Hydrazine Derivative-Based Carbon Dots for Potent Antibacterial Activity Against Multidrug-Resistant Bacterial
Abstract
1. Introduction
2. Experimental Section
2.1. Materials and Reagents
2.2. Synthesis of CDs
2.3. Characterization of Materials
2.4. Characterization of Antibacterial Effects of CDs
2.4.1. Bacterial Culture
2.4.2. MIC Assay
2.4.3. MBC Assay
2.4.4. Zone of Inhibition (ZOI) Assay
2.4.5. Bacterial Growth Curve Determination
2.4.6. Live/Dead Bacterial Staining
2.4.7. Bacterial Resistance Development Assay
2.4.8. In Vivo Antibacterial Efficacy Evaluation
2.5. Mechanism of Antibacterial Action
2.5.1. Scanning Electron Microscopy (SEM) Characterization of Bacterial Morphological Changes
2.5.2. Biofilm Inhibition Assay
2.5.3. Biofilm Eradication Assay
2.5.4. Generation of ROS
2.5.5. Generation of •OH
2.5.6. Generation of 1O2
2.5.7. DNA Integrity Assay
2.5.8. Nucleic Acid Efflux Experiment
2.6. Biocompatibility Experiments
2.6.1. Cytotoxicity Assay
2.6.2. Hemolysis Assay
2.6.3. Histological Examination
3. Results
3.1. Synthesis and Characterization of CDs
3.2. Antibacterial Performance of CDs
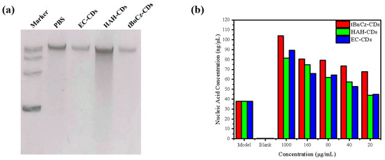
3.3. Mechanism of Antibacterial Action of CDs
3.4. Biocompatibility of CDs
4. Discussion
5. Conclusions
Supplementary Materials
Author Contributions
Funding
Data Availability Statement
Conflicts of Interest
References
- Chin, S.Y.; Dong, J.; Hasikin, K.; Ngui, R.; Lai, K.W.; Yeoh, P.S.Q.; Wu, X. Bacterial image analysis using multi-task deep learning approaches for clinical microscopy. Peerj Comput. Sci. 2024, 10, e2180. [Google Scholar] [CrossRef] [PubMed]
- Opoku-Temeng, C.; Kobayashi, S.D.; DeLeo, F.R. capsule polysaccharide as a target for therapeutics and vaccines. Comput. Struct. Biotechnol. J. 2019, 17, 1360–1366. [Google Scholar] [CrossRef] [PubMed]
- Colijn, C.; Cohen, T. How competition governs whether moderate or aggressive treatment minimizes antibiotic resistance. Elife 2015, 4, e10559. [Google Scholar] [CrossRef] [PubMed]
- Khademi, F.; Sahebkar, A.; Salem, A.H. Is Penicillin-Nonsusceptible Streptococcus pneumoniae a Significant Challenge to Healthcare System? A Systematic Review and Meta-Analysis. Scientifica 2021, 2021, 5573345. [Google Scholar] [CrossRef]
- Chu, K.W.; Lee, S.L.; Chang, C.J.; Liu, L.Y. Recent Progress of Carbon Dot Precursors and Photocatalysis Applications. Polymers 2019, 11, 689. [Google Scholar] [CrossRef]
- González-González, R.B.; González, L.T.; Madou, M.; Leyva-Porras, C.; Martinez-Chapa, S.O.; Mendoza, A. Synthesis, Purification, and Characterization of Carbon Dots from Non-Activated and Activated Pyrolytic Carbon Black. Nanomaterials 2022, 12, 298. [Google Scholar] [CrossRef]
- Ding, L.; Jin, X.L.; Gao, Y.C.; Kang, S.W.; Bai, H.Y.; Ma, X.H.; Ai, T.T.; Zhou, H.W.; Chen, W.X. Precise Regulation Strategy for Fluorescence Wavelength of Aggregation-Induced Emission Carbon Dots. Adv. Sci. 2024, 11, e2409345. [Google Scholar] [CrossRef]
- Cai, N.; Liu, Q.Y.; Li, X.Q.; Li, S.J.; Yang, H.P.; Chen, H.P. Identify the impact of pyrolysis temperature on preparation of carbon nanotubes by catalytic reforming polypropylene. Waste Manag. 2024, 190, 161–168. [Google Scholar] [CrossRef]
- Song, K.; Lin, J.W.; Zhuang, Y.F.; Han, Z.Z.; Chen, J.H. Construction of Photoelectrochemical DNA Biosensors Based on TiO2@Carbon Dots@Black Phosphorous Quantum Dots. Micromachines 2021, 12, 1523. [Google Scholar] [CrossRef]
- Chen, J.H.; Luo, A.H.; Xu, M.M.; Zhang, Y.; Wang, Z.; Yu, S.; Zhu, L.; Wu, W.; Yang, D.Q. The application of phenylboronic acid pinacol ester functionalized ROS-responsive multifunctional nanoparticles in the treatment of Periodontitis. J. Nanobiotechnol. 2024, 22, 181. [Google Scholar] [CrossRef]
- Azhar, N.S.; Md Zin, N.H.; Tengku Abdul Hamid, T.H. Lactococcus Lactis Strain A5 Producing Nisin-like Bacteriocin Active against Gram Positive and Negative Bacteria. Trop. Life Sci. Res. 2017, 28, 107–118. [Google Scholar] [CrossRef] [PubMed]
- Zhu, J.; Li, X.; Zhou, Y.; Ge, C.; Li, X.; Hou, M.; Wei, Y.; Chen, Y.; Leong, K.W.; Yin, L. Inhaled immunoantimicrobials for the treatment of chronic obstructive pulmonary disease. Sci. Adv. 2024, 10, eabd7904. [Google Scholar] [CrossRef] [PubMed]
- Li, T.T.; Ren, X.B.; Luo, X.L.; Wang, Z.L.; Li, Z.L.; Luo, X.Y.; Shen, J.; Li, Y.; Yuan, D.; Nussinov, R.; et al. A Foundation Model Identifies Broad-Spectrum Antimicrobial Peptides against Drug-Resistant Bacterial Infection. Nat. Commun. 2024, 15, 7538. [Google Scholar] [CrossRef] [PubMed]
- Dawa, Z.M.; Zhai, T.; Liu, C.C.; Fan, H.N. Efficacy and safety of pseudolaric acid B against and in a murine infection model. Front. Med. 2025, 12, 1503472. [Google Scholar] [CrossRef]
- Balázs, V.L.; Filep, R.; Répás, F.; Kerekes, E.; Szabó, P.; Kocsis, B.; Böszörményi, A.; Krisch, J.; Horváth, G. Immortelle (Helichrysum italicum (Roth) G. Don) Essential Oil Showed Antibacterial and Biofilm Inhibitory Activity against Respiratory Tract Pathogens. Molecules 2022, 27, 5518. [Google Scholar] [CrossRef]
- Rao, S.Y.; Lin, Y.P.; Lin, R.; Liu, J.G.; Wang, H.S.; Hu, W.X.; Chen, B.L.; Chen, T.F. Traditional Chinese medicine active ingredients-based selenium nanoparticles regulate antioxidant selenoproteins for spinal cord injury treatment. J. Nanobiotechnol. 2022, 20, 278. [Google Scholar] [CrossRef]
- Chen, S.; Guo, F.; Hao, L.; Zhang, X. Fabrication of a PCN/BiOBr 2D hybrid with improved photocatalytic performance of 2,4-dichorophenol degradation. RSC Adv. 2024, 14, 1150–1155. [Google Scholar] [CrossRef]
- Zhou, W.; Meng, X.X.; Ding, Y.N.; Rajic, L.; Gao, J.H.; Qin, Y.K.; Alshawabkeh, A.N. “Self-cleaning” electrochemical regeneration of dye-loaded activated carbon. Electrochem. Commun. 2019, 100, 85–89. [Google Scholar] [CrossRef]
- Xu, W.J.; Yang, M.; Du, X.L.; Peng, H.; Yang, Y.; Wang, J.T.; Zhang, Y.W. Multifunctional Nanoplatform Based on Sunitinib for Synergistic Phototherapy and Molecular Targeted Therapy of Hepatocellular Carcinoma. Micromachines 2023, 14, 613. [Google Scholar] [CrossRef]
- Xin, X.; Wen, T.; Gong, L.B.; Deng, M.M.; Hou, K.Z.; Xu, L.; Shi, S.; Qu, X.J.; Liu, Y.P.; Che, X.F.; et al. Inhibition of FEN1 Increases Arsenic Trioxide-Induced ROS Accumulation and Cell Death: Novel Therapeutic Potential for Triple Negative Breast Cancer. Front. Oncol. 2020, 10, 425. [Google Scholar] [CrossRef]
- Liu, C.G.; Han, Q.M.; Liu, H.; Zhu, C.R.; Gui, W.; Yang, X.D.; Li, W.S. Precise engineering of Gemcitabine prodrug cocktails into single polymeric nanoparticles delivery for metastatic thyroid cancer cells. Drug Deliv. 2020, 27, 1063–1072. [Google Scholar] [CrossRef] [PubMed]
- An, Y.L.; Liu, C.; Li, Y.; Chen, M.L.; Zheng, Y.W.; Tian, H.; Shi, R.; He, X.H.; Lin, X. Preparation of Multicolour Solid Fluorescent Carbon Dots for Light-Emitting Diodes Using Phenylethylamine as a Co-Carbonization Agent. Int. J. Mol. Sci. 2022, 23, 11071. [Google Scholar] [CrossRef] [PubMed]
- Wang, Y.L.; Xiang, L.Y.; Ren, G.C.; Yin, D.F.; Gao, D.M. Meso-Au/BN Nanosensor for Trinitrotoluene Based on Fluorescence Resonance Energy Transfer and Surface-Enhanced Raman Spectroscopy Mechanisms. Acs Appl. Nano Mater. 2024, 7, 10079–10092. [Google Scholar] [CrossRef]
- Abedi, M.; Ghasemi, Y.; Nemati, M.M. Nanotechnology in toothpaste: Fundamentals, trends, and safety. Heliyon 2024, 10, e24949. [Google Scholar] [CrossRef]
- Makade, C.S.; Shenoi, P.R.; Bhongade, B.A.; Shingane, S.A.; Ambulkar, P.C.; Shewale, A.M. Estimation of MBC: MIC Ratio of Herbal Extracts against Common Endodontic Pathogens. J Pharm. Bioallied Sci. 2024, 16, S1414–S1416. [Google Scholar] [CrossRef]
- Fan, H.; Sun, Q.; Dukenbayev, K.; Benassi, E.; Manarbek, L.; Nurkesh, A.A.; Khamijan, M.; Mu, C.; Li, G.; Razbekova, M.; et al. Carbon Nanoparticles Induce DNA Repair and PARP Inhibitor Resistance Associated with Nanozyme Activity in Cancer Cells. Cancer Nanotechnol. 2022, 13, 39. [Google Scholar] [CrossRef]
- Kung, J.-C.; Tseng, I.-T.; Chien, C.-S.; Lin, S.-H.; Wang, C.-C.; Shih, C.-J. Microwave assisted synthesis of negative-charge carbon dots with potential antibacterial activity against multi-drug resistant bacteria. RSC Adv. 2020, 10, 41202–41208. [Google Scholar] [CrossRef]
- Chai, S.; Zhou, L.; Pei, S.; Zhu, Z.; Chen, B. P-Doped Carbon Quantum Dots with Antibacterial Activity. Micromachines 2021, 12, 1116. [Google Scholar] [CrossRef]
- Lin, R.; Cheng, S.; Tan, M. Green synthesis of fluorescent carbon dots with antibacterial activity and their application in Atlantic mackerel (Scomber scombrus) storage. Food Funct. 2022, 13, 2098–2108. [Google Scholar] [CrossRef]
- Song, Y.; Lu, F.; Li, H.; Wang, H.; Zhang, M.; Liu, Y.; Kang, Z. Degradable Carbon Dots from Cigarette Smoking with Broad-Spectrum Antimicrobial Activities against Drug-Resistant Bacteria. ACS Appl. Bio Mater. 2018, 1, 1871–1879. [Google Scholar] [CrossRef]
- Huang, H.-H.; Anand, A.; Lin, C.-J.; Lin, H.-J.; Lin, Y.-W.; Harroun, S.G.; Huang, C.-C. One-minute irradiation of white LED drives halogen/nitrogen co-doped polymeric graphene quantum dots to photodynamic inactivation of bacteria in the infected wound. Carbon 2020, 174, 710–722. [Google Scholar] [CrossRef]
- Wang, H.; Song, Z.; Gu, J.; Li, S.; Wu, Y.; Han, H. Nitrogen-Doped Carbon Quantum Dots for Preventing Biofilm Formation and Eradicating Drug-Resistant Bacteria Infection. ACS Biomater. Sci. Eng. 2019, 5, 4739–4749. [Google Scholar] [CrossRef] [PubMed]
- Parambil, A.M.; Prasad, A.; Tomar, A.K.; Ghosh, I.; Rajamani, P. Biogenic carbon dots: A novel mechanistic approach to combat multidrug-resistant critical pathogens on the global priority list. J. Mater. Chem. B 2023, 12, 202–221. [Google Scholar] [CrossRef] [PubMed]
- Rajak, K.K.; Pahilani, P.; Patel, H.; Kikani, B.; Desai, R.; Kumar, H. Green synthesis of silver nanoparticles using Curcuma longa flower extract and antibacterial activity. arXiv 2023. [Google Scholar] [CrossRef]












Disclaimer/Publisher’s Note: The statements, opinions and data contained in all publications are solely those of the individual author(s) and contributor(s) and not of MDPI and/or the editor(s). MDPI and/or the editor(s) disclaim responsibility for any injury to people or property resulting from any ideas, methods, instructions or products referred to in the content. |
© 2025 by the authors. Licensee MDPI, Basel, Switzerland. This article is an open access article distributed under the terms and conditions of the Creative Commons Attribution (CC BY) license (https://creativecommons.org/licenses/by/4.0/).
Share and Cite
Yuan, H.-Q.; Wang, Z.-L.; Wang, M.-K.; Zhang, Q.-Y.; Liang, X.-Y.; Xie, T.-Z.; He, L.-G.; Chen, P.; Zhu, H.; Bao, G.-M. Hydrazine Derivative-Based Carbon Dots for Potent Antibacterial Activity Against Multidrug-Resistant Bacterial. Nanomaterials 2025, 15, 910. https://doi.org/10.3390/nano15120910
Yuan H-Q, Wang Z-L, Wang M-K, Zhang Q-Y, Liang X-Y, Xie T-Z, He L-G, Chen P, Zhu H, Bao G-M. Hydrazine Derivative-Based Carbon Dots for Potent Antibacterial Activity Against Multidrug-Resistant Bacterial. Nanomaterials. 2025; 15(12):910. https://doi.org/10.3390/nano15120910
Chicago/Turabian StyleYuan, Hou-Qun, Zhu-Lin Wang, Meng-Ke Wang, Qiu-Yu Zhang, Xin-Yi Liang, Ting-Zhong Xie, Li-Ge He, Peiyao Chen, Hongda Zhu, and Guang-Ming Bao. 2025. "Hydrazine Derivative-Based Carbon Dots for Potent Antibacterial Activity Against Multidrug-Resistant Bacterial" Nanomaterials 15, no. 12: 910. https://doi.org/10.3390/nano15120910
APA StyleYuan, H.-Q., Wang, Z.-L., Wang, M.-K., Zhang, Q.-Y., Liang, X.-Y., Xie, T.-Z., He, L.-G., Chen, P., Zhu, H., & Bao, G.-M. (2025). Hydrazine Derivative-Based Carbon Dots for Potent Antibacterial Activity Against Multidrug-Resistant Bacterial. Nanomaterials, 15(12), 910. https://doi.org/10.3390/nano15120910

