In Vitro Degradability, Microstructural Evaluation, and Biocompatibility of Zn-Ti-Cu-Ca-P Alloy
Abstract
:1. Introduction
2. Experimental Work
2.1. Alloy Design and Sample Preparation
2.2. Porosity and Density
2.3. Mechanical Testing and Microstructure Characterization
2.4. Electrochemical and Immersion Tests
2.5. ETBr/AO Staining
2.6. MTT Assay
3. Results
3.1. Compaction Pressure and Sintering
3.2. Mechanical Properties
3.3. Composition and Microstructures Characterization
3.4. Corrosion Properties
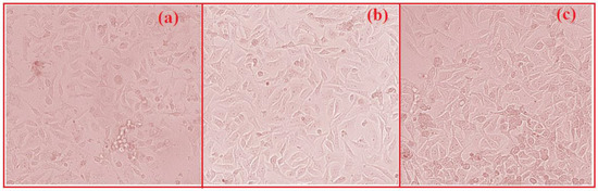
3.5. Cell Viability
4. Discussion
4.1. Phase Formation
4.2. Mechanical Properties
4.3. Corrosion Behaviour
4.4. Cell Viability
5. Conclusions
- Through microstructural studies, it is confirmed that the presence of different phases distributed uniformly and in grain boundaries. The majority of the phases, α-Zn, CuZn5, ZnO, ZnTi16, and CaZn13, are found through XRD. The mechanical properties are acceptable, and the material has higher strength due to the addition of Ti and Cu in the matrix.
- The cytocompatibility test proves there was cell growth, during the observation, without more cell deaths. Thus, the presented material can be used as a bio-implant. Future work will be done with human cells.
Author Contributions
Funding
Institutional Review Board Statement
Informed Consent Statement
Data Availability Statement
Conflicts of Interest
References
- Wua, W.; Song, X.; Liang, J. Mechanical properties of anti-tetra chiral auxetic stents. Compos. Struct. 2018, 185, 381–392. [Google Scholar] [CrossRef]
- Farhatnia, Y.; Tan, A.; Motiwala, A.; Cousins, B.G.; Seifalian, A.M. Evolution of covered stents in the contemporary era: Clinical application, materials and manufacturing strategies using nanotechnology. Biotechnol. Adv. 2013, 31, 524–542. [Google Scholar] [CrossRef]
- Hascoët, S.; Baruteau, A.; Jalal, Z. Stents in paediatric and adult congenital interventional cardiac catheterization. Arch. Cardiovasc. Dis. 2014, 107, 462–475. [Google Scholar] [CrossRef] [Green Version]
- Moravej, M.; Mantovani, D. Biodegradable metals for cardiovascular stent application: Interests and new opportunities. Int. J. Mol. Sci. 2011, 12, 4250–4270. [Google Scholar] [CrossRef] [Green Version]
- Li, H.F.; Shi, Z.Z.; Wang, L.N. Opportunities and challenges of biodegradable Zn-based alloys. J. Mater. Sci. Technol. 2020, 46, 136–138. [Google Scholar] [CrossRef]
- Bakhsheshi-Rad, H.R.; Hamzah, E.; Low, H.T.; Kasiri-Asgarani, M.; Farahany, S.; Akbari, E.; Cho, M.H. Fabrication of biodegradable Zn-Al-Mg alloy: Mechanical properties, corrosion behavior, cytotoxicity and antibacterial activities. Mater. Sci. Eng. C 2017, 73, 215–219. [Google Scholar] [CrossRef]
- Liu, X.; Sun, J.; Qiu, K.; Yang, Y.; Pu, Z.; Li, L.; Zheng, Y. Effects of alloying elements (Ca and Sr) on microstructure, mechanical property and in vitro corrosion behavior of biodegradable Zn–1.5Mg alloy. J. Alloy. Compd. 2016, 664, 444–452. [Google Scholar] [CrossRef]
- Bowen, P.K.; Drelich, J.; Goldman, J. Zinc exhibits ideal physiological corrosion behavior for bioabsorbable stents. Adv. Mater. 2013, 25, 2577–2582. [Google Scholar] [CrossRef]
- Li, H.F.; Xie, X.H.; Zheng, Y.F.; Cong, Y.; Zhou, F.Y.; Qiu, K.J.; Wang, X.; Chen, S.H.; Huang, L.; Tian, L.; et al. Development of biodegradable Zn-1X binary alloys with nutrient alloying elements Mg, Ca and Sr. Sci. Rep. 2015, 5, 10719. [Google Scholar] [CrossRef]
- Tang, Z.; Niu, J.; Huang, H.; Zhang, H.; Pei, J.; Ou, J.; Yuan, G. Potential biodegradable Zn-Cu binary alloys developed for cardiovascular implant applications. J. Mech. Behav. Biomed. Mater. 2017, 72, 182–191. [Google Scholar] [CrossRef]
- Yang, H.; Jia, B.; Zhang, Z. Alloying design of biodegradable zinc as promising bone implants for load-bearing applications. Nat. Commun. 2020, 11, 401. [Google Scholar] [CrossRef] [Green Version]
- Shi, Z.-Z.; Yu, J.; Liu, X.-F.; Zhang, H.-J.; Zhang, D.-W.; Yin, Y.-X.; Wang, L.-N. Effects of Ag, Cu or Ca addition on microstructure and comprehensive properties of biodegradable Zn-0.8Mn alloy. Mater. Sci. Eng. C 2019, 99, 969–978. [Google Scholar] [CrossRef]
- Kannan, M.B.; Moore, C.; Saptarshi, S.; Somasundaram, S.; Rahuma, M.; Lopata, A.L. Biocompatibility and biodegradation studies of a commercial zinc alloy for temporary mini-implant applications. Sci. Rep. 2017, 7, 15605. [Google Scholar] [CrossRef] [Green Version]
- Mostaed, E.; Sikora-Jasinska, M.; Mostaed, A.; Loffredo, S.; Demir, A.G.; Previtali, B.; Mantovani, D.; Beanland, R.; Vedani, M. Novel Zn-based alloys for biodegradable stent applications: Design, development and in vitro degradation. J. Mech. Behav. Biomed. Mater. 2016, 60, 581–602. [Google Scholar] [CrossRef]
- Guo, H.; Xia, D.; Zheng, Y.; Zhu, Y.; Liu, Y.; Zhou, Y. A pure zinc membrane with degradability and osteogenesis promotion for guided bone regeneration: In vitro and in vivo studies. Acta Biomater. 2020, 106, 396–409. [Google Scholar] [CrossRef]
- Frederickson, C.J.; Koh, J.Y.; Bush, A.I. The neurobiology of zinc in health and disease. Nat. Rev. Neurosci. 2005, 6, 449–462. [Google Scholar] [CrossRef]
- Seo, H.J.; Cho, Y.E.; Kim, T.; Shin, H.I.; Kwun, I.S. Zinc may increase bone formation through stimulating cell proliferation, alkaline phosphatase activity and collagen synthesis in osteoblastic MC3T3-E1 cells. Nutr. Res. Pract. 2010, 4, 356–361. [Google Scholar] [CrossRef] [Green Version]
- Zhang, L.; Liu, X.Y.; Huang, H.; Zhan, W. Effects of Ti on microstructure, mechanical properties and biodegradation behavior of Zn-Cu alloy. Mater. Lett. 2019, 244, 119–122. [Google Scholar] [CrossRef]
- Yin, Z. Microstructural Evolution and Mechanical Properties of Zn-Ti Alloys for Biodegradable Stent Applications. Open Access Master’s Thesis, Michigan Technological University, Houghton, MI, USA, 2017. [Google Scholar]
- Lin, J.; Tong, X.; Shi, Z.; Zhang, D.; Zhang, L.; Wang, K.; Wei, A.; Jin, L.; Lin, J.; Li, Y.; et al. A biodegradable Zn-1Cu-0.1Ti alloy with antibacterial properties for orthopedic applications. Acta Biomater. 2020, 106, 410–427. [Google Scholar] [CrossRef]
- Cockerill, I.; Su, Y.; Sinha, S.; Qin, Y.X.; Zheng, Y.; Young, M.L.; Zhu, D. Porous zinc scaffolds for bone tissue engineering applications: A novel additive manufacturing and casting approach. Mater. Sci. Eng. C 2020, 110, 110738. [Google Scholar] [CrossRef]
- Zhuang, H.; Han, Y.; Feng, A. Preparation, mechanical properties and in vitro biodegradation of porous magnesium scaffolds. Mater. Sci. Eng. C 2008, 28, 1462–1466. [Google Scholar] [CrossRef]
- Čapek, J.; Jablonská, E.; Lipov, J.; Kubatík, T.F.; Vojtěch, D. Preparation and characterization of porous zinc prepared by spark plasma sintering as a material for biodegradable scaffolds. Mater. Chem. Phys. 2018, 203, 249–258. [Google Scholar] [CrossRef]
- Wang, S.; Zhang, X.; Li, J.; Liu, C.; Guan, S. Investigation of Mg–Zn–Y–Nd alloy for potential application of biodegradable esophageal stent material. Bioact. Mater. 2020, 5, 1–8. [Google Scholar] [CrossRef]
- Moussa, M.E.; Mohamed, H.I.; Waly, M.A.; Al-Ganainy, G.S.; Ahmed, A.B.; Talaat, M.S. Comparison study of Sn and Bi addition on microstructure and bio-degradation rate of as-cast Mg-4wt% Zn alloy without and with Ca-P coating. J. Alloy. Compd. 2019, 792, 1239–1247. [Google Scholar] [CrossRef]
- Vojtech, D.; Kubasek, J.; Serak, J.; Novak, P. Mechanical and corrosion properties of newly developed biodegradable Zn based alloys for bone fixation. Acta Biomateria 2011, 7, 3515–3522. [Google Scholar] [CrossRef]
- Parameswaran, P.; Antony, A.G.; Dinesh, S.; Radhakrishnan, K. Experimental study on mechanical and corrosion characteristics of nab alloy with the addition of chromium. Mater. Today Proc. 2018, 5, 8089–8094. [Google Scholar] [CrossRef]
- Parameswaran, P.; Rameshbabu, A.M.; Navaneetha Krishnan, G.; Yogeshwaran, R.; Ramkumar, R. Study of the corrosion properties in a hot forged Cu-Al-Ni alloy with added Cr. J. Mech. Behav. Mater. 2018, 27. [Google Scholar] [CrossRef]
- Bagha, P.S.; Khaleghpanah, S.; Sheibani, S.; Khakbiz, M.; Zakeri, A. Characterization of nanostructured biodegradable Zn-Mn alloy synthesized by mechanical alloying. J. Alloy. Compd. 2018, 735, 1319–1327. [Google Scholar] [CrossRef]
- Quadrini, F.; Squeo, E. Density Measurement of Powder Metallurgy Compacts by Means of Small Indentation. J. Manuf. Sci. Eng. 2008, 130, 0345031–0345034. [Google Scholar] [CrossRef]
- German, R.M. Sintering Theory and Practice, 6th ed.; Wiley: New York, NY, USA, 1996. [Google Scholar]
- ASTM Standard G31-72; ASTM: West Conshohocken, PA, USA, 2003.
- Krystýnová, M.; Doležal, P.; Fintová, S.; Březina, M.; Zapletal, J.; Wasserbauer, J. Preparation and Characterization of Zinc Materials Prepared by Powder Metallurgy. Metals 2017, 7, 396. [Google Scholar] [CrossRef]
- Miranda-Hernández, J.G.; Herrera-Hernández, H.; González-Morán, C.O.; Rivera Olvera, J.N.; Estrada-Guel, I.; Botello Villa, F. Synthesis and Characterization of Zn-Nix Advanced Alloys Prepared by Mechanical Milling and Sintering at Solid-State Process. Adv. Mater. Sci. Eng. 2017, 2017, 7967848. [Google Scholar] [CrossRef] [Green Version]
- Goo, E.; Park, K.T. Application of the von mises criterion to deformation twinning. Scr. Metall. 1989, 23, 1053–1056. [Google Scholar] [CrossRef]
- Anderson, E.A.; Boyle, E.J.; Ramsey, P.W. Rolled Zinc-titanium Alloys. Trans. Am. Inst. Min. Metall. Eng. 1944, 156, 278–287. [Google Scholar]
- Yang, N.; Balasubramani, N.; Venezuela, J.; Almathami, S.; Wen, C.; Dargusch, M. The influence of Ca and Cu additions on the microstructure, mechanical and degradation properties of Zn–Ca–Cu alloys for absorbable wound closure device applications. Bioact. Mater. 2021, 6, 1436–1451. [Google Scholar] [CrossRef]
- Li, P.; Zhang, W.; Dai, J.; Xepapadeas, A.B.; Schweizer, E.; Alexander, D.; Scheideler, L.; Zhou, C.; Zhang, H.; Wan, G.; et al. Investigation of zinc-copper alloys as potential materials for craniomaxillofacial osteosynthesis implants. Mater. Sci. Eng. C 2019, 103, 109826. [Google Scholar] [CrossRef]
- Ouyang, L.; Zhao, Y.; Jin, G.; Lu, T.; Li, J.; Qiao, Y.; Ning, C.; Zhang, X.; Chu, P.K.; Liu, X. Influence of sulfur content on bone formation and antibacterial ability of sulfonated PEEK. Biomaterials 2016, 83, 115–126. [Google Scholar] [CrossRef]
- Woodman, J.L.; Jacobs, J.J.; Galante, J.O.; Urban, R.M. Metal ion release from titanium-based prosthetic segmental replacements of long bones in baboons: A long-term study. J. Orthop. Res. 1984, 1, 421–430. [Google Scholar] [CrossRef]
- SathishKumar, G.; Parameswaran, P.; Vijayan, V.; Yokeswaran, R. Effects of Ca, Cu concentration on degradation behavior of Zn alloys in Hank’s solution. Met. Powder Rep. 2021, 76, 40–42. [Google Scholar] [CrossRef]
- Saravanan, K.; Rameshbabu, A.M.; Radhakrishnan, K.; Parameswaran, P. Effect of Zr (rare earth) powder in the microstructure, tensile and compressive properties on Mg-6Zn alloy. Met. Powder Rep. 2021. [Google Scholar] [CrossRef]










| S.NO | Cu | Ti | P | Ca | Zn |
|---|---|---|---|---|---|
| 1 | 4 | 4 | 2 | 4 | 86 |
| Element Line | Weight % | Weight % Error | Atom % |
|---|---|---|---|
| P K | 3.86 | +/−0.10 | 7.5 |
| P L | --- | --- | --- |
| Ca K | 4.39 | +/−0.07 | 6.58 |
| Ca L | --- | --- | --- |
| Ti K | 3.94 | +/−0.16 | 4.95 |
| Ti L | --- | --- | --- |
| Cu K | 5.64 | +/−0.66 | 5.34 |
| Cu L | --- | --- | --- |
| Zn K | 82.18 | +/−1.45 | 75.63 |
| Zn L | --- | --- | --- |
| Total | 100 | 100 |
| S. No | Tested Sample Concentration (μg/mL) | OD Value at 570 nm (in Triplicates) | Cell Viability (%) (in Triplicates) | Mean Value (%) | ||
|---|---|---|---|---|---|---|
| 1 | Control | 0.424 | 0.432 | 100 | 100 | 100 |
| 2 | 24 h | 0.416 | 0.408 | 97.19 | 95.32 | 92.25 |
| 3 | 48 h | 0.418 | 0.422 | 95.66 | 98.59 | 97.12 |
| 4 | 72 h | 0.429 | 0.436 | 100.23 | 101.86 | 101.04 |
Publisher’s Note: MDPI stays neutral with regard to jurisdictional claims in published maps and institutional affiliations. |
© 2022 by the authors. Licensee MDPI, Basel, Switzerland. This article is an open access article distributed under the terms and conditions of the Creative Commons Attribution (CC BY) license (https://creativecommons.org/licenses/by/4.0/).
Share and Cite
Gopal, N.; Palaniyandi, P.; Ramasamy, P.; Panchal, H.; Ibrahim, A.M.M.; Alsoufi, M.S.; Elsheikh, A.H. In Vitro Degradability, Microstructural Evaluation, and Biocompatibility of Zn-Ti-Cu-Ca-P Alloy. Nanomaterials 2022, 12, 1357. https://doi.org/10.3390/nano12081357
Gopal N, Palaniyandi P, Ramasamy P, Panchal H, Ibrahim AMM, Alsoufi MS, Elsheikh AH. In Vitro Degradability, Microstructural Evaluation, and Biocompatibility of Zn-Ti-Cu-Ca-P Alloy. Nanomaterials. 2022; 12(8):1357. https://doi.org/10.3390/nano12081357
Chicago/Turabian StyleGopal, Navaneethakrishnan, Parameswaran Palaniyandi, Palanisamy Ramasamy, Hitesh Panchal, Ahmed Mohamed Mahmoud Ibrahim, Mohammad S. Alsoufi, and Ammar H. Elsheikh. 2022. "In Vitro Degradability, Microstructural Evaluation, and Biocompatibility of Zn-Ti-Cu-Ca-P Alloy" Nanomaterials 12, no. 8: 1357. https://doi.org/10.3390/nano12081357
APA StyleGopal, N., Palaniyandi, P., Ramasamy, P., Panchal, H., Ibrahim, A. M. M., Alsoufi, M. S., & Elsheikh, A. H. (2022). In Vitro Degradability, Microstructural Evaluation, and Biocompatibility of Zn-Ti-Cu-Ca-P Alloy. Nanomaterials, 12(8), 1357. https://doi.org/10.3390/nano12081357

