Toxicity Assessment of New Ag-ZnO/AgO Nanocomposites: An In Vitro and In Vivo Approach
Abstract
1. Introduction
2. Materials and Methods
2.1. Nanomaterials
2.2. Evaluation of Nanomaterial Toxicity in a Galleria mellonella (G. mellonella) Model
2.3. Cytotoxicity Evaluation of Nanomaterials in VERO and RAW 264.7 Cell Lines
2.4. Toxicity Evaluation of Nanomaterials in C57Bl/6 Mice
2.4.1. Animals
2.4.2. Groups and Treatment Regimen
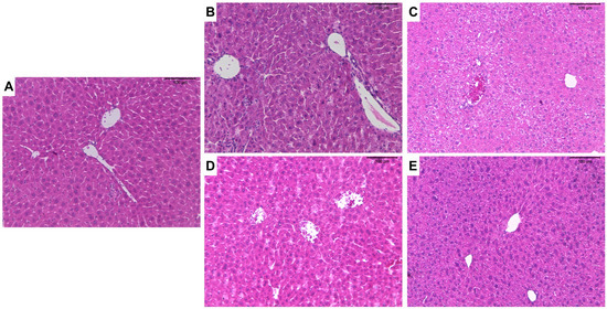
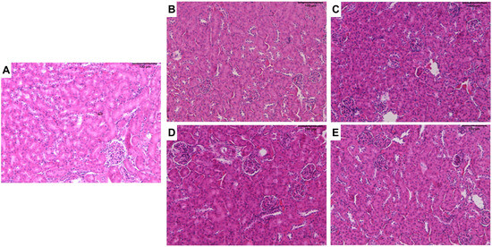
2.4.3. Histological Analyses
2.4.4. Evaluations of Biochemical Parameters
2.5. Statistical Analysis
3. Results
3.1. Ag content Increases the Cytotoxicity of Nanocomposites in an Invertebrate Model
3.2. Ag Content Increases the Cytotoxicity of Nanocomposites in RAW 264.7 and VERO Cell Lines
3.3. Impact of Treatments during the Subacute Phase in C57Bl/6 Mice
4. Discussion
5. Conclusions
Author Contributions
Funding
Institutional Review Board Statement
Data Availability Statement
Acknowledgments
Conflicts of Interest
References
- Singh, S. Zinc oxide nanoparticles impacts: Cytotoxicity, genotoxicity, developmental toxicity, and neurotoxicity. Toxicol. Mech. Methods 2019, 29, 300–311. [Google Scholar] [CrossRef]
- Xiong, P.; Huang, X.; Ye, N.; Lu, Q.; Zhang, G.; Peng, S.; Wang, H.; Liu, Y. Cytotoxicity of Metal-Based Nanoparticles: From mechanisms and methods of evaluation to pathological manifestations. Adv. Sci. 2022, 9, e2106049. [Google Scholar] [CrossRef]
- Mishra, P.K.; Mishra, H.; Ekielski, A.; Talegaonkar, S.; Vaidya, B. Zinc oxide nanoparticles: A promising nanomaterial for biomedical applications. Drug Discov. Today 2017, 22, 1825–1834. [Google Scholar] [CrossRef]
- Lallo da Silva, B.; Abuçafy, M.P.; Berbel Manaia, E.; Oshiro, J.A., Jr.; Chiari-Andréo, B.G.; Pietro, R.C.R.; Chiavacci, L.A. Relationship Between Structure and Antimicrobial Activity of Zinc Oxide Nanoparticles: An Overview. Int. J. Nanomed. 2019, 14, 9395–9410. [Google Scholar] [CrossRef]
- Condello, M.; De Berardis, B.; Ammendolia, M.G.; Barone, F.; Condello, G.; Degan, P.; Meschini, S. ZnO nanoparticle tracking from uptake to genotoxic damage in human colon carcinoma cells. Toxicol. In Vitro 2016, 35, 169–179. [Google Scholar] [CrossRef] [PubMed]
- do Carmo Neto, J.R.; Guerra, R.O.; Machado, J.R.; Silva, A.C.A.; da Silva, M.V. Antiprotozoal and Anthelmintic Activity of Zinc Oxide Nanoparticles. Curr. Med. Chem. 2022, 29, 2127–2141. [Google Scholar] [CrossRef] [PubMed]
- Bayrami, M.; Bayrami, A.; Habibi-Yangjeh, A.; Shafeeyan, M.S.; Feizpoor, S.; Arvanagh, F.M.; Nourani, M.R.; Taheri, R.A. Biologically-synthesised ZnO/CuO/Ag nanocomposite using propolis extract and coated on the gauze for wound healing applications. IET Nanobiotechnol. 2020, 14, 548–554. [Google Scholar] [CrossRef] [PubMed]
- Kantipudi, S.; Sunkara, J.R.; Rallabhandi, M.; Thonangi, C.V.; Cholla, R.D.; Kollu, P.; Parvathaneni, M.K.; Pammi, S.V.N. Enhanced wound healing activity of Ag-ZnO composite NPs in Wistar Albino rats. IET Nanobiotechnol. 2018, 12, 473–478. [Google Scholar] [CrossRef] [PubMed]
- Fonseca, B.B.; Silva, P.L.A.P.A.; Silva, A.C.A.; Dantas, N.O.; de Paula, A.T.; Olivieri, O.C.L.; Beletti, M.E.; Rossi, D.A.; Goulart, L.R. Nanocomposite of Ag-Doped ZnO and AgO Nanocrystals as a Preventive Measure to Control Biofilm Formation in Eggshell and Salmonella spp. Entry Into Eggs. Front. Microbiol. 2019, 19, 217. [Google Scholar] [CrossRef] [PubMed]
- Barbosa, R.M.; Obata, M.M.S.; Neto, J.R.D.C.; Guerra, R.O.; Borges, A.V.B.E.; Trevisan, R.O.; Ruiz, L.C.; Bernardi, J.M.; Oliveira-Scussel, A.C.M.; Vaz Tanaka, S.C.S.; et al. Development of Ag-ZnO/AgO Nanocomposites Effectives for Leishmania braziliensis Treatment. Pharmaceutics 2022, 14, 2642. [Google Scholar] [CrossRef] [PubMed]
- de Moura, F.B.R.; Ferreira, B.A.; Muniz, E.H.; Justino, A.B.; Silva, A.G.; Ribeiro, R.I.M.A.; Dantas, N.O.; Ribeiro, D.L.; Araújo, F.A.; Espindola, F.S.; et al. Antioxidant, anti-inflammatory, and wound healing effects of topical silver-doped zinc oxide and silver oxide nanocomposites. Int. J. Pharm. 2022, 617, 121620. [Google Scholar] [CrossRef]
- Poleksić, V.; Mitrović-Tutundžić, V. Fish gills as a monitor of sublethal and chronic effects of pollution. In Sublethal and Chronic Effects of Pollutants on Freshwater Fish; Müller, R., Lloyd, R., Eds.; Fishing News Books: Oxford, UK, 1994; pp. 339–352. [Google Scholar]
- Peixoto, R.C.; Miranda-Vilela, A.L.; de Souza Filho, J.; Carneiro, M.L.; Oliveira, R.G.; da Silva, M.O.; de Souza, A.R.; Báo, S.N. Antitumor effect of free rhodium (II) citrate and rhodium (II) citrate-loaded maghemite nanoparticles on mice bearing breast cancer: A systemic toxicity assay. Tumour Biol. 2015, 36, 3325–3336. [Google Scholar] [CrossRef] [PubMed]
- Yan, D.; Long, J.; Liu, J.; Cao, Y. The toxicity of ZnO nanomaterials to HepG2 cells: The influence of size and shape of particles. J. Appl. Toxicol. 2019, 39, 231–240. [Google Scholar] [CrossRef]
- Yan, D.; Xue, Z.; Li, S.; Zhong, C. Comparison of cytotoxicity of Ag/ZnO and Ag@ZnO nanocomplexes to human umbilical vein endothelial cells in vitro. J. Appl. Toxicol. 2021, 41, 811–819. [Google Scholar] [CrossRef] [PubMed]
- Jiang, Q.; Li, X.; Cheng, S.; Gu, Y.; Chen, G.; Shen, Y.; Xie, Y.; Cao, Y. Combined effects of low levels of palmitate on toxicity of ZnO nanoparticles to THP-1 macrophages. Environ. Toxicol. Pharmacol. 2016, 48, 103–109. [Google Scholar] [CrossRef] [PubMed]
- Roy, R.; Parashar, V.; Chauhan, L.K.; Shanker, R.; Das, M.; Tripathi, A.; Dwivedi, P.D. Mechanism of uptake of ZnO nanoparticles and inflammatory responses in macrophages require PI3K mediated MAPKs signaling. Toxicol. In Vitro 2014, 28, 457–467. [Google Scholar] [CrossRef]
- Reis Éde, M.; de Rezende, A.A.; Santos, D.V.; de Oliveria, P.F.; Nicolella, H.D.; Tavares, D.C.; Silva, A.C.; Dantas, N.O.; Spanó, M.A. Assessment of the genotoxic potential of two zinc oxide sources (amorphous and nanoparticles) using the in vitro micronucleus test and the in vivo wing somatic mutation and recombination test. Food Chem. Toxicol. 2015, 84, 55–63. [Google Scholar] [CrossRef]
- Elje, E.; Mariussen, E.; Moriones, O.H.; Bastús, N.G.; Puntes, V.; Kohl, Y.; Dusinska, M.; Rundén-Pran, E. Hepato(Geno)Toxicity Assessment of Nanoparticles in a HepG2 Liver Spheroid Model. Nanomaterials 2020, 10, 545. [Google Scholar] [CrossRef]
- Akter, M.; Sikder, M.T.; Rahman, M.M.; Ullah, A.K.M.A.; Hossain, K.F.B.; Banik, S.; Hosokawa, T.; Saito, T.; Kurasaki, M. A systematic review on silver nanoparticles-induced cytotoxicity: Physicochemical properties and perspectives. J. Adv. Res. 2017, 2, 1–16. [Google Scholar] [CrossRef] [PubMed]
- Ivask, A.; Juganson, K.; Bondarenko, O.; Mortimer, M.; Aruoja, V.; Kasemets, K.; Blinova, I.; Heinlaan, M.; Slaveykova, V.; Kahru, A. Mechanisms of toxic action of Ag, ZnO and CuO nanoparticles to selected ecotoxicological test organisms and mammalian cells in vitro: A comparative review. Nanotoxicology 2014, 8, 57–71. [Google Scholar] [CrossRef] [PubMed]
- Król, A.; Pomastowski, P.; Rafińska, K.; Railean-Plugaru, V.; Buszewski, B. Zinc oxide nanoparticles: Synthesis, antiseptic activity and toxicity mechanism. Adv. Colloid Interface Sci. 2017, 249, 37–52. [Google Scholar] [CrossRef]
- McShan, D.; Ray, P.C.; Yu, H. Molecular toxicity mechanism of nanosilver. J. Food Drug Anal. 2014, 22, 116–127. [Google Scholar] [CrossRef] [PubMed]
- Sirelkhatim, A.; Mahmud, S.; Seeni, A.; Kaus, N.H.M.; Ann, L.C.; Bakhori, S.K.M.; Hasan, H.; Mohamad, D. Review on Zinc Oxide Nanoparticles: Antibacterial Activity and Toxicity Mechanism. Nanomicro Lett. 2015, 7, 219–242. [Google Scholar] [CrossRef] [PubMed]
- Vimbela, G.V.; Ngo, S.M.; Fraze, C.; Yang, L.; Stout, D.A. Antibacterial properties and toxicity from metallic nanomaterials. Int. J. Nanomed. 2017, 12, 3941–3965. [Google Scholar] [CrossRef]
- Shahare, B.; Yashpal, M.; Singh, G. Toxic effects of repeated oral exposure of silver nanoparticles on small intestine mucosa of mice. Toxicol. Mech. Methods 2013, 23, 161–167. [Google Scholar] [CrossRef]
- Drobne, D.; Novak, S.; Talaber, I.; Lynch, I.; Kokalj, A.J. The Biological Fate of Silver Nanoparticles from a Methodological Perspective. Materials 2018, 11, 957. [Google Scholar] [CrossRef] [PubMed]
- Ferdous, Z.; Nemmar, A. Health Impact of Silver Nanoparticles: A Review of the Biodistribution and Toxicity Following Various Routes of Exposure. Int. J. Mol. Sci. 2020, 21, 2375. [Google Scholar] [CrossRef]
- Lee, C.M.; Jeong, H.J.; Kim, D.W.; Sohn, M.H.; Lim, S.T. The effect of fluorination of zinc oxide nanoparticles on evaluation of their biodistribution after oral administration. Nanotechnology 2012, 23, 205102. [Google Scholar] [CrossRef] [PubMed]
- Li, C.H.; Shen, C.C.; Cheng, Y.W.; Huang, S.H.; Wu, C.C.; Kao, C.C.; Liao, J.W.; Kang, J.J. Organ biodistribution, clearance, and genotoxicity of orally administered zinc oxide nanoparticles in mice. Nanotoxicology 2012, 6, 746–756. [Google Scholar] [CrossRef]
- Paek, H.J.; Lee, Y.J.; Chung, H.E.; Yoo, N.H.; Lee, J.A.; Kim, M.K.; Lee, J.K.; Jeong, J.; Choi, S.J. Modulation of the pharmacokinetics of zinc oxide nanoparticles and their fates in vivo. Nanoscale 2013, 5, 11416–11427. [Google Scholar] [CrossRef]
- Bachler, G.; von Goetz, N.; Hungerbühler, K. A physiologically based pharmacokinetic model for ionic silver and silver nanoparticles. Int. J. Nanomed. 2013, 8, 3365–3382. [Google Scholar]
- Ćurlin, M.; Barbir, R.; Dabelić, S.; Ljubojević, M.; Goessler, W.; Micek, V.; Žuntar, I.; Pavić, M.; Božičević, L.; Pavičić, I.; et al. Sex affects the response of Wistar rats to polyvinyl pyrrolidone (PVP)-coated silver nanoparticles in an oral 28 days repeated dose toxicity study. Part. Fibre Toxicol. 2021, 18, 38. [Google Scholar] [CrossRef]
- Gan, J.; Sun, J.; Chang, X.; Li, W.; Li, J.; Niu, S.; Kong, L.; Zhang, T.; Wu, T.; Tang, M.; et al. Biodistribution and organ oxidative damage following 28 days oral administration of nanosilver with/without coating in mice. J. Appl. Toxicol. 2020, 40, 815–831. [Google Scholar] [CrossRef]
- Aboulhoda, B.E.; Abdeltawab, D.A.; Rashed, L.A.; Abd Alla, M.F.; Yassa, H.D. Hepatotoxic Effect of Oral Zinc Oxide Nanoparticles and the Ameliorating Role of Selenium in Rats: A histological, immunohistochemical and molecular study. Tissue Cell 2020, 67, 101441. [Google Scholar] [CrossRef]
- Al-Doaiss, A.; Jarrar, Q.; Moshawih, S. Hepatic histopathological and ultrastructural alterations induced by 10 nm silver nanoparticles. IET Nanobiotechnol. 2020, 14, 405–411. [Google Scholar] [CrossRef]
- Almansour, M.I.; Alferah, M.A.; Shraideh, Z.A.; Jarrar, B.M. Zinc oxide nanoparticles hepatotoxicity: Histological and histochemical study. Environ. Toxicol. Pharmacol. 2017, 51, 124–130. [Google Scholar] [CrossRef]
- Lin, Y.F.; Chiu, I.J.; Cheng, F.Y.; Lee, Y.H.; Wang, Y.J.; Hsu, Y.H.; Chiu, H.W. The role of hypoxia-inducible factor-1α in zinc oxide nanoparticle-induced nephrotoxicity in vitro and in vivo. Part. Fibre Toxicol. 2016, 13, 52. [Google Scholar] [CrossRef] [PubMed]
- Yan, G.; Huang, Y.; Bu, Q.; Lv, L.; Deng, P.; Zhou, J.; Wang, Y.; Yang, Y.; Liu, Q.; Cen, X.; et al. Zinc oxide nanoparticles cause nephrotoxicity and kidney metabolism alterations in rats. J. Environ. Sci. Health A Toxic Hazard. Subst. Environ. Eng. 2012, 47, 577–588. [Google Scholar] [CrossRef] [PubMed]
- Cho, Y.M.; Mizuta, Y.; Akagi, J.I.; Toyoda, T.; Sone, M.; Ogawa, K. Size-dependent acute toxicity of silver nanoparticles in mice. J. Toxicol. Pathol. 2018, 31, 73–80. [Google Scholar] [CrossRef] [PubMed]
- Kuang, H.; Yang, P.; Yang, L.; Aguilar, Z.P.; Xu, H. Size dependent effect of ZnO nanoparticles on endoplasmic reticulum stress signaling pathway in murine liver. J. Hazard. Mater. 2016, 317, 119–126. [Google Scholar] [CrossRef] [PubMed]
- Moatamed, E.R.; Hussein, A.A.; El-Desoky, M.M.; Khayat, Z.E. Comparative study of zinc oxide nanoparticles and its bulk form on liver function of Wistar rat. Toxicol. Ind. Health 2019, 35, 627–637. [Google Scholar] [CrossRef] [PubMed]
- Baek, M.; Kim, M.K.; Cho, H.J.; Lee, J.A.; Yu, J.; Chung, H.; Choi, S.J. Factors influencing the cytotoxicity of zinc oxide nanoparticles: Particle size and surface charge. J. Phys. Conf. Ser. 2011, 304, 012044. [Google Scholar] [CrossRef]
- Fujihara, J.; Nishimoto, N. Review of Zinc Oxide Nanoparticles: Toxicokinetics, Tissue Distribution for Various Exposure Routes, Toxicological Effects, Toxicity Mechanism in Mammals, and an Approach for Toxicity Reduction. Biol. Trace Elem. Res. 2023, 202, 9–23. [Google Scholar] [CrossRef] [PubMed]





| Composition (XRD) | Size (SEM) | |||
|---|---|---|---|---|
| ZnO | AgO | Ag | ||
| ZnO | 100% | - | - | ∼260 nm |
| ZnO:5Ag | 51% | 49% | 5% | ∼250 nm |
| ZnO:9Ag | 35% | 65% | 9% | ∼345 nm |
| ZnO:11Ag | 38% | 68% | 11% | ∼290 nm |
| Nanomaterial | Target Cells | CC50 (μg/mL) | Selectivity Index |
|---|---|---|---|
| ZnO | RAW 264.7 | 95.59 | 0.79 |
| VERO | 120.6 | ||
| ZnO:5Ag | RAW 264.7 | 112 | 0.96 |
| VERO | 116 | ||
| ZnO:9Ag | RAW 264.7 | 28.40 | 1.08 |
| VERO | 26.16 | ||
| ZnO:11Ag | RAW 264.7 | 58.84 | 1.23 |
| VERO | 47.39 |
| Hepatic Changes | Stage | Vehicle | Nanomaterials and Doses | |||
|---|---|---|---|---|---|---|
| PBS | ZnO:9Ag | ZnO:11Ag | ZnO:9Ag | ZnO:11Ag | ||
| 5 mg/kg/day | 10 mg/kg/day | |||||
| Swelling | I | + | + | + | + | + |
| Vesiculation | I | 0 | + | + | ++ | ++ |
| Cytoplasmic vacuolation | I | 0 | 0 | 0 | 0 | 0 |
| Inflammatory infiltrate | II | + | ++ | + | ++ | ++ |
| Hyperemia | II | + | ++ | + | ++ | ++ |
| Necrosis | III | 0 | 0 | 0 | 0 | 0 |
| Kidney Changes | Stage | Vehicle | Nanomaterials and Doses | |||
|---|---|---|---|---|---|---|
| Tubular | PBS | ZnO:9Ag | ZnO:11Ag | ZnO:9Ag | ZnO:11Ag | |
| 5 mg/kg/d | 10 mg/kg/d | |||||
| Dilation of the tubular lumen | I | 0 | 0 | 0 | 0 | 0 |
| Cell peeling | I | 0 | 0 | 0 | 0 | 0 |
| Vesiculation | II | 0 | + | + | + | + |
| Hyaline degeneration | II | 0 | 0 | 0 | 0 | 0 |
| Presence of protein in the tubular lumen | II | + | + | + | + | + |
| Inflammatory infiltrate | II | + | + | + | + | + |
| Bleeding | II | 0 | + | + | + | + |
| Necrosis | III | 0 | 0 | 0 | 0 | 0 |
| Glomerular | ||||||
| Dilation of capillaries | I | 0 | 0 | 0 | 0 | 0 |
| Thickening of the endothelium | I | 0 | 0 | 0 | 0 | 0 |
| Increase in glomerular volume | I | 0 | 0 | 0 | 0 | 0 |
| Bowman’s space increase | II | 0 | 0 | 0 | 0 | 0 |
| Presence of protein in Bowman’s space | II | 0 | 0 | 0 | 0 | 0 |
| Inflammatory infiltrate | II | 0 | + | + | + | + |
| Bleeding | II | 0 | + | + | + | + |
| Necrosis | III | 0 | 0 | 0 | 0 | 0 |
| Nanomaterial | ALT (U/L) | ALT (U/L) | Creatinine (mg/dL) | Creatinine (mg/dL) | ALT (U/L) | Creatinine (mg/dL) |
|---|---|---|---|---|---|---|
| 8 days | 8 days | 8 days | 8 days | 20 days | 20 days | |
| 5 mg/kg/d | 10 mg/kg/d | 5 mg/kg/d | 10 mg/kg/d | 5 mg/kg/d | 5 mg/kg/d | |
| ZnO:9Ag | 39.93 ± 4.492 | 46.57 ± 7.506 a | 0.2600 ± 0.02309 a | 0.2575 ± 0.05852 a | 33.50 ± 6.608 | 0.2500 ± 0.2311 |
| ZnO:11Ag | 34.50 ± 3.915 | 33.65 ± 9.029 | 0.2820 ± 0.07430 a | 0.2720 ± 0.03701 a | 37.50 ± 5.196 | 0.1833 ± 0.03512 |
| PBS | 30.15 ± 9.036 | 0.4033 ± 0.01528 | 35.00 ± 6.377 | 0.3300 ± 0.1735 |
Disclaimer/Publisher’s Note: The statements, opinions and data contained in all publications are solely those of the individual author(s) and contributor(s) and not of MDPI and/or the editor(s). MDPI and/or the editor(s) disclaim responsibility for any injury to people or property resulting from any ideas, methods, instructions or products referred to in the content. |
© 2024 by the authors. Licensee MDPI, Basel, Switzerland. This article is an open access article distributed under the terms and conditions of the Creative Commons Attribution (CC BY) license (https://creativecommons.org/licenses/by/4.0/).
Share and Cite
do Carmo Neto, J.R.; Franco, P.I.R.; Braga, Y.L.L.; de Oliveira, J.F.; Perini, H.F.; Albuquerque, L.F.D.; Martins, D.B.; Helmo, F.R.; Andrade, A.A.; Miguel, M.P.; et al. Toxicity Assessment of New Ag-ZnO/AgO Nanocomposites: An In Vitro and In Vivo Approach. J. Funct. Biomater. 2024, 15, 51. https://doi.org/10.3390/jfb15030051
do Carmo Neto JR, Franco PIR, Braga YLL, de Oliveira JF, Perini HF, Albuquerque LFD, Martins DB, Helmo FR, Andrade AA, Miguel MP, et al. Toxicity Assessment of New Ag-ZnO/AgO Nanocomposites: An In Vitro and In Vivo Approach. Journal of Functional Biomaterials. 2024; 15(3):51. https://doi.org/10.3390/jfb15030051
Chicago/Turabian Styledo Carmo Neto, José Rodrigues, Pablo Igor Ribeiro Franco, Yarlla Loyane Lira Braga, Jordana Fernandes de Oliveira, Hugo Felix Perini, Luís Fernando Duarte Albuquerque, Danieli Brolo Martins, Fernanda Rodrigues Helmo, Anderson Assunção Andrade, Marina Pacheco Miguel, and et al. 2024. "Toxicity Assessment of New Ag-ZnO/AgO Nanocomposites: An In Vitro and In Vivo Approach" Journal of Functional Biomaterials 15, no. 3: 51. https://doi.org/10.3390/jfb15030051
APA Styledo Carmo Neto, J. R., Franco, P. I. R., Braga, Y. L. L., de Oliveira, J. F., Perini, H. F., Albuquerque, L. F. D., Martins, D. B., Helmo, F. R., Andrade, A. A., Miguel, M. P., Celes, M. R. N., Rocha, T. L., Almeida Silva, A. C., Machado, J. R., & da Silva, M. V. (2024). Toxicity Assessment of New Ag-ZnO/AgO Nanocomposites: An In Vitro and In Vivo Approach. Journal of Functional Biomaterials, 15(3), 51. https://doi.org/10.3390/jfb15030051

