Effect and Mechanism of PINK1/Parkin-Mediated Mitochondrial Autophagy in Rat Lung Injury Induced by Nano Lanthanum Oxide
Abstract
:1. Introduction
2. Materials and Methods
2.1. Establishment of Animal Model
2.2. General Observation of Rats
2.3. Determination of Lung Coefficient
2.4. Determination of Lanthanum Content in Lung Tissue
2.5. Detection of Oxidative Damage Index in Lung Tissue
2.6. Determination of PINK1 and Parkin mRNA Expression Levels and Protein Expression Levels in Lung
2.7. Determination of Bcl-2 and Bax Protein Expression Levels in Lung
2.8. Pathomorphological Examination of Lung
2.9. Statistical Analysis
3. Results
3.1. Characterization of La2O3 NPs
3.2. General Condition and Weight Change of Rats
3.3. Results of Lung Coefficient
3.4. Results of Determination of Lanthanum Content in Lungs
3.5. Determination Results of SOD, GSH-Px Activities and MDA Content in Lung
3.6. Results of Parkin and PINK1 mRNA Expression Levels in Lung
3.7. Results of Parkin and PINK1 Protein Expression Levels in Lung
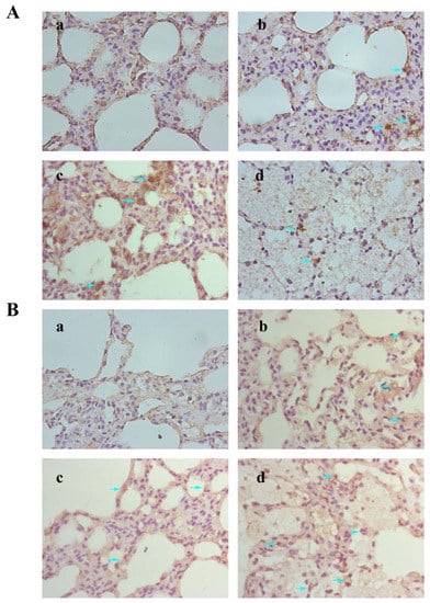
3.8. Results of Immunohistochemical
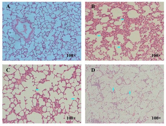
3.9. Pathological Examination Results of Lung
4. Discussion
Author Contributions
Funding
Institutional Review Board Statement
Informed Consent Statement
Data Availability Statement
Acknowledgments
Conflicts of Interest
References
- Kim, Y.R.; Park, S.H.; Lee, J.K.; Jeong, J.; Kim, J.H.; Meang, E.; Yoon, T.H.; Lim, S.T.; Oh, J.; An, S.S.A.; et al. Organization of research team for nano-associated safety assessment in effort to study nanotoxicology of zinc oxide and silica nanoparticles. Int. J. Nanomed. 2014, 9, 3–10. [Google Scholar]
- Armstead, A.L.; Li, B. Nanotoxicity: Emerging concerns regarding nanomaterial safety and occupational hard metal (WC-Co)nanoparticle exposure. Int. J. Nanomed. 2016, 11, 6421–6433. [Google Scholar] [CrossRef] [PubMed] [Green Version]
- Tan, L.H.; Li, Q.H.; Guo, C.P.; Feng, C.X.; Pan, R.M.; Li, F.S. Research progress in preparation methods of nanometer La2O3 and its composite oxides. Nanomater. Struct. 2010, 47, 257–266. (In Chinese) [Google Scholar]
- Hilda, C.G.; Daria, K.; Antonio, N.C.; Guzmán, J.; Ramírez-Apan, T.; Fernández-Lomelín, P.; Garduño, M.L.; Cervini-Silva, J. Oxidative stress, cytoxicity, and cell mortality induced by nano -sized lead in aqueous susPensions. Chemosphere 2011, 84, 1329–1335. [Google Scholar]
- Lemasters, J.J. Selective mitochondrial autophagy, or mitophagy, as a targeted defense against oxidative stress, mitochondrial dysfunction, and aging. Rejuvenation Res. 2005, 8, 3–5. [Google Scholar] [CrossRef] [PubMed]
- Shin, S.H.; Lim, C.H.; Kim, Y.S.; Lee, Y.; Kim, S.; Kim, J. Twenty-eight-day repeated inhalation toxicity study of nano-sized lanthanum oxide in male sprague-dawley rats. Envrion. Toxicol. 2017, 32, 1226–1240. [Google Scholar] [CrossRef] [PubMed]
- Lim, C.H. Toxicity of Two Different Sized Lanthanum Oxides in Cultured Cells and Sprague-Dawley Rats. Toxicol. Res. 2015, 31, 181–189. [Google Scholar] [CrossRef] [PubMed]
- Sisler, J.D.; Li, R.; McKinney, W.; Mercer, R.R.; Ji, Z.; Xia, T.; Wang, X.; Shaffer, J.; Orandle, M.; Mihalchik, A.L.; et al. Differential pulmonary effects of CoO and La2O3 metal oxide nanoparticle responses during aerosolized inhalation in mice. Part Fibre Toxicol. 2016, 13, 42. [Google Scholar] [CrossRef] [Green Version]
- Li, Y.; Yan, J.; Ding, W.; Chen, Y.; Pack, L.M.; Chen, T. Genotoxicity and gene expression analyses of liver and lung tissues of mice treated with titanium dioxide nanoparticles. Mutagenesis 2017, 32, 33–46. [Google Scholar] [CrossRef] [Green Version]
- Wang, Y.; Li, A.; Zhang, Y.; Xie, Y.; Li, D.; Li, Y.; Zhang, G. Speciation of iron in atmospheric particulate matter by EXAFS. Chin. Sci. Bull. 2016, 51, 2275–2280. [Google Scholar]
- Wen, E.; Xin, G.; Su, W.; Li, S.; Zhang, Y.; Dong, Y.; Yang, X.; Wan, C.; Chen, Z.; Yu, X.; et al. Activation of TLR4 induces severe acute pancreatitis-associated spleen injury via ROS-disrupted mitophagy pathway. Mol. Immunol. 2022, 142, 63–75. [Google Scholar] [CrossRef] [PubMed]
- Meissner, C.; Lorenz, H.; Weihofen, A.; Selkoe, D.J.; Lemberg, M.K. The mitochondrial intramembrane protease PARL cleaves human Pink1 to regulate Pink1 trafficking. Neurochemistry 2011, 117, 856–867. [Google Scholar] [CrossRef] [PubMed]
- He, C.; Jiang, S.; Yao, H.; Zhang, L.; Yang, C.; Jiang, S.; Ruan, F.; Zhan, D.; Liu, G.; Lin, Z.; et al. High-content analysis for mitophagy response to nanoparticles: A potential sensitive biomarker for nanosafety assessment. Nanomed. Nanotechnol. Biol. Med. 2019, 15, 59–69. [Google Scholar] [CrossRef] [PubMed]
- Gualtieri, M.; Mantecca, P.; Corvaja, V.; Longhin, E.; Perrone, M.G.; Bolzacchini, E.; Camatini, M. Winter fine particulate matter from Milan induces morphological and functional alterations in human pulmonary epithelial cells (A549). Toxicol. Lett. 2009, 188, 52–62. [Google Scholar] [CrossRef]
- Zhang, Y.; Xu, B.; Yao, M.; Dong, T.; Mao, Z.; Hang, B.; Han, X.; Lin, Z.; Bian, Q.; Li, M.; et al. Titanium dioxide nanoparticles induce proteostasis disruption and autophagy in human trophoblast cells. Chem. Biol. Interact 2018, 296, 124–133. [Google Scholar] [CrossRef] [PubMed]
- Wang, J.; Gao, S.; Wang, S.; Xu, Z.; Wei, L. Zinc oxide nanoparticles induce toxicity in CAL 27 oral cancer cell lines by activating PINK1/Parkin-mediated mitophagy. Int. J. Nanomed. 2018, 13, 3441–3450. [Google Scholar] [CrossRef] [PubMed] [Green Version]
- Castranova, V. Overview of current toxicological knowledge of engineered nanoparticles. J. Occup. Environ. Med. 2011, 53, S14–S17. [Google Scholar] [CrossRef]
- Cohen, J.M.; Derk, R.; Wang, L.; Godleski, J.; Kobzik, L.; Brain, J.; Demokritou, P. Tracking translocation of industrially relevant engineered nanomaterials (ENMs) across alveolar epithelial monolayers in vitro. Nanotoxicology 2014, 8, 216–225. [Google Scholar] [PubMed] [Green Version]
- Jeng, H.A.; Swanson, J. Toxicity of metal oxide nanoparticles in mammalian cells. J. Environ. Sci. Health A Tox. Hazard Subst. Environ. Eng. 2006, 41, 2699–2711. [Google Scholar]
- Katsnelson, B.A.; Privalova, L.I.; Sutunkova, M.P.; Gurvich, V.B.; Loginova, N.V.; Minigalieva, I.A.; Kireyeva, E.P.; Shur, V.Y.; Shishkina, E.V.; Beikin, Y.B.; et al. Some inferences from in vivo experiments with metal and metal oxide nanoparticles: The pulmonary phagocytosis response, subchronic systemic toxicity and genotoxicity, regulatory proposals, searching for bioprotectors (a self-overview). Int. J. Nanomed. 2015, 10, 3013–3029. [Google Scholar]
- Konduru, N.V.; Murdaugh, K.M.; Sotiriou, G.A.; Donaghey, T.C.; Demokritou, P.; Brain, J.D.; Molina, R.M. Bioavailability, distribution and clearance of tracheally-instilled and gavaged uncoated or silica-coated zinc oxide nanoparticles. Part Fibre Toxicol. 2014, 11, 44. [Google Scholar] [CrossRef] [PubMed] [Green Version]
- Nel, A.; Xia, T.; Madler, L.; Li, N. Toxic potential of materials at the nanolevel. Science 2006, 311, 622–627. [Google Scholar] [CrossRef] [PubMed] [Green Version]
- Roy, R.; Kumar, S.; Tripathi, A.; Das, M.; Dwivedi, P.D. Interactive threats of nanoparticles to the biological system. Immunol. Lett. 2014, 158, 79–87. [Google Scholar] [CrossRef] [PubMed]
- Zhou, E.H.; Watson, C.; Pizzo, R.; Cohen, J.; Dang, Q.; de Barros, P.M.F.; Park, C.Y.; Chen, C.; Brain, J.D.; Butler, J.P.; et al. Assessing the impact of engineered nanoparticles on wound healing using a novel in vitro bioassay. Nanomedicine 2014, 9, 2803–2815. [Google Scholar] [CrossRef] [PubMed] [Green Version]
- Feng, L.; Xiao, H.; He, X.; Li, Z.; Li, F.; Liu, N.; Chai, Z.; Zhao, Y.; Zhang, Z. Long-term effects of lanthanum intake on the neurobehavioral development of the rat. Neurotoxicol. Teratol. 2006, 28, 119–124. [Google Scholar] [CrossRef] [PubMed]
- Sun, L.; Li, Y.; Liu, X.; Jin, M.; Zhang, L.; Du, Z.; Guo, C.; Huang, P.; Sun, Z. Cytotoxicity and mitochondrial damage caused by silica nanoparticles. Toxicol. Vitr. 2011, 25, 1619–1629. [Google Scholar] [CrossRef] [PubMed]
- Sun, Q.; Tan, D.; Ze, Y.; Sang, X.; Liu, X.; Gui, S.; Cheng, Z.; Cheng, J.; Hu, R.; Gao, G.; et al. Pulmotoxicological effects caused by long-term titanium dioxide nanoparticles exposure in mice. J. Hazard Mater. 2012, 235–236, 47–53. [Google Scholar] [CrossRef]
- Hong, J.; Yu, X.; Pan, X.; Zhao, X.; Sheng, L.; Sang, X.; Lin, A.; Zhang, C.; Zhao, Y.; Gui, S.; et al. Pulmonary toxicity in mice following exposure to cerium chloride. Biol. Trace Elem. Res. 2014, 159, 269–277. [Google Scholar] [CrossRef] [PubMed]
- Guo, C.; Wang, J.; Jing, L.; Ma, R.; Liu, X.; Gao, L.; Cao, L.; Duan, J.; Zhou, X.; Li, Y.; et al. Mitochondrial dysfunction, perturbations of mitochondrial dynamics and biogenesis involved in endothelial injury induced by silica nanoparticles. Environ. Pollut. 2018, 236, 926–936. [Google Scholar] [CrossRef]
- Fang, Y.Z.; Yang, S.; Wu, G. Free radicals, antioxidants, and nutrition. Nutrition 2002, 18, 872–879. [Google Scholar] [CrossRef]
- Rehman, S.U. Lead-ind uced regional lipid peroxidation in brain. Toxicol. Lett. 1984, 21, 333. [Google Scholar] [CrossRef]
- He, F.C.; Ying, H.Q.; An, Y.H. The serum and liver SOD, MDA levels in morphine addicted mice. J. Zhengzhou Univ. (Med. Sci.) 2005, 40, 694–695. (In Chinese) [Google Scholar]
- Liu, W.L.; Xu, D.M.; Liu, H.J.; Liu, G.S. Effects of metolachlor on the weight and enzyme activities of earthworms. Acta Sci. Circumstantiae 2007, 27, 2025–2031. (In Chinese) [Google Scholar]
- Mi, T.; Lige, C.; Na, L.; Guangyun, X.; Peili, H. Oxidative damage induced by lanthanum, cerium and neodymium in liver nuclei of mice. Asian J. Ecotoxicol. 2011, 6, 546–550. (In Chinese) [Google Scholar]
- Li, Q.; Hu, X.; Bai, Y.; Alattar, M.; Ma, D.; Cao, Y.; Hao, Y.; Wang, L.; Jiang, C. The oxidative damage and inflammatory response induced by lead sulfide nanoparticles in rat lung. Food Chem. Toxicol. 2013, 60, 213–217. [Google Scholar] [CrossRef]
- Huang, P.; Li, J.; Zhang, S.; Chen, C.; Han, Y.; Liu, N.; Xiao, Y.; Wang, H.; Zhang, M.; Yu, Q.; et al. Effects of lanthanum, cerium, and neodymium on the nuclei and mitochondria of hepatocytes: Accumulation and oxidative damage. Environ. Toxicol. Pharmacol. 2011, 31, 25–32. [Google Scholar] [CrossRef] [PubMed]
- Lazarou, M.; Jin, S.M.; Kane, L.A.; Youle, R.J. Role of PINK1 binding to theTOM complex and alternate intracellular membranes in recruit-ment and activation of the E3 ligase Parkin. Dev. Cell 2012, 22, 320–333. [Google Scholar] [CrossRef] [Green Version]
- Okatsu, K.; Oka, T.; Iguchi, M.; Imamura, K.; Kosako, H.; Tani, N.; Kimura, M.; Go, E.; Koyano, F.; Funayama, M.; et al. PINK1 autophosphorylation upon membrane potential dissipation is essential for Parkin recruit-ment to damaged mitochondria. Nat. Commun. 2012, 3, 1016. [Google Scholar] [CrossRef] [PubMed] [Green Version]
- Jin, S.M.; Youle, R.J. The accumulation of misfolded proteins in the mitochondrial matrix is sensed by PINK1 to induce PARK2/Parkin-mediated mitophagy of polarized mitochondria. Autophagy 2013, 9, 1750–1757. [Google Scholar] [CrossRef] [PubMed] [Green Version]
- Wauer, T.; Simicek, M.; Schubert, A.; Komander, D. Mechanism of phospho-ubiquitin-induced PARKIN activation. Nature 2015, 524, 370–374. [Google Scholar] [CrossRef] [PubMed] [Green Version]
- Yamano, K.; Queliconi, B.B.; Koyano, F.; Saeki, Y.; Hirokawa, T.; Tanaka, K.; Matsuda, N. Site-specific interaction mapping of phosphorylated ubiquitin to uncover Parkin activation. J. Biol. Chem. 2015, 290, 25199–25211. [Google Scholar] [CrossRef] [Green Version]
- Kumar, A.; Aguirre, J.D.; Condos, T.E.; Martinez-Torres, R.J.; Chaugul, V.K.; Toth, R.; Sundaramoorthy, R.; Mercier, P.; Knebel, A.; Spratt, D.E.; et al. Disruption of the autoinhibited state primes the E3 ligase parkin for activation and catalysis. EMBO J. 2015, 34, 2506–2521. [Google Scholar] [CrossRef] [PubMed]
- Lazarou, M.; Sliter, D.A.; Kane, L.A.; Sarraf, S.A.; Wang, C.; Burman, J.L.; Sideris, D.P.; Fogel, A.I.; Youle, R.J. The ubiquitin kinase PINK1recruits autophagy receptors to induce mitophagy. Nature 2015, 524, 309–314. [Google Scholar] [CrossRef] [PubMed] [Green Version]
- Nguyen, T.N.; Padman, B.S.; Lazarou, M. Deciphering the Molecular Signals of PINK1/Parkin Mitophagy. Trends Cell Biol. 2016, 26, 733–744. [Google Scholar] [CrossRef] [PubMed]
- Harper, J.W.; Ordureau, A.; Heo, J.M. Building and decoding ubiquitin chains for mitophagy. Nat. Rev. Mol. Cell Biol. 2018, 19, 93–108. [Google Scholar] [CrossRef] [PubMed]
- Wei, L.; Wang, J.; Chen, A.; Liu, J.; Feng, X.; Shao, L. Involvement of PINK1/parkin-mediated mitophagy in ZnO nanoparticle-induced toxicity in BV-2 cells. Int. J. Nanomed. 2017, 12, 1891–1903. [Google Scholar] [CrossRef] [Green Version]
- DecuyPere, J.P.; Parys, J.B.; Bultynck, G. Regulation of the autoPhagic Bcl-2/Beclin1interaction. Cells 2012, 1, 284–312. [Google Scholar] [CrossRef]
- Kelly, P.N.; Strasser, A. The role of Bcl-2 and its Pro-survival relatives in tumourigenesis and cancer theraPy. Cell Death Differ. 2011, 18, 1414–1424. [Google Scholar] [CrossRef] [Green Version]
- Gross, A. Bcl-2 family Proteins as regulators of mitochondria metabolism. Biochem. Biophys. Acta 2016, 1857, 1243–1246. [Google Scholar] [CrossRef] [PubMed]
- Denis, N.J.; Vasilescu, J.; Lambert, J.P.; Smith, J.C.; Figeys, D. Tryptic digestion of ubiquitin standards reveals an improved strategy for identifying ubiquitinated proteins by mass spectrometry. Proteomics 2010, 7, 868–874. [Google Scholar] [CrossRef] [PubMed]
- Wu, J.; Yang, J.; Liu, Q.; Wu, S.; Ma, H.; Cai, Y. Lanthanum induced primary neuronal apoptosis through mitochondrial dysfunction modulated by Ca²⁺ and Bcl-2 family. Biol. Trace Elem. Res. 2013, 152, 125–134. [Google Scholar] [CrossRef] [PubMed]
- Yang, J.; Liu, Q.; Qi, M.; Lu, S.; Wu, S.; Xi, Q.; Cai, Y. Lanthanum chloride promotes mitochondrial apoptotic pathway in primary cultured rat astrocytes. Environ. Toxicol. 2013, 28, 489–497. [Google Scholar] [CrossRef] [PubMed]









Publisher’s Note: MDPI stays neutral with regard to jurisdictional claims in published maps and institutional affiliations. |
© 2022 by the authors. Licensee MDPI, Basel, Switzerland. This article is an open access article distributed under the terms and conditions of the Creative Commons Attribution (CC BY) license (https://creativecommons.org/licenses/by/4.0/).
Share and Cite
Chen, C.; Zhou, C.; Zhang, W.; Liu, H.; Wang, M.; Li, F.; Li, Q.; Cao, Y. Effect and Mechanism of PINK1/Parkin-Mediated Mitochondrial Autophagy in Rat Lung Injury Induced by Nano Lanthanum Oxide. Nanomaterials 2022, 12, 2594. https://doi.org/10.3390/nano12152594
Chen C, Zhou C, Zhang W, Liu H, Wang M, Li F, Li Q, Cao Y. Effect and Mechanism of PINK1/Parkin-Mediated Mitochondrial Autophagy in Rat Lung Injury Induced by Nano Lanthanum Oxide. Nanomaterials. 2022; 12(15):2594. https://doi.org/10.3390/nano12152594
Chicago/Turabian StyleChen, Chunyu, Chenxi Zhou, Wenli Zhang, Haiping Liu, Mengfei Wang, Feng Li, Qingzhao Li, and Yanhua Cao. 2022. "Effect and Mechanism of PINK1/Parkin-Mediated Mitochondrial Autophagy in Rat Lung Injury Induced by Nano Lanthanum Oxide" Nanomaterials 12, no. 15: 2594. https://doi.org/10.3390/nano12152594
APA StyleChen, C., Zhou, C., Zhang, W., Liu, H., Wang, M., Li, F., Li, Q., & Cao, Y. (2022). Effect and Mechanism of PINK1/Parkin-Mediated Mitochondrial Autophagy in Rat Lung Injury Induced by Nano Lanthanum Oxide. Nanomaterials, 12(15), 2594. https://doi.org/10.3390/nano12152594

