Robust Segmentation Based on Salient Region Detection Coupled Gaussian Mixture Model
Abstract
:1. Introduction
2. Related Work
3. Proposed Algorithm
3.1. Gaussian Mixture Model
3.2. Extraction of Saliency Map
3.3. Gaussian Mixture Model with Saliency Weight
4. Experiments
4.1. Segmentation of Building
4.2. Segmentation of Human Face
4.3. Segmentation of a Large Target and a Small Background
4.4. Segmentation of a Large Background and a Small Target
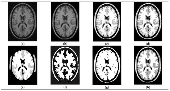
4.5. Segmentation of a Medical Image
5. Conclusions
Author Contributions
Funding
Institutional Review Board Statement
Informed Consent Statement
Data Availability Statement
Acknowledgments
Conflicts of Interest
References
- Gemme, L.; Dellepiane, S.G. An automatic data-driven method for SAR image segmentation in sea surface analysis. IEEE Trans. Geosci. Remote Sens. 2018, 56, 2633–2646. [Google Scholar] [CrossRef]
- Guo, Y.; Jiao, L.; Wang, S.; Wang, S.; Liu, F.; Hua, W. Fuzzy-superpixels for polarimetric SAR images classification. IEEE Trans. Fuzzy Syst. 2018, 26, 2846–2860. [Google Scholar] [CrossRef]
- Rahman, A.; Verma, B.; Stockwell, D. An hierarchical approach towards road image segmentation. In Proceedings of the 2012 International Joint Conference on Neural Networks (IJCNN), Brisbane, QLD, Australia, 10–15 June 2012; pp. 1–8. [Google Scholar]
- Soh, S.S.; Tan, T.S.; Alang, T.A.I.T.; Supriyanto, E. White matter hyperintensity segmentation on T2 FLAIR brain images using supervised segmentation method. In Proceedings of the 2016 International Conference on Robotics, Automation and Sciences (ICORAS), Ayer Keroh, Melaka, Malaysia, 5–6 November 2016; pp. 1–3. [Google Scholar]
- Khaizi, A.S.A.; Rosidi, R.A.M.; Gan, H.-S.; Sayuti, K.A. A mini review on the design of interactive tool for medical image segmentation. In Proceedings of the 2017 International Conference on Engineering Technology and Technopreneurship (ICE2T), Kuala Lumpur, Malaysia, 18–20 September 2017; pp. 1–5. [Google Scholar]
- Hameed, K.; Chai, D.; Rassau, A. Score-based mask edge improvement of Mask-RCNN for segmentation of fruit and vegetables. Expert Syst. Appl. 2022, 190, 116205. [Google Scholar] [CrossRef]
- Geng, X.; Zhou, Z.-H.; Smith-Miles, K. Individual Stable Space: An Approach to Face Recognition under Uncontrolled Conditions. IEEE Trans. Neural Netw. 2008, 19, 1354–1368. [Google Scholar] [CrossRef] [PubMed] [Green Version]
- Zhang, G.; He, L.; Zhang, T. A security scheme based on time division multiplex. In Proceedings of the 2011 Cross Strait Quad-Regional Radio Science and Wireless Technology Conference, Harbin, China, 26–30 July 2011; pp. 1172–1174. [Google Scholar]
- Yang, H. Research on Thresholding Methods for Image Segmentation. J. Liaoning Univ. 2006, 33, 135–137. [Google Scholar]
- Fan, J.; Yau, D.; Elmagarmid, A.; Aref, W. Automatic Image Segmentation by Integrating Color-Edge Extraction and Seeded Region Growing. IEEE Trans. Image Processing 2001, 10, 1454–1466. [Google Scholar]
- Fernandez-Maloigne, C.; Robert-Inacio, F.; Macaire, L. Region Segmentation; John Wiley & Sons, Ltd.: Hoboken, NJ, USA, 2013. [Google Scholar]
- Pearson, K. Contributions to the Mathematical Theory of Evolution. Philos. Trans. R. Soc. Lond. A 1894, 185, 71–110. [Google Scholar]
- Moon, T.K. The expectation-maximization algorithm. IEEE Signal Processing Mag. 1996, 13, 47–60. [Google Scholar] [CrossRef]
- Dempster, A.P.; Laird, N.M.; Rubin, D.B. Maximum likelihood from incomplete data via the EM algorithm. J. R. Stat. Soc. Ser. B Methodol. 1977, 39, 1–38. [Google Scholar]
- Bilmes, J.A. A gentle tutorial of the EM algorithm and its application to parameter estimation for Gaussian mixture and hidden Markov models. Int. Comput. Sci. Inst. 1998, 4, 126. [Google Scholar]
- McLachlan, G.; Krishnan, T. The EM Algorithm and Extensions; Wiley: New York, NY, USA, 2007; Volume 382. [Google Scholar]
- Acito, N.; Corsini, G.; Diani, M. An unsupervised algorithm for hyperspectral image segmentation based on the Gaussian mixture model. In Proceedings of the 2003 IEEE International Geoscience and Remote Sensing Symposium, Toulouse, France, 21–25 July 2003; Volume 6, pp. 3745–3747. [Google Scholar]
- Diplaros, A.; Vlassis, N.; Gevers, T. A Spatially Constrained Generative Model and an EM Algorithm for Image Segmentation. IEEE Trans. Neural Netw. 2007, 18, 798–808. [Google Scholar] [CrossRef] [PubMed] [Green Version]
- Zhang, H.; Wu, Q.M.J.; Nguyen, T.M. Nguyen. Incorporating Mean Template into Finite Mixture Model for Image Segmentation. IEEE Trans. Neural Netw. Learn. Syst. 2013, 24, 328–335. [Google Scholar] [CrossRef]
- Chen, L.; Qiao, Y. Markov random field based dynamic texture segmentation using inter-scale context. In Proceedings of the 2016 IEEE International Conference on Information and Automation (ICIA), Ningbo, China, 1–3 August 2016; pp. 1924–1927. [Google Scholar]
- Courbot, J.-B.; Mazet, V. Pairwise and Hidden Markov Random Fields in Image Segmentation. In Proceedings of the 2020 28th European Signal Processing Conference (EUSIPCO), Amsterdam, The Netherlands, 18–21 January 2021; pp. 2458–2462. [Google Scholar]
- He, H.; Lu, K.; Lv, B. Gaussian Mixture Model with Markov Random Field for MR Image Segmentation. In Proceedings of the 2006 IEEE International Conference on Industrial Technology, Mumbai, India, 15–17 December 2006; pp. 1166–1170. [Google Scholar]
- Liu, X.-Y.; Liao, Z.-W.; Wang, Z.-S.; Chen, W.-F. Gaussian Mixture Models Clustering using Markov Random Field for Multispectral Remote Sensing Images. In Proceedings of the 2006 International Conference on Machine Learning and Cybernetics, Dalian, China, 13–16 August 2006; pp. 4155–4159. [Google Scholar]
- Tang, H.; Dillenseger, J.L.; Bao, X.D.; Luo, L.M. A vectorial image soft segmentation method based on neighborhood weighted Gaussian mixture model. Comput. Med. Imaging Graph. 2009, 33, 644–650. [Google Scholar] [CrossRef] [Green Version]
- Zhang, R.; Ye, D.H.; Pal, D.; Thibault, J.-B.; Sauer, K.D.; Bouman, C.A. A Gaussian Mixture MRF for Model-Based Iterative Reconstruction with Applications to Low-Dose X-Ray CT. IEEE Trans. Comput. Imaging 2016, 2, 359–374. [Google Scholar] [CrossRef] [Green Version]
- Oliver, G.; Klaus, T. Subject-Specific Prior Shape Knowledge in Feature-Oriented Probability Maps for Fully Automatized Liver Segmentation in MR Volume Data. Pattern Recognit. 2018, 84, 288–300. [Google Scholar]
- Asheri, H.; Hosseini, R.; Araabi, B.N. A New EM Algorithm for Flexibly Tied GMMs with Large Number of Components. Pattern Recognit. 2021, 23, 107836. [Google Scholar] [CrossRef]
- Bi, H.; Tang, H.; Yang, G.; Shu, H.; Dillenseger, J.-L. Accurate image segmentation using Gaussian mixture model with saliency map. Pattern Anal. Appl. 2018, 21, 869–878. [Google Scholar] [CrossRef] [Green Version]
- Hou, X.; Zhang, L. Saliency detection: A spectral residual approach. In Proceedings of the 2007 IEEE Conference on Computer Vision and Pattern Recognition, Minneapolis, MN, USA, 17–22 June 2007; pp. 1–8. [Google Scholar]
- Itti, L.; Koch, C.; Niebur, E. A model of saliency-based visual attention for rapid scene analysis. Proc. IEEE Trans. Pattern Anal. Mach. Intell. 1998, 20, 1254–1259. [Google Scholar] [CrossRef] [Green Version]
- Borji, A.; Itti, L. State-of-the-art in visual attention modeling. IEEE Trans. Pattern Anal. Mach. Intell. 2013, 35, 185–207. [Google Scholar] [CrossRef]
- Walther, D.; Itti, L.; Riesenhuber, M.; Poggio, T.; Koch, C. Attentional selection for object recognition—A gentle way. In International Workshop on Biologically Motivated Computer Vision; Springer: Berlin/Heidelberg, Germany, 2002; pp. 472–479. [Google Scholar]
- Achanta, R.; Hemami, S.; Estrada, F.; Susstrunk, S. Frequency-tuned salient region detection. In Proceedings of the 2009 IEEE Conference on Computer Vision and Pattern Recognition, Miami, FL, USA, 20–25 June 2009; pp. 1597–1604. [Google Scholar]
- Blekas, K.; Likas, A.; Galatsanos, N.P.; Lagaris, I.E. A spatially constrained mixture model for image segmentation. IEEE Trans. Neural Netw. 2005, 16, 494–498. [Google Scholar] [CrossRef]
- Guo, Y.; Zi, Y.; Jiang, Y. Contrastive Study of Distributed Multitask Fuzzy C-means Clustering and Traditional Clustering Algorithms. In Proceedings of the 2020 5th International Conference on Communication, Image and Signal Processing (CCISP), Chengdu, China, 13–15 November 2020; pp. 239–245. [Google Scholar]
- Nguyen, T.M.; Wu, Q.M. A fuzzy logic model based on Markov random field for medical image segmentation. Evol. Syst. 2013, 4, 171–181. [Google Scholar] [CrossRef]
- Krinidis, S.; Chatzis, V. A robust fuzzy local information C-means clustering algorithm. IEEE Trans. Image Process. 2010, 19, 1328–1337. [Google Scholar] [CrossRef] [PubMed]
- Nguyen, T.M.; Wu, Q.M.J. Fast and robust spatially constrained Gaussian mixture model for image segmentation. IEEE Trans. Circuits Syst. Video Technol. 2013, 23, 621–635. [Google Scholar] [CrossRef]
- Martin, D.; Fowlkes, C.; Tal, D.; Malik, J. A database of human segmented natural images and its application to evaluating segmentation algorithms and measuring ecological statistics. In Proceedings of the 8th IEEE International Conference on Computer Vision, Vancouver, BC, Canada, 7–14 July 2001; pp. 416–423. [Google Scholar]







| Image ID | GMM | FCM | FFCM | FLICM | FRGMM | Ours |
|---|---|---|---|---|---|---|
| 3063 | 0.8337 | 0.5587 | 0.5403 | 0.5889 | 0.9912 | 0.8455 |
| 12003 | 0.6341 | 0.5266 | 0.6425 | 0.6756 | 0.6518 | 0.7376 |
| 24063 | 0.5467 | 0.7216 | 0.5458 | 0.7234 | 0.5483 | 0.9625 |
| 86016 | 0.9303 | 0.8354 | 0.8938 | 0.9314 | 0.8338 | 0.9938 |
| 135069 | 0.6135 | 0.7162 | 0.6132 | 0.9103 | 0.6124 | 0.9455 |
| 296059 | 0.8857 | 0.9005 | 0.8845 | 0.8989 | 0.8275 | 0.9215 |
| 302003 | 0.6994 | 0.8405 | 0.8035 | 0.8161 | 0.7884 | 0.8653 |
| Mean | 0.7347 | 0.7285 | 0.7033 | 0.7920 | 0.7504 | 0.8959 |
| Image ID | GMM | FCM | FFCM | FLICM | FRGMM | Ours |
|---|---|---|---|---|---|---|
| 3063 | 0.5994 | 0.4704 | 0.4197 | 0.4748 | 0.9707 | 0.6776 |
| 12003 | 0.5183 | 0.5266 | 0.5291 | 0.5465 | 0.5504 | 0.6497 |
| 24063 | 0.5688 | 0.5320 | 0.5670 | 0.5371 | 0.5726 | 0.6142 |
| 86016 | 0.8174 | 0.7153 | 0.7812 | 0.8256 | 0.6478 | 0.8339 |
| 135069 | 0.2246 | 0.6036 | 0.2245 | 0.9192 | 0.2255 | 0.9920 |
| 296059 | 0.8291 | 0.8402 | 0.8234 | 0.8311 | 0.8183 | 0.9176 |
| 302003 | 0.6637 | 0.7124 | 0.6585 | 0.7446 | 0.7358 | 0.7561 |
| Mean | 0.6030 | 0.6286 | 0.5719 | 0.6969 | 0.6458 | 0.7773 |
Publisher’s Note: MDPI stays neutral with regard to jurisdictional claims in published maps and institutional affiliations. |
© 2022 by the authors. Licensee MDPI, Basel, Switzerland. This article is an open access article distributed under the terms and conditions of the Creative Commons Attribution (CC BY) license (https://creativecommons.org/licenses/by/4.0/).
Share and Cite
Pan, X.; Zheng, Y.; Jeon, B. Robust Segmentation Based on Salient Region Detection Coupled Gaussian Mixture Model. Information 2022, 13, 98. https://doi.org/10.3390/info13020098
Pan X, Zheng Y, Jeon B. Robust Segmentation Based on Salient Region Detection Coupled Gaussian Mixture Model. Information. 2022; 13(2):98. https://doi.org/10.3390/info13020098
Chicago/Turabian StylePan, Xiaoyan, Yuhui Zheng, and Byeungwoo Jeon. 2022. "Robust Segmentation Based on Salient Region Detection Coupled Gaussian Mixture Model" Information 13, no. 2: 98. https://doi.org/10.3390/info13020098
APA StylePan, X., Zheng, Y., & Jeon, B. (2022). Robust Segmentation Based on Salient Region Detection Coupled Gaussian Mixture Model. Information, 13(2), 98. https://doi.org/10.3390/info13020098

