Tension-Dominant Orthodontic Loading and Buccal Periodontal Phenotype Preservation: An Integrative Mechanobiological Model Supported by FEM and a Proof-of-Concept CBCT
Abstract
1. Introduction
2. Finite Element Component of the Model
3. Clinical Observations
4. Mechanobiological Model
- Biomechanical Level: From Cervical Compression to Tension
- 2.
- PDL-Level Mechanobiology: Divergent Signaling in Tension vs Compression
- 3.
- Cortical-Level Biology: Tension-Driven Apposition and Reduced Resorption
- Latency phase: Recruitment of mesenchymal stem cells (MSCs) and TGF-β signaling [55].
- 4.
- Load Trajectory and Displacement Pattern (Tipping vs Translation)
- 5.
- Soft-Tissue Level: Tensile Stimulus and Phenotype Reinforcement
- 6.
- Integrated Tissue Response: A Unified Mechanobiological Loop
- Biomechanical redistribution: Reduction in compression, emergence of tensile stress - The FEM component of this study demonstrated that force-vector optimization can reduce cervical compression and generate a buccal tensile zone within a microstrain range associated with osteogenic activation. These findings are consistent with previously published FEM analyses showing that conventional expansion produces localized cervical overload, whereas translational mechanics substantially modify stress distribution [25,69].
- Angiogenic activation: Improved perfusion enables remodeling rather than resorption [71]
- 7.
- Clinical Implication of the Model
5. Discussion
Limitations
6. Conclusions
Author Contributions
Funding
Institutional Review Board Statement
Informed Consent Statement
Data Availability Statement
Conflicts of Interest
References
- Garib, D.G.; Yatabe, M.S.; Ozawa, T.O.; da Silva Filho, O.G. Alveolar bone morphology under the perspective of the computed tomography: Defining the biological limits of tooth movement. Dent. Press J. Orthod. 2010, 15, 192–205. [Google Scholar] [CrossRef]
- Steiner, G.G.; Pearson, J.K.; Ainamo, J. Changes of the marginal periodontium as a result of labial tooth movement in monkeys. J. Periodontol. 1981, 52, 314–320. [Google Scholar] [CrossRef] [PubMed]
- Handelman, C.S. The anterior alveolus: Its importance in limiting orthodontic treatment and its influence on the occurrence of iatrogenic sequelae. Angle Orthod. 1996, 66, 95–109; discussion 109–110, Erratum in Angle Orthod. 1996, 66, 246. [Google Scholar] [CrossRef] [PubMed]
- Zweers, J.; Thomas, D.E.; Slot, A.S.; Weisgold, G.A.; Van derWeijden, F.G.A. Characteristics of periodontal biotype, its dimensions, associations and prevalence: A systemic review. J. Clin. Periodontol. 2014, 41, 958–971. [Google Scholar] [CrossRef] [PubMed]
- Joss-Vassalli, I.; Grebenstein, C.; Topouzelis, N.; Sculean, A.; Katsaros, A. Orthodontic therapy and gingival recession: A systematic review. Orthod. Craniofac. Res. 2010, 13, 127–141. [Google Scholar] [CrossRef]
- Kassab, M.M.; Cohen, R.E. The etiology and prevalence of gingival recession. J. Am. Dent. Assoc. 2003, 134, 220–225. [Google Scholar] [CrossRef]
- Albughaylil, A.S.; Sayed, A.J.; Alsoli, M.A.; Almutairi, M.M.; Mohsin, S.F.; Shaikh, S.S.; Alsaykhan, K.A.; Albulayhid, I.A. Gingival Biotypes and its Relation to Biologic Width, Alveolar Bone Thickness, Dehiscence and Fenestration in Mandibular Anterior Region: A CBCT Analysis Study. J. Pharm. Bioallied Sci. 2023, 15, S367–S371. [Google Scholar] [CrossRef] [PubMed] [PubMed Central]
- da Silva, D.M.; Castro, F.; Martins, B.; Fraile, J.F.; Fernandes, J.C.H.; Fernandes, G.V.I. The influence of the gingival phenotype on implant survival rate and clinical parameters: A systematic review. Evid. Based Dent. 2025, 26, 119. [Google Scholar] [CrossRef]
- Malpartida-Carrillo, V.; Tinedo-Lopez, P.L.; Guerrero, M.E.; Amaya-Pajares, S.P.; Özcan, M.; Rösing, C.K. Periodontal phenotype: A review of historical and current classifications evaluating different methods and characteristics. J. Esthet. Restor. Dent. 2021, 33, 432–445. [Google Scholar] [CrossRef]
- Krishnan, V.; Davidovitch, Z. Cellular, molecular, and tissue-level reactions to orthodontic force. Am. J. Orthod. Dentofac. Orthop. 2006, 129, 469.e1–469.e32. [Google Scholar] [CrossRef]
- Jeon, H.H.; Teixeira, H.; Tsai, A. Mechanistic Insight into Orthodontic Tooth Movement Based on Animal Studies: A Critical Review. J. Clin. Med. 2021, 10, 1733. [Google Scholar] [CrossRef] [PubMed] [PubMed Central]
- Li, Y.; Jacox, L.A.; Little, S.H.; Ko, C.C. Orthodontic tooth movement: The biology and clinical implications. Kaohsiung J. Med. Sci. 2018, 34, 207–214. [Google Scholar] [CrossRef] [PubMed] [PubMed Central]
- Yang, C.Y.; Jeon, H.H.; Alshabab, A.; Lee, Y.J.; Chung, C.-H.; Graves, D.T. RANKL deletion in periodontal ligament and bone lining cells blocks orthodontic tooth movement. Int. J. Oral Sci. 2018, 10, 3. [Google Scholar] [CrossRef]
- Abasi, M.; Goodarzi, A.; Solhmirzaei, R.; Fazel, F.; Moharrami, A.; Ghasemi, H.; Alavi Milani, H. The Interaction Between Orthodontics and Periodontal Tissue Remodeling. Galen Med. J. 2025, 14, e4005. [Google Scholar] [CrossRef]
- Nakai, Y.; Praneetpong, N.; Ono, W.; Ono, N. Mechanisms of Osteoclastogenesis in Orthodontic Tooth Movement and Orthodontically Induced Tooth Root Resorption. J. Bone Metab. 2023, 30, 297–310. [Google Scholar] [CrossRef] [PubMed] [PubMed Central]
- Melsen, B.; Allais, D. Factors of importance for the development of dehiscences during labial movement of mandibular incisors: A retrospective study of adult orthodontic patients. Am. J. Orthod. Dentofac. Orthop. 2005, 127, 552–625. [Google Scholar] [CrossRef] [PubMed]
- Hobani, N.; Qali, M.; Alshanbari, M.; Li, C.; Tanna, N.; Neiva, R.; Korostoff, J.; Boucher, N. CBCT analysis of maxillary buccal bone thickness and height after conventional orthodontic treatment with standardized archwires: A retrospective study. Am. J. Orthod. Dentofac. Orthop. 2025, 168, 764–772.e4. [Google Scholar] [CrossRef] [PubMed]
- Guo, Y.; Wang, Y.; Liu, Y.; Wang, H.; Guo, C.; Zhang, X. Effect of the same mechanical loading on osteogenesis and osteoclastogenesis in vitro. Chin. J. Traumatol. 2015, 18, 150–156. [Google Scholar] [CrossRef] [PubMed]
- Rizk, M.; Niederau, C.; Florea, A.; Kiessling, F.; Morgenroth, A.; Mottaghy, F.M.; Schneider, R.K.; Wolf, M.; Craveiro, R.B. Periodontal ligament and alveolar bone remodeling during long orthodontic tooth movement analyzed by a novel user-independent 3D-methodology. Sci Rep. 2023, 13, 19919. [Google Scholar] [CrossRef]
- Xu, B.; Yang, K. Changes in alveolar bone structure during orthodontic tooth movement in adolescent and adult rats: A microcomputed tomography study. Orthod. Craniofac. Res. 2023, 26, 402–411. [Google Scholar] [CrossRef]
- Wang, J.; Huang, Y.; Chen, F.; Li, W. The age-related effects on orthodontic tooth movement and the surrounding periodontal environment. Front Physiol. 2024, 15, 1460168. [Google Scholar] [CrossRef]
- Kanzaki, H.; Chiba, M.; Shimizu, Y.; Mitani, H. Periodontal ligament cells under mechanical stress induce osteoclastogenesis by receptor activator of nuclear factor kappaB ligand up-regulation via prostaglandin E2 synthesis. J. Bone Miner. Res. 2002, 17, 210–220. [Google Scholar] [CrossRef] [PubMed]
- Wilcko, W.M.; Wilcko, T.; Pulver, J.J.; Bissada, N.F.; Bouquot, J.E. Accelerated osteogenic orthodontics technique: A 1-stage surgically facilitated rapid orthodontic treatment. J. Oral Maxillofac. Surg. 2009, 67, 2149–2159. [Google Scholar] [CrossRef] [PubMed]
- Kuc, A.E.; Kulgawczyk, M.; Sulewska, M.E.; Kuc, N.; Kawala, B.; Lis, J.; Sarul, M.; Kotuła, J. The Effect of Corticotomy-Assisted Orthodontic Therapy (CAOT) or Periodontally Accelerated Osteogenic Orthodontics (PAOO) on Bone Remodeling and the Health of Periodontium: A Systematic Review of Systematic Reviews. J. Clin. Med. 2024, 13, 5726. [Google Scholar] [CrossRef] [PubMed]
- Kuc, A.E.; Sybilski, K.; Stankiewicz, M.; Kotuła, J.; Kuc, N.; Hajduk, G.; Małachowski, J.; Sarul, M. The Influence of Bone Density on Stresses in the Periodontal Ligament During Orthodontic Movement-Finite Element Study on Innovative Model. Materials 2025, 18, 776. [Google Scholar] [CrossRef] [PubMed] [PubMed Central]
- Cattaneo, P.M.; Dalstra, M.; Melsen, B. Moment-to-force ratio, center of rotation, and force level: A finite element study predicting their interdependency for simulated orthodontic loading regimens. Am. J. Orthod. Dentofac. Orthop. 2008, 133, 681–689. [Google Scholar] [CrossRef] [PubMed]
- Wu, J.L.; Liu, Y.F.; Peng, W.; Dong, H.Y.; Zhang, J.X. A biomechanical case study on the optimal orthodontic force on the maxillary canine tooth based on finite element analysis. J. Zhejiang Univ. Sci. B 2018, 19, 535–546. [Google Scholar] [CrossRef] [PubMed] [PubMed Central]
- Kondo, T.; Hotokezaka, H.; Hamanaka, R.; Hashimoto, M.; Nakano-Tajima, T.; Arita, K.; Kurohama, T.; Ino, A.; Tominaga, J.Y.; Yoshida, N. Types of tooth movement, bodily or tipping, do not affect the displacement of the tooth’s center of resistance but do affect the alveolar bone resorption. Angle Orthod. 2017, 87, 563–569. [Google Scholar] [CrossRef] [PubMed] [PubMed Central]
- Liao, Z.; Chen, J.; Li, W.; Darendeliler, M.A.; Swain, M.; Li, Q. Biomechanical investigation into the role of the periodontal ligament in optimising orthodontic force: A finite element case study. Arch. Oral Biol. 2016, 66, 98–107. [Google Scholar] [CrossRef] [PubMed]
- Li, Y.; Zhan, Q.; Bao, M.; Yi, J.; Li, Y. Biomechanical and biological responses of periodontium in orthodontic tooth movement: Up-date in a new decade. Int. J. Oral Sci. 2021, 13, 20. [Google Scholar] [CrossRef] [PubMed] [PubMed Central]
- Holliday, L.S.; Ostrov, D.A.; Wronski, T.J.; Dolce, C. Osteoclast polarization and orthodontic tooth movement. Orthod. Craniofac. Res. 2009, 12, 105–112. [Google Scholar] [CrossRef] [PubMed]
- Meikle, M.C. The tissue, cellular, and molecular regulation of orthodontic tooth movement: 100 years after Carl Sandstedt. Eur. J. Orthod. 2006, 28, 221–240. [Google Scholar] [CrossRef] [PubMed]
- Sperl, A.; Gaalaas, L.; Beyer, J.; Grünheid, T. Buccal alveolar bone changes following rapid maxillary expansion and fixed appliance therapy. Angle Orthod. 2021, 91, 171–177. [Google Scholar] [CrossRef] [PubMed] [PubMed Central]
- Copello, F.M.; Marañón-Vásquez, G.A.; Brunetto, D.P.; Caldas, L.D.; Masterson, D.; Maia, L.C.; Sant’Anna, E.F. Is the buccal alveolar bone less affected by mini-implant assisted rapid palatal expansion than by conventional rapid palatal expansion?—A systematic review and meta-analysis. Orthod. Craniofac. Res. 2020, 23, 237–249. [Google Scholar] [CrossRef] [PubMed]
- Solano Mendoza, P.; Aceytuno Poch, P.; Solano Reina, E.; Solano Mendoza, B. Skeletal, Dentoalveolar and Dental Changes after “Mini-Screw Assisted Rapid Palatal Expansion” Evaluated with Cone Beam Computed Tomography. J. Clin. Med. 2022, 11, 4652. [Google Scholar] [CrossRef] [PubMed]
- Chun, J.H.; de Castro, A.C.R.; Oh, S.; Kim, K.H.; Choi, S.-H.; Nojima, L.I.; da Cunha Goncalves Nojima, M.; Lee, K.-J. Skeletal and alveolar changes in conventional rapid palatal expansion (RPE) and miniscrew-assisted RPE (MARPE): A prospective randomized clinical trial using low-dose CBCT. BMC Oral Health 2022, 22, 114. [Google Scholar] [CrossRef]
- Alan, A.; Kaya, Y.; Sancak, K. Mid-facial skeletal and soft tissue changes after maxillary skeletal expander application: A retrospective CBCT study. BMC Oral Health 2025, 25, 1168. [Google Scholar] [CrossRef]
- Cattaneo, P.M.; Dalstra, M.; Melsen, B. The finite element method: A tool to study orthodontic tooth movement. J. Dent. Res. 2005, 84, 428–433. [Google Scholar] [CrossRef] [PubMed]
- Webb, K.; Hitchcock, R.W.; Smeal, R.M.; Li, W.; Gray, S.D.; Tresco, P.A. Cyclic strain increases fibroblast proliferation, matrix accumulation, and elastic modulus of fibroblast-seeded polyurethane constructs. J. Biomech. 2006, 39, 1136–1144. [Google Scholar] [CrossRef] [PubMed]
- Frost, H.M. A 2003 update of bone physiology and Wolff’s Law for clinicians. Angle Orthod. 2004, 74, 3–15. [Google Scholar] [CrossRef]
- Ilizarov, G.A. The tension-stress effect on the genesis and growth of tissues. Part I. The influence of stability of fixation and soft-tissue preservation. Clin. Orthop. Relat. Res. 1989, 238, 249–281. [Google Scholar] [CrossRef] [PubMed]
- Kuc, A.E.; Kotuła, J.; Nawrocki, J.; Szeląg, E.; Kawala, B.; Lis, J.; Sarul, M. Morphological Evaluation of the Incisive Canal in the Aspect of the Diagnosis and Planning of Orthodontic Treatment—CBCT Study. Appl. Sci. 2023, 13, 12010. [Google Scholar] [CrossRef]
- Fu, H.D.; Wang, B.K.; Wan, Z.Q.; Lin, H.; Chang, M.L.; Han, G.L. Wnt5a mediated canonical Wnt signaling pathway activation in orthodontic tooth movement: Possible role in the tension force-induced bone formation. J. Mol. Histol. 2016, 47, 455–466. [Google Scholar] [CrossRef] [PubMed]
- Lu, J.; Duan, Y.; Zhang, M.; Wu, M.; Wang, Y. Expression of Wnt3a, Wnt10b, β-catenin and DKK1 in periodontium during orthodontic tooth movement in rats. Acta Odontol. Scand. 2016, 74, 217–223. [Google Scholar] [CrossRef] [PubMed]
- Tanne, K.; Inoue, Y.; Sakuda, M. Biomechanical behavior of the periodontium before and after orthodontic tooth movement. Angle Orthod. 1995, 65, 123–128. [Google Scholar] [CrossRef] [PubMed]
- Yamaguchi, M.; Kasai, K. Inflammation in periodontal tissues in response to mechanical forces. Arch. Immunol. Ther. Exp. 2005, 53, 388–398. [Google Scholar] [PubMed]
- Kitaura, H.; Ohori, F.; Marahleh, A.; Ma, J.; Lin, A.; Fan, Z.; Narita, K.; Murakami, K.; Kanetaka, H. The Role of Cytokines in Orthodontic Tooth Movement. Int. J. Mol. Sci. 2025, 26, 6688. [Google Scholar] [CrossRef] [PubMed] [PubMed Central]
- Renkema, A.M.; Navratilova, Z.; Mazurova, K.; Katsaros, C.; Fudalej, P.S. Gingival labial recessions and the post-treatment proclination of mandibular incisors. Eur. J. Orthod. 2015, 37, 508–513. [Google Scholar] [CrossRef] [PubMed]
- Li, M.; Zhang, C.; Yang, Y. Effects of mechanical forces on osteogenesis and osteoclastogenesis in human periodontal ligament fibroblasts: A systematic review of in vitro studies. Bone Jt. Res. 2019, 8, 19–31. [Google Scholar] [CrossRef] [PubMed] [PubMed Central]
- Milkiewicz, M.; Doyle, J.L.; Fudalewski, T.; Ispanovic, E.; Aghasi, M.; Haas, T.L. HIF-1alpha and HIF-2alpha play a central role in stretch-induced but not shear-stress-induced angiogenesis in rat skeletal muscle. J. Physiol. 2007, 583, 753–766. [Google Scholar] [CrossRef] [PubMed] [PubMed Central]
- Kim, J.H.; Park, Y.D.; Kim, Y.I.; Kim, S.J. Effects of cyclic tension on the expression of angiogenic factors in human periodontal ligament fibroblasts. J. Periodontol. 2012, 83, 918–926. [Google Scholar] [CrossRef]
- Wang, G.G.; Wang, Y.Z.; Xie, J.; Huang, C.Y.; Kong, Z.L.; Ding, X.; Liu, J.S. Cyclic tensile forces enhance the angiogenic properties of HUVECs by promoting the activities of human periodontal ligament cells. J. Periodontol. 2021, 92, 159–169. [Google Scholar] [CrossRef] [PubMed]
- Heo, J.S.; Lee, S.Y.; Lee, J.C. Wnt/β-catenin signaling enhances osteoblastogenic differentiation from human periodontal ligament fibroblasts. Mol. Cells. 2010, 30, 449–454. [Google Scholar] [CrossRef] [PubMed]
- Wang, K.; Xu, C.; Xie, X.; Jing, Y.; Chen, P.J.; Yadav, S.; Wang, Z.; Taylor, R.W.; Wang, J.; Feng, J.Q. Axin2+ PDL Cells Directly Contribute to New Alveolar Bone Formation in Response to Orthodontic Tension Force. J. Dent. Res. 2022, 101, 695–703. [Google Scholar] [CrossRef] [PubMed] [PubMed Central]
- Li, G.; Simpson, A.H.; Kenwright, J.; Triffitt, J.T. Assessment of cell proliferation in regenerating bone during distraction osteogenesis at different distraction rates. J. Orthop. Res. 1997, 15, 765–772. [Google Scholar] [CrossRef] [PubMed]
- Mu, C.; Lv, T.; Wang, Z.; Ma, S.; Ma, J.; Liu, J.; Yu, J.; Mu, J. Mechanical stress stimulates the osteo/odontoblastic differentiation of human stem cells from apical papilla via erk 1/2 and JNK MAPK pathways. Biomed Res. Int. 2014, 2014, 494378. [Google Scholar] [CrossRef] [PubMed] [PubMed Central]
- He, Y.B.; Liu, S.Y.; Deng, S.Y.; Kuang, L.P.; Xu, S.Y.; Li, Z.; Xu, L.; Liu, W.; Ni, G.X. Mechanical Stretch Promotes the Osteogenic Differentiation of Bone Mesenchymal Stem Cells Induced by Erythropoietin. Stem Cells Int. 2019, 2019, 1839627. [Google Scholar] [CrossRef] [PubMed] [PubMed Central]
- Ren, D.; Wei, F.; Hu, L.; Yang, S.; Wang, C.; Yuan, X. Phosphorylation of Runx2, induced by cyclic mechanical tension via ERK1/2 pathway, contributes to osteodifferentiation of human periodontal ligament fibroblasts. J. Cell Physiol. 2015, 230, 2426–2436. [Google Scholar] [CrossRef] [PubMed]
- Konstantonis, D.; Papadopoulou, A.; Makou, M.; Eliades, T.; Basdra, E.; Kletsas, D. The role of cellular senescence on the cyclic stretching-mediated activation of MAPK and ALP expression and activity in human periodontal ligament fibroblasts. Exp. Gerontol. 2014, 57, 175–180. [Google Scholar] [CrossRef] [PubMed]
- Guo, Y.; Zhang, C.Q.; Zeng, Q.C.; Li, R.X.; Liu, L.; Hao, Q.X.; Shi, C.H.; Zhang, X.Z.; Yan, Y.X. Mechanical strain promotes osteoblast ECM formation and improves its osteoinductive potential. Biomed Eng. Online 2012, 11, 80. [Google Scholar] [CrossRef] [PubMed] [PubMed Central]
- Zeng, Z.; Yin, X.; Zhang, X.; Jing, D.; Feng, X. Cyclic stretch enhances bone morphogenetic protein-2-induced osteoblastic differentiation through the inhibition of Hey1. Int. J. Mol. Med. 2015, 36, 1273–1281. [Google Scholar] [CrossRef] [PubMed] [PubMed Central]
- Chen, X.; Liu, Y.; Ding, W.; Shi, J.; Li, S.; Liu, Y.; Wu, M.; Wang, H. Mechanical stretch-induced osteogenic differentiation of human jaw bone marrow mesenchymal stem cells (hJBMMSCs) via inhibition of the NF-κB pathway. Cell Death Dis. 2018, 9, 207, Erratum in Cell Death Dis. 2025, 16, 544. https://doi.org/10.1038/s41419-025-07763-1. [Google Scholar] [CrossRef] [PubMed] [PubMed Central]
- Rodriguez, D.E.; Thula-Mata, T.; Toro, E.J.; Yeh, Y.W.; Holt, C.; Holliday, L.S.; Gower, L.B. Multifunctional role of osteopontin in directing intrafibrillar mineralization of collagen and activation of osteoclasts. Acta Biomater. 2014, 10, 494–507. [Google Scholar] [CrossRef] [PubMed] [PubMed Central]
- Kostina, D.; Lobov, A.; Klausen, P.; Karelkin, V.; Tikhilov, R.; Bozhkova, S.; Sereda, A.; Ryumina, N.; Enukashvily, N.; Malashicheva, A. Isolation of Human Osteoblast Cells Capable for Mineralization and Synthetizing Bone-Related Proteins In Vitro from Adult Bone. Cells 2022, 11, 3356. [Google Scholar] [CrossRef]
- Redlich, M.; Shoshan, S.; Palmon, A. Gingival response to orthodontic force. Am. J. Orthod. Dentofac. Orthop. 1999, 116, 152–158. [Google Scholar] [CrossRef] [PubMed]
- Franchi, M.; D’Aloya, U.; De Pasquale, V.; Caldini, E.; Graziani, E.; Borea, G.; Ruggeri, A. Ultrastructural changes of collagen and elastin in human gingiva during orthodontic tooth movement. Bull Group Int. Rech. Sci. Stomatol. Odontol. 1989, 32, 139–143. [Google Scholar] [PubMed]
- Li, Z.; Yu, M.; Jin, S.; Wang, Y.; Luo, R.; Huo, B.; Liu, D.; He, D.; Zhou, Y.; Liu, Y. Stress Distribution and Collagen Remodeling of Periodontal Ligament During Orthodontic Tooth Movement. Front. Pharmacol. 2019, 10, 1263. [Google Scholar] [CrossRef] [PubMed] [PubMed Central]
- Hafiedz Maulana, N. The Role of Periodontal Ligament Remodeling on Orthodontic Tooth Movement. Int. J. Med. Sci. Clin. Res. Stud. 2023, 3, 18. [Google Scholar] [CrossRef]
- Kuc, A.E.; Sybilski, K.; Kotuła, J.; Hajduk, G.; Sulewska, M.; Saternus, S.; Kulikowska-Kulesza, J.E.; Kotarska, M.; Kawala, B.; Małachowski, J.; et al. Corticotomy Depth as a Modulator of Orthodontic Tooth Movement and PDL Stress—A Finite Element Study. Materials 2025, 18, 5290. [Google Scholar] [CrossRef]
- Du, Y.; Zheng, J.; Xu, B.; Peng, C.; Yang, K. Piezo1 participates in the tension-driven osteogenic differentiation of periodontal ligament stem cells. BMC Oral Health. 2025, 25, 1155. [Google Scholar] [CrossRef] [PubMed]
- Mao, Y.; Wang, L.; Zhu, Y.; Liu, Y.; Dai, H.; Zhou, J.; Geng, D.; Wang, L.; Ji, Y. Tension force-induced bone formation in orthodontic tooth movement via modulation of the GSK-3β/β-catenin signaling pathway. J. Mol. Histol. 2018, 49, 75–84. [Google Scholar] [CrossRef] [PubMed] [PubMed Central]
- Shen, T.; Qiu, L.; Chang, H.; Yang, Y.; Jian, C.; Xiong, J.; Zhou, J.; Dong, S. Cyclic tension promotes osteogenic differentiation in human periodontal ligament stem cells. Int. J. Clin. Exp. Pathol. 2014, 7, 7872–7880. [Google Scholar] [PubMed] [PubMed Central]
- Yang, Y.; Wang, B.K.; Chang, M.L.; Wan, Z.Q.; Han, G.L. Cyclic Stretch Enhances Osteogenic Differentiation of Human Periodontal Ligament Cells via YAP Activation. Biomed Res. Int. 2018, 2018, 2174824. [Google Scholar] [CrossRef] [PubMed] [PubMed Central]
- Wang, W.; Wang, M.; Guo, X.; Zhao, Y.; Ahmed, M.M.S.; Qi, H.; Chen, X. Effect of Tensile Frequency on the Osteogenic Differentiation of Periodontal Ligament Stem Cells. Int. J. Gen. Med. 2022, 15, 5957–5971. [Google Scholar] [CrossRef] [PubMed] [PubMed Central]
- Hao, Z.; Ma, Y.; Wu, J.; Chen, X.L.H.; Shen, J.; Wang, H. Osteocytes regulate osteoblast differentiation and osteoclast activity through Interleukin-6 under mechanical loading. RSC Adv. 2017, 7, 50200–50209. [Google Scholar] [CrossRef]
- Du, J.; Yang, J.; He, Z.; Cui, J.; Yang, Y.; Xu, M.; Qu, X.; Zhao, N.; Yan, M.; Li, H.; et al. Osteoblast and Osteoclast Activity Affect Bone Remodeling Upon Regulation by Mechanical Loading-Induced Leukemia Inhibitory Factor Expression in Osteocytes. Front. Mol. Biosci. 2020, 7, 585056. [Google Scholar] [CrossRef] [PubMed] [PubMed Central]
- Kulkarni, R.N.; Bakker, A.D.; Everts, V.; Klein-Nulend, J. Inhibition of Osteoclastogenesis by Mechanically Loaded Osteocytes: Involvement of MEPE. Calcif. Tissue Int. 2010, 87, 461–468. [Google Scholar] [CrossRef]
- Chang, Y.; Koenig, L.J.; Pruszynski, J.E.; Bradley, T.G.; Bosio, J.A.; Liu, D. Dimensional changes of upper airway after rapid maxillary expansion: A prospective cone-beam computed tomography study. Am. J. Orthod. Dentofac. Orthop. 2013, 143, 462–470. [Google Scholar] [CrossRef] [PubMed]
- Akin, M.; Baka, Z.M.; Ileri, Z.; Basciftci, F.A. Alveolar bone changes after asymmetric rapid maxillary expansion. Angle Orthod. 2015, 85, 799–805. [Google Scholar] [CrossRef] [PubMed] [PubMed Central]
- Giudice, A.L.; Spinuzza, P.; Rustico, L.; Messina, G.; Nucera, R. Short-term treatment effects produced by rapid maxillary expansion evaluated with computed tomography: A systematic review with meta-analysis. Korean J. Orthod. 2020, 50, 314–323. [Google Scholar] [CrossRef] [PubMed] [PubMed Central]
- Baysal, A.; Uysal, T.; Veli, I.; Ozer, T.; Karadede, I.; Hekimoglu, S. Evaluation of alveolar bone loss following rapid maxillary expansion using cone-beam computed tomography. Korean J. Orthod. 2013, 43, 83–95. [Google Scholar] [CrossRef] [PubMed] [PubMed Central]
- Romano, F.L.; Sverzut, C.E.; Trivellato, A.E.; Saraiva, M.C.P.; Nguyen, T.T. Alveolar defects before and after surgically assisted rapid palatal expansion (SARPE): A CBCT assessment. Dental Press J. Orthod. 2022, 27, e2219299. [Google Scholar] [CrossRef] [PubMed] [PubMed Central]
- Tunca, Y.; Kaya, S.; Bilen, S.; Tunca, M. Evaluation of bone thickness, presence of dehiscence and fenestration in maxillary and mandibular anterior teeth of individuals with various malocclusions: A cone-beam computed tomography study. BMC Oral Health. 2025, 25, 1771. [Google Scholar] [CrossRef] [PubMed] [PubMed Central]
- Knabe, C.; Nicklin, S.; Yu, Y.; Walsh, W.R.; Radlanski, R.J.; Marks, C.; Hoffmeister, B. Growth factor expression following clinical mandibular distraction osteogenesis in humans and its comparison with existing animal studies. J. Craniomaxillofac. Surg. 2005, 33, 361–369. [Google Scholar] [CrossRef] [PubMed]
- Tavakoli, K.; Yu, Y.; Shahidi, S.; Bonar, F.; Walsh, W.R.; Poole, M.D. Expression of growth factors in the mandibular distraction zone: A sheep study. Br. J. Plast. Surg. 1999, 52, 434–439. [Google Scholar] [CrossRef] [PubMed]
- Sato, M.; Ochi, T.; Nakase, T.; Hirota, S.; Kitamura, Y.; Nomura, S.; Yasui, N. Mechanical tension-stress induces expression of bone morphogenetic protein (BMP)-2 and BMP-4, but not BMP-6, BMP-7, and GDF-5 mRNA, during distraction osteogenesis. J. Bone Miner. Res. 1999, 14, 1084–1095. [Google Scholar] [CrossRef] [PubMed]
- Liu, P.; Tu, J.; Wang, W.; Li, Z.; Li, Y.; Yu, X.; Zhang, Z. Effects of Mechanical Stress Stimulation on Function and Expression Mechanism of Osteoblasts. Front. Bioeng. Biotechnol. 2022, 10, 830722. [Google Scholar] [CrossRef] [PubMed] [PubMed Central]
- Rui, Y.F.; Lui, P.P.; Ni, M.; Chan, L.S.; Lee, Y.W.; Chan, K.M. Mechanical loading increased BMP-2 expression which promoted osteogenic differentiation of tendon-derived stem cells. J. Orthop. Res. 2011, 29, 390–396. [Google Scholar] [CrossRef] [PubMed]
- Kopf, J.; Petersen, A.; Duda, G.N.; Knaus, P. BMP2 and mechanical loading cooperatively regulate immediate early signalling events in the BMP pathway. BMC Biol. 2012, 10, 37. [Google Scholar] [CrossRef]
- Görlitz, S.; Brauer, E.; Günther, R.; Duda, G.N.; Knaus, P.; Petersen, A. Temporal regulation of BMP2 growth factor signaling in response to mechanical loading is linked to cytoskeletal and focal adhesion remodeling. Commun. Biol. 2024, 7, 1064. [Google Scholar] [CrossRef]
- Li, R.; Liang, L.; Dou, Y.; Huang, Z.; Mo, H.; Wang, Y.; Yu, B. Mechanical strain regulates osteogenic and adipogenic differentiation of bone marrow mesenchymal stem cells. Biomed. Res. Int. 2015, 2015, 873251. [Google Scholar] [CrossRef] [PubMed] [PubMed Central]
- Zhang, P.; Dai, Q.; Ouyang, N.; Yang, X.; Wang, J.; Zhou, S.; He, N.; Fang, B.; Jiang, L. Mechanical Strain Promotes Osteogenesis of BMSCs from Ovariectomized Rats via the ERK1/2 but not p38 or JNK-MAPK Signaling Pathways. Curr. Mol. Med. 2015, 15, 780–789. [Google Scholar] [CrossRef] [PubMed]
- Jiang, Y.; Wang, Y.; Tang, G. Cyclic tensile strain promotes the osteogenic differentiation of a bone marrow stromal cell and vascular endothelial cell co-culture system. Arch. Biochem. Biophys. 2016, 607, 37–43. [Google Scholar] [CrossRef] [PubMed]
- Narimiya, T.; Wada, S.; Kanzaki, H.; Ishikawa, M.; Tsuge, A.; Yamaguchi, Y.; Nakamura, Y. Orthodontic tensile strain induces angiogenesis via type IV collagen degradation by matrix metalloproteinase-12. J. Periodontal. Res. 2017, 52, 842–852. [Google Scholar] [CrossRef] [PubMed]
- Nowak, R.; Olejnik, A.; Gerber, H.; Frątczak, R.; Zawiślak, E. Comparison of Tooth- and Bone-Borne Appliances on the Stress Distributions and Displacement Patterns in the Facial Skeleton in Surgically Assisted Rapid Maxillary Expansion—A Finite Element Analysis (FEA) Study. Materials 2021, 14, 1152. [Google Scholar] [CrossRef]
- Seddiqi, H.; Klein-Nulend, J.; Jin, J. Osteocyte Mechanotransduction in Orthodontic Tooth Movement. Curr. Osteoporos. Rep. 2023, 21, 731–742. [Google Scholar] [CrossRef]
- Mulimani, P.; Mazzawi, N.A.; Goldstein, A.J.; Obenaus, A.M.; Baggett, S.M.; Truong, D.; Popowics, T.E.; Sniadecki, N.J. Engineered 3D Periodontal Ligament Model with Magnetic Tensile Loading. J. Dent. Res. 2024, 103, 1008–1016. [Google Scholar] [CrossRef] [PubMed] [PubMed Central]
- Ma, Q.; Miri, Z.; Haugen, H.J.; Moghanian, A.; Loca, D. Significance of mechanical loading in bone fracture healing, bone regeneration, and vascularization. J. Tissue Eng. 2023, 14, 20417314231172573. [Google Scholar] [CrossRef] [PubMed] [PubMed Central]
- Frost, H.M. The regional acceleratory phenomenon: A review. Henry Ford Hosp. Med. J. 1983, 31, 3–9. [Google Scholar] [PubMed]
- Apalimova, A.; Roselló, À.; Jané-Salas, E.; Arranz-Obispo, C.; Marí-Roig, A.; López-López, J. Corticotomy in orthodontic treatment: Systematic review. Heliyon 2020, 6, e04013. [Google Scholar] [CrossRef] [PubMed] [PubMed Central]
- Wu, Y.F.; Guo, H.M. The effect of corticotomy on the compensatory remodeling of alveolar bone during orthodontic treatment. BMC Oral Health 2021, 21, 134. [Google Scholar] [CrossRef]
- Patterson, B.M.; Dalci, O.; Darendeliler, M.A.; Papadopoulou, A.K. Corticotomies and Orthodontic Tooth Movement: A Systematic Review. J. Oral Maxillofac. Surg. 2016, 74, 453–473. [Google Scholar] [CrossRef] [PubMed]





| Parameter | Conventional Mechanics | Corticotomy Alone | BPS Mechanics |
|---|---|---|---|
| Crown–root movement pattern | Tipping-dominated (crown ≫ apex; cervical and apical nodes often in opposite directions) | Tipping-dominated (greater overall displacement, but same tipping pattern) | Translation-dominated (crown and apex move buccally in the same direction with reduced crown–apex discrepancy) |
| Marginal buccal PDL loading | Continuous band of high compression along the cervical third | Continuous band of high compression along the cervical third | Marginal buccal PDL largely off-loaded or in low-load / mild tensile range |
| Buccal cortical surface (cervical region) | Heavily loaded, compression-dominant | Heavily loaded, compression-dominant | Off-loaded compared with conventional; no continuous cervical compression belt |
| Location of peak compressive stresses | Concentrated at marginal buccal PDL and buccal cortical plate | Concentrated at marginal buccal PDL and buccal cortical plate | Shifted deeper within the alveolar housing, away from the thin buccal plate |
| Buccal tensile zone on expansion side | Absent | Absent | Present; continuous tensile band along the buccal aspect of the root |
| Scenario (Figure) | E (GPa) | Crown Disp. at t = 1.0 (µm) | Apex Disp. at t = 1.0 (µm) | Pattern |
|---|---|---|---|---|
| No corticotomy | 12.5 | +2.25 | −0.36 | tipping-dominant (opposite sign) |
| No corticotomy | 27.5 | +1.75 | −0.34 | tipping-dominant (opposite sign) |
| 3 mm corticotomy | 12.5 | +2.85 | −0.30 | tipping-dominant (opposite sign) |
| 3 mm corticotomy | 27.5 | +2.10 | −0.30 | tipping-dominant (opposite sign) |
| BPS | 12.5 | +1.60 | +0.70 | translation-dominant (same sign) |
| BPS | 27.5 | +2.00 | +0.20 | translation-dominant (same sign) |
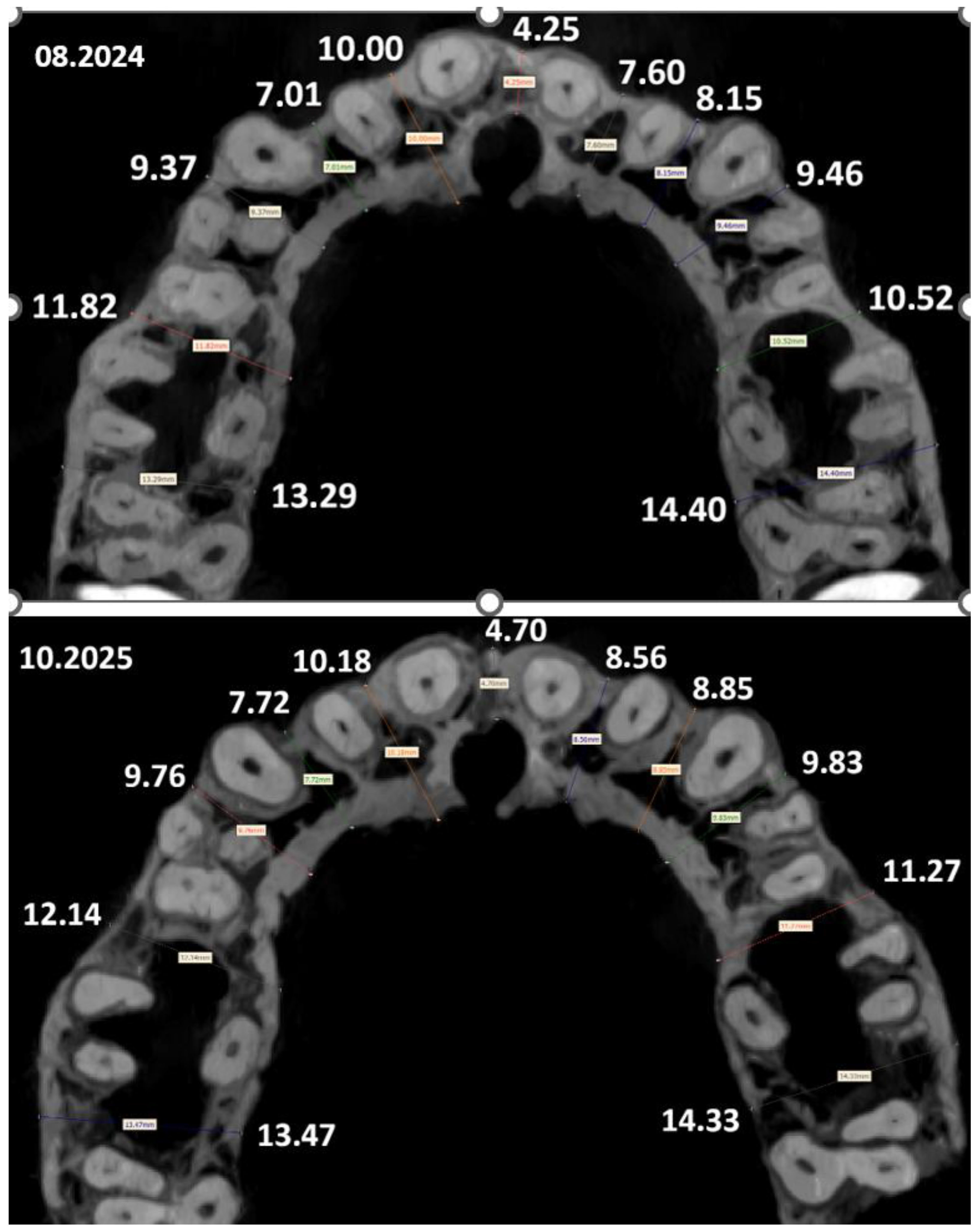
| Maxilla | |||
| Segment | August 2024 (mm) | October 2025 (mm) | Change (mm) |
| 1 | 11.82 | 12.14 | +0.32 |
| 2 | 9.37 | 9.76 | +0.39 |
| 3 | 7.01 | 7.72 | +0.71 |
| 4 | 10.00 | 10.18 | +0.18 |
| 5 | 4.25 | 4.70 | +0.45 |
| 6 | 7.60 | 8.56 | +0.96 |
| 7 | 8.15 | 8.85 | +0.70 |
| 8 | 9.46 | 9.83 | +0.37 |
| 9 | 10.52 | 11.27 | +0.75 |
| 10 | 14.40 | 14.33 | −0.07 |
| 11 | 13.29 | 13.47 | +0.18 |
| Mandibulae | |||
| Segment | August 2024 (mm) | October 2025 (mm) | Change (mm) |
| 1 | 11.13 | 11.74 | +0.61 |
| 2 | 8.33 | 8.33 | 0.00 |
| 3 | 7.62 | 7.92 | +0.30 |
| 4 | 5.83 | 7.00 | +1.17 |
| 5 | 5.84 | 7.38 | +1.54 |
| 6 | 5.86 | 6.68 | +0.82 |
| 7 | 5.78 | 7.23 | +1.45 |
| 8 | 5.48 | 6.54 | +1.06 |
| 9 | 7.63 | 7.59 | −0.04 |
| 10 | 7.64 | 7.95 | +0.31 |
| 11 | 11.41 | 10.59 | −0.82 |
| 12 | 12.84 | 12.08 | −0.76 |
| No. | Pre (mm) | Post (mm) | Δ (Post–Pre) (mm) |
|---|---|---|---|
| 1 | 1.07 | 1.03 | −0.04 |
| 2 | 0.87 | 1.03 | 0.16 |
| 3 | 0.45 | 0.53 | 0.08 |
| 4 | 0.38 | 1.05 | 0.67 |
| 5 | 0.18 | 0.42 | 0.24 |
| 6 | 0.31 | 0.48 | 0.17 |
| 7 | 0.30 | 0.47 | 0.17 |
| 8 | 0.50 | 0.75 | 0.25 |
| 9 | 0.77 | 1.07 | 0.30 |
| 10 | 0.33 | 0.57 | 0.24 |
| 11 | 0.60 | 0.70 | 0.10 |
| 12 | 0.25 | 0.41 | 0.16 |
| 13 | 0.38 | 0.81 | 0.43 |
| 14 | 0.37 | 0.61 | 0.24 |
| 15 | 0.80 | 1.35 | 0.55 |
| 16 | 1.11 | 1.28 | 0.17 |
Disclaimer/Publisher’s Note: The statements, opinions and data contained in all publications are solely those of the individual author(s) and contributor(s) and not of MDPI and/or the editor(s). MDPI and/or the editor(s) disclaim responsibility for any injury to people or property resulting from any ideas, methods, instructions or products referred to in the content. |
© 2026 by the authors. Licensee MDPI, Basel, Switzerland. This article is an open access article distributed under the terms and conditions of the Creative Commons Attribution (CC BY) license.
Share and Cite
Kuc, A.E.; Kotuła, J.; Sybilski, K.; Saternus, S.; Małachowski, J.; Kuc, N.; Hajduk, G.; Lis, J.; Kawala, B.; Sarul, M.; et al. Tension-Dominant Orthodontic Loading and Buccal Periodontal Phenotype Preservation: An Integrative Mechanobiological Model Supported by FEM and a Proof-of-Concept CBCT. J. Funct. Biomater. 2026, 17, 47. https://doi.org/10.3390/jfb17010047
Kuc AE, Kotuła J, Sybilski K, Saternus S, Małachowski J, Kuc N, Hajduk G, Lis J, Kawala B, Sarul M, et al. Tension-Dominant Orthodontic Loading and Buccal Periodontal Phenotype Preservation: An Integrative Mechanobiological Model Supported by FEM and a Proof-of-Concept CBCT. Journal of Functional Biomaterials. 2026; 17(1):47. https://doi.org/10.3390/jfb17010047
Chicago/Turabian StyleKuc, Anna Ewa, Jacek Kotuła, Kamil Sybilski, Szymon Saternus, Jerzy Małachowski, Natalia Kuc, Grzegorz Hajduk, Joanna Lis, Beata Kawala, Michał Sarul, and et al. 2026. "Tension-Dominant Orthodontic Loading and Buccal Periodontal Phenotype Preservation: An Integrative Mechanobiological Model Supported by FEM and a Proof-of-Concept CBCT" Journal of Functional Biomaterials 17, no. 1: 47. https://doi.org/10.3390/jfb17010047
APA StyleKuc, A. E., Kotuła, J., Sybilski, K., Saternus, S., Małachowski, J., Kuc, N., Hajduk, G., Lis, J., Kawala, B., Sarul, M., & Sulewska, M. (2026). Tension-Dominant Orthodontic Loading and Buccal Periodontal Phenotype Preservation: An Integrative Mechanobiological Model Supported by FEM and a Proof-of-Concept CBCT. Journal of Functional Biomaterials, 17(1), 47. https://doi.org/10.3390/jfb17010047

