Biocompatibility and Carcinogenicity of Carbon Nanotubes as Biomaterials
Abstract
1. Introduction
2. Biocompatibility Testing of CNTs
2.1. In Vitro Biocompatibility Testing of CNTs
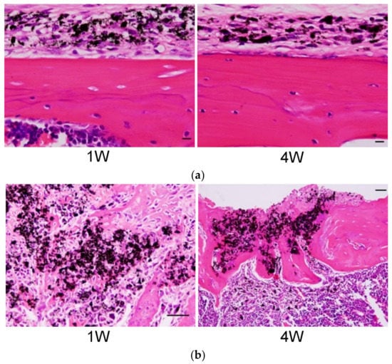
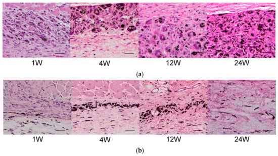
2.2. In Vivo Biocompatibility Testing of CNTs
2.3. CNT Composites
2.4. Factors Affecting the Biocompatibility Testing of CNTs
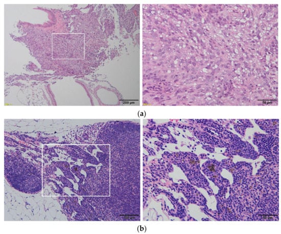
3. Carcinogenicity Testing of CNTs
4. Pharmacokinetics of CNTs
5. Conclusions
Author Contributions
Funding
Acknowledgments
Conflicts of Interest
References
- Lu, P.J.; Cheng, W.L.; Huang, S.C.; Chen, Y.P.; Chou, H.K.; Cheng, H.F. Characterizing titanium dioxide and zinc oxide nanoparticles in sunscreen spray. Int. J. Cosmet. Sci. 2015, 37, 620–626. [Google Scholar] [CrossRef] [PubMed]
- McSweeney, P.C. The safety of nanoparticles in sunscreens: An update for general practice. Aust. Fam. Phys. 2016, 45, 397–399. [Google Scholar]
- Morita, T.; Takami, N. Nano Si cluster-SiOx-C composite material as high-capacity anode material for rechargeable lithium batteries. J. Electrochem. Soc. 2006, 153, A425–A430. [Google Scholar] [CrossRef]
- Aagaard, J. The Carbomedics aortic heart valve prosthesis: A review. J. Cardiovasc. Surg. (Torino) 2004, 45, 531–534. [Google Scholar]
- Morice, M.C.; Bestehorn, H.P.; Carrie, D.; Macaya, C.; Aengevaeren, W.; Wijns, W.; Dubois, C.; de Winter, R.; Verheye, S.; Hoffmann, S.; et al. Direct stenting of de novo coronary stenoses with tacrolimus-eluting versus carbon-coated carbostents. The randomized JUPITER II trial. EuroIntervention 2006, 2, 45–52. [Google Scholar]
- Saito, N.; Aoki, K.; Usui, Y.; Shimizu, M.; Hara, K.; Narita, N.; Ogihara, N.; Nakamura, K.; Ishigaki, N.; Kato, H.; et al. Application of carbon fibers to biomaterials: A new era of nano-level control of carbon fibers after 30-years of development. Chem. Soc. Rev. 2011, 40, 3824–3834. [Google Scholar] [CrossRef]
- Saito, N.; Haniu, H.; Usui, Y.; Aoki, K.; Hara, K.; Takanashi, S.; Shimizu, M.; Narita, N.; Okamoto, M.; Kobayashi, S.; et al. Safe clinical use of carbon nanotubes as innovative biomaterials. Chem. Rev. 2014, 114, 6040–6079. [Google Scholar] [CrossRef]
- Jacobsen, N.R.; Moller, P.; Clausen, P.A.; Saber, A.T.; Micheletti, C.; Jensen, K.A.; Wallin, H.; Vogel, U. Biodistribution of Carbon Nanotubes in Animal Models. Basic Clin. Pharmacol. Toxicol. 2017, 121, 30–43. [Google Scholar] [CrossRef] [PubMed]
- Choo, H.; Jung, Y.; Jeong, Y.; Kim, H.C.; Ku, B.C. Fabrication and Applications of Carbon Nanotube Fibers. Carbon Lett. 2012, 13, 191–204. [Google Scholar] [CrossRef]
- Kakooei, H.; Marioryad, H. Evaluation of exposure to the airborne asbestos in an automobile brake and clutch manufacturing industry in Iran. Regul. Toxicol. Pharmacol. 2010, 56, 143–147. [Google Scholar] [CrossRef] [PubMed]
- Luberto, F.; Ferrante, D.; Silvestri, S.; Angelini, A.; Cuccaro, F.; Nannavecchia, A.M.; Oddone, E.; Vicentini, M.; Barone-Adesi, F.; Cena, T.; et al. Cumulative asbestos exposure and mortality from asbestos related diseases in a pooled analysis of 21 asbestos cement cohorts in Italy. Environ. Health 2019, 18, 71. [Google Scholar] [CrossRef] [PubMed]
- Gogou, E.; Hatzoglou, C.; Zarogiannis, S.G.; Malli, F.; Jagirdar, R.M.; Gourgoulianis, K.I. Mesothelioma Mortality Rates in Greece for the Period 2005-2015 Is Increased Compared to Previous Decades. Medicina 2019, 55, 419. [Google Scholar] [CrossRef] [PubMed]
- Krowczynska, M.; Wilk, E. Environmental and Occupational Exposure to Asbestos as a Result of Consumption and Use in Poland. Int. J. Environ. Res. Public Health 2019, 16, 2611. [Google Scholar] [CrossRef] [PubMed]
- Zha, L.; Kitamura, Y.; Kitamura, T.; Liu, R.; Shima, M.; Kurumatani, N.; Nakaya, T.; Goji, J.; Sobue, T. Population-based cohort study on health effects of asbestos exposure in Japan. Cancer Sci. 2019, 110, 1076–1084. [Google Scholar] [CrossRef] [PubMed]
- Carbone, M.; Yang, H. Mesothelioma: recent highlights. Ann. Transl. Med. 2017, 5, 238. [Google Scholar] [CrossRef] [PubMed]
- Kane, A.B.; Hurt, R.H.; Gao, H. The asbestos-carbon nanotube analogy: An update. Toxicol. Appl. Pharmacol. 2018, 361, 68–80. [Google Scholar] [CrossRef] [PubMed]
- Hara, K.; Aoki, K.; Usui, Y.; Shimizu, M.; Narita, N.; Ogihara, N.; Nakamura, K.; Ishigaki, N.; Sano, K.; Haniu, H.; et al. Evaluation of CNT toxicity by comparison to tattoo ink. Mater. Today 2011, 14, 434–440. [Google Scholar] [CrossRef]
- Haniu, H.; Saito, N.; Matsuda, Y.; Tsukahara, T.; Usui, Y.; Maruyama, K.; Takanashi, S.; Aoki, K.; Kobayashi, S.; Nomura, H.; et al. Biological responses according to the shape and size of carbon nanotubes in BEAS-2B and MESO-1 cells. Int. J. Nanomed. 2014, 9, 1979–1990. [Google Scholar] [CrossRef]
- Nagai, H.; Okazaki, Y.; Chew, S.H.; Misawa, N.; Yamashita, Y.; Akatsuka, S.; Ishihara, T.; Yamashita, K.; Yoshikawa, Y.; Yasui, H.; et al. Diameter and rigidity of multiwalled carbon nanotubes are critical factors in mesothelial injury and carcinogenesis. Proc. Natl. Acad. Sci. USA 2011, 108, E1330–E1338. [Google Scholar] [CrossRef]
- Kajiyama, H.; Shibata, K.; Terauchi, M.; Ino, K.; Nawa, A.; Kikkawa, F. Involvement of SDF-1alpha/CXCR4 axis in the enhanced peritoneal metastasis of epithelial ovarian carcinoma. Int. J. Cancer 2008, 122, 91–99. [Google Scholar] [CrossRef]
- Stringer, B.; Imrich, A.; Kobzik, L. Flow cytometric assay of lung macrophage uptake of environmental particulates. Cytometry 1995, 20, 23–32. [Google Scholar] [CrossRef]
- Al-Jamal, K.T.; Kostarelos, K. Assessment of cellular uptake and cytotoxicity of carbon nanotubes using flow cytometry. Methods Mol. Biol. 2010, 625, 123–134. [Google Scholar]
- Ju, L.; Wu, W.; Yu, M.; Lou, J.; Wu, H.; Yin, X.; Jia, Z.; Xiao, Y.; Zhu, L.; Yang, J. Different Cellular Response of Human Mesothelial Cell MeT-5A to Short-Term and Long-Term Multiwalled Carbon Nanotubes Exposure. BioMed Res. Int. 2017, 2017, 2747215. [Google Scholar] [CrossRef]
- Ju, L.; Zhang, G.; Zhang, X.; Jia, Z.; Gao, X.; Jiang, Y.; Yan, C.; Duerksen-Hughes, P.J.; Chen, F.F.; Li, H.; et al. Proteomic analysis of cellular response induced by multi-walled carbon nanotubes exposure in A549 cells. PLoS ONE 2014, 9, e84974. [Google Scholar] [CrossRef]
- Murray, A.R.; Kisin, E.; Leonard, S.S.; Young, S.H.; Kommineni, C.; Kagan, V.E.; Castranova, V.; Shvedova, A.A. Oxidative stress and inflammatory response in dermal toxicity of single-walled carbon nanotubes. Toxicology 2009, 257, 161–171. [Google Scholar] [CrossRef]
- Driscoll, K.E.; Carter, J.M.; Hassenbein, D.G.; Howard, B. Cytokines and particle-induced inflammatory cell recruitment. Environ. Health Perspect. 1997, 105, 1159–1164. [Google Scholar] [PubMed]
- Mossman, B.T.; Churg, A. Mechanisms in the pathogenesis of asbestosis and silicosis. Am. J. Respir. Crit. Care Med. 1998, 157, 1666–1680. [Google Scholar] [CrossRef] [PubMed]
- Schins, R.P.; Borm, P.J. Mechanisms and mediators in coal dust induced toxicity: A review. Ann. Occup. Hyg. 1999, 43, 7–33. [Google Scholar] [CrossRef]
- Patlolla, A.; Knighten, B.; Tchounwou, P. Multi-Walled Carbon Nanotubes Induce Cytotoxicity, Genotoxicity and Apoptosis in Normal Human Dermal Fibroblast Cells. Ethn. Dis. 2010, 20, S1-65–S1-72. [Google Scholar]
- Mosmann, T. Rapid colorimetric assay for cellular growth and survival: application to proliferation and cytotoxicity assays. J. Immunol. Methods 1983, 65, 55–63. [Google Scholar] [CrossRef]
- Olive, P.L.; Banath, J.P.; Durand, R.E. Heterogeneity in radiation-induced DNA damage and repair in tumor and normal cells measured using the “comet” assay. Radiat. Res. 1990, 178, 35–42. [Google Scholar] [CrossRef] [PubMed]
- Ogihara, N.; Usui, Y.; Aoki, K.; Shimizu, M.; Narita, N.; Hara, K.; Nakamura, K.; Ishigaki, N.; Takanashi, S.; Okamoto, M.; et al. Biocompatibility and bone tissue compatibility of alumina ceramics reinforced with carbon nanotubes. Nanomedicine 2012, 7, 981–993. [Google Scholar] [CrossRef] [PubMed]
- Gregory, C.A.; Gunn, W.G.; Peister, A.; Prockop, D.J. An Alizarin red-based assay of mineralization by adherent cells in culture: comparison with cetylpyridinium chloride extraction. Anal. Biochem. 2004, 329, 77–84. [Google Scholar] [CrossRef] [PubMed]
- Shimizu, M.; Kobayashi, Y.; Mizoguchi, T.; Nakamura, H.; Kawahara, I.; Narita, N.; Usui, Y.; Aoki, K.; Hara, K.; Haniu, H.; et al. Carbon nanotubes induce bone calcification by bidirectional interaction with osteoblasts. Adv Mater. 2012, 24, 2176–2185. [Google Scholar] [CrossRef]
- Narita, N.; Kobayashi, Y.; Nakamura, H.; Maeda, K.; Ishihara, A.; Mizoguchi, T.; Usui, Y.; Aoki, K.; Shimizu, M.; Kato, H.; et al. Multiwalled carbon nanotubes specifically inhibit osteoclast differentiation and function. Nano Lett. 2009, 9, 1406–1413. [Google Scholar] [CrossRef]
- Mercer, R.R.; Hubbs, A.F.; Scabilloni, J.F.; Wang, L.; Battelli, L.A.; Friend, S.; Castranova, V.; Porter, D.W. Pulmonary fibrotic response to aspiration of multi-walled carbon nanotubes. Part Fibre Toxicol. 2011, 8, 21. [Google Scholar] [CrossRef]
- Dong, J.; Porter, D.W.; Batteli, L.A.; Wolfarth, M.G.; Richardson, D.L.; Ma, Q. Pathologic and molecular profiling of rapid-onset fibrosis and inflammation induced by multi-walled carbon nanotubes. Arch. Toxicol. 2015, 89, 621–633. [Google Scholar] [CrossRef]
- Deng, X.; Jia, G.; Wang, H.; Sun, H.; Wang, X.; Yang, S.; Wang, T.; Liu, Y. Translocation and fate of multi-walled carbon nanotubes in vivo. Carbon 2007, 45, 1419–1424. [Google Scholar] [CrossRef]
- Tang, S.; Tang, Y.; Zhong, L.; Murat, K.; Asan, G.; Yu, J.; Jian, R.; Wang, C.; Zhou, P. Short- and long-term toxicities of multi-walled carbon nanotubes in vivo and in vitro. J. Appl. Toxicol. 2012, 32, 900–912. [Google Scholar] [CrossRef]
- Ferguson, J.E.; Andrew, S.M.; Jones, C.J.; August, P.J. The Q-switched neodymium:YAG laser and tattoos: a microscopic analysis of laser-tattoo interactions. Br. J. Dermatol. 1997, 137, 405–410. [Google Scholar] [CrossRef]
- Usui, Y.; Aoki, N.; Narita, K.; Murakami, N.; Nakamura, I.; Nakamura, K.; Ishigaki, N.; Yamazaki, H.; Horiuchi, H.; Kato, H.; et al. Carbon nanotubes with high bone-tissue compatibility and bone-formation acceleration effects. Small 2008, 4, 240–246. [Google Scholar] [CrossRef] [PubMed]
- Nomura, H.; Takanashi, S.; Tanaka, M.; Haniu, H.; Aoki, K.; Okamoto, M.; Kobayashi, S.; Takizawa, T.; Usui, Y.; Oishi, A.; et al. Specific biological responses of the synovial membrane to carbon nanotubes. Sci. Rep. 2015, 5, 14314. [Google Scholar] [CrossRef] [PubMed]
- Prencipe, G.; Tabakman, S.M.; Welsher, K.; Liu, Z.; Goodwin, A.P.; Zhang, L.; Henry, J.; Dai, H. PEG branched polymer for functionalization of nanomaterials with ultralong blood circulation. J. Am. Chem. Soc. 2009, 131, 4783–4787. [Google Scholar] [CrossRef] [PubMed]
- Meran, M.; Akkus, P.D.; Kurkcuoglu, O.; Baysak, E.; Hizal, G.; Haciosmanoglu, E.; Unlu, A.; Karatepe, N.; Guner, F.S. Noncovalent Pyrene-Polyethylene Glycol Coatings of Carbon Nanotubes Achieve in Vitro Biocompatibility. Langmuir 2018, 34, 12071–12082. [Google Scholar] [CrossRef]
- Huang, B.; Vyas, C.; Roberts, I.; Poutrel, Q.A.; Chiang, W.H.; Blaker, J.J.; Huang, Z.; Bartolo, P. Fabrication and characterisation of 3D printed MWCNT composite porous scaffolds for bone regeneration. Mater. Sci. Eng. C Mater. Biol. Appl. 2019, 98, 266–278. [Google Scholar] [CrossRef]
- Wu, S.; Duan, B.; Lu, A.; Wang, Y.; Ye, Q.; Zhang, L. Biocompatible chitin/carbon nanotubes composite hydrogels as neuronal growth substrates. Carbohydr. Polym. 2017, 174, 830–840. [Google Scholar] [CrossRef]
- Tilmaciu, C.M.; Morris, M.C. Carbon nanotube biosensors. Front. Chem. 2015, 3, 59. [Google Scholar] [CrossRef]
- Manawi, Y.M.; Samara, A.; Al-Ansari, T.; Atieh, M.A. A Review of Carbon Nanomaterials’ Synthesis via the Chemical Vapor Deposition (CVD) Method. Materials 2018, 11, 822. [Google Scholar] [CrossRef]
- Nahle, S.; Safar, R.; Grandemange, S.; Foliguet, B.; Lovera-Leroux, M.; Doumandji, Z.; Le Faou, A.; Joubert, O.; Rihn, B.; Ferrari, L. Single wall and multiwall carbon nanotubes induce different toxicological responses in rat alveolar macrophages. J. Appl. Toxicol. 2019, 39, 764–772. [Google Scholar] [CrossRef]
- Zhao, X.; Chang, S.; Long, J.; Li, J.; Li, X.; Cao, Y. The toxicity of multi-walled carbon nanotubes (MWCNTs) to human endothelial cells: The influence of diameters of MWCNTs. Food Chem. Toxicol. 2019, 126, 169–177. [Google Scholar] [CrossRef]
- Wang, P.; Nie, X.; Wang, Y.; Li, Y.; Ge, C.; Zhang, L.; Wang, L.; Bai, R.; Chen, Z.; Zhao, Y.; et al. Multiwall carbon nanotubes mediate macrophage activation and promote pulmonary fibrosis through TGF-beta/Smad signaling pathway. Small 2013, 9, 3799–3811. [Google Scholar] [CrossRef]
- Haniu, H.; Saito, N.; Matsuda, Y.; Kim, Y.A.; Park, K.C.; Tsukahara, T.; Usui, Y.; Aoki, K.; Shimizu, M.; Ogihara, N.; et al. Effect of dispersants of multi-walled carbon nanotubes on cellular uptake and biological responses. Int. J. Nanomed. 2011, 6, 3295–3307. [Google Scholar] [CrossRef]
- Takagi, A.; Hirose, A.; Nishimura, T.; Fukumori, N.; Ogata, A.; Ohashi, N.; Kitajima, S.; Kanno, J. Induction of mesothelioma in p53+/− mouse by intraperitoneal application of multi-wall carbon nanotube. J. Toxicol. Sci. 2008, 33, 105–116. [Google Scholar] [CrossRef]
- Blanchard, K.T.; Barthel, C.; French, J.E.; Holden, H.E.; Moretz, R.; Pack, F.D.; Tennant, R.W.; Stoll, R.E. Transponder-induced sarcoma in the heterozygous p53+/− mouse. Toxicol. Pathol. 1999, 27, 519–527. [Google Scholar] [CrossRef]
- Takagi, A.; Hirose, A.; Futakuchi, M.; Tsuda, H.; Kanno, J. Dose-dependent mesothelioma induction by intraperitoneal administration of multi-wall carbon nanotubes in p53 heterozygous mice. Cancer Sci. 2012, 103, 1440–1444. [Google Scholar] [CrossRef] [PubMed]
- Suzui, M.; Futakuchi, M.; Fukamachi, K.; Numano, T.; Abdelgied, M.; Takahashi, S.; Ohnishi, M.; Omori, T.; Tsuruoka, S.; Hirose, A.; et al. Multiwalled carbon nanotubes intratracheally instilled into the rat lung induce development of pleural malignant mesothelioma and lung tumors. Cancer Sci. 2016, 107, 924–935. [Google Scholar] [CrossRef] [PubMed]
- Mitsumori, K.; Koizumi, H.; Nomura, T.; Yamamoto, S. Pathological features of spontaneous and induced tumors in transgenic mice carrying a human prototype c-Ha-ras gene used for six-month carcinogenicity studies. Toxicol. Pathol. 1998, 26, 520–531. [Google Scholar] [CrossRef] [PubMed]
- Takanashi, S.; Hara, K.; Aoki, K.; Usui, Y.; Shimizu, M.; Haniu, H.; Ogihara, N.; Ishigaki, N.; Nakamura, K.; Okamoto, M.; et al. Carcinogenicity evaluation for the application of carbon nanotubes as biomaterials in rasH2 mice. Sci. Rep. 2012, 2, 498. [Google Scholar] [CrossRef] [PubMed]
- Sobajima, A.; Haniu, H.; Nomura, H.; Tanaka, M.; Takizawa, T.; Kamanaka, T.; Aoki, K.; Okamoto, M.; Yoshida, K.; Sasaki, J.; et al. Organ accumulation and carcinogenicity of highly dispersed multi-walled carbon nanotubes administered intravenously in transgenic rasH2 mice. Int. J. Nanomed. 2019, 14, 6465–6480. [Google Scholar] [CrossRef] [PubMed]
- Donaldson, K.; Murphy, F.A.; Duffin, R.; Poland, C.A. Asbestos, carbon nanotubes and the pleural mesothelium: A review of the hypothesis regarding the role of long fibre retention in the parietal pleura, inflammation and mesothelioma. Part Fibre Toxicol. 2010, 7, 5. [Google Scholar] [CrossRef]
- Donaldson, K.; Poland, C.A.; Murphy, F.A.; MacFarlane, M.; Chernova, T.; Schinwald, A. Pulmonary toxicity of carbon nanotubes and asbestos—Similarities and differences. Adv. Drug Deliv. Rev. 2013, 65, 2078–2086. [Google Scholar] [CrossRef] [PubMed]
- Singh, R.; Pantarotto, D.; Lacerda, L.; Pastorin, G.; Klumpp, C.; Prato, M.; Bianco, A.; Kostarelos, K. Tissue biodistribution and blood clearance rates of intravenously administered carbon nanotube radiotracers. Proc. Natl. Acad. Sci. USA 2006, 103, 3357–3362. [Google Scholar] [CrossRef] [PubMed]
- ISO 10993-1:2018. Biological Evaluation of Medical Devices—Part 1: Evaluation and Testing within a Risk Management Process. Available online: https://www.iso.org/standard/68936.html (accessed on 1 February 2020).
- ISO 10993-3:2014. Biological Evaluation of Medical Devices—Part 3: Tests for Genotoxicity, Carcinogenicity and Reproductive Toxicity. Available online: https://www.iso.org/standard/55614.html (accessed on 1 February 2020).







| Author, year | CNT | Cells | Origin of Cells | Control | Evaluations |
|---|---|---|---|---|---|
| Hara et al., 2011 [16] | MWCNT | V79 cell | Chinese hamster lung fibroblast | tattoo ink carbon black | colony-foaming assay |
| Hara et al., 2011 [16] | MWCNT | - | mouse bone macrophage | tattoo ink | IL-1β, IL-6, TNF-α, ELISA |
| Haniu et al., 2014 [18] | MWCNT | BEAS-2B cell | human bronchial epithelial cell | - | alamarBlue assay total ROS/superpxide detection kit, flow cytometry |
| Nagai et al., 2011 [35] | MWCNT | - | human peritoneal mesothelial cell | crocidolite | confoal microscopy SSC value, flow cytometry |
| Ju et al., 2014 [24] | MWCNT | MeT-5A cell | human mesothelial cell | - | γH2AX foci formation technique |
| Murray et al., 2009 [25] | SWCNT | JB6 P+ cell | murine epidermal cell | - | alamarBlue assay NF-κB actibity, luminometer |
| Patlolla et al., 2009 [29] | MWCNT | - | normal human dermal fibroblast | - | MTT assay DNA damaging effect, comet assay |
| Shimizu et al., 2012 [34] | MWCNT | - | mouse calvaria osteoblast-like stromal cell | carbon black | Alizarin Red S stain mRNA of osteocalcin, real time PCR |
| Narita et al., 2009 [35] | MWCNT | - | mouse osteoclast | carbon black | NFATc1, immunostaining |
| Author, year | CNT | Animals | Administration Site/Route | Evaluations |
|---|---|---|---|---|
| Mercer et al., 2011 [36] | MWCNT | C57BL/6J mouse | pharyngeal aspiration | light microscope examination of lung |
| Dong et al., 2015 [37] | MWCNT | C57BL/6J mouse | pharyngeal aspiration | IL-6, IL-1β, TNF-α, ELISA of BALF |
| Deng et al., 2007 [38] | MWCNT | KunMing mouse | intravenously injection | LDH, TBIL, TBA, ALP, ALT in serum (effects to liver) |
| Tang et al., 2012 [39] | MWCNT | KunMing mouse | intravenously injection | blood count (white blood cells, red blood cells, platelets), bleeding time, coagulation time |
| Hara et al., 2011 [16] | MWCNT | ddY mouse | subcutaneous tissue | light microscopy |
| Usui et al., 2008 [41] | MWCNT | ddY mouse | under dorsal fascia | ectopic bone formation |
| Nomura et al., 2015 [42] | MWCNT | Wistar rat | knee joint | light microscopy |
| Author, year | CNT | Composite | Cells/Animals | Administration Site/Route | Evaluations |
|---|---|---|---|---|---|
| Prencipe et al., 2009 [43] | SWCNT | PEG | balb/c mouse | intravenously injection | circulation time |
| Meran et al., 2018 [44] | SWCNT | PEG | HUVEC | - | MTT assay |
| Huang et al., 2019 [45] | MWCNT | PCL | hADSC | - | alamarBlue assay |
| Wu et al., 2017 [46] | MWCNT | chitin | rat neuron cell | - | MTT assay |
| Author, year | CNT | Cells/Animals | Administration Site/Route | Factors | Evaluations |
|---|---|---|---|---|---|
| Nahle et al., 2019 [49] | MWCNT SWCNT | NR8383 cell (rat alveolar macrophage cell) | - | MWCNT or SWCNT | alamarBlue assay |
| Haniu et al., 2014 [18] | MWCNT CSCNT | BEAS-2B cell (human bronchial epithelial cell) MESO-1 cell (human malignant pleural mesothelioma cell) | - | MWCNT or CSCNT | alamarBlue assay |
| Zhao et al., 2019 [50] | MWCNT | HUVEC | - | diameter of fibers | IL-6, ROS, ELISA |
| Wang et al., 2013 [51] | MWCNT | RAW264.7 cell (mouse leukemic monocyte macrophage cell) spontaneously hypertensive rat | pharyngeal aspiration | length of fibers | TGF-β1, ELISA light microscope examination of lung TGF-β1, ELISA of BALF |
| Murray et al., 2009 [25] | SWCNT | JB6 P+ cell (murine epidermal cell) | - | purity of CNT (containing iron) | alamarBlue assay glutathione, fluorescence assay |
| Haniu et al., 2011 [52] | MWCNT | BEAS-2B cell | - | dispersants (gelatin, DPPC, CMC) | flow cytometry IL-6, IL-8, cytometric bead array flex set system |
| Author, year | CNT | Animals | Administration Site/Route | Control |
|---|---|---|---|---|
| Takagi et al., 2008 [53] | MWCNT | p53+/− mouse | intraperitoneal injection | fullerene |
| Suzui et al., 2016 [56] | MWCNT | F344/Crj rat | pharyngeal aspiration | vehicle |
| Takanashi et al., 2012 [58] | MWCNT | rasH2 mouse | subcutaneous tissue | MNU |
| Sobajima et al., 2019 [59] | MWCNT | rasH2 mouse | intravenously injection | MNU |
© 2020 by the authors. Licensee MDPI, Basel, Switzerland. This article is an open access article distributed under the terms and conditions of the Creative Commons Attribution (CC BY) license (http://creativecommons.org/licenses/by/4.0/).
Share and Cite
Aoki, K.; Saito, N. Biocompatibility and Carcinogenicity of Carbon Nanotubes as Biomaterials. Nanomaterials 2020, 10, 264. https://doi.org/10.3390/nano10020264
Aoki K, Saito N. Biocompatibility and Carcinogenicity of Carbon Nanotubes as Biomaterials. Nanomaterials. 2020; 10(2):264. https://doi.org/10.3390/nano10020264
Chicago/Turabian StyleAoki, Kaoru, and Naoto Saito. 2020. "Biocompatibility and Carcinogenicity of Carbon Nanotubes as Biomaterials" Nanomaterials 10, no. 2: 264. https://doi.org/10.3390/nano10020264
APA StyleAoki, K., & Saito, N. (2020). Biocompatibility and Carcinogenicity of Carbon Nanotubes as Biomaterials. Nanomaterials, 10(2), 264. https://doi.org/10.3390/nano10020264
