Chitosan/Phenolic Compounds Scaffolds for Connective Tissue Regeneration
Abstract
1. Introduction
2. Materials and Methods
2.1. Materials
2.2. Chitosan Characterization
2.3. Preparation of Samples
2.4. Scanning Electron Microscope (SEM)
2.5. Optical Microscope
2.6. Fourier Transform Infrared Spectroscopy—Attenuated Total Reflectance (FTIR-ATR)
2.7. Mechanical Properties
2.8. Swelling Rate
2.9. Antioxidant Properties
2.10. Blood Compatibility
2.11. In Vivo Experiment
2.12. Histological Assessment
2.13. Statistical Analysis
3. Results
3.1. Scanning Electron Microscope (SEM)
3.2. Optical Microscope
3.3. Fourier Transform Infrared Spectroscopy—Attenuated Total Reflectance (FTIR-ATR)
3.4. Mechanical Properties
3.5. Swelling Rate
3.6. Antioxidant Properties
3.7. Blood Compatibility
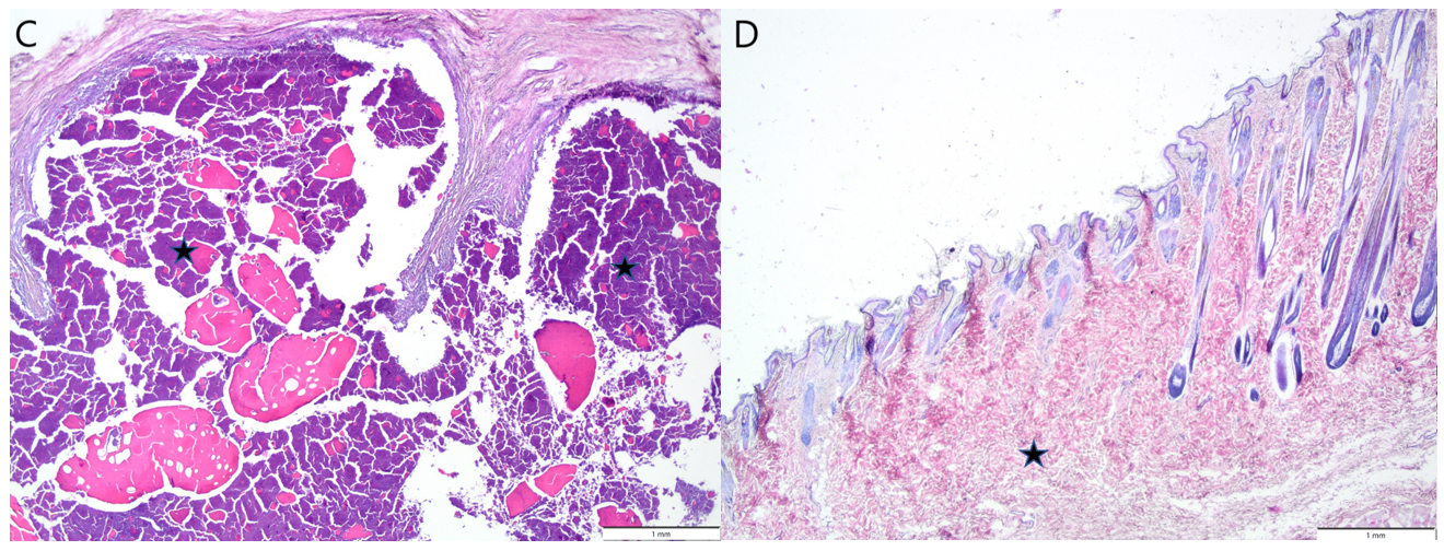
3.8. Histological Assessment
4. Discussion
5. Conclusions
Author Contributions
Funding
Institutional Review Board Statement
Informed Consent Statement
Data Availability Statement
Conflicts of Interest
References
- Kaczmarek, B.; Mazur, O. Collagen-based materials modified by phenolic acids—A review. Materials 2020, 13, 3641. [Google Scholar] [CrossRef] [PubMed]
- Hutchins, K.M. Functional materials based on molecules with hydrogen-bonding ability: Applications to drug co-crystals and polymer complexes. R. Soc. Open Sci. 2018, 5, 180564. [Google Scholar] [CrossRef]
- Vieira, M.G.A.; da Silva, M.A.; dos Santos, L.O.; Beppu, M.M. Natural-based plasticizers and biopolymer films: A review. Eur. Polym. J. 2011, 47, 254–263. [Google Scholar] [CrossRef]
- Pellis, A.; Guebitz, G.M.; Nyanhongo, G.S. chitosan: Sources, processing and modification techniques. Gels 2022, 8, 393. [Google Scholar] [CrossRef] [PubMed]
- Hallmann, L.; Gerngroβ, M.D. Chitosan and its application in dental implantology. J. Maxillofac. Surg. 2022, 123, e701–e707. [Google Scholar] [CrossRef]
- Hu, N.; Zhang, B.; Gai, M.; Zheng, C.; Frueh, J.; He, Q. Forecastable and Guidable Bubble‐Propelled Microplate Motors for Cell Transport. Macromol. Rapid Commun. 2017, 38, 1600795. [Google Scholar] [CrossRef]
- Riccucci, G.; Ferraris, S.; Reggio, C.; Bosso, A.; Orlygsson, G.; Ng, C.H.; Spriano, S. Polyphenols from grape pomace: Functionalization of chitosan-coated hydroxyapatite for modulated swelling and release of polyphenols. Langmuir 2021, 37, 14793–14804. [Google Scholar] [CrossRef]
- Kaczmarek, B. Tannic acid with antiviral and antibacterial activity as a promising component of biomaterials-a minireview. Materials 2020, 13, 3224. [Google Scholar] [CrossRef]
- Kaczmarek, B.; Wekwejt, M.; Nadolna, K.; Owczarek, A.; Mazur, O.; Pałubicka, A. The mechanical properties and bactericidal degradation effectiveness of tannic acid-based thin films for wound care. J. Mech. Beh. Biomed. Mater. 2020, 110, 103916. [Google Scholar] [CrossRef]
- Kaczmarek, B.; Miłek, O.; Nadolna, K.; Owczarek, A.; Kleszczyński, K.; Osyczka, A.M. Normal and cancer cells response on the thin films based on chitosan and tannic acid. Toxicol. Vitro 2020, 62, 104688. [Google Scholar] [CrossRef]
- Kaczmarek-Szczepanska, B.; Wekwejt, M.; Mazur, O.; Zasada, L.; Palubicka, A.; Olewnik-Kruszkowska, E. The physicochemical and antibacterial properties of chitosan- based materials modified with phenolic acids irradiated by UVC light. Int. J. Mol. Sci. 2021, 22, 6472. [Google Scholar] [CrossRef] [PubMed]
- Sun, X.; Wang, Z.; Kadouh, H.; Zhou, K. The antimicrobial, mechanical, physical and structural properties of chitosan–gallic acid films. LWT Food Sci. Technol. 2014, 57, 83–89. [Google Scholar] [CrossRef]
- Xie, M.; Hu, B.; Wang, Y.; Zeng, X. Grafting of gallic acid onto chitosan enhances antioxidant activities and alters rheological properties of the copolymer. J. Agric. Food Chem. 2014, 62, 9128–9136. [Google Scholar] [CrossRef] [PubMed]
- Thangavel, P.; Ramachandran, B.; Muthuvijayan, V. Fabrication of chitosan/gallic acid 3D microporous scaffold for tissue engineering applications. J. Biomed. Mater. Res. B 2015, 104, 750–760. [Google Scholar] [CrossRef] [PubMed]
- Kaczmarek-Szczepanska, B.; Michalska-Sionkowska, M.; Mazur, O.; Swiatczak, J.; Swiontek Brzezinska, M. The role of microorganisms in biodegradation of chitosan/tannic acid materials. Int. J. Biol. Macromol. 2021, 104, 584–592. [Google Scholar] [CrossRef] [PubMed]
- Taghizadeh, A.; Taghizadeh, M.; Khodadadi Yazdi, M.; Zarrintaj, P.; Ramsey, J.D.; Seidi, F.; Stadler, F.J.; Lee, H.; Reza Saeb, M.; Mozafari, M. Mussel-inspired biomaterials: From chemistry to clinic. Bioeng. Translat. Med. 2022, 7, e10385. [Google Scholar] [CrossRef] [PubMed]
- Ostrowska-Czubenko, J.; Gierszewska-Druzynska, M. Effect of ionic crosslinking on the water state in hydrogel chitosan membranes. Carbohyd. Polym. 2009, 77, 590–598. [Google Scholar] [CrossRef]
- Stachowiak, N.; Kowalonek, J.; Kozlowska, J. Freeze-dried matrices composed of degradable polymers with surfactant-loaded microparticles based on pectin and sodium alginate. Materials 2021, 14, 3044. [Google Scholar] [CrossRef]
- Baliyan, S.; Mukherjee, R.; Priyadarshini, A.; Vibhuti, A.; Gupta, A.; Pandey, R.P.; Chang, C.M. Determination of antioxidants by dpph radical scavenging activity and quantitative phytochemical analysis of ficus religiosa. Molecules 2022, 27, 1326. [Google Scholar] [CrossRef]
- Michalska-Sionkowska, M.; Warżyńska, O.; Kaczmarek-Szczepańska, B.; Łukowicz, K.; Osyczka, A.M.; Walczak, M. Characterization of collagen/beta glucan hydrogels crosslinked with tannic acid. Polymers 2021, 13, 3412. [Google Scholar] [CrossRef]
- Pires, A.L.R.; Motta, L.A.; Dias, A.M.A.; Sousa, H.C.; Moraes, A.M.; Braga, M.E.M. Towards wound dressings with improved properties: Effects of poly(dimethylsiloxane) on chitosan-alginate films loaded with thymol and beta-carotene. Mater. Sci. Eng. C 2018, 93, 595–605. [Google Scholar] [CrossRef]
- Dutta, P.K.; Rinki, K.; Dutta, J. Chitosan: A promising biomaterial for tissue engineering scaffolds. Adv. Polym. Sci. 2011, 244, 45–79. [Google Scholar]
- Woranuch, S.; Yoksan, R. Preparation, characterization and antioxidant property of water-soluble ferulic acid grafted chitosan. Carbohyd. Polym. 2013, 96, 495–502. [Google Scholar] [CrossRef]
- Furia, E.; Beneduci, A.; Malacaria, L.; Fazio, A.; Torre, C.L.; Plastina, P. Modeling the solubility of phenolic acids in aqueous media at 37 °C. Molecules 2021, 26, 6500. [Google Scholar] [CrossRef]
- Thongchai, K.; Chuysinuan, P.; Thanyacharoen, T.; Techasakul, S.; Ummartyotin, S. Characterization, release, and antioxidant activity of caffeic acid-loaded collagen and chitosan hydrogel composites. J. Mater. Res. Technol. 2020, 9, 6512–6520. [Google Scholar] [CrossRef]
- Priyadarshi, R.; Sauraj; Kumar, B.; Negi, Y.S. Chitosan film incorporated with citric acid and glycerol as an active packaging material for extension of green chilli shelf life. Carbohyd. Polym. 2018, 195, 329–338. [Google Scholar] [CrossRef]
- Liu, J.; Wen, X.Y.; Lu, J.F.; Kan, J.; Jin, C.H. Free radical mediated grafting of chitosan with caffeic and ferulic acids: Structures and antioxidant activity. Int. J. Biol. Macromol. 2014, 65, 97–106. [Google Scholar] [CrossRef]
- Tamer, T.M.; Hassan, M.A.; Omer, A.M.; Valachova, K.; Eldin, M.S.M.; Collins, M.N.; Soltes, L. Antibacterial and antioxidative activity of O-amine functionalized chitosan. Carbohyd. Polym. 2017, 1, 441–450. [Google Scholar]
- Marzano, M.; Borbone, N.; Amato, F.; Oliviero, G.; Fucile, P.; Russo, T.; Sannino, F. 3D chitosan-gallic acid complexes: Assessment of the chemical and biological properties. Gels 2022, 8, 124. [Google Scholar] [CrossRef]
- Jing, Y.; Diao, Y.; Yu, X. Free radical-mediated conjugation of chitosan with tannic acid: Characterization and antioxidant capacity. Rea. Func. Polym. 2019, 135, 16–22. [Google Scholar] [CrossRef]
- Weber, M.; Steinle, H.; Golombek, S.; Hann, L.; Schlensak, C.; Wendel, H.P.; Avci-Adali, M. Blood-contacting biomaterials: In vitro evaluation of the hemocompatibility. Front. Bioeng. Biotechnol. 2018, 6, 99. [Google Scholar] [CrossRef] [PubMed]
- D’souza, O.J.; Gasti, T.; Hiremani, V.D.; Pinto, J.P.; Contractor, S.S.; Shettar, A.K.; Olivia, D.; Arakera, S.B.; Masti, S.P.; Chougale, R.B. Basella alba stem extract integrated poly (vinyl alcohol)/chitosan composite films: A promising bio-material for wound healing. Int. J. Biol. Macromol. 2022; in press. [Google Scholar]
- Pan, W.; Qi, X.; Xiang, Y.; You, S.; Cai, E.; Gao, T.; Tong, X.; Hu, R.; Shen, J.; Deng, H. Facile formation of injectable quaternized chitosan/tannic acid hydrogels with antibacterial and ROS scavenging capabilities for diabetic wound healing. Int. J. Biol. Macromol. 2022, 195, 190–197. [Google Scholar] [CrossRef] [PubMed]
- Li, N.; Yang, X.; Liu, W.; Xi, G.; Wang, M.; Liang, B.; Ma, Z.; Feng, Y.; Chen, H.; Shi, C. Tannic acid cross-linked polysaccharide-based multifunctional hemostatic microparticles for the regulation of rapid wound healing. Macromol. Biosci. 2018, 18, 1800209. [Google Scholar] [CrossRef] [PubMed]
- Norouzi, M.; Boroujeni, S.M.; Omidvarkordshouli, N.; Soleimani, M. Advances in skin regeneration: Application of electrospun scaffolds. Adv. Healthcare Mater. 2015, 4, 1114–1133. [Google Scholar] [CrossRef] [PubMed]
- Do, N.N.; Eming, S.A. Skin fibrosis: Models and mechanisms. Curr. Res. Transl. Med. 2016, 64, 185–193. [Google Scholar] [CrossRef]
- Sun, C.; Zeng, X.; Zheng, S.; Wang, Y.; Li, Z.; Zhang, H.; Nie, L.; Zhang, Y.; Zhao, Y.; Yang, X. Bio-adhesive catechol-modified chitosan wound healing hydrogel dressings through glow discharge plasma technique. Chem. Eng. J. 2021, 427, 130843. [Google Scholar] [CrossRef]
- Kaparekar, P.S.; Pathmanapan, S.; Anandasadagopan, S.K. Polymeric scaffold of Gallic acid loaded chitosan nanoparticles infused with collagen-fibrin for wound dressing application. Int. J. Biol. Macromol. 2020, 165, 930–947. [Google Scholar] [CrossRef]
- Zduńska, K.; Dana, A.; Kolodziejczak, A.; Rotsztejn, H. Antioxidant properties of ferulic acid and its possible application. Skin Pharmacol. Physiol. 2018, 31, 332–336. [Google Scholar] [CrossRef]
- Sangeeta, D.; Digvijay, S.; Pradeep, T.D.; Rupesh, S.; Rahul, T. Healing potential of ferulic acid on dermal wound in diabetic animals. Asian J. Mol. Model 2015, 1, 1–16. [Google Scholar]
- Kaczmarek, B.; Sionkowska, A.; Otrocka-Domagala, I.; Polkowska, I. In vivo studies of novel scaffolds with tannic acid addition. Polym. Deg. Stab. 2018, 158, 26–30. [Google Scholar] [CrossRef]








| Sample | Emod [kPa] | Fmax [N] |
|---|---|---|
| CTS | 19.41 ± 0.21 | 0.75 ± 0.09 |
| CTS_GA | 30.61 ± 0.17 * | 1.28 ± 0.02 * |
| CTS_FA | 27.74 ± 0.12 * | 0.97 ± 0.11 * |
| CTS_TA | 32.42 ± 0.35 * | 1.21 ± 0.14 * |
| Sample | RSA [%] |
|---|---|
| CTS | 22.19 ± 0.15 |
| CTS_GA | 91.61 ± 0.21 * |
| CTS_FA | 91.65 ± 0.17 * |
| CTS_TA | 91.56 ± 0.19 * |
| Sample | Hemolysis Rate [%] |
|---|---|
| CTS | 1.59 ± 0.21 |
| CTS_GA | 1.12 ± 0.17 * |
| CTS_FA | 0.98 ± 0.15 * |
| CTS_TA | 1.74 ± 0.10 |
Disclaimer/Publisher’s Note: The statements, opinions and data contained in all publications are solely those of the individual author(s) and contributor(s) and not of MDPI and/or the editor(s). MDPI and/or the editor(s) disclaim responsibility for any injury to people or property resulting from any ideas, methods, instructions or products referred to in the content. |
© 2023 by the authors. Licensee MDPI, Basel, Switzerland. This article is an open access article distributed under the terms and conditions of the Creative Commons Attribution (CC BY) license (https://creativecommons.org/licenses/by/4.0/).
Share and Cite
Kaczmarek-Szczepańska, B.; Polkowska, I.; Paździor-Czapula, K.; Nowicka, B.; Gierszewska, M.; Michalska-Sionkowska, M.; Otrocka-Domagała, I. Chitosan/Phenolic Compounds Scaffolds for Connective Tissue Regeneration. J. Funct. Biomater. 2023, 14, 69. https://doi.org/10.3390/jfb14020069
Kaczmarek-Szczepańska B, Polkowska I, Paździor-Czapula K, Nowicka B, Gierszewska M, Michalska-Sionkowska M, Otrocka-Domagała I. Chitosan/Phenolic Compounds Scaffolds for Connective Tissue Regeneration. Journal of Functional Biomaterials. 2023; 14(2):69. https://doi.org/10.3390/jfb14020069
Chicago/Turabian StyleKaczmarek-Szczepańska, Beata, Izabela Polkowska, Katarzyna Paździor-Czapula, Beata Nowicka, Magdalena Gierszewska, Marta Michalska-Sionkowska, and Iwona Otrocka-Domagała. 2023. "Chitosan/Phenolic Compounds Scaffolds for Connective Tissue Regeneration" Journal of Functional Biomaterials 14, no. 2: 69. https://doi.org/10.3390/jfb14020069
APA StyleKaczmarek-Szczepańska, B., Polkowska, I., Paździor-Czapula, K., Nowicka, B., Gierszewska, M., Michalska-Sionkowska, M., & Otrocka-Domagała, I. (2023). Chitosan/Phenolic Compounds Scaffolds for Connective Tissue Regeneration. Journal of Functional Biomaterials, 14(2), 69. https://doi.org/10.3390/jfb14020069

