Impact of Watermelon Rind and Sea Buckthorn Meal on Performance, Blood Parameters, and Gut Microbiota and Morphology in Laying Hens
Abstract
1. Introduction
2. Materials and Methods
2.1. Plant Materials Preparation
2.2. Birds and Diets
2.3. Sample Collection of Blood, Intestinal Content, and Intestinal Segments
2.4. Determination of Proximate Chemical Composition and In Vitro Protein Digestibility
2.5. Determination of Amino Acid Concentration
2.6. Determination of Plasma Hematological and Biochemical Parameters
2.7. Light Microscopy Examination
2.8. Determination of Digestive Enzymes Activities
2.9. Microbiota Characterization
2.10. Statistical Analysis
3. Results
3.1. Chemical Composition of Dietary Supplements
3.2. The Impact of Watermelon Rind and Sea Buckthorn Meal on Serum Hematological and Biochemical Parameters of Laying Hens
3.3. Effects of Watermelon Rind and Sea Buckthorn Meal on Laying Hen Performance
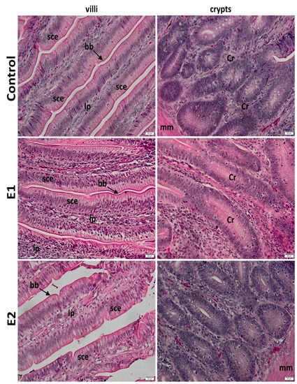
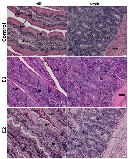
3.4. Histology of the Duodenum and Jejunum
3.5. Intestinal Enzymes Activities
3.6. Intestinal Microbiota
3.7. Correlation between Performance Parameters, Digestibility of Nutrients, Crude Fiber Content, Intestinal Microbiota, and Histology of the Duodenum and Jejunum of the Laying Hens
4. Discussion
5. Conclusions
Author Contributions
Funding
Institutional Review Board Statement
Informed Consent Statement
Data Availability Statement
Acknowledgments
Conflicts of Interest
References
- Alagawany, M.; Elnesr, S.S.; Farag, M.R.; Tiwari, R.; Yatoo, M.I.; Karthik, K.; Michalak, I.; Dhama, K. Nutritional significance of amino acids, vitamins and minerals as nutraceuticals in poultry production and health—A comprehensive review. Vet. Quart. 2021, 41, 1–29. [Google Scholar] [CrossRef] [PubMed]
- Smith, J.A. Experiences with drug-free broiler production. Poult. Sci. 2011, 90, 2670–2678. [Google Scholar] [CrossRef] [PubMed]
- Morgan, N.K. Managing gut health without reliance on antimicrobials in poultry. Anim. Prod. Sci. 2017, 57, 2270–2279. [Google Scholar] [CrossRef]
- Gu, Y.F.; Chen, Y.P.; Jin, R.; Wang, C.; Wen, C.; Zhou, Y.M. A comparison of intestinal integrity, digestive function, and egg quality in laying hens with different ages. Poult. Sci. 2021, 100, 100949. [Google Scholar] [CrossRef]
- Apajalahti, J. Structure and dietary modulation of intestinal microbial communities. In Proceedings of the 2nd Mid-Atlantic Nutrition Conference, Timonium, MD, USA, 24–25 March 2004. [Google Scholar]
- Siro, I.; Kapolna, E.; Kapolna, B.; Lugasi, A. Functional food. Product development, marketing and consumer acceptance—A review. Appetite 2008, 51, 456–467. [Google Scholar] [CrossRef]
- Kuzyšinová, K.; Mudroňová, D.; Toporčák, J.; Nemcová, R.; Molnár, L.; Ma’ari, A.; Vaníková, S.; Kožár, M. Testing of inhibition activity of essential oils against Paenibacillus larvae–The causative agent of American foulbrood. Acta Vet. Brno 2014, 83, 9–12. [Google Scholar] [CrossRef]
- Yadav, A.S.; Kolluri, G.; Gopi, M.; Karthik, K.; Singh, Y. Exploring alternatives to antibiotics as health-promoting agents in poultry—A review. J. Exp. Biol. 2016, 4, 368–383. [Google Scholar] [CrossRef]
- Ravindran, R.; Jaiswal, A.K. Exploitation of food industry waste for high-value products. Trends Biotechnol. 2016, 34, 58–69. [Google Scholar] [CrossRef]
- Saracila, M.; Criste, R.D.; Panaite, T.D.; Vlaicu, P.A.; Tabuc, C.; Turcu, R.P.; Olteanu, M. Artemisia annua as phytogenic feed additive in the diet of broilers (14–35 days) reared under heat stress (32 °C). Braz. J. Poult. Sci. 2018, 20, 825–832. [Google Scholar] [CrossRef]
- Panaite, T.D.; Criste, R.D.; Vlaicu, P.A.; Saracila, M.; Tabuc, C.; Olteanu, M.; Turcu, R.P.; Buleandră, M. Influence of artemisia annua on broiler performance and intestinal microflora. Braz. J. Poult. Sci. 2019, 21, 1–9. [Google Scholar] [CrossRef]
- Vlaicu, P.A.; Untea, A.E.; Panaite, T.D.; Turcu, R.P. Effect of dietary orange and grapefruit peel on growth performance, health status, meat quality and intestinal microflora of broiler chickens. Ital. J. Anim. Sci. 2020, 19, 1394–1405. [Google Scholar] [CrossRef]
- Yang, Z.; Liao, S.F. Physiological effects of dietary amino acids on gut health and functions of swine. Front. Vet. Sci. 2019, 6, 169. [Google Scholar] [CrossRef]
- Yamaguchi, M. World Vegetables: Principles, Production and Nutritive Values; AVI Publishing Corporation: Westport, CT, USA, 2006. [Google Scholar]
- Hoque, M.M.; Iqbal, A. Drying of watermelon rind and development of cakes from rind powder. Int. J. Nov. Res. Life Sci. 2015, 2, 14–21. [Google Scholar]
- Perkins-Veazie, P.; Collins, J.K. Flesh quality and lycopene stability of fresh-cut watermelon. Postharvest Biol. Technol. 2004, 31, 159–166. [Google Scholar] [CrossRef]
- Al-Sayed, H.M.; Ahmed, A.R. Utilization of watermelon rinds and sharlyn melon peels as a natural source of dietary fiber and antioxidants in cake. Ann. Agric. Sci. 2013, 58, 83–95. [Google Scholar] [CrossRef]
- Mohan, A.; Shanmugam, S. Comparison of the nutritional, physico-chemical and anti-nutrient properties of freeze and hot air dried watermelon (Citrullus Lanatus) rind. Biosci. Biotechnol. Res. 2016, 13, 1113–1119. [Google Scholar] [CrossRef]
- Suryakumar, G.; Gupta, A. Medicinal and therapeutic potential of Sea buckthorn (Hippophae rhamnoides L.). J. Ethnopharmac. 2011, 138, 268–278. [Google Scholar] [CrossRef]
- Gao, X.; Ohlander, M.; Jeppsson, N.; Bjork, L.; Trajkovski, V. Changes in antioxidant effects and their relationship to phytonutrients in fruits of sea buckthorn (Hippophae rhamnoides L.) during maturation. J. Agric. Food Chem. 2000, 48, 1485–1490. [Google Scholar] [CrossRef]
- Zeb, A. Chemical and nutritional constituents of sea buckthorn juice. Pak. J. Nutr. 2004, 3, 99–106. [Google Scholar]
- Oomah, B.D. Sea Buckthorn Lipids. In Sea Buckthorn (Hippophaė rhamnoides): Production and Utilization; Li, T.S.C., Beveridge, T., Eds.; NRC Research Press: Ottawa, ON, USA, 2003; pp. 51–68. [Google Scholar]
- Bal, L.M.; Meda, V.; Naik, S.N.; Santosh, S. Sea buckthorn berries: A potential source of valuable nutrients for nutraceuticals and cosmoceuticals. Food Res. Int. 2011, 44, 1718–1727. [Google Scholar] [CrossRef]
- Lee, H.I.; Kim, M.S.; Lee, K.M.; Park, S.K.; Seo, K.I.; Kim, H.J.; Kim, M.J.; Choi, M.S.; Lee, M.K. Anti-visceral obesity and antioxidant effects of powdered sea buckthorn (Hippophae rhamnoides L.) leaf tea in diet-induced obese mice. Food Chem. Toxic. 2011, 49, 2370–2376. [Google Scholar] [CrossRef] [PubMed]
- Janssen, W.M.M.A. European Table of Energy Values for Poultry Feedstuffs; Wageningen: Beekbergen, The Netherlands, 1898. [Google Scholar]
- Boisen, S.; Fernandez, J.A. Prediction of the apparent ileal digestibility of protein and amino acids in feedstuffs and feed mixtures for pigs by in vitro analyses. Anim. Feed Sci. Technol. 1995, 51, 29–43. [Google Scholar] [CrossRef]
- National Research Council. Nutrient Requirements of Poultry, 9th ed.; National Academic Press: Washington, DC, USA, 1994. [Google Scholar]
- AOAC. Association of Official Analytical Chemists; Official Methods of Analysis: Gaithersburg, MD, USA, 1990. [Google Scholar]
- Falade, O.S.; Otemuyiwa, I.O.; Adekunle, A.S.; Adewusi, S.A.; Oluwasefunmi, O. Nutrient composition of watermelon (Citrullis lanatus (Thunb.) Matsum. And Nakai) and egusi melon (Citrullus colocynthis (L.) Schrad.) seeds. Agric. Conspec. Sci. 2020, 85, 43–49. [Google Scholar]
- Varzaru, I.; Untea, A.E.; Martura, T.; Olteanu, M.; Panaite, T.D.; Schitea, M.; Van, I. Development and validation of an RP-HPLC method for methionine, cystine and lysine separation and determination in corn samples. Rev. Chim. 2013, 64, 673–679. [Google Scholar]
- Popescu, R.G.; Voicu, S.N.; Gradisteanu Pircalabioru, G.; Ciceu, A.; Gharbia, S.; Hermenean, A.; Georgescu, S.E.; Panaite, T.D.; Dinischiotu, A. Effects of dietary inclusion of bilberry and walnut leaves powder on the digestive performances and health of Tetra SL laying hens. Animals 2020, 10, 823. [Google Scholar] [CrossRef] [PubMed]
- Bernfeld, P. Amylases: Alpha and beta methods. Enzymology 1995, 1, 149–158. [Google Scholar]
- Hummel, B.C.W. A modified spectrophotometric determination of chymotrypsin, trypsin and thrombin. Can. J. Biochem. Physiol. 1995, 37, 1393–1399. [Google Scholar] [CrossRef]
- Vlaicu, P.A.; Panaite, T.D.; Turcu, R.P. Enriching laying hens eggs by feeding diets with different fatty acid composition and antioxidants. Sci. Rep. 2021, 11, 1–12. [Google Scholar] [CrossRef]
- Biswas, A.; Bharti, V.K.; Acharya, S.; Pawar, D.D.; Singh, S.B. Sea buckthorn: New feed opportunity for poultry in cold arid Ladakh region of India. World Poult. Sci. J. 2010, 66, 707–714. [Google Scholar] [CrossRef]
- Ben-Mahmoud, Z.; Mohamed, M.S.; Bláha, J.; Lukešová, D.; Kunc, P. The effect of sea buckthorn (Hippophae rhamnoides L.) residues in compound feeds on the performance and skin color of broilers. Indian J. Anim. Res. 2014, 48, 548–555. [Google Scholar] [CrossRef]
- Fila, W.A.; Itam, E.H.; Johnson, J.T.; Odey, M.O.; Effiong, E.E. Comparative proximate compositions of watermelon Citrullus lanatus, squash Cucurbita pepo’l and rambutan Nephelium lappaceum. Int. J. Sci. Technol. 2013, 2, 81–88. [Google Scholar]
- Gwana, A.M.; Bako, M.M.; Bagudu, B.Y.; Sadiq, A.B.; Abdullahi, M.M. Determinations of phytochemical, vitamin, mineral and proximate compositions of varieties of watermelon seeds cultivated in Borno State, North-Eastern Nigeria. Int. J. Nutr. Food Sci. 2014, 3, 238–245. [Google Scholar] [CrossRef]
- Nguyen, L.T.; Han, G.; Yang, H.; Ikeda, H.; Eltahan, H.M.; Vishwajit, S.C.; Mitsuhiro, F. Dried watermelon rind mash diet increases plasma l-citrulline level in chicks. J. Poult. Sci. 2019, 56, 65–70. [Google Scholar] [CrossRef]
- Panaite, T.D.; Criste, R.D.; Ropota, M.; Criste, V.; Vasile, G.; Olteanu, M.; Mitoi, M.; Turcu, R.P.; Vlaicu, A. Determination of the feeding value of food industry by-products. Sci. Pap.-Anim. Sci. Ser. 2016, 66, 106–111. [Google Scholar]
- Egbuonu, A.C.C. Comparative assessment of some mineral, amino acid and vitamin compositions of watermelon (Citrullus lanatus) rind and seed. Asian J. Biochem. 2015, 10, 230–236. [Google Scholar] [CrossRef]
- Kong, S.; Zhang, Y.H.; Zhang, W. Regulation of intestinal epithelial cells properties and functions by amino acids. BioMed Res. Int. 2018, 2018. [Google Scholar] [CrossRef]
- Bolu, S.A.; Sola-Ojo, F.E.; Olorunsanya, O.A.; Adekola, O.G. Effect of graded levels of melon Seed (Citrullus lanatus) cake on the performance, carcass evaluation and blood parameters of broiler chicken. Anim. Nutr. Feed Technol. 2011, 11, 63–70. [Google Scholar]
- Albokhadaim, I. Haematological and some biochemical values of indigenous chickens in Al-Ahsa, Saudi Arabia during summer season. Asian J. Poult. Sci. 2012, 6, 138–145. [Google Scholar] [CrossRef][Green Version]
- Vlaicu, P.A.; Panaite, T.D.; Olteanu, M.; Ropota, M.; Criste, V.; Vasile, G.; Grosu, I. Production parameters, carcass development and blood parameters of the broiler chick fed diets which include rapeseed, flax, grape and buckthorn meals. Sci. Pap. Anim. Sci. Biotechnol. 2017, 50, 37–45. [Google Scholar]
- Sharma, A.; Shukla, P.K.; Bhattacharyya, A.; Kumar, U.; Roy, D.; Yadav, B.; Prakash, A. Effect of dietary supplementation of sea buckthorn and giloe leaf meal on the body weight gain, feed conversion ratio, biochemical attributes, and meat composition of turkey poults. Vet. World 2018, 11, 93–98. [Google Scholar] [CrossRef]
- Pathak, G.P.; Sharma, N.; Mane, B.G.; Sharma, D.; Krofa, D.; Khurana, S.K. Effect of Sea buckthorn (Hippophae rhamnoides)-leaves, pulp and oil on growth performance, carcass characteristics and meat quality of broilers chicken. J. Poult. Sci. Technol. 2015, 3, 20–23. [Google Scholar]
- Saracila, M.; Panaite, T.D.; Untea, A.; Varzaru, I.; Dragotoiu, D.; Criste, R.D. Use of the dietary sea buckthorn meal as phytoaditive in heat-stressed broiler. Sci. Pap. Ser. D Anim. Sci. 2020, 63, 83–91. [Google Scholar]
- Nour, V.; Panaite, T.D.; Corbu, A.R.; Ropota, M.; Turcu, R.P. Nutritional and bioactive compounds in dried sea-buckthorn pomace. Erwerbs-Obstbau 2021, 63, 91–98. [Google Scholar] [CrossRef]
- Nobakht, A. The possibility of using watermelon waste in laying hens diets. Iran. J. App. Anim. Sci. 2015, 5, 459–462. [Google Scholar]
- Santin, E.; Maiorka, A.; Macari, M.; Grecco, M.; Sanchez, J.C.; Okada, T.M.; Myasaka, A.M. Performance and intestinal mucosa development of broiler chickens fed diets containing Saccharomyces cerevisiae cell wall. J. Appl. Poult. Res. 2001, 10, 236–244. [Google Scholar] [CrossRef]
- Lu, W.; Wang, J.; Zhang, H.J.; Wu, S.G.; Qi, G.H. Evaluation of Moringa oleifera leaf in laying hens: Effects on laying performance, egg quality, plasma biochemistry and organ histopathological indices. Ital. J. Anim. Sci. 2016, 15, 658–665. [Google Scholar] [CrossRef]
- Abou-Elezz, F.M.K.; Sarmiento-Franco, L.; Santos-Ricalde, R.; Solorio-Sanchez, F. Nutritional effects of dietary inclusion of Leucaena leucocephala and Moringa oleifera leaf meal on Rhode Island Red hens’ performance. Cuba. J. Agric. Sci. 2011, 45, 163–169. [Google Scholar]
- Kakengi, A.M.V.; Kaijage, J.T.; Sarwatt, S.V.; Mutayoba, S.K.; Shem, M.N.; Fujihara, T. Effect of Moringa oleifera leaf meal as a substitute for sunflower seed meal on performance of laying hens in Tanzania. Bone 2007, 1, 446. [Google Scholar]
- Commission Implementing Regulation (EU) 2017/1185 of 20 April 2017 Laying down Rules for the Application of Regulations (EU) No 1307/2013 and (EU) No 1308/2013 of the European Parliament and of the Council as Regards Notifications to the Commission of Information and Documents and Amending and Repealing Several Commission Regulations. Available online: https://eur-lex.europa.eu/legal-content/EN/TXT/?uri=CELEX%3A32017R1185 (accessed on 24 January 2022).
- Bejaei, M.; Wiseman, K.; Cheng, K.M. Developing logistic regression models using purchase attributes and demographics to predict the probability of purchases of regular and specialty eggs. Br. Poult. Sci. 2015, 56, 425–435. [Google Scholar] [CrossRef]
- Heng, Y.; Peterson, H.H.; Li, X. Consumer attitudes toward farm-animal welfare: The case of laying hens. J. Agric. Resour. Econ. 2013, 38, 418–434. [Google Scholar]
- Prakatur, I.; Miskulin, M.; Pavic, M.; Marjanovic, K.; Blazicevic, V.; Miskulin, I.; Domacinovic, M. Intestinal Morphology in Broiler Chickens Supplemented with Propolis and Bee Pollen. Animals 2019, 9, 301. [Google Scholar] [CrossRef]
- Zhaxi, Y.; Meng, X.; Wang, W.; Wang, L.; He, Z.; Zhang, H.; Pu, W. Duan-Nai-An, A Yeast Probiotic, Improves Intestinal Mucosa Integrity and Immune Function in Weaned Piglets. Sci. Rep. 2020, 10, 4556. [Google Scholar] [CrossRef]
- Fang, C.L.; Sun, H.; Wu, J.; Niu, H.H.; Feng, J. Effects of sodium butyrate on growth performance, haematological and immunological characteristics of weanling piglets. J. Anim. Physio Anim. Nutr. 2014, 98, 680–685. [Google Scholar] [CrossRef]
- Qin, L.; Ji, W.; Wang, J.; Li, B.; Hu, J.; Wu, X. Effects of dietary supplementation with yeast glycoprotein on growth performance, intestinal mucosal morphology, immune response and colonic microbiota in weaned piglets. Food Funct. 2019, 10, 2359–2371. [Google Scholar] [CrossRef]
- Ege, G.; Bozkurt, M.; Koçer, B.; Tüzün, A.E.; Uygun, M.; Alkan, G. Influence of feed particle size and feed form on productive performance, egg quality, gastrointestinal tract traits, digestive enzymes, intestinal morphology, and nutrient digestibility of laying hens reared in enriched cages. Poult. Sci. 2019, 98, 3787–3801. [Google Scholar] [CrossRef]
- Incharoen, T.; Yamauchi, K. Production performance, egg quality and intestinal histology in laying hens fed dietary dried fermented ginger. Int. J. Poult. Sci. 2009, 8, 1078–1085. [Google Scholar] [CrossRef]
- Maneewan, B.; Yamauchi, K.E. Effects of semi-purified pellet diet on the chicken intestinal villus histology. J. Poult. Sci. 2003, 40, 254–266. [Google Scholar] [CrossRef][Green Version]
- Maneewan, B.; Yamauchi, K. Recovery of duodenal villi and cells in chickens refed protein, carbohydrate and fat. Br. Poult. Sci. 2005, 46, 415–423. [Google Scholar] [CrossRef]
- Van Nevel, C.J.; Decuypere, J.A.; Dierick, N.A.; Molly, K. Incorporation of galactomannans in the diet of newly weaned piglets: Effect on bacteriological and some morphological characteristics of the small intestine. Arch. Anim. Nutr. 2005, 59, 123–138. [Google Scholar] [CrossRef]
- Baurhoo, B.; Phillip, L.; Ruiz-Feria, C.A. Effects of purified lignin and mannan oligosaccharides on intestinal integrity and microbial populations in the ceca and litter of broiler chickens. Poult. Sci. 2007, 86, 1070–1078. [Google Scholar] [CrossRef]
- Lokaewmanee, K.; Yamauchi, K.; Okuda, N. Effects of dietary red pepper on egg yolk colour and histological intestinal morphology in laying hens. J. Anim. Physiol. Anim. Nutr. 2013, 97, 986–995. [Google Scholar] [CrossRef] [PubMed]
- Adibmoradi, M.; Navidshad, B.; Seifdavati, J.; Royan, M. Effect of dietary garlic meal on histological structure of small intestine in broiler chickens. Poult. Sci. 2006, 43, 378–383. [Google Scholar] [CrossRef]
- Abdullah, A.A.; Mahmoud, K.Z.; Nusairat, B.M.; Qudsieh, R.I. Small intestinal histology, production parameters, and meat quality as influenced by dietary supplementation of garlic (Allium sativum) in broiler chicks. Ital. J. Anim. Sci. 2010, 9, 419–424. [Google Scholar] [CrossRef]
- Tufarelli, V.; Desantis, S.; Zizza, S.; Laudadio, V. Performance, gut morphology and carcass characteristics of fattening rabbits as affected by particle size of pelleted diets. Arch. Anim. Nutr. 2010, 64, 373–382. [Google Scholar] [CrossRef]
- Takahama, U.; Hirota, S. Interactions of flavonoids with α-amylase and starch slowing down its digestion. Food Funct. 2018, 9, 677–687. [Google Scholar] [CrossRef]
- Leeming, E.R.; Johnson, A.J.; Spector, T.D.; Le Roy, C.I. Effect of diet on the gut microbiota: Rethinking intervention duration. Nutrients 2019, 11, 2862. [Google Scholar] [CrossRef]
- Amit-Romach, E.; Sklan, D.; Uni, Z. Microflora ecology of the chicken intestine using 16S ribosomal DNA primers. Poult. Sci. 2004, 83, 1093–1098. [Google Scholar] [CrossRef]
- Richards, J.D.; Gong, J.; De Lange, C.F.M. The gastrointestinal microbiota and its role in monogastric nutrition and health with an emphasis on pigs: Current understanding, possible modulations, and new technologies for ecological studies. Can. J. Anim. Sci. 2005, 85, 421–435. [Google Scholar] [CrossRef]
- Vlaicu, P.A.; Panaite, T.D.; Turcu, R.P.; Tabuc, C. Dietary Origanum vulgare supplements for broilers. Rom. Biotechnol. Lett. 2020, 25, 1922–1929. [Google Scholar] [CrossRef]
- Panaite, T.D.; Saracila, M.; Papuc, C.P.; Predescu, C.N.; Soica, C. Influence of dietary supplementation of salix alba bark on performance, oxidative stress parameters in liver and gut microflora of broilers. Animals 2020, 10, 958. [Google Scholar] [CrossRef]
- Ren, H.; Vahjen, W.; Dadi, T.; Saliu, E.-M.; Boroojeni, F.G.; Zentek, J. Synergistic Effects of Probiotics and Phytobiotics on the Intestinal Microbiota in Young Broiler Chicken. Microorganisms 2019, 7, 684. [Google Scholar] [CrossRef]
- Cardona, F.; Andrés-Lacueva, C.; Tulipani, S.; Tinahones, F.J.; Queipo-Ortuño, M.I. Benefits of polyphenols on gut microbiota and implications in human health. J. Nutr. Biochem. 2013, 24, 1415–1422. [Google Scholar] [CrossRef]
- Iqbal, Y.; Cottrell, J.J.; Suleria, H.A.R.; Dunshea, F.R. Gut Microbiota-Polyphenol Interactions in Chicken: A Review. Animals 2020, 10, 1391. [Google Scholar] [CrossRef]
- Saracila, M.; Panaite, T.D.; Papuc, C.P.; Criste, R.D. Heat Stress in Broiler Chickens and the Effect of Dietary Polyphenols, with Special Reference to Willow (Salix spp.) Bark Supplements—A Review. Antioxidants 2021, 10, 686. [Google Scholar] [CrossRef]






| Ingredients (g/kg) | Dietary Treatments 1 | ||
|---|---|---|---|
| C | E1 | E2 | |
| Corn | 300.0 | 290.0 | 280.0 |
| Watermelon rind | - | 10.0 | - |
| Sea buckthorn meal | - | - | 20.0 |
| Wheat | 314.6 | 314.6 | 314.6 |
| Gluten | 40.0 | 40.0 | 40.0 |
| Soybean meal | 212.0 | 212.0 | 212.0 |
| Sunflower oil | 14.6 | 14.6 | 14.6 |
| L-lysine | 0.6 | 0.6 | 0.6 |
| DL-methionine | 1.3 | 1.3 | 1.3 |
| Calcium carbonate | 87.8 | 87.8 | 87.8 |
| Monocalcium phosphate | 14.6 | 14.6 | 14.6 |
| Salt | 4.0 | 4.0 | 4.0 |
| Choline | 0.5 | 0.5 | 0.5 |
| Premix 2 | 10.0 | 10.0 | 10.0 |
| Metabolizable energy and amino acid content (calculated) | |||
| Metabolizable energy, kcal/kg | 2825.73 | 2813.50 | 2817.39 |
| Lysine, % | 0.94 | 0.94 | 0.95 |
| Methionine, % | 0.43 | 0.43 | 0.43 |
| Methionine +cysteine, % | 0.75 | 0.75 | 0.75 |
| Threonine, % | 0.68 | 0.68 | 0.68 |
| Tryptophan, % | 0.20 | 0.20 | 0.20 |
| Arginine, % | 1.04 | 1.04 | 1.04 |
| Feed composition (analyzed) | |||
| Dry matter, % | 90.29 | 89.98 | 90.22 |
| Crude protein, % | 18.90 | 18.52 | 18.92 |
| Crude fat, % | 2.83 | 2.92 | 2.99 |
| Crude fiber, % | 4.06 | 3.88 | 4.00 |
| Taxonomic Target | Primer Sequence |
|---|---|
| Firmicutes | Firm934F GGAGCATGTGGTTTAATTCGAAGCA Firm 1060R AGCTGACGACAACCATGCAC |
| Bacteroides | Fwd CCT ACG ATG GAT AGG GGT T Rev CAC GCT ACT TGG CTG GTT CAG |
| Enterobacteriaceae | Uni515F GTG CCA GCM GCC GCG GTAA Ent826R GCC TCA AGG GCA CAA CCT CCA AG |
| Lactobacilli | LabF362 ACG AGT AGG GAA ATC TTC CA LabR677 CAC CGC TAC ACA TGG AG |
| Specification | Watermelon Rind | Sea Buckthorn Meal |
|---|---|---|
| Chemical composition * | ||
| Dry matter, g/kg | 847.9 ± 33.5 | 914.3 ± 9.7 |
| Crude protein, g/kg | 95.6 ± 0.8 | 145.1 ± 10.7 |
| Crude fat, g/kg | 8.2 ± 1.2 | 177.2 ± 11.4 |
| Crude fiber, g/kg | 168.4 ± 7.3 | 205.2 ± 11.7 |
| Gross energy, kcal/100 g | 355.88 ± 0.11 | 511.26 ± 0.51 |
| Metabolizable energy, kcal/100 g | 215.46 ± 0.25 | 292.29 ± 0.33 |
| Nitrogen digestibility coefficient, g/kg | 538.2 ± 19.8 | 382.9 ± 3.2 |
| Amino acids content, g/kg * | ||
| Essential amino acids | ||
| Isoleucine | 3.21 ± 0.30 | 7.37 ± 0.15 |
| Leucine | 4.68 ± 0.75 | 13.04 ± 0.98 |
| Lysine | 3.58 ± 0.73 | 7.80 ± 0.24 |
| Aromatic amino acids | ||
| Tyrosine | 3.62 ± 0.30 | 4.65 ± 0.02 |
| Phenylalanine | 4.33 ± 0.13 | 8.55 ± 0.98 |
| Sulphur amino acids | ||
| Methionine | 1.75 ± 0.10 | 4.10 ± 0.33 |
| Cystine | 0.57 ± 0.04 | 1.22 ± 0.17 |
| Threonine | 2.67 ± 0.18 | 5.57 ± 0.99 |
| Valine | 5.80 ± 0.25 | 7.60 ± 1.01 |
| Arginine | 9.68 ± 0.89 | 15.26 ± 1.13 |
| Glycine | 2.48 ± 0.16 | 5.84 ± 0.55 |
| Non-essential amino acids | ||
| Aspartate | 5.86 ± 0.37 | 17.32 ± 2.08 |
| Alanine | 4.79 ± 0.14 | 7.75 ± 0.92 |
| Glutamate | 18.56 ± 1.28 | 29.18 ± 1.53 |
| Serine | 3.63 ± 0.57 | 8.89 ± 0.66 |
| Total amino acids | 75.2 ± 2.72 | 144.1 ± 1.89 |
| AAE | 42.36 ± 2.28 | 81.00 ± 5.28 |
| AANE | 32.84 ± 0.86 | 63.14 ± 2.49 |
| AAE/AANE | 1.289 ± 0.66 | 1.283 ± 0.93 |
| Hematological Parameters | C | E1 | E2 | SEM | p-Value |
|---|---|---|---|---|---|
| Hemoglobin, g/dL | 11.05 | 13.55 | 12.03 | 0.678 | 0.3471 |
| Mean corpuscular volume, fL | 101.43 | 101.10 | 100.48 | 0.624 | 0.6625 |
| Mean corpuscular hemoglobin, pg | 60.93 | 58.70 | 59.40 | 0.962 | 0.6823 |
| Hematocrit, % | 18.33 | 23.58 | 20.25 | 1.269 | 0.2644 |
| White blood cell, % | 86.70 | 83.26 | 84.21 | 10.367 | 0.3044 |
| Lymphocytes, % | 68.15 | 73.83 | 64.40 | 3.604 | 0.6493 |
| Red blood cell, % | 1.81 | 2.32 | 2.02 | 0.125 | 0.2732 |
| Eosinophil’s granulocytes, % | 14.40 | 11.57 | 19.90 | 2.835 | 0.2246 |
| Monocytes, % | 5.75 | 4.77 | 6.07 | 0.188 | 0.4743 |
| Basophile’s granulocytes, % | 0.20 | 0.33 | 0.30 | 0.060 | 0.8558 |
| Platelet count | 23.75 | 25.25 | 24.25 | 0.960 | 0.3913 |
| Biochemical Parameters | C | E1 | E2 | SEM | p-Value |
|---|---|---|---|---|---|
| Cholesterol, mg/dL | 128.58 a | 108.35 b | 101.98 b | 2.792 | 0.0255 |
| Triglycerides, mg/dL | 1245.94 a | 1018.17 b | 1094.66 b | 3.836 | 0.0439 |
| Glucose, mg/dL | 230.12 | 228.07 | 202.20 | 6.237 | 0.2889 |
| Alanine aminotransferase, U/L | 7.70 | 6.25 | 5.48 | 0.570 | 0.1106 |
| Phosphorus, mg/dL | 3.60 | 4.72 | 3.97 | 0.261 | 0.2201 |
| Albumin, g/dL | 1.00 | 1.50 | 1.50 | 0.152 | 0.3811 |
| Magnesium, mg/dL | 2.45 | 2.64 | 2.64 | 0.107 | 0.7300 |
| Total protein, g/L | 1.52 | 1.92 | 1.65 | 0.089 | 0.1826 |
| Parameters | Experimental Diets | SEM | p-Value | ||
|---|---|---|---|---|---|
| C | E1 | E2 | |||
| Initial weight, g/layer | 1719.31 | 1720.69 | 1723.45 | 13.470 | 0.9921 |
| Final weight, g/layer | 1787.24 | 1785.00 | 1796.55 | 12.997 | 0.9301 |
| Average egg weight, g | 60.44 a | 59.19 c | 59.75 b | 3.215 | 0.0001 |
| Average daily feed intake, g/day | 108.29 | 105.54 | 108.34 | 0.621 | 0.1085 |
| Feed conversion ratio, g feed/g egg | 1.83 b | 1.82 b | 1.91 a | 0.015 | 0.0258 |
| Viability, % | 100.00 | 100.00 | 100.00 | - | - |
| Egg size classification, % | |||||
| Small, (S < 53 g) | 0.74 b | 2.72 a | 0.99 b | 5.271 | <0.0001 |
| Medium, (M 53–63 g) | 89.14 c | 95.30 a | 92.10 b | 1.556 | <0.0001 |
| Large, (L 63–73 g) | 10.12 a | 1.98 c | 6.91 b | 4.918 | <0.0001 |
| Item | C | E1 | E2 | SEM | p-Value |
|---|---|---|---|---|---|
| Duodenum | |||||
| Villi length (μm) | 893.08 c | 1292.82 a | 1212.97 b | 42.645 | <0.0001 |
| Crypt depth (μm) | 154.81 b | 174.60 ab | 181.05 a | 4.996 | 0.0699 * |
| Villi length: Crypt depth ratio (V: C) | 5.77 b | 7.40 a | 6.70 ab | 0.267 | 0.0081 |
| Jejunum | |||||
| Villi length (μm) | 871.54 c | 1285.38 a | 1127.93 b | 187.698 | <0.0001 |
| Crypt depth (μm) | 133.25 b | 250.70 a | 159.32 b | 15.247 | <0.0001 |
| Villi length:Crypt depth ratio (V:C) | 6.54 a | 5.13 b | 7.08 a | 0.308 | 0.0108 |
Publisher’s Note: MDPI stays neutral with regard to jurisdictional claims in published maps and institutional affiliations. |
© 2022 by the authors. Licensee MDPI, Basel, Switzerland. This article is an open access article distributed under the terms and conditions of the Creative Commons Attribution (CC BY) license (https://creativecommons.org/licenses/by/4.0/).
Share and Cite
Panaite, T.D.; Vlaicu, P.A.; Saracila, M.; Cismileanu, A.; Varzaru, I.; Voicu, S.N.; Hermenean, A. Impact of Watermelon Rind and Sea Buckthorn Meal on Performance, Blood Parameters, and Gut Microbiota and Morphology in Laying Hens. Agriculture 2022, 12, 177. https://doi.org/10.3390/agriculture12020177
Panaite TD, Vlaicu PA, Saracila M, Cismileanu A, Varzaru I, Voicu SN, Hermenean A. Impact of Watermelon Rind and Sea Buckthorn Meal on Performance, Blood Parameters, and Gut Microbiota and Morphology in Laying Hens. Agriculture. 2022; 12(2):177. https://doi.org/10.3390/agriculture12020177
Chicago/Turabian StylePanaite, Tatiana Dumitra, Petru Alexandru Vlaicu, Mihaela Saracila, Ana Cismileanu, Iulia Varzaru, Sorina Nicoleta Voicu, and Anca Hermenean. 2022. "Impact of Watermelon Rind and Sea Buckthorn Meal on Performance, Blood Parameters, and Gut Microbiota and Morphology in Laying Hens" Agriculture 12, no. 2: 177. https://doi.org/10.3390/agriculture12020177
APA StylePanaite, T. D., Vlaicu, P. A., Saracila, M., Cismileanu, A., Varzaru, I., Voicu, S. N., & Hermenean, A. (2022). Impact of Watermelon Rind and Sea Buckthorn Meal on Performance, Blood Parameters, and Gut Microbiota and Morphology in Laying Hens. Agriculture, 12(2), 177. https://doi.org/10.3390/agriculture12020177

