Added-Value of Endometrial Biopsy in the Diagnostic and Therapeutic Strategy for Pelvic Actinomycosis
Abstract
1. Introduction
2. Materials and Methods
3. Results
3.1. Clinical Symptomatology
3.2. Imaging Exploration
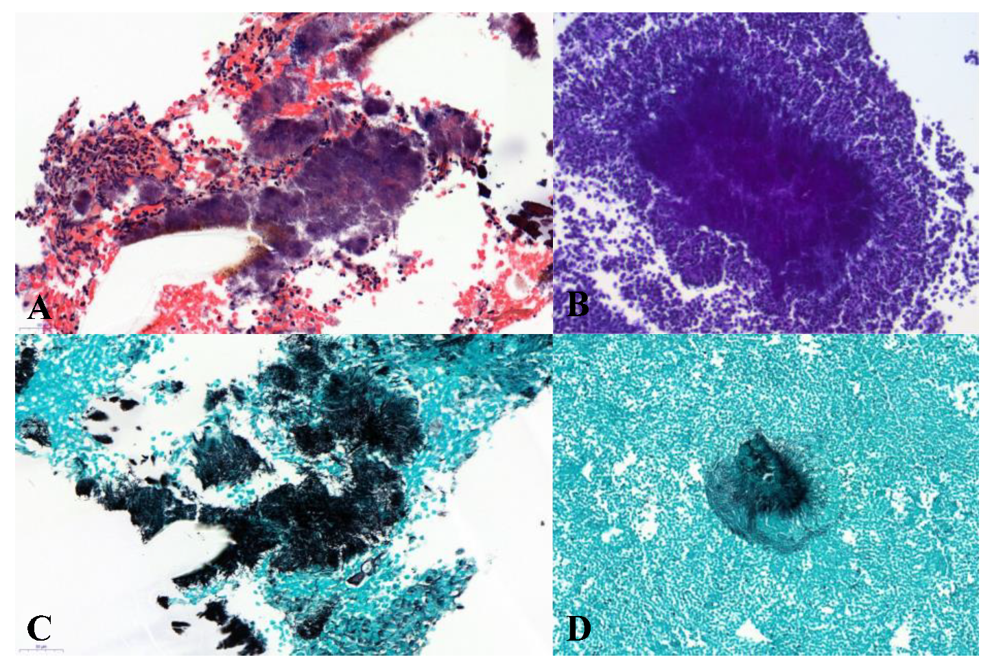
3.3. Diagnostic Tools
3.3.1. Pre-Treatment
3.3.2. Post-Treatment
3.4. Treatments
3.5. Follow-Up
4. Discussion
Author Contributions
Funding
Conflicts of Interest
References
- Ketata, S.; Ben Mabrouk, M.; Derbel, F.; Fodha, I.; Sabri, Y.; Trabelsi, A.; Mtimet, A.; Ben Hadj Hamida, M.; Mazhoud, J.; Ben Ali, A.; et al. Tumoral form of abdominal actinomycosis: A retrospective case series of seven patients. Rev. Med. Interne 2010, 31, 735–741. [Google Scholar] [CrossRef]
- Boyanova, L.; Kolarov, R.; Mateva, L.; Markovska, R.; Mitov, I. Actinomycosis: A frequently forgotten disease. Future Microbiol. 2015, 10, 613–628. [Google Scholar] [CrossRef]
- Japanese Society of Chemotherapy Committee on Guidelines for Treatment of Anaerobic Infections; Japanese Association for Anaerobic Infection Research. Chapter 2-12-1. Anaerobic infections (individual fields): Actinomycosis. J. Infect. Chemother. 2011, 17 (Suppl. 1), 119–120. [Google Scholar]
- Kalaichelvan, V.; Maw, A.A.; Singh, K. Actinomyces in cervical smears of women using the intrauterine device in Singapore. Contraception 2006, 73, 352–355. [Google Scholar] [CrossRef] [PubMed]
- Nayar, M.; Chandra, M.; Chitraratha, K.; Kumari Das, S.; Rai Chowdhary, G. Incidence of actinomycetes infection in women using intrauterine contraceptive devices. Acta Cytol. 1985, 29, 111–116. [Google Scholar] [PubMed]
- Valicenti, J.F.; Pappas, A.A.; Graber, C.D.; Williamson, H.O.; Willis, N.F. Detection and prevalence of IUD-associated Actinomyces colonization and related morbidity. A prospective study of 69,925 cervical smears. JAMA 1982, 247, 1149–1152. [Google Scholar] [CrossRef] [PubMed]
- Jonas, L.; Baguhl, F.; Wilken, H.-P.; Haas, H.J.; Nizze, H. Copper accumulation in actinomyces druses during endometritis after long-term use of an intrauterine contraceptive device. Ultrastruct. Pathol. 2002, 26, 323–329. [Google Scholar] [CrossRef] [PubMed]
- Kim, Y.J.; Youm, J.; Kim, J.H.; Jee, B.C. Actinomyces-like organisms in cervical smears: The association with intrauterine device and pelvic inflammatory diseases. Obstet. Gynecol. Sci. 2014, 57, 393–396. [Google Scholar] [CrossRef]
- Sehnal, B.; Beneš, J.; Kolářová, Z.; Mojhová, M.; Zikán, M. Pelvic actinomycosis and IUD. Ceska Gynekol. 2018, 83, 386–390. [Google Scholar]
- Choi, M.-M.; Baek, J.H.; Beak, J.H.; Lee, J.N.; Park, S.; Lee, W.-S. Clinical features of abdominopelvic actinomycosis: Report of twenty cases and literature review. Yonsei Med. J. 2009, 50, 555–559. [Google Scholar] [CrossRef]
- Baierlein, S.A.; Wistop, A.; Looser, C.; Peters, T.; Riehle, H.-M.; von Flüe, M.; Peterli, R. Abdominal actinomycosis: A rare complication after laparoscopic gastric bypass. Obes. Surg. 2007, 17, 1123–1126. [Google Scholar] [CrossRef]
- Dominguez, D.C.; Antony, S.J. Actinomyces and nocardia infections in immunocompromised and nonimmunocompromised patients. J. Natl. Med. Assoc. 1999, 91, 35–39. [Google Scholar] [PubMed]
- Kim, J.C.; Cho, M.K.; Yook, J.W.; Choe, G.Y.; Lee, I.C. Extensive colonic stricture due to pelvic actinomycosis. J. Korean Med. Sci. 1995, 10, 142–146. [Google Scholar] [CrossRef] [PubMed]
- Yang, S.S.; Im, Y.C. Severe abdominopelvic actinomycosis with colon perforation and hepatic involvement mimicking advanced sigmoid colon cancer with hepatic metastasis: A case study. BMC Surg. 2018, 18, 51. [Google Scholar] [CrossRef] [PubMed]
- Saramago, S.M.; Cominho, J.C.; Proença, S.S.M.; Conde, P.J.C.; Nunes, F.M.P. Pelvic Actinomycosis Mimicking Pelvic Malignancy. Rev. Bras. Ginecol. Obstet. 2019, 41, 463–466. [Google Scholar] [CrossRef]
- McFarlane, M.E.C.; Coard, K.C.M. Actinomycosis of the colon with invasion of the abdominal wall: An uncommon presentation of a colonic tumour. Int. J. Surg. Case Rep. 2010, 1, 9–11. [Google Scholar] [CrossRef]
- Chiesa-Vottero, A.G. Actinomycotic Endometritis. Int. J. Gynecol. Pathol. 2019, 38, 138–142. [Google Scholar] [CrossRef]
- Matsuda, K.; Nakajima, H.; Khan, K.N.; Tanigawa, T.; Hamaguchi, D.; Kitajima, M.; Hiraki, K.; Moriyama, S.; Masuzaki, H. Preoperative diagnosis of pelvic actinomycosis by clinical cytology. Int. J. Womens Health 2012, 4, 527–533. [Google Scholar]
- Marret, H.; Wagner, N.; Ouldamer, L.; Jacquet, A.; Body, G. Pelvic actinomycosis: Just think of it. Gynecol. Obstet. Fertil. 2010, 38, 307–312. [Google Scholar] [CrossRef]
- Fiorino, A.S. Intrauterine contraceptive device-associated actinomycotic abscess and Actinomyces detection on cervical smear. Obstet. Gynecol. 1996, 87, 142–149. [Google Scholar] [CrossRef]
- Carrillo, M.; Valdez, B.; Vargas, L.; Alvarez, L.; Schorr, M.; Zlatev, R.; Stoytcheva, M. In vitro Actinomyces israelii biofilm development on IUD copper surfaces. Contraception 2010, 81, 261–264. [Google Scholar] [CrossRef]
- Flynn, A.N.; Lyndon, C.A.; Church, D.L. Identification by 16S rRNA gene sequencing of an Actinomyces hongkongensis isolate recovered from a patient with pelvic actinomycosis. J. Clin. Microbiol. 2013, 51, 2721–2723. [Google Scholar] [CrossRef] [PubMed][Green Version]
- Pombo, F.; Rodriguez, E.; Martin, R.; Lago, M. CT-guided core-needle biopsy in omental pathology. Acta Radiol. 1997, 38, 978–981. [Google Scholar] [CrossRef] [PubMed]
- Lee, Y.C.; Min, D.; Holcomb, K.; Buhl, A.; DiMaio, T.; Abulafia, O. Computed tomography guided core needle biopsy diagnosis of pelvic actinomycosis. Gynecol. Oncol. 2000, 79, 318–323. [Google Scholar] [CrossRef]
- Lo Muzio, L.; Favia, G.; Lacaita, M.; De Lillo, A.; Scully, C.; Napoli, A.; Lo Russo, L.; Maiorano, E. The contribution of histopathological examination to the diagnosis of cervico-facial actinomycosis: A retrospective analysis of 68 cases. Eur. J. Clin. Microbiol. Infect. Dis. 2014, 33, 1915–1918. [Google Scholar] [CrossRef]
- Westhoff, C. IUDs and colonization or infection with Actinomyces. Contraception 2007, 75, S48–S50. [Google Scholar] [CrossRef]
- Lippes, J. Pelvic actinomycosis: A review and preliminary look at prevalence. Am. J. Obstet. Gynecol. 1999, 180, 265–269. [Google Scholar] [CrossRef]
- Valour, F.; Sénéchal, A.; Dupieux, C.; Karsenty, J.; Lustig, S.; Breton, P.; Gleizal, A.; Boussel, L.; Laurent, F.; Braun, E.; et al. Actinomycosis: Etiology, clinical features, diagnosis, treatment, and management. Infect. Drug Resist. 2014, 7, 183–197. [Google Scholar]
- Reichenbach, J.; Lopatin, U.; Mahlaoui, N.; Beovic, B.; Siler, U.; Zbinden, R.; Seger, R.A.; Galmiche, L.; Brousse, N.; Kayal, S.; et al. Actinomyces in chronic granulomatous disease: An emerging and unanticipated pathogen. Clin. Infect. Dis. 2009, 49, 1703–1710. [Google Scholar] [CrossRef]
- Kolbert, C.P.; Persing, D.H. Ribosomal DNA sequencing as a tool for identification of bacterial pathogens. Curr. Opin. Microbiol. 1999, 2, 299–305. [Google Scholar] [CrossRef]
- Kaya, D.; Demirezen, Ş.; Hasçelik, G.; Gülmez Kivanç, D.; Beksaç, M.S. Comparison of PCR, culturing and Pap smear microscopy for accurate diagnosis of genital Actinomyces. J. Med. Microbiol. 2013, 62, 727–733. [Google Scholar] [CrossRef] [PubMed]
- Kuyama, K.; Fukui, K.; Ochiai, E.; Maruyama, S.; Iwadate, K.; Saku, T.; Yamamoto, H. Identification of the actinomycete 16S ribosomal RNA gene by polymerase chain reaction in oral inflammatory lesions. Oral Surg. Oral Med. Oral Pathol. Oral Radiol. 2013, 116, 485–491. [Google Scholar] [CrossRef]
- Hansen, J.M.; Fjeldsøe-Nielsen, H.; Sulim, S.; Kemp, M.; Christensen, J.J. Actinomyces species: A danish survey on human infections and microbiological characteristics. Open Microbiol. J. 2009, 3, 113–120. [Google Scholar] [CrossRef] [PubMed]
- Kim, M.; Ko, J.; Lee, C. Pelvic actinomycosis with abundant ascites, pleural effusion, and lymphadenopathy diagnosed with endometrial biopsy and treated with medication only. Taiwan J. Obstet. Gynecol. 2014, 53, 588–591. [Google Scholar] [CrossRef]
- Marchand-Austin, A.; Rawte, P.; Toye, B.; Jamieson, F.B.; Farrell, D.J.; Patel, S.N. Antimicrobial susceptibility of clinical isolates of anaerobic bacteria in Ontario, 2010–2011. Anaerobe 2014, 28, 120–125. [Google Scholar] [CrossRef]

| Pre-Treatment Diagnosis: N = 18 Patients | Post Treatment Diagnosis: N = 9 Patients | |||||
|---|---|---|---|---|---|---|
| Successfully Diagnosed from Bacteriological Samples | Successfully Diagnosed from Histopathological Samples | p-Value | Successfully Diagnosed from Bacteriological Samples | Successfully Diagnosed from Histopathological Samples | p-Value | |
| General population N = 27 patients | 3/22 (13.6%) | 15/16 (93.8%) | <0.001 | 4/12 (33.3%) | 12/13 (92.3%) | <0.001 |
| Surgery N = 1 patient | / | / | / | / | 1 / 1 | / |
| Antibiotics N = 11 patients | 1/7 (14.3%) | 10/10 (100%) | <0.001 | / | / | / |
| Surgery + Antibiotics N = 15 patients | 2/15 (13.3%) | 5/6 (83.3%) | <0.001 | 4/12 (33.3%) | 11/12 (91.7%) | <0.001 |
| Total Population, N = 27 | Surgery, N = 1 | Antibiotic, N = 11 (40.7%) | Surgery + Antibiotic, N = 15 (55.6%) | |||||||||||||
|---|---|---|---|---|---|---|---|---|---|---|---|---|---|---|---|---|
| N | Duration ATB (days) | Relapses (n,%) | Complications (n,%) | N | Duration ATB (days) | Relapses (n,%) | Complications (n,%) | N | Duration ATB (days) | Relapses (n,%) | Complications (n,%) | N | Duration ATB (days) | Relapses (n,%) | Complications (n,%) | |
| Type of infiltration | ||||||||||||||||
| Endometritis | 3 | 9 | – | – | – | – | – | – | 3 | 9 | – | – | – | – | – | – |
| Tubo-ovarian abscess | 8 | 20 | - | 1 | 1 | – | – | – | 2 | 18 | – | – | 5 | 21 | – | 1 |
| Infiltrating mass without adjacent organ involvement | 7 | 104 | – | – | – | – | – | – | 3 | 135 | – | – | 4 | 73 | – | – |
| Infiltrating mass with adjacent organ involvement | 7 | 128 | – | 1 | – | – | – | – | 2 | 180 | – | – | 5 | 77 | – | 1 |
| Chorioamnionitis | 1 | 42 | – | – | – | – | – | – | – | – | – | – | 1 | 42 | – | – |
| Unknown | 1 | 21 | – | – | – | – | – | – | 1 | 21 | – | – | – | 21 | – | – |
| Total | 27 | – | 2 (7.4%) | 1 | – | – | – | 11 | – | – | – | 15 | – | 13.3% | ||
© 2020 by the authors. Licensee MDPI, Basel, Switzerland. This article is an open access article distributed under the terms and conditions of the Creative Commons Attribution (CC BY) license (http://creativecommons.org/licenses/by/4.0/).
Share and Cite
Carrara, J.; Hervy, B.; Dabi, Y.; Illac, C.; Haddad, B.; Skalli, D.; Miailhe, G.; Vidal, F.; Touboul, C.; Vaysse, C. Added-Value of Endometrial Biopsy in the Diagnostic and Therapeutic Strategy for Pelvic Actinomycosis. J. Clin. Med. 2020, 9, 821. https://doi.org/10.3390/jcm9030821
Carrara J, Hervy B, Dabi Y, Illac C, Haddad B, Skalli D, Miailhe G, Vidal F, Touboul C, Vaysse C. Added-Value of Endometrial Biopsy in the Diagnostic and Therapeutic Strategy for Pelvic Actinomycosis. Journal of Clinical Medicine. 2020; 9(3):821. https://doi.org/10.3390/jcm9030821
Chicago/Turabian StyleCarrara, Julie, Blandine Hervy, Yohann Dabi, Claire Illac, Bassam Haddad, Dounia Skalli, Gregoire Miailhe, Fabien Vidal, Cyril Touboul, and Charlotte Vaysse. 2020. "Added-Value of Endometrial Biopsy in the Diagnostic and Therapeutic Strategy for Pelvic Actinomycosis" Journal of Clinical Medicine 9, no. 3: 821. https://doi.org/10.3390/jcm9030821
APA StyleCarrara, J., Hervy, B., Dabi, Y., Illac, C., Haddad, B., Skalli, D., Miailhe, G., Vidal, F., Touboul, C., & Vaysse, C. (2020). Added-Value of Endometrial Biopsy in the Diagnostic and Therapeutic Strategy for Pelvic Actinomycosis. Journal of Clinical Medicine, 9(3), 821. https://doi.org/10.3390/jcm9030821

