Reproductive Biology of Pearl Oyster (Pinctada radiata, Leach 1814) Based on Microscopic and Macroscopic Assessment of Both Sexes in the Eastern Mediterranean (South Evia Island)
Abstract
1. Introduction
2. Materials and Methods
2.1. Field Sampling and Maturity Classification
2.2. Length at First Maturity and Recruitment
2.3. Microscopic Examination
2.4. Condition Index and Spatial Distribution
2.5. Statistical Analysis
3. Results
3.1. Population Structure
3.2. Reproduction and Dispersal
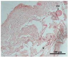
3.3. Maturity Stages
Hermaphrodites
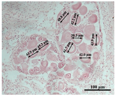
3.4. Oocyte Size Diameter Frequency Distribution
4. Discussion
5. Conclusions
Author Contributions
Funding
Institutional Review Board Statement
Informed Consent Statement
Data Availability Statement
Conflicts of Interest
References
- Por, F.D. Lessepsian Migration: The Influx of Red Sea Biota into the Mediterranean by Way of the Suez Canal; Springer Science & Business Media: Berlin/Heidelberg, Germany, 2012; Volume 23, ISBN 3642667287. [Google Scholar]
- Francour, P.; Boudouresque, C.F.; Harmelin, J.G.; Harmelin-Vivien, M.L.; Quignard, J.P. Are the Mediterranean Waters Becoming Warmer? Information from Biological Indicators. Mar. Pollut. Bull. 1994, 28, 523–526. [Google Scholar] [CrossRef]
- Astraldi, M.; Bianchi, C.N.; Gasparini, G.P.; Morri, C. Climatic Fluctuations, Current Variability and Marine Species Distribution-a Case-Study in the Ligurian Sea (North-West Mediterranean). Oceanol. Acta 1995, 18, 139–149. [Google Scholar]
- Wolfe, L.M. Why Alien Invaders Succeed: Support for the Escape-from-Enemy Hypothesis. Am. Nat. 2002, 160, 705–711. [Google Scholar] [CrossRef]
- Torchin, M.E.; Lafferty, K.D.; Dobson, A.P.; McKenzie, V.J.; Kuris, A.M. Introduced Species and Their Missing Parasites. Nature 2003, 421, 628–630. [Google Scholar] [CrossRef]
- Carlton, J.T. Pattern, Process, and Prediction in Marine Invasion Ecology. Biol. Conserv. 1996, 78, 97–106. [Google Scholar] [CrossRef]
- Gofas, S.; Zenetos, A. Exotic Mollusks in the Mediterranean: Current Status and Perspectives, En RN Gibson & RJA Atkinson. Oceanogr. Mar. Biol. Annu. Rev. 2003, 41, 273–277. [Google Scholar]
- Bax, N.; Williamson, A.; Aguero, M.; Gonzalez, E.; Geeves, W. Marine Invasive Alien Species: A Threat to Global Biodiversity. Mar. Policy 2003, 27, 313–323. [Google Scholar] [CrossRef]
- Minchin, D. Aquaculture and Transport in a Changing Environment: Overlap and Links in the Spread of Alien Biota. Mar. Pollut. Bull. 2007, 55, 302–313. [Google Scholar] [CrossRef]
- Ruesink, J.L.; Lenihan, H.S.; Trimble, A.C.; Heiman, K.W.; Micheli, F.; Byers, J.E.; Kay, M.C. Introduction of Non-Native Oysters: Ecosystem Effects and Restoration Implications. Annu. Rev. Ecol. Evol. Syst. 2005, 36, 643–689. [Google Scholar] [CrossRef]
- Carlton, J.T. Molluscan Invasions in Marine and Estuarine Communities. Malacologia 1999, 41, 439–454. [Google Scholar]
- Di Monterosato, T.A. Enumerazione e Sinonimia Delle Conchiglie Mediterranee. Giornale di Scienze Naturali ed Economiche 1878, 13, 61–115. [Google Scholar]
- Serbetis, C.D. L’acclimatation de La Meleagrina (Pinctada) Margaritifera (Lam.) En Grèce. CIESM 1963, 17, 271–272. [Google Scholar]
- Zenetos, A.; Koutsoubas, D.; Vardala-Theodorou, E. Origin and Vectors of Introduction of Exotic Molluscs in Greek Waters. Belg. J. Zool. 2005, 135, 279. [Google Scholar]
- Crocetta, F.; Gofas, S.; Salas, C.; Tringali, L.P.; Zenetos, A. Local Ecological Knowledge versus Published Literature: A Review of Non-Indigenous Mollusca in Greek Marine Waters. Aquat. Invasions 2017, 12, 415–434. [Google Scholar] [CrossRef]
- Stasolla, G.; Riolo, F.; Macali, A.; Pierri, C.; Crocetta, F. Further Spreading in the Italian Seas of Already Established Non-Indigenous Mollusc Species. Mar. Biodivers. Rec. 2014, 7, e120. [Google Scholar] [CrossRef]
- Bratoš Cetinić, A.; Grđan, S.; Bolotin, J. Rayed Pearl Oyster Pinctada radiata (Leach, 1814) (Bivalvia: Pteriidae) in the Eastern Adriatic Sea–Recent Observations. Naše More 2023, 70, 184–188. [Google Scholar] [CrossRef]
- Vio, E.; De Min, R. Contributo Alla Conoscenza Dei Molluschi Marini Del Golfo Di Trieste. Atti Mus. Civ. Stor. Nat. Trieste 1996, 47, 173–233. [Google Scholar]
- Doğan, A.; Nerlović, V. On the Occurrence of Pinctada radiata (Mollusca: Bivalvia: Pteriidae), an Alien Species in Croatian Waters. Acta Adriat. 2008, 49, 155–158. [Google Scholar]
- Petović, S.; Mačić, V. New Data on Pinctada radiata (Leach, 1814) (Bivalvia: Pteriidae) in the Adriatic Sea. Acta Adriat. 2017, 58, 359–364. [Google Scholar] [CrossRef]
- Gokoglu, N.; Gokoglu, M.; Yerlikaya, P. Seasonal Variations in Proximate and Elemental Composition of Pearl Oyster (Pinctada radiata, Leach, 1814). J. Sci. Food Agric. 2006, 86, 2161–2165. [Google Scholar] [CrossRef]
- Deidun, A.; Gianni, F.; Cilia, D.P.; Lodola, A.; Savini, D. Morphometric Analyses of a Pinctada radiata (Leach, 1814) (Bivalvia: Pteriidae) Population in the Maltese Islands. J. Black Sea/Mediterr. Environ. 2014, 20, 1–12. [Google Scholar]
- Zenetos, A.; Vassilopoulou, V.; Salomidi, M.; Poursanidis, D. Additions to the Marine Alien Fauna of Greek Waters (2007 Update). Mar. Biodivers. Rec. 2008, 1, e91. [Google Scholar] [CrossRef]
- Png-Gonzalez, L.; Aguilo-Arce, J.; Vázquez-Luis, M.; Carbonell, A. New Occurrence of Pinctada imbricata radiata (Leach, 1814) in the Balearic Archipelago (NW Mediterranean Sea). Cent. Ocean. Balear. 2021, 10, 1–6. [Google Scholar] [CrossRef]
- Tlig Zouari, S.; Zaouali, J. Reproduction of Pinctada radiata (Leach, 1814, Mollusque, Bivalve) Dans Les Îles Kerkennah (Tunisie). Mar. life 1994, 4, 41–45. [Google Scholar]
- Antit, M.; Gofas, S.; Salas, C.; Azzouna, A. One Hundred Years after Pinctada: An Update on Alien Mollusca in Tunisia. Mediterr. Mar. Sci. 2011, 12, 53. [Google Scholar] [CrossRef]
- Derbali, A.; Jarboui, O.; Ghorbel, M. Distribution, Abundance and Population Structure of Pinctada radiata (Mollusca: Bivalvia) in Southern Tunisian Waters (Central Mediterranean). Cah. Biol. Mar. 2011, 52, 23–31. [Google Scholar]
- Lodola, A.; Nicolini, L.; Savini, D.; Deidun, A.; Occhipinti-Ambrogi, A. Range Expansion and Biometric Features of Pinctada imbricata radiata (Bivalvia: Pteriidae) around Linosa Island, Central Mediterranean Sea (Italy). Ital. J. Zool. 2013, 80, 303–312. [Google Scholar] [CrossRef]
- Gavrilović, A.; Piria, M.; Guo, X.-Z.; Jug-Dujaković, J.; Ljubučić, A.; Krkić, A.; Iveša, N.; Marshall, B.A.; Gardner, J.P.A. First Evidence of Establishment of the Rayed Pearl Oyster, Pinctada imbricata radiata (Leach, 1814), in the Eastern Adriatic Sea. Mar. Pollut. Bull. 2017, 125, 556–560. [Google Scholar] [CrossRef] [PubMed]
- Theodorou, J.A. On the Occurrence of Rayed Pearl Oyster Pinctada imbricata radiata (Leach, 1814) in Western Greece (Ionian Sea) and Its Biofouling Potential. Biharean Biol. 2019, 13, 4–7. [Google Scholar]
- Streftaris, N.; Zenetos, A. Alien Marine Species in the Mediterranean-the 100 ‘Worst Invasives’ and Their Impact. Mediterr. Mar. Sci. 2006, 7, 87–118. [Google Scholar] [CrossRef]
- Rilov, G.; Benayahu, Y. Vertical Artificial Structures as an Alternative Habitat for Coral Reef Fishes in Disturbed Environments. Mar. Environ. Res. 1998, 45, 431–451. [Google Scholar] [CrossRef]
- Gervis, M.H.; Sims, N.A. The Biology and Culture of Pearl Oysters (Bivalvia Pteriidae); WorldFish: Penang, Malaysia, 1992; Volume 21, ISBN 9718709274. [Google Scholar]
- Zenetos, A.; Gofas, S.; Verlaque, M.; Cinar, M.E.; Garcia Raso, J.E.; Bianchi, C.N.; Morri, C.; Azzurro, E.; Bilecenoglu, M.; Froglia, C.; et al. Alien Species in the Mediterranean Sea by 2010. A Contribution to the Application of European Union’s Marine Strategy Framework Directive (MSFD). Part I. Spatial Distribution. Mediterr. Mar. Sci. 2010, 11, 381. [Google Scholar] [CrossRef]
- Baqueiro, E.; Castagna, M. Fishery And Culture Of Selected Bivalves In Mexico: Past, Present And Future. J. Shellfish Res. 1988, 7, 433. [Google Scholar]
- Urban, H.-J. Culture Potential of the Pearl Oyster (Pinctada Imbricata) from the Caribbean.: I. Gametogenic Activity, Growth, Mortality and Production of a Natural Population. Aquaculture 2000, 189, 361–373. [Google Scholar] [CrossRef]
- Sahin, C.; Düzgüne, E. Seasonal Variations in Condition Index and Gonadal Development of the Introduced Blood Cockle Anadara inaequivalvis (Bruguiere, 1789) in the Southeastern Black Sea Coast. Turk. J. Fish. Aquat. Sci. 2006, 6, 155–163. [Google Scholar]
- Hernández-Olalde, L.; García-Domínguez, F.; Arellano-Martínez, M.; Ceballos-Vázquez, B. Reproductive Cycle of the Pearl Oyster Pteria sterna (Pteridae) in the Ojo de Liebre Lagoon, B.C.S., Mexico. J. Shellfish Res. 2007, 26, 543–548. [Google Scholar] [CrossRef]
- Arjarasirikoon, U.; Kruatrachue, M.; Sretarugsa, P.; Chitramvong, Y.; Jantataeme, S.; Upatham, E.S. Gametogenic Processes in the Pearl Oyster, Pteria penguin (Roding, 1798) (Bivalvia, Mollusca). J. Shellfish Res. 2004, 23, 403–410. [Google Scholar]
- Delgado, M.; Camacho, A.P. Histological Study of the Gonadal Development of Ruditapes decussatus (L.) (Mollusca: Bivalvia) and Its Relationship with Available Food. Cent. Ocean. A Coruña 2005, 69, 87–97. [Google Scholar]
- Etchian, O.A.; Pellerin, J.; Audet, C.; Mathieu, M. Sexual Maturation and Related Changes in Aspartate Transcarbamylase Activity of Gonad Tissues in the Soft Shell Clam (Mya arenaria). Comp. Biochem. Physiol. Part B Biochem. Mol. Biol. 2004, 139, 287–297. [Google Scholar] [CrossRef]
- Aideed, M.S.; Ahmed, B.A.; Mukhaysin, A.A. Existence, Growth and Reproduction of Pearl Oyster. Egypt. J. Aquat. Res. 2014, 40, 473–481. [Google Scholar] [CrossRef]
- Gosling, E. Bivalve Molluscs: Biology, Ecology and Culture; John Wiley & Sons: Hoboken, NJ, USA, 2008; ISBN 1405147571. [Google Scholar]
- Gomes, C.; Silva, F.C.; Lopes, G.R.; Melo, C.M.R. The Reproductive Cycle of the Oyster Crassostrea Gasar. Braz. J. Biol. 2014, 74, 967–976. [Google Scholar] [CrossRef]
- Raleigh, J.; Keegan, B.F. The Gametogenic Cycle of Scrobicularia plana (Mollusca: Bivalvia) in Mweeloon Bay (Galway, West Coast of Ireland). J. Mar. Biol. Assoc. UK 2006, 86, 1157–1162. [Google Scholar] [CrossRef]
- Le Moullac, G.; Hui, B.; Vonau, V.; Levy, P.; Cochard, J.C. Effect of Food Conditioning on Gonadic Activity in the Oyster Pinctada Margaritifera. In Proceedings of the 11th Pacific Science Inter-Congress, Tahiti, French Polynesia, 2–6 March 2009. [Google Scholar]
- Ferreira, M.A.P.; Paixão, L.F.; Alcântara-Neto, C.P.; Santos, S.S.D.; Rocha, R.M. Morphological and Morphometric Aspects of Crassostrea rhizophorae (Guilding, 1828) Oocytes in Three Stages of the Gonadal Cycle. Int. J. Morphol. 2006, 24, 23. [Google Scholar] [CrossRef]
- Lango-Reynoso, F.; Chavez-Villalba, J.; Cochard, J.C.; Le Pennec, M. Oocyte Size, a Means to Evaluate the Gametogenic Development of the Pacific Oyster, Crassostrea Gigas (Thunberg). Aquaculture 2000, 190, 183–199. [Google Scholar] [CrossRef]
- Avendaño, M.; Le Pennec, M. Intraspecific Variation in Gametogenesis in Two Populations of the Chilean Molluscan Bivalve, Argopecten Purpuratus (Lamarck). Aquac. Res. 1997, 28, 175–182. [Google Scholar] [CrossRef]
- Hwang, J.J.; Yamakawa, T.; Aoki, I. Growth of Wild Pearl Oysters Pinctada Fucata, Pinctada Margaritifera and Pinctada sugillata (Bivalvia: Pteriidae) in Taiwan. Fish. Sci. 2007, 73, 132–141. [Google Scholar] [CrossRef]
- Silva, P.P.; Peso-Aguiar, M.C.; Ribeiro, G. Ciclo Gametogênico e Comportamento Reprodutivo de Iphigenia brasiliana (Mollusca, Bivalvia, Donacidae) No Estuário Do Rio Subaé, Baía de Todos Os Santos, Bahia, Brasil. Iheringia. Série Zool. 2012, 102, 359–369. [Google Scholar] [CrossRef]
- Guillou, J.; Bachelet, G.; Desprez, M.; Ducrotoy, J.-P.; Madani, I.; Rybarczyk, H.; Sauriau, P.-G.; Sylvand, B.; Elkaim, B.; Glermarec, M. Les Modalités de La Reproduction de La Coque (Cerastoderma Edule) Sur Le Littoral Français de La Manche et de l’Atlantique. Aquat. Living Resour. 1990, 3, 29–41. [Google Scholar] [CrossRef]
- Gaspar-Soria, R.; Pascual, M.S.; Fernández-Cartes, V.H. Reproductive Cycle of the Cholga Paleta, Atrina seminuda Lamarck, 1819 (Bivalvia: Pinnidae) from Northern Patagonia, Argentina. J. Shellfish Res 2002, 21, 479–488. [Google Scholar]
- Gayanilo, F.; Sparre, P.; Pauly, D. FAO-ICLARM Stock Assessment Tools II (FiSAT II) User’s Guide; FAO: Rome, Italy, 2005. [Google Scholar]
- Moreau, J.; Cuende, F.X. On Improving the Resolution of the Recruitment Patterns of Fishes. Fishbyte 1991, 9, 45–46. [Google Scholar]
- West, G. Methods of Assessing Ovarian Development in Fishes: A Review. Mar. Freshw. Res. 1990, 41, 199–222. [Google Scholar] [CrossRef]
- Zeng, Y.; Yang, H. Review of Molluscan Bivalve Condition Index Calculations and Application in Northern Quahogs Mercenaria Mercenaria. Aquac. Res. 2021, 52, 23–36. [Google Scholar] [CrossRef]
- Morisita, M. Measuring of Interspecific Association and Similarity between Assemblages. Mem. Fac. Sci. Kyushu Univ. Ser. Biol. 1959, 3, 65–80. [Google Scholar]
- Elliott, J.M. Some Methods for the Statistical Analysis of Samples of Benthic Invertebrates. Freshw. Biol. Assoc. Sci. Publ. 1977, 25, 1–160. [Google Scholar]
- Dale, M.R.T.; Dixon, P.; Fortin, M.; Legendre, P.; Myers, D.E.; Rosenberg, M.S. Conceptual and Mathematical Relationships among Methods for Spatial Analysis. Ecography 2002, 25, 558–577. [Google Scholar] [CrossRef]
- Karch, J.D. Bmtest: A Jamovi Module for Brunner–Munzel’s Test—A Robust Alternative to Wilcoxon–Mann–Whitney’s Test. Psych 2023, 5, 386–395. [Google Scholar] [CrossRef]
- Rutherford, A. ANOVA and ANCOVA: A GLM Approach; John Wiley & Sons: Hoboken, NJ, USA, 2011; ISBN 0470385553. [Google Scholar]
- Dytham, C. Choosing and Using Statistics: A Biologist’s Guide; John Wiley & Sons: Hoboken, NJ, USA, 2011; ISBN 1444348213. [Google Scholar]
- Rolke, W.; Gongora, C.G. A Chi-Square Goodness-of-Fit Test for Continuous Distributions against a Known Alternative. Comput. Stat. 2021, 36, 1885–1900. [Google Scholar] [CrossRef]
- Şahin, M.D.; Aybek, E.C. Jamovi: An Easy to Use Statistical Software for the Social Scientists. Int. J. Assess. Tools Educ. 2019, 6, 670–692. [Google Scholar] [CrossRef]
- Derbali, A.; Jarboui, O.; Ghorbel, M.; Dhieb, K. Reproductive Biology of the Pearl Oyster, Pinctada radiata (Mollusca: Pteriidae), in Northern Kerkennah Island (Gulf of Gabes). Cah. Biol. Mar. 2009, 50, 215–222. [Google Scholar]
- Lassoued, M.; Damak, W.; Chaffai, A. Reproductive Cycle of the Pearl Oyster, Pinctada radiata (Mollusca: Pteridae), in the Zarat Site (Gulf of Gabès, Tunisia). Euro-Mediterr. J. Environ. Integr. 2018, 3, 18. [Google Scholar] [CrossRef]
- Teaniniuraitemoana, V.; Leprêtre, M.; Levy, P.; Vanaa, V.; Parrad, S.; Gaertner-Mazouni, N.; Gueguen, Y.; Huvet, A.; Le Moullac, G. Effect of Temperature, Food Availability, and Estradiol Injection on Gametogenesis and Gender in the Pearl Oyster Pinctada margaritifera. J. Exp. Zool. Part A Ecol. Genet. Physiol. 2016, 325, 13–24. [Google Scholar] [CrossRef]
- Saucedo, P.; Monteforte, M. Breeding Cycle of Pearl Oysters Pinctada Mazatlanica and Pteria sterna (Bivalvia: Pteriidae) at Bahia de La Paz, Baja California Sur, Mexico. J. Shellfish Res. 1997, 16, 103–110. [Google Scholar]
- O’Connor, W.A. Latitudinal Variation in Reproductive Behavior in the Pearl Oyster, Pinctada albina sugillata. Aquaculture 2002, 209, 333–345. [Google Scholar] [CrossRef]
- Kimani, E.N.; Mavuti, K.M.; Mukiama, T. The Reproductive Activity of the Pearl Oyster Pinctada imbricata Röding 1798 (Pteriidae) in Gazi Bay, Kenya. Trop. Zool. 2006, 19, 159–174. [Google Scholar]
- Heller, J. Hermaphroditism in Molluscs. Biol. J. Linn. Soc. 1993, 48, 19–42. [Google Scholar] [CrossRef]
- Breton, S.; Capt, C.; Guerra, D.; Stewart, D. Sex-Determining Mechanisms in Bivalves. In Transitions Between Sexual Systems; Understanding the Mechanisms of, and Pathways Between, Dioecy, Hermaphroditism and Other Sexual Systems; Springer: Berlin/Heidelberg, Germany, 2018; pp. 165–192. [Google Scholar]
- Walker, J.M.; Bogan, A.E.; Garo, K.; Soliman, G.N.; Hoeh, W.R. Hermaphroditism in the Iridinidae (Bivalvia: Etherioidea). J. Molluscan Stud. 2006, 72, 216–217. [Google Scholar] [CrossRef]
- Pouvreau, S. Gametogenic Cycle and Reproductive Effort of the Tropical Blacklip Pearl Oyster, Pinctada margaritifera (Bivalvia: Pteriidae), Cultivated in Takapoto Atoll (French Polynesia). Aquat. Living Resour. 2000, 13, 37–48. [Google Scholar] [CrossRef]
- Thielley, M. Etude Cytologique de la Gamétogenèse, de la Sex-Ratio et du Cycle de Reproduction Chez L’huître Perlière Pinctada margaritifera (L) var. Cumingii (Jameson), (mollusques, bivalves). Comparaison avec le Cycle de Pinctada Maculata (Gould). Ph.D. Thesis, Université Française du Pacifique, Polynésie Française, France, 1993. [Google Scholar]
- Behzadi, S.; Parivar, K.; Roustaian, P. Gonadal Cycle of Pearl Oyster, Pinctada Fucata (Gould) in Northeast Persian Gulf, Iran. Oceanogr. Lit. Rev. 1997, 12, 1543. [Google Scholar]
- Choi, Y.H.; Chang, Y.J. Gametogenic Cycle of the Transplanted-Cultured Pearl Oyster, Pinctada Fucata Martensii (Bivalvia: Pteriidae) in Korea. Aquaculture 2003, 220, 781–790. [Google Scholar] [CrossRef]
- Wada, K.T.; Komaru, A.; Ichimura, Y.; Kurosaki, H. Spawning Peak Occurs during Winter in the Japanese Subtropical Population of the Pearl Oyster, Pinctada fucata fucata (Gould, 1850). Aquaculture 1995, 133, 207–214. [Google Scholar] [CrossRef]
- Lubet, P. Reproduction Des Mollusques. In Bases Biologiques et Ecologiques de 1’Aquaculture; Barnabe G. (Coordonateur) Tec. Doc.; Lavoisier: Paris, France, 1991; pp. 166–210. [Google Scholar]
- Lubet, P.; Mann, R. Les Différentes Modalités de La Reproduction Chez Les Mollusques Bivalves. In Annales de l’Institut Michel Pacha; Laboratoire maritime de physiologie: Tamaris sur Mer, France, 1988; pp. 29–42. [Google Scholar]
- Derbali, A.; Kandeel, K.E.; Jarboui, O. Comparison of the Dynamics between Coastal and Midshore Populations of Pinctada radiata (Leach, 1814) (Mollusca: Bivalvia) in the Gulf of Gabes, Tunisia. Turk. J. Fish. Aquat. Sci. 2020, 20, 301–310. [Google Scholar] [CrossRef] [PubMed]
- Del Norte, A.G.C. Aspects of the Growth, Recruitment, Mortality and Reproduction of the Scallop Amusium Pleuronectes (Linné) in the Lingayen Gulf, Philippines. Ophelia 1988, 29, 153–168. [Google Scholar] [CrossRef]
- Mohammed, S.Z.; Yassien, M.H. Population Parameters of the Pearl Oyster Pinctada radiata (Leach) in Qatari Waters, Arabian Gulf. Turk. J. Zool. 2003, 27, 339–343. [Google Scholar]
- Kandeel, K.E.; Mohammed, S.Z.; Mostafa, A.M.; Abd-Alla, M.E. Population Dynamics of the Cockle Cerastoderma Glaucum: A Comparison between Lake Qarun and Lake Timsah, Egypt. Turk. J. Fish. Aquat. Sci. 2017, 17, 945–958. [Google Scholar] [CrossRef] [PubMed]
- Karami, M.; Zadeh, H. Seasonal Histological Comparison of Gonad and Gametogenesis in Female Pearl Oyster (Pinctada radiata) of the Persian Gulf. J. Persian Gulf 2014, 5, 17–24. [Google Scholar]
- Laruelle, F. Phénologie et Déterminisme de La Reproduction Chez Ruditapes decussatus (L.) et Ruditapes philippinarum (Adams et Reeve) En Bretagne. Ph.D. Thesis, Université de Bretagne Occidentale, Brest, France, 1999. [Google Scholar]
- Mzighani, S. Fecundity and Population Structure of Cockles, Anadara antiquata L. 1758 (Bivalvia: Arcidae) from a Sandy/Muddy Beach near Dar Es Salaam, Tanzania. West. Indian Ocean J. Mar. Sci. 2007, 4, 77–84. [Google Scholar] [CrossRef][Green Version]
- Moutopoulos, D.K.; Ramfos, A.; Theodorou, J.A.; Katselis, G. Biological Aspects, Population and Fishery Dynamics of the Non-Indigenous Pearl Oyster Pinctada imbricata radiata (Leach, 1814) in the Eastern Mediterranean. Reg. Stud. Mar. Sci. 2021, 45, 101821. [Google Scholar] [CrossRef]
- Androuin, T.; Barbier, P.; Forêt, M.; Meziane, T.; Thomas, M.; Archambault, P.; Winkler, G.; Tremblay, R.; Olivier, F. Pull the Trigger: Interplay between Benthic and Pelagic Cues Driving the Early Recruitment of a Natural Bivalve Assemblage. Ecosphere 2022, 13, e03672. [Google Scholar] [CrossRef]
- Hadfield, M.G.; Paul, V.J. Natural Chemical Cues for Settlement and Metamorphosis of Marine Invertebrate Larvae. Mar. Chem. Ecol. 2001, 13, 431–461. [Google Scholar]
- Morgan, S.G. Impact of Planktivorous Fishes on Dispersal, Hatching, and Morphology of Estuarine Crab Larvae. Ecology 1990, 71, 1639–1652. [Google Scholar] [CrossRef]
- Roegner, G.C.; Mann, R. Early Recruitment and Growth of the American Oyster Crassostrea virginica (Bivalvia: Ostreidae) with Respect to Tidal Zonation and Season. Mar. Ecol. Prog. Ser. 1995, 117, 91. [Google Scholar] [CrossRef]
- Butman, C.A. Larval Settlement of Soft-Sediment Invertebrates: The Spatial Scales of Pattern Explained by Active Habitat Selection and the Emerging Role of Hydrodynamical Processes. Ocean. Mar. Biol 1987, 25, 113–165. [Google Scholar]
- Brower, J.E.; Zar, J.H.; Von Ende, C.N. Field and Laboratory Methods for General Ecology; WCB McGraw-Hill: Boston, MA, USA, 1998; Volume 4. [Google Scholar]
- Legendre, P.; Fortin, M.J. Spatial Pattern and Ecological Analysis. Vegetatio 1989, 80, 107–138. [Google Scholar] [CrossRef]
- Yigitkurt, S. Reproductive Biology of the Rayed Pearl Oyster (Pinctada imbricata radiata, Leach 1814) in Izmir Bay. Oceanol. Hydrobiol. Stud. 2021, 50, 87–97. [Google Scholar] [CrossRef]
- Mafambissa, M.; Rodrigues, M.; Taimo, T.; Andrade, C.; Lindegart, M.; Macia, A. Gametogenic Cycle of the Oysters Pinctada capensis (Sowerby III, 1890) and Saccostrea cucullata (Born, 1778) (Class Bivalvia) in Inhaca Island, Southern Mozambique: A Subsidy for Bivalve Culture in the Region. Diversity 2023, 15, 361. [Google Scholar] [CrossRef]
- Quintana, R. Effect of Estradiol-17β on the Gonadal Developemnt of Diploid and Triploid Female Eastern Oysters. Master’s Thesis, Louisiana State University and Agricultural & Mechanical College, Baton Rouge, LA, USA, 2005. [Google Scholar]
- Khamdan, S.A.A. Aspects of Reproduction in the Pearl Oyster, Pinctada radiata (Leach). In Offshore Environment of the ROPME (Regional Organization for the Protection of the Marine Environment) Sea Area after the War-Related Oil Spill – Results of the 1993–94 Umitaka-Maru Cruises; Otsuki, A., Abdulraheem, M.Y., Reynolds, R.M., Eds.; Terra Scientific Publishing Company (TERRAPUB): Tokyo, Japan, 1998; pp. 203–214. [Google Scholar]
- O’connor, W.A.; Lawler, N.F. Reproductive Condition of the Pearl Oyster, Pinctada imbricata, Roding, in Port Stephens, New South Wales, Australia. Aquac. Res. 2004, 35, 385–396. [Google Scholar] [CrossRef]
- Charnov, E.L. Sexuality and Hermaphroditism in Barnacles: A Natural Selection Approach. In Barnacle Biology; Routledge: Oxfordshire, UK, 2018; pp. 89–103. [Google Scholar]











| GI (R-Squared = 0.92) | SS | df | F | p |
| Model | 12.1 | 7 | 6.32 | * |
| Season | 2.03 | 3 | 2.47 | ns |
| Temperature (°C) | 2.37 | 1 | 8.68 | * |
| Season × Temperature (°C) | 1.28 | 3 | 1.56 | ns |
| Residuals | 1.09 | 4 | ||
| Total | 13.2 | 11 | ||
| IM (R-squared = 0.93) | ||||
| Model | 0.82 | 7 | 7.76 | * |
| Season | 0.31 | 3 | 6.75 | * |
| Temperature (°C) | 0.01 | 1 | 0.63 | ns |
| Season × Temperature (°C) | 0.46 | 3 | 10.17 | * |
| Residuals | 0.06 | 4 | ||
| Total | 0.89 | 11 | ||
| CI (R-squared = 0.97) | ||||
| Model | 318.99 | 7 | 21.66 | ** |
| Season | 106.05 | 3 | 16.8 | ** |
| Temperature (°C) | 37.42 | 1 | 17.79 | * |
| Season × Temperature (°C) | 64.18 | 3 | 10.17 | * |
| Residuals | 8.41 | 4 | ||
| Total | 327.4 | 11 |
| Stage | Macroscopic Depiction | Microscopic Depiction | Oocyte Diameter (μm) |
|---|---|---|---|
| I | ![]() | ![]() | |
| II | ![]() | ![]() | ![]() |
| III | ![]() | ![]() | ![]() |
| IV | ![]() | ![]() | ![]() |
| V | ![]() | ![]() |
| Spawning Frequency | Spawning Peak | Min Temp | Max Temp | Study Area | Reference |
|---|---|---|---|---|---|
| Annual | June–September | 13.4 | 25.2 | Evian region, Greece | Present study |
| Annual | June–September | 14.2 | 27 | Izmir Bay, Turkey | [97] |
| Biannual | June-August, September-December | 17 | 32 | Gulf of Gabes, Tunisia | [67] |
| Biannual | Summer and Autumn | 12 | 30 | Gulf of Gabes, Tunisia | [66] |
| Annual | Summer | - | - | Persian Gulf, Iran | [86] |
| Biannual | July and October | 26 | 32 | Gazi Bay, Kenya | [71] |
Disclaimer/Publisher’s Note: The statements, opinions and data contained in all publications are solely those of the individual author(s) and contributor(s) and not of MDPI and/or the editor(s). MDPI and/or the editor(s) disclaim responsibility for any injury to people or property resulting from any ideas, methods, instructions or products referred to in the content. |
© 2024 by the authors. Licensee MDPI, Basel, Switzerland. This article is an open access article distributed under the terms and conditions of the Creative Commons Attribution (CC BY) license (https://creativecommons.org/licenses/by/4.0/).
Share and Cite
Pafras, D.; Apostologamvrou, C.; Balatsou, A.; Theocharis, A.; Lolas, A.; Hatziioannou, M.; Vafidis, D.; Klaoudatos, D. Reproductive Biology of Pearl Oyster (Pinctada radiata, Leach 1814) Based on Microscopic and Macroscopic Assessment of Both Sexes in the Eastern Mediterranean (South Evia Island). J. Mar. Sci. Eng. 2024, 12, 1259. https://doi.org/10.3390/jmse12081259
Pafras D, Apostologamvrou C, Balatsou A, Theocharis A, Lolas A, Hatziioannou M, Vafidis D, Klaoudatos D. Reproductive Biology of Pearl Oyster (Pinctada radiata, Leach 1814) Based on Microscopic and Macroscopic Assessment of Both Sexes in the Eastern Mediterranean (South Evia Island). Journal of Marine Science and Engineering. 2024; 12(8):1259. https://doi.org/10.3390/jmse12081259
Chicago/Turabian StylePafras, Dimitris, Chrysoula Apostologamvrou, Athina Balatsou, Alexandros Theocharis, Alexios Lolas, Marianthi Hatziioannou, Dimitris Vafidis, and Dimitris Klaoudatos. 2024. "Reproductive Biology of Pearl Oyster (Pinctada radiata, Leach 1814) Based on Microscopic and Macroscopic Assessment of Both Sexes in the Eastern Mediterranean (South Evia Island)" Journal of Marine Science and Engineering 12, no. 8: 1259. https://doi.org/10.3390/jmse12081259
APA StylePafras, D., Apostologamvrou, C., Balatsou, A., Theocharis, A., Lolas, A., Hatziioannou, M., Vafidis, D., & Klaoudatos, D. (2024). Reproductive Biology of Pearl Oyster (Pinctada radiata, Leach 1814) Based on Microscopic and Macroscopic Assessment of Both Sexes in the Eastern Mediterranean (South Evia Island). Journal of Marine Science and Engineering, 12(8), 1259. https://doi.org/10.3390/jmse12081259














