Six-Year Implants Follow-Up After Guided Bone Regeneration Using Autologous Tooth Graft: Innovative Biomaterial for Bone Regeneration Tooth Transformer®
Abstract
1. Introduction
2. Materials and Methods
2.1. Study Design and Patient Selection
2.2. Surgical Procedures
2.2.1. Tooth Transformer Device and Graft Preparation
- Mechanical grinding of the tooth into particles of optimal size.
- Chemical decontamination and partial demineralization using a series of six solutions contained in a sterile, single-use kit (one container with hydrogen peroxide [H₂O₂], one with hydrochloric acid [HCl], and four with demineralized water).
- Preservation of key growth factors such as Bone Morphogenetic Protein-2 (BMP-2), Transforming Growth Factor-Beta (TGF-β), and Insulin-like Growth Factors (IGFs), essential for bone regeneration.
2.2.2. Grafting and Implant Procedures
2.3. Follow-Up
2.4. Statistical Analysis
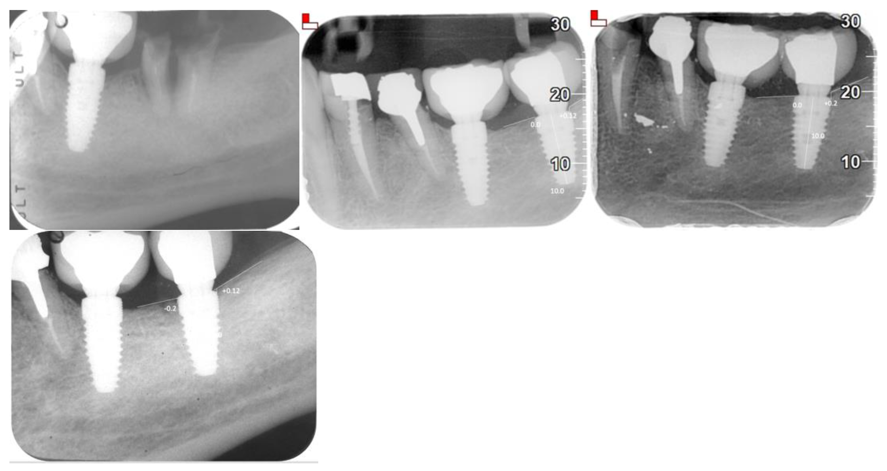
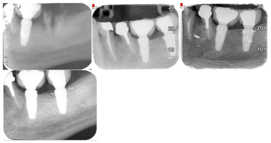
3. Results
4. Discussion
5. Conclusions
Author Contributions
Funding
Institutional Review Board Statement
Informed Consent Statement
Data Availability Statement
Conflicts of Interest
Abbreviations
| Abbreviation | Full Term |
| BMP-2 | Bone Morphogenetic Protein 2 |
| CBCT | Cone Beam Computed Tomography |
| CEA | Not explicitly defined in the text (possibly a type of implant or specific protocol) |
| EDS | Energy-dispersive X-ray Spectroscopy |
| FGF | Fibroblast Growth Factor |
| g | gram |
| GBR | Guided Bone Regeneration |
| HCl | Hydrochloric acid |
| H&E | Hematoxylin and Eosin |
| HIV | Human Immunodeficiency Virus |
| H2O2 | Hydrogen peroxide |
| N-RES | Non-Resorbable |
| OPGs | Orthopantomograms |
| PRF | Platelet-Rich Fibrin |
| RES | Resorbable |
| SEM | Scanning Electron Microscopy |
| SPSS | Statistical Package for the Social Sciences |
| TGF-β | Transforming Growth Factor-Beta |
| VEGF | Vascular Endothelial Growth Factor |
| X-ray | Radiograph |
References
- Buser, D.; Urban, I.; Monje, A.; Kunrath, M.F.; Dahlin, C. Guided Bone Regeneration in Implant Dentistry: Basic Principle, Progress over 35 Years, and Recent Research Activities. Periodontol 2000 2023, 93, 9–25. [Google Scholar] [CrossRef] [PubMed]
- Romasco, T.; Tumedei, M.; Inchingolo, F.; Pignatelli, P.; Montesani, L.; Iezzi, G.; Petrini, M.; Piattelli, A.; Di Pietro, N. A Narrative Review on the Effectiveness of Bone Regeneration Procedures with OsteoBiol® Collagenated Porcine Grafts: The Translational Research Experience over 20 Years. J. Funct. Biomater. 2022, 13, 121. [Google Scholar] [CrossRef]
- Mellonig, J.T. Autogenous and Allogeneic Bone Grafts in Periodontal Therapy. Crit. Rev. Oral. Biol. Med. 1992, 3, 333–352. [Google Scholar] [CrossRef] [PubMed]
- Serafini, G.; Lollobrigida, M.; Fortunato, L.; Mazzucchi, G.; Lamazza, L.; Di Nardo, D.; Vozza, I.; Riminucci, M.; De Biase, A. Postextractive Alveolar Ridge Preservation Using L-PRF: Clinical and Histological Evaluation. Case Rep. Dent. 2020, 2020, 5073519. [Google Scholar] [CrossRef] [PubMed]
- Chiriac, G.; Herten, M.; Schwarz, F.; Rothamel, D.; Becker, J. Autogenous Bone Chips: Influence of a New Piezoelectric Device (Piezosurgery) on Chip Morphology, Cell Viability and Differentiation. J. Clin. Periodontol. 2005, 32, 994–999. [Google Scholar] [CrossRef]
- Khan, S.N.; Cammisa, F.P.; Sandhu, H.S.; Diwan, A.D.; Girardi, F.P.; Lane, J.M. The Biology of Bone Grafting. J. Am. Acad. Orthop. Surg. 2005, 13, 77–86. [Google Scholar] [CrossRef]
- González del Pino, J.; Bartolomé del Valle, E.; Graña, G.L.; Villanova, J.F. Free Vascularized Fibular Grafts Have a High Union Rate in Atrophic Nonunions. Clin. Orthop. Relat. Res. 2004, 419, 38–45. [Google Scholar] [CrossRef]
- Duffy, G.P.; Wood, M.B.; Rock, M.G.; Sim, F.H. Vascularized Free Fibular Transfer Combined with Autografting for the Management of Fracture Nonunions Associated with Radiation Therapy. J. Bone Jt. Surg. Am. 2000, 82, 544–554. [Google Scholar] [CrossRef]
- Urist, M.R. Bone: Formation by Autoinduction. Science 1965, 150, 893–899. [Google Scholar] [CrossRef]
- Nampo, T.; Watahiki, J.; Enomoto, A.; Taguchi, T.; Ono, M.; Nakano, H.; Yamamoto, G.; Irie, T.; Tachikawa, T.; Maki, K. A New Method for Alveolar Bone Repair Using Extracted Teeth for the Graft Material. J. Periodontol. 2010, 81, 1264–1272. [Google Scholar] [CrossRef]
- Cochran, D.L.; Jones, A.; Heijl, L.; Mellonig, J.T.; Schoolfield, J.; King, G.N. Periodontal Regeneration with a Combination of Enamel Matrix Proteins and Autogenous Bone Grafting. J. Periodontol. 2003, 74, 1269–1281. [Google Scholar] [CrossRef]
- Koga, T.; Minamizato, T.; Kawai, Y.; Miura, K.; I, T.; Nakatani, Y.; Sumita, Y.; Asahina, I. Bone Regeneration Using Dentin Matrix Depends on the Degree of Demineralization and Particle Size. PLoS ONE 2016, 11, e0147235. [Google Scholar] [CrossRef] [PubMed]
- Li, J.; Yang, J.; Zhong, X.; He, F.; Wu, X.; Shen, G. Demineralized Dentin Matrix Composite Collagen Material for Bone Tissue Regeneration. J. Biomater. Sci. Polym. Ed. 2013, 24, 1519–1528. [Google Scholar] [CrossRef]
- Fujii, Y.; Hatori, A.; Chikazu, D.; Ogasawara, T. Application of Dental Pulp Stem Cells for Bone and Neural Tissue Regeneration in Oral and Maxillofacial Region. Stem Cells Int. 2023, 2023, 2026572. [Google Scholar] [CrossRef]
- Mancini, A.; Chirico, F.; Colella, G.; Piras, F.; Colonna, V.; Marotti, P.; Carone, C.; Inchingolo, A.D.; Inchingolo, A.M.; Inchingolo, F.; et al. Evaluating the Success Rates and Effectiveness of Surgical and Orthodontic Interventions for Impacted Canines: A Systematic Review of Surgical and Orthodontic Interventions and a Case Series. BMC Oral. Health 2025, 25, 295. [Google Scholar] [CrossRef] [PubMed]
- Laforgia, A.; Inchingolo, A.M.; Inchingolo, F.; Sardano, R.; Trilli, I.; Di Noia, A.; Ferrante, L.; Palermo, A.; Inchingolo, A.D.; Dipalma, G. Paediatric Dental Trauma: Insights from Epidemiological Studies and Management Recommendations. BMC Oral. Health 2025, 25, 6. [Google Scholar] [CrossRef]
- Dipalma, G.; Inchingolo, A.M.; Colonna, V.; Marotti, P.; Carone, C.; Ferrante, L.; Inchingolo, F.; Palermo, A.; Inchingolo, A.D. Autologous and Heterologous Minor and Major Bone Regeneration with Platelet-Derived Growth Factors. J. Funct. Biomater. 2025, 16, 16. [Google Scholar] [CrossRef]
- Yoshida, T.; Vivatbutsiri, P.; Morriss-Kay, G.; Saga, Y.; Iseki, S. Cell Lineage in Mammalian Craniofacial Mesenchyme. Mech. Dev. 2008, 125, 797–808. [Google Scholar] [CrossRef] [PubMed]
- Jiang, X.; Iseki, S.; Maxson, R.E.; Sucov, H.M.; Morriss-Kay, G.M. Tissue Origins and Interactions in the Mammalian Skull Vault. Dev. Biol. 2002, 241, 106–116. [Google Scholar] [CrossRef]
- Kapur, R.P. Colonization of the Murine Hindgut by Sacral Crest-Derived Neural Precursors: Experimental Support for an Evolutionarily Conserved Model. Dev. Biol. 2000, 227, 146–155. [Google Scholar] [CrossRef]
- Materials Design and Application of Demineralized Dentin/Apatite Composite Granules Derived from Human Teeth|Request PDF. Available online: https://www.researchgate.net/publication/287760820_Materials_design_and_application_of_demineralized_dentinapatite_composite_granules_derived_from_human_teeth (accessed on 30 March 2025).
- Murata, M.; Akazawa, T.; Mitsugi, M.; Arafat, M.; Um, I.-W.; Minamida, Y.; Kim, K.-W.; Kim, Y.-K.; Sun, Y.; Qi, C. Autograft of Dentin Materials for Bone Regeneration. In Advances in Biomaterials Science and Biomedical Applications; Pignatello, R., Ed.; InTech: Houston TX, USA, 2013; ISBN 978-953-51-1051-4. [Google Scholar]
- Murata, M.; Akazawa, T.; Mitsugi, M.; Um, I.W.; Kim, K.W.; Kim, Y.K. (PDF) Human Dentin as Novel Biomaterial for Bone Regeneration. In Biomaterials: Physics and Chemistry; ResearchGate: Berlin, Germany, 2011. [Google Scholar]
- Murata, M.; Kabir, M.A.; Hirose, Y.; Ochi, M.; Okubo, N.; Akazawa, T.; Kashiwazaki, H. Histological Evidences of Autograft of Dentin/Cementum Granules into Unhealed Socket at 5 Months after Tooth Extraction for Implant Placement. J. Funct. Biomater. 2022, 13, 66. [Google Scholar] [CrossRef] [PubMed]
- Murata, M.; Um, I.-W. Advances in Oral Tissue Engineering; Quintessence Books; Quintessence Pub: Batavia, IL, USA, 2014. [Google Scholar]
- Murata: Advances in Biomaterials Sciences and Biomedical...-Google Scholar. Available online: https://scholar.google.com/scholar_lookup?title=Advances%20in%20Biomaterials%20Science%20and%20Biomedical%20Applications&author=M.%20Murata&author=T.%20Akazawa&author=M.%20Mitsugi&author=M.A.%20Kabir&author=Y.%20Minamida&publication_year=2013& (accessed on 30 March 2025).
- Kim, E.-S. Autogenous Fresh Demineralized Tooth Graft Prepared at Chairside for Dental Implant. Maxillofac. Plast. Reconstr. Surg. 2015, 37, 8. [Google Scholar] [CrossRef][Green Version]
- Esposito, M.; Grusovin, M.G.; Rees, J.; Karasoulos, D.; Felice, P.; Alissa, R.; Worthington, H.V.; Coulthard, P. Interventions for Replacing Missing Teeth: Augmentation Procedures of the Maxillary Sinus. Cochrane Database Syst. Rev. 2010, CD008397. [Google Scholar] [CrossRef]
- Kim, E.-S.; Kang, J.-Y.; Kim, J.-J.; Kim, K.-W.; Lee, E.-Y. Space Maintenance in Autogenous Fresh Demineralized Tooth Blocks with Platelet-Rich Plasma for Maxillary Sinus Bone Formation: A Prospective Study. Springerplus 2016, 5, 274. [Google Scholar] [CrossRef] [PubMed]
- Crespi, R.; Capparè, P.; Polizzi, E.M.; Gherlone, E.F. Tissue Remodeling after Bone Expansion in Grafted and Ungrafted Sockets. Int. J. Oral. Maxillofac. Implant. 2014, 29, 699–704. [Google Scholar] [CrossRef]
- Crespi, R.; Capparè, P.; Gherlone, E. Dental Implants Placed in Extraction Sites Grafted with Different Bone Substitutes: Radiographic Evaluation at 24 Months. J. Periodontol. 2009, 80, 1616–1621. [Google Scholar] [CrossRef]
- Bittner, N.; Planzos, L.; Volchonok, A.; Tarnow, D.; Schulze-Späte, U. Evaluation of Horizontal and Vertical Buccal Ridge Dimensional Changes After Immediate Implant Placement and Immediate Temporization with and Without Bone Augmentation Procedures: Short-Term, 1-Year Results. A Randomized Controlled Clinical Trial. Int. J. Periodontics Restor. Dent. 2020, 40, 83–93. [Google Scholar] [CrossRef]
- Clementini, M.; Agostinelli, A.; Castelluzzo, W.; Cugnata, F.; Vignoletti, F.; De Sanctis, M. The Effect of Immediate Implant Placement on Alveolar Ridge Preservation Compared to Spontaneous Healing after Tooth Extraction: Radiographic Results of a Randomized Controlled Clinical Trial. J. Clin. Periodontol. 2019, 46, 776–786. [Google Scholar] [CrossRef]
- Strauss, F.J.; Fukuba, S.; Naenni, N.; Jung, R.; Jonker, B.; Wolvius, E.; Pijpe, J. Alveolar Ridge Changes 1-Year after Early Implant Placement, with or without Alveolar Ridge Preservation at Single-Implant Sites in the Aesthetic Region: A Secondary Analysis of Radiographic and Profilometric Outcomes from a Randomized Controlled Trial. Clin. Implant. Dent. Relat. Res. 2024, 26, 356–368. [Google Scholar] [CrossRef]
- Mardas, N.; Trullenque-Eriksson, A.; MacBeth, N.; Petrie, A.; Donos, N. Does Ridge Preservation Following Tooth Extraction Improve Implant Treatment Outcomes: A Systematic Review: Group 4: Therapeutic Concepts & Methods. Clin. Oral. Implant. Res. 2015, 26 (Suppl. S11), 180–201. [Google Scholar] [CrossRef]
- Jung, R.E.; Zembic, A.; Pjetursson, B.E.; Zwahlen, M.; Thoma, D.S. Systematic Review of the Survival Rate and the Incidence of Biological, Technical, and Aesthetic Complications of Single Crowns on Implants Reported in Longitudinal Studies with a Mean Follow-up of 5 Years. Clin. Oral. Implant. Res. 2012, 23 (Suppl. S6), 2–21. [Google Scholar] [CrossRef] [PubMed]
- Gonzalez-Gonzalez, I.; deLlanos-Lanchares, H.; Brizuela-Velasco, A.; Alvarez-Riesgo, J.-A.; Llorente-Pendas, S.; Herrero-Climent, M.; Alvarez-Arenal, A. Complications of Fixed Full-Arch Implant-Supported Metal-Ceramic Prostheses. Int. J. Env. Res. Public. Health 2020, 17, 4250. [Google Scholar] [CrossRef]
- Compton, S.M.; Clark, D.; Chan, S.; Kuc, I.; Wubie, B.A.; Levin, L. Dental Implants in the Elderly Population: A Long-Term Follow-Up. Int. J. Oral. Maxillofac. Implant. 2017, 32, 164–170. [Google Scholar] [CrossRef]
- Manz, M.C. Factors Associated with Radiographic Vertical Bone Loss around Implants Placed in a Clinical Study. Ann. Periodontol. 2000, 5, 137–151. [Google Scholar] [CrossRef]
- Maiorana, C.; Poli, P.P.; Deflorian, M.; Testori, T.; Mandelli, F.; Nagursky, H.; Vinci, R. Alveolar Socket Preservation with Demineralised Bovine Bone Mineral and a Collagen Matrix. J. Periodontal Implant. Sci. 2017, 47, 194–210. [Google Scholar] [CrossRef]
- Minetti, E.; Corbella, S.; Taschieri, S.; Canullo, L. Tooth as Graft Material: Histologic Study. Clin. Implant. Dent. Relat. Res. 2022, 24, 488–496. [Google Scholar] [CrossRef] [PubMed]
- Berglundh, T.; Armitage, G.; Araujo, M.G.; Avila-Ortiz, G.; Blanco, J.; Camargo, P.M.; Chen, S.; Cochran, D.; Derks, J.; Figuero, E.; et al. Peri-Implant Diseases and Conditions: Consensus Report of Workgroup 4 of the 2017 World Workshop on the Classification of Periodontal and Peri-Implant Diseases and Conditions. J. Clin. Periodontol. 2018, 45 (Suppl. S20), S286–S291. [Google Scholar] [CrossRef]
- Hämmerle, C.H.F.; Jung, R.E.; Feloutzis, A. A Systematic Review of the Survival of Implants in Bone Sites Augmented with Barrier Membranes (Guided Bone Regeneration) in Partially Edentulous Patients. J. Clin. Periodontol. 2002, 29 (Suppl. S3), 226–231; discussion 232–233. [Google Scholar] [CrossRef] [PubMed]
- Memè, L.; Bambini, F.; Pizzolante, T.; Sampalmieri, F.; Bianchi, A.; Mummolo, S. Evaluation of a Single Non-Surgical Approach in the Management of Peri-Implantitis: Glycine Powder Air-Polishing versus Ultrasonic Device. Oral. Implantol. A J. Innov. Adv. Tech. Oral. Health 2024, 16, 67–78. [Google Scholar] [CrossRef]
- Favia, G.; Corsalini, M.; Di Venere, D.; Pettini, F.; Favia, G.; Capodiferro, S.; Maiorano, E. Immunohistochemical Evaluation of Neuroreceptors in Healthy and Pathological Temporo-Mandibular Joint. Int. J. Med. Sci. 2013, 10, 1698–1701. [Google Scholar] [CrossRef]
- Inchingolo, A.D.; Pezzolla, C.; Patano, A.; Ceci, S.; Ciocia, A.M.; Marinelli, G.; Malcangi, G.; Montenegro, V.; Cardarelli, F.; Piras, F.; et al. Experimental Analysis of the Use of Cranial Electromyography in Athletes and Clinical Implications. Int. J. Env. Res. Public. Health 2022, 19, 7975. [Google Scholar] [CrossRef] [PubMed]
- Khouly, I.; Veitz-Keenan, A. Insufficient Evidence for Sinus Lifts over Short Implants for Dental Implant Rehabilitation. Evid. Based Dent. 2015, 16, 21–22. [Google Scholar] [CrossRef] [PubMed]
- Merli, M.; Moscatelli, M.; Mariotti, G.; Pagliaro, U.; Raffaelli, E.; Nieri, M. Comparing Membranes and Bone Substitutes in a One-Stage Procedure for Horizontal Bone Augmentation. A Double-Blind Randomised Controlled Trial. Eur. J. Oral. Implant. 2015, 8, 271–281. [Google Scholar]
- Naenni, N.; Stucki, L.; Hüsler, J.; Schneider, D.; Hämmerle, C.H.F.; Jung, R.E.; Thoma, D.S. Implants Sites with Concomitant Bone Regeneration Using a Resorbable or Non-Resorbable Membrane Result in Stable Marginal Bone Levels and Similar Profilometric Outcomes over 5 Years. Clin. Oral. Implant. Res. 2021, 32, 893–904. [Google Scholar] [CrossRef]
- Minetti, E.; Celko, M.; Contessi, M.; Carini, F.; Gambardella, U.; Giacometti, E.; Santillana, J.; Beca Campoy, T.; Schmitz, J.H.; Libertucci, M.; et al. Implants Survival Rate in Regenerated Sites with Innovative Graft Biomaterials: 1 Year Follow-Up. Materials 2021, 14, 5292. [Google Scholar] [CrossRef]
- Amruthesh, S. Dentistry and Ayurveda—IV: Classification and Management of Common Oral Diseases. Indian. J. Dent. Res. 2008, 19, 52–61. [Google Scholar] [CrossRef]
- Anavi, Y.; Gal, G.; Silfen, R.; Calderon, S. Palatal Rotation-Advancement Flap for Delayed Repair of Oroantral Fistula: A Retrospective Evaluation of 63 Cases. Oral. Surg. Oral. Med. Oral. Pathol. Oral. Radiol. Endodontology 2003, 96, 527–534. [Google Scholar] [CrossRef]
- Abreu, R.R.; Rocha, R.L.; Lamounier, J.A.; Guerra, A.F.M. Etiology, Clinical Manifestations and Concurrent Findings in Mouth-Breathing Children. J. Pediatr. (Rio J.) 2008, 84, 529–535. [Google Scholar] [CrossRef]
- Aguilera, S.B.; Brown, L.; Perico, V.A. Aesthetic Treatment of Bruxism. J. Clin. Aesthet. Dermatol. 2017, 10, 49–55. [Google Scholar]
- Agustin, T.P.; Sutadi, H.; Bachtiar, B.M.; Rizal, M.F. Proportion of Streptococcus Mutans, Streptococcus Sanguinis, and Candida Albicans in Early Childhood Caries: Evaluation by qPCR. Open Dent. J. 2024, 18, e18742106290568. [Google Scholar] [CrossRef]
- Aizenbud, D.; Peled, M.; Figueroa, A.A. A Combined Orthodontic and Surgical Approach in Osteogenesis Imperfecta and Severe Class III Malocclusion: Case Report. J. Oral. Maxillofac. Surg. 2008, 66, 1045–1053. [Google Scholar] [CrossRef] [PubMed]
- Alfieri, V.; Myasoedova, V.A.; Vinci, M.C.; Rondinelli, M.; Songia, P.; Massaiu, I.; Cosentino, N.; Moschetta, D.; Valerio, V.; Ciccarelli, M.; et al. The Role of Glycemic Variability in Cardiovascular Disorders. Int. J. Mol. Sci. 2021, 22, 8393. [Google Scholar] [CrossRef] [PubMed]
- AlSarhan, M.; AlJasser, R.; AlOraini, S.; Alotaibi, D.H.; Alsinaidi, A.A.; Habib, S.R. Relationship of Self-Perceived Stress and Expression of Salivary Cortisol in Relation to Gender and Academic Levels among Dental Students. TODENTJ 2024, 18, e18742106282255. [Google Scholar] [CrossRef]
- Alzahabi, R.; Becker, M.W. The Association between Media Multitasking, Task-Switching, and Dual-Task Performance. J. Exp. Psychol. Hum. Percept. Perform. 2013, 39, 1485–1495. [Google Scholar] [CrossRef]
- Amruthesh, S. Dentistry and Ayurveda--III (Basics-Ama, Immunity, Ojas, Rasas, Etiopathogenesis and Prevention). Indian. J. Dent. Res. 2007, 18, 112–119. [Google Scholar] [CrossRef]
- Inchingolo, A.D.; Malcangi, G.; Semjonova, A.; Inchingolo, A.M.; Patano, A.; Coloccia, G.; Ceci, S.; Marinelli, G.; Di Pede, C.; Ciocia, A.M.; et al. Oralbiotica/Oralbiotics: The Impact of Oral Microbiota on Dental Health and Demineralization: A Systematic Review of the Literature. Children 2022, 9, 1014. [Google Scholar] [CrossRef]
- Magrin, G.L.; Rafael, S.N.F.; Passoni, B.B.; Magini, R.S.; Benfatti, C.A.M.; Gruber, R.; Peruzzo, D.C. Clinical and Tomographic Comparison of Dental Implants Placed by Guided Virtual Surgery versus Conventional Technique: A Split-Mouth Randomized Clinical Trial. J. Clin. Periodontol. 2020, 47, 120–128. [Google Scholar] [CrossRef]
- Kernen, F.; Kramer, J.; Wanner, L.; Wismeijer, D.; Nelson, K.; Flügge, T. A Review of Virtual Planning Software for Guided Implant Surgery-Data Import and Visualization, Drill Guide Design and Manufacturing. BMC Oral. Health 2020, 20, 251. [Google Scholar] [CrossRef]
- Inchingolo, A.M.; Malcangi, G.; Ferrante, L.; Del Vecchio, G.; Viapiano, F.; Mancini, A.; Inchingolo, F.; Inchingolo, A.D.; Di Venere, D.; Dipalma, G.; et al. Damage from Carbonated Soft Drinks on Enamel: A Systematic Review. Nutrients 2023, 15, 1785. [Google Scholar] [CrossRef]
- Bevilacqua, L.; Lorenzon, M.G.; Bjedov, M.; Costantinides, F.; Angerame, D.; Maglione, M. Evaluation of the Efficacy of Inter-Dental Brush and Dental Floss for Peri-Implant Mucositis: A Crossover Randomized Clinical Trial. Int. J. Dent. Hyg. 2024, 22, 779–788. [Google Scholar] [CrossRef]
- Bae, S.-H.; Fabry, D. Assessing the Relationships between Nurse Work Hours/Overtime and Nurse and Patient Outcomes: Systematic Literature Review. Nurs. Outlook 2014, 62, 138–156. [Google Scholar] [CrossRef]
- Banning, J.A. Chronic fatigue and shift work. Can. Nurse 1991, 87, 3. [Google Scholar] [PubMed]
- Barton, J.; Spelten, E.R.; Smith, L.R.; Totterdell, P.A.; Folkard, S. A Classification of Nursing and Midwifery Shift Systems. Int. J. Nurs. Stud. 1993, 30, 65–80. [Google Scholar] [CrossRef] [PubMed]
- Beckman, R.J.; Hutton, S.; Czekanski, E.; Vance, K.; Mohr, D.C. A Comparison of Shift Length and Nursing and Quality Outcomes in Acute Inpatient Mental Health Units. J. Nurs. Adm. 2022, 52, 560–565. [Google Scholar] [CrossRef] [PubMed]
- Berger, A.M.; Hobbs, B.B. Impact of Shift Work on the Health and Safety of Nurses and Patients. Clin. J. Oncol. Nurs. 2006, 10, 465–471. [Google Scholar] [CrossRef]
- Blake, N. Anmf Participates in International Nursing Symposium on Shift Work. Aust. Nurs. Midwifery J. 2017, 24, 11. [Google Scholar]
- Cassetta, M.; Di Giorgio, R.; Barbato, E. Are Intraoral Radiographs Accurate in Determining the Peri-Implant Marginal Bone Level? Int. J. Oral. Maxillofac. Implant. 2018, 33, 847–852. [Google Scholar] [CrossRef]
- Gher, M.E. Changing Concepts. The Effects of Occlusion on Periodontitis. Dent. Clin. North. Am. 1998, 42, 285–299. [Google Scholar] [CrossRef]
- Serio, F.G.; Hawley, C.E. Periodontal Trauma and Mobility. Diagnosis and Treatment Planning. Dent. Clin. North. Am. 1999, 43, 37–44. [Google Scholar] [CrossRef]
- Anger, J.T.; Weinberg, A.; Suttorp, M.J.; Litwin, M.S.; Shekelle, P.G. Outcomes of Intravesical Botulinum Toxin for Idiopathic Overactive Bladder Symptoms: A Systematic Review of the Literature. J. Urol. 2010, 183, 2258–2264. [Google Scholar] [CrossRef]
- Aravinth, V.; Aswath Narayanan, M.B.; Ramesh Kumar, S.G.; Selvamary, A.L.; Sujatha, A. Comparative Evaluation of Salt Water Rinse with Chlorhexidine against Oral Microbes: A School-Based Randomized Controlled Trial. J. Indian. Soc. Pedod. Prev. Dent. 2017, 35, 319–326. [Google Scholar] [CrossRef] [PubMed]
- Arora, K.; Kaur, N.; Kaur, G.; Garg, U. Knowledge, Awareness, and Attitude in Using Dental Implants as an Option in Replacing Missing Teeth Among Dental Patients: Survey-Based Research in a Dental Teaching Hospital in Derabassi, Punjab. Cureus 2022, 14, e27127. [Google Scholar] [CrossRef] [PubMed]
- Arrigoni, R.; Ballini, A.; Santacroce, L.; Cantore, S.; Inchingolo, A.; Inchingolo, F.; Di Domenico, M.; Quagliuolo, L.; Boccellino, M. Another Look at Dietary Polyphenols: Challenges in Cancer Prevention and Treatment. Curr. Med. Chem. 2022, 29, 1061–1082. [Google Scholar] [CrossRef]
- Atanasov, A.G.; Waltenberger, B.; Pferschy-Wenzig, E.-M.; Linder, T.; Wawrosch, C.; Uhrin, P.; Temml, V.; Wang, L.; Schwaiger, S.; Heiss, E.H.; et al. Discovery and Resupply of Pharmacologically Active Plant-Derived Natural Products: A Review. Biotechnol. Adv. 2015, 33, 1582–1614. [Google Scholar] [CrossRef] [PubMed]
- Atieh, M.A.; Alsabeeha, N.H.; Payne, A.G.; Ali, S.; Faggion, C.M.J.; Esposito, M. Interventions for Replacing Missing Teeth: Alveolar Ridge Preservation Techniques for Dental Implant Site Development. Cochrane Database Syst. Rev. 2021, 4, CD010176. [Google Scholar] [CrossRef]
- Avvanzo, P.; Ciavarella, D.; Avvanzo, A.; Giannone, N.; Carella, M.; Lo Muzio, L. Immediate Placement and Temporization of Implants: Three- to Five-Year Retrospective Results. J. Oral. Implant. 2009, 35, 136–142. [Google Scholar] [CrossRef]
- Benvenuti, M.; Wright, M.; Naslund, J.; Miers, A.C. How Technology Use Is Changing Adolescents’ Behaviors and Their Social, Physical, and Cognitive Development. Curr. Psychol. 2023, 42, 16466–16469. [Google Scholar] [CrossRef]
- Bertelli, M.; Bonetti, G.; Donato, K.; Medori, M.C.; Dhuli, K.; Henehan, G.; Brown, R.; Sieving, P.; Sykora, P.; Marks, R.; et al. In Memory of Professor Derek Pheby. Clin. Ter. 2023, 174, 227–229. [Google Scholar] [CrossRef]
- Memè, L.; Pizzolante, T.; Saggiomo, A.P.; Plaku, D.; Inchingolo, A.D.; Inchingolo, F.; Rastelli, S. The Use of Ozone Therapy for the Treatment and Post-Surgical Management of Patients Treated with Bilateral Extraction of the Included Third Mandibular Molars. Oral. Implantol. A J. Innov. Adv. Tech. Oral. Health 2024, 16, 124–132. [Google Scholar] [CrossRef]
- Menon, R.K.; Gomez, A.; Brandt, B.W.; Leung, Y.Y.; Gopinath, D.; Watt, R.M.; Crielaard, W.; Nelson, K.E.; Botelho, M.G. Long-Term Impact of Oral Surgery with or without Amoxicillin on the Oral Microbiome-A Prospective Cohort Study. Sci. Rep. 2019, 9, 18761. [Google Scholar] [CrossRef]
- Minervini, G.; Del Mondo, D.; Russo, D.; Cervino, G.; D’Amico, C.; Fiorillo, L. Stem Cells in Temporomandibular Joint Engineering: State of Art and Future Persectives. J. Craniofac. Surg. 2022, 33, 2181–2187. [Google Scholar] [CrossRef]
- Minervini, G.; Franco, R.; Marrapodi, M.M.; Mehta, V.; Fiorillo, L.; Badnjević, A.; Cervino, G.; Cicciù, M. Gaucher: A Systematic Review on Oral and Radiological Aspects. Medicina 2023, 59, 670. [Google Scholar] [CrossRef]
- Minervini, G.; Franco, R.; Marrapodi, M.M.; Crimi, S.; Badnjević, A.; Cervino, G.; Bianchi, A.; Cicciù, M. Correlation between Temporomandibular Disorders (TMD) and Posture Evaluated Trough the Diagnostic Criteria for Temporomandibular Disorders (DC/TMD): A Systematic Review with Meta-Analysis. J. Clin. Med. 2023, 12, 2652. [Google Scholar] [CrossRef] [PubMed]
- Minervini, G.; Franco, R.; Marrapodi, M.M.; Fiorillo, L.; Cervino, G.; Cicciù, M. Economic Inequalities and Temporomandibular Disorders: A Systematic Review with Meta-Analysis. J. Oral. Rehabil. 2023, 50, 715–723. [Google Scholar] [CrossRef] [PubMed]
- Minervini, G.; Russo, D.; Herford, A.S.; Gorassini, F.; Meto, A.; D’Amico, C.; Cervino, G.; Cicciù, M.; Fiorillo, L. Teledentistry in the Management of Patients with Dental and Temporomandibular Disorders. Biomed. Res. Int. 2022, 2022, 7091153. [Google Scholar] [CrossRef]
- Minetti, E.; Palermo, A.; Inchingolo, A.D.; Patano, A.; Viapiano, F.; Ciocia, A.M.; de Ruvo, E.; Mancini, A.; Inchingolo, F.; Sauro, S.; et al. Autologous Tooth for Bone Regeneration: Dimensional Examination of Tooth Transformer® Granules. Eur. Rev. Med. Pharmacol. Sci. 2023, 27, 5421–5430. [Google Scholar] [CrossRef] [PubMed]
- Moergel, M.; Rocha, S.; Messias, A.; Nicolau, P.; Guerra, F.; Wagner, W. Radiographic Evaluation of Conical Tapered Platform-switched Implants in the Posterior Mandible: 1-year Results of a Two-center Prospective Study. Clin. Oral. Implant. Res. 2016, 27, 686–693. [Google Scholar] [CrossRef]
- Duarte, F.; Ramos, C.; Santos-Marino, J.; Martínez-Rodriguez, N.; Barona-Dorado, C.; Martínez-González, J.M. Bone Resorption Assessment Following Zygomatic Implants Surgery over 10 Years of Follow-Up. J. Clin. Med. 2025, 14, 989. [Google Scholar] [CrossRef]
- Szwed-Georgiou, A.; Płociński, P.; Kupikowska-Stobba, B.; Urbaniak, M.M.; Rusek-Wala, P.; Szustakiewicz, K.; Piszko, P.; Krupa, A.; Biernat, M.; Gazińska, M.; et al. Bioactive Materials for Bone Regeneration: Biomolecules and Delivery Systems. ACS Biomater. Sci. Eng. 2023, 9, 5222–5254. [Google Scholar] [CrossRef]
- Rumpler, M.; Würger, T.; Roschger, P.; Zwettler, E.; Sturmlechner, I.; Altmann, P.; Fratzl, P.; Rogers, M.J.; Klaushofer, K. Osteoclasts on Bone and Dentin in Vitro: Mechanism of Trail Formation and Comparison of Resorption Behavior. Calcif. Tissue Int. 2013, 93, 526–539. [Google Scholar] [CrossRef]
- Buser, D.; Dula, K.; Lang, N.P.; Nyman, S. Long-Term Stability of Osseointegrated Implants in Bone Regenerated with the Membrane Technique. 5-Year Results of a Prospective Study with 12 Implants. Clin. Oral. Implant. Res. 1996, 7, 175–183. [Google Scholar] [CrossRef] [PubMed]
- Simion, M.; Jovanovic, S.A.; Tinti, C.; Benfenati, S.P. Long-Term Evaluation of Osseointegrated Implants Inserted at the Time or after Vertical Ridge Augmentation. A Retrospective Study on 123 Implants with 1–5 Year Follow-Up. Clin. Oral. Implant. Res. 2001, 12, 35–45. [Google Scholar] [CrossRef]
- Canullo, L.; Sisti, A. Early Implant Loading after Vertical Ridge Augmentation (VRA) Using e-PTFE Titanium-Reinforced Membrane and Nano-Structured Hydroxyapatite: 2-Year Prospective Study. Eur. J. Oral. Implant. 2010, 3, 59–69. [Google Scholar]
- Canullo, L.; Iannello, G.; Peñarocha, M.; Garcia, B. Impact of Implant Diameter on Bone Level Changes around Platform Switched Implants: Preliminary Results of 18 Months Follow-up a Prospective Randomized Match-Paired Controlled Trial. Clin. Oral. Implant. Res. 2012, 23, 1142–1146. [Google Scholar] [CrossRef] [PubMed]
- Rocha, S.; Wagner, W.; Wiltfang, J.; Nicolau, P.; Moergel, M.; Messias, A.; Behrens, E.; Guerra, F. Effect of Platform Switching on Crestal Bone Levels around Implants in the Posterior Mandible: 3 Years Results from a Multicentre Randomized Clinical Trial. J. Clin. Periodontol. 2016, 43, 374–382. [Google Scholar] [CrossRef]
- Cumbo, C.; Marigo, L.; Somma, F.; La Torre, G.; Minciacchi, I.; D’Addona, A. Implant Platform Switching Concept: A Literature Review. Eur. Rev. Med. Pharmacol. Sci. 2013, 17, 392–397. [Google Scholar] [PubMed]
- Moon, S.-Y.; Lim, Y.-J.; Kim, M.-J.; Kwon, H.-B. Three-Dimensional Finite Element Analysis of Platform Switched Implant. J. Adv. Prosthodont. 2017, 9, 31–37. [Google Scholar] [CrossRef]
- Chiapasco, M.; Tommasato, G.; Palombo, D.; Del Fabbro, M. A Retrospective 10-Year Mean Follow-up of Implants Placed in Ridges Grafted Using Autogenous Mandibular Blocks Covered with Bovine Bone Mineral and Collagen Membrane. Clin. Oral. Implant. Res. 2020, 31, 328–340. [Google Scholar] [CrossRef]
- Tang, Y.L.; Yuan, J.; Song, Y.L.; Ma, W.; Chao, X.; Li, D.H. Ridge Expansion Alone or in Combination with Guided Bone Regeneration to Facilitate Implant Placement in Narrow Alveolar Ridges: A Retrospective Study. Clin. Oral Implant. Res. 2024, 26, 204–211. [Google Scholar] [CrossRef]
- Naenni, N.; Schneider, D.; Jung, R.E.; Hüsler, J.; Hämmerle, C.H.F.; Thoma, D.S. Randomized Clinical Study Assessing Two Membranes for Guided Bone Regeneration of Peri-Implant Bone Defects: Clinical and Histological Outcomes at 6 Months. Clin. Oral. Implant. Res. 2017, 28, 1309–1317. [Google Scholar] [CrossRef]
- Comparative Histological Analysis of Dentine-Derived Tooth Grafts in Maxillary vs Mandibular Socket Preservation: A Retrospective Study of 178 Cases. Available online: https://www.mdpi.com/2304-6767/12/10/320 (accessed on 30 March 2025).
- Pang, K.-M.; Um, I.-W.; Kim, Y.-K.; Woo, J.-M.; Kim, S.-M.; Lee, J.-H. Autogenous Demineralized Dentin Matrix from Extracted Tooth for the Augmentation of Alveolar Bone Defect: A Prospective Randomized Clinical Trial in Comparison with Anorganic Bovine Bone. Clin. Oral. Implant. Res. 2017, 28, 809–815. [Google Scholar] [CrossRef]
- Inchingolo, F.; Inchingolo, A.M.; Piras, F.; Ferrante, L.; Mancini, A.; Palermo, A.; Inchingolo, A.D.; Dipalma, G. Management of Patients Receiving Anticoagulation Therapy in Dental Practice: A Systematic Review. Healthcare 2024, 12, 1537. [Google Scholar] [CrossRef] [PubMed]
- Vervaeke, S.; Collaert, B.; Cosyn, J.; Deschepper, E.; De Bruyn, H. A Multifactorial Analysis to Identify Predictors of Implant Failure and Peri-Implant Bone Loss. Clin. Implant. Dent. Relat. Res. 2015, 17 (Suppl. S1), e298–e307. [Google Scholar] [CrossRef]
- DeLuca, S.; Zarb, G. The Effect of Smoking on Osseointegrated Dental Implants. Part II: Peri-Implant Bone Loss. Int. J. Prosthodont. 2006, 19, 560–566. [Google Scholar]
- Wennström, J.L.; Ekestubbe, A.; Gröndahl, K.; Karlsson, S.; Lindhe, J. Oral Rehabilitation with Implant-Supported Fixed Partial Dentures in Periodontitis-Susceptible Subjects. A 5-Year Prospective Study. J. Clin. Periodontol. 2004, 31, 713–724. [Google Scholar] [CrossRef] [PubMed]
- Casu, C.; Mannu, C. Atypical Afta Major Healing after Photodynamic Therapy. Case Rep. Dent. 2017, 2017, 8517470. [Google Scholar] [CrossRef] [PubMed]
- Cecchinato, D.; Olsson, C.; Lindhe, J. Submerged or Non-Submerged Healing of Endosseous Implants to Be Used in the Rehabilitation of Partially Dentate Patients. J. Clin. Periodontol. 2004, 31, 299–308. [Google Scholar] [CrossRef]
- Krennmair, G.; Krainhöfner, M.; Weinländer, M.; Piehslinger, E. Provisional Implants for Immediate Restoration of Partially Edentulous Jaws: A Clinical Study. Int. J. Oral. Maxillofac. Implant. 2008, 23, 717–725. [Google Scholar]
- del Castillo, R.; Drago, C. Indexing and Provisional Restoration of Single Implants. J. Oral. Maxillofac. Surg. 2005, 63, 11–21. [Google Scholar] [CrossRef]
- Inchingolo, A.M.; Patano, A.; Di Pede, C.; Inchingolo, A.D.; Palmieri, G.; de Ruvo, E.; Campanelli, M.; Buongiorno, S.; Carpentiere, V.; Piras, F.; et al. Autologous Tooth Graft: Innovative Biomaterial for Bone Regeneration. Tooth Transformer® and the Role of Microbiota in Regenerative Dentistry. A Systematic Review. J. Funct. Biomater. 2023, 14, 132. [Google Scholar] [CrossRef]
- Palla, G.; Fischer, D.S.; Regev, A.; Theis, F.J. Spatial Components of Molecular Tissue Biology. Nat. Biotechnol. 2022, 40, 308–318. [Google Scholar] [CrossRef] [PubMed]
- Olchowy, A.; Olchowy, C.; Zawiślak, I.; Matys, J.; Dobrzyński, M. Revolutionizing Bone Regeneration with Grinder-Based Dentin Biomaterial: A Systematic Review. Int. J. Mol. Sci. 2024, 25, 9583. [Google Scholar] [CrossRef]
- Bakhshalian, N.; Hooshmand, S.; Campbell, S.C.; Brummel-Smith, K.; Arjmandi, B.H. Biocompatibility and Microstructural Analysis of Osteopromotive Property of Allogenic Demineralized Dentin Matrix|Request PDF. Int. J. Oral Maxillofac. Implant. 2024, 28, 1655. [Google Scholar] [CrossRef]
- Manes, T.J.; DeGenova, D.T.; Taylor, B.C.; Patel, J.N. Far posterior approach for rib fracture fixation: Surgical technique and tips. JBJS Essent Surg Tech. 2024, 14, e23.00094. [Google Scholar] [CrossRef]
- Mourad, K.E.; Rashed, N.H.A.H.; Altonbary, G.Y.; Fattah Hegazy, S.A. Five Years of Radiographic Evaluation for the Peri-Implant Bone Changes of All-on-Four Implant Prostheses Constructed from Different Framework Materials Using Different Digital Construction Techniques. BMC Oral. Health 2024, 24, 910. [Google Scholar] [CrossRef] [PubMed]
- Lee, E.-Y.; Kim, E.-S.; Kim, K.-W. Scanning Electron Microscopy and Energy Dispersive X-Ray Spectroscopy Studies on Processed Tooth Graft Material by Vacuum-Ultrasonic Acceleration. Maxillofac. Plast. Reconstr. Surg. 2014, 36, 103–110. [Google Scholar] [CrossRef]
- Sun, H.; Yin, X.; Yang, C.; Kuang, H.; Luo, W. Advances in Autogenous Dentin Matrix Graft as a Promising Biomaterial for Guided Bone Regeneration in Maxillofacial Region: A Review. Medicine 2024, 103, e39422. [Google Scholar] [CrossRef]
- Sapoznikov, L.; Humphrey, M. (PDF) Progress in Dentin-Derived Bone Graft Materials: A New Xenogeneic Dentin-Derived Material with Retained Organic Component Allows for Broader and Easier Application. Cells 2024, 13, 1806. [Google Scholar] [CrossRef]






| Sample size | 21 patients (7 male–14 female) |
| Average age | 63 years (range 50–87) |
| Total extracted teeth | 28 Incisive 0 Canine 1 Premolars 6 Molars 21 |
| Reason to extraction | 20 teeth were removed for periodontal reasons 5 teeth were removed for fractures 3 teeth were removed for caries |
| Type of teeth extracted | 17 teeth were whole 11 teeth were endedontical |
| Dental implants | 28 implants |
| Average implant lenght | 10.72 mm (+−1.12) |
| Implants dimensions | 25 diameter 5–4 diameter 4.5–1 diameter 4 |
| Category | Details |
|---|---|
| Study Design | Retrospective chart review |
| Study Period | 2017–2020 |
| Number of Patients | 21 (7 males, 14 females) |
| Average Age | 63 years (range: 50–87) |
| Total Extracted Teeth | 28 |
| Tooth Types Extracted | 1 canine, 6 premolars, 21 molars |
| Number of Implants Placed | 28 |
| Implant Dimensions | Diameter: 25 implants (5 mm), 4 implants (4.5 mm), 1 implant (4 mm) |
| Average Implant Length | 10.72 mm (±1.12) |
| Bone Graft Material | Autologous dentin graft processed with the Tooth Transformer |
| Follow-up Period | 4–5 years |
| Evaluation Methods | Orthopantomograms (OPG), cone beam computed tomography (CBCT), intraoral radiographs, clinical examinations |
| Follow-up Intervals | 3, 6, 12 months and annually |
| Implant Success Rate | 100% after 4 years |
| Peri-implant Bone Loss | Mean: 0.1208 mm (±0.1307) |
| Mesial Bone Loss | 0.14302 mm (±0.0107) |
| Distal Bone Loss | 0.09934 mm (±0.0143) |
| Key Outcomes | High stability of regenerated bone, minimal resorption, no inflammation or foreign body reaction |
| Statistical Analysis | Descriptive statistics, paired t-tests, ANOVA (p < 0.05) |
| Number of Implants per Year | 2019: 13, 2020: 7, 2021: 8 |
| Peri-Implant Bone Loss | |
|---|---|
| AVERAGE BONE LOSS | 0.1208 + −0.1307 |
| Mesial bone loss | 0.14302 + −0.0107 |
| Distal bone loss | 0.09934 + −0.0143 |
| Number of implants per year | |
| 2019 | 13 |
| 2020 | 7 |
| 2021 | 8 |
Disclaimer/Publisher’s Note: The statements, opinions and data contained in all publications are solely those of the individual author(s) and contributor(s) and not of MDPI and/or the editor(s). MDPI and/or the editor(s) disclaim responsibility for any injury to people or property resulting from any ideas, methods, instructions or products referred to in the content. |
© 2025 by the authors. Licensee MDPI, Basel, Switzerland. This article is an open access article distributed under the terms and conditions of the Creative Commons Attribution (CC BY) license (https://creativecommons.org/licenses/by/4.0/).
Share and Cite
Minetti, E.; Inchingolo, A.M.; Ferrante, L.; Marinelli, G.; Inchingolo, F.; Inchingolo, A.D.; Palermo, A.; Dipalma, G. Six-Year Implants Follow-Up After Guided Bone Regeneration Using Autologous Tooth Graft: Innovative Biomaterial for Bone Regeneration Tooth Transformer®. J. Funct. Biomater. 2025, 16, 172. https://doi.org/10.3390/jfb16050172
Minetti E, Inchingolo AM, Ferrante L, Marinelli G, Inchingolo F, Inchingolo AD, Palermo A, Dipalma G. Six-Year Implants Follow-Up After Guided Bone Regeneration Using Autologous Tooth Graft: Innovative Biomaterial for Bone Regeneration Tooth Transformer®. Journal of Functional Biomaterials. 2025; 16(5):172. https://doi.org/10.3390/jfb16050172
Chicago/Turabian StyleMinetti, Elio, Angelo Michele Inchingolo, Laura Ferrante, Grazia Marinelli, Francesco Inchingolo, Alessio Danilo Inchingolo, Andrea Palermo, and Gianna Dipalma. 2025. "Six-Year Implants Follow-Up After Guided Bone Regeneration Using Autologous Tooth Graft: Innovative Biomaterial for Bone Regeneration Tooth Transformer®" Journal of Functional Biomaterials 16, no. 5: 172. https://doi.org/10.3390/jfb16050172
APA StyleMinetti, E., Inchingolo, A. M., Ferrante, L., Marinelli, G., Inchingolo, F., Inchingolo, A. D., Palermo, A., & Dipalma, G. (2025). Six-Year Implants Follow-Up After Guided Bone Regeneration Using Autologous Tooth Graft: Innovative Biomaterial for Bone Regeneration Tooth Transformer®. Journal of Functional Biomaterials, 16(5), 172. https://doi.org/10.3390/jfb16050172

