Granulomatous Cheilitis or Tuberculid?
Abstract
1. Introduction
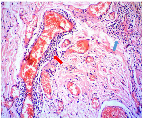
2. Case Presentation
3. Discussion
4. Conclusions
Author Contributions
Funding
Institutional Review Board Statement
Informed Consent Statement
Data Availability Statement
Acknowledgments
Conflicts of Interest
References
- Alhassani, A.A.; Al-Zahrani, M.S.; Zawawi, K.H. Granulomatous diseases: Oral manifestations and recommendations. Saudi Dent. J. 2020, 5, 219–223. [Google Scholar] [CrossRef] [PubMed]
- Fogel, N. Tuberculosis: A disease without boundaries. Tuberculosis 2015, 5, 527–531. [Google Scholar] [CrossRef] [PubMed]
- World Health Organization. Latent Tuberculosis Infection-Executive Summary; WHO: Geneva, Switzerland, 2018.
- Chen, Q.; Chen, W.; Hao, F. Cutaneous tuberculosis: A great imitator. Clin. Dermatol. 2019, 37, 192–199. [Google Scholar] [CrossRef] [PubMed]
- Kavala, M.; Südoğan, S.; Can, B.; Sarigül, S. Granulomatous cheilitis resulting from a tuberculide. Int. J. Dermatol. 2004, 7, 524–527. [Google Scholar] [CrossRef] [PubMed]
- Bhattacharya, M.; Rajeshwari, K.; Sardana, K.; Gupta, P. Granulomatous cheilitis secondary to tuberculosis in a child. J. Postgrad. Med. 2009, 3, 190–192. [Google Scholar] [CrossRef] [PubMed]
- Martínez Martínez, M.L.; Azaña-Defez, J.M.; Pérez-García, L.J.; López-Villaescusa, M.T.; Rodríguez Vázquez, M.; Faura Berruga, C. Queilitis granulomatosa. Presentación de 6 casos y revisión de la literatura (Granulomatous Cheilitis: A Report of 6 Cases and a Review of the Literature). Actas Dermosifiliogr. 2012, 103, 718–724. [Google Scholar] [CrossRef]
- Jorquera, B.E.; Pérez, G.S.; Suárez, M.M.C. Angular cheilitis as an initial clinical sign of tuberculosis. Med. Cutánea Ibero-Lat.-Am. 2018, 3, 219–221. [Google Scholar]
- Bricha, M.; Slimani, H.; Hammi, S.; Bourkadi, J.E. Chéilite tuberculeuse révélant une tuberculose pulmonaire [Tuberculous cheilitis revealing pulmonary tuberculosis]. Pan Afr. Med. J. 2016, 24, 176. [Google Scholar] [CrossRef]
- Reuter, H.; Wood, R.; Schaaf, H.S.; Donald, P.R. Overview of extrapulmonary tuberculosis in adults and children. In Tuberculosis: A Comprehensive Clinical Reference; Schaaf, H., Zumla, A.A., Eds.; Elsevier: Amsterdam, The Netherlands, 2009; pp. 377–390. [Google Scholar]
- Carranza, C.; Pedraza-Sanchez, S.; de Oyarzabal-Mendez, E.; Torres, M. Diagnosis for Latent Tuberculosis Infection: New Alternatives. Front. Immunol. 2020, 11, 2006. [Google Scholar] [CrossRef]
- Eisenberg, R.L.; Pollock, N.R. Low yield of chest radiography in a large tuberculosis screening program. Radiology 2010, 3, 998–1004. [Google Scholar] [CrossRef]
- Delogu, G.; Goletti, D. The spectrum of tuberculosis infection: New perspectives in the era of biologics. J. Rheumatol. Suppl. 2014, 91, 11–16. [Google Scholar] [CrossRef] [PubMed]
- Sterling, T.R.; Njie, G.; Zenner, D.; Cohn, D.L.; Reves, R.; Ahmed, A.; Menzies, D.; Horsburgh, C.R., Jr.; Crane, C.M.; Belknap, R.; et al. Guidelines for the Treatment of Latent Tuberculosis Infection: Recommendations from the National Tuberculosis Controllers Association and CDC, 14 February 2020. MMWR Recomm. Rep. 2020, 69, 1–11. [Google Scholar] [CrossRef] [PubMed]
- Silva, M.R.; Castro, M.C. Mycobacterial infections. In Dermatology, 2nd ed.; Bolognia, J.L., Jorizzo, J.L., Rapini, R.P., Eds.; Mosby Elsevier: London, UK, 2008; pp. 1107–1125. [Google Scholar]
- Fox, G.J.; Dobler, C.C.; Marais, B.J.; Denholm, J.T. Preventive therapy for latent tuberculosis infection-the promise and the challenges. Int. J. Infect. Dis. 2017, 56, 68–76. [Google Scholar] [CrossRef] [PubMed]
- Adetifa, I.M.; Ota, M.O.; Jeffries, D.J.; Lugos, M.D.; Hammond, A.S.; Battersby, N.J.; Owiafe, P.K.; Donkor, S.D.; Antonio, M.; Ibanga, H.B.; et al. Interferon-g ELISPOT as a biomarker of treatment efficacy in latent tuberculosis infection a clinical trial. Am. J. Respir. Crit. Care Med. 2013, 187, 439–445. [Google Scholar] [CrossRef]
- Johnson, J.L.; Geldenhuys, H.; Thiel, B.A.; Toefy, A.; Suliman, S.; Pienaar, B.; Chheng, P.; Scriba, T.; Boom, W.H.; Hanekom, W.; et al. Effect of isoniazid therapy for latent tb infection on quantiferon-Tb gold in-Tube responses in adults with positive tuberculin skin test results in a high tb incidence area. Chest 2014, 145, 612–617. [Google Scholar] [CrossRef]
- Goletti, D.; Parracino, M.P.; Butera, O.; Bizzoni, F.; Casetti, R.; Dainotto, D.; Anzidei, G.; Nisii, C.; Ippolito, G.; Poccia, F.; et al. Isoniazid prophylaxis differently modulates T-cell responses to RD1-epitopes in contacts recently exposed to Mycobacterium tuberculosis: A pilot study. Respir. Res. 2007, 8, 5. [Google Scholar] [CrossRef][Green Version]
- Yong, Y.K.; Tan, H.Y.; Saeidi, A.; Wong, W.F.; Vignesh, R.; Velu, V.; Eri, R.; Larsson, M.; Shankar, E.M. Immune Biomarkers for Diagnosis and Treatment Monitoring of Tuberculosis: Current Developments and Future Prospects. Front. Microbiol. 2019, 10, 2789. [Google Scholar] [CrossRef]
- Bocchino, M.; Chairadonna, P.; Matarese, A.; Bruzzese, D.; Salvatores, M.; Tronci, M.; Moscariello, E.; Galati, D.; Alma, M.G.; Sanduzzi, A.; et al. Limited usefulness of QuantiFERON-TB Gold In-Tube for monitoring anti-tuberculosis therapy. Respir. Med. 2010, 104, 1551–1556. [Google Scholar] [CrossRef]
- Chee, C.B.; KhinMar, K.W.; Gan, S.H.; Barkham, T.M.; Koh, C.K.; Shen, L.; Wang, Y.T. Tuberculosis treatment effect on T-cell interferon-gamma responses to Mycobacterium tuberculosis-specific antigens. Eur. Respir. J. 2010, 36, 355–361. [Google Scholar] [CrossRef]
- Kabeer, B.S.A.; Raja, A.; Raman, B.; Thangaraj, S.; Leportier, M.; Ippolito, G.; Girardi, E.; Lagrange, P.H.; Goletti, D. IP-10 response to RD1 antigens might be a useful biomarker for monitoring tuberculosis therapy. BMC Infect. Dis. 2011, 11, 135. [Google Scholar] [CrossRef]
- Helmy, N.; Abdel, S.L.; Kamela, M.M.; Ashoura, W.; El Kattan, E. Role of Quantiferon TB gold assays in monitoring the efficacy of antituberculosis therapy. Egypt. J. Chest Dis. Tuberculosis 2012, 61, 329–336. [Google Scholar] [CrossRef]
- Kaneko, Y.; Nakayama, K.; Kinoshita, A.; Kurita, Y.; Odashima, K.; Saito, Z.; Yoshii, Y.; Horikiri, T.; Seki, A.; Takeda, H.; et al. Relation between recurrence of tuberculosis and transitional changes in IFN-gamma release assays. Am. J. Respir. Crit. Care Med. 2015, 191, 480–483. [Google Scholar] [CrossRef] [PubMed]



| Diagnostic Test | Expected Results |
|---|---|
| Biopsy for histological evaluation | Granulomatous inflammation 1 (+) |
| Biopsy, including staining for acid-fast bacilli | Usually negative (+/−) |
| Tissue culture for mycobacteria | Negative (−) |
| PCR of skin biopsy | May demonstrate mycobacterial DNA in near 50% of the cases (+/−) |
| Intradermal tuberculin test (TST) | Positive (+) |
| Interferon-gamma release assay (IGRA) | Positive (+) |
| Extensive investigation for underlying tuberculosis, in addition to family history and clinical features | Tuberculids characteristically respond to anti-tuberculous treatment, even when no underlying focus of tuberculosis is found (+) |
Publisher’s Note: MDPI stays neutral with regard to jurisdictional claims in published maps and institutional affiliations. |
© 2022 by the authors. Licensee MDPI, Basel, Switzerland. This article is an open access article distributed under the terms and conditions of the Creative Commons Attribution (CC BY) license (https://creativecommons.org/licenses/by/4.0/).
Share and Cite
Tomov, G.; Voynov, P.; Bachurska, S. Granulomatous Cheilitis or Tuberculid? Antibiotics 2022, 11, 522. https://doi.org/10.3390/antibiotics11040522
Tomov G, Voynov P, Bachurska S. Granulomatous Cheilitis or Tuberculid? Antibiotics. 2022; 11(4):522. https://doi.org/10.3390/antibiotics11040522
Chicago/Turabian StyleTomov, Georgi, Parvan Voynov, and Svitlana Bachurska. 2022. "Granulomatous Cheilitis or Tuberculid?" Antibiotics 11, no. 4: 522. https://doi.org/10.3390/antibiotics11040522
APA StyleTomov, G., Voynov, P., & Bachurska, S. (2022). Granulomatous Cheilitis or Tuberculid? Antibiotics, 11(4), 522. https://doi.org/10.3390/antibiotics11040522
