Sheep Bone Ultrastructure Analyses Reveal Differences in Bone Maturation around Mg-Based and Ti Implants
Abstract
1. Introduction
2. Materials and Methods
2.1. Samples
2.1.1. Material Processing
2.1.2. Animal Experiments
2.2. Scanning SAXS/XRD
2.3. Nanoindentation
2.4. Data Processing
2.5. Histology
3. Results
3.1. Platelet Thickness (T-Parameter)
3.2. d-Spacing
3.3. Crystallite Size
3.4. Mechanical Testing
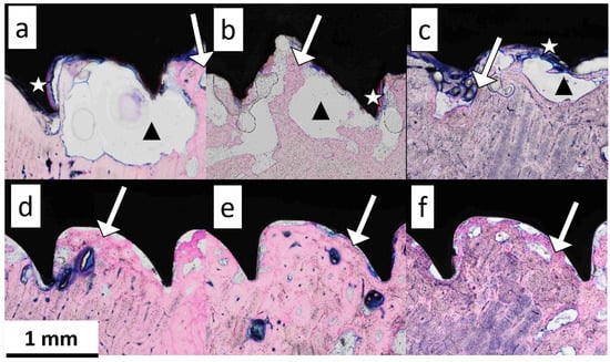
3.5. Histology
4. Discussion
5. Conclusions
Author Contributions
Funding
Institutional Review Board Statement
Data Availability Statement
Acknowledgments
Conflicts of Interest
References
- Manousaki, D.; Kämpe, A.; Forgetta, V.; Makitie, R.; Bardai, G.; Belisle, A.; Li, R.; Andersson, S.; Makitie, O.; Rauch, F.; et al. Increased Burden of Common Risk Alleles in Children With a Significant Fracture History. JBMR 2020, 35, 875–882. [Google Scholar] [CrossRef] [PubMed]
- Center, J.R. Fracture Burden: What Two and a Half Decades of Dubbo Osteoporosis Epidemiology Study Data Reveal About Clinical Outcomes of Osteoporosis. Curr. Osteoporos. Rep. 2017, 15, 88–95. [Google Scholar] [CrossRef]
- Fischer, S.; Kapinos, K.A.; Mulcahy, A.; Pinto, L.; Hayden, O.; Barron, R. Estimating the long-term functional burden of osteoporosis-related fractures. Osteoporos. Int. 2017, 28, 2843–2851. [Google Scholar] [CrossRef]
- Holweg, P.; Berger, L.; Cihova, M.; Donohue, N.; Clement, B.; Schwarze, U.; Sommer, N.G.; Hohenberger, G.; van den Beucken, J.J.J.P.; Seibert, F.; et al. A lean magnesium–zinc–calcium alloy ZX00 used for bone fracture stabilization in a large growing-animal model. Osteoporos. Int. 2017, 28, 2843–2851. [Google Scholar] [CrossRef]
- Maguire, M.; Cowan, J. Magnesium chemistry and biochemistry. Biometals 2002, 15, 203–210. [Google Scholar] [CrossRef] [PubMed]
- Saris, N.E.; Mervaala, E.; Karppanen, H.; Khawaja, J.A.; Lewenstam, A. Magnesium. An update on physiological, clinical and analytical aspects. Clin. Chim. Acta 2000, 294, 1–26. [Google Scholar] [CrossRef] [PubMed]
- Herber, V.; Okutan, B.; Antonoglou, G.; Sommer, N.G.; Payer, M. Bioresorbable Magnesium-Based Alloys as Novel Biomaterials in Oral Bone Regeneration: General Review and Clinical Perspectives. J. Clin. Med. 2021, 10, 1842. [Google Scholar] [CrossRef] [PubMed]
- Rahmati, M.; Stötzel, S.; Khassawna, T.; Iskhahova, K.; Wieland, F.; Zeller-Plumhoff, B.; Haugen, H. Early osteoimmunomodulatory effects of magnesium-calcium-zinc alloys. J. Tissue Eng. 2021, 12, 1–12. [Google Scholar] [CrossRef]
- Witte, F.; Ulrich, H.; Rudert, M.; Willbold, E. Biodegradable magnesium scaffolds: Part 1: Appropriate inflammatory response. J. Biomed. Mater. Res. Part A 2007, 81A, 748–756. [Google Scholar] [CrossRef]
- Seal, C.K.; Vince, K.; Hodgson, M.A. Biodegradable surgical implants based on magnesium alloys—A review of current research. IOP Conf. Ser. Mater. Sci. Eng. 2009, 4, 012011. [Google Scholar] [CrossRef]
- Brar, H.S.; Platt, M.O.; Sarntinoranont, M.; Martin, P.I.; Manuel, M.V. Magnesium as a biodegradable and bioabsorbable material for medical implants. JOM 2009, 61, 31–34. [Google Scholar] [CrossRef]
- Willumeit-Römer, R. The Interface Between Degradable Mg and Tissue. JOM 2019, 71, 1447–1455. [Google Scholar] [CrossRef]
- Hofstetter, J.; Becker, M.; Martinelli, E.; Weinberg, A.; Mingler, B.; Kilian, H.; Pogatscher, S.; Uggowitzer, P.; Loffler, J. High-Strength Low-Alloy (HSLA) Mg–Zn–Ca Alloys with Excellent Biodegradation Performance. JOM 2014, 66, 566–572. [Google Scholar] [CrossRef]
- Chen, J.; Tan, L.; Yu, X.; Etim, I.P.; Ibrahim, M.; Yang, K. Mechanical properties of magnesium alloys for medical application: A review. J. Mech. Behav. Biomed. Mater. 2018, 87, 68–79. [Google Scholar] [CrossRef] [PubMed]
- McCall, K.A.; Huang, C.c.; Fierke, C.A. Function and Mechanism of Zinc Metalloenzymes. J. Nutr. 2000, 130, 1437S–1446S. [Google Scholar] [CrossRef] [PubMed]
- Grün, N.; Holweg, P.; Tangl, S.; Eichler, J.; Berger, L.; van den Beucken, J.; Löffler, J.; Klestil, T.; Weinberg, A. Comparison of a resorbable magnesium implant in small and large growing-animal models. Acta Biomater. 2018, 78, 378–386. [Google Scholar] [CrossRef] [PubMed]
- Sommer, N.G.; Hirzberger, D.; Paar, L.; Berger, L.; Ćwieka, H.; Schwarze, U.Y.; Herber, V.; Okutan, B.; Bodey, A.J.; Willumeit-Römer, R.; et al. Implant degradation of low-alloyed Mg–Zn–Ca in osteoporotic, old and juvenile rats. Acta Biomater. 2022, 147, 427–438. [Google Scholar] [CrossRef] [PubMed]
- Wong, C.C.; Wong, P.C.; Tsai, P.H.; Jang, J.S.C.; Cheng, C.K.; Chen, H.H.; Chen, C.H. Biocompatibility and Osteogenic Capacity of Mg-Zn-Ca Bulk Metallic Glass for Rabbit Tendon-Bone Interference Fixation. Int. J. Mol. Sci. 2019, 20, 2191. [Google Scholar] [CrossRef] [PubMed]
- Martinez, D.C.; Dobkowska, A.; Marek, R.; Ćwieka ad Jakub Jaroszewicz, H.; Płociński, T.; Donik, Č.; Helmholz, H.; Luthringer, B.; Zeller-Plumhoff, B.; Willumeit-Römer, R.; et al. In vitro and in vivo degradation behavior of Mg-0.45Zn-0.45Ca (ZX00) screws for orthopedic applications. Bioact. Mater. 2023, 28, 132–154. [Google Scholar] [CrossRef]
- Grünewald, T.; Rennhofer, H.; Hesse, B.; Burghammer, M.; Stanzl-Tschegg, S.; Cotte, M.; Löffler, J.; Weinberg, A.; Lichtenegger, H. Magnesium from bioresorbable implants: Distribution and impact on the nano- and mineral structure of bone. Biomaterials 2016, 76, 250–260. [Google Scholar] [CrossRef]
- Grünewald, T.; Ogier, A.; Akbarzadeh, J.; Meischel, M.; Peterlik, H.; Stanzl-Tschegg, S.; Löffler, J.; Weinberg, A.; Lichtenegger, H. Reaction of bone nanostructure to a biodegrading Magnesium WZ21 implant—A scanning small-angle X-ray scattering time study. Acta Biomater. 2016, 31, 448–457. [Google Scholar] [CrossRef] [PubMed]
- Liebi, M.; Lutz-Bueno, V.; Guizar-Sicairos, M.; Schönbauer, B.M.; Eichler, J.; Martinelli, E.; Löffler, J.F.; Weinberg, A.; Lichtenegger, H.; Grünewald, T.A. 3D nanoscale analysis of bone healing around degrading Mg implants evaluated by X-ray scattering tensor tomography. Acta Biomater. 2021, 134, 804–817. [Google Scholar] [CrossRef] [PubMed]
- Meischel, M.; Daniel, H.; Draxler, J.; Tschegg, E.K.; Eichler, J.; Prohaska, T.; Stanzl-Tschegg, S.E. Bone-implant degradation and mechanical response of bone surrounding Mg-alloy implants. J. Mech. Behav. Biomed. Mater. 2017, 71, 307–313. [Google Scholar] [CrossRef] [PubMed]
- Zeller-Plumhoff, B.; Tolnai, D.; Wolff, M.; Greving, I.; Hort, N.; Willumeit-Römer, R. Utilizing Synchrotron Radiation for the Characterization of Biodegradable Magnesium Alloys—From Alloy Development to the Application as Implant Material. Adv. Eng. Mater. 2021, 23, 2100197. [Google Scholar] [CrossRef]
- Sartoretto, S.C.; Uzeda, M.J.; Miguel, F.B.; Nascimento, J.R.; Ascoli, F.; Calasans-Maia, M.D. Sheep as an Experimental Model for Biomaterial Implant Evaluation. Acta Ortop. Bras. 2016, 24, 262–266. [Google Scholar] [CrossRef] [PubMed]
- Zeller-Plumhoff, B.; Malich, C.; Krüger, D.; Campbell, G.; Wiese, B.; Galli, S.; Wennerberg, A.; Willumeit-Römer, R.; Wieland, D. Analysis of the bone ultrastructure around biodegradable Mg–xGd implants using small angle X-ray scattering and X-ray diffraction. Acta Biomater. 2020, 101, 637–645. [Google Scholar] [CrossRef]
- Roth, S.V.; Herzog, G.; Körstgens, V.; Buffet, A.; Schwartzkopf, M.; Perlich, J.; Kashem, M.M.A.; Döhrmann, R.; Gehrke, R.; Rothkirch, A.; et al. In situ observation of cluster formation during nanoparticle solution casting on a colloidal film. J. Phys. Condens. Matter. 2011, 23, 254208. [Google Scholar] [CrossRef] [PubMed]
- Buffet, A.; Rothkirch, A.; Döhrmann, R.; Körstgens, V.; Abul Kashem, M.M.; Perlich, J.; Herzog, G.; Schwartzkopf, M.; Gehrke, R.; Müller-Buschbaum, P.; et al. P03, the microfocus and nanofocus X-ray scattering (MiNaXS) beamline of the PETRA III storage ring: The microfocus endstation. J. Synchrotron Radiat. 2012, 19, 647–653. [Google Scholar] [CrossRef]
- Smith, A.J.; Alcock, S.G.; Davidson, L.S.; Emmins, J.H.; Hiller Bardsley, J.C.; Holloway, P.; Malfois, M.; Marshall, A.R.; Pizzey, C.L.; Rogers, S.E.; et al. I22: SAXS/WAXS beamline at Diamond Light Source—An overview of 10 years operation. J. Synchrotron. Radiat. 2021, 28, 939–947. [Google Scholar] [CrossRef]
- Krywka, C.; Neubauer, H.; Priebe, M.; Salditt, T.; Keckes, J.; Buffet, A.; Roth, S.V.; Doehrmann, R.; Mueller, M. A two-dimensional waveguide beam for X-ray nanodiffraction. J. Appl. Crystallogr. 2012, 45, 85–92. [Google Scholar] [CrossRef]
- Todt, J.; Zalesak, J.; Krywka, C.; Keckes, J. Influence of Gradient Residual Stress and Tip Shape on Stress Fields Inside Indented TiN Hard Coating. Adv. Eng. Mater. 2021, 23, 2100130. [Google Scholar] [CrossRef]
- Kieffer, J.; Karkoulis, D. PyFAI, a versatile library for azimuthal regrouping. J. Phys. Conf. Ser. 2013, 425, 202012. [Google Scholar] [CrossRef]
- Kieffer, J.; Karkoulis, D. PyFAI: A Python library for high performance azimuthal integration on GPU. Powder Diffr. 2014, 28, S339–S350. [Google Scholar] [CrossRef]
- Gourrier, A.; Li, C.; Siegel, S.; Paris, O.; Roschger, P.; Klaushofer, K.; Fratzl, P. Scanning small-angle X-ray scattering analysis of the size and organization of the mineral nanoparticles in fluorotic bone using a stack of cards model. J. Appl. Crystallogr. 2010, 43, 1385–1392. [Google Scholar] [CrossRef]
- Walenta, E. Small angle x-ray scattering. Von O. GLATTER und O. KRATKY. Acta Polym. 1985, 36, 296. [Google Scholar] [CrossRef]
- Patterson, A.L. The Scherrer Formula for X-Ray Particle Size Determination. Phys. Rev. 1939, 56, 978. [Google Scholar] [CrossRef]
- Jenö, L.; Géza, L. A simple differential staining method for semi-thin sections of ossifying cartilage and bone tissues embedded in epoxy resin. Mikroskopie 1975, 31, 1–4. [Google Scholar]
- Liu, Y.; Manjubala, I.; Schell, H.; Epari, D.; Roschger, P.; Duda, G.N.; Fratzl, P. Size and habit of mineral particles in bone and mineralized callus during bone healing in sheep. J. Bone Miner. Res. 2010, 25, 2029–2038. [Google Scholar] [CrossRef]
- Davies, E.; Müller, K.H.; Wong, W.C.; Pickard, C.J.; Reid, D.G.; Skepper, J.N.; Duer, M.J. Citrate bridges between mineral platelets in bone. Proc. Natl. Acad. Sci. USA 2014, 111, E1354–E1363. [Google Scholar] [CrossRef]
- Le Cann, S.; Törnquist, E.; Silva Barreto, I.; Fraulob, M.; Albini Lomami, H.; Verezhak, M.; Guizar-Sicairos, M.; Isaksson, H.; Haïat, G. Spatio-temporal evolution of hydroxyapatite crystal thickness at the bone-implant interface. Acta Biomater. 2020, 116, 391–399. [Google Scholar] [CrossRef]
- Casanova, E.A.; Rodriguez-Palomo, A.; Stähli, L.; Arnke, K.; Gröninger, O.; Generali, M.; Neldner, Y.; Tiziani, S.; Dominguez, A.P.; Guizar-Sicairos, M.; et al. SAXS imaging reveals optimized osseointegration properties of bioengineered oriented 3D-PLGA/aCaP scaffolds in a critical size bone defect model. Biomaterials 2023, 294, 121989. [Google Scholar] [CrossRef] [PubMed]
- Hoerth, R.M.; Kerschnitzki, M.; Aido, M.; Schmidt, I.; Burghammer, M.; Duda, G.N.; Fratzl, P.; Willie, B.M.; Wagermaier, W. Correlations between nanostructure and micromechanical properties of healing bone. J. Mech. Behav. Biomed. Mater. 2018, 77, 258–266. [Google Scholar] [CrossRef] [PubMed]
- Hoerth, R.M.; Seidt, B.M.; Shah, M.; Schwarz, C.; Willie, B.M.; Duda, G.N.; Fratzl, P.; Wagermaier, W. Mechanical and structural properties of bone in non-critical and critical healing in rat. Acta Biomater. 2014, 10, 4009–4019. [Google Scholar] [CrossRef] [PubMed]
- Lange, C.; Li, C.; Manjubala, I.; Wagermaier, W.; Kühnisch, J.; Kolanczyk, M.; Mundlos, S.; Knaus, P.; Fratzl, P. Fetal and postnatal mouse bone tissue contains more calcium than is present in hydroxyapatite. J. Struct. Biol. 2011, 176, 1047–8477. [Google Scholar] [CrossRef] [PubMed]
- Bünger, M.H.; Foss, M.; Erlacher, K.; Li, H.; Zou, X.; Langdahl, B.L.; Bünger, C.; Birkedal, H.; Besenbacher, F.; Pedersen, J.S. Bone nanostructure near titanium and porous tantalum implants studied by scanning small angle x-ray scattering. Eur. Cells Mater. 2011, 12, 81–91. [Google Scholar] [CrossRef] [PubMed]
- Arsenault, A.; Grynpas, M. Crystals in calcified epiphyseal cartilage and cortical bone of the rat. Calcif. Tissue Int. 1988, 43, 219–225. [Google Scholar] [CrossRef] [PubMed]
- Vranceanu, D.M.; Ionescu, I.C.; Ungureanu, E.; Cojocaru, M.O.; Vladescu, A.; Cotrut, C.M. Magnesium Doped Hydroxyapatite-Based Coatings Obtained by Pulsed Galvanostatic Electrochemical Deposition with Adjustable Electrochemical Behavior. Coatings 2020, 10, 727. [Google Scholar] [CrossRef]
- Gavinho, S.R.; Bozdag, M.; Kalkandelen, C.; Regadas, J.S.; Jakka, S.K.; Gunduz, O.; Oktar, F.N.; Graça, M.P.F. An Eco-Friendly Process to Extract Hydroxyapatite from Sheep Bones for Regenerative Medicine: Structural, Morphologic and Electrical Studies. J. Funct. Biomater. 2023, 14, 279. [Google Scholar] [CrossRef]
- Cursaru, L.M.; Iota, M.; Piticescu, R.M.; Tarnita, D.; Savu, S.V.; Savu, I.D.; Dumitrescu, G.; Popescu, D.; Hertzog, R.G.; Calin, M. Hydroxyapatite from Natural Sources for Medical Applications. Materials 2022, 15, 91. [Google Scholar] [CrossRef]
- Meneghini, C.; Dalconi, M.C.; Nuzzo, S.; Mobilio, S.; Wenk, R.H. Rietveld Refinement on X-Ray Diffraction Patterns of Bioapatite in Human Fetal Bones. Biophys. J. 2003, 84, 2021–2029. [Google Scholar] [CrossRef]
- Londoño-Restrepo, S.; Jeronimo-Cruz, R.; Millán-Malo, B.; Rivera-Muñoz, E.; Rodriguez-Garcia, M. Effect of the Nano Crystal Size on the X-ray Diffraction Patterns of Biogenic Hydroxyapatite from Human, Bovine, and Porcine Bones. Sci. Rep. 2019, 9, 5915. [Google Scholar] [CrossRef] [PubMed]
- Camacho, N.; Rinnerthaler, S.; Paschalis, E.; Mendelsohn, R.; Boskey, A.; Fratzl, P. Complementary information on bone ultrastructure from scanning small angle X-ray scattering and Fourier-transform infrared microspectroscopy. Bone 1999, 25, 287–293. [Google Scholar] [CrossRef]
- Farlay, D.; Panczer, G.; Rey, C.; Delmas, P.D.; Boivin, G. Mineral maturity and crystallinity index are distinct characteristics of bone mineral. J. Bone Miner. Metab. 2010, 28, 433–445. [Google Scholar] [CrossRef] [PubMed]
- Mahamid, J.; Aichmayer, B.; Shimoni, E.; Ziblat, R.; Li, C.; Siegel, S.; Paris, O.; Fratzl, P.; Weiner, S.; Addadi, L. Mapping amorphous calcium phosphate transformation into crystalline mineral from the cell to the bone in zebrafish fin rays. Proc. Natl. Acad. Sci. USA 2010, 107, 6316–6321. [Google Scholar] [CrossRef]
- Olszta, M.J.; Cheng, X.; Jee, S.S.; Kumar, R.; Kim, Y.Y.; Kaufman, M.J.; Douglas, E.P.; Gower, L.B. Bone structure and formation: A new perspective. Mater. Sci. Eng. R Rep. 2007, 58, 77–116. [Google Scholar] [CrossRef]
- Dejea, H.; Raina, D.B.; Silva Barreto, I.; Sharma, K.; Liu, Y.; Ferreira Sanchez, D.; Johansson, U.; Isaksson, H. Multi-scale characterization of the spatio-temporal interplay between elemental composition, mineral deposition and remodelling in bone fracture healing. Acta Biomater. 2023, 167, 135–146. [Google Scholar] [CrossRef] [PubMed]
- Bigi, A.; Foresti, E.; Gregorini, R.; Ripamonti, A.; Roveri, N.; Shah, J.S. The role of magnesium on the structure of biological apatites. Calcif. Tissue Int. 1992, 50, 439–444. [Google Scholar] [CrossRef] [PubMed]
- Burnell, J.M.; Liu, C.; Miller, A.G.; Teubner, E. Effects of dietary alteration of bicarbonate and magnesium on rat bone. Am. J. Physiol. 1986, 250 Pt 2, F302–F307. [Google Scholar] [CrossRef] [PubMed]
- Krüger, D.; Galli, S.; Zeller-Plumhoff, B.; Wieland, D.F.; Peruzzi, N.; Wiese, B.; Heuser, P.; Moosmann, J.; Wennerberg, A.; Willumeit-Römer, R. High-resolution ex vivo analysis of the degradation and osseointegration of Mg-xGd implant screws in 3D. Bioact. Mater. 2022, 13, 37–525. [Google Scholar] [CrossRef]
- Zhang, E.; Xu, L.; Yu, G.; Pan, F.; Yang, K. In vivo evaluation of biodegradable magnesium alloy bone implant in the first 6 months implantation. J. Biomed. Mater. Res. Part A 2009, 90A, 882–893. [Google Scholar] [CrossRef]
- Kraus, T.; Fischerauer, S.F.; Hänzi, A.C.; Uggowitzer, P.J.; Löffler, J.F.; Weinberg, A.M. Magnesium alloys for temporary implants in osteosynthesis: In vivo studies of their degradation and interaction with bone. Acta Biomater. 2012, 8, 1230–1238. [Google Scholar] [CrossRef] [PubMed]
- Chu, W.; Li, T.; Jia, G.; Chang, Y.; Liu, Z.; Pei, J.; Yu, D.; Zhai, Z. Exposure to high levels of magnesium disrupts bone mineralization in vitro and in vivo. Ann. Transl. Med. 2020, 8, 1419. [Google Scholar] [CrossRef] [PubMed]
- Bruns, S.; Krüger, D.; Galli, S.; Wieland, D.F.; Hammel, J.U.; Beckmann, F.; Wennerberg, A.; Willumeit-Römer, R.; Zeller-Plumhoff, B.; Moosmann, J. On the material dependency of peri-implant morphology and stability in healing bone. Bioact. Mater. 2023, 28, 155–166. [Google Scholar] [CrossRef] [PubMed]










| Methods | |||||||||
|---|---|---|---|---|---|---|---|---|---|
| SAXS/XRD | Nanoindentation | Histology | |||||||
| time points [weeks] | 6 | 12 | 24 | 6 | 12 | 24 | 6 | 12 | 24 |
| Ti | 12 | 12 | 12 | 1 | 1 | 1 | 1 | 1 | 1 |
| ZX00 | 12 | 12 | 12 | 1 | 1 | 1 | 1 | 1 | 1 |
Disclaimer/Publisher’s Note: The statements, opinions and data contained in all publications are solely those of the individual author(s) and contributor(s) and not of MDPI and/or the editor(s). MDPI and/or the editor(s) disclaim responsibility for any injury to people or property resulting from any ideas, methods, instructions or products referred to in the content. |
© 2024 by the authors. Licensee MDPI, Basel, Switzerland. This article is an open access article distributed under the terms and conditions of the Creative Commons Attribution (CC BY) license (https://creativecommons.org/licenses/by/4.0/).
Share and Cite
Iskhakova, K.; Wieland, D.C.F.; Marek, R.; Schwarze, U.Y.; Davydok, A.; Cwieka, H.; AlBaraghtheh, T.; Reimers, J.; Hindenlang, B.; Sefa, S.; et al. Sheep Bone Ultrastructure Analyses Reveal Differences in Bone Maturation around Mg-Based and Ti Implants. J. Funct. Biomater. 2024, 15, 192. https://doi.org/10.3390/jfb15070192
Iskhakova K, Wieland DCF, Marek R, Schwarze UY, Davydok A, Cwieka H, AlBaraghtheh T, Reimers J, Hindenlang B, Sefa S, et al. Sheep Bone Ultrastructure Analyses Reveal Differences in Bone Maturation around Mg-Based and Ti Implants. Journal of Functional Biomaterials. 2024; 15(7):192. https://doi.org/10.3390/jfb15070192
Chicago/Turabian StyleIskhakova, Kamila, D. C. Florian Wieland, Romy Marek, Uwe Y. Schwarze, Anton Davydok, Hanna Cwieka, Tamadur AlBaraghtheh, Jan Reimers, Birte Hindenlang, Sandra Sefa, and et al. 2024. "Sheep Bone Ultrastructure Analyses Reveal Differences in Bone Maturation around Mg-Based and Ti Implants" Journal of Functional Biomaterials 15, no. 7: 192. https://doi.org/10.3390/jfb15070192
APA StyleIskhakova, K., Wieland, D. C. F., Marek, R., Schwarze, U. Y., Davydok, A., Cwieka, H., AlBaraghtheh, T., Reimers, J., Hindenlang, B., Sefa, S., Lopes Marinho, A., Willumeit-Römer, R., & Zeller-Plumhoff, B. (2024). Sheep Bone Ultrastructure Analyses Reveal Differences in Bone Maturation around Mg-Based and Ti Implants. Journal of Functional Biomaterials, 15(7), 192. https://doi.org/10.3390/jfb15070192

