Oxidized Alginate Dopamine Conjugate: A Study to Gain Insight into Cell/Particle Interactions
Abstract
1. Introduction
2. Materials and Methods
2.1. Materials
2.2. Preparation of Fluorescent AlgOx-Da
2.3. Quantitative Analysis of DA and FITC and Determination of FITC-AlgOx-Da Degree Substitution (DS)
2.4. Cell Culture
2.5. Cytotoxicity Assay via Sulforhodamine B
2.6. Fluorescence Microscopy
2.7. ROS Generation
2.8. Atomic Force Microscopy (AFM)-SNOM Visualization
2.9. Statistical Analysis
3. Results
3.1. Determination of FITC-AlgOx-Da Substitution Degree (DS)
3.2. Effects of DA and FITC-AlgOx-Da on SH-SY5Y Viability
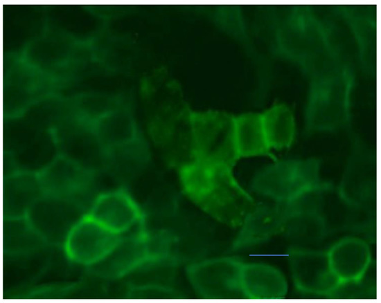
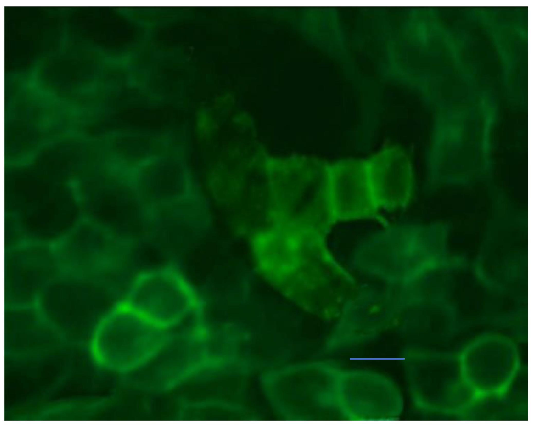
3.3. FITC-AlgOx-Da Detection by Fluorescence Microscopy
3.4. ROS Generation
3.5. Atomic Force Microscopy (AFM) Observations
4. Discussion
5. Conclusions
Author Contributions
Funding
Institutional Review Board Statement
Informed Consent Statement
Data Availability Statement
Acknowledgments
Conflicts of Interest
References
- Trapani, A.; De Giglio, E.; Cafagna, D.; Denora, N.; Agrimi, G.; Cassano, T.; Gaetani, S.; Cuomo, V.; Trapani, G. Characterization and Evaluation of Chitosan Nanoparticles for Dopamine Brain Delivery. Int. J. Pharm. 2011, 419, 296–307. [Google Scholar] [CrossRef]
- De Giglio, E.; Trapani, A.; Cafagna, D.; Sabbatini, L.; Cometa, S. Dopamine-Loaded Chitosan Nanoparticles: Formulation and Analytical Characterization. Anal. Bioanal. Chem. 2011, 400, 1997–2002. [Google Scholar] [CrossRef] [PubMed]
- Jahansooz, F.; Hosseinzade, B.E.; Zarmi, A.H.; Hadi, F.; Hojjati, S.M.M.; Shahpasand, K. Dopamine-Loaded Poly (Butyl Cyanoacrylate) Nanoparticles Reverse Behavioral Deficits in Parkinson’s Animal Models. Ther. Deliv. 2020, 11, 387–399. [Google Scholar] [CrossRef] [PubMed]
- Pillay, S.; Pillay, V.; Choonara, Y.E.; Naidoo, D.; Khan, R.A.; du Toit, L.C.; Ndesendo, V.M.K.; Modi, G.; Danckwerts, M.P.; Iyuke, S.E. Design, Biometric Simulation and Optimization of a Nano-Enabled Scaffold Device for Enhanced Delivery of Dopamine to the Brain. Int. J. Pharm. 2009, 382, 277–290. [Google Scholar] [CrossRef] [PubMed]
- Cometa, S.; Bonifacio, M.A.; Trapani, G.; Di Gioia, S.; Dazzi, L.; De Giglio, E.; Trapani, A. In Vitro Investigations on Dopamine Loaded Solid Lipid Nanoparticles. J. Pharm. Biomed. Anal. 2020, 185, 113257. [Google Scholar] [CrossRef]
- Trapani, A.; De Giglio, E.; Cometa, S.; Bonifacio, M.A.; Dazzi, L.; Di Gioia, S.; Hossain, M.N.; Pellitteri, R.; Antimisiaris, S.G.; Conese, M. Dopamine-Loaded Lipid Based Nanocarriers for Intranasal Administration of the Neurotransmitter: A Comparative Study. Eur. J. Pharm. Biopharm. 2021, 167, 189–200. [Google Scholar] [CrossRef]
- Ortega, E.; Blanco, S.; Ruiz, A.; Peinado, M.Á.; Peralta, S.; Morales, M.E. Lipid Nanoparticles for the Transport of Drugs like Dopamine through the Blood-Brain Barrier. J. Nanoparticle Res. 2021, 23, 106. [Google Scholar] [CrossRef]
- Di Gioia, S.; Trapani, A.; Mandracchia, D.; De Giglio, E.; Cometa, S.; Mangini, V.; Arnesano, F.; Belgiovine, G.; Castellani, S.; Pace, L.; et al. Intranasal Delivery of Dopamine to the Striatum Using Glycol Chitosan/Sulfobutylether-β-Cyclodextrin Based Nanoparticles. Eur. J. Pharm. Biopharm. 2015, 94, 180–193. [Google Scholar] [CrossRef]
- Trapani, A.; Mandracchia, D.; Tripodo, G.; Cometa, S.; Cellamare, S.; De Giglio, E.; Klepetsanis, P.; Antimisiaris, S.G. Protection of Dopamine towards Autoxidation Reaction by Encapsulation into Non-Coated- or Chitosan- or Thiolated Chitosan-Coated-Liposomes. Colloids Surf. B Biointerfaces 2018, 170, 11–19. [Google Scholar] [CrossRef]
- Kamaly, N.; Yameen, B.; Wu, J.; Farokhzad, O.C. Degradable Controlled-Release Polymers and Polymeric Nanoparticles: Mechanisms of Controlling Drug Release. Chem. Rev. 2016, 116, 2602–2663. [Google Scholar] [CrossRef]
- Di Gioia, S.; Trapani, A.; Cassano, R.; Di Gioia, M.L.; Trombino, S.; Cellamare, S.; Bolognino, I.; Hossain, M.N.; Sanna, E.; Trapani, G.; et al. Nose-to-Brain Delivery: A Comparative Study between Carboxymethyl Chitosan Based Conjugates of Dopamine. Int. J. Pharm. 2021, 599, 120453. [Google Scholar] [CrossRef] [PubMed]
- Ancona, A.; Sportelli, M.C.; Trapani, A.; Picca, R.A.; Palazzo, C.; Bonerba, E.; Mezzapesa, F.P.; Tantillo, G.; Trapani, G.; Cioffi, N. Synthesis and Characterization of Hybrid Copper–Chitosan Nano-Antimicrobials by Femtosecond Laser-Ablation in Liquids. Mater. Lett. 2014, 136, 397–400. [Google Scholar] [CrossRef]
- Wen, A.; Mei, X.; Feng, C.; Shen, C.; Wang, B.; Zhang, X. Electrosprayed Nanoparticles of Poly(p-Dioxanone-Co-Melphalan) Macromolecular Prodrugs for Treatment of Xenograft Ovarian Carcinoma. Mater. Sci. Eng. C 2020, 111, 110759. [Google Scholar] [CrossRef] [PubMed]
- Zhou, L.; Hou, B.; Wang, D.; Sun, F.; Song, R.; Shao, Q.; Wang, H.; Yu, H.; Li, Y. Engineering Polymeric Prodrug Nanoplatform for Vaccination Immunotherapy of Cancer. Nano Lett. 2020, 20, 4393–4402. [Google Scholar] [CrossRef] [PubMed]
- Dutta, D.; Ke, W.; Xi, L.; Yin, W.; Zhou, M.; Ge, Z. Block Copolymer Prodrugs: Synthesis, Self-Assembly, and Applications for Cancer Therapy. WIREs Nanomed. Nanobiotechnol. 2020, 12, e1585. [Google Scholar] [CrossRef]
- Mukaya, E.H.; Mbianda, X.Y. Macromolecular Prodrugs Containing Organoiron-Based Compounds in Cancer Research: A Review. Mini Rev. Med. Chem. 2020, 20, 726–738. [Google Scholar] [CrossRef] [PubMed]
- Denora, N.; Cassano, T.; Laquintana, V.; Lopalco, A.; Trapani, A.; Cimmino, C.S.; Laconca, L.; Giuffrida, A.; Trapani, G. Novel Codrugs with GABAergic Activity for Dopamine Delivery in the Brain. Int. J. Pharm. 2012, 437, 221–231. [Google Scholar] [CrossRef] [PubMed]
- Liu, Z.; Hu, B.-H.; Messersmith, P.B. Acetonide Protection of Dopamine for the Synthesis of Highly Pure N-Docosahexaenoyldopamine. Tetrahedron Lett. 2010, 51, 2403–2405. [Google Scholar] [CrossRef]
- Di Stefano, A.; Sozio, P.; Cerasa, L.S. Antiparkinson Prodrugs. Molecules 2008, 13, 46–68. [Google Scholar] [CrossRef]
- Cassano, R.; Trapani, A.; Di Gioia, M.L.; Mandracchia, D.; Pellitteri, R.; Tripodo, G.; Trombino, S.; Di Gioia, S.; Conese, M. Synthesis and Characterization of Novel Chitosan-Dopamine or Chitosan-Tyrosine Conjugates for Potential Nose-to-Brain Delivery. Int. J. Pharm. 2020, 589, 119829. [Google Scholar] [CrossRef]
- Diao, J.; Bai, F.; Wang, Y.; Han, Q.; Xu, X.; Zhang, H.; Luo, Q.; Wang, Y. Engineering of Pectin-Dopamine Nano-Conjugates for Carrying Ruthenium Complex: A Potential Tool for Biomedical Applications. J. Inorg. Biochem. 2019, 191, 135–142. [Google Scholar] [CrossRef] [PubMed]
- Breydo, L.; Newland, B.; Zhang, H.; Rosser, A.; Werner, C.; Uversky, V.N.; Wang, W. A Hyperbranched Dopamine-Containing PEG-Based Polymer for the Inhibition of α-Synuclein Fibrillation. Biochem. Biophys. Res. Commun. 2016, 469, 830–835. [Google Scholar] [CrossRef] [PubMed]
- Juriga, D.; Laszlo, I.; Ludanyi, K.; Klebovich, I.; Chae, C.H.; Zrinyi, M. Kinetics of Dopamine Release from Poly(Aspartamide)-Based Prodrugs. Acta Biomater. 2018, 76, 225–238. [Google Scholar] [CrossRef] [PubMed]
- Tao, B.; Yin, Z. Redox-Responsive Coordination Polymers of Dopamine-Modified Hyaluronic Acid with Copper and 6-Mercaptopurine for Targeted Drug Delivery and Improvement of Anticancer Activity against Cancer Cells. Polymers 2020, 12, 1132. [Google Scholar] [CrossRef] [PubMed]
- Trapani, A.; Corbo, F.; Agrimi, G.; Ditaranto, N.; Cioffi, N.; Perna, F.; Quivelli, A.; Stefàno, E.; Lunetti, P.; Muscella, A.; et al. Oxidized Alginate Dopamine Conjugate: In Vitro Characterization for Nose-to-Brain Delivery Application. Materials 2021, 14, 3495. [Google Scholar] [CrossRef] [PubMed]
- Trapani, A.; Cometa, S.; De Giglio, E.; Corbo, F.; Cassano, R.; Di Gioia, M.L.; Trombino, S.; Hossain, M.N.; Di Gioia, S.; Trapani, G.; et al. Novel Nanoparticles Based on N,O-Carboxymethyl Chitosan-Dopamine Amide Conjugate for Nose-to-Brain Delivery. Pharmaceutics 2022, 14, 147. [Google Scholar] [CrossRef]
- Muscella, A.; Vetrugno, C.; Fanizzi, F.P.; Manca, C.; De Pascali, S.A.; Marsigliante, S. A New Platinum(II) Compound Anticancer Drug Candidate with Selective Cytotoxicity for Breast Cancer Cells. Cell Death Dis. 2013, 4, e796. [Google Scholar] [CrossRef]
- Muscella, A.; Vetrugno, C.; Antonaci, G.; Cossa, L.G.; Marsigliante, S. PKC-δ/PKC-α Activity Balance Regulates the Lethal Effects of Cisplatin. Biochem. Pharmacol. 2015, 98, 29–40. [Google Scholar] [CrossRef]
- Muscella, A.; Vetrugno, C.; Calabriso, N.; Cossa, L.G.; De Pascali, S.A.; Fanizzi, F.P.; Marsigliante, S. [Pt(O,O′-Acac)(γ-Acac)(DMS)] Alters SH-SY5Y Cell Migration and Invasion by the Inhibition of Na+/H+ Exchanger Isoform 1 Occurring through a PKC-ε/ERK/MTOR Pathway. PLoS ONE 2014, 9, e112186. [Google Scholar] [CrossRef]
- Vetrugno, C.; Muscella, A.; Fanizzi, F.P.; Cossa, L.G.; Migoni, D.; De Pascali, S.A.; Marsigliante, S. Different Apoptotic Effects of [Pt(O,O′-Acac)(γ-Acac)(DMS)] and Cisplatin on Normal and Cancerous Human Epithelial Breast Cells in Primary Culture. Br. J. Pharmacol. 2014, 171, 5139–5153. [Google Scholar] [CrossRef]
- Cricenti, A.; Generosi, R. Air Operating Atomic Force-scanning Tunneling Microscope Suitable to Study Semiconductors, Metals, and Biological Samples. Rev. Sci. Instrum. 1995, 66, 2843–2847. [Google Scholar] [CrossRef]
- Shao, Z.; Mou, J.; Czajkowsky, D.M.; Yang, J.; Yuan, J.-Y. Biological Atomic Force Microscopy: What is Achieved and What is Needed. Adv. Phys. 1996, 45, 1–86. [Google Scholar] [CrossRef]
- Jalili, N.; Laxminarayana, K. A Review of Atomic Force Microscopy Imaging Systems: Application to Molecular Metrology and Biological Sciences. Mechatronics 2004, 14, 907–945. [Google Scholar] [CrossRef]
- Liu, S.; Wang, Y. Application of AFM in Microbiology: A Review. Scanning 2010, 32, 61–73. [Google Scholar] [CrossRef]
- Longo, G.; Girasole, M.; Pompeo, G.; Generosi, R.; Luce, M.; Cricenti, A. An Inverted/Scanning near-Field Optical Microscope for Applications in Materials Science and Biology. Phys. Status Solidi B 2010, 247, 2051–2055. [Google Scholar] [CrossRef]
- Girasole, M.; Pompeo, G.; Cricenti, A.; Congiu-Castellano, A.; Andreola, F.; Serafino, A.; Frazer, B.H.; Boumis, G.; Amiconi, G. Roughness of the Plasma Membrane as an Independent Morphological Parameter to Study RBCs: A Quantitative Atomic Force Microscopy Investigation. Biochim. Biophys. Acta 2007, 1768, 1268–1276. [Google Scholar] [CrossRef]
- Girasole, M.; Dinarelli, S.; Boumis, G. Structure and Function in Native and Pathological Erythrocytes: A Quantitative View from the Nanoscale. Micron 2012, 43, 1273–1286. [Google Scholar] [CrossRef]
- Mandracchia, D.; Trapani, A.; Tripodo, G.; Perrone, M.G.; Giammona, G.; Trapani, G.; Colabufo, N.A. In Vitro Evaluation of Glycol Chitosan Based Formulations as Oral Delivery Systems for Efflux Pump Inhibition. Carbohydr. Polym. 2017, 166, 73–82. [Google Scholar] [CrossRef]
- Denora, N.; Laquintana, V.; Trapani, A.; Lopedota, A.; Latrofa, A.; Gallo, J.M.; Trapani, G. Translocator Protein (TSPO) Ligand-Ara-C (Cytarabine) Conjugates as a Strategy to Deliver Antineoplastic Drugs and to Enhance Drug Clinical Potential. Mol. Pharm. 2010, 7, 2255–2269. [Google Scholar] [CrossRef]
- Kong, X.; Chen, L.; Li, B.; Quan, C.; Wu, J. Applications of Oxidized Alginate in Regenerative Medicine. J. Mater. Chem. B 2021, 9, 2785–2801. [Google Scholar] [CrossRef]
- Chen, Q.; Tian, X.; Fan, J.; Tong, H.; Ao, Q.; Wang, X. An Interpenetrating Alginate/Gelatin Network for Three-Dimensional (3D) Cell Cultures and Organ Bioprinting. Molecules 2020, 25, 756. [Google Scholar] [CrossRef] [PubMed]
- Trapani, A.; Mandracchia, D.; Di Franco, C.; Cordero, H.; Morcillo, P.; Comparelli, R.; Cuesta, A.; Esteban, M.A. In vitro characterization of 6-Coumarin loaded solid lipid nanoparticles and their uptake by immunocompetent fish cells. Colloids Surf. B Biointerfaces 2015, 127, 79–88. [Google Scholar] [CrossRef] [PubMed]
- Bari, E.; Perteghella, S.; Marrubini, G.; Sorrenti, M.; Catenacci, M.; Tripodo, G.; Mastrogiacomo, M.; Mandracchia, D.; Trapani, A.; Faragò, S.; et al. In vitro efficacy of silk sericin microparticles and platelet lysate for intervertebral disk regeneration. Int. J. Biol. Macromol. 2018, 127, 792–799. [Google Scholar] [CrossRef] [PubMed]
- Trapani, A.; Guerra, L.; Corbo, F.; Castellani, S.; Sanna, E.; Capobianco, L.; Monteduro, A.G.; Manno, D.E.; Mandracchia, D.; Di Gioia, S.; et al. Cyto/Biocompatibility of Dopamine Combined with the Antioxidant Grape Seed-Derived Polyphenol Compounds in Solid Lipid Nanoparticles. Molecules 2021, 26, 916. [Google Scholar] [CrossRef] [PubMed]
- Rieti, S.; Manni, V.; Lisi, A.; Giuliani, L.; Sacco, D.; D’Emilia, E.; Cricenti, A.; Generosi, R.; Luce, M.; Grimaldi, S. SNOM and AFM Microscopy Techniques to Study the Effect of Non-Ionizing Radiation on the Morphological and Biochemical Properties of Human Keratinocytes Cell Line (HaCaT). J. Microsc. 2004, 213, 20–28. [Google Scholar] [CrossRef]
- Lasalvia, M.; Castellani, S.; D’Antonio, P.; Perna, G.; Carbone, A.; Colia, A.L.; Maffione, A.B.; Capozzi, V.; Conese, M. Human Airway Epithelial Cells Investigated by Atomic Force Microscopy: A Hint to Cystic Fibrosis Epithelial Pathology. Exp. Cell Res. 2016, 348, 46–55. [Google Scholar] [CrossRef]
- AlZahrani, K.; Al-Sewaidan, H.A. Nanostructural Changes in the Cell Membrane of Gamma-Irradiated Red Blood Cells. Indian J. Hematol. Blood Transfus. 2017, 33, 109–115. [Google Scholar] [CrossRef]





Publisher’s Note: MDPI stays neutral with regard to jurisdictional claims in published maps and institutional affiliations. |
© 2022 by the authors. Licensee MDPI, Basel, Switzerland. This article is an open access article distributed under the terms and conditions of the Creative Commons Attribution (CC BY) license (https://creativecommons.org/licenses/by/4.0/).
Share and Cite
Trapani, A.; Corbo, F.; Stefàno, E.; Capobianco, L.; Muscella, A.; Marsigliante, S.; Cricenti, A.; Luce, M.; Becerril, D.; Bellucci, S. Oxidized Alginate Dopamine Conjugate: A Study to Gain Insight into Cell/Particle Interactions. J. Funct. Biomater. 2022, 13, 201. https://doi.org/10.3390/jfb13040201
Trapani A, Corbo F, Stefàno E, Capobianco L, Muscella A, Marsigliante S, Cricenti A, Luce M, Becerril D, Bellucci S. Oxidized Alginate Dopamine Conjugate: A Study to Gain Insight into Cell/Particle Interactions. Journal of Functional Biomaterials. 2022; 13(4):201. https://doi.org/10.3390/jfb13040201
Chicago/Turabian StyleTrapani, Adriana, Filomena Corbo, Erika Stefàno, Loredana Capobianco, Antonella Muscella, Santo Marsigliante, Antonio Cricenti, Marco Luce, David Becerril, and Stefano Bellucci. 2022. "Oxidized Alginate Dopamine Conjugate: A Study to Gain Insight into Cell/Particle Interactions" Journal of Functional Biomaterials 13, no. 4: 201. https://doi.org/10.3390/jfb13040201
APA StyleTrapani, A., Corbo, F., Stefàno, E., Capobianco, L., Muscella, A., Marsigliante, S., Cricenti, A., Luce, M., Becerril, D., & Bellucci, S. (2022). Oxidized Alginate Dopamine Conjugate: A Study to Gain Insight into Cell/Particle Interactions. Journal of Functional Biomaterials, 13(4), 201. https://doi.org/10.3390/jfb13040201

