In Vitro Effects of Weissella cibaria CMU and CMS1 on Receptor Activator of NF-κB Ligand (RANKL)-Induced Osteoclast Differentiation
Abstract
1. Introduction
2. Materials and Methods
2.1. Cell Culture and Osteoclast Differentiation In Vitro
2.2. Preparation of Heat-Killed Bacteria and Cell-Free Supernatants
2.3. Cell Viability Assay
2.4. Tartrate-Resistant Acid Phosphatase (TRAP) Staining and Activity
2.5. Bone Resorption Assay
2.6. Reverse Transcription (RT)-Quantitative Polymerase Chain Reaction (qPCR)
2.7. Western Blotting Analyses
2.8. Statistical Analysis
3. Results
3.1. Cytotoxicity of W. cibaria CMU and CMS1 in RAW 264.7 Cells
3.2. Effects of W. cibaria CMU and CMS1 on RANKL-Induced Osteoclastogenesis
3.2.1. HK W. cibaria Inhibited Osteoclastogenesis and TRAP Activity in RAW 264.7 Cells
3.2.2. CFSs of W. cibaria Inhibited Osteoclastogenesis and TRAP Activity in RAW 264.7 Cells
3.3. Effects of W. cibaria CMU and CMS1 on Bone Resorption
3.4. Effects of W. cibaria CMU and CMS1 on Osteoclastogenesis-Associated Gene Expression
3.4.1. HK W. cibaria Suppressed Osteoclastogenesis-Associated Gene Expression
3.4.2. CFSs of W. cibaria Selectively Suppressed the Expression of Osteoclastogenesis-Associated Genes
3.5. Effects of W. cibaria CMU and CMS1 on Osteoclastogenesis-Associated Protein Expression
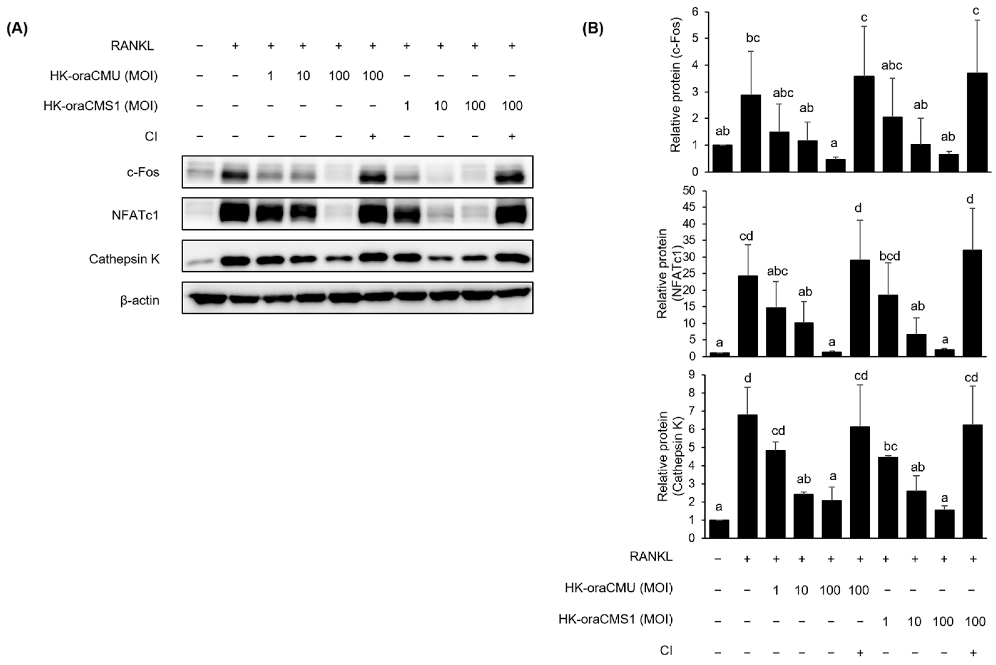
3.5.1. HK W. cibaria Suppressed Osteoclastogenesis-Associated Protein Expression
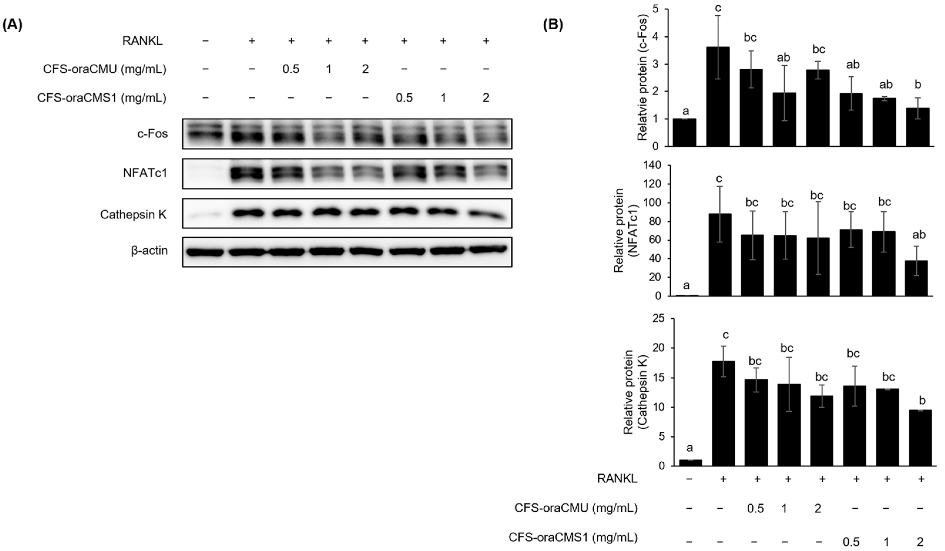
3.5.2. CFSs of W. cibaria Suppressed Osteoclastogenesis-Associated Protein Expression
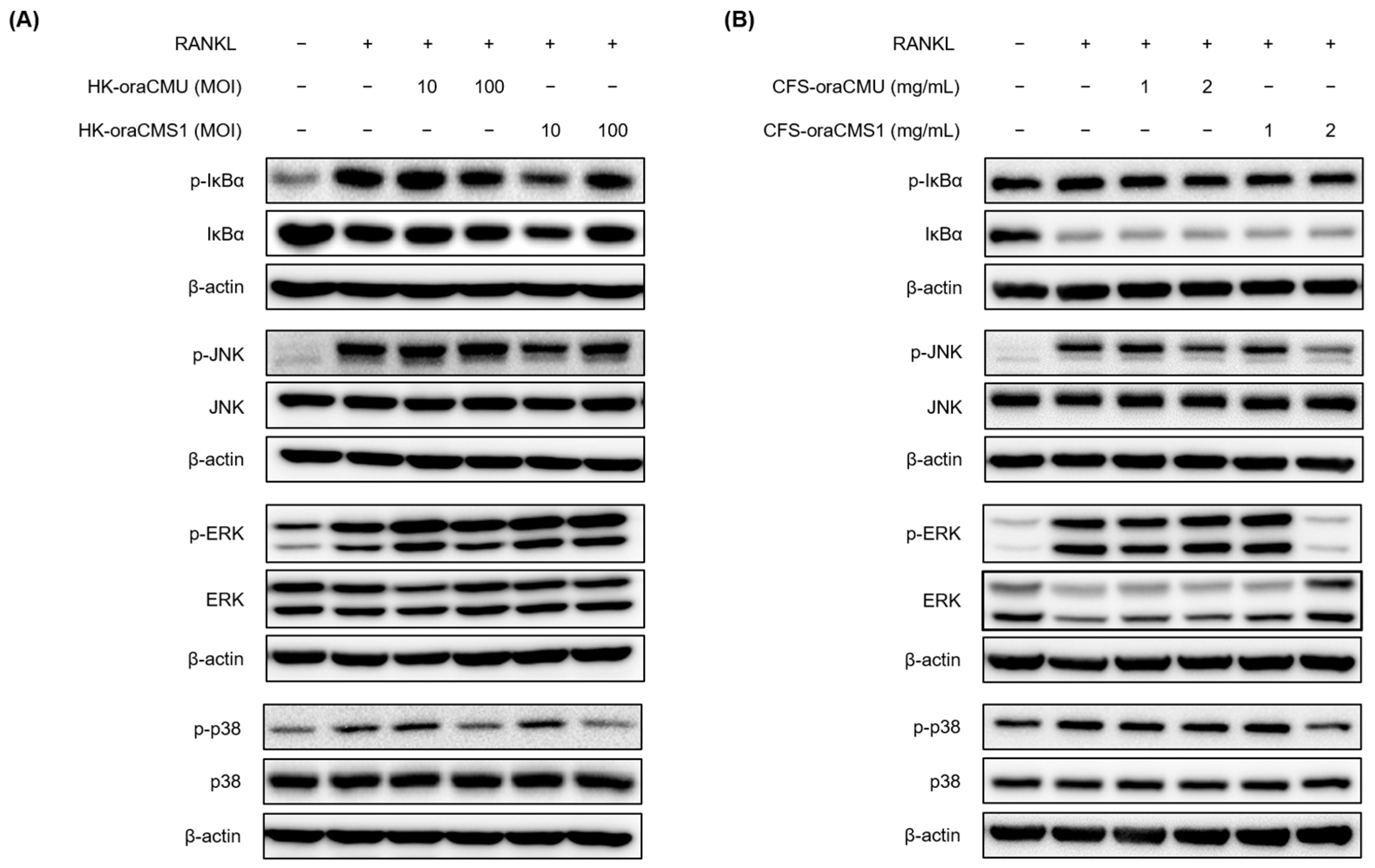
3.6. Effects of W. cibaria CMU and CMS1 on Cell Signaling Pathways
4. Discussion
5. Conclusions
Author Contributions
Funding
Data Availability Statement
Conflicts of Interest
References
- Nazir, M.A. Prevalence of periodontal disease, its association with systemic diseases and prevention. Int. J. Health Sci. 2017, 11, 72–80. [Google Scholar]
- Kassebaum, N.J.; Bernabé, E.; Dahiya, M.; Bhandari, B.; Murray, C.J.; Marcenes, W. Global burden of severe periodontitis in 1990–2010: A systematic review and meta-regression. J. Dent. Res. 2014, 93, 1045–1053. [Google Scholar] [CrossRef] [PubMed]
- Li, Y.; Ling, J.; Jiang, Q. Inflammasomes in alveolar bone loss. Front. Immunol. 2021, 12, 691013. [Google Scholar] [CrossRef]
- Takayanagi, H. Osteoimmunology: Shared mechanisms and crosstalk between the immune and bone systems. Nat. Rev. Immunol. 2007, 7, 292–304. [Google Scholar] [CrossRef]
- Datta, H.K.; Ng, W.F.; Walker, J.A.; Tuck, S.P.; Varanasi, S.S. The cell biology of bone metabolism. J. Clin. Pathol. 2008, 61, 577–587. [Google Scholar] [CrossRef] [PubMed]
- Kiyoi, T. Bone resorption activity in mature osteoclasts. Methods Mol. Biol. 2018, 1868, 215–222. [Google Scholar] [CrossRef] [PubMed]
- Wada, T.; Nakashima, T.; Hiroshi, N.; Penninger, J.M. RANKL-RANK signaling in osteoclastogenesis and bone disease. Trends Mol. Med. 2006, 12, 17–25. [Google Scholar] [CrossRef] [PubMed]
- Lu, S.H.; Chen, T.H.; Chou, T.C. Magnolol inhibits RANKL-induced osteoclast differentiation of raw 264.7 macrophages through heme oxygenase-1-dependent inhibition of NFATc1 expression. J. Nat. Prod. 2015, 78, 61–68. [Google Scholar] [CrossRef]
- Ding, D.; Yan, J.; Feng, G.; Zhou, Y.; Ma, L.; Jin, Q. Dihydroartemisinin attenuates osteoclast formation and bone resorption via inhibiting the NF-κB, MAPK and NFATc1 signaling pathways and alleviates osteoarthritis. Int. J. Mol. Med. 2022, 49, 4. [Google Scholar] [CrossRef]
- Hussein, H.; Boyaka, P.; Dulin, J.; Russell, D.; Smanik, L.; Azab, M.; Bertone, A.L. Cathepsin K localizes to equine bone in vivo and inhibits bone marrow stem and progenitor cells differentiation in vitro. J. Stem Cells Regen. Med. 2017, 13, 45–53. [Google Scholar] [CrossRef]
- Gu, H.; An, H.J.; Kim, J.Y.; Kim, W.H.; Gwon, M.G.; Kim, H.J.; Han, S.M.; Park, I.; Park, S.C.; Leem, J.; et al. Bee venom attenuates Porphyromonas gingivalis and RANKL-induced bone resorption with osteoclastogenic differentiation. Food Chem. Toxicol. 2019, 129, 344–353. [Google Scholar] [CrossRef] [PubMed]
- Cheng, Y.; Liu, H.; Li, J.; Ma, Y.; Song, C.; Wang, Y.; Li, P.; Chen, Y.; Zhang, Z. Evaluation of culture conditions for osteoclastogenesis in RAW264.7 cells. PLoS ONE 2022, 17, e0277871. [Google Scholar] [CrossRef] [PubMed]
- Lee, A.S.; Sung, M.J.; Son, S.J.; Han, A.R.; Hong, S.M.; Lee, S.H. Effect of menaquinone-4 on receptor activator of nuclear factor κB ligand-induced osteoclast differentiation and ovariectomy-induced bone loss. J. Med. Food 2023, 26, 128–134. [Google Scholar] [CrossRef]
- AlQranei, M.S.; Chellaiah, M.A. Osteoclastogenesis in periodontal diseases: Possible mediators and mechanisms. J. Oral Biosci. 2020, 62, 123–130. [Google Scholar] [CrossRef] [PubMed]
- Hathaway-Schrader, J.D.; Novince, C.M. Maintaining homeostatic control of periodontal bone tissue. Periodontology 2000 2021, 86, 157–187. [Google Scholar] [CrossRef] [PubMed]
- Maekawa, T.; Hajishengallis, G. Topical treatment with probiotic Lactobacillus brevis CD2 inhibits experimental periodontal inflammation and bone loss. J. Periodontal Res. 2014, 49, 785–791. [Google Scholar] [CrossRef] [PubMed]
- Oliveira, L.F.; Salvador, S.L.; Silva, P.H.; Furlaneto, F.A.; Figueiredo, L.; Casarin, R.; Ervolino, E.; Palioto, D.B.; Souza, S.L.; Taba, M.J.; et al. Benefits of Bifidobacterium animalis subsp. lactis probiotic in experimental periodontitis. J. Periodontol. 2017, 88, 197–208. [Google Scholar] [CrossRef]
- Kim, J.W.; Jung, B.H.; Lee, J.H.; Yoo, K.Y.; Lee, H.; Kang, M.S.; Lee, J.K. Effect of Weissella cibaria on the reduction of periodontal tissue destruction in mice. J. Periodontol. 2020, 91, 1367–1374. [Google Scholar] [CrossRef]
- Kang, M.S.; Yeu, J.E.; Hong, S.P. Safety Evaluation of oral care probiotics Weissella cibaria CMU and CMS1 by phenotypic and genotypic analysis. Int. J. Mol. Sci. 2019, 20, 2693. [Google Scholar] [CrossRef]
- Kim, M.J.; You, Y.O.; Kang, J.Y.; Kim, H.J.; Kang, M.S. Weissella cibaria CMU exerts an anti-inflammatory effect by inhibiting Aggregatibacter actinomycetemcomitans-induced NF-κB activation in macrophages. Mol. Med. Rep. 2020, 22, 4143–4150. [Google Scholar] [CrossRef]
- Kang, M.S.; Lee, D.S.; Lee, S.A.; Kim, M.S.; Nam, S.H. Effects of probiotic bacterium Weissella cibaria CMU on periodontal health and microbiota: A randomised, double-blind, placebo-controlled trial. BMC Oral Health 2020, 20, 243. [Google Scholar] [CrossRef] [PubMed]
- Kang, M.S.; Park, G.Y.; Lee, A.R. In vitro preventive effect and mechanism of action of Weissella cibaria CMU against Streptococcus mutans biofilm formation and periodontal pathogens. Microorganisms 2023, 11, 962. [Google Scholar] [CrossRef] [PubMed]
- Liu, T.H.; Tsai, T.Y.; Pan, T.M. The anti-periodontitis effects of ethanol extract prepared using Lactobacillus paracasei subsp. paracasei NTU 101. Nutrients 2018, 10, 472. [Google Scholar] [CrossRef] [PubMed]
- Quach, D.; Parameswaran, N.; McCabe, L.; Britton, R.A. Characterizing how probiotic Lactobacillus reuteri 6475 and lactobacillic acid mediate suppression of osteoclast differentiation. Bone Rep. 2019, 11, 100227. [Google Scholar] [CrossRef]
- Jung, J.I.; Baek, S.M.; Nguyen, T.H.; Kim, J.W.; Kang, C.H.; Kim, S.; Imm, J.Y. Effects of probiotic culture supernatant on cariogenic biofilm formation and RANKL-induced osteoclastogenesis in RAW 264.7 macrophages. Molecules 2021, 26, 733. [Google Scholar] [CrossRef] [PubMed]
- Kobayashi, R.; Kobayashi, T.; Sakai, F.; Hosoya, T.; Yamamoto, M.; Kurita-Ochiai, T. Oral administration of Lactobacillus gasseri SBT2055 is effective in preventing Porphyromonas gingivalis-accelerated periodontal disease. Sci. Rep. 2017, 7, 545. [Google Scholar] [CrossRef] [PubMed]
- Gatej, S.M.; Marino, V.; Bright, R.; Fitzsimmons, T.R.; Gully, N.; Zilm, P.; Gibson, R.J.; Edwards, S.; Bartold, P.M. Probiotic Lactobacillus rhamnosus GG prevents alveolar bone loss in a mouse model of experimental periodontitis. J. Clin. Periodontol. 2018, 45, 204–212. [Google Scholar] [CrossRef]
- Ricoldi, M.S.T.; Furlaneto, F.A.C.; Oliveira, L.F.F.; Teixeira, G.C.; Pischiotini, J.P.; Moreira, A.L.G.; Ervolino, E.; de Oliveira, M.N.; Bogsan, C.S.B.; Salvador, S.L.; et al. Effects of the probiotic Bifidobacterium animalis subsp. lactis on the non-surgical treatment of periodontitis. A histomorphometric, microtomographic and immunohistochemical study in rats. PLoS ONE 2017, 12, e0179946. [Google Scholar] [CrossRef]
- Kamio, N.; Kawato, T.; Tanabe, N.; Kitami, S.; Morita, T.; Ochiai, K.; Maeno, M. Vaspin attenuates RANKL-induced osteoclast formation in RAW264.7 cells. Connect. Tissue Res. 2013, 54, 147–152. [Google Scholar] [CrossRef]
- Song, C.; Yang, X.; Lei, Y.; Zhang, Z.; Smith, W.; Yan, J.; Kong, L. Evaluation of efficacy on RANKL induced osteoclast from RAW264.7 cells. J. Cell. Physiol. 2019, 234, 11969–11975. [Google Scholar] [CrossRef]
- Garcia, V.G.; Knoll, L.R.; Longo, M.; Novaes, V.C.; Assem, N.Z.; Ervolino, E.; de Toledo, B.E.; Theodoro, L.H. Effect of the probiotic Saccharomyces cerevisiae on ligature-induced periodontitis in rats. J. Periodontal Res. 2016, 51, 26–37. [Google Scholar] [CrossRef] [PubMed]
- Messora, M.R.; Pereira, L.J.; Foureaux, R.; Oliveira, L.F.; Sordi, C.G.; Alves, A.J.; Napimoga, M.H.; Nagata, M.J.; Ervolino, E.; Furlaneto, F.A. Favourable effects of Bacillus subtilis and Bacillus licheniformis on experimental periodontitis in rats. Arch. Oral Biol. 2016, 66, 108–119. [Google Scholar] [CrossRef]
- Reid, G. Food and Agricultural Organization of the United Nation and the WHO. The importance of guidelines in the development and application of probiotics. Curr. Pharm. Des. 2005, 11, 11–16. [Google Scholar] [CrossRef] [PubMed]
- Boyle, R.J.; Robins-Browne, R.M.; Tang, M.L. Probiotic use in clinical practice: What are the risks? Am. J. Clin. Nutr. 2006, 83, 1256–1264, quiz 1446–1447. [Google Scholar] [CrossRef]
- Deshpande, G.; Athalye-Jape, G.; Patole, S. Para-probiotics for preterm neonates-The next frontier. Nutrients 2018, 10, 871. [Google Scholar] [CrossRef] [PubMed]
- Piqué, N.; Berlanga, M.; Miñana-Galbis, D. Health benefits of heat-killed (tyndallized) probiotics: An overview. Int. J. Mol. Sci. 2019, 20, 2534. [Google Scholar] [CrossRef]
- Teame, T.; Wang, A.; Xie, M.; Zhang, Z.; Yang, Y.; Ding, Q.; Gao, C.; Olsen, R.E.; Ran, C.; Zhou, Z. Paraprobiotics and postbiotics of probiotic Lactobacilli, their positive effects on the host and action mechanisms: A review. Front. Nutr. 2020, 7, 570344. [Google Scholar] [CrossRef]
- Jeong, Y.J.; Jung, J.I.; Kim, Y.; Kang, C.H.; Imm, J.Y. Effects of Lactobacillus reuteri MG5346 on receptor activator of nuclear factor-kappa B ligand (RANKL)-induced osteoclastogenesis and ligature-induced experimental periodontitis rats. Food Sci. Anim. Resour. 2023, 43, 157–169. [Google Scholar] [CrossRef]
- Ballanti, P.; Minisola, S.; Pacitti, M.T.; Scarnecchia, L.; Rosso, R.; Mazzuoli, G.F.; Bonucci, E. Tartrate-resistant acid phosphate activity as osteoclastic marker: Sensitivity of cytochemical assessment and serum assay in comparison with standardized osteoclast histomorphometry. Osteoporos. Int. 1997, 7, 39–43. [Google Scholar] [CrossRef]












Disclaimer/Publisher’s Note: The statements, opinions and data contained in all publications are solely those of the individual author(s) and contributor(s) and not of MDPI and/or the editor(s). MDPI and/or the editor(s) disclaim responsibility for any injury to people or property resulting from any ideas, methods, instructions or products referred to in the content. |
© 2024 by the authors. Licensee MDPI, Basel, Switzerland. This article is an open access article distributed under the terms and conditions of the Creative Commons Attribution (CC BY) license (https://creativecommons.org/licenses/by/4.0/).
Share and Cite
Park, G.-Y.; Park, J.-A.; Kang, M.-S. In Vitro Effects of Weissella cibaria CMU and CMS1 on Receptor Activator of NF-κB Ligand (RANKL)-Induced Osteoclast Differentiation. J. Funct. Biomater. 2024, 15, 65. https://doi.org/10.3390/jfb15030065
Park G-Y, Park J-A, Kang M-S. In Vitro Effects of Weissella cibaria CMU and CMS1 on Receptor Activator of NF-κB Ligand (RANKL)-Induced Osteoclast Differentiation. Journal of Functional Biomaterials. 2024; 15(3):65. https://doi.org/10.3390/jfb15030065
Chicago/Turabian StylePark, Geun-Yeong, Jeong-Ae Park, and Mi-Sun Kang. 2024. "In Vitro Effects of Weissella cibaria CMU and CMS1 on Receptor Activator of NF-κB Ligand (RANKL)-Induced Osteoclast Differentiation" Journal of Functional Biomaterials 15, no. 3: 65. https://doi.org/10.3390/jfb15030065
APA StylePark, G.-Y., Park, J.-A., & Kang, M.-S. (2024). In Vitro Effects of Weissella cibaria CMU and CMS1 on Receptor Activator of NF-κB Ligand (RANKL)-Induced Osteoclast Differentiation. Journal of Functional Biomaterials, 15(3), 65. https://doi.org/10.3390/jfb15030065
