Online Consumers’ Brain Activities When Purchasing Second-Hand versus New Products That Are Brand-Name or Brand-Less
Abstract
1. Introduction
2. Related Work
3. Materials and Methods
3.1. Research Participants
3.2. Experimental Design
3.3. Survey Development
3.4. Data Collection and Analysis Methods
4. Results
4.1. Survey Analysis Results
4.2. Purchasing Decision Behavior—To Buy or Not to Buy
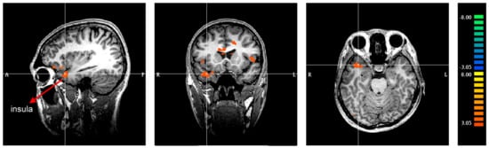
4.3. fMRI Scanning Results of Purchasing Brand-Less SHPs vs. New Products
4.4. fMRI Scanning Results of Purchasing Brand-Name SHPs vs. New Products
5. Conclusions and Discussion
Author Contributions
Funding
Institutional Review Board Statement
Informed Consent Statement
Data Availability Statement
Acknowledgments
Conflicts of Interest
Appendix A
- (1)
- I love this brand.
- (2)
- (removed) I think this brand meets my needs.
- (3)
- I have a clear understanding of this brand.
- (4)
- I feel unique when I purchase this brand.
- (5)
- I think this brand is very different from the other brands.
- (6)
- The product information and functionality provided by this brand are practical.
- (7)
- The product information and functionality provided by this brand are reliable.
- (8)
- (removed) I understand the information and functionality provided by this brand.
- (9)
- I remember the information and functionality provided by this brand.
- (10)
- The product information and functionality provided by this brand are special.
- (11)
- (removed) I feel that this brand provides information and functionality that are NOT provided by other brands.
- (12)
- I feel special when I use this brand.
- (13)
- I feel happy when I use this brand.
- (14)
- I feel relaxed when I use this brand.
- (15)
- I understand my feelings when I use this brand.
- (16)
- (removed) I feel like my feelings have a connection with this brand.
- (17)
- I don’t have special feelings toward any particular brand.
- (18)
- I think I keep up with the trend when I use this brand.
- (19)
- (removed) I think the style of this brand matches mine.
- (20)
- I think people who use this brand are similar to each other.
- (21)
- I understand what kind of people use this brand.
- (22)
- I think people who use this brand are special.
- (23)
- I think people who use this brand can express their personality.
| Item | N | Minimum | Maximum | Mean | Std. Deviation |
|---|---|---|---|---|---|
| (1) | 12 | 5.00 | 7.00 | 5.7500 | 0.62158 |
| (2) | 12 | 4.00 | 6.00 | 5.6667 | 0.65134 |
| (3) | 12 | 4.00 | 7.00 | 5.6667 | 0.98473 |
| (4) | 12 | 4.00 | 7.00 | 5.9167 | 0.99620 |
| (5) | 12 | 5.00 | 7.00 | 5.8333 | 0.71774 |
| (6) | 12 | 5.00 | 7.00 | 6.1667 | 0.57735 |
| (7) | 12 | 5.00 | 7.00 | 6.0833 | 0.66856 |
| (8) | 12 | 4.00 | 7.00 | 5.7500 | 1.05529 |
| (9) | 12 | 4.00 | 7.00 | 5.0833 | 0.99620 |
| (10) | 12 | 4.00 | 7.00 | 5.3333 | 0.88763 |
| (11) | 12 | 3.00 | 7.00 | 5.0000 | 1.27920 |
| (12) | 12 | 5.00 | 7.00 | 5.7500 | 0.86603 |
| (13) | 12 | 4.00 | 7.00 | 5.8333 | 1.11464 |
| (14) | 12 | 4.00 | 7.00 | 5.3333 | 0.98473 |
| (15) | 12 | 4.00 | 7.00 | 5.4167 | 0.90034 |
| (16) | 12 | 2.00 | 6.00 | 4.1667 | 1.02986 |
| (17) | 12 | 2.00 | 7.00 | 5.0000 | 1.34840 |
| (18) | 12 | 4.00 | 7.00 | 5.9167 | 0.90034 |
| (19) | 12 | 5.00 | 7.00 | 5.9167 | 0.79296 |
| (20) | 12 | 4.00 | 7.00 | 5.2500 | 1.13818 |
| (21) | 12 | 1.00 | 6.00 | 4.1667 | 1.33712 |
| (22) | 12 | 3.00 | 7.00 | 4.8333 | 1.11464 |
| (23) | 12 | 4.00 | 7.00 | 4.9167 | 0.99620 |
| Variances Assumed Equal or Not | Levene’s Test for Equality of Variances | t-Test for Equality of Means | Homogeneity | ||||
|---|---|---|---|---|---|---|---|
| F | Sig. | t | df | Sig. | |||
| Brand attitude | Equal | 1.781 | 0.212 | 1.016 | 10 | 0.334 | Homogeneity |
| Not Equal | 1.083 | 10.000 | 0.304 | ||||
| Functional image of the brand | Equal | 1.645 | 0.229 | 0.705 | 10 | 0.497 | Homogeneity |
| Not Equal | 0.665 | 6.903 | 0.528 | ||||
| Experiential image of the brand | Equal | 5.293 | 0.044 | −0.487 | 10 | 0.636 | Homogeneity |
| Not Equal | −0.536 | 9.652 | 0.604 | ||||
| Symbolic image of the brand | Equal | 0.177 | 0.683 | 0.255 | 10 | 0.804 | Homogeneity |
| Not Equal | 0.248 | 7.801 | 0.811 | ||||
| Survey Item | Item-to-Total Correlation | Cronbach’s α |
|---|---|---|
| Brand attitude (1) | 0.699 * | 0.629 (0.540 before removal) |
| (2) | 0.251 | |
| (3) | 0.780 ** | |
| (4) | 0.676 * | |
| (5) | 0.509 | |
| Functional image of brand (6) | 0.451 | 0.529 (0.183 before removal) |
| (7) | 0.466 | |
| (8) | 0.318 | |
| (9) | 0.714 ** | |
| (10) | 0.423 | |
| (11) | 0.397 | |
| Experiential image of brand (12) | 0.660 * | 0.810 (0.196 before removal) |
| (13) | 0.885 ** | |
| (14) | 0.683 * | |
| (15) | 0.461 | |
| (16) | 0.196 | |
| (17) | 0.898 ** | |
| Symbolic image of brand (18) | 0.644 * | 0.804 (0.779 before removal) |
| (19) | 0.392 | |
| (20) | 0.728 ** | |
| (21) | 0.759 ** | |
| (22) | 0.780 ** | |
| (23) | 0.790 ** |
References
- Lucking-Reiley, D. Auctions on the internet: What’s being auctioned, and how? J. Ind. Econ. 2000, 48, 227–252. [Google Scholar] [CrossRef]
- Ling, J.; Zhilin, Y.; Minjoon, J. Measuring consumer perception of online shopping convenience. J. Serv. Manag. 2013, 25, 191–214. [Google Scholar]
- Luo, J.; Ba, S.; Zhang, H. The effectiveness of online shopping characteristics and well-designed websites on satisfaction. MIS Q. 2012, 36, A1–A9. [Google Scholar] [CrossRef]
- Absolute Markets Insights. Available online: https://www.prnewswire.com/in/news-releases/online-auction-market-by-current-industry-status-growth-opportunities-top-key-players-and-forecast-till-2028-a-report-by-absolute-markets-insights-875226989.html (accessed on 28 November 2020).
- Dagher, A. Shopping centers in the brain. Neuron 2007, 53, 7–8. [Google Scholar] [CrossRef] [PubMed][Green Version]
- Knutson, B.; Rick, S.; Wimmer, G.E.; Prelec, D.; Loewenstein, G. Neural predictors of purchases. Neuron 2007, 53, 147–156. [Google Scholar] [CrossRef]
- Sanfey, A.G.; Loewenstein, G.; McClure, S.M.; Cohen, J.D. Neuroeconomics: Cross-currents in research on decision-making. Trends Cogn. Sci. 2006, 10, 108–116. [Google Scholar] [CrossRef]
- Thomas, V.M. Demand and dematerialization impacts of second-hand markets. J. Ind. Ecol. 2003, 7, 65–78. [Google Scholar] [CrossRef]
- Hawkins, D.I.; Best, R.J.; Coney, K.A.; Mookerjee, A. Customer Behavior: Building Marketing Strategy, 9th ed.; McGraw-Hill Irwin: Boston, MA, USA, 2007. [Google Scholar]
- Schiffman, L.G.; Wisenblit, J.L. Consumer Behaviour, 12th ed.; Prentice-Hall: Englewood Cliffs, NJ, USA, 2019. [Google Scholar]
- Christodoulides, G.; Chernaton, L.D. Dimensionalising on- and offline brands’ composite equity. J. Prod. Brand Manag. 2004, 13, 168–179. [Google Scholar] [CrossRef]
- Ailawadi, K.L.; Keller, K.L. Understanding retail branding: Conceptual insights and research priorities. J. Retail. 2004, 80, 331–342. [Google Scholar] [CrossRef]
- Huettel, S.A.; Song, A.W.; McCarthy, G. Functional Magnetic Resonance Imaging, 3rd ed.; Sinauer Association: Sunderland, MA, USA, 2014. [Google Scholar]
- Belliveau, J.W.; Kennedy, D.N.; McKinstry, R.C.; Buchbinder, B.R.; Weisskoff, R.M.; Cohen, M.S.; Vevea, J.M.; Brady, T.J.; Rosen, B.R. Functional mapping of the human visual-cortex by magnetic-resonance-imaging. Science 1991, 254, 716–719. [Google Scholar] [CrossRef]
- Lee, T.; Liu, H.L.; Tan, L.H.; Chan, C.C.; Mahankali, S.; Feng, C.M.; Gao, J.H. Lie detection by functional magnetic resonance imaging. Hum. Brain Mapp. 2002, 15, 157–164. [Google Scholar] [CrossRef] [PubMed]
- Loubinoux, I.; Pariente, J.; Boulanouar, K.; Carel, C.; Manelfe, C.; Rascol, O.; Celsisa, P.; Chollet, F. A single dose of the serotonin neurotransmission agonist paroxetine enhances motor output: Double-blind, placebo-controlled, fMRI study in healthy subjects. Neuroimage 2002, 15, 26–36. [Google Scholar] [CrossRef] [PubMed]
- Monti, M.; Vanhaudenhuyse, A.; Coleman, M.; Boly, M.; Pickard, J.; Tshibanda, L.; Owen, A.; Laureys, S. Willful modulation of brain activity in disorders of consciousness. N. Engl. J. Med. 2010, 362, 579–589. [Google Scholar] [CrossRef] [PubMed]
- Zeki, S.; Romaya, J.P. The brain reaction to viewing faces of opposite-and same-sex romantic partners. PLoS ONE 2010, 5, 1–8. [Google Scholar] [CrossRef]
- Keller, K.L. Conceptualizing, measuring, and managing customer-based brand equity. J. Mark. 1993, 57, 1–22. [Google Scholar] [CrossRef]
- McClure, S.M.; Li, J.; Tomlin, D.; Cypert, K.S.; Montague, L.M.; Montague, P.R. Neural correlates of behavioral preference for culturally familiar drinks. Neuron 2004, 44, 379–387. [Google Scholar] [CrossRef]
- Santos, J.P.; Seixas, D.; Brandão, S.; Moutinho, L. Investigating the role of the ventromedial prefrontal cortex in the assessment of brands. Front. Neurosci. 2011, 5, 1–8. [Google Scholar] [CrossRef]
- Deppe, M.; Schwindt, W.; Kraemer, J.; Kugel, H.; Plassmann, H.; Kenning, P.; Ringelstein, E.B. Evidence for a neural correlate of a framing effect: Bias-specific activity in the ventromedial prefrontal cortex during credibility judgments. Brain Res. Bull. 2005, 67, 413–421. [Google Scholar] [CrossRef]
- Breiter, H.C.; Aharon, I.A.; Kahneman, D.; Dale, A.; Shizgal, P. Functional imaging of neural responses to expectancy and experience of monetary gains and losses. Neuron 2001, 30, 619–639. [Google Scholar] [CrossRef]
- Erk, S.; Spitzer, M.; Wunderlich, A.P.; Galley, L.; Walter, H. Cultural objects modulate reward circuitry. Neuroreport 2002, 13, 2499–2503. [Google Scholar] [CrossRef]
- Fortunato, V.C.R.; Giraldi, J.D.M.E.; de Oliveira, J.H.C. A review of studies on neuromarketing: Practical results, techniques, contributions and limitations. J. Manag. Res. 2014, 6, 201–220. [Google Scholar] [CrossRef]
- Sanfey, A.G.; Rilling, J.K.; Aronson, J.A.; Nystrom, L.E.; Cohen, J.D. The neural basis of economic decision-making in the ultimatum game. Science 2003, 300, 1755–1758. [Google Scholar] [CrossRef] [PubMed]
- Deppe, M.; Schwindt, W.; Kugel, H.; Plassmann, H.; Kenning, P. Nonlinear responses within the medial prefrontal cortex reveal when specific implicit information influences economic decision making. J. Neuroimaging 2005, 15, 171–182. [Google Scholar] [CrossRef] [PubMed]
- Blackwell, R.D.; Miniard, P.W.; Engel, J.F. Consumer Behavior, 10th ed.; Cengage: New Delhi, India, 2017. [Google Scholar]
- Desmond, J.E.; Glover, G.H. Estimating sample size in functional MRI (fMRI) neuroimaging studies: Statistical power analyses. J. Neurosci. Methods 2002, 118, 115–128. [Google Scholar] [CrossRef]
- Hair, J.F.; Black, W.C.; Babin, B.J.; Anderson, R.E. Multivariate Data Analysis, 8th ed.; Cengage: Andover, UK, 2019. [Google Scholar]
- Reimann, M.; Schilke, O.; Weber, B.; Neuhaus, C.; Zaichkowsky, J. Functional magnetic resonance imaging in consumer research: A review and application. Psychol. Mark. 2011, 28, 608–637. [Google Scholar] [CrossRef]
- Montague, P.R.; King-Casas, B.; Cohen, J.D. Imaging valuation models in human choice. Annu. Rev. Neurosci. 2006, 29, 417–448. [Google Scholar] [CrossRef]
- Paulus, M.P.; Frank, L.R. Ventromedial prefrontal cortex activation is critical for preference judgments. Neuroreport 2003, 14, 1311–1315. [Google Scholar] [CrossRef]
- Schaefer, M.; Rotte, M. Thinking on luxury or pragmatic brand products: Brain responses to different categories of culturally based brands. Brain Res. 2007, 1165, 98–104. [Google Scholar] [CrossRef]
- Yoon, J.H.; Minzenberg, M.J.; Ursu, S.; Walter, R.; Wendelken, C.; Ragland, J.D.; Carter, C.S. Association of dorsolateral prefrontal cortex dysfunction with disrupted coordinated brain activity in schizophrenia: Relationship with impaired cognition, behavioral disorganization, and global function. Am. J. Psychiatry 2008, 165, 1006–1014. [Google Scholar] [CrossRef]
- Dimoka, A.; Pavlou, P.A.; Davis, F.D. NeuroIS: The potential of cognitive neuroscience for information systems research. Inf. Syst. Res. 2011, 22, 687–702. [Google Scholar] [CrossRef]
- Lee, N.; Broderick, A.J.; Chamberlain, L. What is ‘neuromarketing’? A discussion and agenda for future research. Int. J. Psychophysiol. 2007, 63, 199–204. [Google Scholar] [CrossRef] [PubMed]
- Solnais, C.; Andreu-Perez, J.; Sánchez-Fernández, J.; Andréu-Abela, J. The contribution of neuroscience to consumer research: A conceptual framework and empirical review. J. Econ. Psychol. 2013, 36, 68–81. [Google Scholar] [CrossRef]
- Javor, A.; Koller, M.; Lee, N.; Chamberlain, L.; Ransmayr, G. Neuromarketing and consumer neuroscience: Contributions to neurology. BMC Neurol. 2013, 13, 13. [Google Scholar] [CrossRef] [PubMed]
- Hubert, M.; Kenning, P. A current overview of consumer neuroscience. J. Consum. Behav. 2008, 7, 272–292. [Google Scholar] [CrossRef]
- Insights—Branding and Neuromarketing. Available online: http://aerinsight.com/assets/content/Branding%20and%20Neuromarketing.pdf (accessed on 28 November 2020).
- Dospinescu, O.; Percă-Robu, A.E. The analysis of e-commerce sites with eye-tracking technologies. Broad Res. Artif. Intell. Neurosci. 2017, 8, 85–100. [Google Scholar]









| Part (Number of Items) | Mean | Std. Deviation |
|---|---|---|
| 1. Brand attitude (5) | 5.7667 | 0.48116 |
| 2. Functional image of brand (6) | 5.5694 | 0.41717 |
| 3. Experiential image of brand (6) | 5.2500 | 0.67607 |
| 4. Symbolic image of brand (6) | 5.1667 | 0.73168 |
| Brain Region | HEM | x | y | z | t | Numbers of Voxels |
|---|---|---|---|---|---|---|
| Associative visual cortex | R | 41 | −59 | 12 | 5.927933 | 967 |
| Dorsal anterior cingulate cortex | R | 8 | 22 | 36 | 5.618577 | 1739 |
| Insula | R | 38 | 16 | 0 | 4.749348 | 1581 |
| Inferior frontal gyrus | R | 44 | 10 | 24 | 4.322833 | 555 |
| Medial prefrontal cortex (MPFC) | L | −13 | 43 | 33 | 6.60035 | 316 |
| Premotor cortex | L | −13 | 16 | 57 | 4.687726 | 327 |
| Brain Region | HEM | x | y | z | t | Numbers of Voxels |
|---|---|---|---|---|---|---|
| Anterior prefrontal cortex | L | −22 | 52 | 6 | 5.237869 | 303 |
| Associative visual cortex | R | 44 | −59 | 15 | 7.486236 | 6875 |
| Dorsolateral prefrontal cortex | R | 14 | 49 | 30 | 6.423428 | 595 |
| Inferior frontal gyrus | L | −25 | 25 | 36 | 6.119789 | 1393 |
| Middle temporal gyrus | R | 53 | −8 | −12 | 7.197165 | 744 |
| Superior temporal gyrus | R | 53 | −50 | 0 | 5.240085 | 818 |
| Supramarginal gyrus | L | −68 | −26 | 24 | 5.76774 | 1049 |
| Ventral anterior cingulate cortex | L | −1 | 25 | 21 | 7.250696 | 4463 |
| Ventral posterior cingulate cortex | L | −4 | −56 | 21 | 8.991731 | 32848 |
| Brain Area Process | DLPFC | VMPFC | MPFC | NAcc | Insular |
|---|---|---|---|---|---|
| Decision-Making | ✓ | ||||
| Risk | ✓ | ||||
| Loss | ✓ | ||||
| Rewards | ✓ | ✓ | |||
| Consumer Behavior | ✓ | ✓ |
Publisher’s Note: MDPI stays neutral with regard to jurisdictional claims in published maps and institutional affiliations. |
© 2021 by the authors. Licensee MDPI, Basel, Switzerland. This article is an open access article distributed under the terms and conditions of the Creative Commons Attribution (CC BY) license (http://creativecommons.org/licenses/by/4.0/).
Share and Cite
Hsieh, P.-H.; Chang, F.-N. Online Consumers’ Brain Activities When Purchasing Second-Hand versus New Products That Are Brand-Name or Brand-Less. Information 2021, 12, 56. https://doi.org/10.3390/info12020056
Hsieh P-H, Chang F-N. Online Consumers’ Brain Activities When Purchasing Second-Hand versus New Products That Are Brand-Name or Brand-Less. Information. 2021; 12(2):56. https://doi.org/10.3390/info12020056
Chicago/Turabian StyleHsieh, Pei-Hsuan, and Fang-Ning Chang. 2021. "Online Consumers’ Brain Activities When Purchasing Second-Hand versus New Products That Are Brand-Name or Brand-Less" Information 12, no. 2: 56. https://doi.org/10.3390/info12020056
APA StyleHsieh, P.-H., & Chang, F.-N. (2021). Online Consumers’ Brain Activities When Purchasing Second-Hand versus New Products That Are Brand-Name or Brand-Less. Information, 12(2), 56. https://doi.org/10.3390/info12020056

