Assessment of the Physiological Values and the Reference Histological Profile Related to Sex Steroids in Veal Calves
Abstract
1. Introduction
2. Materials and Methods
2.1. Study Design and Sample Size
2.2. Animals’ Management
2.3. Blood Sampling
2.4. Chemicals and Reagents
2.5. Blood Sample Preparation
2.6. LC-MS/MS Analysis
2.7. Tissue Sampling and Processing
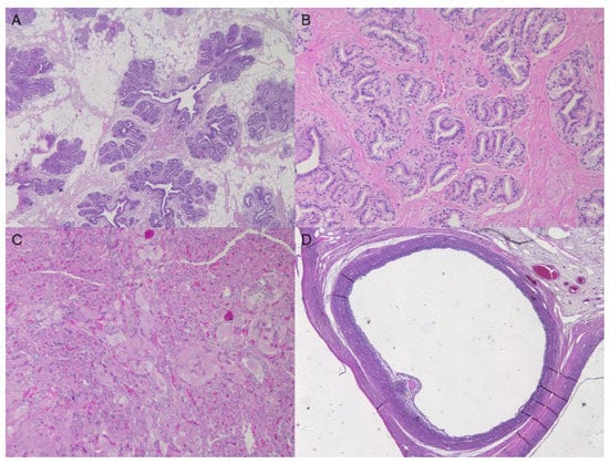
2.7.1. Histology
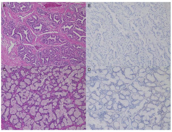
2.7.2. Immunohistochemistry
3. Results
3.1. LC-MS/MS Method for the Quantitative Determination of Sex Steroids in Blood Serum
3.2. Blood Serum Sample Analysis
3.3. Immunohistochemistry
4. Discussion
Author Contributions
Funding
Institutional Review Board Statement
Data Availability Statement
Conflicts of Interest
References
- Council Directive 88/146/EEC; Council Directive 88/146/EEC of 7 March 1988 Prohibiting the Use in Livestock (Arming of Certain Substances Having a Hormonal Action. Official Journal of the European Communities: Luxembourg, 1988; Volume L70, pp. 16–18.
- Council Directive 96/23/EC of 29 April 1996; Council Directive 96/23/EC of 29 April 1996 on Measures to Monitor Certain Substances and Residues Thereof in Live Animals and Animal Products and Repealing Directives 85/358/EEC and 86/469/EEC and Decisions 89/187/EEC and 91/664/EEC. Official Journal of the European Communities: Luxembourg, 1996; pp. 10–32.
- EU. Regulation (EU) 2017/625 of the European Parliament and of the Council of 15 March 2017 on Official Controls and Other Official Activities Performed to Ensure the Application of Food and Feed Law, Rules on Animal Health and Welfare, Plant Health and Plant; EU: Maastricht, The Netherlands; Official Journal of the European Communities: Luxembourg, 2017; pp. 1–142. [Google Scholar]
- Mooney, M.H.; Situ, C.; Cacciatore, G.; Hutchinson, T.; Elliott, C.; Bergwerff, A.A. Plasma biomarker profiling in the detection of growth promoter use in calves. Biomarkers 2008, 13, 246–256. [Google Scholar] [CrossRef] [PubMed]
- McGrath, T.F.; Van Meeuwen, J.A.; Massart, A.C.; De Pauw, E.; Delahaut, P.; Buijs, J.; Bergwerff, A.A.; Elliott, C.T.; Mooney, M.H. Effect-based proteomic detection of growth promoter abuse. Anal. Bioanal. Chem. 2013, 405, 1171–1179. [Google Scholar] [CrossRef] [PubMed]
- Heitzman, R.J. Veterinary Drug Residues: Residues in Food-producing Animals and Their Products—Reference Materials and Methods; WileyBlackwell: Hoboken, NJ, USA, 1994. [Google Scholar]
- Decreto Ministeriale. Decreto Ministeriale 14 Novembre 1996. Determinazione dei Livelli Fisiologici Massimi Degli Ormoni Sessuali di Natura Endogena Estradiolo 17 beta, Progesterone e Testosterone nel Siero o nel Plasma di Sangue Bovino; Gazzetta Ufficiale: Trieste, Italy, 1997. [Google Scholar]
- Rutherford, N.H.; Lively, F.O.; Arnott, G. A Review of Beef Production Systems for the Sustainable Use of Surplus Male Dairy-Origin Calves Within the UK. Front. Vet. Sci. 2021, 8, 635497. [Google Scholar] [CrossRef] [PubMed]
- Doyle, J.L.; Berry, D.P.; Veerkamp, R.F.; Carthy, T.R.; Evans, R.D.; Walsh, S.W.; Purfield, D.C. Genomic regions associated with muscularity in beef cattle differ in five contrasting cattle breeds. Genet. Sel. Evol. 2020, 52, 2. [Google Scholar] [CrossRef] [PubMed]
- Pezzolato, M.; Baioni, E.; Maurella, C.; Benedetto, A.; Biasibetti, E.; Bozzetta, E. The Italian strategy to fight illegal treatment with growth promoters: Results of the 2017–2019 histological monitoring plan. Ital. J. Food Saf. 2022, 10, 9775. [Google Scholar] [CrossRef]
- Friedrichs, K.R.; Harr, K.E.; Freeman, K.P.; Szladovits, B.; Walton, R.M.; Barnhart, K.F.; Blanco-Chavez, J. ASVCP reference interval guidelines: Determination of de novo reference intervals in veterinary species and other related topics. Vet. Clin. Pathol. 2012, 41, 441–453. [Google Scholar] [CrossRef]
- Pezzolato, M.; Richelmi, G.B.; Maurella, C.; Pitardi, D.; Varello, K.; Caramelli, M.; Bozzetta, E. Histopathology as a simple and reliable method to detect 17β-oestradiol illegal treatment in male calves. Food Addit. Contam.—Part A 2013, 30, 1096–1099. [Google Scholar] [CrossRef]
- Commission Decision. 2002/657/EC Commission Decision of 12 August 2002 Implementing Council Directive 96/23/EC Concerning the Performance of Analytical Methods and the Interpretation of Results; Official Journal of the European Communities: Luxembourg, 2002. [Google Scholar]
- European Commission. Commission Implementing Regulation (EU) 2021/808 of 22 March 2021 on the Performance of Analytical Methods for Residues of Pharmacologically Active Substances Used in Food-Producing Animals and on the Interpretation of Results as Well as on the Methods to be Used for Sampling and Repealing Decisions 2002/657/EC and 98/179/EC (Text with EEA Relevance); European Commission: Brussels, Belgium, 2021; Volume 180, pp. 84–109. [Google Scholar]
- Lucci, P.; Núñez, O.; Galceran, M.T. Solid-phase extraction using molecularly imprinted polymer for selective extraction of natural and synthetic estrogens from aqueous samples. J. Chromatogr. A 2011, 1218, 4828–4833. [Google Scholar] [CrossRef]
- Scarth, J.; Akre, C.; van Ginkel, L.; le Bizec, B.; de Brabander, H.; Korth, W.; Points, J.; Teale, P.; Kay, J. Presence and metabolism of endogenous androgenic-anabolic steroid hormones in meat-producing animals: A review. Food Addit. Contam.—Part A 2009, 26, 640–671. [Google Scholar] [CrossRef]
- Woźniak, B.; Witek, S.; Matraszek-Zuchowska, I.; Kłopot, A.; Posyniak, A. Levels of the natural hormones 17β-oestradiol and testosterone in serum of cattle: Results from population studies in Poland. J. Vet. Res. 2016, 60, 461–466. [Google Scholar] [CrossRef]
- Arrizabalaga Larranaga, A.; Groot, M.J.; Blokland, M.H.; Barbu, I.M.; Smits, N.G.E.; Sterk, S.S. EURL Reflection Paper 2.0: Natural Growth Promoting Substances in Biological Samples: Presence-and Formation-of Hormones and Other Growth Promoting Substances in Food Producing Animals; Wageningen Food Safety Research: Wageningen, The Netherlands, 2022. [Google Scholar]
- Hooijerink, H.; Lommen, A.; Mulder, P.P.J.; Van Rhijn, J.A.; Nielen, M.W.F. Liquid chromatography-electrospray ionisation-mass spectrometry based method for the determination of estradiol benzoate in hair of cattle. Anal. Chim. Acta 2005, 529, 167–172. [Google Scholar] [CrossRef]
- Rambaud, L.; Bichon, E.; Cesbron, N.; André, F.; Le Bizec, B. Study of 17β-estradiol-3-benzoate, 17α-methyltestosterone and medroxyprogesterone acetate fixation in bovine hair. Anal. Chim. Acta 2005, 532, 165–176. [Google Scholar] [CrossRef]
- Gray, B.P.; Viljanto, M.; Bright, J.; Pearce, C.; Maynard, S. Investigations into the feasibility of routine ultra high performance liquid chromatography-tandem mass spectrometry analysis of equine hair samples for detecting the misuse of anabolic steroids, anabolic steroid esters and related compounds. Anal. Chim. Acta 2013, 787, 163–172. [Google Scholar] [CrossRef] [PubMed]
- Buisson, C.; Hebestreit, M.; Weigert, A.P.; Heinrich, K.; Fry, H.; Flenker, U.; Banneke, S.; Prevost, S.; Andre, F.; Schaenzer, W.; et al. Application of stable carbon isotope analysis to the detection of 17β-estradiol administration to cattle. J. Chromatogr. A 2005, 1093, 69–80. [Google Scholar] [CrossRef] [PubMed]
- Ferchaud, V.; Le Bizec, B.; Monteau, F.; Andre, F. Determination of the exogenous character of testosterone in bovine urine by gas chromatography-combustion-isotope ratio mass spectrometry. Analyst 1998, 123, 2617–2620. [Google Scholar] [CrossRef] [PubMed]
- Janssens, G.; Courtheyn, D.; Mangelinckx, S.; Prévost, S.; Bichon, E.; Monteau, F.; De Poorter, G.; De Kimpe, N.; Le Bizec, B. Use of isotope ratio mass spectrometry to differentiate between endogenous steroids and synthetic homologues in cattle: A review. Anal. Chim. Acta 2013, 772, 1–15. [Google Scholar] [CrossRef]
- Pezzolato, M.; Botta, M.; Baioni, E.; Richelmi, G.B.; Pitardi, D.; Varello, K.; Caramelli, M.; Bozzetta, E. Confirmation of the progesterone receptor as an efficient marker of treatment with 17β-estradiol in veal calves. Food Addit. Contam.—Part A 2015, 33, 60–65. [Google Scholar] [CrossRef]
- Benedetto, A.; Pezzolato, M.; Beltramo, C.; Audino, V.; Ingravalle, F.; Pillitteri, C.; Foschini, S.; Peletto, S.; Bozzetta, E. Real-time PCR assay for detecting illicit steroid administration in veal calves allows reliable biomarker profiling of formalin-fixed, paraffin-embedded (FFPE) archival tissue samples. Food Chem. 2020, 312, 126061. [Google Scholar] [CrossRef]
- Groot, M.J.; Ossenkoppele, J.S.; Bakker, R.; Pfaffl, M.W.; Meyer, H.H.D.; Nielen, M.W.F. Reference histology of veal calf genital and endocrine tissues—An update for screening on hormonal growth promoters. J. Vet. Med. Ser. A Physiol. Pathol. Clin. Med. 2007, 54, 238–246. [Google Scholar] [CrossRef]
- Vascellari, M.; Katia, C.; Annalisa, S.; Giancarlo, B.; Letizia, M.; Roberto, S.; Giandomenico, P.; Franco, M. Evaluation of thymus morphology and serum cortisol concentration as indirect biomarkers to detect low-dose dexamethasone illegal treatment in beef cattle. BMC Vet. Res. 2012, 8, 129. [Google Scholar] [CrossRef]
- De Maria, R.; Divari, S.; Goria, M.; Bollo, E.; Cannizzo, F.T.; Olivero, M.; Barbarino, G.; Biolatti, B. 17β-oestradiol-induced gene expression in cattle prostate: Biomarkers to detect illegal use of growth promoters. Vet. Rec. 2009, 164, 459–464. [Google Scholar] [CrossRef] [PubMed]
- De Maria, R.; Divari, S.; Spada, F.; Oggero, C.; Mulasso, C.; Maniscalco, L.; Cannizzo, F.T.; Bianchi, M.; Barbarino, G.; Brina, N.; et al. Progesterone receptor gene expression in the accessory sex glands of veal calves. Vet. Rec. 2010, 167, 291–296. [Google Scholar] [CrossRef] [PubMed]
- Groot, M.J. Effects of phyto-oestrogens on veal calf prostate histology. Vet. Res. Commun. 2006, 30, 587–598. [Google Scholar] [CrossRef] [PubMed]



| Analytes | DP | EP | Parent Ion | Product Ion | CE | CXP |
|---|---|---|---|---|---|---|
| 17β-estradiol | −100 | −10 | 271.2 | 145.0 | −50 | −12 |
| 183.1 | −54 | |||||
| 143.0 | −67 | |||||
| 17β-estradiol-d4 | −130 | −10 | 275.2 | 147.0 | −53 | −12 |
| 187.0 | −54 | |||||
| 145.0 | −65 | |||||
| 17β-testosterone | 74 | 10 | 289.1 | 97.2 | 29 | 12 |
| 109.0 | 33 | |||||
| 79.1 | 70 | |||||
| 17β-testosterone-d3 | 90 | 10 | 292.2 | 256.4 | 25 | 12 |
| 109 | 32 | |||||
| 97.2 | 29 | |||||
| Progesterone | 103 | 10 | 315.2 | 97.1 | 26 | 12 |
| 109.1 | 30 | |||||
| 297.4 | 22 | |||||
| Progesterone-d9 | 80 | 10 | 324.3 | 100.1 | 29 | 12 |
| 113.1 | 33 | |||||
| 306.4 | 25 |
| Animal | Age (Days) | Testosterone Level (μg L−1) | Age (Days) | Testosterone Level (μg L−1) | Age (Days) | Testosterone Level (μg L−1) | Age (Days) | Testosterone Level (μg L−1) | Age (Days) | Testosterone Level (μg L−1) | Age (Days) | Testosterone Level (μg L−1) | Age (Days) | Testosterone Level (μg L−1) |
|---|---|---|---|---|---|---|---|---|---|---|---|---|---|---|
| 1 | 56 | - | 84 | - | 109 | - | 138 | 1.20 | 165 | 0.64 | 192 | 2.90 | 219 | 2.90 |
| 2 | 57 | 0.56 | 85 | 0.26 | 110 | - | 139 | 0.69 | 166 | 0.59 | 193 | 2.90 | 220 | 7.80 |
| 3 | 57 | 0.50 | 85 | 0.29 | 110 | - | 139 | 0.50 | 166 | 3.20 | 193 | 2.50 | 220 | 2.50 |
| 4 | 57 | 0.45 | 85 | 0.75 | 110 | 0.37 | 139 | 3.00 | 166 | 10.0 | 193 | 8.80 | 213 | 1.70 |
| 5 | 57 | - | 85 | 0.53 | 110 | 0.25 | 139 | 1.60 | 166 | 0.75 | 193 | 2.70 | 220 | 9.00 |
| 6 | 58 | - | 86 | - | 111 | 0.71 | 140 | 0.25 | 167 | 7.90 | 194 | 8.10 | 214 | 5.40 |
| 7 | 60 | - | 88 | 0.56 | 113 | 0.58 | 142 | 1.50 | 169 | 0.65 | 196 | 3.90 | 210 | 0.80 |
| 8 | 60 | - | 88 | - | 113 | - | 142 | 1.00 | 169 | 0.75 | 196 | 5.10 | 210 | 1.80 |
| 9 | 60 | - | 88 | - | 113 | - | 142 | 0.26 | 169 | 0.77 | NC | NC | NC | NC |
| 10 | 66 | - | 94 | - | 119 | - | 148 | 0.31 | 175 | 1.17 | NC | NC | NC | NC |
| 11 | 67 | - | 95 | - | 120 | - | 149 | 0.82 | 176 | - | 203 | 5.10 | NC | NC |
| 12 | 68 | 0.56 | 96 | 0.43 | 121 | 0.25 | 150 | 0.64 | 177 | 5.90 | 204 | 0.37 | 211 | 0.54 |
| 13 | 70 | - | 98 | 0.27 | 123 | 0.25 | 152 | 0.48 | 179 | 0.60 | 206 | 1.90 | NC | NC |
| 14 | 73 | - | 101 | - | 126 | - | 155 | - | 182 | - | 209 | - | NC | NC |
| 15 | 74 | - | 102 | 0.29 | 127 | - | 156 | 0.75 | 183 | 0.51 | 210 | 1.80 | NC | NC |
Disclaimer/Publisher’s Note: The statements, opinions and data contained in all publications are solely those of the individual author(s) and contributor(s) and not of MDPI and/or the editor(s). MDPI and/or the editor(s) disclaim responsibility for any injury to people or property resulting from any ideas, methods, instructions or products referred to in the content. |
© 2023 by the authors. Licensee MDPI, Basel, Switzerland. This article is an open access article distributed under the terms and conditions of the Creative Commons Attribution (CC BY) license (https://creativecommons.org/licenses/by/4.0/).
Share and Cite
Pezzolato, M.; Biasibetti, E.; Gili, M.; Maurella, C.; Benedetto, A.; Marturella, M.; Ostorero, F.; Bozzo, G.; Bellino, C.; D’angelo, A.; et al. Assessment of the Physiological Values and the Reference Histological Profile Related to Sex Steroids in Veal Calves. Agriculture 2023, 13, 1145. https://doi.org/10.3390/agriculture13061145
Pezzolato M, Biasibetti E, Gili M, Maurella C, Benedetto A, Marturella M, Ostorero F, Bozzo G, Bellino C, D’angelo A, et al. Assessment of the Physiological Values and the Reference Histological Profile Related to Sex Steroids in Veal Calves. Agriculture. 2023; 13(6):1145. https://doi.org/10.3390/agriculture13061145
Chicago/Turabian StylePezzolato, Marzia, Elena Biasibetti, Marilena Gili, Cristiana Maurella, Alessandro Benedetto, Marianna Marturella, Federica Ostorero, Giancarlo Bozzo, Claudio Bellino, Antonio D’angelo, and et al. 2023. "Assessment of the Physiological Values and the Reference Histological Profile Related to Sex Steroids in Veal Calves" Agriculture 13, no. 6: 1145. https://doi.org/10.3390/agriculture13061145
APA StylePezzolato, M., Biasibetti, E., Gili, M., Maurella, C., Benedetto, A., Marturella, M., Ostorero, F., Bozzo, G., Bellino, C., D’angelo, A., Valentini, F., Roberti, F., Fiori, M., Stacchini, P., & Bozzetta, E. (2023). Assessment of the Physiological Values and the Reference Histological Profile Related to Sex Steroids in Veal Calves. Agriculture, 13(6), 1145. https://doi.org/10.3390/agriculture13061145

