Evaluating Dietary Red Lentil Screenings on Performance, Antioxidant Status, Caecal Environment, and Intestinal Morphometric Features in Rabbits
Abstract
1. Introduction
2. Materials and Methods
2.1. Animals, Management and Feeding
2.2. Growth, Carcass Traits, and Meat Quality
2.3. Blood Serum Lipids and Antioxidant Capacity Analysis
2.4. Caecal Characteristics and Microbiota
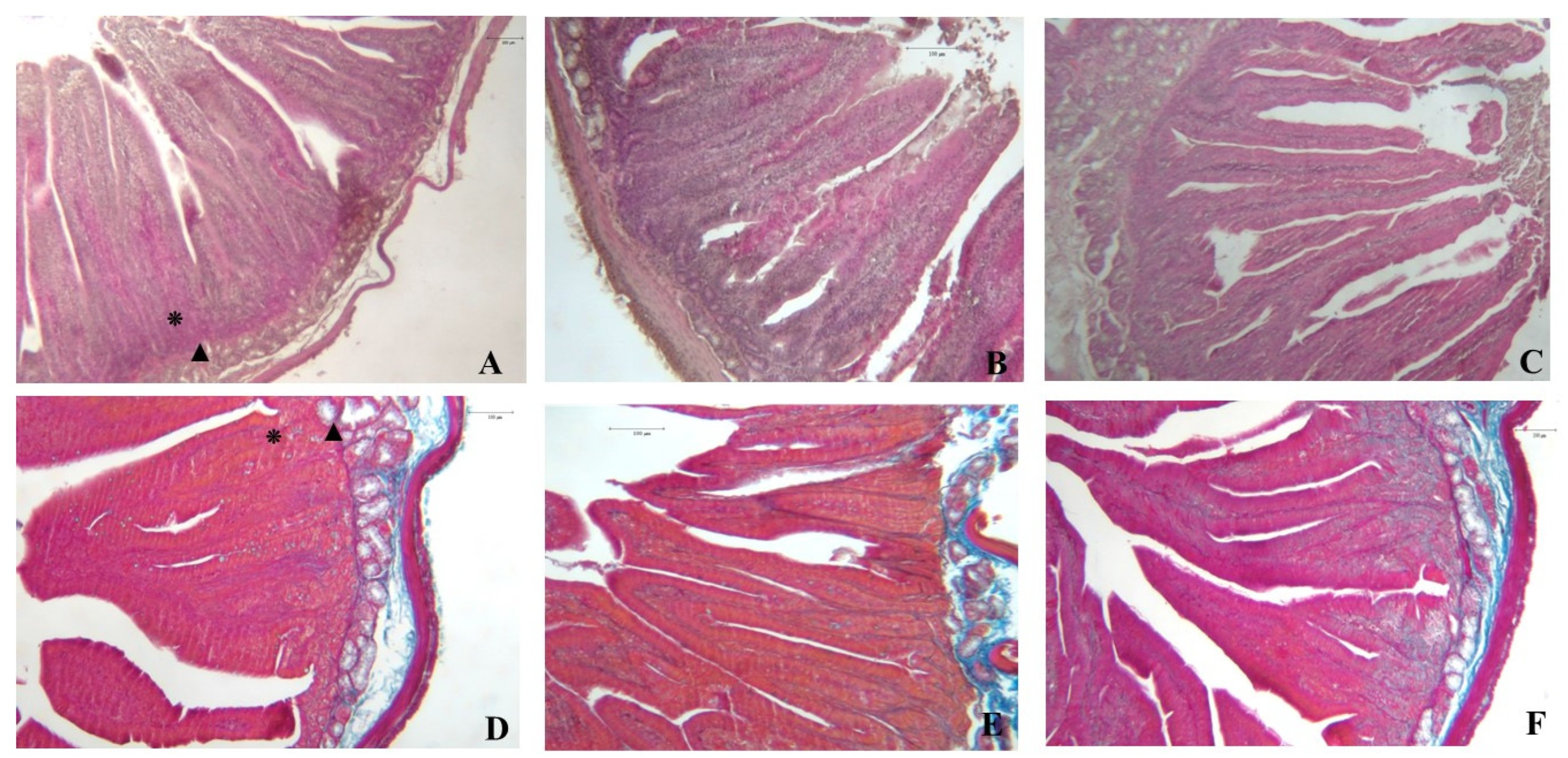
2.5. Histological Examinations
2.6. Statistical Analysis
3. Results and Discussion
4. Conclusions
Author Contributions
Funding
Institutional Review Board Statement
Data Availability Statement
Acknowledgments
Conflicts of Interest
References
- The World Bank. World’s Population Will Reach Nearly 10 Billion by 2050. 2019. Available online: https://datatopics.worldbank.org/world-development-indicators/stories/world-population-will-continue-to-grow.html#:~:text=It%20is%20projected%20that%20the,227%20million%20to%202.2%20billion (accessed on 7 September 2024).
- Godfray, H.C.J.; Aveyard, P.; Garnett, T.; Hall, J.W.; Key, T.J.; Lorimer, J.; Pierrehumbert, R.T.; Scarborough, P.; Springmann, M.; Jebb, S.A. Meat consumption, health, and the environment. Science 2018, 361, eaam5324. [Google Scholar] [CrossRef] [PubMed]
- UN General Assembly. Transforming Our World: The 2030 Agenda for Sustainable Development, 21 October 2015, A/RES/70/1. Available online: https://www.refworld.org/docid/57b6e3e44.html (accessed on 30 June 2024).
- FAOSTAT. FAO Statistical Databases. World Pulses Production. 2023. Available online: https://www.fao.org/faostat/en/#data/QCL (accessed on 23 September 2024).
- Urbano, G.; Porres, J.M.; Frías, J.; Vidal-Valverde, C. Nutritional value. In Lentil: An Ancient Crop for Modern Times; Springer: Dordrecht, The Netherlands, 2007; pp. 47–93. [Google Scholar]
- Li, M.; Xia, M.; Imran, A.; de Souza, T.S.; Barrow, C.; Dunshea, F.; Suleria, H.A. Nutritional value, phytochemical potential, and biological activities in lentils (Lens culinaris Medik.): A review. Food Rev. Int. 2024, 40, 2024–2054. [Google Scholar] [CrossRef]
- Duane, W.C. Effects of legume consumption on serum cholesterol, biliary lipids, and sterol metabolism in humans. J. Lipid Res. 1997, 38, 1120–1128. [Google Scholar] [CrossRef] [PubMed]
- Rebello, C.J.; Greenway, F.L.; Finley, J.W. Whole grains and pulses: A com-parison of the nutritional and health benefits. J. Agric. Food Chem. 2014, 62, 7029–7049. [Google Scholar] [CrossRef]
- Zhang, B.; Peng, H.; Deng, Z.; Tsao, R. Phytochemicals of lentil (Lens culinaris) and their antioxidant and anti-inflammatory effects. J. Food Bioact. 2018, 1, 93–103. [Google Scholar] [CrossRef]
- Ajila, C.M.; Brar, S.K.; Verma, M.; Tyagi, R.D.; Godbout, S.; Valéro, J.R. Bio-processing of agro-byproducts to animal feed. Crit. Rev. Biotechnol. 2012, 32, 382–400. [Google Scholar] [CrossRef]
- Dueñas, M.; Hernandez, T.; Estrella, I. Assessment of in vitro antioxidant capacity of the seed coat and the cotyledon of legumes in relation to their phenolic contents. Food Chem. 2006, 98, 95–103. [Google Scholar] [CrossRef]
- Çabuk, M.; Eratak, S.; Basmacioğlu Malayoğlu, H. Effects of dietary inclusion of lentil byproduct on performance and oxidative stability of eggs in laying quail. Sci. World J. 2014, 2014, 742987. [Google Scholar] [CrossRef]
- Hassan, F.A. Effect of substituting lentil screening by-product for soybean meal on growth performance, nutrients digestibility and carcass parameters of growing rabbits. Egypt. Poult. Sci. J. 2020, 40, 463–480. [Google Scholar] [CrossRef]
- Tiwari, B.K.; Singh, N. Pulse Chemistry and Technology; Royal Society of Chemistry: London, UK, 2012. [Google Scholar] [CrossRef]
- FAO. Food Wastage Footprint: Impacts on Natural Resources—Summary Report. Available online: http://www.fao.org/docrep/018/i3347e/i3347e.pdf (accessed on 20 September 2024).
- Hou, D.; Feng, Q.; Tang, J.; Shen, Q.; Zhou, S. An update on nutritional profile, phytochemical compounds, health benefits, and potential applications in the food industry of pulses seed coats: A comprehensive review. Crit. Rev. Food Sci. Nutr. 2023, 63, 1960–1982. [Google Scholar] [CrossRef]
- Pugliese, G.; Losacco, C.; Roselli, V.; Laudadio, V.; Piemontese, L.; Naz, S.; Tufarelli, V. Lentil (Lens culinaria) and its by-products inclusion in livestock nutrition: Present insights and emerging trends in rabbit and poultry system. J. Appl. Anim. Res. 2024, 52, 2362254. [Google Scholar] [CrossRef]
- Guo, F.; Danielski, R.; Santhiravel, S.; Shahidi, F. Unlocking the Nutraceutical Potential of Legumes and Their By-Products: Paving the Way for the Circular Economy in the Agri-Food Industry. Antioxidants 2024, 13, 636. [Google Scholar] [CrossRef] [PubMed]
- Mudgal, V.; Mehta, M.K.; Rane, A.S. Lentil straw (Lens culinaris): An alternative and nutritious feed resource for kids. Anim. Nutr. 2018, 4, 417–421. [Google Scholar] [CrossRef]
- Damte, T.; Tafes, B. Lentil Research in Ethiopia: Achievements, Gaps and Prospects; Ethiopian Institute of Agricultural Research: Addis Ababa, Ethiopia, 2023. [Google Scholar]
- Landero, J.L.; Beltranena, E.; Zijlstra, R.T. The effect of feeding lentil on growth performance and diet nutrient digestibility in starter pigs. Anim. Feed. Sci. Technol. 2012, 174, 108–112. [Google Scholar] [CrossRef]
- Nicodemus, N.; García, J.; Carabaño, R.; De Blas, J.C. Effect of substitution of a soybean hull and grape seed meal mixture for traditional fiber sources on digestion and performance of growing rabbits and lactating does. J. Anim. Sci. 2007, 85, 181–187. [Google Scholar] [CrossRef] [PubMed][Green Version]
- Gidenne, T. Dietary fibres in the nutrition of the growing rabbit and recommendations to preserve digestive health: A review. Animal 2015, 9, 227–242. [Google Scholar] [CrossRef]
- Dalle Zotte, A.; Szendrő, Z. The role of rabbit meat as functional food. Meat Sci. 2011, 88, 319–331. [Google Scholar] [CrossRef]
- Poławska, E.; Cooper, R.G.; Jóźwik, A.; Pomianowski, J. Meat from alternative species–nutritive and dietetic value, and its benefit for human health—A review. CyTA-J. Food 2013, 11, 37–42. [Google Scholar] [CrossRef]
- McNitt, J.I.; Lukefahr, S.D.; Cheeke, P.R.; Patton, N.M. (Eds.) Rabbit Production; CABI: Wallingford, UK, 2013. [Google Scholar]
- Hoffman, L.C.; Nkhabutlane, P.; Schutte, D.W.; Vosloo, C. Factors affecting the purchasing of rabbit meat: A study of ethnic groups in the Western Cape. J. Consum. Sci. 2004, 32, 26–35. [Google Scholar] [CrossRef]
- Wu, L. Rabbit meat trade of major countries: Regional pattern and driving forces. World Rabbit. Sci. 2022, 30, 69–82. [Google Scholar] [CrossRef]
- European Commission. EU Agricultural Outlook for Markets, 2023–2035; European Commission, DG Agriculture and Rural Development: Brussels, Belgium, 2023; p. 85. [Google Scholar]
- AOAC. (Official Analytical Chemists). Official Methods of Analysis, 18th ed.; AOAC: Arlington, VA, USA, 2005; p. 602. [Google Scholar]
- De Blas, J.C.; Mateos, G.G. Feed formulation. In The Nutrition of the Rabbit; De Blas, J.C., Wiseman, J., Eds.; CABI Publishing: Wallingford, UK, 1998; pp. 241–254. [Google Scholar]
- Blasco, A.; Ouhayoun, J. Harmonization of criteria and terminology in rabbit meat research. Revised proposal. World Rabbit Sci. 1996, 4, 93–99. [Google Scholar] [CrossRef]
- Folch, J.; Lees, M.; Stanley, G.S. A simple method for the isolation and purification of total lipides from animal tissues. J. Biol. Chem. 1957, 226, 497–509. [Google Scholar] [CrossRef]
- Tufarelli, V.; Losacco, C.; Tedone, L.; Passantino, L.; Tarricone, S.; Laudadio, V.; Colonna, M.A. Hemp seed (Cannabis sativa L.) cake as sustainable dietary additive in slow-growing broilers: Effects on performance, meat quality, oxidative stability and gut health. Vet. Q. 2023, 43, 1–12. [Google Scholar] [CrossRef]
- Hassan, M.I.; Abdel-Monem, N.; Khalifah, A.M.; Hassan, S.S.; Shahba, H.; Alhimaidi, A.R.; Kim, I.H.; El-Tahan, H.M. Effect of Adding the Antimicrobial L-Carnitine to Growing Rabbits’ Drinking Water on Growth Efficiency, Hematological, Biochemical, and Carcass Aspects. Antibiotics 2024, 13, 757. [Google Scholar] [CrossRef]
- Abu Hafsa, S.H.; Ibrahim, S.A.; Hassan, A.A. Carob pods (Ceratonia siliqua L.) improve growth performance, antioxidant status and caecal characteristics in growing rabbits. J. Anim. Physiol. Anim. Nutr. 2017, 101, 1307–1315. [Google Scholar] [CrossRef]
- Laudadio, V.; Passantino, L.; Perillo, A.; Lopresti, G.; Passantino, A.; Khan, R.U.; Tufarelli, V. Productive performance and histological features of intestinal mucosa of broiler chickens fed different dietary protein levels. Poult. Sci. 2012, 91, 265–270. [Google Scholar] [CrossRef]
- Laudadio, V.; Tufarelli, V. Dehulled-micronised lupin (Lupinus albus L. cv. Multitalia) as the main protein source for broilers: Influence on growth performance, carcass traits and meat fatty acid composition. J. Sci. Food Agric. 2011, 91, 2081–2087. [Google Scholar] [CrossRef]
- Laudadio, V.; Ceci, E.; Tufarelli, V. Productive traits and meat fatty acid profile of broiler chickens fed diets containing micronized fava beans (Vicia faba L. var. minor) as the main protein source. J. Appl. Poult. Res. 2011, 20, 12–20. [Google Scholar] [CrossRef]
- Dotas, V.; Bampidis, V.A.; Sinapis, E.; Hatzipanagiotou, A.; Papanikolaou, K. Effect of dietary field pea (Pisum sativum L.) supplementation on growth performance, and carcass and meat quality of broiler chickens. Livest. Sci. 2014, 164, 135–143. [Google Scholar] [CrossRef]
- Koivunen, E.; Talvio, E.; Valkonen, E.; Tupasela, T.; Tuunainen, P.; Valaja, J. Use of semi-leafless peas (Pisum sativum L.) with enzyme addition in diets for broilers. Agric. Food Sci. 2016, 25, 90–98. [Google Scholar] [CrossRef]
- Suliman, M.A.; Hassan, F.A.; El-Gabbry, H.; Abdel-Mawla, L.F. Growth performance, nutrients digestibility and carcass measurements of growing rabbits fed diets incorporated with lentil or chickpea screening by-products. Egypt. J. Nutr. Feed. 2019, 22, 597–609. [Google Scholar] [CrossRef]
- Tsega, W.; Tamir, B.; Abebe, G. Carcass characteristics of menz ram lambs fed grass hay basal diet and supplemented wheat bran and lentil broken screening. Acad. J. Plant Sci. 2019, 12, 43–51. [Google Scholar]
- Mavromichalis, I. El papel de los antioxidantes en la nutrición porcina. Suis 2013, 102, 6–8. [Google Scholar]
- Zhang, B.; Deng, Z.; Tang, Y.; Chen, P.; Liu, R.; Ramdath, D.D.; Liu, Q.; Hernandez, M.; Tsao, R. Fatty acid, carotenoid and tocopherol compositions of 20 Canadian lentil cultivars and synergistic contribution to antioxidant activities. Food Chem. 2014, 161, 296–304. [Google Scholar] [CrossRef]
- Ciurescu, G.; Toncea, I.; Ropotă, M.; Hăbeanu, M. Seeds composition and their nutrients quality of some pea (Pisum sativum L.) and lentil (Lens culinaris Medik.) cultivars. Rom. Agric. Res. 2018, 35, 101–108. [Google Scholar] [CrossRef]
- Ciurescu, G.; Vasilachi, A.; Ropota, M.; Palade, M.; Dragomir, C. Beneficial effects of increasing dietary levels of raw lentil seeds on meat fatty acid and plasma metabolic profile in broiler chickens. Indian J. Anim. Sci. 2017, 87, 1385–1390. [Google Scholar] [CrossRef]
- Moreno, J.J.; Mitjavila, M.T. The degree of unsaturation of dietary fatty acids and the development of atherosclerosis. J. Nutr. Biochem. 2003, 14, 182–195. [Google Scholar] [CrossRef]
- Gonçalves-de-Albuquerque, C.F.; Medeiros-de-Moraes, I.M.; Oliveira, F.M.D.J.; Burth, P.; Bozza, P.T.; Castro Faria, M.V.; Silva, A.R.; Castro-Faria-Neto, H.C.D. Omega-9 oleic acid induces fatty acid oxidation and decreases organ dysfunction and mortality in experimental sepsis. PLoS ONE 2016, 11, e0153607. [Google Scholar] [CrossRef]
- Ozcan, C.; Cimrin, T.; Yakar, Y.; Alasahan, S. Effects of olive cake meal on serum constituents and fatty acid levels in breast muscle of Japanese quail. S. Afr. J. Anim. Sci. 2020, 50, 874–880. [Google Scholar] [CrossRef]
- Irakli, M.; Kargiotidou, A.; Tigka, E.; Beslemes, D.; Fournomiti, M.; Pankou, C.; Stavroula, K.; Tsivelika, N.; Vlachostergios, D.N. Genotypic and environmental effect on the concentration of phytochemical contents of lentil (Lens culinaris L.). Agronomy 2021, 11, 1154. [Google Scholar] [CrossRef]
- Abeysekara, S.; Chilibeck, P.D.; Vatanparast, H.; Zello, G.A. A pulse-based diet is effective for reducing total and LDL-cholesterol in older adults. Br. J. Nutr. 2012, 108, S103–S110. [Google Scholar] [CrossRef]
- Vinarova, L.; Vinarov, Z.; Atanasov, V.; Pantcheva, I.; Tcholakova, S.; Denkov, N.; Stoyanov, S. Lowering of cholesterol bioaccessibility and serum concentrations by saponins: In vitro and in vivo studies. Food Funct. 2015, 6, 501–512. [Google Scholar] [CrossRef]
- Bera, I.; Tyagi, P.K.; Mir, N.A.; Tyagi, P.K.; Dev, K.; Sharma, D.; Mandal, A.B. Dietary supplementation of saponins to improve the quality and oxidative stability of broiler chicken meat. J. Food Sci. Technol. 2019, 56, 2063–2072. [Google Scholar] [CrossRef]
- Galgano, F.; Condelli, N.; Tolve, R.; Scarpa, T.; Caruso, M.C.; Senizza, B.; Marzario, S.; Lucini, L. Lentil seed coat as a source of phenolic compounds: Influence of geographical origin and genotype. J. Food Meas. Charact. 2023, 17, 1428–1437. [Google Scholar] [CrossRef]
- Peng, L.; Guo, F.; Pei, M.; Tsao, R.; Wang, X.; Jiang, L.; Sun, Y.; Xiong, H. Anti-inflammatory effect of lentil hull (Lens culinaris) extract via MAPK/NF-κB signaling pathways and effects of digestive products on intestinal barrier and inflammation in Caco-2 and Raw264. 7 co-culture. J. Funct. Foods 2022, 92, 105044. [Google Scholar] [CrossRef]
- Pathiraja, D.; Wanasundara, J.P.; Elessawy, F.M.; Purves, R.W.; Vandenberg, A.; Shand, P.J. Water-soluble phenolic compounds and their putative antioxidant activities in the seed coats from different lentil (Lens culinaris) genotypes. Food Chem. 2023, 407, 135145. [Google Scholar] [CrossRef]
- Kara, K. Effect of dietary fibre and condensed tannins concentration from various fibrous feedstuffs on in vitro gas production kinetics with rabbit faecal inoculum. J. Anim. Feed. Sci. 2016, 25, 266–272. [Google Scholar] [CrossRef]
- Zhong, L.; Fang, Z.; Wahlqvist, M.L.; Wu, G.; Hodgson, J.M.; Johnson, S.K. Seed coats of pulses as a food ingredient: Characterization, processing, and applications. Trends Food Sci. Technol. 2018, 80, 35–42. [Google Scholar] [CrossRef]
- Liu, B.; Cui, Y.; Ali, Q.; Zhu, X.; Li, D.; Ma, S.; Wang, Z.; Wang, C.; Shi, Y. Gut microbiota modulate rabbit meat quality in response to dietary fiber. Front. Nutr. 2022, 9, 849429. [Google Scholar] [CrossRef]
- Johnson, C.R.; Combs, G.F., Jr.; Thavarajah, P. Lentil (Lens culinaris L.): A prebiotic-rich whole food legume. Food Res. Int. 2013, 51, 107–113. [Google Scholar] [CrossRef]
- Dwivedi, S.; Sahrawat, K.; Puppala, N.; Ortiz, R. Plant prebiotics and human health: Biotechnology to breed prebiotic-rich nutritious food crops. Electron. J. Biotechnol. 2014, 17, 238–245. [Google Scholar] [CrossRef]
- Mollard, R.C.; Luhovyy, B.L.; Smith, C.; Anderson, G.H. Acute effects of pea protein and hull fibre alone and combined on blood glucose, appetite, and food intake in healthy young men–a randomized crossover trial. Appl. Physiol. Nutr. Metab. 2014, 39, 1360–1365. [Google Scholar] [CrossRef]
- Keskin, S.O.; Ali, T.M.; Ahmed, J.; Shaikh, M.; Siddiq, M.; Uebersax, M.A. Physico-chemical and functional properties of legume protein, starch, and dietary fiber—A review. Legume Sci. 2022, 4, e117. [Google Scholar] [CrossRef]
- Romero, C.; Nicodemus, N.; Rodríguez, J.D.; García, A.I.; de Blas, C. Effect of type of grinding of barley and dehydrated alfalfa on performance, digestion, and crude mucin ileal concentration in growing rabbits. J. Anim. Sci. 2011, 89, 2472–2484. [Google Scholar] [CrossRef][Green Version]
- Yeo, J.; Shahidi, F. Identification and quantification of soluble and insoluble-bound phenolics in lentil hulls using HPLC-ESI-MS/MS and their antioxidant potential. Food Chem. 2020, 315, 126202. [Google Scholar] [CrossRef]


| Ingredients, g/kg | Diet | ||
|---|---|---|---|
| RLS0 | RLS5 | RLS10 | |
| Dehydrated alfalfa meal | 285.0 | 285.0 | 285.0 |
| Dehydrated beet pulp | 285.0 | 285.0 | 285.0 |
| Corn | 200.0 | 200.0 | 200.0 |
| Soybean meal, 48% CP | 100.0 | 85.0 | 70.0 |
| Wheat middlings | 85.5 | 50.5 | 15.5 |
| Red lentil screenings | - | 50.0 | 100.0 |
| Cane molasses | 20.0 | 20.0 | 20.0 |
| Vitamin-mineral premix 1 | 5.0 | 5.0 | 5.0 |
| Monocalcium phosphate | 5.0 | 5.0 | 5.0 |
| Sodium chloride | 4.0 | 4.0 | 4.0 |
| Calcium propionate | 2.5 | 2.5 | 2.5 |
| L-lysine | 2.5 | 2.5 | 2.5 |
| DL-methionine | 2.5 | 2.5 | 2.5 |
| Yeast | 1.0 | 1.0 | 1.0 |
| Magnesium oxide | 1.0 | 1.0 | 1.0 |
| Magnesium carbonate | 1.0 | 1.0 | 1.0 |
| Chemical composition 2, g/kg as-fed | |||
| Dry matter | 891 | 892 | 894 |
| Crude protein | 154 | 153 | 153 |
| Ether extract | 24 | 25 | 24 |
| Crude fibre | 141 | 144 | 146 |
| Neutral-detergent fibre | 268 | 259 | 265 |
| Acid-detergent fibre | 167 | 168 | 164 |
| Lignin | 39 | 37 | 35 |
| Ash | 69 | 68 | 68 |
| Digestible energy (MJ/kg) | 10.61 | 10.61 | 10.61 |
| Item | Diet | ||||
|---|---|---|---|---|---|
| RLS0 | RLS5 | RLS10 | Pooled SEM | p-Value | |
| Growth performance | |||||
| Initial live weight 1, g | 1110 | 1115 | 1109 | 30.9 | ns |
| Final live weight 1, g | 2122 | 2129 | 2116 | 61.0 | ns |
| Daily weight gain 1, g/d | 24.10 | 24.14 | 23.98 | 1.13 | ns |
| Feed intake 2, g/d | 107 | 107 | 106 | 0.44 | ns |
| Feed conversion ratio 2, g/g | 4.40 | 4.43 | 4.42 | 0.15 | ns |
| Mortality, n | 6 | 5 | 5 | 0.29 | ns |
| Carcass traits | |||||
| Slaughter weight, g | 2073 | 2079 | 2068 | 88.89 | ns |
| Hot carcass weight, g | 1256 | 1258 | 1253 | 51.52 | ns |
| Carcass yield, % | 60.5 | 60.7 | 60.6 | 1.21 | ns |
| Meat composition, % | |||||
| Moisture | 73.52 | 73.39 | 73.45 | 0.11 | ns |
| Protein | 23.28 | 23.50 | 23.47 | 0.29 | ns |
| Lipids | 1.73 | 1.72 | 1.67 | 0.18 | ns |
| Ash | 1.47 | 1.39 | 1.41 | 0.11 | ns |
| Fatty Acids, % of FAME | Diet | ||||
|---|---|---|---|---|---|
| RLS0 | RLS5 | RLS10 | Pooled SEM | p-Value | |
| C4:0 | 0.09 | 0.13 | 0.12 | 0.04 | ns |
| C6:0 | 0.16 | 0.21 | 0.16 | 0.07 | ns |
| C8:0 | 0.12 | 0.10 | 0.08 | 0.04 | ns |
| C10:0 | 0.28 | 0.23 | 0.24 | 0.08 | ns |
| C12:0 | 0.31 | 0.26 | 0.25 | 0.06 | ns |
| C14:0 | 1.72 | 1.59 | 2.12 | 0.12 | ns |
| C15:0 | 0.44 | 0.46 | 0.46 | 0.08 | ns |
| C16:0 | 27.18 | 26.93 | 27.96 | 0.37 | ns |
| C17:0 | 0.48 | 0.50 | 0.51 | 0.14 | ns |
| C18:0 | 9.65 a | 8.99 b | 8.10 c | 0.25 | * |
| C20:0 | 0.10 | 0.10 | 0.08 | 0.03 | ns |
| C22:0 | 0.28 | 0.40 | 0.24 | 0.12 | ns |
| C23:0 | 0.11 | 0.10 | 0.09 | 0.03 | ns |
| ∑ SFA | 40.91 | 39.98 | 40.40 | 0.51 | ns |
| C16:1 trans | 0.61 b | 1.01 a | 0.63 b | 0.23 | * |
| C16:1 cis | 3.27 | 3.25 | 3.00 | 0.35 | ns |
| C17:1 | 0.12 | 0.14 | 0.16 | 0.07 | ns |
| C18:1 n-9 | 23.05 b | 23.61 b | 26.27 a | 0.31 | ** |
| C20:1 n-9 | 0.11 | 0.11 | 0.11 | 0.04 | ns |
| ∑ MUFA | 27.15 c | 28.13 b | 30.18 a | 0.40 | * |
| C18:2 n-6 | 25.89 a | 25.69 a | 23.56 b | 0.42 | * |
| C18:3 n-6 | 1.20 | 1.24 | 1.47 | 0.15 | ns |
| C18:3 n-3 | 2.99 | 3.05 | 3.10 | 0.22 | ns |
| C20:2 n-6 | 0.25 | 0.25 | 0.21 | 0.09 | ns |
| C20:3 n-6 | 0.62 a | 0.61 a | 0.39 b | 0.10 | * |
| C20:5 n-3 EPA | 0.36 | 0.39 | 0.27 | 0.12 | ns |
| C22:5 n-3 DPA | 0.52 a | 0.52 a | 0.33 b | 0.15 | * |
| C22:6 n-3 DHA | 0.12 | 0.13 | 0.09 | 0.03 | ns |
| ∑ PUFA | 31.94 a | 31.89 a | 29.42 b | 0.53 | * |
| Total PUFA n-6 | 27.96 | 27.79 | 25.64 | 0.36 | ns |
| Total PUFA n-3 | 3.98 | 4.10 | 3.79 | 0.21 | ns |
| n-6/n-3 | 7.02 | 6.80 | 6.77 | 0.30 | ns |
| Item | Diet | ||||
|---|---|---|---|---|---|
| RLS0 | RLS5 | RLS10 | Pooled SEM | p-Value | |
| Serum lipids | |||||
| Cholesterol, mg/dL | 189.41 a | 160.15 b | 157.66 c | 0.76 | *** |
| LDL, mg/dL | 158.36 a | 142.05 b | 135.81 b | 0.49 | * |
| HDL, mg/dL | 63.75 a | 61.11 b | 60.32 b | 0.51 | * |
| Triglyceride, mg/dL | 73.13 | 72.34 | 70.67 | 0.50 | ns |
| Antioxidant capacity | |||||
| GPx, U/mL | 16.35 a | 20.55 b | 21.61 c | 2.67 | ** |
| GST, µmol/h/mL | 1.46 a | 1.54 b | 1.79 c | 0.08 | * |
| CAT, µmol H2O2 | 60.98 a | 67.60 b | 71.15 c | 3.69 | ** |
| SOD, U/mL | 3.20 a | 4.05 b | 4.78 c | 0.65 | *** |
| TBARS, nmol/mL | 0.30 a | 0.24 b | 0.21 b | 0.04 | * |
| Item | Diet | ||||
|---|---|---|---|---|---|
| RLS0 | RLS5 | RLS10 | Pooled SEM | p-Value | |
| Caecal characteristics | |||||
| pH | 6.08 | 6.09 | 6.09 | 0.03 | ns |
| Ammonia-N, mmol/L | 3.71 | 3.75 | 3.73 | 1.15 | ns |
| Total VFA, mmol/L | 72.0 | 71.8 | 72.1 | 7.83 | ns |
| Acetic acid, mol/100 mol VFA | 82.3 | 82.2 | 82.0 | 1.92 | ns |
| Propionic acid, mol/100 mol VFA | 2.22 | 2.09 | 2.16 | 0.16 | ns |
| Butyric acid, mol/100 mol VFA | 12.0 | 11.5 | 11.7 | 0.39 | ns |
| Valeric acid, mol/100 mol VFA | 0.59 | 0.62 | 0.65 | 0.15 | ns |
| Caecal microbial count | |||||
| Coliform, log UFC/g | 6.55 | 6.48 | 6.42 | 0.021 | ns |
| Lactobacilli, log UFC/g | 4.49 | 4.55 | 4.63 | 0.023 | ns |
| Item | Diet | ||||
|---|---|---|---|---|---|
| RLS0 | RLS5 | RLS10 | Pooled SEM | p-Value | |
| Villus height, µm | 675 b | 633 b | 692 a | 35.04 | * |
| Crypt depth, µm | 123.5 | 125.1 | 120.2 | 4.56 | ns |
| Villus height/crypt depth | 5.47 b | 5.05 c | 5.76 a | 1.109 | ** |
| Villus surface area, mm2 | 977 | 980 | 1033 | 41.0 | ns |
Disclaimer/Publisher’s Note: The statements, opinions and data contained in all publications are solely those of the individual author(s) and contributor(s) and not of MDPI and/or the editor(s). MDPI and/or the editor(s) disclaim responsibility for any injury to people or property resulting from any ideas, methods, instructions or products referred to in the content. |
© 2024 by the authors. Licensee MDPI, Basel, Switzerland. This article is an open access article distributed under the terms and conditions of the Creative Commons Attribution (CC BY) license (https://creativecommons.org/licenses/by/4.0/).
Share and Cite
Pugliese, G.; Losacco, C.; Passantino, L.; Lentini, G.; Cavalluzzi, M.M.; Schiavitto, M.; Tarricone, S.; Laudadio, V.; Tufarelli, V. Evaluating Dietary Red Lentil Screenings on Performance, Antioxidant Status, Caecal Environment, and Intestinal Morphometric Features in Rabbits. Agriculture 2024, 14, 2152. https://doi.org/10.3390/agriculture14122152
Pugliese G, Losacco C, Passantino L, Lentini G, Cavalluzzi MM, Schiavitto M, Tarricone S, Laudadio V, Tufarelli V. Evaluating Dietary Red Lentil Screenings on Performance, Antioxidant Status, Caecal Environment, and Intestinal Morphometric Features in Rabbits. Agriculture. 2024; 14(12):2152. https://doi.org/10.3390/agriculture14122152
Chicago/Turabian StylePugliese, Gianluca, Caterina Losacco, Letizia Passantino, Giovanni Lentini, Maria M. Cavalluzzi, Michele Schiavitto, Simona Tarricone, Vito Laudadio, and Vincenzo Tufarelli. 2024. "Evaluating Dietary Red Lentil Screenings on Performance, Antioxidant Status, Caecal Environment, and Intestinal Morphometric Features in Rabbits" Agriculture 14, no. 12: 2152. https://doi.org/10.3390/agriculture14122152
APA StylePugliese, G., Losacco, C., Passantino, L., Lentini, G., Cavalluzzi, M. M., Schiavitto, M., Tarricone, S., Laudadio, V., & Tufarelli, V. (2024). Evaluating Dietary Red Lentil Screenings on Performance, Antioxidant Status, Caecal Environment, and Intestinal Morphometric Features in Rabbits. Agriculture, 14(12), 2152. https://doi.org/10.3390/agriculture14122152

