Development of Nanobody-Based Sandwich ELISA Resistant to SpA Interference for Sensitive Detection of Staphylococcal Enterotoxin A
Abstract
1. Introduction
2. Materials and Methods
2.1. Materials and Reagents
2.2. The Biopanning of Anti-SEA Nanobodies
2.3. Expression and Identification of Anti-SEA Nanobodies
2.4. Development of the Sandwich ELISA Based on mAb-4C6 and Nanobody for the Detection of SEA
2.5. The Evaluation of SpA Interference Resistance of the Developed Sandwich ELISA
2.6. Practicability of the Developed Sandwich ELISA
3. Results
3.1. The Biopanning of Anti-SEA Nanobodies
3.2. The Identification of Anti-SEA Nanobodies
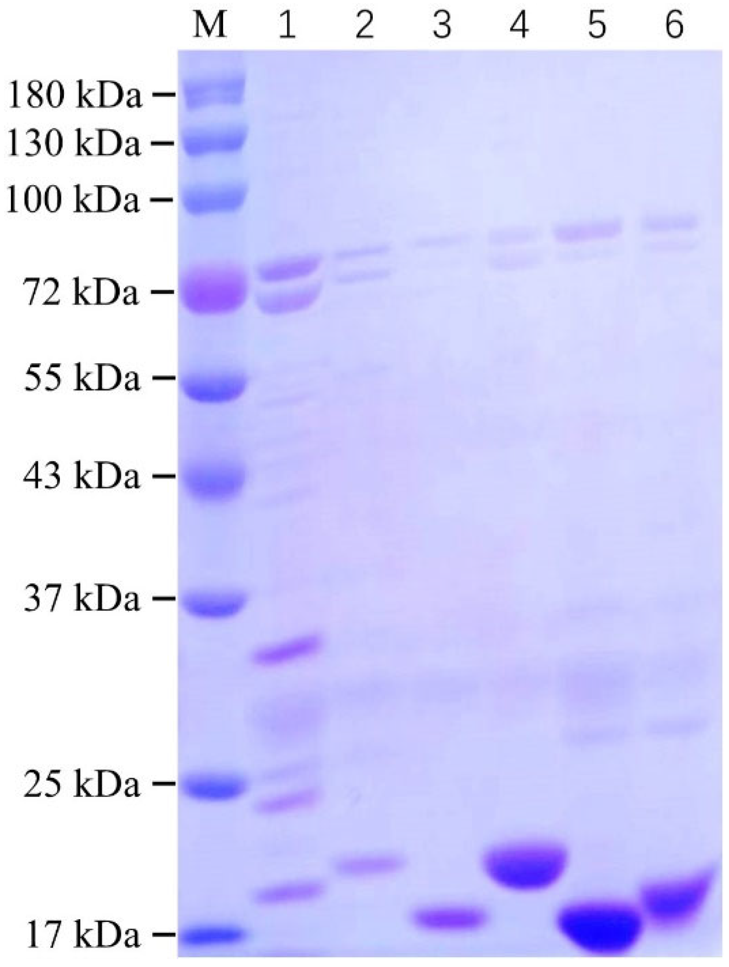
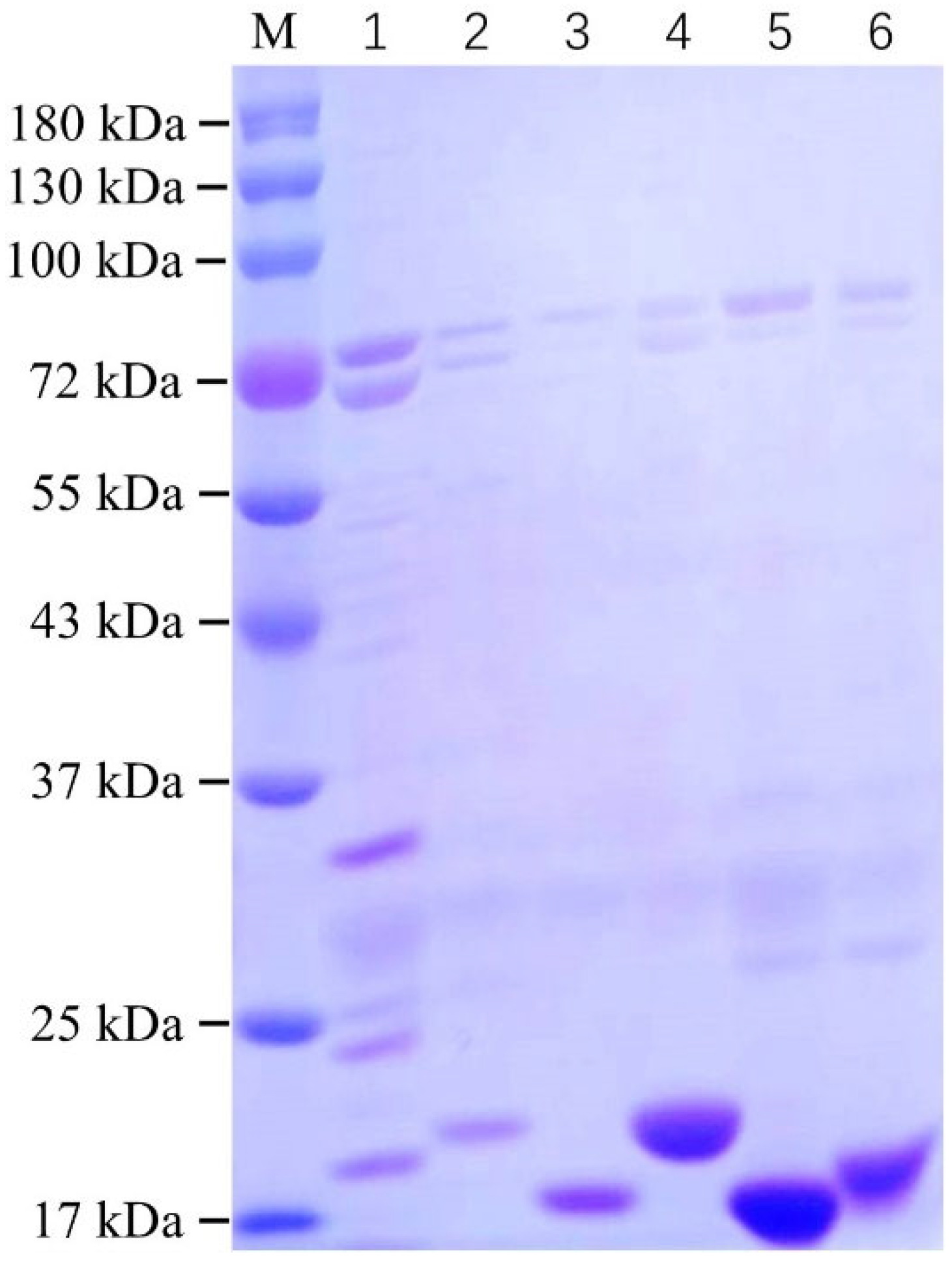
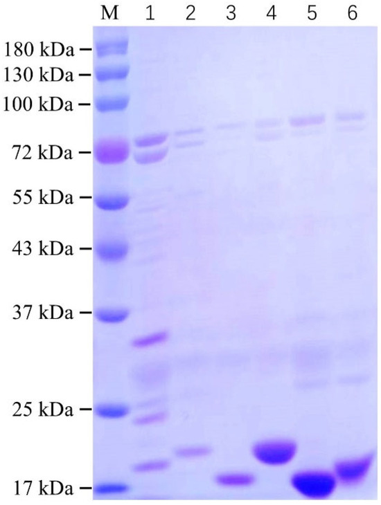
3.3. Expression and Characterization of Anti-SEA Nanobodies
3.4. The Quantitative Detection Curves of the Development Sandwich ELISA
3.5. Analysis of SpA Interference Resistance of the Developed Sandwich ELISA
3.6. Practicability of the Developed Sandwich ELISA
4. Conclusions
Supplementary Materials
Author Contributions
Funding
Institutional Review Board Statement
Informed Consent Statement
Data Availability Statement
Conflicts of Interest
References
- Chen, D.; Song, Q.; Xu, Z.; Zhang, D. Characterization of enterotoxin A-producing Staphylococcus aureus. Infect. Drug Resist. 2018, 11, 531–538. [Google Scholar] [CrossRef] [PubMed]
- Pal, M.; Ketchakmadze, D.; Durglishvili, N.; Ketchakmadze, K. Staphylococcus aureus: A major pathogen of food poisoning: A rare research report. Nutr. Food Process 2022, 5, 1–3. [Google Scholar]
- Castro, A.; Silva, J.; Teixeira, P. Staphylococcus aureus, a food pathogen: Virulence factors and antibiotic resistance. In Foodborne Diseases; Elsevier: Amsterdam, The Netherlands, 2018; pp. 213–238. [Google Scholar]
- Li, Q.; Dou, L.; Zhang, Y.; Luo, L.; Yang, H.; Wen, K.; Yu, X.; Shen, J.; Wang, Z. A comprehensive review on the detection of Staphylococcus aureus enterotoxins in food samples. Compr. Rev. Food Sci. Food Saf. 2024, 23, e13264. [Google Scholar] [CrossRef] [PubMed]
- Li, Q.; Qin, D.; Zhu, J.; Yang, X.; Lu, Z.; Ye, S.; Zhang, Y.; Yang, H.; Wang, Z.; Shen, J. Development and validation of an ELISA kit for the detection of Staphylococcus aureus enterotoxin A, B, C1, C2, C3, D, E from food samples. Food Control 2024, 166, 110630. [Google Scholar] [CrossRef]
- Wu, H.; Li, Y.; Li, Y.; Cui, Y.; Jia, C.; Wang, J.; Pan, J.; Yu, G.; Zhang, X.; Wang, X. The “umbrella of tolerance”: Nanobodies-armed photothermal lateral flow immunoassay for the detection of staphylococcal enterotoxin B. Chem. Eng. J. 2023, 470, 144273. [Google Scholar] [CrossRef]
- Nodoushan, S.M.; Nasirizadeh, N.; Sedighian, H.; Kachuei, R.; Azimzadeh-Taft, M.; Fooladi, A.A.I. Detection of Staphylococcal Enterotoxin A (SEA) using a sensitive nanomaterial-based electrochemical aptasensor. Diam. Relat. Mater. 2022, 127, 109042. [Google Scholar] [CrossRef]
- Zhao, R.; Du, F.; Zu, K.; Zhu, J.; Wu, G.; Guo, J.; Shen, F.; Zhang, X.; Liu, H.; Shi, Y. Determination of Staphylococcus Enterotoxin B Using a Flexible Aptamer-Based Biosensor. IEEE Sens. J. 2023, 23, 6530–6536. [Google Scholar] [CrossRef]
- Ji, Y.; Li, X.; Lu, Y.; Guo, P.; Zhang, G.; Wang, Y.; Zhang, Y.; Zhu, W.; Pan, J.; Wang, J. Nanobodies based on a sandwich immunoassay for the detection of staphylococcal enterotoxin B free from interference by protein A. J. Agric. Food Chem. 2020, 68, 5959–5968. [Google Scholar] [CrossRef]
- Rigi, G.; Ghaedmohammadi, S.; Ahmadian, G. A comprehensive review on staphylococcal protein A (SpA): Its production and applications. Biotechnol. Appl. Biochem. 2019, 66, 454–464. [Google Scholar] [CrossRef]
- Kota, R.K.; Reddy, P.N.; Sreerama, K. Application of IgY antibodies against staphylococcal protein A (SpA) of Staphylococcus aureus for detection and prophylactic functions. Appl. Microbiol. Biotechnol. 2020, 104, 9387–9398. [Google Scholar] [CrossRef]
- Reddy, P.; Ramlal, S.; Sripathy, M.H.; Batra, H.V. Development and evaluation of IgY ImmunoCapture PCR ELISA for detection of Staphylococcus aureus enterotoxin A devoid of protein A interference. J. Immunol. Methods 2014, 408, 114–122. [Google Scholar] [CrossRef]
- Muyldermans, S. Applications of nanobodies. Annu. Rev. Anim. Biosci. 2021, 9, 401–421. [Google Scholar] [CrossRef]
- Mitchell, L.S.; Colwell, L.J. Comparative analysis of nanobody sequence and structure data. Proteins Struct. Funct. Bioinform. 2018, 86, 697–706. [Google Scholar]
- De Marco, A. Recombinant expression of nanobodies and nanobody-derived immunoreagents. Protein Expr. Purif. 2020, 172, 105645. [Google Scholar] [CrossRef]
- Wang, Y.; Fan, Z.; Shao, L.; Kong, X.; Hou, X.; Tian, D.; Sun, Y.; Xiao, Y.; Yu, L. Nanobody-derived nanobiotechnology tool kits for diverse biomedical and biotechnology applications. Int. J. Nanomed. 2016, 11, 3287–3303. [Google Scholar] [CrossRef]
- Jovčevska, I.; Muyldermans, S. The therapeutic potential of nanobodies. BioDrugs 2020, 34, 11–26. [Google Scholar] [CrossRef] [PubMed]
- Delfin-Riela, T.; Rossotti, M.A.; Echaides, C.; González-Sapienza, G. A nanobody-based test for highly sensitive detection of hemoglobin in fecal samples. Anal. Bioanal. Chem. 2020, 412, 389–396. [Google Scholar] [CrossRef] [PubMed]
- He, T.; Zhu, J.; Nie, Y.; Hu, R.; Wang, T.; Li, P.; Zhang, Q.; Yang, Y. Nanobody technology for mycotoxin detection: Current status and prospects. Toxins 2018, 10, 180. [Google Scholar] [CrossRef] [PubMed]
- Li, Z.-F.; Dong, J.-X.; Vasylieva, N.; Cui, Y.-L.; Wan, D.-B.; Hua, X.-D.; Huo, J.-Q.; Yang, D.-C.; Gee, S.J.; Hammock, B.D. Highly specific nanobody against herbicide 2, 4-dichlorophenoxyacetic acid for monitoring of its contamination in environmental water. Sci. Total Environ. 2021, 753, 141950. [Google Scholar] [CrossRef]
- Jin, B.; Odongo, S.; Radwanska, M.; Magez, S. NANOBODIES®: A review of diagnostic and therapeutic applications. Int. J. Mol. Sci. 2023, 24, 5994. [Google Scholar] [CrossRef]
- Chen, P.; Zhou, M.; Chen, X.; Xiong, S.; Su, Y.; Zhou, H.; Peng, J.; Xiong, Y. Quantum dot bead-based competitive immunochromatographic assay for enterotoxin aureus A detection in pasteurized milk. J. Dairy Sci. 2022, 105, 4938–4945. [Google Scholar] [CrossRef] [PubMed]
- Duan, H.; Zhao, L.; Wang, J.; Wang, X.; Zheng, L.; Huang, X. Integrating lateral flow device with controllable gold in situ growth for sensitive detection of staphylococcal enterotoxin A in milk. Anal. Chim. Acta 2024, 1329, 343233. [Google Scholar] [CrossRef] [PubMed]
- Cui, Y.; Wang, X.; Wu, H.; Zhang, X.; Xu, Y.; Yu, G.; Liu, X.; Yao, Q.; Wang, J.; Ji, Y. A “one to two” novel sandwich immunoassay based on nanobodies for detection of staphylococcal enterotoxin A in food samples. Food Control 2024, 160, 110313. [Google Scholar] [CrossRef]
- Zhang, Y.; Liu, D.; Tian, Y.; Li, M.; Li, Y.; Zhou, T.; Zhao, Q.; Zhang, M.; Yu, Y.; Pan, H. Bifunctional nanobody facilitates a colorimetric and fluorescent dual-mode immunoassay of Staphylococcal enterotoxin A. Food Chem. 2025, 467, 142362. [Google Scholar] [CrossRef]
- Ma, X.; Meng, R.; Yu, M.; Guo, N.; Wang, H.; Zheng, H.; Sun, C. Label-free and low-background fluorescent structure-switching aptasensor for sensitive detection of staphylococcal enterotoxin A based on graphene oxide-assisted separation of ssDNA. Food Control 2024, 155, 110105. [Google Scholar] [CrossRef]
- Tong, W.; Du, Y.; Yao, M.; Fang, H.; He, W.; Zhang, Y.; Su, Y.; Leng, Y.; Huang, X.; Xiong, Y. Gold nanocubes etching enhanced light scattering immunoassay for highly sensitive detection of Staphylococcus aureus enterotoxin A. Food Chem. 2025, 479, 143713. [Google Scholar] [CrossRef]
- Ben Haddada, M.; Hu, D.; Salmain, M.; Zhang, L.; Peng, C.; Wang, Y.; Liedberg, B.; Boujday, S. Gold nanoparticle-based localized surface plasmon immunosensor for staphylococcal enterotoxin A (SEA) detection. Anal. Bioanal. Chem. 2017, 409, 6227–6234. [Google Scholar] [CrossRef]
- Liu, N.; Li, X.; Ma, X.; Ou, G.; Gao, Z. Rapid and multiple detections of staphylococcal enterotoxins by two-dimensional molecularly imprinted film-coated QCM sensor. Sens. Actuators B Chem. 2014, 191, 326–331. [Google Scholar] [CrossRef]






| Round | Library Input (pfu/well) | Library Output (pfu/well) | Recovery Rate | Enrichment Ratio |
|---|---|---|---|---|
| 1 | 1 × 1011 | 6.4 × 104 | 6.4 × 10−7 | / |
| 2 | 1 × 1011 | 8.5 × 106 | 8.5 × 10−5 | 132.8 |
| 3 | 1 × 1011 | 8.0 × 107 | 8.0 × 10−4 | 9.4 |
| 4 | 1 × 1011 | 8.4 × 107 | 8.4 × 10−4 | 1.1 |
Disclaimer/Publisher’s Note: The statements, opinions and data contained in all publications are solely those of the individual author(s) and contributor(s) and not of MDPI and/or the editor(s). MDPI and/or the editor(s) disclaim responsibility for any injury to people or property resulting from any ideas, methods, instructions or products referred to in the content. |
© 2025 by the authors. Licensee MDPI, Basel, Switzerland. This article is an open access article distributed under the terms and conditions of the Creative Commons Attribution (CC BY) license (https://creativecommons.org/licenses/by/4.0/).
Share and Cite
Hu, C.; Wang, D.; Ou, Y.; Li, R.; Chen, Q.; Liu, P. Development of Nanobody-Based Sandwich ELISA Resistant to SpA Interference for Sensitive Detection of Staphylococcal Enterotoxin A. Biosensors 2025, 15, 666. https://doi.org/10.3390/bios15100666
Hu C, Wang D, Ou Y, Li R, Chen Q, Liu P. Development of Nanobody-Based Sandwich ELISA Resistant to SpA Interference for Sensitive Detection of Staphylococcal Enterotoxin A. Biosensors. 2025; 15(10):666. https://doi.org/10.3390/bios15100666
Chicago/Turabian StyleHu, Chenghao, Di Wang, Yangwei Ou, Ruoyu Li, Qi Chen, and Peng Liu. 2025. "Development of Nanobody-Based Sandwich ELISA Resistant to SpA Interference for Sensitive Detection of Staphylococcal Enterotoxin A" Biosensors 15, no. 10: 666. https://doi.org/10.3390/bios15100666
APA StyleHu, C., Wang, D., Ou, Y., Li, R., Chen, Q., & Liu, P. (2025). Development of Nanobody-Based Sandwich ELISA Resistant to SpA Interference for Sensitive Detection of Staphylococcal Enterotoxin A. Biosensors, 15(10), 666. https://doi.org/10.3390/bios15100666

