Prevalence of Carbapenem Resistance Genes among Acinetobacter baumannii Isolated from a Teaching Hospital in Taiwan
Abstract
:1. Introduction
2. Results
2.1. Molecular Characterization of the Antimicrobial Resistance Determinants
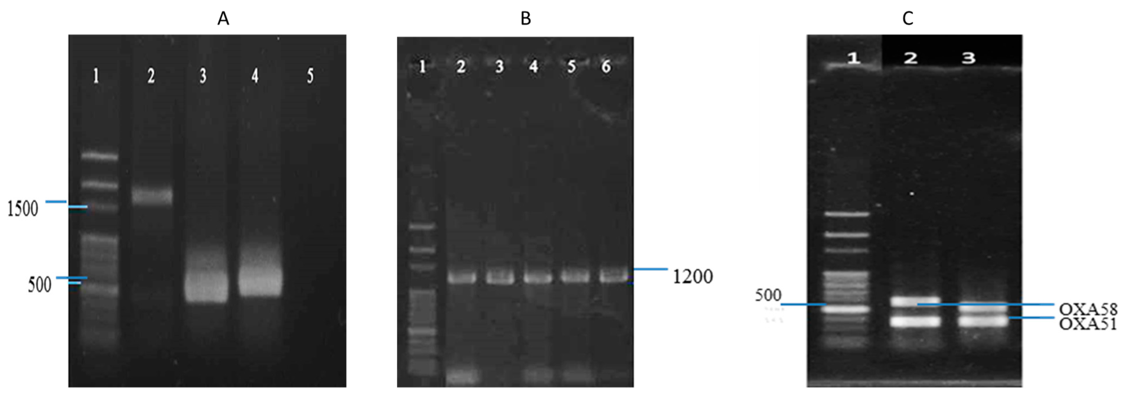
2.2. Detection of OXA Carbapenemases Expression
2.3. Repetitive Element PCR-Mediated DNA Fingerprinting (Rep-PCR)
2.4. Correlation between the Antibiotic-Resistant Genes, Antibiotic Susceptibility, Minimum Inhibitory Concentration, Biofilm-Related Genes and Biofilm Formation
3. Discussion
4. Materials and Methods
4.1. Bacterial Strains
4.2. Molecular Characterization of Antimicrobial Resistance Determinants
4.3. Repetitive Element PCR-Mediated DNA Fingerprinting (Rep-PCR)
4.4. Data Analyses
5. Conclusions
Supplementary Materials
Author Contributions
Funding
Institutional Review Board Statement
Informed Consent Statement
Data Availability Statement
Conflicts of Interest
References
- Mancilla-Rojano, J.; Ochoa, S.A.; Reyes-Grajeda, J.P.; Flores, V.; Medina-Contreras, O.; Espinosa-Mazariego, K.; Parra-Ortega, I.; Rosa-Zamboni, D.D.L.; Castellanos-Cruz, M.C.; Arellano-Galindo, J.; et al. Molecular Epidemiology of Acinetobacter calcoaceticus-Acinetobacter baumannii Complex Isolated from Children at the Hospital Infantil de México Federico Gómez. Front. Microbiol. 2020, 11, 576673. [Google Scholar] [CrossRef] [PubMed]
- Pompilio, A.; Scribano, D.; Sarshar, M.; Di Bonaventura, G.; Palamara, A.T.; Ambrosi, C. Gram-Negative Bacteria Holding Together in a Biofilm: The Acinetobacter baumannii Way. Microorganisms 2021, 9, 1353. [Google Scholar] [CrossRef] [PubMed]
- Freeman, E.; Semeere, A.; Wenger, M.; Bwana, M.; Asirwa, F.C.; Busakhala, N.; Oga, E.; Jedy-Agba, E.; Kwaghe, V.; Iregbu, K.; et al. Pitfalls of practicing cancer epidemiology in resource-limited settings: The case of survival and loss to follow-up after a diagnosis of Kaposi’s sarcoma in five countries across sub-Saharan Africa. BMC Cancer 2016, 16, 65. [Google Scholar]
- Ranjbar, R.; Farahani, A. Study of genetic diversity, biofilm formation, and detection of Carbapenemase, MBL, ESBL, and tetracycline resistance genes in multidrug-resistant Acinetobacter baumannii isolated from burn wound infections in Iran. Antimicrob. Resist. Infect. Control. 2019, 8, 172. [Google Scholar] [CrossRef] [PubMed]
- Thummeepak, R.; Kongthai, P.; Leungtongkam, U.; Sitthisak, S. Distribution of virulence genes involved in biofilm formation in multi-drug resistant Acinetobacter baumannii clinical isolates. Int. Microbiol. 2016, 19, 121–129. [Google Scholar] [PubMed]
- Özkul, C.; Hazırolan, G. Oxacillinase Gene Distribution, Antibiotic Resistance, and Their Correlation with Biofilm Formation in Acinetobacter baumannii Bloodstream Isolates. Microb. Drug Resist. 2021, 27, 637–646. [Google Scholar] [CrossRef] [PubMed]
- Turner, P.J. Meropenem activity against European isolates: Report on the MYSTIC (Meropenem Yearly Susceptibility Test Information Collection) 2006 results. Diagn. Microbiol. Infect. Dis. 2008, 60, 185–192. [Google Scholar] [CrossRef]
- Pulingam, T.; Parumasivam, T.; Gazzali, A.M.; Sulaiman, A.M.; Chee, J.Y.; Lakshmanan, M.; Chin, C.F.; Sudesh, K. Antimicrobial resistance: Prevalence, economic burden, mechanisms of resistance and strategies to overcome. Eur. J. Pharm. Sci. 2022, 170, 106103. [Google Scholar] [CrossRef]
- Walsh, T.R. Emerging carbapenemases: A global perspective. Int. J. Antimicrob. Agents 2010, 36, 8–14. [Google Scholar] [CrossRef]
- Dessens, A.B.; Cohen-Kettenis, P.T.; Mellenbergh, G.J.; Koppe, J.G.; Poll, N.E.; Boer, K. Association of prenatal phenobarbital and phenytoin exposure with genital anomalies and menstrual disorders. Teratology 2001, 64, 181–188. [Google Scholar] [CrossRef]
- García-Garmendia, J.L.; Ortiz-Leyba, C.; Garnacho-Montero, J.; Jiménez-Jiménez, F.J.; Pérez-Paredes, C.; Barrero-Almodóvar, A.E.; Miner, M.G. Risk factors for Acinetobacter baumannii nosocomial bacteremia in critically ill patients: A cohort study. Clin. Infect. Dis. 2001, 33, 939–946. [Google Scholar] [CrossRef] [PubMed]
- Antunes, L.C.; Visca, P.; Towner, K.J. Acinetobacter baumannii: Evolution of a global pathogen. Pathog. Dis. 2014, 71, 292–301. [Google Scholar] [CrossRef] [PubMed]
- Wu, H.J.; Xiao, Z.G.; Lv, X.J.; Huang, H.T.; Liao, C.; Hui, C.Y.; Xu, Y.; Li, H.F. Drug resistant Acinetobacter baumannii: From molecular mechanisms to potential therapeutics (Review). Exp. Ther. Med. 2023, 25, 209. [Google Scholar] [CrossRef] [PubMed]
- Lee, Y.L.; Ko, W.C.; Hsueh, P.R. Geographic patterns of Acinetobacter baumannii and carbapenem resistance in the Asia-Pacific Region: Results from the Antimicrobial Testing Leadership and Surveillance (ATLAS) program, 2012-2019. Int. J. Infect. Dis. 2023, 127, 48–55. [Google Scholar] [CrossRef]
- Donadu, M.G.; Mazzarello, V.; Cappuccinelli, P.; Zanetti, S.; Madléna, M.; Nagy, Á.L.; Stájer, A.; Burián, K.; Gajdács, M. Relationship between the Biofilm-Forming Capacity and Antimicrobial Resistance in Clinical Acinetobacter baumannii Isolates: Results from a Laboratory-Based In Vitro Study. Microorganisms 2021, 9, 2384. [Google Scholar] [CrossRef] [PubMed]
- Yang, C.H.; Su, P.W.; Moi, S.H.; Chuang, L.Y. Biofilm Formation in Acinetobacter baumannii: Genotype-Phenotype Correlation. Molecules 2019, 24, 1849. [Google Scholar] [CrossRef] [PubMed]
- Cortivo, G.D.; Gutberlet, A.; Ferreira, J.A.; Ferreira, L.E.; Deglmann, R.C.; Westphal, G.A.; França, P.H.C.D. Antimicrobial resistance profiles and oxacillinase genes in carbapenem-resistant Acinetobacter baumannii isolated from hospitalized patients in Santa Catarina, Brazil. Rev. Soc. Bras. Med. Trop. 2015, 48, 699–705. [Google Scholar] [CrossRef]
- Gedefie, A.; Demsis, W.; Ashagrie, M.; Kassa, Y.; Tesfaye, M.; Tilahun, M.; Bisetegn, H.; Sahle, Z. Acinetobacter baumannii Biofilm Formation and Its Role in Disease Pathogenesis: A Review. Infect. Drug Resist. 2021, 14, 3711–3719. [Google Scholar] [CrossRef]
- Nordmann, P.; Poirel, L.; Dortet, L. Rapid detection of carbapenemase-producing Enterobacteriaceae. Emerg. Infect. Dis. 2012, 18, 1503–1507. [Google Scholar] [CrossRef]
- Chang, H.C.; Chen, Y.C.; Lin, M.C.; Liu, S.F.; Chung, Y.H.; Su, M.C.; Fang, W.F.; Tseng, C.C.; Lie, C.H.; Huang, K.T.; et al. Mortality risk factors in patients with Acinetobacter baumannii ventilator: Associated pneumonia. J. Formos. Med. Assoc. 2011, 110, 564–571. [Google Scholar] [CrossRef]
- Orozco, E.; Gomez, C.; Perez, D.G. Physiology and molecular genetics of multidrug resistance in Entamoeba histolytica. Drug Resist. Updates 1999, 2, 188–197. [Google Scholar] [CrossRef] [PubMed]
- He, C.; Xie, Y.; Zhang, L.; Kang, M.; Tao, C.; Chen, Z.; Lu, X.; Guo, L.; Xiao, Y.; Duo, L.; et al. Increasing imipenem resistance and dissemination of the ISAba1-associated blaOXA-23 gene among Acinetobacter baumannii isolates in an intensive care unit. J. Med. Microbiol. 2011, 60, 337–341. [Google Scholar] [CrossRef]
- Perez, F.; Hujer, A.M.; Hujer, K.M.; Decker, B.K.; Rather, P.N.; Bonomo, R.A. Global challenge of multidrug-resistant Acinetobacter baumannii. Antimicrob. Agents Chemother. 2007, 51, 3471–3484. [Google Scholar] [CrossRef]
- Meletis, G. Carbapenem resistance: Overview of the problem and future perspectives. Ther. Adv. Infect. Dis. 2016, 3, 15–21. [Google Scholar] [CrossRef]
- Tseng, Y.C.; Wang, J.T.; Wu, F.L.; Chen, Y.C.; Chie, W.C.; Chang, S.C. Prognosis of adult patients with bacteremia caused by extensively resistant Acinetobacter baumannii. Diagn. Microbiol. Infect. Dis. 2007, 59, 181–190. [Google Scholar] [CrossRef] [PubMed]
- Gurung, J.; Khyriem, A.B.; Banik, A.; Lyngdoh, W.V.; Choudhury, B.; Bhattacharyya, P. Association of biofilm production with multidrug resistance among clinical isolates of Acinetobacter baumannii and Pseudomonas aeruginosa from intensive care unit. Indian J. Crit. Care Med. 2013, 17, 214–218. [Google Scholar] [PubMed]
- Ejaz, H.; Qamar, M.U.; Junaid, K.; Younas, S.; Taj, Z.; Bukhari, S.N.A.; Abdalla, A.E.; Abosalif, K.O.A.; Ahmad, N.; Saleem, Z.; et al. The Molecular Detection of Class B and Class D Carbapenemases in Clinical Strains of Acinetobacter calcoaceticus-baumannii Complex: The High Burden of Antibiotic Resistance and the Co-Existence of Carbapenemase Genes. Antibiotics 2022, 11, 1168. [Google Scholar] [CrossRef] [PubMed]
- Higgins, P.G.; Poirel, L.; Lehmann, M.; Nordmann, P.; Seifert, H. OXA-143, a novel carbapenem-hydrolyzing class D beta-lactamase in Acinetobacter baumannii. Antimicrob. Agents Chemother. 2009, 53, 5035–5038. [Google Scholar] [CrossRef]
- Brown, S.; Young, H.K.; Amyes, S.G. Characterisation of OXA-51, a novel class D carbapenemase found in genetically unrelated clinical strains of Acinetobacter baumannii from Argentina. Clin. Microbiol. Infect. 2005, 11, 15–23. [Google Scholar] [CrossRef]
- Santajit, S.; Bhoopong, P.; Kong-Ngoen, T.; Tunyong, W.; Horpet, D.; Paehoh-ele, W.; Zahedeng, T.; Pumirat, P.; Sookrung, N.; Hinthong, W.; et al. Phenotypic and Genotypic Investigation of Carbapenem-Resistant Acinetobacter baumannii in Maharaj Nakhon Si Thammarat Hospital, Thailand. Antibiotics 2023, 12, 580. [Google Scholar] [CrossRef]
- Tijet, N.; Boyd, D.; Patel, S.N.; Mulvey, M.R.; Melano, R.G. Evaluation of the Carba NP test for rapid detection of carbapenemase-producing Enterobacteriaceae and Pseudomonas aeruginosa. Antimicrob. Agents Chemother. 2013, 57, 4578–4580. [Google Scholar] [CrossRef] [PubMed]
- Strateva, T.V.; Sirakov, I.; Stoeva, T.J.; Stratev, A.; Peykov, S. Phenotypic and Molecular Characteristics of Carbapenem Resistant Acinetobacter baumannii Isolates from Bulgarian Intensive Care Unit Patients. Microorganisms 2023, 11, 875. [Google Scholar] [CrossRef] [PubMed]
- Carvalhaes, C.G.; Cayô, R.; Assis, D.M.; Martins, E.R.; Juliano, L.; Juliano, M.A.; Gales, A.C. Detection of SPM-1-producing Pseudomonas aeruginosa and class D beta-lactamase-producing Acinetobacter baumannii isolates by use of liquid chromatography-mass spectrometry and matrix-assisted laser desorption ionization-time of flight mass spectrometry. J. Clin. Microbiol. 2013, 51, 287–290. [Google Scholar] [CrossRef]
- Walther-Rasmussen, J.; Hoiby, N. OXA-type carbapenemases. J. Antimicrob. Chemother. 2006, 57, 373–383. [Google Scholar] [CrossRef] [PubMed]
- Bagheri Josheghani, S.; Moniri, R.; Firoozeh, F.; Sehat, M.; Dasteh Goli, Y. Susceptibility Pattern and Distribution of Oxacillinases and bla PER-1 Genes among Multidrug Resistant Acinetobacter baumannii in a Teaching Hospital in Iran. J. Pathog. 2015, 2015, 957259. [Google Scholar] [CrossRef]
- Higgins, P.G.; Dammhayn, C.; Hackel, M.; Seifert, H. Global spread of carbapenem-resistant Acinetobacter baumannii. J. Antimicrob. Chemother. 2010, 65, 233–238. [Google Scholar] [CrossRef]
- Higgins, P.G.; Zander, E.; Seifert, H. Identification of a novel insertion sequence element associated with carbapenem resistance and the development of fluoroquinolone resistance in Acinetobacter radioresistens. J. Antimicrob. Chemother. 2013, 68, 720–722. [Google Scholar] [CrossRef]
- Grundmann, H.J.; Towner, K.J.; Dijkshoorn, L.; Gerner-Smidt, P.; Maher, M.; Seifert, H.; Vaneechoutte, M. Multicenter study using standardized protocols and reagents for evaluation of reproducibility of PCR-based fingerprinting of Acinetobacter spp. J. Clin. Microbiol. 1997, 35, 3071–3077. [Google Scholar] [CrossRef]
- Han, L.; Lei, J.; Xu, J.; Han, S. blaOXA-23-like and blaTEM rather than blaOXA-51-like contributed to a high level of carbapenem resistance in Acinetobacter baumannii strains from a teaching hospital in Xi’an, China. Medicine 2017, 96, e8965. [Google Scholar] [CrossRef]
- Woodford, N.; Ellington, M.J.; Coelho, J.M.; Turton, J.F.; Ward, M.E.; Brown, S.; Amyes, S.G.; Livermore, D.M. Multiplex PCR for genes encoding prevalent OXA carbapenemases in Acinetobacter spp. Int. J. Antimicrob. Agents 2006, 27, 351–353. [Google Scholar] [CrossRef]
- Everitt, B.S.; Hothorn, T. HSAUR2: A Handbook of Statistical Analyses Using R, R package version 11–17; CRC Press: Boca Raton, FL, USA, 2017. [Google Scholar]





| Genes | Number of Isolates/% * | Carbapenems Resistant Isolates + Number of Isolates/% | Carbapenems Sensitive Isolates # Number of Isolates/% |
|---|---|---|---|
| blaOXA-51-like | 135/87.6 | 89/89 | 46/85 |
| blaOXA-23-like | 7/4.5 | 5/5 | 2/3 |
| blaOXA-58-like | 5/3.2 | - | - |
| blaOXA-24-like | 0/0 | - | - |
| blaOXA-143-like | 0/0 | - | - |
| tnpA | 114/74 | - | - |
| ISAba1 | 136/88.3 | 96/96 | 40/74 |
| blaNDM | 0/0 | - | - |
| blaADC | 100/64.9 | - | - |
| blaPER-1 | 59/38.3 | - | - |
| ISAba1 + blaOXA-23-like | 4/2.6 | 3/3 | 1/1 |
| ISAba1 + blaOXA-51-like | 31/19.4 | 28/28 | 2/3 |
| blaOXA-51-like + blaOXA-23-like | 7/4.5 | - | - |
| blaOXA-51-like + blaOXA-58-like | 3/1.9 | - | - |
| blaOXA-58-like + blaOXA-23-like | 0/0 | - | - |
| ISAba1 + tnpA | 105/68 | - | - |
| Clustering Inclusion Criteria * | Total | Low Biofilm Formation (0–1) | High Biofilm Formation (23) | P | AUC (95% CI) | ||
|---|---|---|---|---|---|---|---|
| n | % | n | % | ||||
| (1) Gene results | 0.530 | ||||||
| Cluster 1 | 3 | 1 | 2.9% | 2 | 1.7% | 0.506 | |
| Cluster 2 | 151 | 33 | 97.1% | 118 | 98.3% | (0.4750.537) | |
| (2) DISK results | 0.013 | ||||||
| Cluster 1 | 46 | 16 | 47.1% | 30 | 25.0% | 0.610 | |
| Cluster 2 | 108 | 18 | 52.9% | 90 | 75.0% | (0.5170.704) | |
| (3) Gene and DISK results | 0.035 | ||||||
| Cluster 1 | 62 | 19 | 55.9% | 43 | 35.8% | 0.600 | |
| Cluster 2 | 92 | 15 | 44.1% | 77 | 64.2% | (0.5050.697) | |
| (4) Gene and MIC results | 0.530 | ||||||
| Cluster 1 | 3 | 1 | 2.9% | 2 | 1.7% | 0.506 | |
| Cluster 2 | 151 | 33 | 97.1% | 118 | 98.3% | (0.4750.537) | |
| (5) Gene, DISK and MIC results | 0.028 | ||||||
| Cluster 1 | 61 | 19 | 55.9% | 42 | 35.0% | 0.604 | |
| Cluster 2 | 93 | 15 | 44.1% | 78 | 65.0% | (0.509–0.699) | |
| Primers | Primer Sequence (5′-3′) | Product Size (bp) | Target | References |
|---|---|---|---|---|
| blaOXA-51-like | TAATGCTTTGATCGGCCTTGTG GATTGCACTTCATCTTGG | 353 | OXA carbapenemase genes | [39] |
| blaOXA-23-like | GATCGGATTGGAGAACCAGA ATTTCTGACCGCATTTCCAT | 501 | OXA carbapenemase genes | [39] |
| blaOXA-58-like | AAGTATTGGGGCTTGTGCT GCCCCTCTGCGCTCTACATAC | 599 | OXA carbapenemase genes | [39] |
| blaOXA-24-like | GGTTAGTTGGCCCCCTTAAA AGTTGAGCGAAAAGGGGATT | 249 | OXA carbapenemase genes | [22] |
| blaOXA-143-like | TGGCACTTTCAGCAGTTCCT TAATCTTGAGGGGGCCAACC | 149 | OXA carbapenemase genes | [33] |
| tnpA | ATGCAGCGCTTCTTTGCC AGG AATGAT TGG TGACAATGA AG | 354 | tnpA gene | [38] |
| ERIC-2 | AAGTAAGTGACTGGGGTGAGCG | random | Rep-PCR | [38] |
| ISAba1 | CATTGGCATTAAACTGAGGAGAAA TTGGAAATGGGGAAAACGAA | 451 | ISAba1 | [33] |
| blaPER-1 | GCAACTGCTGCAATACTCGG ATGTGCGACCACAGTACCAG | 900 | blaPER | [40] |
| blaNDM | GGTTTGGCGATCTGGTTTTC CGGAATGGCTCATCACGA TC | 621 | blaNDM | [40] |
| blaADC | TAA ACACCACATATGTTCCG ACT TACTTCAACTCGCGACG | 663 | blaADC | [21] |
Disclaimer/Publisher’s Note: The statements, opinions and data contained in all publications are solely those of the individual author(s) and contributor(s) and not of MDPI and/or the editor(s). MDPI and/or the editor(s) disclaim responsibility for any injury to people or property resulting from any ideas, methods, instructions or products referred to in the content. |
© 2023 by the authors. Licensee MDPI, Basel, Switzerland. This article is an open access article distributed under the terms and conditions of the Creative Commons Attribution (CC BY) license (https://creativecommons.org/licenses/by/4.0/).
Share and Cite
Su, P.-W.; Yang, E.C.; Moi, S.-H.; Yang, C.-H.; Chuang, L.-Y. Prevalence of Carbapenem Resistance Genes among Acinetobacter baumannii Isolated from a Teaching Hospital in Taiwan. Antibiotics 2023, 12, 1357. https://doi.org/10.3390/antibiotics12091357
Su P-W, Yang EC, Moi S-H, Yang C-H, Chuang L-Y. Prevalence of Carbapenem Resistance Genes among Acinetobacter baumannii Isolated from a Teaching Hospital in Taiwan. Antibiotics. 2023; 12(9):1357. https://doi.org/10.3390/antibiotics12091357
Chicago/Turabian StyleSu, Pai-Wei, Emirlyn Cheng Yang, Sin-Hua Moi, Cheng-Hong Yang, and Li-Yeh Chuang. 2023. "Prevalence of Carbapenem Resistance Genes among Acinetobacter baumannii Isolated from a Teaching Hospital in Taiwan" Antibiotics 12, no. 9: 1357. https://doi.org/10.3390/antibiotics12091357
APA StyleSu, P.-W., Yang, E. C., Moi, S.-H., Yang, C.-H., & Chuang, L.-Y. (2023). Prevalence of Carbapenem Resistance Genes among Acinetobacter baumannii Isolated from a Teaching Hospital in Taiwan. Antibiotics, 12(9), 1357. https://doi.org/10.3390/antibiotics12091357

