Stress–Strain State Investigation and Ultimate Load on Femoral Implants Based on S-Type Ti6Al4V Titanium Alloy
Abstract
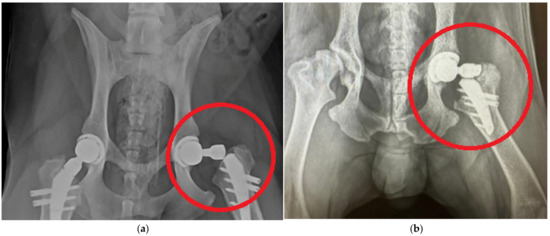
1. Introduction
2. Materials and Methods
2.1. Micro-CT Research and Restoration of 3D Geometry
2.2. Numerical Modelling
2.2.1. Core Methods
2.2.2. Strength Criterion
2.2.3. Loads and Supports
- The stem is inserted into the bone tissue without the use of adhesive cement; over time, the bone tissue “grows” around the prosthesis and provides a strong bond. Additionally, fixation with bicortical screws can be used.
3. Results and Discussion
4. Conclusions
- Using micro-tomography in vertical stitching mode, scanning with additional optical magnification to achieve increased resolution, a three-dimensional image of the implant is reconstructed.
- Using the re-engineering tools of the Ansys geometric editor, a three-dimensional geometric digital model of the implant is obtained from the micro-tomography data, which is subsequently used in the FEM analysis.
- Analysis of the stress–strain state of the bone–implant system revealed zones of potential destruction using the finite element method in the Ansys Mechanical software package.
- The influence of the support rigidity on the prosthesis stem was studied, and it was shown that the support type significantly affects not only the absolute stress values but also the places of their concentration: for an elastic support with a rigidity modulus close to the rigidity modulus of bone tissue, the maximum stress (and, accordingly, the place of a possible fracture) is in the middle of the stem in the area of the holes for the bicortical screws of the endoprosthesis; and for a rigid support, the area of maximum stress values shifts upward under the neck.
- During the study, places with maximum stress concentrators (according to von Mises) were identified, which coincided with the fracture sites of real samples. This fact may indicate that the destruction of the samples occurred not due to manufacturing inaccuracies (cracks, cavities, or inclusions in the material), but as a result of exceeding the maximum loads on the sample.
- For the case of a rigid support, the stress–strain state of the prosthesis was studied, and the maximum load was 30.1 kg.
Author Contributions
Funding
Institutional Review Board Statement
Informed Consent Statement
Data Availability Statement
Acknowledgments
Conflicts of Interest
Abbreviations
| Micro-CT | X-Ray computed microtomography |
| FEM | Finite element method |
Appendix A


References
- Ishak-Samrin, M.; Naina-Mohamed, I.; Zulfarina, M.S.; Abdul Wahid, S.F.; Mohd Don, A.F.; Mohamad, N.; Ramlan, M.K.R.; Badrul, A.H.M.Y. Treatment of Knee Osteoarthritis and Chondral Injury with Umbilical Cord/Wharton’s Jelly-Derived Mesenchymal Stem Cells: A Systematic Review of Safety and Efficacy. J. Funct. Biomater. 2025, 16, 84. [Google Scholar] [CrossRef] [PubMed]
- Blaga, F.N.; Nutiu, A.S.; Lupsa, A.O.; Ghiurau, N.A.; Vlad, S.V.; Ghitea, T.C. Exploring platelet-rich plasma therapy for knee osteoarthritis: An in-depth analysis. J. Funct. Biomater. 2024, 15, 221. [Google Scholar] [CrossRef] [PubMed]
- Decade of Healthy Ageing. The Global Strategy and Action Plan on Ageing and Health 2016–2020: Towards a World in Which Everyone Can Live a Long and Healthy Life; WHO Report A73/INF./2; WHO: Geneva, Switzerland, 2020; 6p.
- Organization for Economic Cooperation and Development (OECD). Health at a Glance 2021: OECD Indicators; Organization for Economic Cooperation and Development: Paris, France, 2021. [Google Scholar]
- McDermott, K.W.; Liang, L. Overview of Operating Room Procedures During Inpatient Stays in U.S. Hospitals, 2018; Report No.: 281; Agency for Healthcare Research and Quality: North Bethesda, MD, USA, 2021. [Google Scholar]
- Skopec, L.; Berenson, R.A.; Simon, B.; Papanicolas, I. Variation in processes of care for total hip arthroplasty across high-income countries. Health Aff. Sch. 2024, 2, qxae043. [Google Scholar] [CrossRef]
- Lübbeke, A.; Silman, A.J.; Barea, C.; Prieto-Alhambra, D.; Carr, A.J. Mapping existing hip and knee replacement registries in Europe. Health Policy 2018, 122, 548–557. [Google Scholar] [CrossRef]
- Golubev, G.S.; Kabanov, V.N. Long-term analysis of a series of cases of hip replacement depending on access and type of arthroplasty. Med. Her. South Russ. 2018, 9, 26–34. (In Russian) [Google Scholar] [CrossRef]
- Healthcare in Russia. 2021; Statistical Collection; Rossta: Moscow, Russia, 2021; 171p. (In Russian)
- Johnston, R.C.; Brand, R.A.; Crowninshield, R.D. Reconstruction of the hip. A mathematical approach to determine optimum geometric relationships. JBJS 1979, 61, 639–652. [Google Scholar] [CrossRef]
- Gebauer, D.; Blümel, G.; Lechner, F. The clinical relevance of biomedical research demonstrated by the example of the total hip endoprosthesis. Langenbecks Arch. Chir. 1979, 349, 327–330. [Google Scholar] [CrossRef]
- Crowninshield, R.D.; Brand, R.A.; Johnston, R.C.; Milroy, J.C. An analysis of femoral component stem design in total hip arthroplasty. JBJS 1980, 62, 68–78. [Google Scholar] [CrossRef]
- Shybut, G.T.; Askew, M.J.; Hori, R.Y.; Stulberg, S.D. Computational stress analysis of cup replacement hip arthroplasty. ASAIO J. 1979, 25, 24–27. [Google Scholar] [CrossRef]
- Huiskes, R.; Boeklagen, R. Mathematical shape optimization of hip prosthesis design. J. Biomech. 1989, 22, 793–804. [Google Scholar] [CrossRef]
- Pietrabissa, R.; Raimondi, M.; Di Martino, E. Wear of polyethylene cups in total hip arthroplasty: A parametric mathematical model. Med. Eng. Phys. 1998, 20, 199–210. [Google Scholar] [CrossRef] [PubMed]
- Katoozian, H.; Davy, D.T. Effects of loading conditions and objective function on three-dimensional shape optimization of femoral components of hip endoprostheses. Med. Eng. Phys. 2000, 22, 243–251. [Google Scholar] [CrossRef]
- Razumovskii, E.S.; Shavshukov, V.E. In vitro modeling of the loading of a hip joint endoprosthesis from c/c composite with damaged areas. Russ. J. Biomech. 2024, 28, 15–28. [Google Scholar] [CrossRef]
- Maslov, L.B.; Dmitryuk, A.Y.; Zhmaylo, M.A.; Kovalenko, A.N. Finite element analysis of the stress state of the hip joint endoprothesis while walking. Russ. J. Biomech. 2021, 25, 414–433. [Google Scholar] [CrossRef]
- Gueiral, N.; Nogueira, E. Total Hip Arthroplasty Modelling and Load Simulation, in COMSOL Multiphysics. In Current and Future Trends in Health and Medical Informatics; Springer Nature: Cham, Switzerland, 2023; pp. 319–342. [Google Scholar]
- Bolshakov, P.; Kuchumov, A.G.; Kharin, N.; Akifyev, K.; Statsenko, E.; Silberschmidt, V.V. Method of computational design for additive manufacturing of hip endoprosthesis based on basic-cell concept. Int. J. Numer. Methods Biomed. Eng. 2024, 40, e3802. [Google Scholar] [CrossRef]
- Cowin, S.C.; Hart, R.T.; Balser, J.R.; Kohn, D.H. Functional adaptation in long bones: Establishing in vivo values for surface remodeling rate coefficients. J. Biomech. 1985, 18, 665–684. [Google Scholar] [CrossRef]
- Ruggiero, A.; Sicilia, A. Total Hip Replacement Response to a Variation of the Radial Clearance Through In Silico Models. In Mechanical Engineering in Biomedical Applications: Bio-3D Printing, Biofluid Mechanics, Implant Design, Biomaterials, Computational Biomechanics, Tissue Mechanics; John Wiley & Sons, Inc.: Hoboken, NJ, USA, 2024; pp. 185–229. [Google Scholar]
- Karthik, B.D.; Panneerselvam, D.; Sharma, H.; Srinivasan, N.R.; Vaishnavi, J.C.; Michael, T.C.; Jebaseelan, D.D. Finite element analysis of endoprosthesis cup with porous titanium. Mater. Today Proc. 2023; article in press. [Google Scholar]
- Naghavi, S.A.; Tamaddon, M.; Garcia-Souto, P.; Moazen, M.; Taylor, S.; Hua, J.; Liu, C. A novel hybrid design and modelling of a customised graded Ti-6Al-4V porous femoral implant to reduce stress-shielding: An experimental and numerical analysis. Front. Bioeng. Biotechnol. 2023, 11, 1092361. [Google Scholar] [CrossRef]
- Jamari, J.; Ammarullah, M.I.; Saad, A.P.M.; Syahrom, A.; Uddin, M.; van der Heide, E.; Basri, H. The effect of bottom profile dimples on the femoral head on wear in metal-on-metal total hip arthroplasty. J. Funct. Biomater. 2021, 12, 38. [Google Scholar] [CrossRef]
- Abdullah, A.H.; Todo, M. Prediction of Bone Mineral Density (BMD) Adaptation in Pelvis–Femur Model with Hip Arthroplasties. J. Funct. Biomater. 2021, 12, 49. [Google Scholar] [CrossRef]
- Soliman, M.M.; Chowdhury, M.E.; Islam, M.T.; Musharavati, F.; Nabil, M.; Hafizh, M.; Khandakar, A.; Mahmud, S.; Zal Nezhad, E.; Islam, S.; et al. A review of biomaterials and associated performance metrics analysis in pre-clinical finite element model and in implementation stages for total femoral implant system. Polymers 2022, 14, 4308. [Google Scholar] [CrossRef]
- Marongiu, G.; Leinardi, L.; Antuofermo, S.M.; Pili, A.; Verona, M.; Kendoff, D.; Zampogna, B.; Capone, A. Proximal femoral defect classifications in revision total hip arthroplasty from X-rays imaging to advanced 3D imaging: A narrative review. Ann. Jt. 2024, 9, 18. [Google Scholar] [CrossRef] [PubMed]
- Luo, Y.; Sheng, H.; Zhou, Y.; Min, L.; Tu, C.; Luo, Y. Modular hemipelvic prosthesis preserves normal biomechanics and showed good compatibility: A finite element analysis. J. Funct. Biomater. 2024, 15, 276. [Google Scholar] [CrossRef] [PubMed]
- Tomé, I.; Alves-Pimenta, S.; Sargo, R.; Pereira, J.; Colaço, B.; Brancal, H.; Costa, L.; Ginja, M. Mechanical osteoarthritis of the hip in a one medicine concept: A narrative review. BMC Vet. Res. 2023, 19, 222. [Google Scholar] [CrossRef]
- Loder, R.T.; Todhunter, R.J. The demographics of canine hip dysplasia in the United States and Canada. J. Vet. Med. 2017, 1, 5723476. [Google Scholar] [CrossRef]
- Shahar, R.; Banks-Sills, L.; Eliasy, R. Stress and strain distribution in the intact canine femur: Finite element analysis. Med. Eng. Phys. 2003, 25, 387–395. [Google Scholar] [CrossRef]
- Shahar, R.; Banks-Sills, L.; Eliasy, R. Mechanics of the canine femur with two types of hip replacement stems. Vet. Comp. Orthop. Traumatol. 2003, 16, 145–152. [Google Scholar]
- Zanetti, E.M.; Terzini, M.; Mossa, L.; Bignardi, C.; Costa, P.; Audenino, A.L.; Vezzoni, A. A structural numerical model for the optimization of double pelvic osteotomy in the early treatment of canine hip dysplasia. Vet. Comp. Orthop. Traumatol. 2017, 30, 256–264. [Google Scholar]
- McCartney, W.; MacDonald, B.; Ober, C.A.; Lostado-Lorza, R.; Gómez, F.S. Pelvic modelling and the comparison between plate position for double pelvic osteotomy using artificial cancellous bone and finite element analysis. BMC Vet. Res. 2018, 14, 100. [Google Scholar] [CrossRef]
- du Plessis, A.; le Roux, S.G.; Booysen, G.; Els, J. Quality control of a laser additive manufactured medical implant by X-ray tomography. 3D Print. Addit. Manuf. 2016, 3, 175–182. [Google Scholar] [CrossRef]
- Sadyrin, E.V.; Nikolaev, A.L.; Chapek, S.V.; Nazarenko, D.V.; Aizikovich, S.M.; Wang, Y.C. Manufacturing Quality Evaluation of Photopolymer Resin 3D-Printed Scaffolds Using Microtomography. In Sixty Shades of Generalized Continua: Dedicated to the 60th Birthday of Prof. Victor A. Eremeyev; Springer International Publishing: Cham, Switzerland, 2023; pp. 619–630. [Google Scholar]
- Orhan, K.; Büyüksungur, A. Fundamentals of Micro-CT Imaging. In Micro-Computed Tomography (Micro-CT) in Medicine and Engineering; Springer: Cham, Switzerland, 2020; pp. 27–33. [Google Scholar]
- Zelentsov, V.B.; Sadyrin, E.V.; Mitrin, B.I.; Swain, M.V. Mathematical tools for recovery of the load on the fissure according to the micro-CT results. J. Mech. Behav. Biomed. Mater. 2023, 138, 105625. [Google Scholar] [CrossRef]
- Macedo, L.G.; Mulinari-Santos, G.; Siqueira, N.B.D.; Pitol-Palin, L.; Silva, A.C.E.D.; Frigério, P.B.; Botacin, P.R.; Lisboa-Filho, P.N.; Okamoto, R. Enhancing Bone Repair: Impact of Raloxifene-Functionalized Cerabone® on Rat Calvarial Defects. J. Funct. Biomater. 2025, 16, 59. [Google Scholar] [CrossRef] [PubMed]
- Sadyrin, E.V.; Yogina, D.V.; Swain, M.V.; Maksyukov, S.Y.; Vasiliev, A.S. Efficacy of dental materials in terms of apparent mineral density restoration: Composite resin, glass ionomer cement and infiltrant. Compos. Part C Open Access 2021, 6, 100192. [Google Scholar] [CrossRef]
- Tkachev, S.Y.; Mitrin, B.I.; Karnaukhov, N.S.; Sadyrin, E.V.; Voloshin, M.V.; Maksimov, A.Y.; Goncharova, A.S.; Lukbanova, E.A.; Zaikina, E.V.; Volkova, A.V.; et al. Visualization of different anatomical parts of the enucleated human eye using X-ray micro-CT imaging. Exp. Eye Res. 2021, 203, 108394. [Google Scholar] [CrossRef]
- Singhal, A.; Grande, J.C.; Zhou, Y. Micro/nano-CT for visualization of internal structures. Microsc. Today 2013, 21, 16–22. [Google Scholar] [CrossRef]
- Aspera-Werz, R.H.; Chen, G.; Schilonka, L.; Bouakaz, I.; Bronne, C.; Cobraiville, E.; Nolens, G.; Nussler, A. Impact of Particle Size and Sintering Temperature on Calcium Phosphate Gyroid Structure Scaffolds for Bone Tissue Engineering. J. Funct. Biomater. 2024, 15, 355. [Google Scholar] [CrossRef]
- Khosravani, M.R.; Reinicke, T. On the use of X-ray computed tomography in assessment of 3D-printed components. J. Nondestruct. Eval. 2020, 39, 75. [Google Scholar] [CrossRef]
- Nouri, H.; Guessasma, S.; Belhabib, S. Structural imperfections in additive manufacturing perceived from the X-ray micro-tomography perspective. J. Mater. Process. Technol. 2016, 234, 113–124. [Google Scholar] [CrossRef]
- Elenskaya, N.; Vindokurov, I.; Sadyrin, E.; Nikolaev, A.; Tashkinov, M. Experimental Evaluation of the Effect of Degradation on the Mechanical Behavior and Morphometric Characteristics of Functionally Graded Polymer Scaffolds. Polymers 2024, 16, 3474. [Google Scholar] [CrossRef]
- Seemala, V.; Williams, M.A.; King, R.; Goia, S.; Wilson, P.F.; Palit, A. Quantifying bone compaction and implant-bone contact in uncemented total hip arthroplasty through μCT and digital volume correlation: A cadaveric study. Comput. Biol. Med. 2025, 184, 109474. [Google Scholar] [CrossRef]
- Rana, M.; Karmakar, S.K.; Verdonschot, N.; Roychowdhury, A. Prediction of micro-scale bone adaptation of human trabecular bone under different implanted conditions. J. Mech. Behav. Biomed. Mater. 2024, 160, 106747. [Google Scholar] [CrossRef]
- Arachchi, S.; Pitto, R.P.; Anderson, I.A.; Shim, V.B. Analyzing bone remodeling patterns after total hip arthroplasty using quantitative computed tomography and patient-specific 3D computational models. Quant. Imaging Med. Surg. 2015, 5, 575–582. [Google Scholar] [PubMed]
- Shim, V.B.; Pitto, R.P.; Anderson, I.A. Quantitative CT with finite element analysis: Towards a predictive tool for bone remodelling around an uncemented tapered stem. Int. Orthop. 2012, 36, 1363–1369. [Google Scholar] [CrossRef]
- Pottecher, P.; Engelke, K.; Duchemin, L.; Museyko, O.; Moser, T.; Mitton, D.; Vicaut, E.; Adamas, J.; Skalli, W.; Denis Laredo, J.; et al. Prediction of hip failure load: In vitro study of 80 femurs using three imaging methods and finite element models—The European Fracture Study (EFFECT). Radiology 2016, 280, 837–847. [Google Scholar] [CrossRef] [PubMed]
- Namvar, A.; Lozanovski, B.; Downing, D.; Williamson, T.; Kastrati, E.; Shidid, D.; Hill, D.; Buehner, U.; Ryan, S.; Choong, P.F.; et al. Finite element analysis of patient-specific additive-manufactured implants. Front. Bioeng. Biotechnol. 2024, 12, 1386816. [Google Scholar] [CrossRef]
- Popovich, A.A.; Sufiiarov, V.S.; Polozov, I.A.; Borisov, E.V.; Masaylo, D.V.; Vopilovskiy, P.N.; Sharonov, A.A.; Tikhilov, R.M.; Tsybin, A.V.; Kovalenko, A.N.; et al. Use of additive techniques for preparing individual components of titanium alloy joint endoprostheses. Biomed. Eng. 2016, 50, 202–205. [Google Scholar] [CrossRef]
- Kilina, P.; Kuchumov, A.G.; Sirotenko, L.; Vassilouk, V.; Golovin, S.; Drozdov, A.; Sadyrin, E.V. Influence of porous titanium-based jaw implant structure on osseointegration mechanisms. J. Mech. Behav. Biomed. Mater. 2024, 160, 106724. [Google Scholar] [CrossRef]
- Avsec, K.; Jenko, M.; Conradi, M.; Kocijan, A.; Vesel, A.; Kovač, J.; Godec, M.; Belič, I.; Batič, B.Š.; Donik, Č.; et al. Surface properties of retrieved cementless femoral hip endoprostheses produced from a Ti6Al7Nb alloy. Coatings 2019, 9, 868. [Google Scholar] [CrossRef]
- Jenko, M.; Gorenšek, M.; Godec, M.; Hodnik, M.; Batič, B.Š.; Donik, Č.; Grant, J.T.; Dolinar, D. Surface chemistry and microstructure of metallic biomaterials for hip and knee endoprostheses. Appl. Surf. Sci. 2018, 427, 584–593. [Google Scholar] [CrossRef]
- Melnikova, G.; Kuznetsova, T.; Lapitskaya, V.; Petrovskaya, A.; Chizhik, S.; Zykova, A.; Safonov, V.; Aizikovich, S.; Sadyrin, E.; Sun, W.; et al. Nanomechanical and nanotribological properties of nanostructured coatings of tantalum and its compounds on steel substrates. Nanomaterials 2021, 11, 2407. [Google Scholar] [CrossRef]
- Motomura, G.; Mashima, N.; Imai, H.; Sudo, A.; Hasegawa, M.; Yamada, H.; Morita Mm Mitsugi, N.; Nakanishi, R.; Nakashima, Y. Effects of porous tantalum on periprosthetic bone remodeling around metaphyseal filling femoral stem: A multicenter, prospective, randomized controlled study. Sci. Rep. 2022, 12, 914. [Google Scholar] [CrossRef]
- Putzer, D.; Talpeanu, G.; Shahriary, F.; Guarino, R.; Thaler, M.; Nogler, M.; Awaja, F. A Clinical Investigation of Hip Implant Migration and Wear. Biomed. Mater. Devices 2025, 1–15. [Google Scholar] [CrossRef]
- He, X.; Li, Y.; Zou, D.; Zu, H.; Li, W.; Zheng, Y. An overview of magnesium-based implants in orthopaedics and a prospect of its application in spine fusion. Bioact. Mater. 2024, 39, 456–478. [Google Scholar] [CrossRef]
- Sun, J.; Li, Z.; Liu, S.; Xia, T.; Shen, J. Biodegradable magnesium screw, titanium screw and direct embedding fixation in pedicled vascularized iliac bone graft transfer for osteonecrosis of the femoral head: A randomized controlled study. J. Orthop. Surg. Res. 2023, 18, 523. [Google Scholar] [CrossRef]
- V@Art Cementless Hip Replacement System for Animals. [Electronic Resource]. Available online: https://v-art.info/ (accessed on 16 March 2025).
- Choe, H.; Abkowitz, S.M.; Abkowitz, S.; Dunand, D.C. Effect of tungsten additions on the mechanical properties of Ti-6Al-4V. Mater. Sci. Eng. A 2005, 396, 99–106. [Google Scholar] [CrossRef]
- Ucok, I.; Kramer, L.S.; Gungor, M.N.; Wolfe, P.; Dong, H.; Tack, W.T. Effect of welding on microstructure and tensile properties of flowformed Ti-6Al-4V tubes. Mater. Sci. Eng. A 2005, 410, 160–164. [Google Scholar] [CrossRef]
- Titanium Alloys TI6AL4V and Ti6Al4V ELI in Medicine. Alloy Characteristics. [Electronic Resource]. Available online: https://misrussia.ru/titanovie-splavi/ (accessed on 16 March 2025).
- Niinomi, M. Mechanical properties of biomedical titanium alloys. Mater. Sci. Eng. A 1998, 243, 231–236. [Google Scholar] [CrossRef]
- Sivakumar, B.; Kumar, S.; Narayanan, T.S. Comparison of fretting corrosion behaviour of Ti–6Al–4V alloy and CP-Ti in Ringer’s solution. Tribol.-Mater. Surf. Interfaces 2011, 5, 158–164. [Google Scholar] [CrossRef]
- Willis, J.; Li, S.; Crean, S.J.; Barrak, F.N. Is titanium alloy Ti-6Al-4 V cytotoxic to gingival fibroblasts—A systematic review. Clin. Exp. Dent. Res. 2021, 7, 1037–1044. [Google Scholar] [CrossRef]
- Jeong, T.; Shin, H.J. An approximation technique for real-time rendering of Phong reflection model with image-based lighting. J. Korea Comput. Graph. Soc. 2014, 20, 13–19. [Google Scholar] [CrossRef]
- Prisekin, V.L.; Rastorguev, G.I. Fundamentals of the Finite Element Method in the Mechanics of Deformable Bodies: Textbook; NSTU Publishing House: Novosibirsk, Russia, 2010; 238p. (In Russian) [Google Scholar]
- Belotserkovsky, O.M. Numerical Modeling in Continuous Media Mechanics, 2nd ed.; Revised and Enlarged; Fizmatlit: Moscow, Russia, 1994; 448p. (In Russian) [Google Scholar]
- Panfilov, I.A.; Aizikovich, S.M.; Vasiliev, A.S. Analysis of elastic and elastoplastic models when interpreting nanoindentation results. Izv. Saratov Univ. Math. Mech. Inform. 2024, 24, 245–253. [Google Scholar] [CrossRef]
- Panfilov, I.A.; Ustinov, Y.A. Investigation of stability of a cylindrical shell with helical anisotropy. Dokl. Phys. 2011, 56, 577. [Google Scholar] [CrossRef]
- Panfilov, I.; Beskopylny, A.N.; Meskhi, B. Improving the Fuel Economy and Energy Efficiency of Train Cab Climate Systems, Considering Air Recirculation Modes. Energies 2024, 17, 2224. [Google Scholar] [CrossRef]
- Panfilov, I.; Beskopylny, A.N.; Meskhi, B. Numerical Simulation of Heat Transfer and Spread of Virus Particles in the Car Interior. Mathematics 2023, 11, 784. [Google Scholar] [CrossRef]
- Panfilov, I.; Beskopylny, A.N.; Meskhi, B. Improving the Energy Efficiency of Vehicles by Ensuring the Optimal Value of Excess Pressure in the Cabin Depending on the Travel Speed. Fluids 2024, 9, 130. [Google Scholar] [CrossRef]
- Karmankar, R.G. Analysis of Von-Mises-Stress for interference fit and pull-out states by using finite element method. Int. Res. J. Eng. Technol. 2017, 4, 1367–1374. [Google Scholar]
- Feodosyev, V.I. Strength of Materials; Publishing House of Bauman Moscow State Technical University: Moscow, Russia, 1999; 479p. [Google Scholar]
- Emara, A.K.; Ng, M.; Krebs, V.E.; Bloomfield, M.; Molloy, R.M.; Piuzzi, N.S. Femoral stem cementation in hip arthroplasty: The know-how of a “lost” art. Curr. Rev. Musculoskelet. Med. 2021, 14, 47–59. [Google Scholar] [CrossRef]
- Nikam, N.; Shenoy B, S.; K N, C.; Keni, L.G.; Shetty, S.; Bhat N, S. Advancements in Surface Coatings for Enhancing Longevity in Hip Implants: A Review. Prosthesis 2025, 7, 21. [Google Scholar] [CrossRef]
- Chang, L.; Luo, Y.; Li, W.; Liu, F.; Guo, J.; Dai, B.; Tong, W.; Qin, L.; Wang, J.; Xu, J. A comparative study on the effects of biodegradable high-purity magnesium screw and polymer screw for fixation in epiphyseal trabecular bone. Regen. Biomater. 2024, 11, rbae095. [Google Scholar] [CrossRef]
- Tipan, N.; Pandey, A.; Mishra, P. Selection and preparation strategies of Mg-alloys and other biodegradable materials for orthopaedic applications: A review. Mater. Today Commun. 2022, 31, 103658. [Google Scholar] [CrossRef]













| Alloy | Young’s Modulus, GPa | Yield Strength, MPa | Tensile Strength, MPa |
|---|---|---|---|
| Ti-6Al-4V | 117 | 790 | 860 |
| Elements, % | V | Al | Fe | O | C | N | Y | Ti |
|---|---|---|---|---|---|---|---|---|
| Min. | 3.5 | 5.5 | - | - | - | - | - | 88.12 |
| Max. | 4.5 | 6.75 | 0.3 | 0.2 | 0.08 | 0.05 | 0.005 | 91 |
| Tube Voltage, kV | Current, W | Pixel Size, µm | Exposure Time, s | X-Ray Tube Filter |
|---|---|---|---|---|
| 110 | 9 | 56 | 1.0 | No |
| Mesh 0.5 mm | Mesh 0.1 mm (Calculation Case) | Mesh 0.05 mm | Mesh 0.03 mm | |
|---|---|---|---|---|
| Maximum values of von Mises stress, MPa | 425.4 | 430.0 | 430.2 | 430.3 |
| Maximum displacement, mm | 0.0246 | 0.0247 | 0.0247 | 0.0247 |
Disclaimer/Publisher’s Note: The statements, opinions and data contained in all publications are solely those of the individual author(s) and contributor(s) and not of MDPI and/or the editor(s). MDPI and/or the editor(s) disclaim responsibility for any injury to people or property resulting from any ideas, methods, instructions or products referred to in the content. |
© 2025 by the authors. Licensee MDPI, Basel, Switzerland. This article is an open access article distributed under the terms and conditions of the Creative Commons Attribution (CC BY) license (https://creativecommons.org/licenses/by/4.0/).
Share and Cite
Panfilov, I.; Vilkovyskiy, I.; Sadyrin, E.; Aizikovich, S.; Beskopylny, A.N.; Meskhi, B. Stress–Strain State Investigation and Ultimate Load on Femoral Implants Based on S-Type Ti6Al4V Titanium Alloy. J. Funct. Biomater. 2025, 16, 187. https://doi.org/10.3390/jfb16050187
Panfilov I, Vilkovyskiy I, Sadyrin E, Aizikovich S, Beskopylny AN, Meskhi B. Stress–Strain State Investigation and Ultimate Load on Femoral Implants Based on S-Type Ti6Al4V Titanium Alloy. Journal of Functional Biomaterials. 2025; 16(5):187. https://doi.org/10.3390/jfb16050187
Chicago/Turabian StylePanfilov, Ivan, Ilya Vilkovyskiy, Evgeniy Sadyrin, Sergei Aizikovich, Alexey N. Beskopylny, and Besarion Meskhi. 2025. "Stress–Strain State Investigation and Ultimate Load on Femoral Implants Based on S-Type Ti6Al4V Titanium Alloy" Journal of Functional Biomaterials 16, no. 5: 187. https://doi.org/10.3390/jfb16050187
APA StylePanfilov, I., Vilkovyskiy, I., Sadyrin, E., Aizikovich, S., Beskopylny, A. N., & Meskhi, B. (2025). Stress–Strain State Investigation and Ultimate Load on Femoral Implants Based on S-Type Ti6Al4V Titanium Alloy. Journal of Functional Biomaterials, 16(5), 187. https://doi.org/10.3390/jfb16050187

