Liposomal Drug Delivery of Blumea lacera Leaf Extract: In-Vivo Hepatoprotective Effects
Abstract
:1. Introduction
2. Materials and Methods
2.1. Materials
2.2. Methods
2.2.1. B. lacera Leaf Drying, Pulverization and Extraction Process
2.2.2. Gas Chromatography Mass Spectroscopy (GC-MS) Method
2.2.3. Preparation of Liposome of B. lacera Leaf Extract
2.2.4. Dynamic Light Scattering (DLS) Method
2.2.5. Transmission Electron Microscopy (TEM)
2.2.6. Entrapment Efficiency Method
2.2.7. Preparation of B. lacera Suspension
2.2.8. In-Vivo Hepatotoxicity and Oxidative Stress Study
Animals
Design of Experiment
Preparation of Tissue and Plasma Samples
Analysis of Hepatotoxicity
- Estimation of liver Biomarker Enzymes
- Evaluation of Oxidative Stress Markers
- Estimations of Liver Antioxidant Enzymes
- Histopathological Study
2.2.9. Statistical Analysis
3. Results
3.1. GC-MS Study of B. lacera Leaf Extract
3.2. Particle Size Distribution, Zeta Potential and Entrapment Efficiency
3.3. Effect of B. lacera Leaf Extract and Its Liposomal Preparation on Body Weight, Food, and Water Intake
3.4. Effect of B. lacera Leaf Extract and Its Liposomal Preparation on Different Organ Wet Weights
3.5. Effect of B. lacera Leaf Extract and Its Liposomal Preparation on Liver Function Biomarkers
3.6. Effect of B. lacera Leaf Extract and Its Liposomal Formulation on Oxidative Stress Markers
3.7. Effect of B. lacera Leaf Extract and Is Liposomal Preparation on Liver Antioxidant Enzymes
3.8. Effect of B. lacera Leaf Extract and Its Liposomal Preparation on Myeloperoxidase (MPO) Activity in Liver Tissue
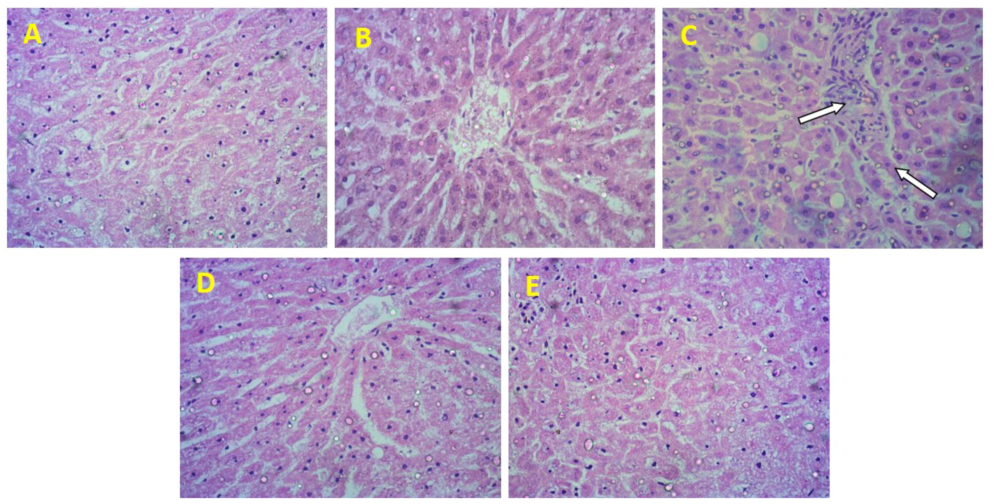
3.9. Effect of B. lacera Leaf Extract and its Liposomal Preparation on CCl4-Induced Histopathological Changes in the Liver
4. Discussion
5. Conclusions
Supplementary Materials
Author Contributions
Funding
Institutional Review Board Statement
Informed Consent Statement
Data Availability Statement
Acknowledgments
Conflicts of Interest
References
- Cirrhosis Overview Archived 2011-10-30. Wayback Machine National Digestive Diseases Information Clearinghouse. Available online: http://purl.access.gpo.gov/GPO/LPS115333 (accessed on 22 January 2010).
- Pinzani, M.; Rosselli, M.; Zuckermann, M. Liver cirrhosis. Best Pract. Res. Clin. Gastroenterol. 2011, 25, 281–290. [Google Scholar] [CrossRef] [PubMed]
- Kew, M.C.; Popper, H. Relationship between hepatocellular carcinoma and cirrhosis. Semin. Liver Dis. 1984, 4, 136–416. [Google Scholar] [CrossRef] [PubMed]
- Lu, S.N.; Su, W.W.; Yang, S.S.; Chang, T.T.; Cheng, K.S.; Wu, J.C.; Lin, H.H.; Wu, S.-S.; Lee, C.-M.; Changchien, C.-S.; et al. Secular trends and geographic variations of hepatitis B virus and hepatitis C virus-associated hepatocellular carcinoma in Taiwan. Int. J. Cancer. 2006, 119, 1946–1952. [Google Scholar] [CrossRef] [PubMed]
- Kamel, H.; Azza, H.; Walaa, A.; Ahmed, M.; Mohamed, A. Protective effect of some antioxidants against CCl4-induced toxicity in liver cells from BRL3A cell line. J. Am. Sci. 2010, 6, 992–1003. [Google Scholar]
- Vitaglione, P.; Morisco, F.; Caporaso, N.; Fogliano, V. Dietary antioxidant compounds and liver health. Crit. Rev. Food Sci. Nutr. 2004, 44, 575–586. [Google Scholar] [CrossRef] [PubMed] [Green Version]
- Islam, M.A.; Al Mamun, M.A.; Faruk, M.; Ul Islam, M.T.; Rahman, M.M.; Alam, M.N.; Rahman, A.T.; Reza, H.M.; Alam, M.A. Astaxanthin ameliorates hepatic damage and oxidative stress in carbon tetrachloride-administered rats. Pharmacogn. Res. 2017, 9, 8491. [Google Scholar]
- Feng, Y.; Siu, K.Y.; Ye, X.; Wang, N.; Yuen, M.F.; Leung, C.H.; Tong, Y.; Kobayashi, S. Hepatoprotective effects of berberine on carbon tetrachloride-induced acute hepatotoxicity in rats. Chin. Med. 2010, 5, 33. [Google Scholar] [CrossRef] [Green Version]
- Rates, S.M. Plants as source of drugs. Toxicon 2001, 39, 603–613. [Google Scholar] [CrossRef]
- Food and Agriculture Organization. Trade in Medicinal Plants; Economic and Social Department, Food and Agriculture Organization of the United Nations: Rome, Italy, 2004. [Google Scholar]
- Abul, K.; Mohammed, I.; Qamrul, A.; Zilly, H.; Md, R.K.; Ridwan, B.R.; Mohammad, A.R. Pharmacological Activities of Blumea lacera (Burm. f) DC: A Medicinal Plant of Bangladesh. J. Gastroenterol. Hepatol. 2009, 18, 81–87. [Google Scholar]
- Nair, R.; Kalariya, T.; Chanda, S. Antibacterial activity of some selected Indian medicinal flora. Turk. J. Biol. 2005, 29, 41–47. [Google Scholar]
- Umesh, K.; Sachin, T.; Rahul, G. Investigation on antioxidant, antimicrobial and phytochemical profile of blumea lacera leaf. Int. J. Biol. Pharm. Res. 2013, 4, 756–761. [Google Scholar]
- Hossen, M.A.; Reza, A.A.; Ahmed, A.A.; Islam, M.K.; Jahan, I.; Hossain, R.; Khan, M.F.; Haque, M.A.; Rahman, M.A. Pretreatment of Blumea lacera leaves ameliorate acute ulcer and oxidative stress in ethanol-induced Long-Evan rat: A combined experimental and chemico-biological interaction. Biomed. Pharmacother. 2021, 135, 111211. [Google Scholar] [CrossRef] [PubMed]
- Pang, Y.X.; Fan, Z.W.; Wang, D.; Yang, Q.; Wang, K.; Chen, X.L.; Hu, X.; Yu, F.L.; Chen, Z.X. External application of the volatile oil from Blumea balsamifera may be safe for liver--a study on its chemical composition and hepatotoxicity. Molecules 2014, 19, 18479–18492. [Google Scholar] [CrossRef] [PubMed] [Green Version]
- Jiangsu New Medical College. Dictionary of Chinese Materia Medica; Shanghai Science and Technology Press: Shanghai, China, 1986; Volume 197. [Google Scholar]
- Guizhou Institute of Traditional Chinese Medicine. Guizhou Chinese Medicine Resources; Chinese Medical Science Press: Beijing, China, 1992; p. 262. [Google Scholar]
- Sakee, U.; Maneerat, S.; Cushnie, T.P.; De-Eknamkul, W. Antimicrobial activity of Blumea balsamifera (Lin.) DC. extracts and essential oil. Nat. Prod. Res. 2011, 25, 1849–1856. [Google Scholar] [CrossRef] [PubMed]
- Shirota, O.; Oribello, J.M.; Sekita, S.; Satake, M. Sesquiterpenes from Blumea balsamifera. J. Nat. Prod. 2011, 74, 470–476. [Google Scholar] [CrossRef] [PubMed]
- Toshio, S.B.; Zhao, J.H. Protective actions of Blumea flavanones on experimental liver injury. Chin. Pharm. Bull. 1998, 14, 191–192. [Google Scholar]
- Odeh, F.; Ismail, S.I.; Abu-Dahab, R.; Mahmoud, I.S.; Al Bawab, A. Thymoquinone in liposomes: A study of loading efficiency and biological activity towards breast cancer. Drug Deliv. 2012, 19, 371–377. [Google Scholar] [CrossRef]
- Toppozada, H.H.; Mazloum, H.A.; el-Dakhakhny, M. The anti-bacterial properties of Nigella sativa seeds: Active principle with some clinical application. J. Egypt Med. Assoc. 1965, 48, 187–202. [Google Scholar]
- Alijabre, S.H.M.; Alakloby, O.M.; Randhawa, M.A. Dermatological effect of nagellasative. J. Dermatol. Dermatol. Surg. 2015, 19, 92–98. [Google Scholar] [CrossRef] [Green Version]
- Shariare, M.H.; Noor, H.B.; Khan, J.H.; Uddin, J.; Ahamad, S.R.; Altamimi, M.A.; Alanazi, F.K.; Kazi, M. Liposomal drug delivery of Corchorus olitorius leaf extract containing phytol using design of experiment (DoE): In-vitro anticancer and in-vivo anti-inflammatory studies. Colloids Surf. B Biointerfaces 2021, 199, 111543. [Google Scholar] [CrossRef]
- Neamah, N.F.; Khudair, A.R.N.; Al-Jadaan, S.A. Comparative evaluation of biochemical profiling of 4′, 4″-(4, 5, 6, 7-TETRAHYDRO-[1, 2, 3-] SELENADIAZOLO [4, 5e] PYRIDINE-4, 6-DIYL) BIS (BENZENE-1, 3-DIOL) and dipyrone on female rat’s. In Proceedings of the Journal of Physics: Conference Series, Volume 1279, First International Scientific Conference Al-Ayen University, Thi-Qar, Iraq, 30–31 March 2019. [Google Scholar]
- Gaweł, S.; Wardas, M.; Niedworok, E.; Wardas, P. Dialdehyd malonowy (MDA) jako wskaźnik procesów peroksydacji lipidów w organizmie [Malondialdehyde (MDA) as a lipid peroxidation marker]. Wiadomości Lek. 2004, 57, 453–455. [Google Scholar]
- Tracey, W.R.; Tse, J.; Carter, G. Lipopolysaccharide-induced changes in plasma nitrite and nitrate concentrations in rats and mice: Pharmacological evaluation of nitric oxide synthase inhibitors. J. Pharmacol. Exp. Ther. 1995, 272, 1011–1015. [Google Scholar] [PubMed]
- Witko-Sarsat, V.; Friedlander, M.; Capeillère-Blandin, C.; Nguyen-Khoa, T.; Nguyen, A.T.; Zingraff, J.; Jungers, P.; Descamps-Latscha, B. Advanced oxidation protein products as a novel marker of oxidative stress in uremia. Kidney Int. 1996, 49, 1304–1313. [Google Scholar] [CrossRef] [PubMed] [Green Version]
- Tiwari, B.K.; Kumar, D.; Abidi, A.B.; Rizvi, S.I. Efficacy of composite extract from leaves and fruits of medicinal plants used in traditional diabetic therapy against oxidative stress in alloxan-induced diabetic rats. ISRN Pharmacol. 2014, 2014, 608590. [Google Scholar] [CrossRef]
- Khan, R.A. Protective effects of Sonchus asper (L.) Hill, (Asteraceae) against CCl4- induced oxidative stress in the thyroid tissue of rats. BMC Complement. Altern. Med. 2012, 12, 181. [Google Scholar] [CrossRef] [Green Version]
- Misra, H.P.; Fridovich, I. The role of superoxide anion in the autoxidation of epinephrine and a simple assay for superoxide dismutase. J. Biol. Chem. 1972, 247, 3170–3175. [Google Scholar] [CrossRef]
- Bradley, P.P.; Priebat, D.A.; Christensen, R.D.; Rothstein, G. Measurement of cutaneous inflammation: Estimation of neutrophil content with an enzyme marker. J. Invest. Dermatol. 1982, 78, 206–209. [Google Scholar] [CrossRef] [Green Version]
- Chen, Y.; Dong, H.; Thompson, D.C.; Shertzer, H.G.; Nebert, D.W.; Vasiliou, V. Glutathione defense mechanism in liver injury: Insights from animal models. Food Chem. Toxicol. 2013, 60, 38–44. [Google Scholar] [CrossRef] [Green Version]
- Jollow, D.; Mitchell, J.; Zampaglione, N.; Gillette, J. Bromobenzene-induced liver necrosis. Protective role of glutathione and evidence for 3, 4-bromobenzene oxide as the hepatotoxic metabolite. Pharmacology 1974, 11, 151–169. [Google Scholar] [CrossRef]
- Johnsson, M.; Edwards, K. Liposomes, disks, and spherical micelles: Aggregate structure in mixtures of gel phase phosphatidylcholines and poly(ethylene glycol)-phospholipids. Biophys. J. 2003, 85, 3839–3847. [Google Scholar] [CrossRef] [Green Version]
- Sun, F.; Hamagawa, E.; Tsutsui, C.; Ono, Y.; Ogiri, Y.; Kojo, S. Evaluation of oxidative stress during apoptosis and necrosis caused by carbon tetrachloride in rat liver. Biochim. Biophys. Acta 2001, 1535, 186–191. [Google Scholar] [CrossRef] [Green Version]
- Rumack, B.H. Acetaminophen hepatotoxicity: The first 35 years. J. Toxicol. Clin. Toxicol. 2002, 40, 3–20. [Google Scholar] [CrossRef] [PubMed]
- Al-Harbi, N.O.; Imam, F.; Nadeem, A.; Al-Harbi, M.M.; Iqbal, M.; Ahmad, S.F. Carbon tetrachloride-induced hepatotoxicity in rat is reversed by treatment with riboflavin. Int. Immunopharmacol. 2014, 21, 383–388. [Google Scholar] [CrossRef] [PubMed]
- Ai, G.; Liu, Q.; Hua, W.; Huang, Z.; Wang, D. Hepatoprotective evaluation of the total flavonoids extracted from flowers of Abelmoschus manihot (L.) Medic: In vitro and in vivo studies. J. Ethnopharmacol. 2013, 146, 794–802. [Google Scholar] [CrossRef] [PubMed]
- Tipoe, G.L.; Leung, T.M.; Liong, E.; So, H.; Leung, K.M.; Lau, T.Y.; Tom, W.M.; Fung, M.L.; Fan, S.T.; Nanji, A.A. Inhibitors of inducible nitric oxide (NO) synthase are more effective than an NO donor in reducing carbon-tetrachloride induced acute liver injury. Histol. Histopathol. 2006, 21, 1157–1165. [Google Scholar]
- Li, S.; Tan, H.Y.; Wang, N.; Zhang, Z.J.; Lao, L.; Wong, C.W.; Feng, Y. The role of oxidative stress and antioxidants in liver diseases. Int. J. Mol. Sci. 2015, 16, 26087–26124. [Google Scholar] [CrossRef] [Green Version]
- Zimmermann, H.W.; Trautwein, C.; Tacke, F. Functional role of monocytes and macrophages for the inflammatory response in acute liver injury. Front Physiol. 2012, 3, 56. [Google Scholar] [CrossRef] [Green Version]
- Kiso, K.; Ueno, S.; Fukuda, M.; Ichi, I.; Kobayashi, K.; Sakai, T.; Fukui, K.; Kojo, S. The role of Kupffer cells in carbon tetrachloride intoxication in mice. Biol. Pharm. Bull. 2012, 35, 980–983. [Google Scholar] [CrossRef] [Green Version]
- Kolaczkowska, E.; Kubes, P. Neutrophil recruitment and function in health and inflammation. Nat. Rev. Immunol. 2013, 13, 159–175. [Google Scholar] [CrossRef]
- Xu, R.; Huang, H.; Zhang, Z.; Wang, F.S. The role of neutrophils in the development of liver diseases. Cell Mol. Immunol. 2014, 11, 224–231. [Google Scholar] [CrossRef] [Green Version]










| No. | Name | RT | Area% |
|---|---|---|---|
| 1 | Heptanal | 20.88 | 2.040 |
| 2 | Neophytadiene | 20.96 | 17.770 |
| 3 | 1,2-Epoxyundecane | 21.03 | 16.150 |
| 4 | 2-Dodecen-1-OL | 21.28 | 6.700 |
| 5 | Hexadecanoic Acid | 22.80 | 22.950 |
| 6 | Caryophyllene Diepoxide | 24.62 | 2.320 |
| 7 | 2-Hexadecan-1-OL (Trans Phytol) | 24.77 | 22.840 |
| 8 | Ecosylacetate | 26.75 | 2.380 |
| Batch No. | Average Particle Size (nm) ± SD | PDI ± SD | Zeta Potential (mV) ± SD | Entrapment Efficiency (%) ± SD |
|---|---|---|---|---|
| OPB 1 | 122.7 ± 2.5 | 0.19 ± 0.04 | −10.7 ± 2.3 | 81.0 ± 2.5 |
| OPB 2 | 133.3 ± 3.3 | 0.10 ± 0.03 | −8.7 ± 3.2 | 80.0 ± 2.0 |
| OPB 3 | 135.5 ± 4.1 | 0.12 ± 0.02 | −11.6 ± 3.1 | 83.5 ± 3.0 |
| Parameters | Control (Oil) | Control (Blank Liposome) | CCl4 | CCl4 + B. lacera Suspension | CCl4 + B. lacera Nano Formulation |
|---|---|---|---|---|---|
| Initial Body Weights (g) | 231.33 ± 0.23 | 232.54 ± 0.17 | 231.73 ± 0.36 | 234.21 ± 0.37 | 232.87 ± 0.57 |
| Final Body Weight (g) | 234.98 ± 0.21 | 235.68 ± 0.57 | 237.45 ± 0.35 | 240.12 ± 0.36 | 240.75 ± 0.44 |
| Food Intake (g/day) | 15.12 ± 0.21 | 16.77 ± 0.34 | 14.21 ± 0.33 | 15.76 ± 0.43 | 16.35 ± 0.24 |
| Water Intake (mL/day) | 20.38 ± 0.71 | 19.99 ± 0.59 | 18.69 ± 0.25 | 19.12 ± 0.60 | 19.98 ± 0.51 |
| Different Wet Organs | Control (Oil) | Control (Blank) | CCl4 | CCl4 + B. lacera Suspension | CCl4 + B. lacera Nano Preparation |
|---|---|---|---|---|---|
| Liver Wet Weight (g) | 8.37 ± 0.40 | 8.51 ± 0.43 | 7.14 ± 0.31 | 7.42 ± 0.29 | 7.98 ± 0.34 |
| Brain Wet Weight (g) | 1.80 ± 0.19 | 1.81 ± 0.15 | 1.70 ± 0.16 | 1.71 ± 0.12 | 1.73 ± 0.10 |
| Heart Wet Weight (g) | 1.21 ± 0.08 | 1.15 ± 0.10 | 1.06 ± 0.05 | 1.07 ± 0.08 | 1.08 ± 0.06 |
| Kidney Wet Weight (g) | 1.12 ± 0.06 | 1.16 ± 0.08 | 1.06 ± 0.04 | 1.09 ± 0.05 | 1.11 ± 0.06 |
| Lung Wet Weight (g) | 1.66 ± 0.09 | 1.71 ± 0.11 | 1.55 ± 0.08 | 1.58 ± 0.06 | 1.61 ± 0.07 |
| Spleen Wet Weight (g) | 0.80 ± 0.05 | 0.69 ± 0.03 | 1.23 ± 0.07 | 0.58 ± 0.04 | 0.72 ± 0.05 |
Publisher’s Note: MDPI stays neutral with regard to jurisdictional claims in published maps and institutional affiliations. |
© 2022 by the authors. Licensee MDPI, Basel, Switzerland. This article is an open access article distributed under the terms and conditions of the Creative Commons Attribution (CC BY) license (https://creativecommons.org/licenses/by/4.0/).
Share and Cite
Shariare, M.H.; Pinky, N.J.K.; Abedin, J.; Kazi, M.; Aldughaim, M.S.; Uddin, M.N. Liposomal Drug Delivery of Blumea lacera Leaf Extract: In-Vivo Hepatoprotective Effects. Nanomaterials 2022, 12, 2262. https://doi.org/10.3390/nano12132262
Shariare MH, Pinky NJK, Abedin J, Kazi M, Aldughaim MS, Uddin MN. Liposomal Drug Delivery of Blumea lacera Leaf Extract: In-Vivo Hepatoprotective Effects. Nanomaterials. 2022; 12(13):2262. https://doi.org/10.3390/nano12132262
Chicago/Turabian StyleShariare, Mohammad Hossain, Nusrat Jahan Khan Pinky, Joynal Abedin, Mohsin Kazi, Mohammed S. Aldughaim, and Mohammad N. Uddin. 2022. "Liposomal Drug Delivery of Blumea lacera Leaf Extract: In-Vivo Hepatoprotective Effects" Nanomaterials 12, no. 13: 2262. https://doi.org/10.3390/nano12132262
APA StyleShariare, M. H., Pinky, N. J. K., Abedin, J., Kazi, M., Aldughaim, M. S., & Uddin, M. N. (2022). Liposomal Drug Delivery of Blumea lacera Leaf Extract: In-Vivo Hepatoprotective Effects. Nanomaterials, 12(13), 2262. https://doi.org/10.3390/nano12132262

