inoculum | Plate Reconstitution | Incubation Conditions |
|---|---|---|---|---|---|
| Pasteurella multocida and Bordetella bronchiseptica | Water | CAMHB | 5 × 105 cfu/mL | 100 μL | 35 ± 2 °C 18−24 h Non-CO2 incubator |
| Actinobacillus pleuropneumoniae | CAMHB | VFM | 5 × 105 cfu/mL | 100 μL | 35 ± 2 °C 20−24 h CO2 incubator perforated seal |
© 2020 by the authors. Licensee MDPI, Basel, Switzerland. This article is an open access article distributed under the terms and conditions of the Creative Commons Attribution (CC BY) license (http://creativecommons.org/licenses/by/4.0/).
Share and Cite
Vilaró, A.; Novell, E.; Enrique-Tarancón, V.; Balielles, J.; Vilalta, C.; Martinez, S.; Fraile Sauce, L.J. Antimicrobial Susceptibility Pattern of Porcine Respiratory Bacteria in Spain. Antibiotics 2020, 9, 402. https://doi.org/10.3390/antibiotics9070402
Vilaró A, Novell E, Enrique-Tarancón V, Balielles J, Vilalta C, Martinez S, Fraile Sauce LJ. Antimicrobial Susceptibility Pattern of Porcine Respiratory Bacteria in Spain. Antibiotics. 2020; 9(7):402. https://doi.org/10.3390/antibiotics9070402
Chicago/Turabian StyleVilaró, Anna, Elena Novell, Vicens Enrique-Tarancón, Jordi Balielles, Carles Vilalta, Sonia Martinez, and Lorenzo José Fraile Sauce. 2020. "Antimicrobial Susceptibility Pattern of Porcine Respiratory Bacteria in Spain" Antibiotics 9, no. 7: 402. https://doi.org/10.3390/antibiotics9070402
APA StyleVilaró, A., Novell, E., Enrique-Tarancón, V., Balielles, J., Vilalta, C., Martinez, S., & Fraile Sauce, L. J. (2020). Antimicrobial Susceptibility Pattern of Porcine Respiratory Bacteria in Spain. Antibiotics, 9(7), 402. https://doi.org/10.3390/antibiotics9070402

