Temporomandibular Joint Prostheses: Optimal Materials for the Optimal Stomatognathic System Performance—Preliminary Study
Abstract
1. Introduction
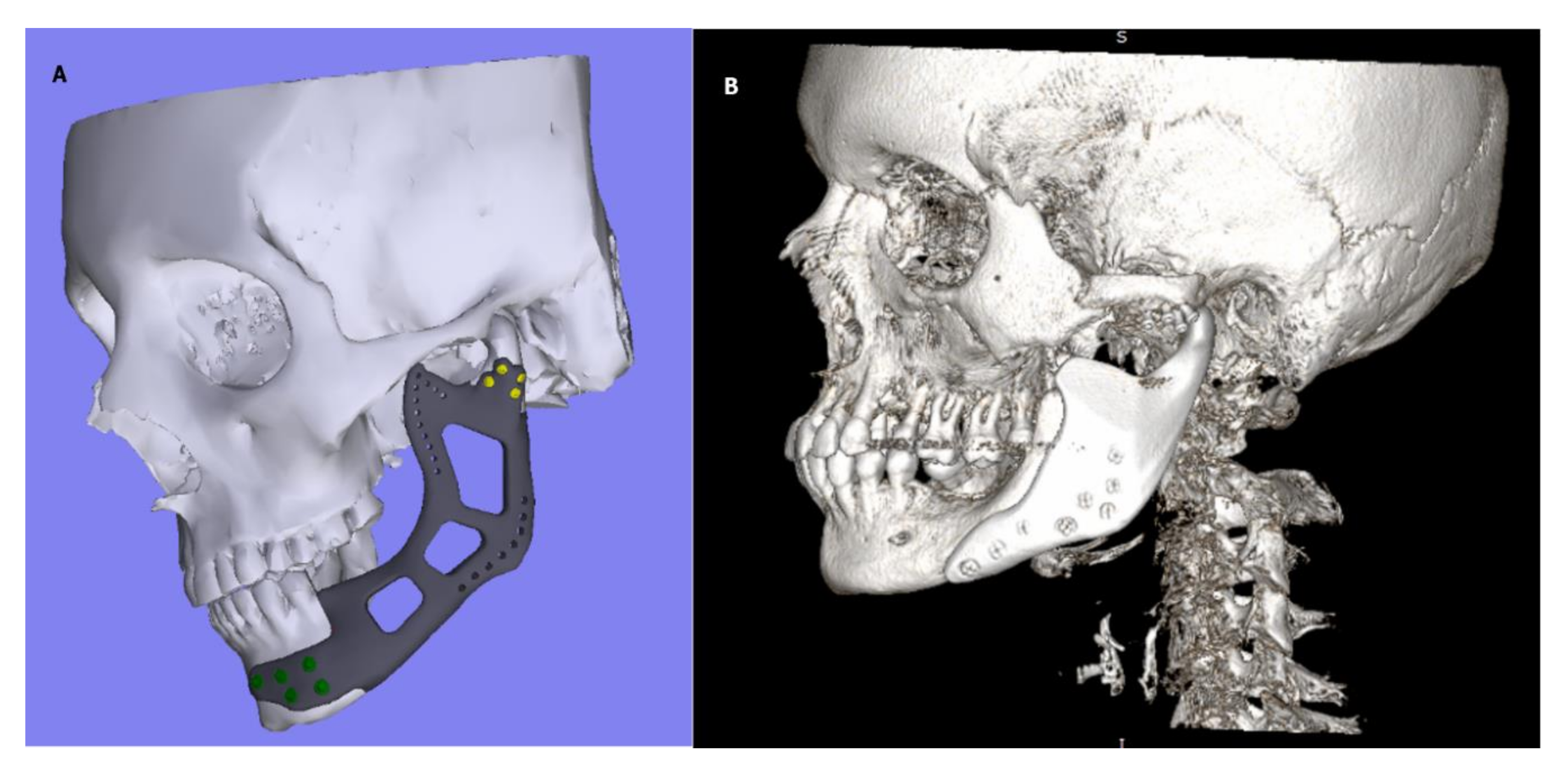
2. Materials and Methods
3. Results
4. Discussion
5. Conclusions
Author Contributions
Funding
Institutional Review Board Statement
Informed Consent Statement
Data Availability Statement
Conflicts of Interest
References
- Onoriobe, U.; Miloro, M.; Sukotjo, C.; Mercuri, L.G.; Lotesto, A.; Eke, R. How Many Temporomandibular Joint Total Joint Alloplastic Implants will be Placed in the United States in 2030? J. Oral Maxillofac. Surg. 2016, 74, 1531–1538. [Google Scholar] [CrossRef] [PubMed]
- Elledge, R.; Mercuri, L.G.; Attard, A.; Green, J.; Speculand, B. Review of emerging temporomandibular joint total joint replacement systems. Br. J. Oral Maxillofac. Surg. 2019, 57, 722–728. [Google Scholar] [CrossRef] [PubMed]
- Lee, W.-Y.; Park, Y.-W.; Kim, S.-G. Comparison of Costochondral Graft and Customized Total Joint Reconstruction for Treatments of Temporomandibular Joint Replacement. Maxillofac. Plast. Reconstr. Surg. 2014, 36, 135–139. [Google Scholar] [CrossRef] [PubMed][Green Version]
- De Meurechy, N.; Mommaerts, M.Y. Alloplastic temporomandibular joint replacement systems: A systematic review of their history. Int. J. Oral Maxillofac. Surg. 2018, 47, 743–754. [Google Scholar] [CrossRef] [PubMed]
- Wolford, L.M.; Morales-Ryan, C.A.; Morales, P.G.; Cassano, D.S. Autologous Fat Grafts Placed Around Temporomandibular Joint Total Joint Prostheses to Prevent Heterotopic Bone Formation. Baylor Univ. Med. Cent. Proc. 2008, 21, 248–254. [Google Scholar] [CrossRef] [PubMed]
- Guezmil, M.; Bensalah, W.; Mezlini, S. Tribological behavior of UHMWPE against TiAl 6 V 4 and CoCr 28 Mo alloys under dry and lubricated conditions. J. Mech. Behav. Biomed. Mater. 2016, 63, 375–385. [Google Scholar] [CrossRef] [PubMed]
- Basu, B. Advanced Biomaterials: Fundamentals, Processing, and Applications; John Wiley & Sons: Hoboken, NJ, USA, 2009. [Google Scholar]
- Celebi, N.; Rohner, E.C.; Gateno, J. Development of a mandibular motion simulator for total joint replacement. J. Oral Maxillofac. Surg. 2011, 69, 66–79. [Google Scholar] [CrossRef] [PubMed]
- Wojczyńska, A.; Leiggener, C.S.; Bredell, M. Alloplastic total temporomandibular joint replacements: Do they perform like natural joints? Prospective cohort study with a historical control. Int. J. Oral Maxillofac. Surg. 2016, 45, 1213–1221. [Google Scholar] [CrossRef] [PubMed]
- Toure, G. Arterial Vascularization of the Mandibular Condyle and Fractures of the Condyle. Plast. Reconstr. Surg. 2018, 141, 718e–725e. [Google Scholar] [CrossRef] [PubMed]
- Olivetto, M.; Bettoni, J.; Duisit, J. Endosteal blood supply of the mandible: Anatomical study of nutrient vessels in the condylar neck accessory foramina. Surg. Radiol. Anat. 2020, 42, 35–40. [Google Scholar] [CrossRef] [PubMed]
- De Meurechy, N.K.G.; Loos, P.J.; Mommaerts, M.Y. Postoperative Physiotherapy after Open Temporomandibular Joint Surgery: A 3-Step Program. J. Oral Maxillofac. Surg. 2019, 77, 932–950. [Google Scholar] [CrossRef] [PubMed]
- Wojczynska, A.; Gallo, L.M.; Bredell, M.; Leiggener, C.S. Alterations of mandibular movement patterns after total joint replacement: A case series of long-term outcomes in patients with total alloplastic temporomandibular joint reconstructions. Int. J. Oral Maxillofac. Surg. 2019, 48, 225–232. [Google Scholar] [CrossRef] [PubMed]
- Mommaerts, M.Y. On the reinsertion of the lateral pterygoid tendon in total temporomandibular joint replacement surgery. J. Cranio-Maxillofac. Surg. 2019, 47, 1913–1917. [Google Scholar] [CrossRef] [PubMed]
- Kraeima, J.; Merema, B.J.; Witjes, M.J.H.; Spijkervet, F.K.L. Development of a patient-specific temporomandibular joint prosthesis according to the Groningen principle through a cadaver test series. J. Cranio-Maxillofac. Surg. 2018, 46, 779–784. [Google Scholar] [CrossRef] [PubMed]
- Van Loon, J.P.; Falkenström, C.H.; De Bont, L.G.M.; Verkerke, G.J.; Stegenga, B. The theoretical optimal center of rotation for a temporomandibular joint prosthesis: A three-dimensional kinematic study. J. Dent. Res. 1999, 78, 43–48. [Google Scholar] [CrossRef] [PubMed]



| Phase | Timing | Therapy |
|---|---|---|
| Phase 1 | Within 24 hr after surgery to 7 days after surgery | Non-chewing diet |
| Cold therapy over joint 1 × 20 minutes (minimally), 5 times per day | ||
| Condylar rotational exercises (passive and active opening and closing, 20 repetitions, 3 times/day; active opening and closing, 20 repetitions, 3 times/day) | ||
| Grade I joint distraction | ||
| Grade II joint distraction toward end of phase 1 | ||
| Oral re-education with avoidance of parafunctions | ||
| Phase 2 | 1–3 wk after surgery | Soft diet |
| Moist heat application over muscles for 20 minutes before exercises, cold application over joint after exercises | ||
| Coordination exercise using a mirror | ||
| 1. Condylar rotational exercises as in phase 1 | ||
| 2. Active mouth opening and closing | ||
| 3. ‘Mandibular snake’: protrusion, depression, retrusion, elevation, return to neutral position | ||
| Range of motion exercises (until pain limit, not over pain limit) | ||
| 1. Insertion of tongue spatula or TheraBite system 7 × 7 seconds, 7 times/day | ||
| 2. Active assisted opening: 10 repetitions, keeping maximal mouth opening for 30 seconds, 3 times/day | ||
| 3. Active lateral movement: 10 repetitions, keeping maximum lateral deviation for 30 seconds, 3 times/day | ||
| 4. Active protrusive and retrusive movement: 10 repetitions, keeping pro- and retrusive deviation for 30 seconds, 3 times/day | ||
| Grade II joint distraction | ||
| Use of chewing gum | ||
| Phase 3 | From 4 wk onafter surgery | Transition to solid diet |
| Stabilization exercises | ||
| 1. Lower jaw maintained in neutral, slightly open position (lateral manual pressure: 1 × 6 repetitions, 5 times/day; upward manual pressure: 6 repetitions, 5 times/day) | ||
| 2. Lower jaw maintained in closed position (attempting to open during upward manual pressure: 6 repetitions, 5 times/day) | ||
| Range-of-motion exercises | ||
| 1. Maximum opening (insertion of tongue spatula or TheraBite system: 5 × 30 seconds, 5 times/day; active assisted opening: 5 repetitions, keeping maximum mouth opening for 30 seconds to 1 minute, 3 times/day; active opening: 5 repetitions, keeping maximum mouth opening for 30 seconds to 1 minute, 3 times/day) | ||
| 2. Lateral deviation: 10 repetitions, 3 times/day per side | ||
| Grade III and grade IV joint distraction | ||
| Massage of masticatory muscles | ||
| Use of chewing gum |
| Group A (n = 4) | Group B (n = 4) | Group C (n = 6) | |
|---|---|---|---|
| Sex: | - | - | - |
| F | 4 (100%) | 4 (100%) | 4 (66.6%) |
| M | 0 | 0 | 2 (33.3%) |
| Median age (years) | 32.5 (range: 28–37) | 47.5 (range: 33–67) | 31.5 (range: 29–42) |
| Indication for treatment: | - | - | - |
| Ameloblastoma | 0 | 4 (100%) | 1 (16%) |
| Fibrous dysplasia | 2 (50%) | 0 | 2 (33.3%) |
| Trauma | 2 (50%) | 0 | 2 (33.3%) |
| Fibromatosis | 0 | 0 | 1 (16%) |
| Group A (n = 4) | Group B (n = 4) | Group C (n = 6) | |
|---|---|---|---|
| Opening pattern: | - | - | - |
| straight | - | 2 (50%) | - |
| deviated | 4 (100%) | 2 (50%) | 6 (100%) |
| Opening (mm) (median) | 43.5 (range: 35–50) | 37.5 (range: 30–42) | 36 (range: 30–40) |
| Laterotrusion to operated side (mm) (median) | 1.25 (range: 1–2) | 4.5 (range: 2–6) | 1 (range: 0–2) |
| Laterotrusion to unoperated side (mm) (median) | 9 (range: 5–15) * | 10 (range: 8–17) * | 3.5 (range: 2–5) * |
| Protrusion (median) | 4 (range: 2–6) | 5.5 (range: 3–8) | 2.5 (range: 1–7) |
| Group A | Group B | |
|---|---|---|
| Group B | 0.641 | – |
| Group C | 0.044 | 0.015 |
| Group | Group A | Group B | Group C | ||||
|---|---|---|---|---|---|---|---|
| Side | Operated | Unoperated | Operated | Unoperated | Operated | Unoperated | |
| variable | X | 0.42 ± 0.38 | 0.85 ± 0.66 | −1.31 ± 1.27 | 1.51 ± 0.83 | −0.662 ± 1.11 | 0.17 ± 0.25 |
| Y | −0.14 ± 0.07 | −0.21 ± 0.1 | −0.91 ± 0.45 | −0.69 ± 0.3 | 0.12 ± 0.16 | 0.06 ± 0.13 | |
| Z | −1.59 ± 0.51 | 1.23 ± 1.45 | −1.97 ± 1.51 | 2.5 ± 1.23 | 0.03 ± 0.18 | −0.13 ± 0.22 | |
| L | 1.81 ± 0.63 | 1.97 ± 1.08 | 2.82 ± 1.59 | 3.01 ± 1.5 | 0.74 ± 1.08 | 0.31 ± 0.27 | |
| Group | Group A | Group B | Group C | ||||
|---|---|---|---|---|---|---|---|
| Side | Operated | Unoperated | Operated | Unoperated | Operated | Unoperated | |
| variable | X | 1.61 ± 1.48 | 1.35 ± 1.01 | −1.07 ± 1.22 | 2.88 ± 0.76 | −0.18 ± 0.2 | 0.55 ± 1.25 |
| Y | 0.08 ± 0.25 | 0.01 ± 0.17 | −1.07 ± 0.39 | −0.77 ± 0.36 | −0.12 ± 0.17 | −0.24 ± 0.19 | |
| Z | −1.48 ± 0.18 a | −1.05 ± 0.53 | −2.14 ± 0.82 b | 4.35 ± 1.01 | −0.55 ± 0.58 a,b | 1.43 ± 2.69 | |
| L | 2.56 ± 0.6 a | 1.88 ± 1.07 | 2.76 ± 1.25 b | 5.28 ± 1.3 | 0.68 ± 0.53 a,b | 2.55 ± 1.98 | |
| Group | Group A | Group B | Group C | ||||
|---|---|---|---|---|---|---|---|
| Side | Operated | Unoperated | Operated | Unoperated | Operated | Unoperated | |
| variable | X | 1.84 ± 1.41 | 0.68 ± 0.37 | −1.73 ± 0.68 | 2.11 ± 0.91 | −0.3 ± 0.33 | 0.58 ± 0.9 |
| Y | 0.28 ± 0.17 | 0.06 ± 0.07 | −1.10 ± 0.4 | −0.8 ± 0.33 | −0.26 ± 0.24 | −0.33 ± 0.25 | |
| Z | −2.62 ± 1.03 a | 1.66 ± 1.6 | −2.63 ± 0.63 b | 3.21 ± 1.37 | −0.52 ± 0.3 a,b | 1.39 ± 2.05 | |
| L | 3.33 ± 1.58 a | 2.13 ± 1.18 | 3.35 ± 0.95 b | 3.92 ± 1.68 | 0.66 ± 0.43 a,b | 2.03 ± 1.7 | |
| Group | Group A | Group B | Group C | |||
|---|---|---|---|---|---|---|
| Side | Operated | Unoperated | Operated | Unoperated | Operated | Unoperated |
| X | 1.76 ± 1.3 | 0.26 ± 0.23 a | −1.51 ± 0.52 | 2.15 ± 0.42 a,b | −0.59 ± 0.65 | −0.04 ± 0.56 b |
| Y | 0.18 ± 0.33 a | −0.2 ± 0.03 | −1.07 ± 0.13 a,b | −0.76 ± 0.1 | 0.1 ± 0.27 b | 0.08 ± 0.13 |
| Z | −1.71 ± 0.22 | 0.22 ± 0.87 a | −2.45 ± 0.33 | 3.25 ± 0.64 a,b | −0.128 ± 0.51 | 0.24 ± 1.28 b |
| L | 2.68 ± 0.9 a | 1.06 ± 0.57 b | 3.08 ± 0.53 a,c | 3.97 ± 0.77 b,d | 0.88 ± 0.52 c | 1.21 ± 0.56 d |
| Bearing Couples | Coefficient of Friction |
|---|---|
| Cartilage-cartilage | 0.002 |
| CoCr-UHMWPE | 0.094 |
| Zirconia-UHMWPE | 0.09–0.11 |
| Alumina-UHMWPE | 0.08–0.12 |
| CoCr-CoCr | 0.12 |
| Alumina-alumina | 0.05–0.1 |
Publisher’s Note: MDPI stays neutral with regard to jurisdictional claims in published maps and institutional affiliations. |
© 2021 by the authors. Licensee MDPI, Basel, Switzerland. This article is an open access article distributed under the terms and conditions of the Creative Commons Attribution (CC BY) license (http://creativecommons.org/licenses/by/4.0/).
Share and Cite
Niedzielska, I.; Bąk, M.; Niedzielski, D.; Okła, H.; Gabor, J.; Stanula, A.; Paluch, J.; Swinarew, A.S. Temporomandibular Joint Prostheses: Optimal Materials for the Optimal Stomatognathic System Performance—Preliminary Study. J. Funct. Biomater. 2021, 12, 7. https://doi.org/10.3390/jfb12010007
Niedzielska I, Bąk M, Niedzielski D, Okła H, Gabor J, Stanula A, Paluch J, Swinarew AS. Temporomandibular Joint Prostheses: Optimal Materials for the Optimal Stomatognathic System Performance—Preliminary Study. Journal of Functional Biomaterials. 2021; 12(1):7. https://doi.org/10.3390/jfb12010007
Chicago/Turabian StyleNiedzielska, Iwona, Michał Bąk, Damian Niedzielski, Hubert Okła, Jadwiga Gabor, Arkadiusz Stanula, Jarosław Paluch, and Andrzej Szymon Swinarew. 2021. "Temporomandibular Joint Prostheses: Optimal Materials for the Optimal Stomatognathic System Performance—Preliminary Study" Journal of Functional Biomaterials 12, no. 1: 7. https://doi.org/10.3390/jfb12010007
APA StyleNiedzielska, I., Bąk, M., Niedzielski, D., Okła, H., Gabor, J., Stanula, A., Paluch, J., & Swinarew, A. S. (2021). Temporomandibular Joint Prostheses: Optimal Materials for the Optimal Stomatognathic System Performance—Preliminary Study. Journal of Functional Biomaterials, 12(1), 7. https://doi.org/10.3390/jfb12010007

