A Difficult Case of Ventriculitis in a 40-Year-Old Woman with Acute Myeloid Leukemia
Abstract
1. Introduction
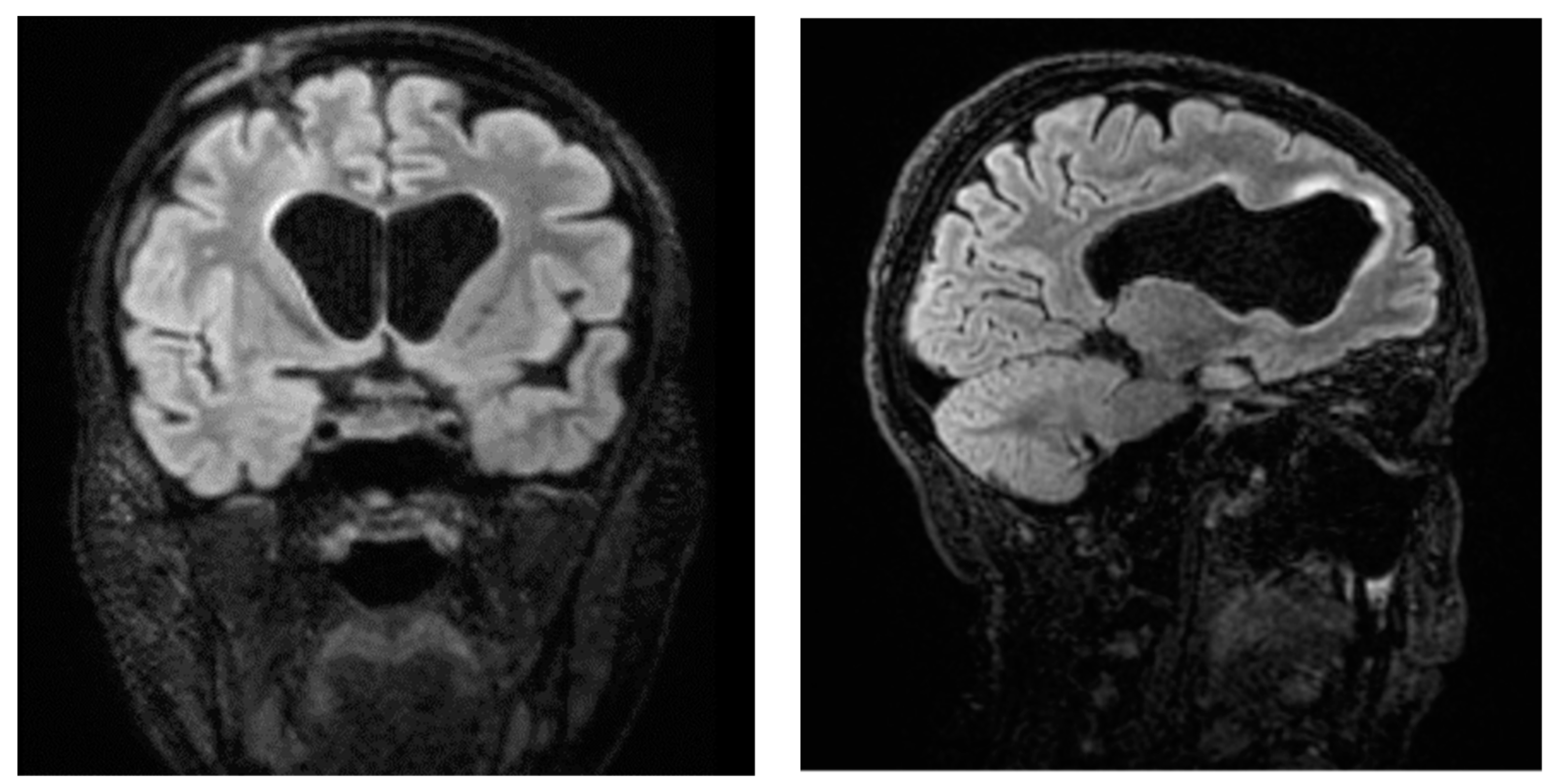
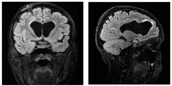
2. Case Report
3. Discussion
4. Conclusions
Author Contributions
Funding
Institutional Review Board Statement
Informed Consent Statement
Data Availability Statement
Conflicts of Interest
References
- Tunkel, A.R.; Hasbun, R.; Bhimraj, A.; Byers, K.; Kaplan, S.L.; Scheld, W.M.; van de Beek, D.; Bleck, T.P.; Garton, H.J.; Zunt, J.R. 2017 Infectious Diseases Society of America’s clinical practice guidelines for healthcare-associated ventriculitis and meningitis. Clin. Infect. Dis. 2017, 64, e34–e65. [Google Scholar] [CrossRef]
- Harris, L.; Munakomi, S. Ventriculitis. In StatPearls; StatPearls Publishing: Treasure Island, FL, USA, 2024. [Google Scholar] [PubMed]
- Karvouniaris, M.; Brotis, A.; Tsiakos, K.; Palli, E.; Koulenti, D. Current perspectives on the diagnosis and management of healthcare-associated ventriculitis and meningitis. Infect. Drug Resist. 2022, 15, 697–721. [Google Scholar] [CrossRef]
- Li, C.; Zhou, P.; Liu, Y.; Zhang, L. Treatment of ventriculitis and meningitis after neurourgery caused by carbapenem-resistant Enterobacteriaceae (cre): A challenging topic. Infect. Drug Resist. 2023, 16, 3807–3818. [Google Scholar] [CrossRef]
- Murray, C.J.L.; Ikuta, K.S.; Sharara, F.; Swetschinski, L.; Aguilar, G.R.; Gray, A.; Han, C.; Bisignano, C.; Rao, P.; Wool, E.; et al. Global burden of bacterial antimicrobial resistance in 2019: A systematic analysis. Lancet 2022, 399, 629–655. [Google Scholar] [CrossRef]
- Available online: https://www.epicentro.iss.it/antibiotico-resistenza/cre-dati (accessed on 22 April 2024).
- Tamma, P.D.; Aitken, S.L.; Bonomo, R.A.; Mathers, A.J.; van Duin, D.; Clancy, C.J. Infectious Diseases Society of America 2023 Guidance on the treatment of antimicrobial resistant Gram-negative infections. Clin. Infect. Dis. 2023, 77, ciad428. [Google Scholar] [CrossRef]
- Paul, M.; Carrara, E.; Retamar, P.; Tängdén, T.; Bitterman, R.; Bonomo, R.A.; de Waele, J.; Daikos, G.L.; Akova, M.; Harbarth, S.; et al. European Society of Clinical Microbiology and Infectious Diseases (ESCMID) guidelines for the treatment of infections caused by multidrug-resistant Gram-negative bacilli (endorsed by European society of intensive care medicine). Clin. Microbiol. Infect. 2022, 28, 521–547. [Google Scholar] [CrossRef]
- Tiseo, G.; Brigante, G.; Giacobbe, D.R.; Maraolo, A.E.; Gona, F.; Falcone, M.; Giannella, M.; Grossi, P.; Pea, F.; Rossolini, G.M.; et al. Diagnosi e Management Delle Infezioni Causate da Batteri Multiresistenti: Linee Guida Della Società Italiana di Malattie Infettive e Tropicali (SIMIT), Società Italiana di Terapia Antinfettiva (SITA), Gruppo Italiano per la Stewardship Antimicrobica (GISA), Associazione Microbiologi Clinici Italiani (AMCLI), Società Italiana di Microbiologia (SIM). Available online: https://www.iss.it/documents/20126/8331678/LG+557+Intersocietarie_MDR.pdf/8b89a49e-6f57-ff09-6e73-c9eb4773aefc?t=1699024001755 (accessed on 22 April 2024).
- Choi, S.; Fedorenko, M.; Lin-Torre, J.; Mistry, N.; Smoke, S. A post-neurosurgical infection due to KPC-producing Klebsiella pneumoniae treated with meropenem-vaborbactam: A case report. Int. J. Infect. Dis. 2022, 122, 1041–1043. [Google Scholar] [CrossRef]
- Yasmin, M.; Hanrahan, J.; Marshall, S.; Lodise, T.P.; Chen, L.; Perez, F.; Kreiswirth, B.; Bonomo, R.A. Using therapeutic drug monitoring to treat KPC-producing Klebsiella pneumoniae central nervous system infection with ceftazidime/avibactam. Open Forum Infect. Dis. 2020, 7, ofaa349. [Google Scholar] [CrossRef]
- Anwar, S.; Acharya, S.; Thapa, S.; Rabadi, J.; Mobarakai, N. Carbapenemase producing Klebsiella pneumoniae (KPC) meningitis from chronic otitis media. IDCases 2020, 22, e00963. [Google Scholar] [CrossRef]
- Volpicelli, L.; Cairoli, S.; Al Ismail, D.; Baisi, F.; Sacco, F.; Goffredo, B.M.; Venditti, M.; Oliva, A. Simultaneous post-neurosurgical ventriculitis and bacteremia by two different strains of KPC-producing K. pneumoniae successfully treated with meropenem/vaborbactam and high dose of fosfomycin. J. Glob. Antimicrob. Resist. 2024, 37, 86–90. [Google Scholar] [CrossRef]
- Nau, R.; Seele, J.; Eiffert, H. New antibiotics for the treatment of nosocomial central nervous system infections. Antibiotics 2024, 13, 58. [Google Scholar] [CrossRef]
- Rezzonico, L.F.; Peracchi, F.; Vecchi, M.; Bassi, G.; Merli, M.; Bana, N.B.; Travi, G.; Crippa, F.; Puoti, M. Meropenem–vaborbactam for the treatment of post-neurosurgical meningitis caused by KPC producer Klebsiella pneumoniae: A case report and review of the literature. Antibiotics 2024, 13, 331. [Google Scholar] [CrossRef]
- Holyk, A.; Belden, V.; Lee, J.J.; Musick, W.; Keul, R.; Britz, G.W.; Lin, J. Ceftazidime/avibactam use for carbapenem-resistant Klebsiella pneumoniae meningitis: A case report. J. Antimicrob. Chemother. 2018, 73, 254–256. [Google Scholar] [CrossRef]
- Gatti, M.; Virgili, G.; Cojutti, P.G.; Gaibani, P.; Conti, M.; Sturiale, C.; Pea, F.; Viale, P. Real-time optimization of pharmacodynamic target attainment at infection site during treatment of post-neurosurgical ventriculitis caused by carbapenem-resistant gram negatives with ceftazidime–avibactam-based regimens: A report of two cases. Microorganisms 2022, 10, 154. [Google Scholar] [CrossRef]
- Hussein, K.; Rabino, G.; Feder, O.; Eghbaryeh, H.; Zayyad, H.; Sviri, G.; Benenson, R.; Paul, M. Risk factors for meningitis in neurosurgical patients with cerebrospinal fluid drains: Prospective observational cohort study. Acta Neurochir. 2019, 161, 517–524. [Google Scholar] [CrossRef]
- Munari, M.; Franzoi, F.; Sergi, M.; De Cassai, A.; Geraldini, F.; Grandis, M.; Caravello, M.; Boscolo, A.; Navalesi, P. Extensively drug-resistant and multidrug-resistant gram-negative pathogens in the neurocritical intensive care unit. Acta Neurochir. 2020, 164, 859–865. [Google Scholar] [CrossRef]
- Pandey, S.; Li, L.; Deng, X.Y.; Cui, D.M.; Gao, L. outcome following the treatment of ventriculitis caused by multi/extensive drug resistance Gram negative Bacilli; Acinetobacter baumannii and Klebsiella pneumoniae. Front. Neurol. 2019, 9, 1174. [Google Scholar] [CrossRef]
- Available online: https://qlik.qualitasiciliassr.it/anonimo/single/?appid=85ada16c-4b41-4bc6-9ca1-405b8243d0c2&sheet=6ad6f3ac-3369-41c5-bd72-792243f9091b&opt=ctxmenu,currsel (accessed on 22 April 2024).
- Khanum, I.; Anwar, S.; Farooque, A. Enterococcal Meningitis/Ventriculitis: A Tertiary Care Experience. Asian J. Neurosurg. 2019, 14, 102–105. [Google Scholar] [CrossRef]
- Cearns, M.D.; McLintock, B.T.; Suttner, N.; Khalsa, K. Successful treatment of vancomycin-resistant enterococcal infection of an external ventricular drain with 2 weeks of intravenous linezolid. Access Microbiol. 2022, 4, 000335. [Google Scholar] [CrossRef]
- Şahin, A.; Dalgic, N. Intravenous and intraventricular daptomycin plus intravenous linezolid treatment of an infant with vancomycin-resistant enterococci-induced ventriculoperitoneal shunt infection. World Neurosurg. 2019, 124, 328–330. [Google Scholar] [CrossRef]
- Wang, J.S.; Muzevich, K.; Edmond, M.B.; Bearman, G.; Stevens, M.P. Central nervous system infections due to vancomycin-resistant enterococci: Case series and review of the literature. Int. J. Infect. Dis. 2014, 25, 26–31. [Google Scholar] [CrossRef] [PubMed][Green Version]
- Knoll, B.M.; Hellmann, M.; Kotton, C.N. Vancomycin-resistant Enterococcus faecium meningitis in adults: Case series and review of the literature. Scand. J. Infect. Dis. 2013, 45, 131–139. [Google Scholar] [CrossRef] [PubMed]
- Haddad, N.; Carr, M.; Balian, S.; Lannin, J.; Kim, Y.; Toth, C.; Jarvis, J. The Blood–Brain Barrier and Pharmacokinetic/Pharmacodynamic Optimization of Antibiotics for the Treatment of Central Nervous System Infections in Adults. Antibiotics 2022, 11, 1843. [Google Scholar] [CrossRef] [PubMed]
- Blassmann, U.; Roehr, A.C.; Frey, O.R.; Vetter-Kerkhoff, C.; Thon, N.; Hope, W.; Briegel, J.; Huge, V. Cerebrospinal fluid penetration of meropenem in neurocritical care patients with proven or suspected ventriculitis: A prospective observational study. Crit. Care 2016, 20, 343. [Google Scholar] [CrossRef] [PubMed]
- Maranchick, N.F.; Alshaer, M.H.; Smith, A.G.C.; Avaliani, T.; Gujabidze, M.; Bakuradze, T.; Sabanadze, S.; Avaliani, Z.; Kipiani, M.; Peloquin, C.A.; et al. Cerebrospinal fluid concentrations of fluoroquinolones and carbapenems in tuberculosis meningitis. Front. Pharmacol. 2022, 13, 1048653. [Google Scholar] [CrossRef] [PubMed]
- Mader, M.M.-D.; Czorlich, P.; König, C.; Fuhrmann, V.; Kluge, S.; Westphal, M.; Grensemann, J. Intrathecal penetration of meropenem and vancomycin administered by continuous infusion in patients suffering from ventriculitis—A retrospective analysis. Acta Neurochir. 2018, 160, 2099–2105. [Google Scholar] [CrossRef] [PubMed]
- Alshaer, M.H.; Barlow, B.; Maranchick, N.; Moser, M.; Gramss, L.; Burgmann, H.; Al Jalali, V.; Wölfl-Duchek, M.; Jäger, W.; Poschner, S.; et al. Meropenem population pharmacokinetics and simulations in plasma, cerebrospinal fluid, and brain tissue. Antimicrob. Agents Chemother. 2022, 66, e0043822. [Google Scholar] [CrossRef] [PubMed]
- Crass, R.L.; Pai, M.P. Pharmacokinetics and pharmacodynamics of β-lactamase inhibitors. Pharmacotherapy 2019, 39, 182–195. [Google Scholar] [CrossRef] [PubMed]
- Nau, R.; Sögel, F.; Eiffert, H. Penetration of drugs through the blood-cerebrospinal fluid/blood-brain barrier for treatment of central nervous system infections. Clin. Microbiol. Rev. 2010, 23, 858–883. [Google Scholar] [CrossRef] [PubMed]
- Conen, A.; Raabe, A.; Schaller, K.; A Fux, C.; Vajkoczy, P.; Trampuz, A. Management of neurosurgical implant-associated infections. Swiss Med. Wkly. 2020, 150, w20208. [Google Scholar] [CrossRef]
- Jaksic, B.; Martinelli, G.; Oteyza, J.P.; Hartman, C.S.; Leonard, L.B.; Tack, K.J. Efficacy and safety of linezolid compared with vancomycin in a randomized, double-blind study of febrile neutropenic patients with cancer. Clin. Infect. Dis. 2006, 42, 597–607. [Google Scholar] [CrossRef] [PubMed]


| Authors [Reference] | Patient Sex, Age | Underlying Condition | Treatment (Days of Treatment) | Outcome |
|---|---|---|---|---|
| Rezzonico LF 2024 [15] | Male, 59 years | Peri-mesencephalic sub-arachnoid hemorrhage, post-neurosurgical meningitis, EVD | MVB (21 days) + systemic gentamicin (5 days) + intrathecal gentamicin (from day 5 of therapy till day 10) | Discharged to a neuro rehabilitation center without relapse (four months after discharge) |
| Volpicelli L 2024 [13] | Male, 27 years | Subarachnoid hemorrhage, post-neurosurgical meningitis, EVD | MVB + FOF, no intraventricular therapy (42 days) | Five months after hospital admission the patient died because of Pseudomonas aeruginosa pneumonia |
| Choi S 2022 [10] | Male, 69 years | Subdural hematoma, cranioplasty, epidural and subdural fluid collection and subgaleal collection, no EVD | MVB, no intraventricular therapy (25 days) | Discharged from hospital with sequelae |
| Anwar S 2020 [12] | Female, 68 years | Acute left mastoiditis and otitis media, abscess formation in the left petrous apex, meningitis | MVB + systemic polymyxin (presumably for a few days) | Resolution of symptoms and radiological improvement |
| Yasmin M 2020 [11] | Male, 38 years | Head trauma with a left temporal bone fracture and intra-cranial bleeding, intrathecal pump placement, ventriculitis and left temporal fluid collection | MVB (10 days) + ciprofloxacin (7 days) replaced by CAZ/AVI + amikacin due to more favorable MICs | Gradual clinical improvement |
Disclaimer/Publisher’s Note: The statements, opinions and data contained in all publications are solely those of the individual author(s) and contributor(s) and not of MDPI and/or the editor(s). MDPI and/or the editor(s) disclaim responsibility for any injury to people or property resulting from any ideas, methods, instructions or products referred to in the content. |
© 2024 by the authors. Licensee MDPI, Basel, Switzerland. This article is an open access article distributed under the terms and conditions of the Creative Commons Attribution (CC BY) license (https://creativecommons.org/licenses/by/4.0/).
Share and Cite
Rubino, R.; Trizzino, M.; Pipitò, L.; Sucato, G.; Santoro, M.; Maugeri, R.; Iacopino, D.G.; Giammanco, G.M.; Siragusa, S.; Cascio, A. A Difficult Case of Ventriculitis in a 40-Year-Old Woman with Acute Myeloid Leukemia. Antibiotics 2024, 13, 432. https://doi.org/10.3390/antibiotics13050432
Rubino R, Trizzino M, Pipitò L, Sucato G, Santoro M, Maugeri R, Iacopino DG, Giammanco GM, Siragusa S, Cascio A. A Difficult Case of Ventriculitis in a 40-Year-Old Woman with Acute Myeloid Leukemia. Antibiotics. 2024; 13(5):432. https://doi.org/10.3390/antibiotics13050432
Chicago/Turabian StyleRubino, Raffaella, Marcello Trizzino, Luca Pipitò, Giuseppe Sucato, Marco Santoro, Rosario Maugeri, Domenico Gerardo Iacopino, Giovanni Maurizio Giammanco, Sergio Siragusa, and Antonio Cascio. 2024. "A Difficult Case of Ventriculitis in a 40-Year-Old Woman with Acute Myeloid Leukemia" Antibiotics 13, no. 5: 432. https://doi.org/10.3390/antibiotics13050432
APA StyleRubino, R., Trizzino, M., Pipitò, L., Sucato, G., Santoro, M., Maugeri, R., Iacopino, D. G., Giammanco, G. M., Siragusa, S., & Cascio, A. (2024). A Difficult Case of Ventriculitis in a 40-Year-Old Woman with Acute Myeloid Leukemia. Antibiotics, 13(5), 432. https://doi.org/10.3390/antibiotics13050432

