D-Glucose-Mediated Gold Nanoparticle Fabrication for Colorimetric Detection of Foodborne Pathogens
Abstract
1. Introduction
2. Materials and Methods
2.1. Experimental Supplies
2.2. Bacterial Cultures and DNA Purification
2.3. Primer Design
2.4. D-Glucose-Based LAMP Assay (Glucose-LAMP Assay)
2.5. Colorimetric Detection for Glucose-LAMP Assay
2.6. Qualitative Test on Paper
2.7. Quantification of Colorimetric Detection
2.8. Sensitivity and Specificity Tests
3. Results and Discussion
3.1. Selection of Optimum Paper Discs
3.2. Glucose-LAMP Assay
3.3. Optimization of NaOH Concentration
3.4. Optimization of HAuCl4 Concentration
3.5. Specificity Test for Diagnosis of Foodborne Pathogens
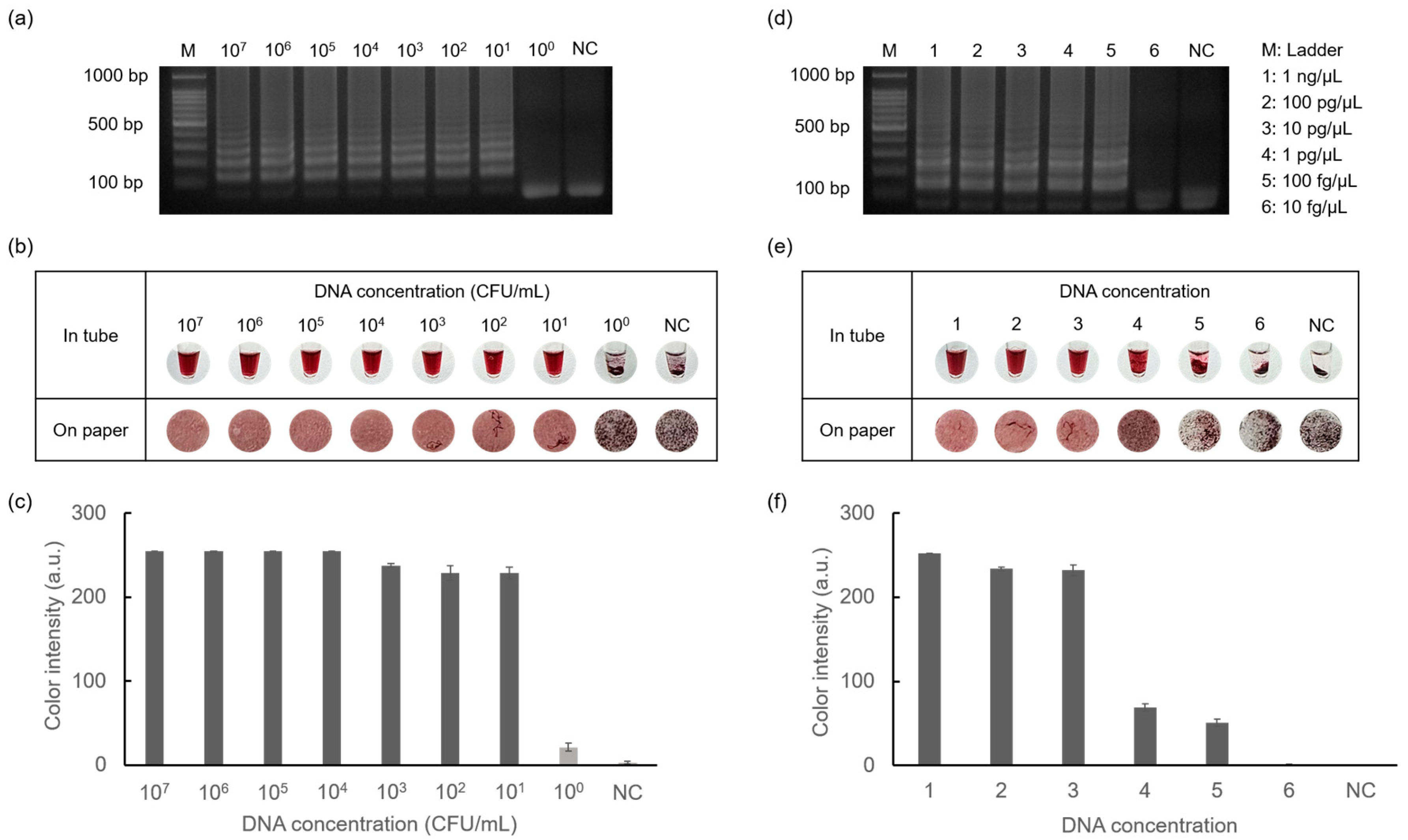
3.6. Sensitivity Test for Diagnosis of Foodborne Pathogens
4. Conclusions
Author Contributions
Funding
Institutional Review Board Statement
Informed Consent Statement
Data Availability Statement
Conflicts of Interest
References
- Kang, M.; Zhou, C.; Wu, S.; Yu, B.; Zhang, Z.; Song, N.; Lee, M.M.S.; Xu, W.; Xu, F.; Wang, D.; et al. Evaluation of structure–function relationships of aggregation-induced emission luminogens for simultaneous dual applications of specific discrimination and efficient photodynamic killing of Gram-positive bacteria. J. Am. Chem. Soc. 2019, 141, 16781–16789. [Google Scholar] [CrossRef] [PubMed]
- Munita, J.M.; Bayer, A.S.; Arias, C.A. Evolving resistance among Gram-positive pathogens. Clin. Infect. Dis. 2015, 61, S48–S57. [Google Scholar] [CrossRef] [PubMed]
- Berger-Bächi, B. Resistance mechanisms of Gram-positive bacteria. Int. J. Med. Microbiol. 2002, 292, 27–35. [Google Scholar] [CrossRef] [PubMed]
- Escobar, V.; Scaramozzino, N.; Vidic, J.; Buhot, A.; Mathey, R.; Chaix, C.; Hou, Y. Recent Advances on Peptide-Based Biosensors and Electronic Noses for Foodborne Pathogen Detection. Biosensors 2023, 13, 258. [Google Scholar] [CrossRef] [PubMed]
- Jubeh, B.; Breijyeh, Z.; Karaman, R. Resistance of Gram-positive bacteria to current antibacterial agents and overcoming approaches. Molecules 2020, 25, 2888. [Google Scholar] [CrossRef] [PubMed]
- Yu, T.; Guo, F.; Yu, Y.; Sun, T.; Ma, D.; Han, J.; Qian, Y.; Kryczek, I.; Sun, D.; Nagarsheth, N.; et al. Fusobacterium nucleatum promotes chemoresistance to colorectal cancer by modulating autophagy. Cell 2017, 170, 548–563. [Google Scholar] [CrossRef] [PubMed]
- Ye, M.; Gu, X.; Han, Y.; Jin, M.; Ren, T. Gram-negative bacteria facilitate tumor outgrowth and metastasis by promoting lipid synthesis in lung cancer patients. J. Thorac. Dis. 2016, 8, 1943. [Google Scholar] [CrossRef] [PubMed]
- Rice, L.B. Antimicrobial resistance in gram-positive bacteria. Am. J. Infect. Control 2006, 34, S11–S19. [Google Scholar] [CrossRef]
- Top, J.; Willems, R.; Bonten, M. Emergence of CC17 Enterococcus faecium: From commensal to hospital-adapted pathogen. FEMS Immunol. Med. Microbiol. 2008, 52, 297–308. [Google Scholar] [CrossRef]
- Yang, J.X.; Liu, C.W.; Wu, F.W.; Zhu, L.; Liang, G.W. Molecular characterization and biofilm formation ability of Enterococcus faecium and Enterococcus faecalis bloodstream isolates from a Chinese tertiary hospital in Beijing. Int. Microbiol. 2023. [Google Scholar] [CrossRef]
- Billström, H.; Lund, B.; Sullivan, Å.; Nord, C.E. Virulence and antimicrobial resistance in clinical Enterococcus faecium. Int. J. Antimicrob. Agents. 2008, 32, 374–377. [Google Scholar] [CrossRef] [PubMed]
- Idrees, M.; Sawant, S.; Karodia, N.; Rahman, A. Staphylococcus aureus biofilm: Morphology, genetics, pathogenesis and treatment strategies. Int. J. Environ. Res. Public Health 2021, 18, 7602. [Google Scholar] [CrossRef] [PubMed]
- Linz, M.S.; Mattappallil, A.; Finkel, D.; Parker, D. Clinical impact of Staphylococcus aureus skin and soft tissue infections. Antibiotics 2023, 12, 557. [Google Scholar] [CrossRef] [PubMed]
- Fu, T.; Fan, Z.; Li, Y.; Li, Z.; Du, B.; Liu, S.; Cui, X.; Zhang, R.; Zhao, H.; Feng, Y.; et al. ArcR contributes to tolerance to fluoroquinolone antibiotics by regulating katA in Staphylococcus aureus. Front. Microbiol. 2023, 14, 1106340. [Google Scholar] [CrossRef] [PubMed]
- Linzner, N.; Loi, V.V.; Antelmann, H. The catalase KatA contributes to microaerophilic H2O2 priming to acquire an improved oxidative stress resistance in Staphylococcus aureus. Antioxidants 2022, 11, 1793. [Google Scholar] [CrossRef] [PubMed]
- Cha, R.S.; Thilly, W.G. Specificity, efficiency, and fidelity of PCR. Genome Res. 1993, 3, S18–S29. [Google Scholar] [CrossRef]
- Bartlett, J.M. PCR Protocols; Stirling, D., Ed.; Humana Press: Totowa, NJ, USA, 2003; Volume 226, pp. 3–525. [Google Scholar] [CrossRef]
- Zhao, Y.; Chen, F.; Li, Q.; Wang, L.; Fan, C. Isothermal amplification of nucleic acids. Chem. Rev. 2015, 115, 12491–12545. [Google Scholar] [CrossRef] [PubMed]
- Notomi, T.; Mori, Y.; Tomita, N.; Kanda, H. Loop-mediated isothermal amplification (LAMP): Principle, features, and future prospects. J. Microbiol. 2015, 53, 1–5. [Google Scholar] [CrossRef]
- Gadkar, V.J.; Goldfarb, D.M.; Gantt, S.; Tilley, P.A. Real-time detection and monitoring of loop-mediated amplification (LAMP) reaction using self-quenching and de-quenching fluorogenic probes. Sci. Rep. 2018, 8, 5548. [Google Scholar] [CrossRef]
- Xu, J.; Hu, Y.; Guo, J.; Yang, Y.; Qiu, J.; Li, X.; Xin, Z. A loop-mediated isothermal amplification integrated G-quadruplex molecular beacon (LAMP-GMB) method for the detection of Staphylococcus aureus in food. Food Anal. Methods 2019, 12, 422–430. [Google Scholar] [CrossRef]
- Wu, T.; Yagati, A.K.; Min, J. Electrochemical Detection of Different Foodborne Bacteria for Point-of-Care Applications. Biosensors 2023, 13, 641. [Google Scholar] [CrossRef] [PubMed]
- Park, S.Y.; Chae, D.S.; Lee, J.S.; Cho, B.K.; Lee, N.Y. Point-of-care testing of the MTF1 Osteoarthritis biomarker using phenolphthalein-soaked swabs. Biosensors 2023, 13, 535. [Google Scholar] [CrossRef] [PubMed]
- Daskou, M.; Tsakogiannis, D.; Dimitriou, T.G.; Amoutzias, G.D.; Mossialos, D.; Kottaridi, C.; Gartzonika, C.; Markoulatos, P. WarmStart colorimetric LAMP for the specific and rapid detection of HPV16 and HPV18 DNA. J. Virol. Methods 2019, 270, 87–94. [Google Scholar] [CrossRef] [PubMed]
- Tanner, N.A.; Zhang, Y.; Evans, T.C., Jr. Visual detection of isothermal nucleic acid amplification using pH-sensitive dyes. Biotechniques 2015, 58, 59–68. [Google Scholar] [CrossRef]
- Zhao, W.; Lin, L.; Hsing, I.M. Rapid synthesis of DNA-functionalized gold nanoparticles in salt solution using mononucleotide-mediated conjugation. Bioconjug. Chem. 2009, 20, 1218–1222. [Google Scholar] [CrossRef] [PubMed]
- Shi, M.; Wang, X.; Wu, Y.; Yuan, K.; Li, Z.; Meng, H.M.; Li, Z. Exploring the size of DNA functionalized gold nanoparticles for high efficiency exosome uptake and sensitive biosensing. Sens. Actuators B Chem. 2022, 355, 131315. [Google Scholar] [CrossRef]
- Suea-Ngam, A.; Choopara, I.; Li, S.; Schmelcher, M.; Somboonna, N.; Howes, P.D.; deMello, A.J. In situ nucleic acid amplification and ultrasensitive colorimetric readout in a paper-based analytical device using silver nanoplates. Adv. Healthc. Mater. 2021, 10, 2001755. [Google Scholar] [CrossRef] [PubMed]
- Tessema, B.; Gonfa, G.; Hailegiorgis, S.M.; Prabhu, S.V.; Manivannan, S. Synthesis and characterization of silver nanoparticles using reducing agents of bitter leaf (Vernonia amygdalina) extract and tri-sodium citrate. Nano-Struct. Nano-Objects 2023, 35, 100983. [Google Scholar] [CrossRef]
- Su, S.; Kang, P.M. Systemic review of biodegradable nanomaterials in nanomedicine. Nanomaterials 2020, 10, 656. [Google Scholar] [CrossRef]
- Shendurse, A.M.; Khedkar, C.D. Glucose: Properties and analysis. Encycl. Food Health 2016, 3, 239–247. [Google Scholar] [CrossRef]
- Pinheiro, T.; Ferrão, J.; Marques, A.C.; Oliveira, M.J.; Batra, N.M.; Costa, P.M.F.J.; Macedo, M.P.; Águas, H.; Martins, R.; Fortunato, E. Paper-based in-situ gold nanoparticle synthesis for colorimetric, non-enzymatic glucose level determination. Nanomaterials 2020, 10, 2027. [Google Scholar] [CrossRef] [PubMed]
- Najian, A.N.; Foo, P.C.; Ismail, N.; Kim-Fatt, L.; Yean, C.Y. Probe-specific loop-mediated isothermal amplification magnetogenosensor assay for rapid and specific detection of pathogenic Leptospira. Mol. Cell. Probes 2019, 44, 63–68. [Google Scholar] [CrossRef] [PubMed]
- Sivakumar, R.; Park, S.Y.; Lee, N.Y. Quercetin-mediated silver nanoparticle formation for the colorimetric detection of infectious pathogens coupled with loop-mediated isothermal amplification. ACS Sens. 2023, 8, 1422–1430. [Google Scholar] [CrossRef] [PubMed]
- Zhang, T.; Deng, R.; Wang, Y.; Wu, C.; Zhang, K.; Wang, C.; Gong, N.; Ledesma-Amaro, R.; Teng, X.; Yang, C.; et al. A paper-based assay for the colorimetric detection of SARS-CoV-2 variants at single-nucleotide resolution. Nat. Biomed. Eng. 2022, 6, 957–967. [Google Scholar] [CrossRef] [PubMed]
- Yang, T.; Wang, Z.; Song, Y.; Yang, X.; Chen, S.; Fu, S.; Qin, X.; Zhang, W.; Man, C.; Jiang, Y. A novel smartphone-based colorimetric aptasensor for on-site detection of Escherichia coli O157:H7 in milk. J. Dairy Sci. 2021, 104, 8506–8516. [Google Scholar] [CrossRef] [PubMed]
- Liu, Y.; Wang, X.; Shi, X.; Sun, M.; Wang, L.; Hu, Z.; Zhao, C. A colorimetric sensor for Staphylococcus aureus detection based on controlled click chemical-induced aggregation of gold nanoparticles and immunomagnetic separation. Microchim. Acta 2022, 189, 104. [Google Scholar] [CrossRef]
- González-López, A.; Cima-Cabal, M.D.; Rioboó-Legaspi, P.; Costa-Rama, E.; García-Suárez, M.D.M.; Fernández-Abedul, M.T. Electrochemical detection for isothermal loop-mediated amplification of Pneumolysin gene of Streptococcus pneumoniae based on the oxidation of phenol red indicator. Anal. Chem. 2022, 94, 13061–13067. [Google Scholar] [CrossRef]







| Target Genes | Primers | Primer Sequences (5′–3′) |
|---|---|---|
| esp gene (E. faecium) | F3 | CCAGAACACTTATGGAACAG |
| B3 | GTTGGGCTTTGTGACCTG | |
| FIP | CGTGTCTCCGCTCTCTTCTTTTTATTTGCAAGATATTGATGGTG | |
| BIP | ATCGGGAAACCTGAATTAGAAGAAGAACTCGTGGATGAATACTTTC | |
| LB | TGATGTTGACACAACAGTTAAGGG | |
| katA gene (S. aureus) | F3 | ACGATCTTAATGTCAGATAGAGG |
| B3 | TTGAGATGAATCGCGATCT | |
| FIP | ACACGTTCACCAGAATCATTATACAGATTCCTAAAGATTTGCGTCAC | |
| BIP | AATTCCATTTTAGAACGCAACAAGGTGCTATAATTTCAGCAGCTACT | |
| LB | GTGTGTGAACCGAACCCATGCA |
| Target DNA | Sensitivity | Process Time | Reference |
|---|---|---|---|
| E. faecium | 102 CFU/mL | 50 min | [34] |
| SARS-CoV-2 | 400 copies/µL | 30 min | [35] |
| E. coli | 103 CFU/mL | 100 min | [36] |
| S. aureus | 101 CFU/mL | 60 min | [37] |
| S. pneumoniae | 107 copies/µL | 90 min | [38] |
| S. aureus | 100 fg/µL | 60 min | This work |
| E. faecium | 101 CFU/mL | 60 min | This work |
Disclaimer/Publisher’s Note: The statements, opinions and data contained in all publications are solely those of the individual author(s) and contributor(s) and not of MDPI and/or the editor(s). MDPI and/or the editor(s) disclaim responsibility for any injury to people or property resulting from any ideas, methods, instructions or products referred to in the content. |
© 2024 by the authors. Licensee MDPI, Basel, Switzerland. This article is an open access article distributed under the terms and conditions of the Creative Commons Attribution (CC BY) license (https://creativecommons.org/licenses/by/4.0/).
Share and Cite
Park, S.Y.; Sivakumar, R.; Lee, N.Y. D-Glucose-Mediated Gold Nanoparticle Fabrication for Colorimetric Detection of Foodborne Pathogens. Biosensors 2024, 14, 284. https://doi.org/10.3390/bios14060284
Park SY, Sivakumar R, Lee NY. D-Glucose-Mediated Gold Nanoparticle Fabrication for Colorimetric Detection of Foodborne Pathogens. Biosensors. 2024; 14(6):284. https://doi.org/10.3390/bios14060284
Chicago/Turabian StylePark, Seo Yeon, Rajamanickam Sivakumar, and Nae Yoon Lee. 2024. "D-Glucose-Mediated Gold Nanoparticle Fabrication for Colorimetric Detection of Foodborne Pathogens" Biosensors 14, no. 6: 284. https://doi.org/10.3390/bios14060284
APA StylePark, S. Y., Sivakumar, R., & Lee, N. Y. (2024). D-Glucose-Mediated Gold Nanoparticle Fabrication for Colorimetric Detection of Foodborne Pathogens. Biosensors, 14(6), 284. https://doi.org/10.3390/bios14060284

