Plasmid-Mediated Antibiotic Resistant Escherichia coli in Sarawak Rivers and Aquaculture Farms, Northwest of Borneo
Abstract
1. Introduction
2. Results
2.1. Bacteria Colony Count
2.2. Escherichia coli Isolation
2.3. Antibiotic Susceptibility Test
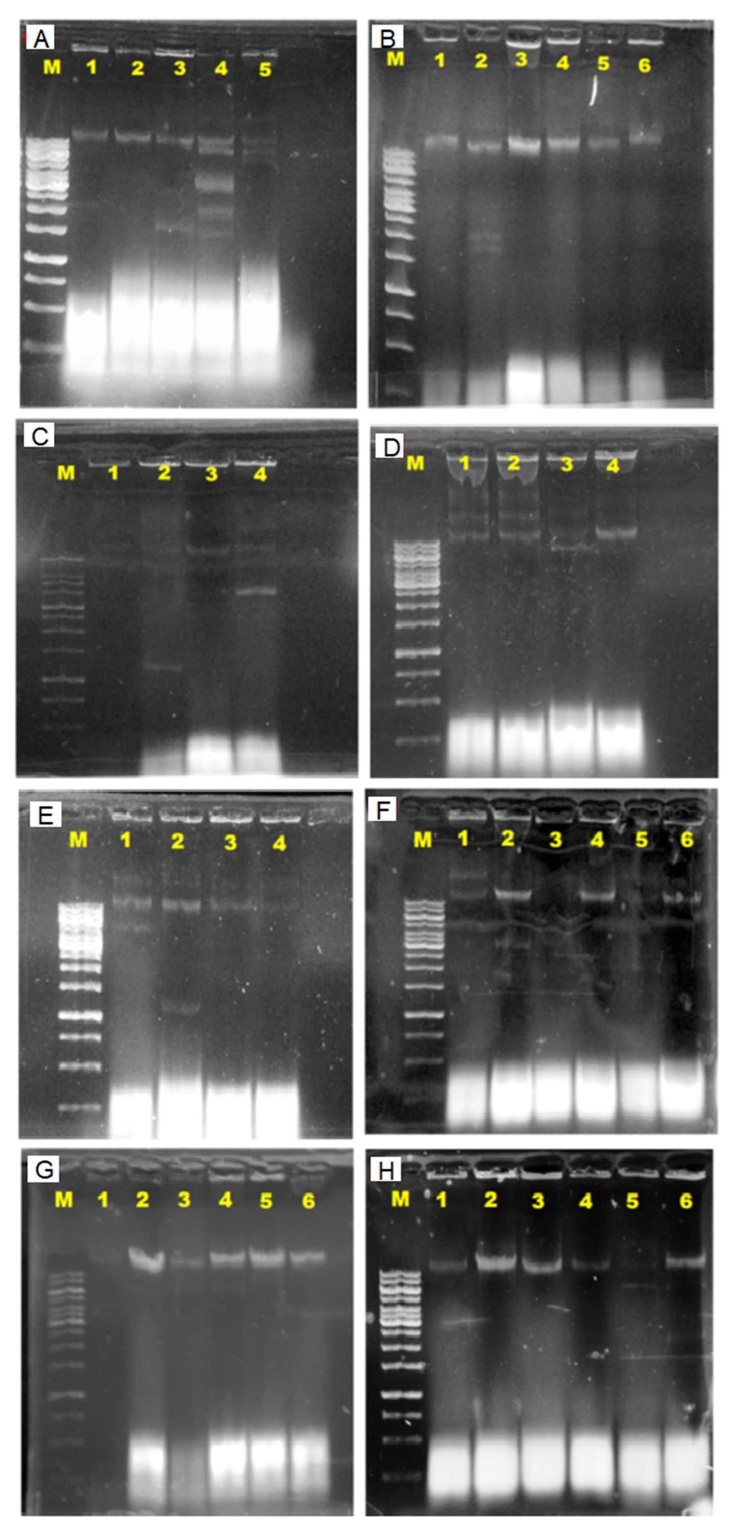
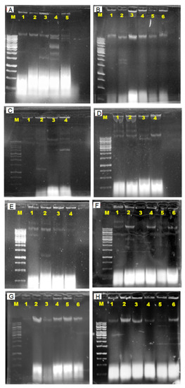
2.4. Plasmid Detection and Size Estimation
2.5. Analysis of Plasmid Size and Antibiotic Resistance
3. Discussion
4. Materials and Methods
4.1. Sampling Areas
4.2. Sample Collection
4.3. Bacteria Colony Count and Isolation of Escherichia coli
4.4. Antibiotic-Susceptibility Testing
4.5. Plasmid DNA Extraction
4.6. Viewing the Plasmid Product
4.7. Statistical Analysis
5. Conclusions
Author Contributions
Funding
Data Availability Statement
Acknowledgments
Conflicts of Interest
References
- Food and Agriculture Organization of the United Nations (FAO). The State of World Fisheries and Aquaculture 2018. Available online: http://www.fao.org/3/i9540en/i9540en.pdf (accessed on 13 January 2021).
- Okocha, R.C.; Olatoye, I.O.; Adedeji, O.B. Food safety impacts of antimicrobial use and their residues in aquaculture. Public Health Rev. 2018, 39, 21. [Google Scholar] [CrossRef] [PubMed]
- Van Boeckel, T.P.; Brower, C.; Gilbert, M.; Grenfell, B.T.; Levin, S.A.; Robinson, T.P.; Teillant, A.; Laxminarayan, R. Global trends in antimicrobial use in food animals. Proc. Natl. Acad. Sci. USA 2015, 112, 5649–5654. [Google Scholar] [CrossRef]
- Lien, L.; Hoa, N.; Chuc, N.; Thoa, N.; Phuc, H.; Diwan, V.; Dat, N.; Tamhankar, A.; Lundborg, C. Antibiotics in wastewater of a rural and an urban hospital before and after wastewater treatment, and the relationship with antibiotic use-A one year study from Vietnam. Int. J. Environ. Res. Public Health 2016, 13, 588. [Google Scholar] [CrossRef]
- Conte, D.; Palmeiro, J.K.; da Silva Nogueira, K.; de Lima, T.M.R.; Cardoso, M.A.; Pontarolo, R.; Degaut Pontes, F.L.; Dalla-Costa, L.M. Characterization of CTX-M enzymes, quinolone resistance determinants, and antimicrobial residues from hospital sewage, wastewater treatment plant, and river water. Ecotoxicol. Environ. Saf. 2017, 136, 62–69. [Google Scholar] [CrossRef] [PubMed]
- Kraemer, S.A.; Ramachandran, A.; Perron, G.G. Antibiotic pollution in the environment: From microbial ecology to public policy. Microorganisms 2019, 7, 180. [Google Scholar] [CrossRef]
- Chunhui, Z.; Liangliang, W.; Xiangyu, G.; Xudan, H. Antibiotics in WWTP discharge into the Chaobai River, Beijing. Arch. Environ. Prot. 2016, 42, 48–57. [Google Scholar] [CrossRef]
- Martínez-Carballo, E.; González-Barreiro, C.; Scharf, S.; Gans, O. Environmental monitoring study of selected veterinary antibiotics in animal manure and soils in Austria. Environ. Pollut. 2007, 148, 570–579. [Google Scholar] [CrossRef]
- Ekwanzala, M.; Lehutso, R.; Kasonga, T.; Dewar, J.; Momba, M. Environmental dissemination of selected antibiotics from hospital wastewater to the aquatic environment. Antibiotics 2020, 9, 431. [Google Scholar] [CrossRef] [PubMed]
- Raufu, I.A.; Lawan, F.A.; Bello, H.S.; Musa, A.S.; Ameh, J.A.; Ambali, A.G. Occurrence and antimicrobial susceptibility profiles of Salmonella serovars from fish in Maiduguri, sub-Saharah, Nigeria. Egypt. J. Aquat. Res. 2014, 40, 59–63. [Google Scholar] [CrossRef]
- Keen, P.L.; Monforts, M.H.M.M. Antimicrobial Resistance in the Environment; Wiley-Blackwell: Hoboken, NJ, USA, 2012; p. 154. [Google Scholar]
- Avsar, C.; Berber, I. Plasmid profiling and antibiotics resistance of Escherichia coli strains isolated from Mytilus galloprovincialis and seawater. J. Coast. Life Med. 2014, 2, 689–693. [Google Scholar] [CrossRef]
- Munita, J.M.; Arias, C.A. Mechanisms of antibiotic resistance. Virulence Mech. Bact. Pathog. 2016, 4, 481–511. [Google Scholar] [CrossRef]
- Amos, G.C.; Gozzard, E.; Carter, C.E.; Mead, A.; Bowes, M.J.; Hawkey, P.M.; Zhang, L.; Singer, A.C.; Gaze, W.H.; Wellington, E.M. Validated predictive modelling of the environmental resistome. ISME J. 2015, 9, 1467–1476. [Google Scholar] [CrossRef]
- Maeusli, M.; Lee, B.; Miller, S.; Reyna, Z.; Lu, P.; Yan, J.; Ulhaq, A.; Skandalis, N.; Spellberg, B.; Luna, B. Horizontal gene transfer of antibiotic resistance from Acinetobacter baylyi to Escherichia coli on lettuce and subsequent antibiotic resistance transmission to the gut microbiome. mSphere 2020, 5, e00329-20. [Google Scholar] [CrossRef] [PubMed]
- Nordmann, P.; Naas, T.; Poirel, L. Global spread of carbapenemase-producing Enterobacteriaceae. Emerg. Infect. Dis. 2011, 17, 1791–1798. [Google Scholar] [CrossRef] [PubMed]
- Yu, H.; Qu, F.; Shan, B.; Huang, B.; Jia, W.; Chen, C.; Li, A.; Miao, M.; Zhang, X.; Bao, C.; et al. Detection of the mcr-1 colistin resistance gene in carbapenem-resistant Enterobacteriaceae from different hospitals in China. Antimicrob. Agents Chemother. 2016, 60, 5033–5035. [Google Scholar] [CrossRef]
- Subba, P.; Joshi, D.R.; Bhatta, D.R. Antibiotic resistance pattern and plasmid profiling of thermotolerant Escherichia coli isolates in drinking water. J. Nepal Health Res. Counc. 2013, 11, 44–48. [Google Scholar]
- Chen, Z.; Yu, D.; He, S.; Ye, H.; Zhang, L.; Wen, Y.; Zhang, W.; Shu, L.; Chen, S. Prevalence of antibiotic-resistant Escherichia coli in drinking water sources in Hangzhou City. Front. Microbiol. 2017, 8, 1133. [Google Scholar] [CrossRef]
- Chuah, L.; Effarizah, M.E.; Goni, A.M.; Rusul, G. Antibiotic application and emergence of multiple antibiotic resistance (MAR) in global catfish aquaculture. Curr. Environ. Heal. Rep. 2016, 3, 118–127. [Google Scholar] [CrossRef]
- Watts, J.; Schreier, H.J.; Lanska, L.; Hale, M.S. The rising tide of antimicrobial resistance in aquaculture: Sources, Sinks and Solutions. Mar. Drugs 2017, 15, 158. [Google Scholar] [CrossRef] [PubMed]
- Wong, C.K.M.; Kung, K.; Au-Doung, P.L.W.; Ip, M.; Lee, N.; Fung, A.; Wong, S.Y.-S. Antibiotic resistance rates and physician antibiotic prescription patterns of uncomplicated urinary tract infections in southern Chinese primary care. PLoS ONE 2017, 12, e0177266. [Google Scholar] [CrossRef]
- Hatha, M.; Vivekanandam, A.A.; Joice, G.J.; Christol, G.J. Antibiotic resistance pattern of motile aeromonads from farm raised freshwater fish. Int. J. Food Microbiol. 2005, 98, 131–134. [Google Scholar] [CrossRef] [PubMed]
- Akinbowale, O.L.; Peng, H.; Barton, M.D. Antimicrobial resistance in bacteria isolated from aquaculture sources in Australia. J. Appl. Microbiol. 2005, 100, 1103–1113. [Google Scholar] [CrossRef]
- Pouwels, K.B.; Muller-Pebody, B.; Smieszek, T.; Hopkins, S.; Robotham, J.V. Selection and co-selection of antibiotic resistances among Escherichia coli by antibiotic use in primary care: An ecological analysis. PLoS ONE 2019, 14, e0218134. [Google Scholar] [CrossRef]
- Zhou, K.; Tao, Y.; Han, L.; Ni, Y.; Sun, J. Piperacillin-Tazobactam (TZP) resistance in Escherichia coli due to hyperproduction of TEM-1 β-Lactamase mediated by the promoter Pa/Pb. Front. Microbiol. 2019, 10, 833. [Google Scholar] [CrossRef] [PubMed]
- Abdelraouf, K.; Chavda, K.D.; Satlin, M.J.; Jenkins, S.G.; Kreiswirth, B.N.; Nicolau, D.P. Piperacillin-tazobactam-resistant/third-generation cephalosporin-susceptible Escherichia coli and Klebsiella pneumoniae isolates: Resistance mechanisms and in vitro-in vivo discordance. Int. J. Antimicrob. Agents 2020, 55, 105885. [Google Scholar] [CrossRef] [PubMed]
- Leong, S.S.; Samuel, L.; Chia, H.C.; Kueh, J.H.R.; Kwan, Y.M. Biorisk assessment of antibiotic resistant pathogenic bacteria isolated from swiftlet houses in Sarawak. Pertanika J. Trop. Agric. Sci. 2019, 42, 285–303. [Google Scholar]
- Spagnolo, F.; Rinaldi, C.; Sajorda, D.R.; Dykhuizen, D.E. Evolution of resistance to continuously increasing streptomycin concentrations in populations of Escherichia coli. Antimicrob. Agents Chemother. 2015, 60, 1336–1342. [Google Scholar] [CrossRef] [PubMed]
- Economou, V.; Gousia, P. Agriculture and food animals as a source of antimicrobial-resistant bacteria. Infect. Drug Resist. 2015, 8, 49–61. [Google Scholar] [CrossRef]
- Chikwendu, C.I.; Ibe, S.N.; Okpokwasili, G.C. Multiple antimicrobial resistance in Vibrio spp isolated from river and aquaculture water sources in Imo State, Nigeria. Br. Microbiol. Res. J. 2014, 4, 560–569. [Google Scholar] [CrossRef]
- Berendsen, B.; Stolker, L.; de Jong, J.; Nielen, M.; Tserendorj, E.; Sodnomdarjaa, R.; Cannavan, A.; Elliott, C. Evidence of natural occurrence of the banned antibiotic chloramphenicol in herbs and grass. Anal. Bioanal. Chem. 2010, 397, 1955–1963. [Google Scholar] [CrossRef]
- Christabel, M.; Budambula, N.; Kiiru, J.; Kariuki, S. Characterization of antibiotic resistance in environmental enteric pathogens from Kibera slum in Nairobi-Kenya. J. Bacteriol. Res. 2012, 4, 46–54. [Google Scholar] [CrossRef]
- Shahriar, M.; Khair, N.Z. Correlation of plasmid with drug resistance of clinical isolates of Escherichia coli. Afr. J. Bacteriol. Res. 2011, 3, 1–5. [Google Scholar]
- McPhearson, R.M.; DePaola, A.; Zywno, S.R.; Motes, M.L.; Guarino, A.M., Jr. Antibiotic resistance in Gram negative bacteria from cultured catfish and aquaculture ponds. Aquaculture 1991, 99, 203–211. [Google Scholar] [CrossRef]
- Schmidt, A.S.; Bruun, M.S.; Dalsgaard, I.; Pedersen, K.; Larsen, J.L. Occurrence of antimicrobial resistance in fish-pathogenic and environmental bacteria associated with four Danish rainbow trout farms. Appl. Environ. Microbiol 2000, 66, 4908–4915. [Google Scholar] [CrossRef] [PubMed]
- Alhaj, N.; Mariana, A.R.; Raha, A.R.; Ishak, Z. Prevalence of antibiotic resistance among Escherichia coli from different sources in Malaysia. Int. J. Poult. Sci. 2007, 6, 293–297. [Google Scholar] [CrossRef]
- Gasparrini, A.J.; Markley, J.L.; Kumar, H.; Wang, B.; Fang, L.; Irum, S.; Symister, C.T.; Wallace, M.; Burnham, C.D.; Andleeb, S.; et al. Tetracycline-inactivating enzymes from environmental, human commensal, and pathogenic bacteria cause broad-spectrum tetracycline resistance. Commun. Biol. 2020, 3, 1–12. [Google Scholar] [CrossRef]
- Odonkor, S.T.; Addo, K.K. Prevalence of multidrug-resistant Escherichia coli isolated from drinking water sources. Int. J. Microbiol. 2018, 2018, 1–7. [Google Scholar] [CrossRef]
- Abia, A.L.; Ubomba-Jaswa, E.; Momba, M.N. High prevalence of multiple-antibiotic-resistant (MAR) Escherichia coli in riverbed sediments of the Apies River, South Africa. Environ. Monit. Assess. 2015, 187, 1–13. [Google Scholar] [CrossRef]
- Tendencia, E.A.; de la Pena, L.D. Antibiotic resistant bacteria from shrimp ponds. Aquaculture 2001, 195, 193–204. [Google Scholar] [CrossRef]
- Jamborova, I.; Dolejska, M.; Vojtech, J.; Guenther, S.; Uricariu, R.; Drozdowska, J.; Papousek, I.; Pasekova, K.; Meissner, W.; Hordowski, J.; et al. Plasmid-mediated resistance to cephalosporins and fluoroquinolones in various Escherichia coli sequence types isolated from rooks wintering in Europe. Appl. Environ. Microbiol. 2014, 81, 648–657. [Google Scholar] [CrossRef]
- Shabana, I.I.; Al-Enazi, A.T. Investigation of plasmid-mediated resistance in E. coli isolated from healthy and diarrheic sheep and goats. Saudi J. Biol. Sci. 2020, 27, 788–796. [Google Scholar] [CrossRef]
- Rhodes, G.; Huys, G.; Swings, J.; McGann, P.; Hiney, M.; Smith, P.; Pickup, R.W. Distribution of oxytetracycline resistance plasmids between aeromonads in hospital and aquaculture environments: Implication of Tn1721 in dissemination of the tetracycline resistance determinant Tet A. Appl Environ. Microbiol 2000, 66, 3883–3890. [Google Scholar] [CrossRef]
- Furushita, M.; Shiba, T.; Maeda, T.; Yahata, M.; Kaneoka, A.; Takahashi, Y.; Torii, K.; Hasegawa, T.; Ohta, M. Similarity of tetracycline resistance genes isolated from fish farm bacteria to those from clinical isolates. Appl. Environ. Microbiol. 2003, 69, 5336–5342. [Google Scholar] [CrossRef] [PubMed]
- Manjusha, S.; Sarita, G.B. Plasmid associated antibiotic resistance in Vibrios isolated from coastal waters of Kerala. Int. Food Res. J. 2011, 18, 1171–1181. [Google Scholar]
- Aoki, T.; Kitao, T.; Lemura, N.; Mitoma, Y.; Nomura, T. The susceptibility of Aeromonas to salmonicida to strains isolated in cultured and wild salmonids to various chemotherapeutics. Bull. Jpn. Soc. Sci. Fish. 1983, 49, 17–22. [Google Scholar] [CrossRef]
- Aoki, T.; Takahashi, A. Class D tetracycline resistance determinants of R-plasmids from fish pathogens Aeromonas hydrophila, Edwardsiella tarda and Pasteurella piscisida. Antimicrob. Agents Chemother. 1987, 31, 1278–1280. [Google Scholar] [CrossRef] [PubMed]
- Markley, J.L.; Fang, L.; Gasparrini, A.J.; Symister, C.T.; Kumar, H.; Tolia, N.H.; Dantas, G.; Wencewicz, T.A. Semisynthetic analogues of anhydrotetracycline as inhibitors of Tetracycline destructase enzymes. ACS Infect. Dis. 2019, 5, 618–633. [Google Scholar] [CrossRef]
- AbdelRahim, K.A.A.; Hassanein, A.M.; Azeiz, H.A.E.H.A.E. Prevalence, plasmids and antibiotic resistance correlation of enteric bacteria in different drinking water resources in Sohag, Egypt. Jundishapur J. Microbiol. 2015, 8. [Google Scholar] [CrossRef]
- Thavasi, R.; Aparnadevi, K.; Jayalakshmi, S.; Balasubramanian, T. Plasmid mediated antibiotic resistance in marine bacteria. J. Environ. Biol. 2007, 28, 617–621. [Google Scholar]
- Sengupta, M.; Austin, S. Prevalence and significance of plasmid maintenance functions in the virulence plasmids of pathogenic bacteria. Infect. Immun. 2011, 79, 2502–2509. [Google Scholar] [CrossRef] [PubMed]
- Sien, L.S.; Chuan, C.H.; Lihan, S.; Yee, L.T. Isolation and identification of airborne bacteria inside the swiftlet houses in Sarawak, Malaysia. Makara J. Sci. 2013, 17, 104–108. [Google Scholar] [CrossRef]
- Clinical and Laboratory Standards Institute (CLSI). Performance Standards for Antimicrobial Susceptibility Testing. In Twenty-Second Informational Supplement; CLSI: Wayne, PA, USA, 2017; p. 52. [Google Scholar]
- Sien, L.S.; Lihan, S.; Yee, L.T.; Hwa Chuan, C.; Chan Koon, L. Isolation and characterization of antibiotic resistant bacteria from bird feces in bird farm houses in Sarawak, Malaysia. Microbiol. Indones. 2013, 7, 137–143. [Google Scholar] [CrossRef]
- Alam, M.J.; Rahman, M.T.; Siddique, M.P.; Khan, M.F.R.; Rahman, M.B. Antibiogram and plasmid profiling of E. coli isolates. Int. J. Bioresearch 2000, 1, 1–7. [Google Scholar]







| Sites | Samples | Source | Mean Bacteria Colony Count (CFU/mL) | Mean Bacteria Colony Count (log CFU/mL) |
|---|---|---|---|---|
| PM | PM-W1 | Pond water | 1.10 × 104 | 4.04 |
| PM | PM-W2 | Pond water | 1.18 × 104 | 4.07 |
| PM | PM-W3 | Pond water | 1.80 × 103 | 3.26 |
| PM | PM-W4 | Pond water | 6.90 × 103 | 3.84 |
| PM | PM-W5 | Pond water | 4.00 × 102 | 2.60 |
| PM | PM-W6 | Pond water | 3.70 × 103 | 3.57 |
| PM | PM-W7 | Pond water | 2.40 × 103 | 3.38 |
| PM | PM-W8 | Pond water | 8.50 × 103 | 3.93 |
| PM | PM-W9 | Pond water | 1.90 × 103 | 3.28 |
| PM | PM-W10 | Pond water | 3.00 × 105 | 5.48 |
| PM | PM-W11 | Pond water | 3.00 × 105 | 5.48 |
| AS | AS-NS(S)1 | Shrimp hatcheries, surface water | 5.00 × 101 | 1.70 |
| AS | AS-NS(S)2 | Shrimp hatcheries, surface water | 1.50 × 103 | 3.18 |
| AS | AS-R10(S) | Reservoir, surface water | 5.50 × 103 | 3.74 |
| AS | AS-R10(B) | Reservoir, Deep water | 1.50 × 102 | 2.18 |
| AS | AS-42(S) | Surface water | 2.00 × 103 | 3.30 |
| AS | AS-42(B) | Deep water | 5.00 × 101 | 1.70 |
| AS | AS-62(S) | Surface water | 4.50 × 103 | 3.65 |
| AS | AS-62(B) | Deep water | 5.00 × 101 | 1.70 |
| AS | AS-SD1(S) | sediment | 4.00 × 103 | 3.60 |
| AS | AS-SD1(B) | sediment | 3.00 × 105 | 5.48 |
| AS | AS-26(S) | Surface water | 4.15 × 103 | 3.62 |
| AS | AS-26(B) | Deep water | 7.00 × 102 | 2.85 |
| AS | AS-16(S) | Surface water | 2.00 × 103 | 2.30 |
| AS | AS-16(B) | bottom of pond | 1.50 × 103 | 3.18 |
| AS | AS-SD2(S) | sediment | 7.50 × 103 | 3.88 |
| AS | AS-SD2(B) | sediment | 4.30 × 103 | 3.63 |
| AS | AS-8(S) | Surface water | 1.10 × 103 | 3.04 |
| AS | AS-8(B) | Deep water | 5.00 × 101 | 1.70 |
| BK | BK-K1(S) | Surface water, pond | 5.00 × 101 | 1.70 |
| BK | BK-K1(B) | Deep water, pond | 2.50 × 102 | 2.40 |
| BK | BK-K2(S) | Surface water, pond | 5.00 × 101 | 1.70 |
| BK | BK-K2(B) | Deep water, pond | 5.00 × 101 | 1.70 |
| BK | BK-K6(S) | Surface water, pond | 5.00 × 101 | 1.70 |
| BK | BK-K6(B) | Deep water, pond | 5.00 × 101 | 1.70 |
| BK | BK-K7(S) | Surface water, pond | 5.00 × 101 | 1.70 |
| BK | BK-K7(B) | Deep water, pond | 3.00 × 102 | 2.48 |
| BK | BK-K8(S) | Surface water, pond | 6.90 × 103 | 3.84 |
| BK | BK-K8(B) | Deep water, pond | 3.00 × 105 | 5.48 |
| BK | BK-RV1(S) | Reservoir, surface water | 6.50 × 102 | 2.81 |
| BK | BK-RV2(S) | Reservoir, surface water | 2.00 × 102 | 2.30 |
| BK | BK-ST1(S) | Stagnant pond, Surface water | 4.00 × 103 | 3.60 |
| BK | BK-ST2(B) | Stagnant pond, Deep water | 3.00 × 105 | 5.48 |
| BK | BK-RS1(S) | Reservoir, surface water | 6.65 × 103 | 3.82 |
| BK | BK-RS2(S) | Reservoir, surface water | 1.29 × 104 | 4.11 |
| BK | BK2-K1(S) | Surface water, pond | 5.00 × 101 | 1.70 |
| BK | BK2-K1(B) | Deep water, pond | 5.00 × 101 | 1.70 |
| BK | BK2-K2(S) | Surface water, pond | 6.25 × 103 | 3.80 |
| BK | BK2-K2(B) | Deep water, pond | 3.00 × 105 | 5.48 |
| BK | BK2-RS(S) | Reservoir, Surface water | 3.00 × 105 | 5.48 |
| BK | BK2-K4(S) | Surface water, pond | 3.90 × 103 | 3.59 |
| BK | BK2-K4(B) | Deep water, pond | 3.50 × 103 | 3.54 |
| BK | BK2-OLT(S) | Outlet pond, surface water | 3.00 × 105 | 5.48 |
| BK | BK2-OLT(B) | Outlet pond, deep water | 2.60 × 103 | 3.41 |
| BK | BK2-TRM(S) | Treatment pond, surface water | 5.00 × 101 | 1.70 |
| BK | BK2-TRM(B) | Treatment pond, deep water | 5.00 × 101 | 1.70 |
| BT | BT-S1 | Midstream | 4.80 × 103 | 3.68 |
| BT | BT-S2 | Midstream | 4.50 × 103 | 3.65 |
| BT | BT-S3 | Midstream | 1.10 × 103 | 3.04 |
| SN | SN-S1 | Midstream | 2.00 × 103 | 3.30 |
| SN | SN-S2 | Midstream | 1.35 × 103 | 3.13 |
| SN | SN-S3 | Midstream | 1.50 × 103 | 3.18 |
| WF | WF-S1 | Midstream | 2.55 × 103 | 3.41 |
| WF | WF-S2 | Midstream | 2.20 × 103 | 3.34 |
| WF | WF-S3 | Midstream | 2.20 × 103 | 3.34 |
| ST | ST-S1 | Midstream | 5.00 × 102 | 2.70 |
| ST | ST-S2 | Midstream | 1.00 × 102 | 2.00 |
| ST | ST-S3 | Midstream | 1.50 × 102 | 2.18 |
| WC | WC-S1 | Midstream | 1.45 × 103 | 3.16 |
| WC | WC-S2 | Midstream | 6.50 × 102 | 2.81 |
| WC | WC-S3 | Midstream | 6.50 × 102 | 2.81 |
| MT | MT-S1 | Midstream | 7.50 × 102 | 2.88 |
| MT | MT-S2 | Midstream | 1.90 × 103 | 3.28 |
| MT | MT-S3 | Midstream | 1.60 × 103 | 3.20 |
| Samples | Indole | Motility | H2S Gas Production | MR | VP | CA |
|---|---|---|---|---|---|---|
| Control | − | + | + | + | − | − |
| PM-W1 | − | + | + | + | − | − |
| PM-W8 | − | + | + | + | − | − |
| PM-W10 | − | + | + | + | − | − |
| AS-RV1(S) | + | + | − | + | − | − |
| AS-NS(S)2 | + | + | − | + | − | − |
| AS-R10(S) | + | + | − | + | − | − |
| AS-R10(B) | + | + | − | + | − | − |
| AS-42(S) | + | + | − | + | − | − |
| AS-62(S) | + | + | − | + | − | − |
| AS-62(B) | + | + | − | + | − | − |
| AS-SD1(S) | + | + | − | + | − | − |
| AS-16(S) | + | + | − | + | − | − |
| AS-16(B) | + | + | − | + | − | − |
| AS-SD2(B) | + | + | − | + | − | − |
| AS-8(S) | + | + | − | + | − | − |
| BK-RV2(S) | + | + | − | + | − | − |
| BK2-K2(B) | + | + | − | + | − | − |
| BK2-K4(S) | + | + | − | + | − | − |
| BK2-OLT(S) | + | + | − | + | − | − |
| BK2-OLT(B) | + | + | − | + | − | − |
| BT-S1B | + | + | − | + | − | − |
| BT-S2B | − | + | − | + | − | − |
| BT-S3B | + | + | − | + | − | − |
| SN-S1ASN-S1B | + | + | − | + | − | − |
| SN-S2B | + | + | − | + | − | − |
| WF-S1B | + | + | − | + | − | − |
| WF-S2B | + | + | − | + | − | − |
| WF-S3A | + | + | − | + | − | − |
| WF-S3B | + | + | − | + | − | − |
| WC-S1A | + | + | − | + | − | − |
| WC-S3A | + | + | − | + | − | − |
| WC-S3B | + | + | − | + | − | − |
| MT-S1AMT-S1B | + | + | − | + | − | − |
| MT-S2B | − | − | + | + | − | − |
| Pattern | Code | Resistance to Number of Antibiotics | Antibiotic Resistance Profile | MAR Index | Number ofPlasmids | Plasmid Size (kb) |
|---|---|---|---|---|---|---|
| 1 | WF-S1B | 6 | AK, AMC, K, PRL, S, TE | 0.50 | 1 | 5.80 |
| 2 | WF-S2B | 6 | AK, CIP, K, PRL, S, TE | 0.50 | 2 | 3.70, 5.80 |
| 2 | WF-S3A | 6 | AK, CIP, K, PRL, S, TE | 0.50 | 0 | None detected |
| 2 | BT-S3B | 6 | AK, CIP, K, PRL, S, TE | 0.50 | 0 | None detected |
| 3 | MT-S1B | 4 | AMC, AMP, PRL, S | 0.33 | 0 | None detected |
| 3 | WC-S3A | 4 | AMC, AMP, PRL, S | 0.33 | 0 | None detected |
| 4 | WF-S3B | 6 | AK, CIP, K, NA, PRL, TE | 0.50 | 1 | 2.90 |
| 5 | BT-S1B | 7 | AK CIP, CN, K, PRL, S, TE | 0.58 | 0 | None detected |
| 6 | SN-S1B | 10 | AMC, AMP, C, CIP, CN, K, NA, PRL, S, TE | 0.83 | 3 | 3.20, 3.70, 5.80 |
| 7 | SN-S1A | 5 | AMC, AMP, CIP, PRL, S | 0.42 | 0 | None detected |
| 8 | SN-S2B | 10 | AK, AMC, AMP, CN, F, K, NA, PRL, S, TE | 0.83 | 1 | 1.15 |
| 8 | AS-16(B) | 10 | AK, AMC, AMP, CN, F, K, NA, PRL, S, TE | 0.83 | 1 | >10.0 |
| 9 | MT-S1A | 6 | AMC, AMP, CIP, K, PRL, S | 0.50 | 6 | 1.10, 1.50, 2.60, 3.70, >10.0, >10.0, |
| 10 | WC-S1A | 7 | AMC, AMP, CIP, CN, K, PRL, S | 0.58 | 0 | None detected |
| 11 | WC-S3B | 7 | AMC, AMP, CIP, K, PRL, S, TE | 0.58 | 0 | None detected |
| 12 | AS-R10(S) | 5 | AMC, AMP, F, K, PRL | 0.42 | 2 | >10.0, >10.0 |
| 13 | AS-SD1(S) | 4 | AMC, AMP, F, PRL | 0.33 | 0 | None detected |
| 13 | AS-42(S) | 4 | AMC, AMP, F, PRL | 0.33 | 0 | None detected |
| 14 | AS-SD2(B) | 3 | AMC, AMP, S | 0.25 | 0 | None detected |
| 15 | BK-RV1(S) | 5 | AK, AMC, AMP, PRL, S | 0.42 | 2 | 1.30, 1.65 |
| 16 | BK-RV2(S) | 6 | AMC, AMP, F, K, S, TE | 0.50 | 1 | >10.0 |
| 17 | BK2-K2(B) | 7 | AMC, AMP, CIP, K, NA, PRL, S | 0.58 | 1 | >10.0 |
| 18 | BK2-K4(S) | 6 | AK, AMC, AMP, F, K, PRL | 0.50 | 0 | None detected |
| 19 | BK2-OLT(S) | 6 | AK, AMC, AMP, F, K, NA | 0.50 | 2 | 5.00, >10.0 |
| 20 | BK2-OLT(B) | 8 | AK, AMC, AMP, C, CIP, F, NA, TE | 0.67 | 2 | 1.15, >10.0 |
| 21 | AS-NS(S)2 | 2 | AMC, AMP | 0.17 | 0 | None detected |
| 22 | AS-R10(B) | 3 | AMC, AMP, F | 0.25 | 2 | >10.0, >10.0 |
| 23 | AS-62(S) | 5 | AMC, AMP, CN, F, PRL | 0.42 | 0 | None detected |
| 24 | AS-62(B) | 3 | AMC, AMP, PRL | 0.25 | 2 | >10.0, >10.0 |
| 25 | AS-16(S) | 7 | AMC, AMP, F, K, NA, PRL, S | 0.58 | 0 | None detected |
| 26 | AS-8(S) | 4 | AMC, AMP, CN, K | 0.33 | 0 | None detected |
| 27 | E. coli ATCC 25922 | 0 | - | 0 | 2 | 1.30, 2.20 |
Publisher’s Note: MDPI stays neutral with regard to jurisdictional claims in published maps and institutional affiliations. |
© 2021 by the authors. Licensee MDPI, Basel, Switzerland. This article is an open access article distributed under the terms and conditions of the Creative Commons Attribution (CC BY) license (https://creativecommons.org/licenses/by/4.0/).
Share and Cite
Lihan, S.; Lee, S.Y.; Toh, S.C.; Leong, S.S. Plasmid-Mediated Antibiotic Resistant Escherichia coli in Sarawak Rivers and Aquaculture Farms, Northwest of Borneo. Antibiotics 2021, 10, 776. https://doi.org/10.3390/antibiotics10070776
Lihan S, Lee SY, Toh SC, Leong SS. Plasmid-Mediated Antibiotic Resistant Escherichia coli in Sarawak Rivers and Aquaculture Farms, Northwest of Borneo. Antibiotics. 2021; 10(7):776. https://doi.org/10.3390/antibiotics10070776
Chicago/Turabian StyleLihan, Samuel, Sai Y. Lee, Seng C. Toh, and Sui S. Leong. 2021. "Plasmid-Mediated Antibiotic Resistant Escherichia coli in Sarawak Rivers and Aquaculture Farms, Northwest of Borneo" Antibiotics 10, no. 7: 776. https://doi.org/10.3390/antibiotics10070776
APA StyleLihan, S., Lee, S. Y., Toh, S. C., & Leong, S. S. (2021). Plasmid-Mediated Antibiotic Resistant Escherichia coli in Sarawak Rivers and Aquaculture Farms, Northwest of Borneo. Antibiotics, 10(7), 776. https://doi.org/10.3390/antibiotics10070776

